Pharmacokinetic Comparisons of Multiple Triterpenic Acids from Jujubae Fructus Extract Following Oral Delivery in Normal and Acute Liver Injury Rats
Abstract
1. Introduction
2. Results and Discussion
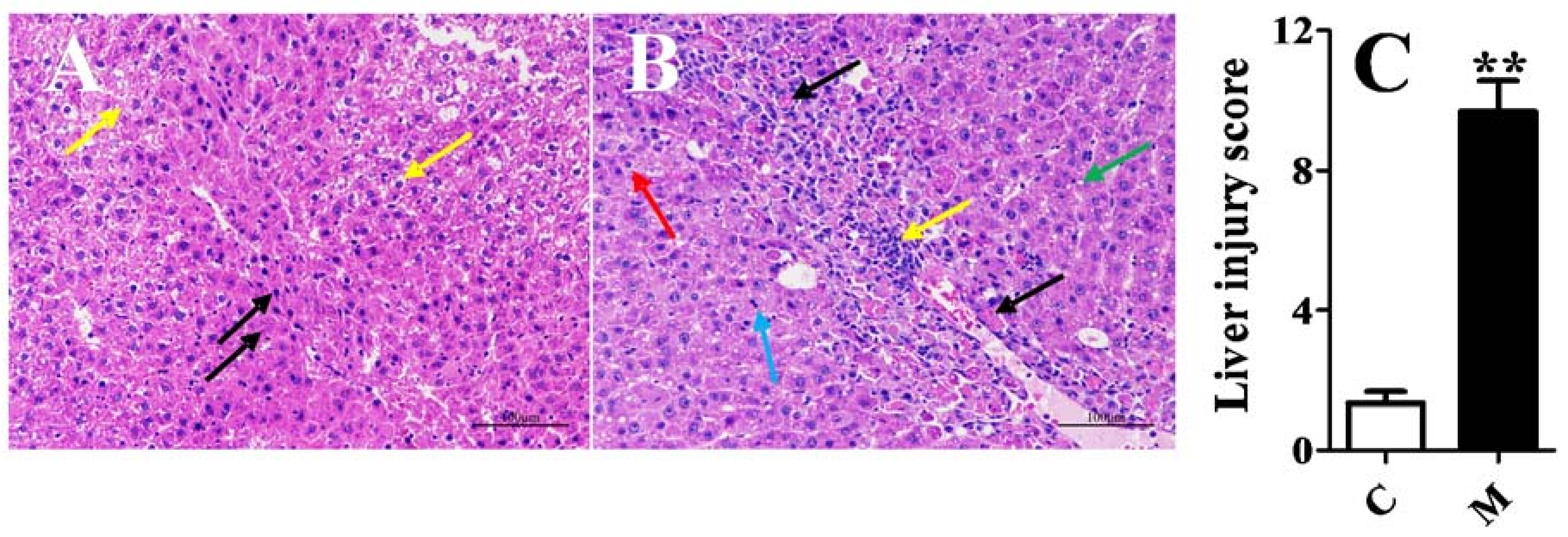
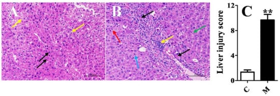
2.1. Validation of the Acute Liver Injury Rats Model
2.2. Method Validation
2.2.1. Selectivity
2.2.2. Linearity and Lower Limit of Quantification (LLOQ)
2.2.3. Precision and Accuracy
2.2.4. Extraction Recovery and Matrix Effect
2.2.5. Stability
2.3. Pharmacokinetic Study
3. Materials and Methods
3.1. Chemicals and Reagents
3.2. Instrumentation and Chromatographic Conditions
3.3. Animals and Induction of Acute Liver Injury
3.4. Sample Preparation
3.5. Preparation of Standard Solutions, Calibration Standards and Quality Control (QC) Samples
3.6. Method Validation
3.6.1. Selectivity
3.6.2. Linearity and LLOQ
3.6.3. Accuracy and Precision
3.6.4. Recovery and Matrix Effect
3.6.5. Stability
3.7. Pharmacokinetic Study in Rat and Statistical Analysis
4. Conclusions
Author Contributions
Funding
Conflicts of Interest
References
- Lam, C.T.W.; Gong, A.G.W.; Lam, K.Y.C.; Zhang, L.M.; Chen, J.-P.; Dong, T.T.X.; Lin, H.-Q.; Tsim, K.W.K. Jujube-containing herbal decoctions induce neuronal differentiation and the expression of anti-oxidant enzymes in cultured PC12 cells. J. Ethnopharmacol. 2016, 188, 275–283. [Google Scholar] [CrossRef] [PubMed]
- Ji, X.; Peng, Q.; Yuan, Y.; Shen, J.; Xie, X.; Wang, M. Isolation, structures and bioactivities of the polysaccharides from jujube fruit (Ziziphus jujuba Mill.): A review. Food Chem. 2017, 227, 349–357. [Google Scholar] [CrossRef] [PubMed]
- Gao, Q.-H.; Wu, C.-S.; Wang, M. The Jujube (Ziziphus Jujuba Mill.) Fruit: A review of current knowledge of Fruit composition and health benefits. J. Agric. Food Chem. 2013, 61, 3351–3363. [Google Scholar] [CrossRef] [PubMed]
- Naftali, T.; Feingelernt, H.; Lesin, Y.; Rauchwarger, A.; Konikoff, F.M. Ziziphus jujuba extract for the treatment of chronic idiopathic constipation: a controlled clinical trial. Digestion 2008, 78, 224–228. [Google Scholar] [CrossRef] [PubMed]
- Yazdanpanah, Z.; Ghadiri-Anari, A.; Mehrjardi, A.V.; Dehghani, A.; Zardini, H.Z.; Nadjarzadeh, A. Effect of Ziziphus jujube fruit infusion on lipid profiles, glycaemic index and antioxidant status in type 2 diabetic patients: a randomized controlled clinical trial. Phytother. Res. 2017, 31, 755–762. [Google Scholar] [CrossRef] [PubMed]
