Identification of Novel PI3Kδ Selective Inhibitors by SVM-Based Multistage Virtual Screening and Molecular Dynamics Simulations
Abstract
1. Introduction
2. Results and Discussion
2.1. Establishment and Evaluation of the SVM Model
2.2. Validation and Evaluation of the PLIF Pharmacophore Model
2.3. Determining Docking Parameters and Validation
2.4. Validation and Evaluation of the Performance of the Multistage Virtual Screening Method
2.5. Virtual Screening Using the Multistage Virtual Screening Method for Obtaining the PI3Kδ Inhibitors from the NCI Database
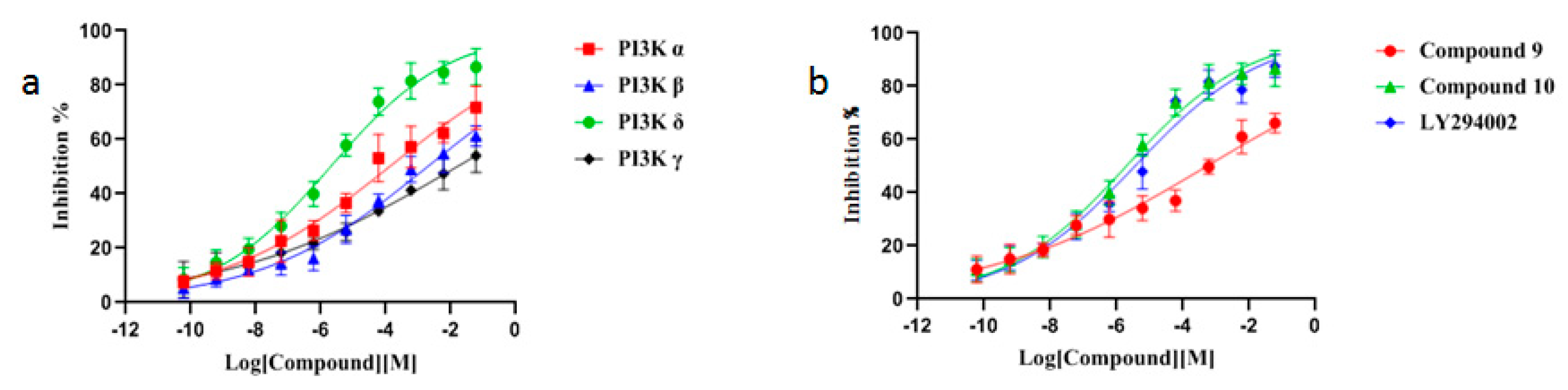
2.6. The PI3Kδ Inhibition Activity of the 15 Hit Compounds
2.7. Validation and Comparison of the Binding Stability between the Screened Compounds and the PI3Kδ Receptor Protein
2.8. The PI3Kδ Inhibition Activity of Compounds 9 and 10
3. Materials and Methods
3.1. Compound Collection and Dataset Construction
3.2. SVM Modeling
3.3. Pharmacophore Modeling
3.4. Molecular Docking Study
3.5. Molecular Dynamics
3.6. Cell Free Detection of PI3Kδ Kinase Activity
4. Conclusions
Supplementary Materials
Author Contributions
Funding
Conflicts of Interest
References
- Osaki, M.; Oshimura, M.; Ito, H. PI3K-Akt pathway: Its functions and alterations in human cancer. Apoptosis 2004, 9, 667–676. [Google Scholar] [CrossRef] [PubMed]
- Yuan, T.L.; Cantley, L.C. PI3K pathway alterations in cancer: Variations on a theme. Oncogene 2008, 27, 5497–5510. [Google Scholar] [CrossRef] [PubMed]
- Johnson, A.J. Phosphatidylinositol 3-kinase-d inhibitor CAL-101 shows promising preclinical activity in chronic lymphocytic leukemia by antagonizing intrinsic and extrinsic cellular survival signals. Blood 2010, 116, 2078. [Google Scholar]
- Wei, M.; Wang, X.; Song, Z.; Jiao, M.; Ding, J.; Ling, H.M. Targeting PI3Kδ: Emerging Therapy for Chronic Lymphocytic Leukemia and Beyond. Med. Res. Rev. 2015, 35, 720–752. [Google Scholar] [CrossRef] [PubMed]
- Li, S.; Dong, J.; Zhang, Q.; Wang, Z.; Huang, G. Recent advances in the development of indazole based anti-cancer agents. Chemmedchem 2018, 15, 1490–1507. [Google Scholar]
- Wan, Y.; Zhuo, S.; Wei, H.; Tang, Z. Indazoles derivatives: Promising anti-tumor agents. Anti-Cancer Agents Med. Chem. 2018, 18, 1228–1234. [Google Scholar] [CrossRef] [PubMed]
- Damour, D.; Carry, J.; Nemecek, P.; Terrier, C.; Nardi, F.; Filoche, B. Indazoles Substituted with An Anti-Cancerous Activity. CA Patent 2478540A1, 7 March 2004. [Google Scholar]
- Lannutti, B.J.; Meadows, S.A.; Herman, S.E.M.; Kashishian, A.; Steiner, B.; Johnson, A.J. Cal-101, a p110delta selective phosphatidylinositol-3-kinase inhibitor for the treatment of b-cell malignancies, inhibits pi3k signaling and cellular viability. Blood 2011, 117, 591–594. [Google Scholar] [CrossRef] [PubMed]
- Jacob, L.; Vert, J.P. Protein-ligand interaction prediction: An improved chemogenomics approach. Bioinformatics 2008, 24, 2149–2156. [Google Scholar] [CrossRef] [PubMed]
