Up-Regulation of miR-130b-3p Activates the PTEN/PI3K/AKT/NF-κB Pathway to Defense against Mycoplasma gallisepticum (HS Strain) Infection of Chicken
Abstract
1. Introduction
2. Results
2.1. Upon MG Infection, miR-130b-3p Was Up-Regulated Both In Vivo and In Vitro
2.2. miR-130b-3p Promoted Proliferation of MG-Infected DF-1 Cells by Accelerating Cell Cycle Progression
2.3. PTEN Was a Direct Target of miR-130b-3p in DF-1 Cells
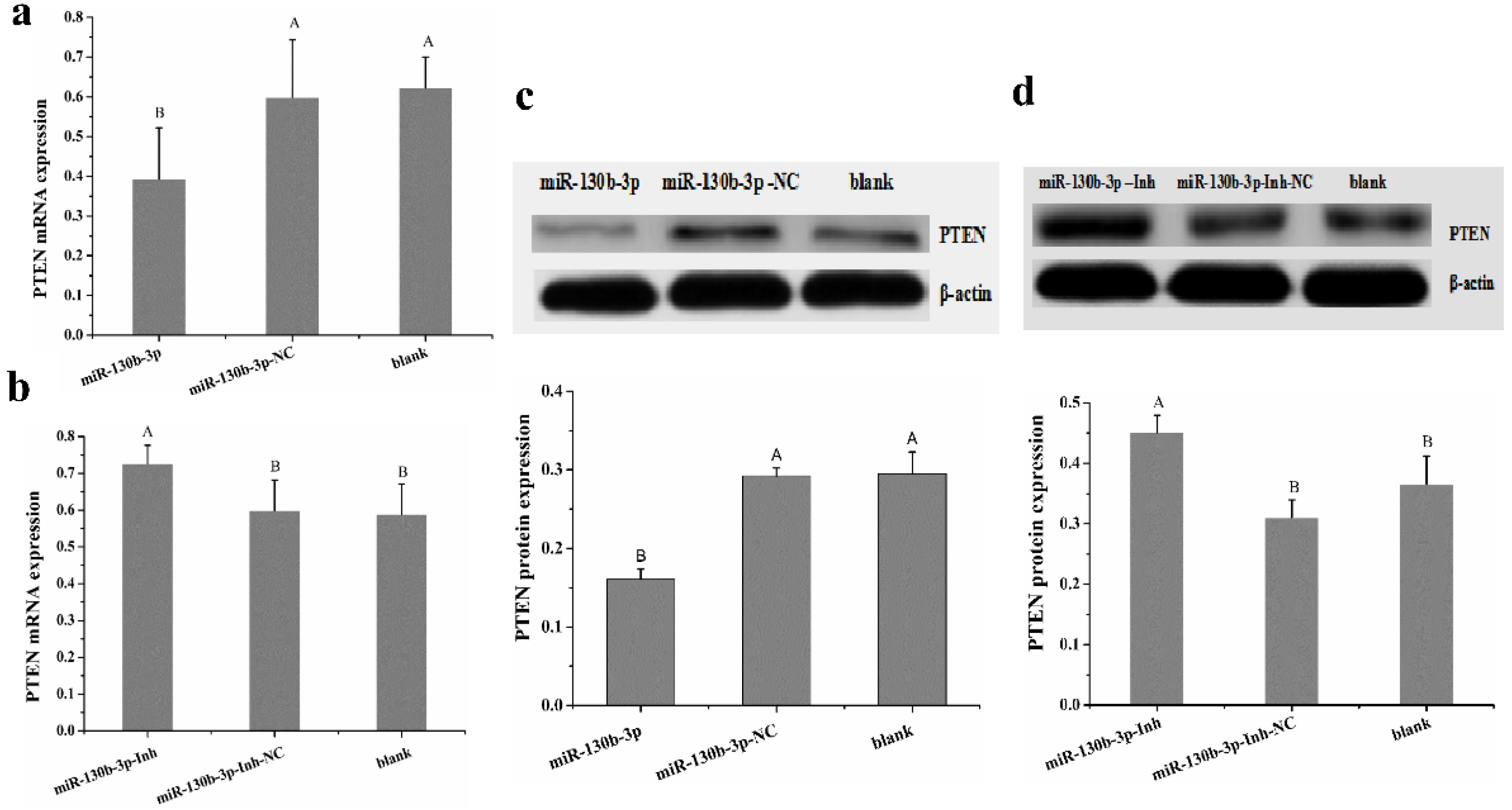
2.4. miR-130b-3p Negatively Regulated PTEN Expression Both In Vivo and In Vitro
2.5. miR-130b-3p Activated the PI3K/AKT/NF-κB Pathway.