- Shen, X.; Tang, Y.; Yang, R.; Yu, L.; Fang, T.; Duan, J.A. The protective effect of Zizyphus jujube fruit on carbon tetrachloride-induced hepatic injury in mice by anti-oxidative activities. J. Ethnopharmacol. 2009, 122, 555–560. [Google Scholar] [CrossRef] [PubMed]
- Huang, Y.-L.; Yen, G.-C.; Sheu, F.; Chau, C.F. Effects of water-soluble carbohydrate concentrate from Chinese jujube on different intestinal and fecal indices. J. Agric. Food Chem. 2008, 56, 1734–1739. [Google Scholar] [CrossRef] [PubMed]
- Yu, L.; Jiang, B.P.; Luo, D.; Shen, X.C.; Guo, S.; Duan, J.A.; Tang, Y. P. Bioactive components in the fruits of Ziziphus jujuba Mill. against the inflammatory irritant action of Euphorbia plants. Phytomedicine 2012, 19, 239–244. [Google Scholar] [CrossRef] [PubMed]
- Chen, J.; Du, C.Y.; Lam, K.Y.; Zhang, W.L.; Lam, C.T.; Yan, A.L.; Yao, P.; Lau, D.T.; Dong, T.T.; Tsim, K.W. The Standardized extract of Ziziphus jujuba Fruit (Jujube) regulates pro-inflammatory cytokine expression in cultured murine macrophages: suppression of lipopolysaccharide-stimulated NF-κB Activity. Phytother. Res. 2014, 28, 1527–1532. [Google Scholar] [CrossRef] [PubMed]
- Chen, J.; Lam, C.T.; Kong, A.Y.; Zhang, W.L.; Zhan, J.Y.; Bi, C.W.; Chan, G.K.; Lam, K.Y.; Yao, P.; Dong, T.T.; et al. The Extract of Ziziphus jujuba fruit (Jujube) induces expression of erythropoietin via hypoxia-inducible factor-1 alpha in cultured Hep3B Cells. Planta Med. 2014, 80, 1622–1627. [Google Scholar] [PubMed]
- Rajopadhye, A.; Upadhye, A.S. Estimation of bioactive compound, maslinic acid by HPTLC, and evaluation of hepatoprotective activity on fruit pulp of Ziziphus jujuba Mill. cultivars in India. eCAM 2016, 2016, 4758734. [Google Scholar] [PubMed]
- Lee, S.M.; Min, B.S.; Lee, C.G.; Kim, K.S.; Kho, Y.H. Cytotoxic triterpenoids from the fruits of Zizyphus jujuba. Planta Med. 2003, 69, 1051–1054. [Google Scholar] [PubMed]
- Wang, B.N.; Liu, H.F.; Zheng, J.B.; Fan, M.T.; Cao, W. Distribution of phenolic acids in different tissues of jujube and their antioxidant activity. J. Agric. Food Chem. 2011, 59, 1288–1292. [Google Scholar] [CrossRef] [PubMed]
- Chen, J.P.; Li, Z.G.; Maiwulanjiang, M.; Zhang, W.L.; Zhan, J.Y.; Lam, C.T.; Zhu, K.Y.; Yao, P.; Choi, R.C.; Lau, D.T.; et al. Chemical and biological assessment of Ziziphus jujuba fruits from China: different geographical sources and developmental stages. J. Agric. Food Chem. 2013, 61, 7315–7324. [Google Scholar] [CrossRef] [PubMed]
