Effects of Antioxidants in Reducing Accumulation of Fat in Hepatocyte
Abstract
1. Introduction
2. Results
2.1. Induction of Cellular Steatosis in HepG2 Cells
2.2. Reduction in the Intracellular TG Levels and Lipogenesis in OA-Treated Cells after Antioxidant Treatment
2.3. Free Radical Scavenging Effect of Antioxidants on DPPH Radical as Well as ROS Resulted from Cellular Steatosis
2.4. Effects of Antioxidants to Gene Regulation of ER Stress Due to Steatosis
2.5. Nrf2-Related Gene Expression for Cellular Defense Mechanisms against ROS
2.6. Effects of Antioxidants on Cell Apoptosis Resulting from OA-Induced Steatosis
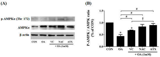
2.7. Effect of Antioxidants on AMPK Phosphorylation Mediating the Cellular Adaptation to Stress Factors Such as Free Radical Accumulation
2.8. Effect of Antioxidants on Transcription Factor and Metabolic Enzymes Related to Hepatic Lipogenesis in OA-Treated Cells
2.9. Changes in Several Genes to Increase FA Oxidation after Antioxidant Treatment
2.10. Reduction in the Gene Expressions of Inflammatory Cytokines as Well as NF-κB Signal after Antioxidant Treatments in OA-Treated Cells
3. Discussion
4. Materials and Methods
4.1. Cell Culture
4.2. Preparation of Antioxidants
4.3. Induction of Steatosis Using Oleic Acid in HepG2 Cells
4.4. Cell Viability of Steatosis-Induced HepG2 Cells
4.5. Oil-Red O Staining to Confirm Steatosis within the Cells (Histological Study)
4.6. Measurement of Triglyceride Concentration in Steatosis-Induced Cells
4.7. DPPH Radical Scavenging Activity
4.8. Detection of ROS in Steatosis-Induced HepG2 Cells Using DCF-DA
4.9. Real-Time Polymerase Chain Reaction (PCR) Analysis of Gene Expressions Regulated in Antioxidant-Treated and Steatosis-Induced HepG2 Cells
4.10. Flow Cytometry Analysis to Determine ER Stress-Related Apoptosis in Steatosis-Induced HepG2 Cells
4.11. Western Blotting
4.12. Immunofluorescence Assay for Intracellular NF-κB Expression
4.13. Statistical Analyses
Supplementary Materials
Author Contributions
Acknowledgments
Conflicts of Interest
References
- Almeda-Valdes, P.; Aguilar-Olivos, N.; Uribe, M.; Méndez-Sánchez, N. Common features of the metabolic syndrome and nonalcoholic fatty liver disease. Rev. Recent Clin. Trials 2014, 9, 148–158. [Google Scholar] [CrossRef] [PubMed]
- Ipsen, D.H.; Tveden-Nyborg, P.; Lykkesfeldt, J. Does vitamin C deficiency promote fatty liver disease development? Nutrients 2014, 6, 5473–5499. [Google Scholar] [CrossRef] [PubMed]
- Abenavoli, L.; Milic, N.; Di Renzo, L.; Preveden, T.; Medić-Stojanoska, M.; De Lorenzo, A. Metabolic aspects of adult patients with nonalcoholic fatty liver disease. World J. Gastroenterol. 2016, 22, 7006–7016. [Google Scholar] [CrossRef] [PubMed]