3. Discussion
4. Materials and Methods
4.1. Ethics Statement
4.2. Cell Culture
4.3. Mycoplasma Strains and Growth Conditions
4.4. Infection Experiments
4.5. DNA Primers and RNA Oligonucleotides
4.6. Reverse Transcription and Quantitative Real-Time (RT-qPCR) Analysis
4.7. Prediction of miR-130b-3p Target Genes
4.8. Dual-Luciferase Reporter Assay
4.9. Western Blot Analysis
4.10. Cell Proliferation and Cell Cycle Assay
4.11. Statistical Analysis
Author Contributions
Funding
Conflicts of Interest
References
- Razin, S. The minimal cellular genome of Mycoplasma. Indian J. Biochem. Biophys. 1997, 34, 124–130. [Google Scholar] [PubMed]
 - Kutty, P.K.; Jain, S.; Taylor, T.H.; Bramley, A.M.; Diaz, M.H.; Ampofo, K.; Arnold, S.R.; Williams, D.J.; Edwards, K.M.; McCullers, J.A.; et al. Mycoplasma pneumoniae among children hospitalized with community-acquired pneumonia. Clin. Infect. Dis. 2018. [Google Scholar] [CrossRef] [PubMed]
 - Wang, Y.; Wang, Q.; Li, Y.; Chen, Y.; Shao, J.; Nick, N.; Li, C.; Xin, J. Mmm-derived lipid-associated membrane proteins activate il-1beta production through the NF-kappaB pathway via TLR2, MyD88, and IRAK4. Sci. Rep. 2017, 7, 4349. [Google Scholar] [CrossRef] [PubMed]
 - Balish, M.F.; Majumder, S.; Zappulla, F.; Silbart, L.K. Mycoplasma gallisepticum lipid associated membrane proteins up-regulate inflammatory genes in chicken tracheal epithelial cells via TLR-2 ligation through an NF-κB dependent pathway. PLoS ONE 2014, 9, e112796. [Google Scholar]
 - Levisohn, S.; Kleven, S.H. Avian mycoplasmosis (Mycoplasma gallisepticum). Rev. Sci. Tech. 2000, 19, 425–442. [Google Scholar] [CrossRef] [PubMed]
 - Winner, F.; Rosengarten, R.; Citti, C. In vitro cell invasion of Mycoplasma gallisepticum. Infect. Immun. 2000, 68, 4238–4244. [Google Scholar] [CrossRef] [PubMed]
 - Razin, S.; Kahane, I.; Banai, M.; Bredt, W. Adhesion of mycoplasmas to eukaryotic cells. Ciba Found. Symp. 1981, 80, 98–118. [Google Scholar] [PubMed]
 - Razin, S.; Yogev, D.; Naot, Y. Molecular biology and pathogenicity of mycoplasmas. Microbiol. Mol. Biol. Rev. MMBR 1998, 62, 1094–1156. [Google Scholar] [PubMed]
 - Sato, S.; Nonomura, I.; Shimizu, F.; Shoya, S.; Horiuchi, T. Mixed infection with Mycoplasma gallisepticum and the b1 strain of newcastle disease virus in chickens. Natl. Inst. Anim. Health Q. 1970, 10, 58–65. [Google Scholar]
 - Stipkovits, L.; Glavits, R.; Palfi, V.; Beres, A.; Egyed, L.; Denes, B.; Somogyi, M.; Szathmary, S. Pathologic lesions caused by coinfection of Mycoplasma gallisepticum and H3N8 low pathogenic avian influenza virus in chickens. Vet. Pathol. 2012, 49, 273–283. [Google Scholar] [CrossRef] [PubMed]
