Effects of Eleutherococcus Extract Mixture on Endochondral Bone Formation in Rats
Abstract
1. Introduction
2. Results
2.1. HPLC Analysis of EEM Extract
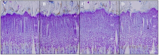
2.2. Effects on Endochondral Bone Formation
2.3. Effects on GP Height
2.4. Effects on IGF1 and BMP2 Expressions in GP
2.5. Effects on IGF1 and IGFBP3 mRNA Expressions in Liver
3. Discussion
4. Materials and Methods
4.1. Plant Material
4.2. Sample Preparation and Quantitative Analysis
4.3. Animals
4.4. Treatment
4.5. Endochondral Bone Formation
4.6. GP Height
4.7. Immunohistochemistry
4.8. Real-Time Quantitative Polymerase Chain Reaction (PCR)
4.9. Statistical Analysis
Author Contributions
Funding
Conflicts of Interest
References
- Cohen, P.; Rogol, A.D.; Deal, C.L.; Saenger, P.; Reiter, E.O.; Ross, J.L.; Chernausek, S.D.; Savage, M.O.; Wit, J.M. Consensus statement on the diagnosis and treatment of children with idiopathic short stature: A summary of the Growth Hormone Research Society, the Lawson Wilkins Pediatric Endocrine Society, and the European Society for Paediatric Endocrinology Workshop. J. Clin. Endocrinol. Metab. 2008, 93, 4210–4217. [Google Scholar] [CrossRef] [PubMed]
- Downie, A.B.; Mulligan, J.; Stratford, R.J.; Betts, P.R.; Voss, L.D. Are short normal children at a disadvantage? The Wessex growth study. BMJ 1997, 314, 97–100. [Google Scholar] [CrossRef]
- Stabler, B.; Clopper, R.R.; Siegel, P.T.; Stoppani, C.; Compton, P.G.; Underwood, L.E. Academic achievement and psychological adjustment in short children. The National Cooperative Growth Study. J. Dev. Behav. Pediatr. 1994, 15, 1–6. [Google Scholar] [CrossRef]
- Voss, L.D.; Sandberg, D.E. The psychological burden of short stature: Evidence against. Eur. J. Endocrinol. 2004, 151 (Suppl. 1), S29–S33. [Google Scholar] [CrossRef] [PubMed]
- Zimet, G.D.; Owens, R.; Dahms, W.; Cutler, M.; Litvene, M.; Cuttler, L. Psychosocial outcome of children evaluated for short stature. Arch. Pediatr. Adolesc. Med. 1997, 151, 1017–1023. [Google Scholar] [CrossRef] [PubMed]
- Bullinger, M.; Koltowska-Haggstrom, M.; Sandberg, D.; Chaplin, J.; Wollmann, H.; Noeker, M.; Brutt, A.L. Health-related quality of life of children and adolescents with growth hormone deficiency or idiopathic short stature—Part 2: Available results and future directions. Horm. Res. 2009, 72, 74–81. [Google Scholar] [CrossRef] [PubMed]
- Christensen, T.L.; Djurhuus, C.B.; Clayton, P.; Christiansen, J.S. An evaluation of the relationship between adult height and health-related quality of life in the general UK population. Clin. Endocrinol. 2007, 67, 407–412. [Google Scholar] [CrossRef] [PubMed]
- Paajanen, T.A.; Oksala, N.K.; Kuukasjarvi, P.; Karhunen, P.J. Short stature is associated with coronary heart disease: A systematic review of the literature and a meta-analysis. Eur. Heart J. 2010, 31, 1802–1809. [Google Scholar] [CrossRef]
- Wannamethee, S.G.; Shaper, A.G.; Whincup, P.H.; Walker, M. Adult height, stroke, and coronary heart disease. Am. J. Epidemiol. 1998, 148, 1069–1076. [Google Scholar] [CrossRef]
- McArthur, R.G. Growth retardation: An approach to management. Can. Fam. Phys. Med. Fam. Can. 1985, 31, 1039–1043. [Google Scholar]
