Tempo-Spatial Pattern of Stepharine Accumulation in Stephania Glabra Morphogenic Tissues
Abstract
1. Introduction
2. Results
2.1. Generation of S. glabra Cell Lines
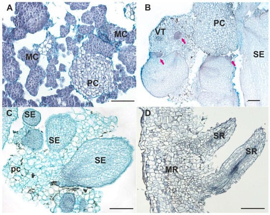
2.2. Morphological and Histological Analysis of Cell Lines
2.3. Analysis of Stepharine Content in Morphogenic Cell Lines of S. glabra
2.4. Distribution of Stepharine Determined by MALDI-MS Analysis
2.5. MALDI-MS Analysis of Microdissected Tissue
3. Discussion
3.1. High Alkaloid Content as a Feature of Morphogenic Cell Cultures of S. Glabra
3.2. Stepharine and Cell Differentiation: Matching Common Rules and Originality
3.3. Stepharine: Cell Culture vs. Whole Plants
4. Materials and Methods
4.1. Plant Material and Callus Cultures
4.2. Chemicals
4.3. Histological Analysis
4.4. Analytical Chromatography
4.5. Cryosectioning
4.6. Laser-Capture Microdissection (LCM)
4.7. Matrix Deposition
4.8. MALDI-MS Data Acquisition and Analysis
4.9. Statistical Analysis
5. Conclusions
Supplementary Materials
Author Contributions
Funding
Acknowledgments
Conflicts of Interest
References
- Heinze, M.; Brandt, W.; Marillonnet, S.; Roos, W. “Self” and “non-self” in the control of phytoalexin biosynthesis: Plant phospholipases A2 with alkaloid-specific molecular fingerprints. Plant Cell 2015, 27, 448–462. [Google Scholar] [CrossRef] [PubMed]
- Kuo, C.L.; Chang, J.Y.; Chang, H.C.; Gupta, S.K.; Chan, H.S.; Chen, E.C.; Tsay, H.S. In vitro production of benzylisoquinoline from Stephania tetrandra through callus culture under the influence of different additives. Bot. Stud. 2011, 52, 285–294. [Google Scholar]
- Glenn, W.S.; Runguphan, W.; O’Connor, S.E. Recent progress in the metabolic engineering of alkaloids in plant systems. Curr. Opin. Biotechnol. 2013, 24, 354–365. [Google Scholar] [CrossRef] [PubMed]
- Hagel, J.M.; Facchini, P.J. Tying the knot: Occurrence and possible significance of gene fusions in plant metabolism and beyond. J. Exp. Bot. 2017, 68, 4029–4043. [Google Scholar] [CrossRef] [PubMed]
- Leonard, E.; Runguphan, W.; O’Connor, S.; Prather, K.J. Opportunities in metabolic engineering to facilitate scalable alkaloid production. Nat. Chem. Biol. 2009, 5, 292–300. [Google Scholar] [CrossRef] [PubMed]
- Evans, W.C. Alkaloids. In Trease and Evans Pharmacognosy, 16th ed.; Elsevier: Edinburgh, UK, 2009; pp. 353–415. ISBN 9780702029349. [Google Scholar]
- Sytar, O.; Hemmerich, I.; Zivcak, M.; Rauh, C.; Brestic, M. Comparative analysis of bioactive phenolic compounds composition from 26 medicinal plants. Saudi J. Biol. Res. 2018, 25, 631–641. [Google Scholar] [CrossRef] [PubMed]
- Speck, K.; Magauer, T. The chemistry of isoindole natural products. Beilstein, J. Org. Chem. 2013, 9, 2048–2078. [Google Scholar] [CrossRef]
- Azimova, S.S.; Yunusov, M.S. Natural Compounds: Alkaloids. Plant Sources, Structure and Properties; Azimova, S.S., Yunusov, M.S., Eds.; Springer Science & Business Media: New York, NY, USA, 2013; ISBN 978-1-4614-0560-3. [Google Scholar]