 - Sid, H.; Benachour, K.; Rautenschlein, S. Co-infection with multiple respiratory pathogens contributes to increased mortality rates in algerian poultry flocks. Avian Dis. 2015, 59, 440–446. [Google Scholar] [CrossRef] [PubMed]
 - Xiao, X.; Zhao, D.H.; Yang, X.; Shi, W.; Deng, H.; Ma, J.; Zhang, S.; Liu, Y.H. Mycoplasma gallisepticum and Escherichia coli mixed infection model in broiler chickens for studying valnemulin pharmacokinetics. J. Vet. Pharmacol. Ther. 2014, 37, 99–102. [Google Scholar] [CrossRef] [PubMed]
 - Bi, D.; Ji, X. The isolation and identification of the Mycoplasma gallisepticum. Acta Vet. Zootech. Sin. 1988, 1, 146–148. [Google Scholar]
 - Bi, D.; Xu, Q. A study on pathogenicity of HS strain of Mycoplasma gallisepticum. Chin. J. Anim. Poult. Infect. Dis. 1997, 5, 24–26. [Google Scholar]
 - Bartel, D.P. Micrornas: Genomics, biogenesis, mechanism, and function. Cell 2004, 116, 281–297. [Google Scholar] [CrossRef]
 - Bartel, D.P. Micrornas: Target recognition and regulatory functions. Cell 2009, 136, 215–233. [Google Scholar] [CrossRef] [PubMed]
 - Ambros, V. The functions of animal micrornas. Nature 2004, 431, 350–355. [Google Scholar] [CrossRef] [PubMed]
 - Kloosterman, W.P.; Plasterk, R.H. The diverse functions of micrornas in animal development and disease. Dev. Cell 2006, 11, 441–450. [Google Scholar] [CrossRef] [PubMed]
 - Li, X.; Lian, L.; Zhang, D.; Qu, L.; Yang, N. Gga-miR-26a targets NEK6 and suppresses marek’s disease lymphoma cell proliferation. Poult. Sci. 2014, 93, 1097–1105. [Google Scholar] [CrossRef] [PubMed]
 - Li, H.; Shang, H.; Shu, D.; Zhang, H.; Ji, J.; Sun, B.; Li, H.; Xie, Q. gga-miR-375 plays a key role in tumorigenesis post subgroup J avian leukosis virus infection. PLoS ONE 2014, 9, e90878. [Google Scholar] [CrossRef] [PubMed]
 - Evan, G.I.; Vousden, K.H. Proliferation, cell cycle and apoptosis in cancer. Nature 2001, 411, 342–348. [Google Scholar] [CrossRef] [PubMed]
 - Chen, Q.; Zhao, X.; Zhang, H.; Yuan, H.; Zhu, M.; Sun, Q.; Lai, X.; Wang, Y.; Huang, J.; Yan, J.; et al. MiR-130b suppresses prostate cancer metastasis through down-regulation of MMP2. Mol. Carcinog. 2015, 54, 1292–1300. [Google Scholar] [CrossRef] [PubMed]
 - Yu, T.; Cao, R.; Li, S.; Fu, M.; Ren, L.; Chen, W.; Zhu, H.; Zhan, Q.; Shi, R. MiR-130b plays an oncogenic role by repressing PTEN expression in esophageal squamous cell carcinoma cells. BMC Cancer 2015, 15, 29. [Google Scholar] [CrossRef] [PubMed]
 - Miao, Y.; Zheng, W.; Li, N.; Su, Z.; Zhao, L.; Zhou, H.; Jia, L. MicroRNA-130b targets PTEN to mediate drug resistance and proliferation of breast cancer cells via the PI3K/Akt signaling pathway. Sci. Rep. 2017, 7, 41942. [Google Scholar] [CrossRef] [PubMed]