- Hokken-Koelega, A.; Mulder, P.; De Jong, R.; Lilien, M.; Donckerwolcke, R.; Groothof, J. Long-term effects of growth hormone treatment on growth and puberty in patients with chronic renal insufficiency. Pediatr. Nephrol. 2000, 14, 701–706. [Google Scholar] [CrossRef]
- Deodati, A.; Peschiaroli, E.; Cianfarani, S. Review of growth hormone randomized controlled trials in children with idiopathic short stature. Horm. Res. Paediatr. 2011, 76 (Suppl. 3), 40–42. [Google Scholar] [CrossRef]
- Bryant, J.; Baxter, L.; Cave, C.B.; Milne, R. Recombinant growth hormone for idiopathic short stature in children and adolescents. Cochrane Database Syst. Rev. 2007, 18, 1–35. [Google Scholar] [CrossRef]
- Rosenfeld, R.G. A tale of two centimeters. J. Pediatr. 2005, 146, 10–11. [Google Scholar] [CrossRef]
- Lee, D.; Kim, Y.S.; Song, J.; Kim, H.S.; Lee, H.J.; Guo, H.; Kim, H. Effects of Phlomis umbrosa Root on Longitudinal Bone Growth Rate in Adolescent Female Rats. Molecules 2016, 21, 461. [Google Scholar] [CrossRef]
- Cho, S.M.; Lee, S.H.; Lee, D.; Lee, J.H.; Chang, G.T.; Kim, H.; Lee, J.Y. The Korean herbal formulation Yukmijihwangtang stimulates longitudinal bone growth in animal models. BMC Complement. Altern. Med. 2017, 17, 239. [Google Scholar] [CrossRef]
- Kim, J.Y.; Lee, J.I.; Song, M.; Lee, D.; Song, J.; Kim, S.Y.; Park, J.; Choi, H.Y.; Kim, H. Effects of Eucommia ulmoides extract on longitudinal bone growth rate in adolescent female rats. Phytother. Res. 2015, 29, 148–153. [Google Scholar] [CrossRef]
- Lee, D.Y.; Seo, K.H.; Jeong, R.H.; Lee, S.M.; Kim, G.S.; Noh, H.J.; Kim, S.Y.; Kim, G.W.; Kim, J.Y.; Baek, N.I. Anti-inflammatory lignans from the fruits of Acanthopanax sessiliflorus. Molecules 2012, 18, 41–49. [Google Scholar] [CrossRef]
- Jung, B.S.; Shin, M.K. Hyang Yak Dae Sa Jeon; Young Lim Sa: Seoul, Korea, 2003; Volume 3. [Google Scholar]
- Song, L.; Wu, Y.; Hu, L.; Zhang, G.; Xu, G.; Xiao, P.; Ling, Y.; Ding, X.; Cao, C.; Li, Y. Zhong Hua Ben Cao 22; Shanghai Scientific Technologic: Shanghai, China, 1999; Volume 5. [Google Scholar]
- Jung, H.J.; Nam, J.H.; Choi, J.; Lee, K.T.; Park, H.J. Antiinflammatory effects of chiisanoside and chiisanogenin obtained from the leaves of Acanthopanax chiisanensis in the carrageenan- and Freund’s complete adjuvant-induced rats. J. Ethnopharmacol. 2005, 97, 359–367. [Google Scholar] [CrossRef]
- Bae, E.A.; Yook, C.S.; Oh, O.J.; Chang, S.Y.; Nohara, T.; Kim, D.H. Metabolism of chiisanoside from Acanthopanax divaricatus var. albeofructus by human intestinal bacteria and its relation to some biological activities. Biol. Pharm. Bull. 2001, 24, 582–585. [Google Scholar] [CrossRef]
- Hwang, Y.C.; Jeong, I.K.; Ahn, K.J.; Chung, H.Y. The effects of Acanthopanax senticosus extract on bone turnover and bone mineral density in Korean postmenopausal women. J. Bone Miner. Metab. 2009, 27, 584–590. [Google Scholar] [CrossRef]
- Park, S.H.; Nhiem, N.X.; Kiem, P.V.; Choi, E.M.; Kim, J.A.; Kim, Y.H. A new norlupane triterpene from the leaves of Acanthopanax koreanum increases the differentiation of osteoblastic MC3T3-e1 cells. Arch. Pharm. Res. 2010, 33, 75–80. [Google Scholar] [CrossRef]