- Verdonk, M.L.; Berdini, V.; Hartshorn, M.J.; Mooij, W.T.M.; Murray, C.W.; Talyor, R.D. Virtual screening using protein-ligand docking: Avoiding artificial enrichment. J. Chem. Inf. Comput. Sci. 2004, 44, 793–806. [Google Scholar] [CrossRef] [PubMed]
- Wei, Y.; Li, J.; Chen, Z. Multistage virtual screening and identification of novel HIV-1 protease inhibitors by integrating SVM, shape, pharmacophore and docking methods. Eur. J. Med. Chem. 2015, 101, 409–418. [Google Scholar] [CrossRef] [PubMed]
- Wei, D.; Zheng, H.; Su, N.; Deng, M.; Lai, L. Binding energy landscape analysis helps to discriminate true hits from high-scoring decoys in virtual screening. J. Chem. Inf. Model. 2010, 50, 1855–1864. [Google Scholar] [CrossRef] [PubMed]
- Vilar, S.; Cozza, G.; Moro, S. Medicinal chemistry and the molecular operating environment (MOE): Application of QSAR and molecular docking to drug discovery. Curr. Top. Med. Chem. 2008, 8, 1555–1572. [Google Scholar] [CrossRef] [PubMed]
- Chang, C.; Lin, C. LIBSVM: A library for support vector machines. ACM Trans. Intell. Syst. Technol. 2011, 2, 1–27. [Google Scholar] [CrossRef]
- Kitchen, D.B.; Decornez, H.J.R.; Bajorath, J. Docking and scoring in virtual screening for drug discovery: Methods and applications. Nat. Rev. Drug Discov. 2004, 3, 935–949. [Google Scholar] [CrossRef] [PubMed]
- Humphrey, W.; Dalke, A.; Schulten, K. VMD: Visual molecular dynamics. J. Mol. Graph. 1996, 14, 33–38. [Google Scholar] [CrossRef]
- Farrokhnia, M.; Mahnam, K. Molecular dynamics and docking investigations of several zoanthamine-type marine alkaloids as matrix metaloproteinase-1 inhibitors. Iran. J. Pharm. Res. 2017, 16, 173–186. [Google Scholar] [PubMed]
- Payne, M.C.; Arias, T.A.; Joannopoulos, J.D. Iterative minimization techniques for ab initio total-energy calculations: Molecular dynamics and conjugate gradients. Rev. Mod. Phys. 1992, 64, 1045–1097. [Google Scholar] [CrossRef]








| Descriptor Class | Descriptors | Number |
|---|---|---|
| Physical Properties | radius, density, diameter | 3 |
| Subdivided Surface Areas | SMR_VSA1,SMR_VSA2,SMR_VSA3, SlogP_VSA3,SlogP_VSA5,SlogP_VSA7,SlogP_VSA9,SlogP | 8 |
| Atom Counts and Bond Counts | a_IC, lip_don, b_rotN, b_double | 4 |
| Kier and Hall Connectivity and Kappa Shape Indices | chi1, KierA2, KierA3 | 3 |
| Adjacency and Distance Matrix Descriptors | BCUT_SLOGP_1, BCUT_SMR_1, GCUT_SMR_0, VDistMa | 4 |
| Pharmacophore Feature Descriptors | vsa_don | 1 |
| Partial Charge Descriptors | PEOE_VSA-2, PEOE_VSA_PPOS, PEOE_VSA_NEG, Q_PC+, PEOE_VSA_FPOS, Q_VSA_PPOS, Q_VSA_FPPOS, Q_RPC-,PC+ | 9 |
| Surface Area, Volume, and Shape Descriptors | opr_violation, zagreb | 2 |
| Method | Positive | Negative | |||||
|---|---|---|---|---|---|---|---|
| Tenfold cross-validation Independent test | TP | FN | SE (%) | TN | FP | SP | Q (%) |