 - Wang, P.; Zhang, X.; Li, F.; Yuan, K.; Li, M.; Zhang, J.; Li, B.; Liang, W. MiR-130b attenuates vascular inflammation via negatively regulating tumor progression locus 2 (Tpl2) expression. Int. Immunopharmacol. 2017, 51, 9–16. [Google Scholar] [CrossRef] [PubMed]
 - Zhou, D.; Zhang, L.; Sun, W.; Guan, W.; Lin, Q.; Ren, W.; Zhang, J.; Xu, G. Cytidine monophosphate kinase is inhibited by the TGF-beta signalling pathway through the upregulation of miR-130b-3p in human epithelial ovarian cancer. Cell. Signal. 2017, 35, 197–207. [Google Scholar] [CrossRef] [PubMed]
 - Fu, M.; Wang, B.; Chen, X.; He, Z.; Wang, Y.; Li, X.; Cao, H.; Zheng, S.J. gga-miR-130b suppresses infectious bursal disease virus replication via targeting the viral genome and cellular SOCS5. J. Virol. 2017. [Google Scholar] [CrossRef]
 - Rieger, J.K.; Reutter, S.; Hofmann, U.; Schwab, M.; Zanger, U.M. Inflammation-associated microRNA-130b down-regulates cytochrome p450 activities and directly targets CYP2C9. Drug Metab. Dispos. Biol. Fate Chem. 2015, 43, 884–888. [Google Scholar] [CrossRef] [PubMed]
 - Wang, W.; Mou, S.; Wang, L.; Zhang, M.; Shao, X.; Fang, W.; Lu, R.; Qi, C.; Fan, Z.; Cao, Q.; et al. Up-regulation of serum MiR-130b-3p level is associated with renal damage in early lupus nephritis. Sci. Rep. 2015, 5, 12644. [Google Scholar] [CrossRef] [PubMed]
 - Han, Y.; Ma, J.; Wang, J.; Wang, L. Silencing of H19 inhibits the adipogenesis and inflammation response in ox-LDL-treated Raw264.7 cells by up-regulating miR-130b. Mol. Immunol. 2017, 93, 107–114. [Google Scholar] [CrossRef] [PubMed]
 - Kim, C.; Lee, H.; Cho, Y.M.; Kwon, O.J.; Kim, W.; Lee, E.K. TNFalpha-induced miR-130 resulted in adipocyte dysfunction during obesity-related inflammation. FEBS Lett. 2013, 587, 3853–3858. [Google Scholar] [CrossRef] [PubMed]
 - Zhao, Y.; Hou, Y.; Zhang, K.; Yuan, B.; Peng, X. Identification of differentially expressed miRNAs through high-throughput sequencing in the chicken lung in response to Mycoplasma gallisepticum HS. Comp. Biochem. Physiol. Part D Genom. Proteom. 2017, 22, 146–156. [Google Scholar] [CrossRef] [PubMed]
 - Baker, S.J. Pten enters the nuclear age. Cell 2007, 128, 25–28. [Google Scholar] [CrossRef] [PubMed]
 - Chen, J.; Wang, Z.; Bi, D.; Hou, Y.; Zhao, Y.; Sun, J.; Peng, X. gga-miR-101-3p plays a key role in Mycoplasma gallisepticum (HS strain) infection of chicken. Int. J. Mol. Sci. 2015, 16, 28669–28682. [Google Scholar] [CrossRef] [PubMed]
 - Hu, Q.; Zhao, Y.; Wang, Z.; Hou, Y.; Bi, D.; Sun, J.; Peng, X. Chicken gga-miR-19a targets ZMYND11 and plays an important role in host defense against Mycoplasma gallisepticum (HS strain) infection. Front. Cell. Infect. Microbiol. 2016, 6, 102. [Google Scholar] [CrossRef] [PubMed]