- Yu, C.H.; Liu, P.H.; Van, Y.H.; Lien, A.S.; Huang, T.P.; Yen, H.R. Traditional Chinese medicine for idiopathic precocious puberty: A hospital-based retrospective observational study. Complement. Ther. Med. 2014, 22, 258–265. [Google Scholar] [CrossRef]
- Xiong, W.; Li, M.; Jin-Hu, W. Therapeutic effects of total alkaloids of Fructus Hordei Germinatus in hyperprolactinemis rats. Pakistan J. Pharm. Sci. 2014, 27 (Suppl. 6), 2087–2093. [Google Scholar]
- Takano, A.; Kamiya, T.; Tomozawa, H.; Ueno, S.; Tsubata, M.; Ikeguchi, M.; Takagaki, K.; Okushima, A.; Miyata, Y.; Tamaru, S.; et al. Insoluble fiber in young barley leaf suppresses the increment of postprandial blood glucose level by increasing the digesta viscosity. Evid. Based Complement. Altern. Med. 2013, 2013, 137871. [Google Scholar] [CrossRef]
- Naismith, D.J.; Mahdi, G.S.; Shakir, N.N. Therapeutic value of barley in the management of diabetes. Ann. Nutr. Metab. 1991, 35, 61–64. [Google Scholar] [CrossRef]
- Kim, S.C.; Lee, J.H.; Kim, M.H.; Lee, J.A.; Kim, Y.B.; Jung, E.; Kim, Y.S.; Lee, J.; Park, D. Hordenine, a single compound produced during barley germination, inhibits melanogenesis in human melanocytes. Food Chem. 2013, 141, 174–181. [Google Scholar] [CrossRef]
- Jadhav, S.J.; Lutz, S.E.; Ghorpade, V.M.; Salunkhe, D.K. Barley: Chemistry and value-added processing. Crit. Rev. Food Sci. Nutr. 1998, 38, 123–171. [Google Scholar] [CrossRef]
- Sawadogo, L.; Sepehri, H.; Houdebine, L.M. Evidence for a stimulating factor of prolactin and growth hormone secretion present in brewery draff. Reprod. Nutr. Dev. 1989, 29, 139–146. [Google Scholar] [CrossRef]
- Hansson, L.I.; Stenstrom, A.; Thorngren, K.G. Skeletal deposition and toxicity of methacycline. Nature 1968, 219, 624–625. [Google Scholar] [CrossRef]
- Kaplan, S.A.; Cohen, P. The somatomedin hypothesis 2007: 50 years later. J. Clin. Endocrinol. Metab. 2007, 92, 4529–4535. [Google Scholar] [CrossRef]
- Finerman, G.A.M.; Milch, R.A. In vitro Binding of Tetracyclines to Calcium. Nature 1963, 198, 486. [Google Scholar] [CrossRef]
- Wong, R.W.; Rabie, A.B. Traditional Chinese medicines and bone formation—A review. J. Oral Maxillofac. Surg. 2006, 64, 828–837. [Google Scholar] [CrossRef] [PubMed]
- Petrovecki, V.; Mayer, D.; Slaus, M.; Strinovic, D.; Skavic, J. Prediction of stature based on radiographic measurements of cadaver long bones: A study of the Croatian population. J. Forensic Sci. 2007, 52, 547–552. [Google Scholar] [CrossRef] [PubMed]
- Lee, D.; Lee, S.H.; Lee, Y.H.; Song, J.; Kim, H. Astragalus Extract Mixture HT042 Increases Longitudinal Bone Growth Rate by Upregulating Circulatory IGF-1 in Rats. Evid. Based Complement. Altern. Med. 2017, 2017, 6935802. [Google Scholar] [CrossRef]
- Bass, S.; Delmas, P.D.; Pearce, G.; Hendrich, E.; Tabensky, A.; Seeman, E. The differing tempo of growth in bone size, mass, and density in girls is region-specific. J. Clin. Investig. 1999, 104, 795–804. [Google Scholar] [CrossRef]
- Roach, H.I.; Mehta, G.; Oreffo, R.O.; Clarke, N.M.; Cooper, C. Temporal analysis of rat growth plates: Cessation of growth with age despite presence of a physis. J. Histochem. Cytochem. 2003, 51, 373–383. [Google Scholar] [CrossRef] [PubMed]
