Assessment of the Effects of Bisphenol A on Dopamine Synthesis and Blood Vessels in the Goldfish Brain
Abstract
1. Introduction
2. Results
2.1. Sequencing and Assembly
2.2. Functional Analysis
2.3. Analysis of Differential Gene Expression
2.4. GO and KEGG Enrichment Analysis
2.5. Expression Profiles of Genes in Dopaminergic Signaling Pathway and the Fluid Shear Stress and Atherosclerosis Pathway
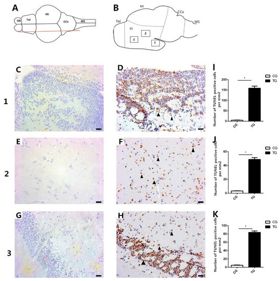
2.6. Analysis of Dopamine Concentrations and Brain Dopaminergic Neuron Apoptosis
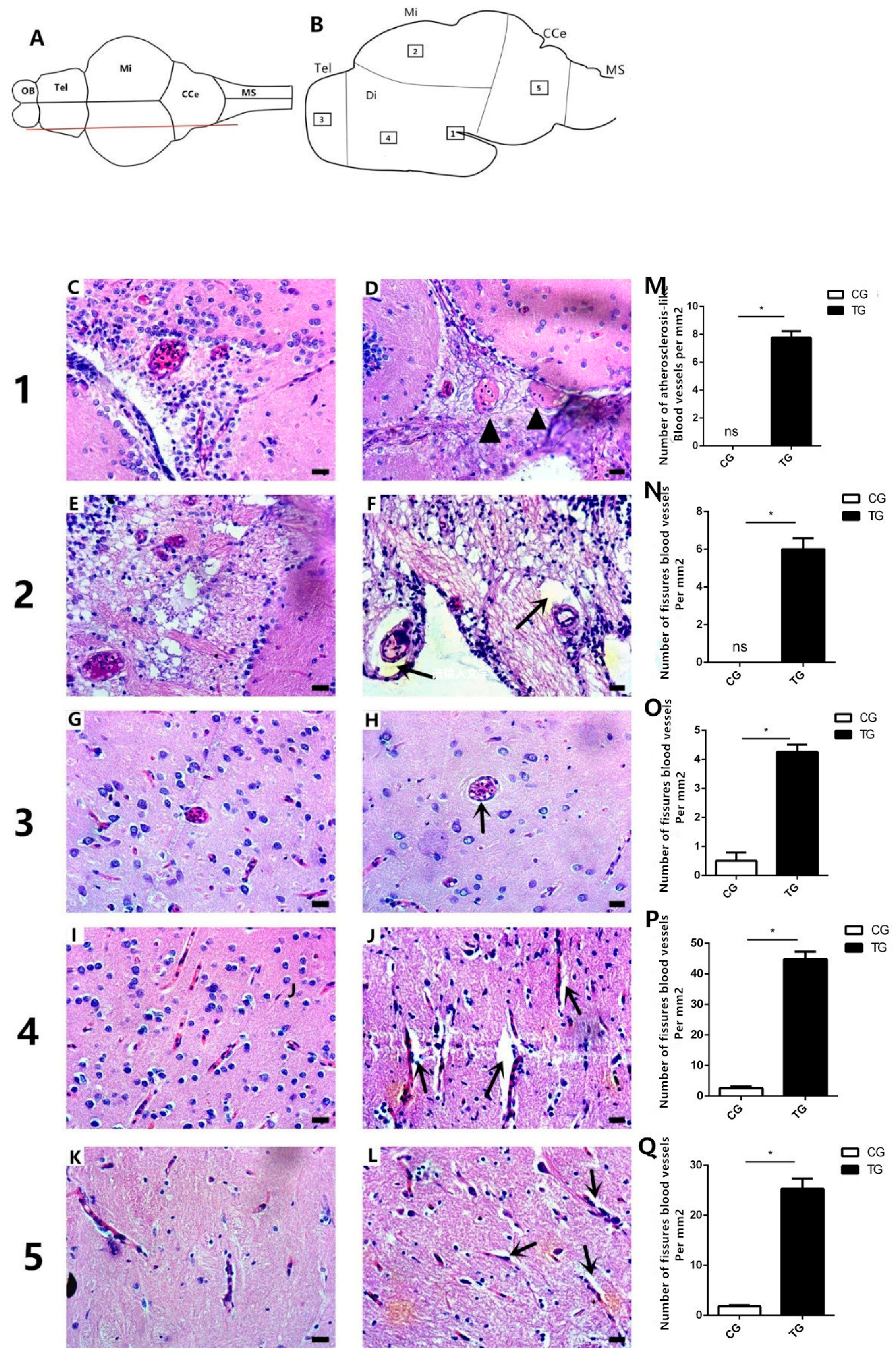
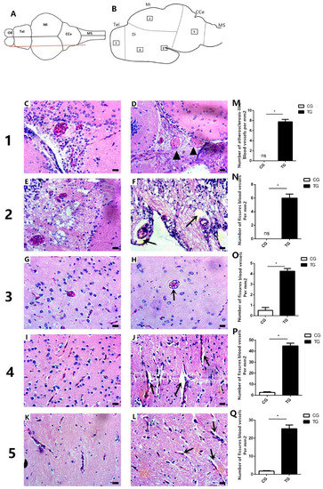
2.7. Vascular Histology of the Brain
3. Discussion
4. Materials and Methods
4.1. Animals and Treatments
4.2. RNA Extraction and Library Preparation
4.3. Transcriptome Assembly and Gene Functional Annotation
4.4. Differential Expression Analysis
4.5. Gene Ontology (GO) and KEGG Enrichment Analyses
4.6. RNA Isolation, Reverse Transcription and qRT-PCR
4.7. Dopamine Detection
4.8. Brain Histology
4.9. TUNEL Staining
5. Conclusions
Supplementary Materials
Author Contributions
Funding
Acknowledgments
Conflicts of Interest
References
- Krishnan, A.V.; Stathis, P.; Permuth, S.F.; Tokes, L.; Feldman, D. Bisphenol-A: An estrogenic substance is released from polycarbonate flasks during autoclaving. Endocrinology 1993, 132, 2279–2286. [Google Scholar] [CrossRef]
- Vandenberg, L.N.; Maffini, M.V.; Sonnenschein, C.; Rubin, B.S.; Soto, A.M. Bisphenol-A and the great divide: a review of controversies in the field of endocrine disruption. Endocr. Rev. 2009, 30, 75–95. [Google Scholar] [CrossRef] [PubMed]