- Federico, A.; Trappoliere, M.; Loguercio, C. Treatment of patients with non-alcoholic fatty liver disease: Current views and perspectives. Digest. Liver Dis. 2006, 38, 789–801. [Google Scholar] [CrossRef] [PubMed]
- Hamaguchi, M.; Kojima, T.; Ohbora, A.; Takeda, N.; Fukui, M.; Kato, T. Aging is a risk factor of nonalcoholic fatty liver disease in premenopausal women. World J. Gastroenterol. 2012, 18, 237–243. [Google Scholar] [CrossRef] [PubMed]
- Hunter, G.R.; Gower, B.A.; Kane, B.L. Age related shift in visceral fat. Int. J. Body Compos. Res. 2010, 8, 103–108. [Google Scholar] [PubMed]
- Basseri, S.; Austin, R.C. Endoplasmic reticulum stress and lipid metabolism: Mechanisms and therapeutic potential. Biochem. Res. Int. 2012, 2012, 841362. [Google Scholar] [CrossRef] [PubMed]
- Li, J.; Cordero, P.; Nguyen, V.; Oben, J.A. The role of vitamins in the pathogenesis of non-alcoholic fatty liver disease. Integr. Med. Insights 2016, 11, 19–25. [Google Scholar] [CrossRef] [PubMed]
- Chen, G.; Ni, Y.; Nagata, N.; Xu, L.; Ota, T. Micronutrient antioxidants and nonalcoholic fatty liver disease. Int. J. Mol. Sci. 2016, 17, 1379. [Google Scholar] [CrossRef] [PubMed]
- Ali, M.H.H.; Messiha, B.A.S.; Abdel-Latif, H.A.-T. Protective effect of ursodeoxycholic acid, resveratrol, and N-acetylcysteine on nonalcoholic fatty liver disease in rats. Pharm. Biol. 2016, 54, 1198–1208. [Google Scholar] [CrossRef] [PubMed]
- Murillo, A.G.; DiMarco, D.M.; Fernandez, M.L. The potential of non-provitamin a carotenoids for the prevention and treatment of non-alcoholic fatty liver disease. Biology 2016, 5, 42. [Google Scholar] [CrossRef] [PubMed]
- Pashkow, F.J.; Watumull, D.G.; Campbell, C.L. Astaxanthin: A novel potential treatment for oxidative stress and inflammation in cardiovascular disease. Am. J. Cardiol. 2008, 101, 58D–68D. [Google Scholar] [CrossRef] [PubMed]
- Khoshbaten, M.; Aliasgarzadeh, A.; Masnadi, K.; Tarzamani, M.K.; Farhang, S.; Babaei, H.; Kiani, J.; Zaare, M.; Najafipoor, F. N-acetylcysteine improves liver function in patients with non-alcoholic Fatty liver disease. Hepat. Mon. 2010, 10, 12–16. [Google Scholar] [PubMed]
- De Andrade, K.Q.; Moura, F.A.; dos Santos, J.M.; de Araújo, O.R.P.; de Farias Santos, J.C.; Goulart, M.O.F. Oxidative stress and inflammation in hepatic diseases: Therapeutic possibilities of N-acetylcysteine. Int. J. Mol. Sci. 2015, 16, 30269–30308. [Google Scholar] [CrossRef] [PubMed]
- Bae, M.; Park, Y.-K.; Lee, J.-Y. Food components with anti-fibrotic activity and implications in prevention of liver disease. J. Nutr. Biochem. 2017, 55, 11–12. [Google Scholar]