- Yeom, M.; Kim, S.H.; Lee, B.; Zhang, X.; Lee, H.; Hahm, D.H.; Sohn, Y. Effects of laser acupuncture on longitudinal bone growth in adolescent rats. Evid. Based Complement. Altern. Med. 2013, 2013, 424587. [Google Scholar] [CrossRef] [PubMed]
- Kim, M.Y.; Park, Y.; Pandit, N.R.; Kim, J.; Song, M.; Park, J.; Choi, H.Y.; Kim, H. The herbal formula HT042 induces longitudinal bone growth in adolescent female rats. J. Med. Food 2010, 13, 1376–1384. [Google Scholar] [CrossRef]
- Hunziker, E.B. Mechanism of longitudinal bone growth and its regulation by growth plate chondrocytes. Microsc. Res. Tech. 1994, 28, 505–519. [Google Scholar] [CrossRef]
- Breur, G.J.; VanEnkevort, B.A.; Farnum, C.E.; Wilsman, N.J. Linear relationship between the volume of hypertrophic chondrocytes and the rate of longitudinal bone growth in growth plates. J. Orthop. Res. 1991, 9, 348–359. [Google Scholar] [CrossRef] [PubMed]
- Hansson, L.I. Daily growth in length of diaphysis measured by oxytetracycline in rabbit normally and after medullary plugging. Acta Orthop. Scand. 1967, 38 (Suppl. 101), 3–199. [Google Scholar] [CrossRef]
- Lee, D.; Lee, S.H.; Song, J.; Jee, H.J.; Cha, S.H.; Chang, G.T. Effects of Astragalus Extract Mixture HT042 on Height Growth in Children with Mild Short Stature: A Multicenter Randomized Controlled Trial. Phytother. Res. PTR 2018, 32, 49–57. [Google Scholar] [CrossRef] [PubMed]
- Ohlsson, C.; Mohan, S.; Sjogren, K.; Tivesten, A.; Isgaard, J.; Isaksson, O.; Jansson, J.O.; Svensson, J. The role of liver-derived insulin-like growth factor-I. Endocr. Rev. 2009, 30, 494–535. [Google Scholar] [CrossRef] [PubMed]
- Van der Eerden, B.C.; Karperien, M.; Wit, J.M. Systemic and local regulation of the growth plate. Endocr. Rev. 2003, 24, 782–801. [Google Scholar] [CrossRef] [PubMed]
- Hintz, R.L. Growth hormone: Uses and abuses. BMJ 2004, 328, 907–908. [Google Scholar] [CrossRef] [PubMed]
- Yakar, S.; Liu, J.L.; Stannard, B.; Butler, A.; Accili, D.; Sauer, B.; LeRoith, D. Normal growth and development in the absence of hepatic insulin-like growth factor I. Proc. Natl. Acad. Sci. USA 1999, 96, 7324–7329. [Google Scholar] [CrossRef] [PubMed]
- Sjogren, K.; Liu, J.L.; Blad, K.; Skrtic, S.; Vidal, O.; Wallenius, V.; LeRoith, D.; Tornell, J.; Isaksson, O.G.; Jansson, J.O.; et al. Liver-derived insulin-like growth factor I (IGF-I) is the principal source of IGF-I in blood but is not required for postnatal body growth in mice. Proc. Natl. Acad. Sci. USA 1999, 96, 7088–7092. [Google Scholar] [CrossRef]
- Wang, E.A.; Rosen, V.; D’Alessandro, J.S.; Bauduy, M.; Cordes, P.; Harada, T.; Israel, D.I.; Hewick, R.M.; Kerns, K.M.; LaPan, P.; et al. Recombinant human bone morphogenetic protein induces bone formation. Proc. Natl. Acad. Sci. USA 1990, 87, 2220–2224. [Google Scholar] [CrossRef]
- De Luca, F.; Barnes, K.M.; Uyeda, J.A.; De-Levi, S.; Abad, V.; Palese, T.; Mericq, V.; Baron, J. Regulation of growth plate chondrogenesis by bone morphogenetic protein-2. Endocrinology 2001, 142, 430–436. [Google Scholar] [CrossRef]
- Hallahan, A.R.; Pritchard, J.I.; Chandraratna, R.A.; Ellenbogen, R.G.; Geyer, J.R.; Overland, R.P.; Strand, A.D.; Tapscott, S.J.; Olson, J.M. BMP-2 mediates retinoid-induced apoptosis in medulloblastoma cells through a paracrine effect. Nat. Med. 2003, 9, 1033–1038. [Google Scholar] [CrossRef] [PubMed]
