Plasma Metabolic Profiling Analysis of Gout Party on Acute Gout Arthritis Rats Based on UHPLC–Q–TOF/MS Combined with Multivariate Statistical Analysis
Abstract
1. Introduction
2. Results
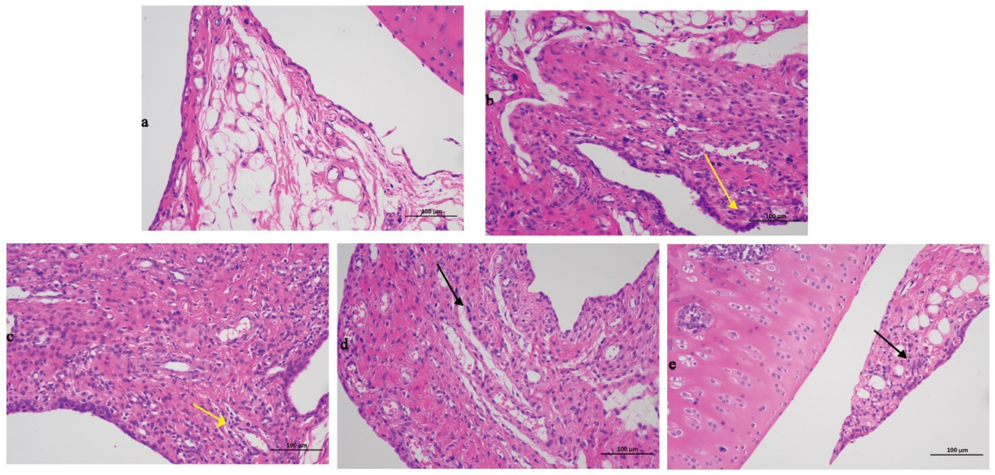
2.1. Histopathological Evaluation
2.2. Determination of IL-1β and IL-6 in Plasma.
2.3. Chemical Characterization of Gout Party
2.4. Multivariate Data Analysis
2.5. Optimization via ROC Curve Analysis
3. Discussion
3.1. Amino Acid Metabolism
3.2. Fatty Acid Metabolism
3.3. Bile Acid Metabolism
3.4. Energy Metabolism
4. Materials and Methods
4.1. Reagents and Materials
4.2. Extraction of Gout Party
4.3. Animals and Experimental Method
4.4. Sample Collection and Preparation
4.5. Metabolomic Analysis
5. Conclusions
Supplementary Materials
Author Contributions
Funding
Acknowledgments
Conflicts of Interest
Abbreviations
| GA | Gouty arthritis |
| AGA | Acute gouty arthritis |
| UPLC–Q–TOF/MS | Ultra-high-performance liquid chromatography–tandem quadrupole/time-of-flight mass spectrometry |
| PCA | Principal component analysis |
| PLS-DA | partial least square discrimination analysis |
| SUCs | Sodium urate crystals |
| SUA | Serum uric acid |
| TCM | Traditional Chinese medicine |
| ELISA | Enzyme–linked immunosorbent assay |
| QC | Quality control |
| BPI | base peak intensity |
| ROC | receiver operating characteristic |
| PCS | p–cresol sulfate |
| GPH | Gout Party high–dose group |
| GPL | Gout Party low–dose group |
| VIP | Variable importance in projection |
References
- Neogi, T. Clinical practice. Gout. Ann. Inter. Med. 2016, 165, ITC1–ITC16. [Google Scholar] [CrossRef] [PubMed]
- Choi, H.K.; Mount, D.B.; Reginato, A.M. Pathogenesis of gout. Ann. Intern. Med. 2005, 143, 499–516. [Google Scholar] [CrossRef] [PubMed]
- Priyanka, C.; Edward, R.; Lorna, C.; Jane, R.; Hider, S.L.; Mallen, C.D. Health-related quality of life in gout: A systematic review. Rheumatology 2013, 52, 2031–2040. [Google Scholar]
- Reginato, A.M.; Mount, D.B.; Yang, I.; Choi, H.K. The genetics of hyperuricaemia and gout. Nat. Rev. Rheumatol. 2012, 8, 610–621. [Google Scholar] [CrossRef]
- Campion, E.W.; Glynn, R.J.; Delabry, L.O. Asymptomatic hyperuricemia. Risks and consequences in the Normative Aging Study. Am. J. Med. 1987, 82, 421–426. [Google Scholar] [CrossRef]
- Annemans, L.; Spaepen, E.; Gaski, M.; Bonnemaire, M.; Malier, V.; Gilbert, T.; Nuki, G. Gout in the UK and Germany: Prevalence, comorbidities and management in general practice 2000–2005. Ann. Rheumatol. Dis. 2008, 67, 960–966. [Google Scholar] [CrossRef]
- Yu, Y.; Yang, J.; Fu, S.; Xue, Y.; Liang, M.; Xuan, D.; Zhu, X.; Wan, W.; Lv, L.; Zou, H. Leptin Promotes Monosodium Urate Crystal–Induced Inflammation in Human and Murine Models of Gout. J. Immunol. 2019, 202, 2728–2736. [Google Scholar] [CrossRef]