- Tarantino, G.; Saldalamacchia, G.; Conca, P.; Arena, A. Non-alcoholic fatty liver disease: Further expression of the metabolic syndrome. Int. J. Mol. Sci. 2007, 22, 293–303. [Google Scholar] [CrossRef] [PubMed]
- Malhi, H.; Gores, G.J. Molecular mechanisms of lipotoxicity in nonalcoholic fatty liver disease. Semin. Liver Dis. 2008, 28, 360–369. [Google Scholar] [CrossRef] [PubMed]
- Cnop, M.; Foufelle, F.; Velloso, L.A. Endoplasmic reticulum stress, obesity and diabetes. Trends Mol. Med. 2012, 18, 59–68. [Google Scholar] [CrossRef] [PubMed]
- Abenavoli, L.; Milic, N.; Luzza, F.; Boccuto, L.; Lorenzo, A.D. Polyphenols treatment in patients with nonalcoholic fatty liver disease. J. Transl. Int. Med. 2017, 5, 144–147. [Google Scholar] [CrossRef] [PubMed]
- Lam, B.; Younossi, Z.M. Treatment options for nonalcoholic fatty liver disease. Therap. Adv. Gastroenterol. 2010, 3, 121–137. [Google Scholar] [CrossRef] [PubMed]
- Hussein, G.; Nakamura, M.; Zhao, Q.; Iguchi, T.; Goto, H.; Sankawa, U.; Watanabe, H. Antihypertensive and neuroprotective effects of astaxanthin in experimental animals. Biol. Pharm. Bull. 2005, 28, 47–52. [Google Scholar] [CrossRef] [PubMed]
- Ambati, R.R.; Phang, S.-M.; Ravi, S.; Aswathanarayana, R.G. Astaxanthin: Sources, extraction, stability, biological activities and its commercial applications—A review. Mar. Drugs 2014, 12, 128–152. [Google Scholar] [CrossRef] [PubMed]
- Polimeni, L.; Del Ben, M.; Baratta, F.; Perri, L.; Albanese, F.; Pastori, D.; Violi, F.; Angelico, F. Oxidative stress: New insights on the association of non-alcoholic fatty liver disease and atherosclerosis. World J. Hepatol. 2015, 7, 1325–1336. [Google Scholar] [CrossRef] [PubMed]
- Jia, Y.; Kim, J.Y.; Jun, H.J.; Kim, S.J.; Lee, J.H.; Hoang, M.H.; Hwang, K.Y.; Um, S.J.; Chang, H.I.; Lee, S.J. The natural carotenoid astaxanthin, a PPAR-α agonist and PPAR-γ antagonist, reduces hepatic lipid accumulation by rewiring the transcriptome in lipid-loaded hepatocytes. Mol. Nutr. Food Res. 2012, 56, 878–888. [Google Scholar] [CrossRef] [PubMed]
- Chen, J.-T.; Kotani, K. Astaxanthin as a potential protector of liver function: A review. J. Clin. Med. Res. 2016, 8, 701–704. [Google Scholar] [CrossRef] [PubMed]
- Hou, L.; Xie, K.; Qin, M.; Peng, D.; Ma, S.; Shang, L.; Li, N.; Li, S.; Ji, G.; Lu, Y.; et al. Effects of reactive oxygen species scavenger on the protective action of 100% oxygen treatment against sterile inflammation in mice. Shock 2010, 33, 646–654. [Google Scholar] [CrossRef] [PubMed]
- Yan, Y.; Li, J.; Dong, L. ROS correlates intimately with the progression of non-alcoholic fatty liver disease to hepatocarcinoma. Cancer Cell Microenviron. 2015, 2, e1044. [Google Scholar]