- Khan, N.A.; Kumar, D.; Bhat, Z.A.; Kumar, V.; Nagpal, N.; Bhujbal, S.S. In vitro H1-receptor antagonist activity of methanolic extract of tuber of Stephania glabra. Bangladesh, J. Pharmacol. 2010, 5, 89–91. [Google Scholar] [CrossRef]
- Semwal, D.K.; Badoni, R.; Semwal, R.; Kothiyal, S.K.; Singha, G.J.P.; Rawat, U. The genus Stephania (Menispermaceae): Chemical and pharmacological perspectives. J. Ethnopharmacol. 2010, 132, 369–383. [Google Scholar] [CrossRef]
- Semwal, D.K.; Semwal, R.B. Efficacy and safety of Stephania glabra: An alkaloid-rich traditional medicinal plant. Nat. Prod. Res. 2015, 29, 396–410. [Google Scholar] [CrossRef]
- Desgagné-Penix, I.; Khan, M.F.; Schriemer, D.C.; Cram, D.; Nowak, J.; Facchini, P.J. Integration of deep transcriptome and proteome analyses reveals the components of alkaloid metabolism in opium poppy cell cultures. BMC Plant Biol. 2010, 10, 252. [Google Scholar] [CrossRef] [PubMed]
- Hagel, J.M.; Facchini, P.J. Benzylisoquinoline alkaloid metabolism: A century of discovery and a brave new world. Plant Cell Physiol. 2013, 54, 647–672. [Google Scholar] [CrossRef] [PubMed]
- Beaudoin, G.A.; Facchini, P.J. Benzylisoquinoline alkaloid biosynthesis in opium poppy. Planta 2014, 240, 19–32. [Google Scholar] [CrossRef] [PubMed]
- Hashemi, S.M.; Naghavi, M.R. Production and gene expression of morphinan alkaloids in hairy root culture of Papaver orientale L. using abiotic elicitors. Plant Cell Tissue Organ Cult. 2016, 125, 31–41. [Google Scholar] [CrossRef]
- Pan, Q.; Mustafa, N.R.; Tang, K.; Choi, Y.H.; Verpoorte, R. Monoterpenoid indole alkaloids biosynthesis and its regulation in Catharanthus roseus: A literature review from genes to metabolites. Phytochem. Rev. 2016, 15, 221–250. [Google Scholar] [CrossRef]
- Gorpenchenko, T.Y.; Grigorchuk, V.P.; Fedoreyev, S.A.; Tarbeeva, D.V.; Tchernoded, G.K.; Bulgakov, V.P. Stepharine production in morphogenic cell cultures of Stephania glabra (ROXB.) Miers. Plant Cell Tissue Organ Cult. 2017, 128, 67–76. [Google Scholar] [CrossRef]
- Zeigler, J.; Facchini, P.J. Alkaloid biosynthesis: Metabolism and Trafficking. Annu. Rev. Plant Biol. 2008, 59, 735–769. [Google Scholar] [CrossRef]
- Liu, J.; Cai, J.; Wang, R.; Yang, S. Transcriptional regulation and transport of terpenoid indole alkaloid in Catharanthus roseus: Exploration of new research directions. Int. J. Mol. Sci. 2017, 18, 53. [Google Scholar] [CrossRef]
- Facchini, P.J.; De Luka, V. Phloem-specific expression of tyrosine/dopa decarboxylase genes and the biosynthesis of isoquinoline alkaloids in opium poppy. Plant Cell 1995, 7, 1811–1821. [Google Scholar] [CrossRef]
- Onoyovwe, A.; Hagel, J.M.; Chen, X.; Khan, M.F.; Schriemer, D.C.; Facchini, P.J. Morphine biosynthesis in opium poppy involves two cell types: Sieve elements and laticifers. Plant Cell 2013, 25, 4110–4122. [Google Scholar] [CrossRef]