- Grand View Research, Inc. Biosurfactants Market by Product (Market Research Report Code: GVR20). Available online: http://www.grandviewresearch.com.sci-hub.org/industry-analysis/biosurfactants-industry (accessed on 1 April 2014).
- Belfroid, A.; van Velzen, M.; van der Horst, B.; Vethaak, D. Occurrence of bisphenol a in surface water and uptake in fish: evaluation of field measurements. Chemosphere 2002, 49, 97–103. [Google Scholar] [CrossRef]
- Yamamoto, T.; Yasuhara, A.; Shiraishi, H.; Nakasugi, O. Bisphenol a in hazardous waste landfill leachates. Chemosphere 2001, 42, 415–418. [Google Scholar] [CrossRef]
- Howdeshell, K.L.; Peterman, P.H.; Judy, B.M.; Taylor, J.A.; Orazio, C.E.; Ruhlen, R.L.; vom Saal, F.S.; Welshons, W.V. Bisphenol a is released from used polycarbonate animal cages into water at room temperature. Environ. Health Perspect. 2003, 111, 1180–1187. [Google Scholar] [CrossRef]
- Huang, Y.Q.; Wong, C.K.; Zheng, J.S.; Bouwman, H.; Barra, R.; Wahlstrom, B.; Neretin, L.; Wong, M.H. Bisphenol A (BPA) in China: a review of sources, environmental levels, and potential human health impacts. Environ. Int. 2012, 42, 91–99. [Google Scholar]
- Zhang, Y.Y.; Gao, J.C.; Xu, P.; Yuan, C.; Qin, F.; Liu, S.Z.; Zheng, Y.; Yang, Y.P.; Wang, Z.Z. Low-dose bisphenol a disrupts gonad development and steroidogenic genes expression in adult female rare minnow gobiocypris rarus. Chemosphere 2014, 112, 435–442. [Google Scholar] [CrossRef]
- Carlisle, J.; Chan, D.; Golub, M.; Henkel, S.; Painter, P.; Lily, W.K. Toxicological Profile for Bisphenol A; Office of Environmental Health Hazard Assessment: Sacramento, CA, USA, 2009.