- Han, J.; Back, S.H.; Hur, J.; Lin, Y.-H.; Gildersleeve, R.; Shan, J.; Yuan, C.L.; Krokowski, D.; Wang, S.; Hatzoglou, M.; et al. ER-stress-induced transcriptional regulation increases protein synthesis leading to cell death. Nat. Cell Biol. 2013, 15, 481–490. [Google Scholar] [CrossRef] [PubMed]
- Cichoż-Lach, H.; Michalak, A. Oxidative stress as a crucial factor in liver diseases. World J. Gastroenterol. 2014, 20, 8082–8091. [Google Scholar] [CrossRef] [PubMed]
- Zhu, H.; Itoh, K.; Yamamoto, M.; Zweier, J.L.; Li, Y. Role of Nrf2 signaling in regulation of antioxidants and phase 2 enzymes in cardiac fibroblasts: Protection against reactive oxygen and nitrogen species-induced cell injury. FEBS Lett. 2005, 579, 3029–3036. [Google Scholar] [CrossRef] [PubMed]
- Viollet, B.; Foretz, M.; Guigas, B.; Horman, S.; Dentin, R.; Bertrand, L.; Hue, L.; Andreelli, F. Activation of AMP-activated protein kinase in the liver: A new strategy for the management of metabolic hepatic disorders. J. Physiol. 2006, 574, 41–53. [Google Scholar] [CrossRef] [PubMed]
- Chen, Z.; Yu, R.; Xiong, Y.; Du, F.; Zhu, S. A vicious circle between insulin resistance and inflammation in nonalcoholic fatty liver disease. Lipids Health Dis. 2017, 16, 203–211. [Google Scholar] [CrossRef] [PubMed]
- Kim, Y.W.; Kim, Y.M.; Yang, Y.M.; Kim, T.H.; Hwang, S.J.; Lee, J.R.; Kim, S.C.; Kim, S.G. Inhibition of SREBP-1c-mediated hepatic steatosis and oxidative stress by sauchinone, an AMPK-activating lignan in Saururus chinensis. Free Radic. Biol. Med. 2010, 48, 567–578. [Google Scholar] [CrossRef] [PubMed]
- Tessari, P.; Coracina, A.; Cosma, A.; Tiengo, A. Hepatic lipid metabolism and non-alcoholic fatty liver disease. Nutr. Metab. Cardiovasc. Dis. 2009, 19, 291–302. [Google Scholar] [CrossRef] [PubMed]
- Braunersreuther, V.; Viviani, G.L.; Mach, F.; Montecucco, F. Role of cytokines and chemokines in non-alcoholic fatty liver disease. World J. Gastroenterol. 2012, 18, 727–735. [Google Scholar] [CrossRef] [PubMed]
- Cui, W.; Chen, S.L.; Hu, K.-Q. Quantification and mechanisms of oleic acid-induced steatosis in HepG2 cells. Am. J. Transl. Res. 2010, 2, 95–104. [Google Scholar] [PubMed]
- Molyneux, P. The use of the stable free radical diphenylpicrylhydrazyl (DPPH) for estimating antioxidant activity. Songklanakarin J. Sci. Technol. 2004, 26, 211–219. [Google Scholar]










| Gene | Forward Primer (5′-3′) | Reverse Primer (5′-3′) | Accession Number |
|---|---|---|---|
| GRP78 | 5′-CAACTGGGTCATGTGCATCTG-3′ | 5′-CTCACCCCACACACGAGTATC-3′ | NM_005347.4 |
| ATF6 | 5′-TTACCAGCTACCACCCATAAC-3′ | 5′-TCTGCTGATCTCGGAGGTAAG-3′ | NM_007348.3 |
| ATF4 | 5′-GAGATAGGAAGCCAGACTACACTG-3′ | 5′-CTCACCCTTTACTTTTGCTGCTACC-3′ | NM_001675.4 |
| XBP1 | 5′-CAGCTCAGACTGCCAGAGATC-3′ | 5′-CAATACCGCCAGAATCCATGG-3′ | NM_001079539.1 |
| GADD34 | 5′-CTGGCTGGTGGAAGCAGTAA-3′ | 5′-TATGGGGGATTGCCAGAGGA-3′ | NM_014330.3 |