- Samanani, N.; Park, S.U.; Facchini, P.J. Cell type-specific localization of transcripts encoding nine consecutive enzymes involved in protoberberine alkaloid biosynthesis. Plant Cell 2005, 17, 915–926. [Google Scholar] [CrossRef] [PubMed]
- Kutchan, T.M.; Rush, M.; Coscia, C.J. Subcellular Localization of Alkaloids and Dopamine in Different Vacuolar Compartments of Papaver bracteatum. Plant Physiol. 1986, 81, 161–166. [Google Scholar] [CrossRef] [PubMed]
- Kassem, M.A.; Jacquin, A. Somatic embryogenesis, rhizogenesis, and morphinan alkaloids production in two species of opium poppy. J. Biomed. Biotechnol. 2001, 1, 70–78. [Google Scholar] [CrossRef] [PubMed]
- Tan, D.; Sun, X.; Zhang, J. Histochemical and immunohistochemical identification of laticifer cells in callus cultures derived from anthers of Hevea brasiliensis. Plant Cell Rep. 2011, 30, 1117–1124. [Google Scholar] [CrossRef] [PubMed]
- Tan, D.; Sun, X.; Zhang, J. Age-dependent and jasmonic acid-induced laticifer-cell differenciation in anther callus cultures of rubber tree. Planta 2014, 240, 337–344. [Google Scholar] [CrossRef] [PubMed]
- Bjarnholt, N.; Li, B.; D’Alvise, J.; Janfelt, C. Mass spectrometry imaging of plant metabolites–principles and possibilities. Nat. Prod. Rep. 2014, 31, 818–837. [Google Scholar] [CrossRef] [PubMed]
- Li, B.; Bhandari, D.R.; Roempp, A.; Spengler, B. High-resolution MALDI mass spectrometry imaging of gallotannins and monoterpene glucosides in the root of Paeonia lactiflora. Sci. Rep. 2016, 6, 36074. [Google Scholar] [CrossRef]
- Nakamura, J.; Morikawa-Ichinose, T.; Fujimura, Y.; Hayakawa, E.; Takahashi, K.; Ishii, T.; Daisuke, M.; Wariishi, H. Spatially resolved metabolic distribution for unraveling the physiological change and responses in tomato fruit using matrix-assisted laser desorption/ionization–mass spectrometry imaging (MALDI–MSI). Anal. Bioanal. Chem. 2017, 409, 1697–1706. [Google Scholar] [CrossRef]
- Horikawa, K.; Hirama, T.; Shimura, H.; Jitsuyama, Y.; Suzuki, T. Visualization of soluble carbohydrate distribution in apple fruit flesh utilizing MALDI–TOF MS imaging. Plant Sci. 2019, 278, 107–112. [Google Scholar] [CrossRef]
- Tocci, N.; Gaid, M.; Kaftan, F.; Belkheir, A.K.; Belhadj, I.; Liu, B.; Svatos, A.; Hansch, R.; Pasqua, G.; Beerhues, L. Exodermis and endodermis are the sites of xanthone biosynthesis in Hypericum perforatum roots. New Phytol. 2018, 217, 1099–1112. [Google Scholar] [CrossRef]
- Yi, L.; Liang, Z.T.; Peng, Y.; Yao, X.; Chen, H.B.; Zhao, Z.Z. Tissue-specific metabolite profiling of alkaloids in Sinomenii Caulis using laser microdissection and liquid chromatography-quadrupole/time of flight-mass spectrometry. J. Chromatogr. A 2012, 1248, 93–103. [Google Scholar] [CrossRef]