- Bardin, T.; Richette, P. Impact of comorbidities on gout and hyperuricaemia: An update on prevalence and treatment options. BMC Med. 2017, 15, 123. [Google Scholar] [CrossRef]
- Puig, J.G.; Martínez, M.A. Hyperuricemia, gout and the metabolic syndrome. Curr. Opin. Rheumatol. 2008, 20, 187–191. [Google Scholar] [CrossRef]
- Soltani, Z.; Rasheed, K.; Kapusta, D.R.; Reisin, E. Potential role of uric acid in metabolic syndrome, hypertension, kidney injury, and cardiovascular diseases: Is it time for reappraisal? Curr. Hypertens. Rep. 2013, 15, 175–181. [Google Scholar] [CrossRef]
- Zhu, T.; Pandya, B.J.; Choi, H.K. Prevalence of gout and hyperuricemia in the US general population: The National Health and Nutrition Examination Survey 2007–2008. Arthritis Rheumatol. 2011, 63, 3136–3141. [Google Scholar] [CrossRef]
- Chou, C.T.; Kuo, S.C. The anti–inflammatory and anti–hyperuricemic effects of Chinese herbal formula dang–gui–nian–tong–tang on acute gouty arthritis: A comparative study with indomethacin and allopurinol. Am. J. Chin. Med. 1995, 23, 261–271. [Google Scholar] [CrossRef]
- Kong, L.D.; Yang, C.; Ge, F.; Wang, H.D.; Guo, Y.S. A Chinese herbal medicine Ermiao wan reduces serum uric acid level and inhibits liver xanthine dehydrogenase and xanthine oxidase in mice. J. Ethnopharmacol. 2004, 93, 325–330. [Google Scholar] [CrossRef] [PubMed]
- Chen, J.; Zhou, J.; Wei, S.S.; Xie, Z.J.; Wen, C.P.; Xu, G.W. Effect of a traditional Chinese medicine prescription Quzhuotongbi decoction on hyperuricemia model rats studied by using serum metabolomics based on gas chromatography–mass spectrometry. J. Chromatogr. A B 2016, 1026, 272–278. [Google Scholar] [CrossRef]
- Hamburger, M.; Baraf, H.S.; Adamson, T.C.; Basile, J.; Bass, L.; Cole, B.; Doghramji, P.P.; Guadagnoli, G.A.; Hamburger, F.; Harford, R.; et al. 2011 recommendations for the diagnosis and management of gout and hyperuricemia. Physiol. Sportsmed. 2011, 39, 98–123. [Google Scholar] [CrossRef] [PubMed]
- Feng, D.; Ling, W.H.; Duan, R.D. Lycopene suppresses LPS–induced NO and IL–6 production by inhibiting the activation of ERK, p38MAPK, and NF–kappaB in macrophages. Inflamm. Res. 2010, 59, 115–121. [Google Scholar] [CrossRef] [PubMed]
- Li, Y.; Ju, L.; Hou, Z.; Deng, H.; Zhang, Z.; Wang, L.; Yang, Z.; Yin, J.; Zhang, Y. Screening, verification, and optimization of biomarkers for early prediction of cardiotoxicity based on metabolomics. J. Proteome Res. 2015, 14, 2437–3445. [Google Scholar] [CrossRef] [PubMed]
- Ratnasekhar, C.; Sonane, M.; Satish, A.; Mudiam, M.K. Metabolomics reveals the perturbations in the metabolome of Caenorhabditis elegans exposed to titanium dioxide nanoparticles. Nanotoxicology 2015, 9, 994–1004. [Google Scholar] [CrossRef]