- Guo, S.; Duan, J.A.; Qian, D.; Tang, Y.; Wu, D.; Su, S.; Wang, H.; Zhao, Y. Content variations of triterpenic acid, nucleoside, nucleobase, and sugar in jujube (Ziziphus jujuba) fruit during ripening. Food Chem. 2015, 167, 468–474. [Google Scholar] [CrossRef] [PubMed]
- Guo, S.; Duan, J.A.; Qian, D.; Tang, Y.; Qian, Y.; Wu, D.; Su, S.; Shang, E. Rapid determination of amino acids in fruits of Ziziphus jujuba by hydrophilic interaction ultra-high-performance liquid chromatography coupled with triple-quadrupole mass spectrometry. J. Agric. Food Chem. 2013, 61, 2709–2719. [Google Scholar] [CrossRef] [PubMed]
- Fujiwara, Y.; Hayashida, A.; Tsurushima, K.; Nagai, R.; Yoshitomi, M.; Daiguji, N.; Sakashita, N.; Takeya, M.; Tsukamoto, S.; Ikeda, T. Triterpenoids isolated from Zizyphus jujuba inhibit foam cell formation in macrophages. J. Agric. Food Chem. 2011, 59, 4544–4552. [Google Scholar] [CrossRef] [PubMed]
- Guo, S.; Duan, J.A.; Tang, Y.P.; Zhu, Z.H.; Qian, Y.F.; Yang, N.Y.; Shang, E.X.; Qian, D.W. Characterization of nucleosides and nucleobases in fruits of Ziziphus jujuba by UPLC-DAD-MS. J. Agric. Food Chem. 2010, 58, 10774–10780. [Google Scholar] [CrossRef] [PubMed]
- Chiu, Y.J.; Chou, S.C.; Chiu, C.S.; Kao, C.P.; Wu, K.C.; Chen, C.J.; Tsai, J.C.; Peng, W.H. Hepatoprotective effect of the ethanol extract of Polygonum orientale on carbon tetrachloride-induced acute liver injury in mice. J. Food Drug Anal. 2018, 26, 369–379. [Google Scholar] [CrossRef] [PubMed]
- Zhang, Y.; Li, H.; Hu, T.; Li, H.; Jin, G.; Zhang, Y. Metabonomic profiling in study hepatoprotective effect of polysaccharides from Flammulina velutipes on carbon tetrachloride-induced acute liver injury rats using GC-MS. Int. J. Biol. Macromol. 2018, 110, 285–293. [Google Scholar] [CrossRef] [PubMed]
- Xie, J.; Wang, W.; Dong, C.; Huang, L.; Wang, H.; Li, C.; Nie, S.; Xie, M. Protective effect of flavonoids from Cyclocarya paliurus leaves against carbon tetrachloride-induced acute liver injury in mice. Food Chem. Toxicol. 2018. [Google Scholar] [CrossRef] [PubMed]
- Li, P.; Lu, Q.; Jiang, W.; Pei, X.; Sun, Y.; Hao, H.; Hao, K. Pharmacokinetics and pharmacodynamics of rhubarb anthraquinones extract in normal and disease rats. Biomed. Pharmacother. 2017, 91, 425–435. [Google Scholar] [CrossRef] [PubMed]