- Zeng, J.; Liu, Y.; Liu, W.; Liu, X.; Liu, F.; Huang, P.; Zhu, P.; Chen, J.; Shi, M.; Guo, F.; et al. Integration of transcriptome, proteome and metabolism data reveals the alkaloids biosynthesis in macleaya cordata and macleaya microcarpa. PLoS ONE 2013, 8, e53409. [Google Scholar] [CrossRef]
- Madan, B.R.; Khanna, N.K.; Mahatma, O.P.; Madan, V.; Dadhich, A.P. Further studies on some pharmacological actions of gindarine hydrochloride – alkaloid of Stephania glabra (ROXB.) Miers. Indian J. Pharmacol. 1974, 6, 97–102. [Google Scholar]
- Titova, M.V.; Reshetnyak, O.V.; Osipova, E.A.; Osip’yants, A.I.; Shumilo, N.A.; Oreshnikov, A.V.; Nosov, A.M. Submerged cultivation of Stephania glabra (Roxb.) Meiers cells in different systems: Specific features of growth and accumulation of alkaloid stepharine. Appl. Biochem. Microbiol. 2012, 48, 645–649. [Google Scholar] [CrossRef]
- Hagel, J.M.; Yeung, E.C.; Facchini, P.J. Got milk? The secret life of laticifers. Trends Plant Sci. 2008, 13, 631–639. [Google Scholar] [CrossRef] [PubMed]
- Lee, E.J.; Haggel, J.M.; Facchini, P.J. Role of the phloem in the biochemistry and ecophysiology of benzylisoquinoline alkaloid metabolism. Front. Plant Sci. 2013, 4, 182. [Google Scholar] [CrossRef] [PubMed]
- Weid, M.; Ziegler, J.; Kutchan, T.M. The roles of latex and the vascular bundle in morphine biosynthesis in the opium poppy, Papaver somniferum. Proc. Natl. Acad. Sci. USA 2004, 101, 13957–13962. [Google Scholar] [CrossRef]
- Castelblanque, L.; Balaguer, B.; Martí, C.; Rodríguez, J.J.; Orozco, M.; Vera, P. Novel insights into the organization of laticifer cells: A cell comprising a unified whole system. Plant Physiol. 2016, 172, 1032–1044. [Google Scholar] [CrossRef]
- Liscombe, D.K.; Facchini, P.J. Evolutionary and cellular webs in benzylisoquinoline alkaloid biosynthesis. Curr. Opin. Biotechnol. 2008, 19, 173–180. [Google Scholar] [CrossRef]
- Paul, P.; Singh, S.K.; Patra, B.; Sui, X.; Pattanaik, S.; Yuan, L. A differentially regulated AP2/ERF transcription factor gene cluster acts downstream of a MAP kinase cascade to modulate terpenoid indole alkaloid biosynthesis in Catharanthus roseus. New Phytol. 2017, 213, 1107–1123. [Google Scholar] [CrossRef]
- Zhang, H.; Hedhili, S.; Montiel, G.; Zhang, Y.; Chatel, G.; Pré, M.; Gantet, P.; Memelink, J. The basic helix-loop-helix transcription factor CrMYC2 controls the jasmonate-responsive expression of the ORCA genes that regulate alkaloid biosynthesis in Catharanthus roseus. Plant J. 2011, 67, 61–71. [Google Scholar] [CrossRef] [PubMed]
- Bulgakov, V.P.; Avramenko, T.V.; Tsitsiashvili, G.S. Critical analysis of protein signaling networks involved in the regulation of plant secondary metabolism: Focus on anthocyanins. Crit. Rev. Biotechnol. 2017, 37, 685–700. [Google Scholar] [CrossRef] [PubMed]
- Yamazaki, K.; Kondo, Y.; Kojima, M.; Takebayashi, Y.; Sakakibara, H.; Fukuda, H. Suppression of DELLA signaling induces procambial cell formation in culture. Plant, J. 2018, 94, 48–59. [Google Scholar] [CrossRef] [PubMed]