- Gavrilescu, M.; Demnerova, K.; Aamand, J.; Agathos, S.; Fava, F. Emerging pollutants in the environment: present and future challenges in biomonitoring, ecological risks and bioremediation. New Biotechnol. 2015, 32, 147–156. [Google Scholar] [CrossRef]
- Michalowicz, J. Bisphenol A-sources, toxicity and biotransformation. Environ. Toxicol. Pharmacol. 2014, 37, 738–758. [Google Scholar] [CrossRef]
- Syranidou, E.; Christofilopoulos, S.; Politi, M.; Weyens, N.; Venieri, D.; Vangronsveld, J.; Kalogerakis, N. Bisphenol-A removal by the halophyte Juncus acutus in a phytoremediation pilot: characterization and potential role of the endophytic community. J. Hazard. Mater. 2017, 323, 350–358. [Google Scholar] [CrossRef]
- Zhang, W.; Yin, K.; Chen, L. Bacteria-mediated bisphenol A degradation. Appl. Microbiol. Biotechnol. 2013, 97, 5681–5689. [Google Scholar] [CrossRef]
- Kang, J.H.; Katayama, Y.; Kondo, F. Biodegradation or metabolism of bisphenol A: from microorganisms to mammals. Toxicology 2006, 217, 81–90. [Google Scholar] [CrossRef] [PubMed]
- Hodson, P.V. Indicators of ecosystem health at the species level and the example of selenium effects on fish. Environ. Monit. Assess. 1990, 15, 241–254. [Google Scholar] [CrossRef] [PubMed]
- Wang, Q.; Yang, H.R.; Yang, M.; Yu, Y.P.; Yan, M.T.; Zhou, L.; Liu, X.C.; Xiao, S.Q.; Yang, Y.; Wang, Y.X.; et al. Toxic effects of bisphenol A on goldfish gonad development and the possible pathway of BPA disturbance in female and male fish reproduction. Chemosphere 2019, 221, 235–245. [Google Scholar] [CrossRef] [PubMed]
- Prisco, M.; Liguoro, A.; Comitato, R.; Cardone, A.; D’Onghia, B.; Ricchiari, L.; Angelini, F.; Andreuccetti, P. Apoptosis during spermatogenesis in the spotted ray Torpedo marmorata. Mol. Reprod. Dev. 2003, 64, 341–348. [Google Scholar] [CrossRef]
- Rhee, J.S.; Kim, B.M.; Lee, C.J.; Yoon, Y.D.; Lee, Y.M.; Lee, J.S. Bisphenol A modulates expression of sex differentiation genes in the self-fertilizing fish, Kryptolebias marmoratus. Aquat. Toxicol. 2011, 104, 218–229. [Google Scholar] [CrossRef]
- Huang, Q.S.; Chen, Y.J.; Lin, L.F.; Liu, Y.Y.; Chi, Y.L.; Lin, Y.; Ye, G.Z.; Zhu, H.M.; Dong, S.J. Different effects of bisphenol a and its halogenated derivatives on the reproduction and development of Oryzias melastigma under environmentally relevant doses. Sci. Total. Environ. 2017, 595, 752–758. [Google Scholar] [CrossRef]
- Molina, A.; Abril, N.; Moralesprieto, N.; Monterde, J.; Ayala, N.; Lora, A.; Moyano, R. Hypothalamic-pituitary-ovarian axis perturbation in the basis of bisphenol a (bpa) reproductive toxicity in female zebrafish (danio rerio). Ecotox. Environ. Safe. 2018, 156, 116–124. [Google Scholar] [CrossRef]
- Li, D.; Chen, Q.; Cao, J.L.; Chen, H.X.; Xia, L.L.; Cedergree, N.; Xie, H.B.; Xie, L.T. The chronic effects of lignin-derived bisphenol and bisphenol A in Japanese medaka Oryzias latipes. Aquat. Toxicol. 2016, 170, 199–207. [Google Scholar] [CrossRef]