| 466 | 11 | 97.7 | 8509 | 103 | 98.8 | 98.7 | |
| 42 | 8 | 84 | 47 | 3 | 94 | 89 | |
| Pharmacophore Models | TP | FP | Yield (%) | Hit Rate (%) |
|---|---|---|---|---|
| 1 | 389 | 2411 | 81.5 | 9.74 |
| 2 | 428 | 1755 | 89.7 | 11.6 |
| 3 | 371 | 2127 | 77.7 | 8.21 |
| Method | Predicted Positive | Hits | Hit Rate (%) | Enrichment Factor | Yield (%) | Time (h) |
|---|---|---|---|---|---|---|
| SVM | 1949 | 142 | 11.1 | 48.50 | 81.1 | 0.25 |
| Pharmacophore | 23,265 | 107 | 1.02 | 4.68 | 88.0 | 7 |
| Docking | 17,501 | 137 | 1.61 | 6.87 | 73.7 | 362.23 |
| SVM-Pharmacophore | 1949/779 | 142/298 | 27.7 | 118.32 | 80.4 | 0.93 |
| SVM-Pharmacophore-Docking | 1949/779/346 | 142/298/277 | 75.1 | 301.66 | 70.9 | 1.72 |
| NCI Number | PI3Kδ IC50 (μM) | Molecular Docking Score |
|---|---|---|
| 11256 | − | −3.0550 |
| 14317 | 28.14 | 2.6691 |
| 108600 | − | −4.4181 |
| 39951 | 522.47 | −3.2204 |
| 34758 | 481.02 | 1.1669 |
| 80756 | 192.24 | −2.0794 |
| 25679 | 289.01 | −2.4986 |
| 88977 | − | 3.3571 |
| 80144 | 809.21 | 4.3935 |
| 73075 | 247.58 | −5.6527 |
| 57442 | 500.29 | −4.9110 |
| 88969 | − | −2.2508 |
| 109638 | 169.18 | −3.4637 |
| 720662 (Compound 9) | 72.18 | 2.8963 |
| 720749 (Compound 10) | 18.93 | −4.8226 |
| Compound | PI3K IC50 (μM) | |||
|---|---|---|---|---|
| α | β | δ | γ | |
| LY294002 | 0.74 | 1.53 | 3.49 | 3.51 |
| Compound 10 | 75.01 | 187.60 | 18.93 | 226.3 |
© 2019 by the authors. Licensee MDPI, Basel, Switzerland. This article is an open access article distributed under the terms and conditions of the Creative Commons Attribution (CC BY) license (http://creativecommons.org/licenses/by/4.0/).
Share and Cite
Liang, J.-w.; Wang, S.; Wang, M.-y.; Li, S.-l.; Li, W.-q.; Meng, F.-h. Identification of Novel PI3Kδ Selective Inhibitors by SVM-Based Multistage Virtual Screening and Molecular Dynamics Simulations. Int. J. Mol. Sci. 2019, 20, 6000. https://doi.org/10.3390/ijms20236000
Liang J-w, Wang S, Wang M-y, Li S-l, Li W-q, Meng F-h. Identification of Novel PI3Kδ Selective Inhibitors by SVM-Based Multistage Virtual Screening and Molecular Dynamics Simulations. International Journal of Molecular Sciences. 2019; 20(23):6000. https://doi.org/10.3390/ijms20236000
Chicago/Turabian StyleLiang, Jing-wei, Shan Wang, Ming-yang Wang, Shi-long Li, Wan-qiu Li, and Fan-hao Meng. 2019. "Identification of Novel PI3Kδ Selective Inhibitors by SVM-Based Multistage Virtual Screening and Molecular Dynamics Simulations" International Journal of Molecular Sciences 20, no. 23: 6000. https://doi.org/10.3390/ijms20236000
APA StyleLiang, J.-w., Wang, S., Wang, M.-y., Li, S.-l., Li, W.-q., & Meng, F.-h. (2019). Identification of Novel PI3Kδ Selective Inhibitors by SVM-Based Multistage Virtual Screening and Molecular Dynamics Simulations. International Journal of Molecular Sciences, 20(23), 6000. https://doi.org/10.3390/ijms20236000