- Bulgakov, V.P.; Shkryl, Y.N.; Veremeichik, G.N. Engineering high yields of secondary metabolites in Rubia cell cultures through transformation with rol genes. Methods Mol. Biol. 2010, 643, 229–242. [Google Scholar] [CrossRef] [PubMed]
- Peukert, M.; Matros, A.; Lattanzio, G.; Kaspar, S.; Abadia, J.; Mock, H.P. Spatially resolved analysis of small molecules by matrix-assisted laser desorption⁄ionization mass spectrometric imaging (MALDI-MSI). New Phytol. 2012, 193, 806–815. [Google Scholar] [CrossRef] [PubMed]






| Cell Line | Phenotype | Fresh Biomass (g L−1) | Dry Biomass (g L−1) | Stepharine Content (%DW) | Stepharine Production (mg L−1) |
|---|---|---|---|---|---|
| S1 Liquid Homogenous | Undifferentiated cell aggregates | 161.6 ± 24.2 | 11.8 ± 1.4 | - | - |
| S2 Liquid Heterogeneous | Somatic embryos | 453.3 ± 31 | 16.8 ± 0.6 | 0.88 ± 0.06 | 147.0 ± 12.6 |
| Nodules with roots | 1.04 ± 0.03 | 175.3 ± 5.7 | |||
| S3 Solid Heterogeneous | Somatic embryos | 78.75 ± 8.06 | 4.6 ± 0.49 | 0.33 ± 0.01 | 15.3 ± 3.2 |
| Nodules with roots | 0.80 ± 0.19 | 36.9 ± 8.7 | |||
| S4 Solid Heterogeneous | Plantlet leafs | 119.8 ± 8.3 | 6.7 ± 0.4 | - | - |
| Petiole | 0.23 ± 0.04 | 115.4 ± 2.7 | |||
| Main stems | 0.29 ± 0.09 | 19.1 ± 6.4 | |||
| Plantlets roots | 0.66 ± 0.06 | 44.2 ± 4.0 | |||
| S5 Solid Heterogeneous | Deformed Stems | 102 ± 15.2 | 7.7 ± 0.76 | 0.20 ± 0.01 | 15.7 ± 0.7 |
© 2019 by the authors. Licensee MDPI, Basel, Switzerland. This article is an open access article distributed under the terms and conditions of the Creative Commons Attribution (CC BY) license (http://creativecommons.org/licenses/by/4.0/).
Share and Cite
Gorpenchenko, T.Y.; Grigorchuk, V.P.; Bulgakov, D.V.; Tchernoded, G.K.; Bulgakov, V.P. Tempo-Spatial Pattern of Stepharine Accumulation in Stephania Glabra Morphogenic Tissues. Int. J. Mol. Sci. 2019, 20, 808. https://doi.org/10.3390/ijms20040808
Gorpenchenko TY, Grigorchuk VP, Bulgakov DV, Tchernoded GK, Bulgakov VP. Tempo-Spatial Pattern of Stepharine Accumulation in Stephania Glabra Morphogenic Tissues. International Journal of Molecular Sciences. 2019; 20(4):808. https://doi.org/10.3390/ijms20040808
Chicago/Turabian StyleGorpenchenko, Tatiana Y., Valeria P. Grigorchuk, Dmitry V. Bulgakov, Galina K. Tchernoded, and Victor P. Bulgakov. 2019. "Tempo-Spatial Pattern of Stepharine Accumulation in Stephania Glabra Morphogenic Tissues" International Journal of Molecular Sciences 20, no. 4: 808. https://doi.org/10.3390/ijms20040808
APA StyleGorpenchenko, T. Y., Grigorchuk, V. P., Bulgakov, D. V., Tchernoded, G. K., & Bulgakov, V. P. (2019). Tempo-Spatial Pattern of Stepharine Accumulation in Stephania Glabra Morphogenic Tissues. International Journal of Molecular Sciences, 20(4), 808. https://doi.org/10.3390/ijms20040808