- Chan, G.H.; Ho, E.N.; Leung, D.K.; Wong, K.S.; Wan, T.S. Targeted metabolomics approach to detect the misuse of steroidal aromatase inhibitors in equine sports by biomarkers profiling. Anal. Chem. 2015, 88, 764–772. [Google Scholar] [CrossRef]
- Shi, J.; Cao, B.; Wang, X.W.; Aa, J.Y.; Duan, J.A.; Zhu, X.X.; Wang, G.J.; Liu, C.X. Metabolomics and its application to the evaluation of the efficacy and toxicity of traditional Chinese herb medicines. J. Chromatogr. B Anal. Technol. Biomed. Life Sci. 2016, 1026, 204–216. [Google Scholar] [CrossRef]
- Goodpaster, A.M.; Ramadas, E.H.; Kennedy, M.A. Potential effect of diaper and cotton ball contamination on NMR–and LC/MS–based metabonomics studies of urine from newborn babies. Anal. Chem. 2011, 83, 896–902. [Google Scholar] [CrossRef]
- Wang, Q.; Song, P.; Zou, M.H. Tryptophan–kynurenine pathway is dysregulated in inflammation, and immune activation. Front. Biosci. (LandmarkEd) 2015, 20, 1116–1143. [Google Scholar]
- Miyagi, Y.; Higashiyama, M.; Gochi, A.; Akaike, M.; Ishikawa, T.; Miura, T.; Saruki, N.; Bando, E.; Kimura, H.; Imamura, F.; et al. Plasma free amino acid profiling of five types of cancer patients and its application for early detection. PLoS ONE 2011, 6, e24143. [Google Scholar] [CrossRef] [PubMed]
- Mahbub, N.; Yamaguchi, H.; Takahashi, R.; Hase, H.; Amano, M.; Kobayashi–Miura, H.; Kanda, Y.; Fujita, H.; Yamamoto, M.; Yamamoto, S.; et al. Alteration in plasma free amino acid levels and its association with gout. Environ. Health Prev. Med. 2017, 22, 7. [Google Scholar] [CrossRef]
- Chizynski, K.; Rozycka, M. [Hyperuricemia]. Pol. Merkur Lek. 2005, 19, 693–696. [Google Scholar]
- Quirke, A.M.; Fisher, B.A.; Kinloch, A.J.; Venables, P.J. Citrullination of autoantigens: Upstream of TNFα in the pathogenesis of rheumatoid arthritis. FEBS Lett. 2011, 585, 3681–3688. [Google Scholar] [CrossRef] [PubMed]
- Ding, X.; Yang, Z.; Han, Y.; Yu, H. Correlation of long-chain fatty acid oxidation with oxidative stress and inflammation in pre-eclampsia-like mouse models. Placenta 2015, 36, 1442–1449. [Google Scholar] [CrossRef] [PubMed]
- Schroecksnadel, K.; Winkler, C.; Duftner, C.; Wirleitner, B.; Schirmer, M.; Fuchs, D.I. Tryptophan degradation increases with stage in patients with rheumatoid arthritis. Clin. Rheumatol. 2016, 25, 334–337. [Google Scholar] [CrossRef]
- Kaspar, R.L.; Gehrke, L. Peripheral blood mononuclear cells stimulated with C5a or lipopolysaccharide to synthesize equivalent levels of IL-1 beta mRNA show unequal IL-1 beta protein accumulation but similar polyribosome profiles. J. Immunol. 1994, 153, 277–286. [Google Scholar]