 - Zhao, Y.; Wang, Z.; Hou, Y.; Zhang, K.; Peng, X. gga-miR-99a targets SMARCA5 to regulate Mycoplasma gallisepticum (HS strain) infection by depressing cell proliferation in chicken. Gene 2017, 627, 239–247. [Google Scholar] [CrossRef] [PubMed]
 - Zhao, Y.; Zhang, K.; Zou, M.; Sun, Y.; Peng, X. gga-miR-451 negatively regulates Mycoplasma gallisepticum (HS strain)-induced inflammatory cytokine production via targeting YWHAZ. Int. J. Mol. Sci. 2018, 19, 1191. [Google Scholar] [CrossRef] [PubMed]
 - Li, L.; Gao, F.; Jiang, Y.; Yu, L.; Zhou, Y.; Zheng, H.; Tong, W.; Yang, S.; Xia, T.; Qu, Z.; et al. Cellular miR-130b inhibits replication of porcine reproductive and respiratory syndrome virus in vitro and in vivo. Sci. Rep. 2015, 5, 17010. [Google Scholar] [CrossRef] [PubMed]
 - Paddenberg, R.; Weber, A.; Wulf, S.; Mannherz, H.G. Mycoplasma nucleases able to induce internucleosomal DNA degradation in cultured cells possess many characteristics of eukaryotic apoptotic nucleases. Cell Death Differ. 1998, 5, 517–528. [Google Scholar] [CrossRef] [PubMed]
 - Logunov, D.Y.; Scheblyakov, D.V.; Zubkova, O.V.; Shmarov, M.M.; Rakovskaya, I.V.; Gurova, K.V.; Tararova, N.D.; Burdelya, L.G.; Naroditsky, B.S.; Ginzburg, A.L.; et al. Mycoplasma infection suppresses p53, activates NF-kappaB and cooperates with oncogenic Ras in rodent fibroblast transformation. Oncogene 2008, 27, 4521–4531. [Google Scholar] [CrossRef] [PubMed]
 - Gu, J.J.; Fan, K.C.; Zhang, J.H.; Chen, H.J.; Wang, S.S. Suppression of microRNA-130b inhibits glioma cell proliferation and invasion, and induces apoptosis by PTEN/Akt signaling. Int. J. Mol. Med. 2018, 41, 284–292. [Google Scholar] [CrossRef] [PubMed]
 - Lv, M.; Zhong, Z.; Chi, H.; Huang, M.; Jiang, R.; Chen, J. Genome-wide screen of miRNAs and targeting mRNAs reveals the negatively regulatory effect of miR-130b-3p on PTEN by PI3K and integrin beta1 signaling pathways in bladder carcinoma. Int. J. Mol. Sci. 2016, 18, 78. [Google Scholar] [CrossRef] [PubMed]
 - Gong, X.C.; Xu, Y.Q.; Jiang, Y.; Guan, H.; Liu, H.L. Onco-microRNA miR-130b promoting cell growth in children APL by targeting PTEN. Asian Pac. J. Trop. Med. 2016, 9, 265–268. [Google Scholar] [CrossRef] [PubMed]
 - Di Cristofano, A.; Pandolfi, P.P. The multiple roles of PTEN in tumor suppression. Cell 2000, 100, 387–390. [Google Scholar] [CrossRef]
 - Moon, S.K.; Kim, H.M.; Kim, C.H. PTEN induces G1 cell cycle arrest and inhibits MMP-9 expression via the regulation of NF-kappab and AP-1 in vascular smooth muscle cells. Arch. Biochem. Biophys. 2004, 421, 267–276. [Google Scholar] [CrossRef] [PubMed]