| CHOP | 5′-CGAGCTCTGATTGACCGAATG-3′ | 5′-TGGCACTAGTGAGAGGGTAGT-3′ | NM_001195053.1 |
| Nrf2 | 5′-TGCCCTCACCTGCTACTTTAAG-3′ | 5′-CCACACTGGGACTTGTGTTTAG-3′ | NM_001145412.3 |
| SOD1 | 5′-GCGTGGCCTAGCGAGTTA-3′ | 5′-CCACACCTTCACTGGTCCA-3′ | NM_000454.4 |
| NQO1 | 5′-CCTCTATGCCATGAACTTCAATCC-3′ | 5′-GAACTGGAATATCACAAGGTCTGCG-3′ | NM_000903.2 |
| PPAR-γ | 5′-GTGACTCTGCTCAAGTATGGTGT-3′ | 5′-TGAATCCTTGGCCCTCTGAGATG-3′ | NM_001330615.1 |
| SREBP-1c | 5′-GCAGCCCTGGTCTACCATAA-3′ | 5′-AATGCAGCCGCCACATAGAT-3′ | NM_001005291.2 |
| ACC-α | 5′-CTGCCTGGGTTTGGGGATAA-3′ | 5′-GCACCCTCTTCACCCCTTAA-3′ | NM_198834.2 |
| FAS | 5′-AG CTGCTGTGGAAGGATAAC-3′ | 5′-GCCTTGTCCTGCAGTGTGTAC-3′ | NM_004104.4 |
| SCD-1 | 5′-ACGCTTGTGCCCTGGTATTT-3′ | 5′-TATTCTCCCGGGGGCTAATG-3′ | NM_005063.4 |
| PPAR-α | 5′-CCACCACACTTCCAGAGACC-3′ | 5′-TCTCATCGGAGCTGGAGGAA-3′ | NM_001001928.2 |
| ACO | 5′-GCCATCACGCTCGGCTAATT-3′ | 5′-TGAGGTGGCTTGTGGTTA-3′ | NM_001185039.1 |
| CPT-1 | 5′-AGTCGGTGAGGCCTCTTATG-3′ | 5′-CCTCGTCCTCGGAGGTAG-3′ | NM_001031847.2 |
| NF-κB | 5′-GATGGAACCACACCCCTGCA-3′ | 5′-AGTCATCCAGGTCATAGAGAG-3′ | NM_001165412.1 |
| TNF-a | 5′-CATGTTGTAGCAAACCCTCAAG-3′ | 5′-GAGGACCTGGGAGTAGATGA-3′ | NM_000594.3 |
| IL-1a | 5′-GGCTGCATGGATCAATCTGTG-3′ | 5′-TCTTCAGAACCTTCCCGTTGG-3′ | NM_000575.4 |
| IL-6 | 5′-AACAAATTCGGTACATCCTCGA-3′ | 5′-ACCAGGCAAGTCTCCTCATTG-3′ | NM_000600.4 |
| IL-8 | 5′-GAATTCTCTTGGCTGGCTTCCTTAC-3′ | 5′-GATGTGCTTTTCGTTGGGGAAGATG-3′ | NM_000584.3 |
© 2018 by the authors. Licensee MDPI, Basel, Switzerland. This article is an open access article distributed under the terms and conditions of the Creative Commons Attribution (CC BY) license (http://creativecommons.org/licenses/by/4.0/).
Share and Cite
Yang, J.-P.; Shin, J.-H.; Seo, S.-H.; Kim, S.-G.; Lee, S.H.; Shin, E.-H. Effects of Antioxidants in Reducing Accumulation of Fat in Hepatocyte. Int. J. Mol. Sci. 2018, 19, 2563. https://doi.org/10.3390/ijms19092563
Yang J-P, Shin J-H, Seo S-H, Kim S-G, Lee SH, Shin E-H. Effects of Antioxidants in Reducing Accumulation of Fat in Hepatocyte. International Journal of Molecular Sciences. 2018; 19(9):2563. https://doi.org/10.3390/ijms19092563
Chicago/Turabian StyleYang, Jung-Pyo, Ji-Hun Shin, Seung-Hwan Seo, Sang-Gyun Kim, Sang Hyung Lee, and Eun-Hee Shin. 2018. "Effects of Antioxidants in Reducing Accumulation of Fat in Hepatocyte" International Journal of Molecular Sciences 19, no. 9: 2563. https://doi.org/10.3390/ijms19092563
APA StyleYang, J.-P., Shin, J.-H., Seo, S.-H., Kim, S.-G., Lee, S. H., & Shin, E.-H. (2018). Effects of Antioxidants in Reducing Accumulation of Fat in Hepatocyte. International Journal of Molecular Sciences, 19(9), 2563. https://doi.org/10.3390/ijms19092563