- Joosten, L.A.; Netea, M.G.; Mylona, E.; Koenders, M.I.; Malireddi, R.K.; Oosting, M.; Stienstra, R.; Veerdonk, F.L.; Stalenhoef, A.F.; Giamarellos–Bourboulis, J.; et al. Engagement of fatty acids with Toll-like receptor 2 drives interleukin-1β production via the ASC/caspase 1 pathway in monosodium urate monohydrate crystal-induced gouty arthritis. Arthritis Rheumatol. 2010, 62, 3237–3248. [Google Scholar] [CrossRef]
- Fritsche, K. Fatty acids as modulators of the immune response. Ann. Rev. Nutr. 2006, 26, 45–73. [Google Scholar] [CrossRef] [PubMed]
- Miles, E.A.; Calder, P.C. Inflfluence of marine n-3 polyunsaturated fatty acids on immune function and a systematic review of their effects on clinical outcomes in rheumatoid arthritis. Br. J. Nutr. 2012, 107, S171–S184. [Google Scholar] [CrossRef] [PubMed]
- Jalal, D.I.; Maahs, D.M.; Hovind, P.; Nakagawa, T. Uric acid as a mediator of diabetic nephropathy. Semin. Nephrol. 2011, 31, 459–465. [Google Scholar] [CrossRef] [PubMed]
- Kabarowski, J.H.; Zhu, K.; Le, L.Q.; Witte, O.N.; Xu, Y. Lysophosphatidylcholine as a ligand for the immunoregulatory receptor G2A. Science 2001, 293, 702–705. [Google Scholar] [CrossRef]
- Peretó, J.; López–García, P.; Moreira, D. Ancestral lipid biosynthesis and early membrane evolution. Trends Biochem. Sci. 2004, 29, 469–477. [Google Scholar] [CrossRef]
- Mylona, E.E.; Mouktaroudi, M.; Crisan, T.O.; Makri, S.; Pistiki, A.; Georgitsi, M.; Savva, A.; Netea, M.G.; Meer, J.W.; Giamarellos–Bourboulis, E.J.; et al. Enhanced interleukin–1β production of PBMCs from patients with gout after stimulation with Toll–like receptor–2 ligands and urate crystals. Arthritis Res. Ther. 2012, 14, R158. [Google Scholar] [CrossRef]
- Bombelli, M.; Quarti–Trevano, F.; Tadic, M.; Facchetti, R.; Cuspidi, C.; Mancia, G.; Grassi, G. Uric acid and risk of new–onset metabolic syndrome, impaired fasting glucose and diabetes mellitus in a general Italian population: Data from the Pressioni Arteriose Monitorate E Loro Associazioni study. J. Hypertens. 2018, 36, 1492–1498. [Google Scholar] [CrossRef]
- Zhang, Y.N.; Zhang, H.; Chang, D.; Guo, F.; Pan, H.; Yang, Y. Metabolomics approach by 1H NMR spectroscopy of serum reveals progression axes for asymptomatic hyperuricemia and gout. Arthritis Res. Ther. 2018, 20, 111. [Google Scholar] [CrossRef]
- Proot, J.L.; Vicente, F.; Sheahan, D.E. Analysis of lactate concentration in canine synovial fluid. Vet. Comp. Orthop. Traumatol. 2015, 28, 301–305. [Google Scholar]
- Jiang, M.; Chen, T.; Feng, H.; Li, L.; Zhao, A.; Niu, X.; Liang, F.; Wang, M.; Zhan, J.; Lu, C.; et al. Serum metabolic signatures of four types of human arthritis. J. Proteome Res. 2013, 12, 3769–3779. [Google Scholar] [CrossRef]
- Enomoto, A.; Kimura, H.; Chairoungdua, A.; Shigeta, Y.; Jutabha, P.; Cha, S.H.; Hosoyamada, M.; Takeda, M.; Sekine, V.; Igarashi, T.; et al. Molecular identification of a renal urate–anion exchanger that regulates blood urate levels. Nature 2002, 417, 447–452. [Google Scholar] [CrossRef] [PubMed]