 - Brandmaier, A.; Hou, S.Q.; Shen, W.H. Cell cycle control by PTEN. J. Mol. Biol. 2017, 429, 2265–2277. [Google Scholar] [CrossRef] [PubMed]
 - Stambolic, V.; Suzuki, A.; de la Pompa, J.L.; Brothers, G.M.; Mirtsos, C.; Sasaki, T.; Ruland, J.; Penninger, J.M.; Siderovski, D.P.; Mak, T.W. Negative regulation of PKB/Akt-dependent cell survival by the tumor suppressor PTEN. Cell 1998, 95, 29–39. [Google Scholar] [CrossRef]
 - Hawkins, P.T.; Stephens, L.R. PI3K signalling in inflammation. Biochim. Biophys. Acta 2015, 1851, 882–897. [Google Scholar] [CrossRef] [PubMed]
 - Stark, A.K.; Sriskantharajah, S.; Hessel, E.M.; Okkenhaug, K. PI3K inhibitors in inflammation, autoimmunity and cancer. Curr. Opin. Pharmacol. 2015, 23, 82–91. [Google Scholar] [CrossRef] [PubMed]
 - Khwaja, A. Akt is more than just a bad kinase. Nature 1999, 401, 33–34. [Google Scholar] [CrossRef] [PubMed]
 - Cardone, M.H.; Roy, N.; Stennicke, H.R.; Salvesen, G.S.; Franke, T.F.; Stanbridge, E.; Frisch, S.; Reed, J.C. Regulation of cell death protease caspase-9 by phosphorylation. Science 1998, 282, 1318–1321. [Google Scholar] [CrossRef] [PubMed]
 - Manning, B.D.; Cantley, L.C. Akt/PKB signaling: Navigating downstream. Cell 2007, 129, 1261–1274. [Google Scholar] [CrossRef] [PubMed]
 - Weng, L.P.; Smith, W.M.; Dahia, P.L.; Ziebold, U.; Gil, E.; Lees, J.A.; Eng, C. PTEN suppresses breast cancer cell growth by phosphatase activity-dependent G1 arrest followed by cell death. Cancer Res. 1999, 59, 5808–5814. [Google Scholar] [PubMed]
 - Lu, X.X.; Cao, L.Y.; Chen, X.; Xiao, J.; Zou, Y.; Chen, Q. PTEN inhibits cell proliferation, promotes cell apoptosis, and induces cell cycle arrest via downregulating the PI3K/AKT/hTERT pathway in lung adenocarcinoma A549 cells. BioMed Res. Int. 2016, 2016, 2476842. [Google Scholar] [CrossRef] [PubMed]
 - Lam, K.M. Mycoplasma gallisepticum-induced alterations in chicken red blood cells. Avian Dis. 2003, 47, 485–488. [Google Scholar] [CrossRef]
 - Feng, X.J.; Liu, S.X.; Wu, C.; Kang, P.P.; Liu, Q.J.; Hao, J.; Li, H.B.; Li, F.; Zhang, Y.J.; Fu, X.H.; et al. The PTEN/PI3K/Akt signaling pathway mediates HMGB1-induced cell proliferation by regulating the NF-kappab/cyclin D1 pathway in mouse mesangial cells. Am. J. Physiol. Cell Physiol. 2014, 306, C1119–C1128. [Google Scholar] [CrossRef] [PubMed]
 - Zhao, M.; Zhou, A.; Xu, L.; Zhang, X. The role of TLR4-mediated PTEN/PI3K/Akt/NF-kappaB signaling pathway in neuroinflammation in hippocampal neurons. Neuroscience 2014, 269, 93–101. [Google Scholar] [CrossRef] [PubMed]