- Kropeit, D.; McCormick, D.; Erb-Zohar, K.; Moiseev, V.S.; Kobalava, Z.D.; Stobernack, H.P.; Zimmermann, H.; Rubsamen-Schaeff, H. Pharmacokinetics and safety of the anti-human cytomegalovirus drug letermovir in subjects with hepatic impairment. Br. J. Clin. Pharmacol. 2017, 83, 2678–2686. [Google Scholar] [CrossRef] [PubMed]
- Li, Y.; Guo, S.; Hua, T.T.; Wang, Y.Y.; Wei, D.D.; Zhao, M.; Su, S.L.; Duan, J.A. Comparative pharmacokinetics of triterpenic acids in normal and immunosuppressed rats after oral administration of Jujubae Fructus extract by UPLC-MS/MS. J. Chromatogr. B 2018, 1077, 13–21. [Google Scholar] [CrossRef] [PubMed]
- Geier, A.; Kim, S.K.; Gerloff, T.; Dietrich, C.G.; Lammert, F.; Karpen, S.J.; Stieger, B.; Meier, P.J.; Matern, S.; Gartung, C. Hepatobiliary organic anion transporters are differentially regulated in acute toxic liver injury induced by carbon tetrachloride. J. Hepatol. 2002, 37, 198–205. [Google Scholar] [CrossRef]
- Wang, W.; Wang, S.; Liu, J.; Cai, E.; Zhu, H.; He, Z.; Gao, Y.; Li, P.; Zhao, Y. Sesquiterpenoids from the root of Panax Ginseng protect CCl4-induced acute liver injury by anti-inflammatory and anti-oxidative capabilities in mice. Biomed. Pharmacother. 2018, 102, 412–419. [Google Scholar] [CrossRef] [PubMed]
- Xie, Y.; Hao, H.P.; Wang, H.; Guo, C.; Kang, A.; Wang, G.J. Reversing effects of lignans on CCl4-induced hepatic CYP450 down regulation by attenuating oxidative stress. J. Ethnopharmacol. 2014, 155, 213–221. [Google Scholar] [CrossRef] [PubMed]
- Schrieber, S.J.; Wen, Z.M.; Vourvahis, M.; Smith, P.C.; Fried, M.W.; Kashuba, A.D.M.; Hawke, R.L. Pharmacokinetics of silymarin is altered in patients with hepatitis C virus and nonalcoholic fatty liver disease and correlates with plasma caspase-3/7 activity. Drug Metab. Dispos. 2008, 36, 1909–1916. [Google Scholar] [CrossRef] [PubMed]
- Fouts, D.E.; Torralba, M.; Nelson, K.E.; Brenner, D.A.; Schnabl, B. Bacterial translocation and changes in the intestinal microbiome in mouse models of liver disease. J. Hepatol. 2012, 56, 1283–1292. [Google Scholar] [CrossRef] [PubMed]
- Jiang, F.J.; Zhao, Y.L.; Wang, J.B.; Wei, S.S.; Wei, Z.M.; Li, R.S.; Zhu, Y.; Sun, Z.Y.; Xiao, X.H. Comparative pharmacokinetic study of paeoniflorin and albiflorin after oral administration of Radix Paeoniae Rubra in normal rats and the acute cholestasis hepatitis rats. Fitoterapia 2012, 83, 415–421. [Google Scholar] [CrossRef] [PubMed]