- Birceanu, O.; Mai, T.; Vijayan, M.M. Maternal transfer of bisphenol A impacts the ontogeny of cortisol stress response in rainbow trout. Aquat. Toxicol. 2015, 168, 11–18. [Google Scholar] [CrossRef]
- Nagato, E.G.; Simpson, A.J.; Simpson, M.J. Metabolomics reveals energetic impairments in Daphnia magna exposed to diazinon, malathion and bisphenol-A. Aquat. Toxicol. 2016, 170, 175–186. [Google Scholar] [CrossRef]
- Wang, X.; Dong, Q.; Chen, Y.; Jiang, H.; Xiao, Q.; Wang, Y.; Li, W.; Bai, C.; Huang, C.; Yang, D. Bisphenol A affects axonal growth, musculature and motor behavior in developing zebrafish. Aquat. Toxicol. 2013, 142–143, 104–113. [Google Scholar] [CrossRef] [PubMed]
- Jones, D.C.; Miller, G.W. The effects of environmental neurotoxicants on the dopaminergic system: a possible role in drug addiction. Biochem. Pharmacol. 2008, 76, 569–581. [Google Scholar] [CrossRef] [PubMed]
- Matsui, H. Dopamine system, cerebellum, and nucleus ruber in fish and mammals. Develop. Growth Differ. 2017, 59, 219–227. [Google Scholar] [CrossRef] [PubMed]
- Schweitzer, J.; Lö hr, H.; Alida Filippi, A.; Driever, W. Dopaminergic and Noradrenergic Circuit Development in Zebrafish. Dev. Neurobiol. 2012, 72, 256–268. [Google Scholar] [CrossRef] [PubMed]
- Chen, J.; Xiao, Y.; Gai, Z.; Li, R.; Zhu, Z.; Bai, C.; Tanguay, R.L.; Xu, X.; Huang, C.; Dong, Q. Reproductive toxicity of low level bisphenol A exposures in a two-generation zebrafish assay: Evidence of male-specific effects. Aquat. Toxicol. 2015, 169, 204–214. [Google Scholar] [CrossRef]
- Tamschick, S.; Rozenblut-Kościsty, B.; Ogielska, M.; Lehmann, A.; Hoffmann, P.F.; Lutz, I.; Schneider, R.J.; Kloas, W.; Stöck, M. Impaired gonadal and somatic development corroborate vulnerability differences to the synthetic estrogen ethinylestradiol among deeply diverged anuran lineages. Aquat. Toxicol. 2016, 177, 503–514. [Google Scholar] [CrossRef]
- Forner-Piquer, I.; Santangeli, S.; Maradonna, F.; Verde, R.; Piscitelli, F.; di Marzo, V.; Habibi, H.R.; Carnevali, O. Role of Bisphenol A on the Endocannabinoid System at central and peripheral levels: Effects on adult female zebrafish. Chemosphere 2018, 205, 118–125. [Google Scholar] [CrossRef]
- Honma, T.; Miyagawa, M.; Suda, M.; Wang, R.S.; Kobayashi, K.; Sekiguchi, S. Effects of perinatal exposure to bisphenol A on brain neurotransmitters in female rat offspring. Ind. Health. 2006, 44, 510–524. [Google Scholar] [CrossRef][Green Version]
- Matsuda, S.; Matsuzawa, D.; Ishii, D.; Tomizawa, H.; Sutoh, C.; Nakazawa, K.; Amano, K.; Sajiki, J.; Shimizu, E. Effects of perinatal exposure to low dose of bisphenol A on anxiety like behavior and dopamine metabolites in brain. Prog. Neuropsychopharmacol. Biol. Psychiat. 2012, 39, 273–279. [Google Scholar]