- Eraly, S.A.; Vallon, V.; Rieg, T.; Gangoiti, J.A.; Wikoff, W.R.; Siuzdak, G.; Barshop, B.A.; Nigam, S.K. Multiple organic anion transporters contribute to net renal excretion of uric acid. Physiol. Genom. 2008, 33, 180–192. [Google Scholar] [CrossRef] [PubMed]
- Cook, D.G.; Shaper, A.G.; Thelle, D.S.; Whitehead, T.P. Serum uric acid, serum glucose and diabetes: Relationships in a population study. Postgrad. Med. J. 1986, 62, 1001–1006. [Google Scholar] [CrossRef]
- Ouyang, H.; Hou, K.; Peng, W.; Liu, Z.; Deng, H. Antioxidant and Xanthine Oxidase Inhibitory Activities of Total Polyphenols from Onion. Saudi J. Biol. Sci. 2018, 25, 1509–1513. [Google Scholar] [CrossRef]
- Ferreira Antunes, M.; Eggimann, F.K.; Kittelmann, M.; Lütz, S.; Hanlon, S.P.; Wirz, B.; Bachler, T.; Winkler, M. Human xanthine oxidase recombinant in E. coli: A whole cell catalyst for preparative drug metabolite synthesis. J. Biotechnol. 2016, 235, 3–10. [Google Scholar]
- Sun, C.Y.; Chang, S.C.; Wu, M.S. Suppression of Klotho expression by protein–bound uremic toxins is associated with increased DNA methyltransferase expression and DNA hypermethylation. Kidney Int. 2012, 81, 640–650. [Google Scholar] [CrossRef]
- Tsai, M.L.; Hsieh, I.C.; Hung, C.C.; Chen, C.C. Serum free indoxyl sulfate associated with in–stent restenosis after coronary artery stentings. Cardiovasc. Toxicol. 2015, 15, 52–60. [Google Scholar] [CrossRef]
- Kurktschiey, D.T.; Temeldova–kurktschiev, T.; Horn, K.; Schentke, K. Successful immunodulating in AIDS patients with ursodeoxycholic acid apilotstudy. Clin. Exp. Immunol. 1999, 115, 144–146. [Google Scholar] [CrossRef]
- Coderre, T.J.; Wall, P.D. Ankle joint urate arthritis in rats provides a useful tool for the evaluation of analgesic and anti–arthritic agents. Pharmaeol. Bioehem. Behav. 1988, 29, 461–466. [Google Scholar] [CrossRef]
- Coderre, T.J.; Wall, P.D. Ankle joint urate arthritis (AJUA) in rats: An alternative animal model of arthritis to that produced by Freund’s adjuvant. Pain 1987, 28, 379–393. [Google Scholar] [CrossRef]







| Experiment Name | RSD (Peak Area) | RSD (Retention Time) |
|---|---|---|
| Instrument precision | <14.3% | <1.0% |
| Method repeatability | <13.7% | <1.0% |
| Sample stability | <14.8% | <1.0% |
| No. | tR (min) | m/z Obsd | m/z Calcd | Fromula | Identification | Parention | MS/MS |
|---|---|---|---|---|---|---|---|
| 1 | 5.19 | 461.1674 | 461.1659 | C20H30O12 | Decaffeoyl-verbascoside | [M–H]− | 161.04;135.04 |
| 2 | 5.86 | 486.2701 | 486.2703 | C24H39NO9 | Mesaconine | [M+H]+ | 468.25;454.24 |
| 3 | 6.17 | 387.1321 | 387.1291 | C17H24O10 | Genipin | [M–H]− | 225.07 |