- Wu, S.; Yang, W.; De Luca, F. Insulin-Like Growth Factor-Independent Effects of Growth Hormone on Growth Plate Chondrogenesis and Longitudinal Bone Growth. Endocrinology 2015, 156, 2541–2551. [Google Scholar] [CrossRef] [PubMed]
- Daughaday, W.H.; Hall, K.; Raben, M.S.; Salmon, W.D., Jr.; van den Brande, J.L.; van Wyk, J.J. Somatomedin: Proposed designation for sulphation factor. Nature 1972, 235, 107. [Google Scholar] [CrossRef] [PubMed]
- Costalonga, E.F.; Antonini, S.R.; Guerra-Junior, G.; Mendonca, B.B.; Arnhold, I.J.; Jorge, A.A. The -202 A allele of insulin-like growth factor binding protein-3 (IGFBP3) promoter polymorphism is associated with higher IGFBP-3 serum levels and better growth response to growth hormone treatment in patients with severe growth hormone deficiency. J. Clin. Endocrinol. Metab. 2009, 94, 588–595. [Google Scholar] [CrossRef]
- Rosenfeld, R.G. Is growth hormone deficiency a viable diagnosis? J. Clin. Endocrinol. Metab. 1997, 82, 349–351. [Google Scholar] [CrossRef] [PubMed]
- Van der Kaay, D.C.; Hendriks, A.E.; Ester, W.A.; Leunissen, R.W.; Willemsen, R.H.; de Kort, S.W.; Paquette, J.R.; Hokken-Koelega, A.C.; Deal, C.L. Genetic and epigenetic variability in the gene for IGFBP-3 (IGFBP3): Correlation with serum IGFBP-3 levels and growth in short children born small for gestational age. Growth Horm. IGF Res. 2009, 19, 198–205. [Google Scholar] [CrossRef] [PubMed]
- El-Sawy, A.E.S.F.; El-Maddawy, Z.K.; Ibrahiem, H.S.; Bo-Ghazel, E.S. The growth Promoting Effect of Beta-glucan in Comparison with Sodium Butyrate on Broiler Chicks. Alex. J. Vet. Sci. 2015, 44, 23–37. [Google Scholar]
- Kim, J.W.; Cho, H.R.; Ku, S.K. Efficacy test of Polycan, a beta-glucan originated from Aureobasidium pullulans SM-2001, on anterior cruciate ligament transection and partial medial meniscectomy-induced-osteoarthritis rats. J. Microbial. Biotechnol. 2012, 22, 274–282. [Google Scholar] [CrossRef]
- Liu, K.Y.; Wu, Y.C.; Liu, I.M.; Yu, W.C.; Cheng, J.T. Release of acetylcholine by syringin, an active principle of Eleutherococcus senticosus, to raise insulin secretion in Wistar rats. Neurosci. Lett. 2008, 434, 195–199. [Google Scholar] [CrossRef]
- Gaffney, B.T.; Hugel, H.M.; Rich, P.A. The effects of Eleutherococcus senticosus and Panax ginseng on steroidal hormone indices of stress and lymphocyte subset numbers in endurance athletes. Life Sci. 2001, 70, 431–442. [Google Scholar] [CrossRef]
- Fujikawa, T.; Soya, H.; Hibasami, H.; Kawashima, H.; Takeda, H.; Nishibe, S.; Nakashima, K. Effect of Acanthopanax senticosus Harms on biogenic monoamine levels in the rat brain. Phytother. Res. PTR 2002, 16, 474–478. [Google Scholar] [CrossRef] [PubMed]
- Merimee, T.J.; Rabinowtitz, D.; Fineberg, S.E. Arginine-initiated release of human growth hormone. Factors modifying the response in normal man. N. Engl. J. Med. 1969, 280, 1434–1438. [Google Scholar] [CrossRef] [PubMed]
- BąCZEK, K. Diversity of Eleutherococcus genus in respect of biologically active compounds accumulation. Herba Polonica 2014, 60, 34–43. [Google Scholar] [CrossRef]