 - Shimamura, H.; Terada, Y.; Okado, T.; Tanaka, H.; Inoshita, S.; Sasaki, S. The PI3-kinase-Akt pathway promotes mesangial cell survival and inhibits apoptosis in vitro via NF-kappaB and bad. J. Am. Soc. Nephrol. JASN 2003, 14, 1427–1434. [Google Scholar] [CrossRef] [PubMed]
 - You, X.; Wu, Y.; Zeng, Y.; Deng, Z.; Qiu, H.; Yu, M. Mycoplasma genitalium-derived lipid-associated membrane proteins induce activation of mapks, NF-kappab and AP-1 in THP-1 cells. FEMS Immunol. Med. Microbiol. 2008, 52, 228–236. [Google Scholar] [CrossRef] [PubMed]
 - Wang, Y.; Liu, S.; Li, Y.; Wang, Q.; Shao, J.; Chen, Y.; Xin, J. Mycoplasma bovis-derived lipid-associated membrane proteins activate IL-1beta production through the NF-kappaB pathway via toll-like receptor 2 and MyD88. Dev. Comp. Immunol. 2016, 55, 111–118. [Google Scholar] [CrossRef] [PubMed]
 - Tian, W.; Zhao, C.; Hu, Q.; Sun, J.; Peng, X. Roles of toll-like receptors 2 and 6 in the inflammatory response to Mycoplasma gallisepticum infection in DF-1 cells and in chicken embryos. Dev. Comp. Immunol. 2016, 59, 39–47. [Google Scholar] [CrossRef] [PubMed]
 - Ozes, O.N.; Mayo, L.D.; Gustin, J.A.; Pfeffer, S.R.; Pfeffer, L.M.; Donner, D.B. NF-kappaB activation by tumour necrosis factor requires the Akt serine-threonine kinase. Nature 1999, 401, 82–85. [Google Scholar] [CrossRef] [PubMed]
 - Pianetti, S.; Arsura, M.; Romieu-Mourez, R.; Coffey, R.J.; Sonenshein, G.E. Her-2/neu overexpression induces NF-kappab via a PI3-kinase/Akt pathway involving calpain-mediated degradation of IkappaB-alpha that can be inhibited by the tumor suppressor PTEN. Oncogene 2001, 20, 1287–1299. [Google Scholar] [CrossRef] [PubMed]
 - Zununi Vahed, S.; Barzegari, A.; Rahbar Saadat, Y.; Goreyshi, A.; Omidi, Y. Leuconostoc mesenteroides-derived anticancer pharmaceuticals hinder inflammation and cell survival in colon cancer cells by modulating NF-kappaB/AKT/PTEN/MAPK pathways. Biomed. Pharmacother. 2017, 94, 1094–1100. [Google Scholar] [CrossRef] [PubMed]
 - Gaunson, J.E.; Philip, C.J.; Whithear, K.G.; Browning, G.F. Lymphocytic infiltration in the chicken trachea in response to Mycoplasma gallisepticum infection. Microbiology 2000, 146 Pt 5, 1223–1229. [Google Scholar] [CrossRef] [PubMed]
 - Calus, D.; Maes, D.; Vranckx, K.; Villareal, I.; Pasmans, F.; Haesebrouck, F. Validation of ATP luminometry for rapid and accurate titration of Mycoplasma hyopneumoniae in friis medium and a comparison with the color changing units assay. J. Microbiol. Methods 2010, 83, 335–340. [Google Scholar] [CrossRef] [PubMed]
 







| Name | Primer Sequence (5′-3′) | Accession No. | 
|---|---|---|
| Primers for 3′-UTR Cloning | ||
| PTEN 3′-UTR-F | GAGCAGTAATTCTAGGCGATCGCTCGAGCAATTAGGAACTATAAATATGGCACT | XM-015278701.1 | 