| 4 | 6.64 | 454.2778 | 454.2805 | C24H39NO7 | Fuziline | [M+H]+ | 436.28;404.28 |
| 5 | 6.86 | 358.2365 | 358.2382 | C22H31NO3 | Songorine | [M+H]+ | 340.23 |
| 6 | 7.33 | 500.2831 | 500.286 | C25H41NO9 | Aconine | [M+H]+ | 482.27;468.25 |
| 7 | 8.03 | 523.1666 | 523.1663 | C21H32O15 | Miltide | [M–H]− | 463.14;343.10 |
| 8 | 8.58 | 470.2725 | 470.2754 | C24H39NO8 | Hypaconine | [M+H]+ | 438.24;406.22 |
| 9 | 8.76 | 454.2769 | 454.2805 | C24H39NO7 | Delectinine | [M+H]+ | 436.26;404.24 |
| 10 | 9.26 | 438.2823 | 438.2856 | C24H39NO6 | Neoline | [M+H]+ | 420.27;388.24 |
| 11 | 9.64 | 468.2935 | 468.2961 | C25H41NO7 | Browniine | [M+H]+ | 450.28;436.26 |
| 12 | 9.94 | 468.2935 | 468.2961 | C25H41NO7 | Lycoctonine | [M+H]+ | 362.29; 393.30 |
| 13 | 10.59 | 422.2890 | 422.2906 | C24H39NO5 | Talatizamine | [M+H]+ | 390.26;372.25 |
| 14 | 12.07 | 452.3019 | 452.3012 | C25H41NO6 | Chasmanine | [M+H]+ | 420.27;388.24 |
| 15 | 14.26 | 606.2914 | 606.2914 | C31H43NO11 | 10-OH-Benzoylmesaco-nine | [M+H]+ | 588.27;574.26;556.25 |
| 16 | 15.99 | 623.1956 | 623.1976 | C29H36O15 | Acteoside | [M–H]− | 461.16 161.02 |
| 17 | 17.44 | 576.2809 | 576.2809 | C30H41NO10 | Unknown | [M+H]+ | 558.27;544.25;526.24 |
| 18 | 19.01 | 544.2915 | 544.2910 | C30H41NO8 | Gadenine | [M+H]+ | 512.26;494.25;484.23 |
| 19 | 21.12 | 604.3154 | 604.3122 | C32H45NO10 | Benzoylaconitine | [M+H]+ | 588.31 |
| 20 | 22.26 | 572.2848 | 572.2860 | C31H41NO9 | Pyromesaconitine | [M+H]+ | 554.27;540.25;522.24 |
| 21 | 22.35 | 574.3044 | 574.3016 | C31H43NO9 | BenzoylhypaconineS | [M+H]+ | 542.27;510.24 |
| 22 | 22.59 | 516.2947 | 516.2961 | C29H41NO7 | Unknown | [M+H]+ | 442.25;414.26 |
| 23 | 23.31 | 616.3135 | 616.3122 | C33H45NO10 | Pyrojesaconitine | [M+H]+ | 598.30;584.28;566.27 |
| 24 | 23.78 | 558.3096 | 558.3067 | C31H43NO8 | Deoxybenzoylhypaconitine | [M+H]+ | 526.27;508.27 |
| 25 | 23.88 | 648.3031 | 648.3020 | C33H45NO12 | Beiwutine | [M+H]+ | 588.29 |
| 26 | 24.95 | 556.2905 | 556.2910 | C31H41NO8 | Pyrohypaconitine | [M+H]+ | 524.26;492.23 |
| 27 | 25.25 | 586.3019 | 586.3016 | C32H43NO9 | Pyroaconitine | [M+H]+ | 568.29;554.27;472.21 |
| 28 | 25.64 | 632.3107 | 632.3071 | C33H45NO11 | 16-O-demethylaconitine | [M+H]+ | 572.28;540.25;508.22 |
| 29 | 25.64 | 632.3107 | 632.3071 | C33H45NO11 | Mesaconitine | [M+H]+ | 572.30;540.30 |
| 30 | 27.00 | 570.3082 | 570.3067 | C32H43NO8 | Pyrodeoxyaconitine | [M+H]+ | 538.27;506.25;478.22 |
| 31 | 27.11 | 616.3145 | 616.3122 | C33H45NO10 | HypaconitineS | [M+H]+ | 584.28;556.28;524.26 |
| 32 | 27.66 | 628.3131 | 628.3122 | C34H45NO10 | Anhydroaconitine | [M+H]+ | 568.28;536.26;508.26 |
| 33 | 28.33 | 700.2738 | 700.2758 | C39H41NO11 | Trifoliolasine E | [M+H]+ | 640.25;578.23 |
| 34 | 28.55 | 630.3281 | 630.3278 | C34H47NO10 | Deoxyaconitine | [M+H]+ | 598.30;570.30;538.27 |