- Yang, X.; Chang, Z.; Ma, R.; Guo, H.; Zhao, Q.; Wang, X.; Kong, L.; Hao, D. Eleutherococcus senticosus Inhibits RANKL-induced osteoclast formation by attenuating the NF-κB and MAPKs signaling pathway. Int. J. Clin. Exp. Pathol. 2017, 10, 4514–4521. [Google Scholar]
- Choi, S.W.; Kim, S.H.; Lee, K.S.; Kang, H.J.; Lee, M.J.; Park, K.I.; Lee, J.H.; Park, K.D.; Seo, W.D. Barley Seedling Extracts Inhibit RANKL-Induced Differentiation, Fusion, and Maturation of Osteoclasts in the Early-to-Late Stages of Osteoclastogenesis. Evid. Based Complement. Altern. Med. 2017, 2017, 6072573. [Google Scholar] [CrossRef]
- Adelmann, B.C. The structural basis of cell-mediated immunological reactions of collagen. Reactivity of separated -chains of calf and rat collagen in cutaneous delayed hypersensitivity reactions. Immunology 1972, 23, 739–748. [Google Scholar] [PubMed]
- Johansen, P.B.; Nowak, J.; Skjaerbaek, C.; Flyvbjerg, A.; Andreassen, T.T.; Wilken, M.; Orskov, H. Ipamorelin, a new growth-hormone-releasing peptide, induces longitudinal bone growth in rats. Growth Horm. IGF Res. 1999, 9, 106–113. [Google Scholar] [CrossRef]
- Painson, J.C.; Tannenbaum, G.S. Sexual dimorphism of somatostatin and growth hormone-releasing factor signaling in the control of pulsatile growth hormone secretion in the rat. Endocrinology 1991, 128, 2858–2866. [Google Scholar] [CrossRef]
- Wagner, H. Synergy research: Approaching a new generation of phytopharmaceuticals. Fitoterapia 2011, 82, 34–37. [Google Scholar] [CrossRef]
- Williamson, E.M. Synergy and other interactions in phytomedicines. Phytomedicine 2001, 8, 401–409. [Google Scholar] [CrossRef]






| Control | rhGH 200 μg/kg (s.c.) | EEM 50 mg/kg (p.o.) | EEM 200 mg/kg (p.o.) | |
|---|---|---|---|---|
| overall height of GP (μm) | 350.3 ± 19.6 | 365.4 ± 17.3 *** | 368.2 ± 27.7 * | 368.0 ± 31.4 * |
| resting zone | 22.0 ± 5.3 | 21.4 ± 5.2 | 22.3 ± 5.8 | 21.1 ± 4.9 |
| proliferative zone | 119.9 ± 11.5 | 127.3 ± 15.7 ** | 132.0± 12.2 ** | 125.8 ± 12.8 |
| hypertrophic zone | 198.5 ± 12.7 | 203.3 ± 17.7 | 207.5 ± 22.1 | 208.7 ± 19.1 * |
© 2019 by the authors. Licensee MDPI, Basel, Switzerland. This article is an open access article distributed under the terms and conditions of the Creative Commons Attribution (CC BY) license (http://creativecommons.org/licenses/by/4.0/).
Share and Cite
Lee, D.; Lee, S.H.; Cho, N.; Kim, Y.-S.; Song, J.; Kim, H. Effects of Eleutherococcus Extract Mixture on Endochondral Bone Formation in Rats. Int. J. Mol. Sci. 2019, 20, 1253. https://doi.org/10.3390/ijms20051253
Lee D, Lee SH, Cho N, Kim Y-S, Song J, Kim H. Effects of Eleutherococcus Extract Mixture on Endochondral Bone Formation in Rats. International Journal of Molecular Sciences. 2019; 20(5):1253. https://doi.org/10.3390/ijms20051253
Chicago/Turabian StyleLee, Donghun, Sung Hyun Lee, Namhoon Cho, Young-Sik Kim, Jungbin Song, and Hocheol Kim. 2019. "Effects of Eleutherococcus Extract Mixture on Endochondral Bone Formation in Rats" International Journal of Molecular Sciences 20, no. 5: 1253. https://doi.org/10.3390/ijms20051253
APA StyleLee, D., Lee, S. H., Cho, N., Kim, Y.-S., Song, J., & Kim, H. (2019). Effects of Eleutherococcus Extract Mixture on Endochondral Bone Formation in Rats. International Journal of Molecular Sciences, 20(5), 1253. https://doi.org/10.3390/ijms20051253