| PTEN 3′-UTR-R | AAACGAATTCCCGGGCTCGAGCTGAGCATTACTTTCCATCCC | XM-015278701.1 | 
| Primers for RT-qPCR | ||
| RT-gga-miR-130b-3p | CTCAACTGGTGTCGTGGAGTCGGCAATTCAGTTGAGTTCAGTTA | MIMAT0001165 | 
| gga-miR-130b-3p-F | CTGGTAGGGTACAGTACTGTGATA | MIMAT0001165 | 
| gga-miR-130b-3p-R | CTGGTGTCGTGGAGTCGGC | MIMAT0001165 | 
| PTEN-F | CCCTTTGAAGACCATAACCCAC | XM-015278701.1 | 
| PTEN-R | TTACACCAGTTCGTCCCT | XM-015278701.1 | 
| PI3K-F | CTTTTCTGACCCGCTGACTTT | XM-015277626.1 | 
| PI3K-R | AATTTCTTACCCACCGCTTC | XM-015277626.1 | 
| AKT-F | AAAACAGAGCGACCAAAGCC | NM-205055.1 | 
| AKT-R | TGTCTGCTACAGCCTGGATTG | NM-205055.1 | 
| NF-κB-F | GCCAGGTTGCCATCGTGT | NM-205129 | 
| NF-κB-R | CGTGCGTTTGCGCTTCTC | NM-205129 | 
| gga-5s-rRNA-F | CCATACCACCCTGGAAACGC | |
| gga-5s-rRNA-R | TACTAACCGAGCCCGACCCT | |
| GAPDH-F | GAGGGTAGTGAAGGCTGCTG | NM-204305 | 
| GAPDH-R | CACAACACGGTTGCTGTATC | NM-204305 | 
| Name | Sequences (5′–3′) | 
|---|---|
| miR-130b-3p mimics | CAGUGCAAUAAUGAAAGGGCGU | 
| GCCCUUUCAUUAUUGCACUGUU | |
| miR-130b-3p NC | UUCUCCGAACGUGUCACGUTT | 
| ACGUGACACGUUCGGAGAATT | |
| miR-130b-3p inhibitor | ACGCCCUUUCAUUAUUGCACUG | 
| miR-130b-3p inhibitor-NC | CAGUACUUUUGUGUAGUACAA | 
© 2018 by the authors. Licensee MDPI, Basel, Switzerland. This article is an open access article distributed under the terms and conditions of the Creative Commons Attribution (CC BY) license (http://creativecommons.org/licenses/by/4.0/).
Share and Cite
Yuan, B.; Zou, M.; Zhao, Y.; Zhang, K.; Sun, Y.; Peng, X. Up-Regulation of miR-130b-3p Activates the PTEN/PI3K/AKT/NF-κB Pathway to Defense against Mycoplasma gallisepticum (HS Strain) Infection of Chicken. Int. J. Mol. Sci. 2018, 19, 2172. https://doi.org/10.3390/ijms19082172
Yuan B, Zou M, Zhao Y, Zhang K, Sun Y, Peng X. Up-Regulation of miR-130b-3p Activates the PTEN/PI3K/AKT/NF-κB Pathway to Defense against Mycoplasma gallisepticum (HS Strain) Infection of Chicken. International Journal of Molecular Sciences. 2018; 19(8):2172. https://doi.org/10.3390/ijms19082172
Chicago/Turabian StyleYuan, Bo, Mengyun Zou, Yabo Zhao, Kang Zhang, Yingfei Sun, and Xiuli Peng. 2018. "Up-Regulation of miR-130b-3p Activates the PTEN/PI3K/AKT/NF-κB Pathway to Defense against Mycoplasma gallisepticum (HS Strain) Infection of Chicken" International Journal of Molecular Sciences 19, no. 8: 2172. https://doi.org/10.3390/ijms19082172
APA StyleYuan, B., Zou, M., Zhao, Y., Zhang, K., Sun, Y., & Peng, X. (2018). Up-Regulation of miR-130b-3p Activates the PTEN/PI3K/AKT/NF-κB Pathway to Defense against Mycoplasma gallisepticum (HS Strain) Infection of Chicken. International Journal of Molecular Sciences, 19(8), 2172. https://doi.org/10.3390/ijms19082172
        