| 35 | 28.74 | 505.3532 | 505.3529 | C30H48O6 | 16-Oxo-alisol A | [M+H]+ | 505.33;487.34 |
| 36 | 29.32 | 529.3539 | 529.3529 | C32H48O6 | Alisol C-23-acetate | [M+H]+ | 551.33;511.34 |
| 37 | 30.92 | 455.3502 | 455.3525 | C30H46O3 | Alisol I | [M+H]+ | 477.33;543.33 |
| 38 | 31.67 | 487.3411 | 487.3423 | C30H46O5 | Alisol C | [M+H]+ | 509.33;469.32 |
| 39 | 31.71 | 489.3563 | 489.3580 | C30H48O5 | Alisol F | [M+H]+ | 511.33;471.34 |
| 40 | 32.51 | 471.3463 | 471.3474 | C30H46O4 | Alisol H | [M+H]+ | 493.32;453.33 |
| 41 | 33.98 | 515.3711 | 515.3736 | C32H50O5 | Alisol B-23-acetate | [M+H]+ | 537.35;497.35 |
| No. | tR(min) | m/z Obsd | m/z Calcd | MS/MS | PPM | Metabolites | Formula | Content Variance | |||
|---|---|---|---|---|---|---|---|---|---|---|---|
| Model | High | Low | Control | ||||||||
| 1 | 0.79 | 101.0234 | 101.0239 | 53.00, 83.01 | −4.95 | 2–Ketobutyric acid | C4H6O3 | ↓** | ↑ | ↑ | ↑ |
| 2 | 0.79 | 143.0344 | 143.0344 | 59.01 81.03 | 0.00 | 3–Hexenedioic acid | C6H8O4 | ↓** | ↑ | ↑ | ↑ |
| 3 | 0.79 | 85.0288 | 85.0290 | 67.01 68.99 | –2.35 | But–2–enoic acid | C4H6O2 | ↓** | ↓ | ↑ | ↑ |
| 4 | 0.81 | 174.0878 | 174.0879 | 100.08 112.09 | −0.57 | Argininic acid | C6H13N3O3 | ↓** | ↑ | ↓ | ↑ |
| 5 | 0.81 | 195.0487 | 195.0505 | 89.02 | −9.23 | Galactonic acid | C6H12O7 | ↓** | ↑ | ↑ | ↑ |
| 6 | 0.84 | 88.0394 | 88.0399 | 88.04 | −5.68 | Alanine | C3H7NO2 | ↑** | ↑ | ↓ | ↑ |
| 7 | 0.91 | 119.0342 | 119.0344 | 87.01 89.02 101.02 | −1.68 | Erythrulose | C4H8O4 | ↑* | ↓ | ↓ | ↓ |
| 8 | 0.92 | 89.0235 | 89.0239 | 71.01 73.00 89.02 | −4.49 | Lactic acid | C3H6O3 | ↓** | ↑ | ↓ | ↑ |
| 9 | 2.36 | 158.0814 | 158.0817 | 59.01 84.99 101.02 | –1.90 | 3–Dehydrocarnitine | C7H13NO3 | ↑** | ↓ | ↑ | ↓ |
| 10 | 2.41 | 192.0658 | 192.0661 | 65.04 74.02 77.04 | −1.56 | m–Methylhippuric acid | C10H11NO3 | ↑* | ↑ | ↑# | ↑ |
| 11 | 2.52 | 417.1171 | 417.1186 | 103.04 121.03 | −3.60 | Equol 4’–O–glucuronide | C21H22O9 | ↓** | ↓ | ↑## | ↓ |
| 12 | 2.88 | 159.1016 | 159.1021 | 59.01 71.03 87.01 | −3.14 | 3–Hydroxyoctanoic acid | C8H16O3 | ↑* | ↑ | ↑ | ↑ |
| 13 | 2.95 | 187.0059 | 187.0065 | 51.02 75.02 77.04 | −3.21 | p–Cresol sulfate | C7H8O4S | ↑* | ↓ | ↑# | ↑ |
| 14 | 3.08 | 448.3050 | 448.3063 | 74.02 116.04 | −2.90 | Deoxycholic acid glycine conjugate | C26H43NO5 | ↓* | ↓ | ↓## | ↓## |
| 15 | 3.09 | 465.3028 | 465.3039 | 116.04 373.27 | −2.36 | Glycocholic acid | C27H46O4S | ↓** | ↓ | ↑# | ↑# |
| 16 | 4.78 | 380.2552 | 380.2566 | 78.96 96.97 | −3.68 | Sphinganine 1–phosphate | C18H40NO5P | ↓** | ↓ | ↓ | ↓## |
| 17 | 5.69 | 502.2945 | 502.2934 | 78.96 140.01 153.00 | 2.19 | LPE (0:0/20:3) | C25H46NO7P | ↓** | ↑ | ↑ | ↑ |
| 18 | 5.76 | 452.2775 | 452.2777 | 98.99 140.01 196.04 | –0.44 | LPE (0:0/16:0) | C21H44NO7P | ↓* | ↑ | ↓ | ↑ |