- Elsworth, J.D.; Jentsch, J.D.; Vandevoort, C.A.; Roth, R.H.; Redmond, D.E.; Leranth, C., Jr. Prenatal exposure to bisphenol A impacts midbrain dopamine neurons and hippocampal spine synapses in non-human primates. Neurotoxicology 2013, 35, 113–120. [Google Scholar] [CrossRef]
- Castro, B.; Sanchez, P.; Miranda, M.T.; Torres, J.M.; Ortega, E. Identification of dopamine- and serotonin-related genes modulated by bisphenol A in the prefrontal cortex of male rats. Chemosphere 2015, 139, 235–239. [Google Scholar] [CrossRef] [PubMed]
- Chen, F.; Zhou, L.; Bai, Y.; Zhou, R.; Chen, L. Hypothalamic-pituitary-adrenal axis hyperactivity accounts for anxiety- and depression-like behaviors in rats perinatally exposed to bisphenol A. J. Biomed. Res. 2015, 29, 250–258. [Google Scholar] [PubMed]
- Canonicolau, J.; Vaillant, C.; Pellegrini, E.; Charlier, T.D.; Kah, O.P. Coumailleau Estrogenic Effects of Several BPA Analogs in the Developing Zebrafish Brain. Front. Neurosci. 2016, 10, 112. [Google Scholar]
- Drobná, Z.; Henriksen, A.D.; Wolstenholme, J.T.; Montiel, C.; Rissman, E.F.; Lambeth, P.S.; Shang, S.; Harris, E.P.; Zhou, C.; Flaws, J.A.; et al. Transgenerational effects of bisphenol a on gene expression and dna methylation of imprinted genes in brain. Endocrinology 2017, 159, 132–144. [Google Scholar] [CrossRef] [PubMed]
- Wang, X.K.; Michaelis, E.K. Selective neuronal vulnerability to oxidative stress in the brain. Front. Aging Neurosci. 2010, 30, 12. [Google Scholar] [CrossRef]
- Mehwish, F.; Parvez, L.K. Oxidative stress and histopathologic biomarkers of exposure to bisphenol-a in the freshwater fish, ctenopharyngodon idella. Braz. J. Pharm. Sci. 2018, 53, e17003. [Google Scholar]
- Gassman, N.R. Induction of oxidative stress by bisphenol A and its pleiotropic effects. Environ. Mol. Mutagen. 2017, 58, 60–71. [Google Scholar] [CrossRef]
- Liu, Z.W.; Zhou, T.; Ziegler, A.C.; Dimitrion, P.; Zuo, L. Oxidative Stress in Neurodegenerative Diseases: From Molecular Mechanisms to Clinical Applications. Oxid. Med. Cell. Longev. 2017, 2017, 2525967. [Google Scholar] [CrossRef]
- Hassan, Z.K.; Elobeid, M.A.; Virk, P.; Omer, S.A.; ElAmin, M.; Daghestani, M.H.; AlOlayan, E.M. Bisphenol A induces hepatotoxicity through oxidative stress in rat model. Oxid. Med. Cell. Longev. 2012, 2012, 194829. [Google Scholar] [CrossRef]
- Lv, Y.; Lu, S.; Dai, Y.; Rui, C.; Wang, Y.; Zhou, Y.; Li, Y.; Pang, Q.; Fan, R. Higher dermal exposure of cashiers to BPA and its association with DNA oxidative damage. Environ. Int. 2017, 98, 69–74. [Google Scholar] [CrossRef]
- Li, S.; Jin, Y.; Zhao, H.; Jiang, Y.; Cai, Z. Evaluation of bisphenol A exposure induced oxidative RNA damage by liquid chromatography-mass spectrometry. Chemosphere 2019, 222, 235–242. [Google Scholar] [CrossRef] [PubMed]