| 19 | 7.04 | 480.3089 | 480.3090 | 78.96 196.04 265.25 | −0.21 | LPC (15:0) | C23H48NO7P | ↓** | ↑ | ↓# | ↑## |
| 20 | 7.75 | 543.1513 | 543.1536 | 59.01 87.01 89.02 | −4.24 | Estriol 3–sulfate 16–glucuronide | C24H32O12S | ↑* | ↓ | ↑ | ↑ |
| 21 | 7.76 | 395.2190 | 395.2199 | 62.96 96.97 113.13 | −2.28 | 10–Hydroxy–9–(phosphonooxy)octadecanoate | C18H37O7P | ↑** | ↓ | ↑ | ↑ |
| 22 | 7.76 | 327.2320 | 327.2324 | 127.08 161.13 163.15 | –1.22 | Docosahexaenoic acid | C22H32O2 | ↑** | ↓ | ↓ | ↑ |
| Groups | Administration | Dosage | Mode of Administration | Time | N |
|---|---|---|---|---|---|
| Blank | Saline | 15 mL/kg | Gavage | 7 days | 6 |
| Model | Saline | 15 mL/kg | Gavage | 7 days | 6 |
| Control | Colchicine | 0.8 mg/kg | Gavage | 7 days | 6 |
| GPH | Gout Party | 20 g/kg | Gavage | 7 days | 6 |
| GPL | Gout Party | 1 0g/kg | Gavage | 7 days | 6 |
| T (min) | Phase A (0.1% Formic Acid in Water) | Phase B (0.1% Formic Acid Inacetonitrile) |
|---|---|---|
| 0 | 99.0 | 1.0 |
| 0.5 | 99.0 | 1.0 |
| 2 | 50.0 | 50.0 |
| 9 | 1.0 | 99.0 |
| 10 | 1.0 | 99.0 |
| 11 | 99.0 | 1.0 |
| 13 | 99.0 | 1.0 |
© 2019 by the authors. Licensee MDPI, Basel, Switzerland. This article is an open access article distributed under the terms and conditions of the Creative Commons Attribution (CC BY) license (http://creativecommons.org/licenses/by/4.0/).
Share and Cite
Wang, Y.; Bi, C.; Pang, W.; Liu, Y.; Yuan, Y.; Zhao, H.; Zhang, T.; Zhao, Y.; Li, Y. Plasma Metabolic Profiling Analysis of Gout Party on Acute Gout Arthritis Rats Based on UHPLC–Q–TOF/MS Combined with Multivariate Statistical Analysis. Int. J. Mol. Sci. 2019, 20, 5753. https://doi.org/10.3390/ijms20225753
Wang Y, Bi C, Pang W, Liu Y, Yuan Y, Zhao H, Zhang T, Zhao Y, Li Y. Plasma Metabolic Profiling Analysis of Gout Party on Acute Gout Arthritis Rats Based on UHPLC–Q–TOF/MS Combined with Multivariate Statistical Analysis. International Journal of Molecular Sciences. 2019; 20(22):5753. https://doi.org/10.3390/ijms20225753
Chicago/Turabian StyleWang, Yuming, Chenghao Bi, Wentao Pang, Yuechen Liu, Yu Yuan, Huan Zhao, Tianpu Zhang, Yungang Zhao, and Yubo Li. 2019. "Plasma Metabolic Profiling Analysis of Gout Party on Acute Gout Arthritis Rats Based on UHPLC–Q–TOF/MS Combined with Multivariate Statistical Analysis" International Journal of Molecular Sciences 20, no. 22: 5753. https://doi.org/10.3390/ijms20225753
APA StyleWang, Y., Bi, C., Pang, W., Liu, Y., Yuan, Y., Zhao, H., Zhang, T., Zhao, Y., & Li, Y. (2019). Plasma Metabolic Profiling Analysis of Gout Party on Acute Gout Arthritis Rats Based on UHPLC–Q–TOF/MS Combined with Multivariate Statistical Analysis. International Journal of Molecular Sciences, 20(22), 5753. https://doi.org/10.3390/ijms20225753