- Traub, O.; Berk, B.C. Laminar shear stress: mechanisms by which endothelial cells transduce an atheroprotective force. Arterioscler. Thromb. Vasc. Biol. 1988, 18, 677–685. [Google Scholar] [CrossRef] [PubMed]
- Gimbrone, M.A.; Topper, J.N., Jr.; Nagel, T.; Anderson, K.R.; Garcia-Cardena, G. Endothelial dysfunction, hemodynamic forces, and atherogenesis. Ann. N. Y. Acad. Sci. 2000, 902, 230–239. [Google Scholar] [CrossRef] [PubMed]
- Cheng, C.; Tempel, D.; van Haperen, R.; van der Baan, A.; Grosveld, F.; Daemen, M.J.; Krams, R.; de Crom, R. Atherosclerotic lesion size and vulnerability are determined by patterns of fluid shear stress. Circulation 2006, 113, 2744–2753. [Google Scholar] [CrossRef] [PubMed]
- Nigro, P.; Abe, J.; Berk, B.C. Flow shear stress and atherosclerosis: a matter of site specificity. Antioxid. Redox. Signal. 2011, 15, 1405–1414. [Google Scholar] [CrossRef] [PubMed]
- Chien, S. Mechanotransduction and endothelial cell homeostasis: the wisdom of the cell. Am. J. Physiol. Heart. Circ. Physiol. 2007, 292, 1209–1224. [Google Scholar] [CrossRef]
- Davies, P.F.; Civelek, M.; Fang, Y.; Fleming, I. The atherosusceptible endothelium: endothelial phenotypes in complex haemodynamic shear stress regions in vivo. Cardiovasc. Res. 2013, 99, 315–327. [Google Scholar] [CrossRef]
- Nam, D.; Ni, C.W.; Rezvan, A.; Suo, J.; Budzyn, K.; Llanos, A.; Harrison, D.; Giddens, D.; Jo, H. Partial carotid ligation is a model of acutely induced disturbed flow, leading to rapid endothelial dysfunction and atherosclerosis. Am. J. Physiol. Heart. Circ. Physiol. 2009, 297, 1535–1543. [Google Scholar] [CrossRef]
- Zhou, J.; Li, Y.S.; Chien, S. Shear stress-initiated signaling and its regulation of endothelial function. Arterioscler. Thromb. Vasc. Biol. 2014, 34, 2191–2198. [Google Scholar] [CrossRef]
- Li, L.; Tatake, R.J.; Natarajan, K.; Taba, Y.; Garin, G.; Tai, C.; Leung, E.; Surapisitchat, J.; Yoshizumi, M.; Yan, C.; et al. Fluid shear stress inhibits TNF-mediated JNK activation via MEK5-BMK1 in endothelial cells. Biochem. Biophys. Res. Commun. 2008, 370, 159–163. [Google Scholar] [CrossRef][Green Version]
- Grabherr, M.G.; Haas, B.J.; Yassour, M.; Levin, J.Z.; Thompson, D.A.; Amit, I.; Adiconis, X.; Fan, L.; Raychowdhury, R.; Zeng, Q.; et al. Full-length transcriptome assembly from RNA-Seq data without a reference genome. Nat. Biotechnol. 2011, 29, 644–652. [Google Scholar] [CrossRef] [PubMed]
- Pertea, G.; Huang, X.; Liang, F.; Antonescu, V.; Sultana, R.; Karamycheva, S.; Lee, Y.; White, J.; Cheung, F.; Parvizi, B.; et al. TIGR Gene Indices clustering tools (TGICL): a software system for fast clustering of large EST datasets. Bioinformatics 2003, 19, 651–652. [Google Scholar] [CrossRef] [PubMed]
- Love, M.I.; Huber, W.; Anders, S. Moderated estimation of fold change and dispersion for RNA-seq data with DESeq2. Genome. Biol. 2014, 15, 550. [Google Scholar] [CrossRef] [PubMed]
- Benjamini, Y.; Hochberg, Y. Controlling the false discovery rate: a practical and powerful approach to multiple testing. J. R. Stat. Soc. 1995, 57, 289–300. [Google Scholar] [CrossRef]
- Young, M.D.; Wakefield, M.J.; Smyth, G.K.; Alicia, O. Gene ontology analysis for RNA-seq: Accounting for selection bias. Genome. Biol. 2010, 11, R14. [Google Scholar] [CrossRef]
- Mao, X.; Cai, T.; Olyarchuk, J.G.; Wei, L. Automated genome annotation and pathway identification using the KEGG Orthology (KO) as a controlled vocabulary. Bioinformatics 2005, 21, 3787–3793. [Google Scholar] [CrossRef]
- Livak, K.J.; Schmittgen, T.D. Analysis of relative gene expression data using realtime quantitative PCR and the 2(-Delta Delta C(T)) method. Methods 2001, 25, 402–408. [Google Scholar] [CrossRef]
- Wang, Q.; Liu, Y.; Peng, C.; Wang, X.; Xiao, L.; Wang, D.D.; Chen, J.X.; Zhang, H.H.; Zhao, H.F.; Li, S.S.; et al. Molecular regulation of sex change induced by methyltestosterone -feeding and methyltestosterone–feeding withdrawal in the protogynous orange-spotted grouper. Biol. Reprod. 2017, 97, 324–333. [Google Scholar] [CrossRef]







| Sample | Areas | ||||
|---|---|---|---|---|---|
| 1 | 2 | 3 | 4 | 5 | |
| CG | 3.52 ± 0.07 µm * | 3.73 ± 0.07 µm * | 0.89 ± 0.03 µm | 0.81 ± 0.03 µm | 0.92 ± 0.02 µm * |
| TG | 2.31 ± 0.04 µm | 2.54 ± 0.05 µm | 0.71 ± 0.02 µm | 0.62 ± 0.01 µm | 0.67 ± 0.02 µm |
© 2019 by the authors. Licensee MDPI, Basel, Switzerland. This article is an open access article distributed under the terms and conditions of the Creative Commons Attribution (CC BY) license (http://creativecommons.org/licenses/by/4.0/).
Share and Cite
Wang, Q.; Lin, F.; He, Q.; Liu, X.; Xiao, S.; Zheng, L.; Yang, H.; Zhao, H. Assessment of the Effects of Bisphenol A on Dopamine Synthesis and Blood Vessels in the Goldfish Brain. Int. J. Mol. Sci. 2019, 20, 6206. https://doi.org/10.3390/ijms20246206
Wang Q, Lin F, He Q, Liu X, Xiao S, Zheng L, Yang H, Zhao H. Assessment of the Effects of Bisphenol A on Dopamine Synthesis and Blood Vessels in the Goldfish Brain. International Journal of Molecular Sciences. 2019; 20(24):6206. https://doi.org/10.3390/ijms20246206
Chicago/Turabian StyleWang, Qing, Fangmei Lin, Qi He, Xiaochun Liu, Shiqiang Xiao, Leyun Zheng, Huirong Yang, and Huihong Zhao. 2019. "Assessment of the Effects of Bisphenol A on Dopamine Synthesis and Blood Vessels in the Goldfish Brain" International Journal of Molecular Sciences 20, no. 24: 6206. https://doi.org/10.3390/ijms20246206
APA StyleWang, Q., Lin, F., He, Q., Liu, X., Xiao, S., Zheng, L., Yang, H., & Zhao, H. (2019). Assessment of the Effects of Bisphenol A on Dopamine Synthesis and Blood Vessels in the Goldfish Brain. International Journal of Molecular Sciences, 20(24), 6206. https://doi.org/10.3390/ijms20246206