- Li, Y.T.; Wang, L.; Chen, Y.; Chen, Y.B.; Wang, H.Y.; Wu, Z.W.; Li, L.J. Effects of gut microflora on hepatic damage after acute liver injury in rats. J. Trauma 2010, 68, 76–83. [Google Scholar] [CrossRef] [PubMed]
- US Department of Health and Human Services; Food and Drug Administration&Center for Drug Evaluation and Research. Guidance for industry: Bioanalytical method validation. Fed. Regist. 2001, 66, 206–207. [Google Scholar]
- Liu, Y.; Pu, Y.; Zhang, T.; Ding, Y.; Wang, B.; Cai, Z. Rapid and sensitive determination of timosaponin AIII in rat plasma by LC-MS/MS and its pharmacokinetic application. Int. J. Mol. Sci. 2013, 14, 3656–3670. [Google Scholar] [CrossRef] [PubMed]
- Zhao, M.; Qian, D.; Shang, E.X.; Jiang, S.; Guo, J.; Liu, P.; Su, S.L.; Duan, J.A.; Du, L.; Tao, J. Comparative pharmacokinetics of the main compounds of Shanzhuyu extract after oral administration in normal and chronic kidney disease rats. J. Ethnopharmacol. 2015, 173, 280–286. [Google Scholar] [CrossRef] [PubMed]
- Liu, J.H.; Cheng, Y.Y.; Hsieh, C.H.; Tsai, T.H. The Herb-drug pharmacokinetic interaction of 5-fluorouracil and its metabolite 5-fluoro-5,6-dihydrouracil with a traditional Chinese medicine in rats. Int. J. Mol. Sci. 2018, 19, 25. [Google Scholar] [CrossRef] [PubMed]
- Du, P.; Lei, M.; Liu, Y.; Yang, S. Simultaneous determination and pharmacokinetic study of six components in rat plasma by HPLC-MS/MS after oral administration of Acanthopanax sessiliflorus fruit extract. Int. J. Mol. Sci. 2017, 18, 45. [Google Scholar] [CrossRef] [PubMed]
- Zhao, M.; Tao, J.H.; Qian, D.W.; Liu, P.; Shang, E.X.; Jiang, S.; Guo, J.M.; Su, S.L.; Duan, J.A.; Du, L.Y. Simultaneous determination of loganin, morroniside, catalpol and acteoside in normal and chronic kidney disease rat plasma by UPLC-MS for investigating the pharmacokinetics of Rehmannia glutinosa and Cornus officinalis Sieb drug pair extract. J. Chromatogr. B 2016, 1009, 122–129. [Google Scholar] [CrossRef] [PubMed]
- Pang, H.Q.; Tang, Y.P.; Cao, Y.J.; Tan, Y.J.; Jin, Y.; Shi, X.Q.; Huang, S.L.; Sun, D.Z.; Sun, J.; Tang, Z.S.; et al. Comparatively evaluating the pharmacokinetic of fifteen constituents in normal and blood deficiency rats after oral administration of Xin-Sheng-Hua Granule by UPLC-MS/MS. J. Chromatogr. B 2017, 1061, 372–381. [Google Scholar] [CrossRef] [PubMed]




| Compound | Linear Regression Equation | R2 | Range (ng/mL) | LLOQ (ng/mL) |
|---|---|---|---|---|
| Ceanothic acid | y = 2.347 × 10−3 x + 8.488 × 10−2 | 0.9982 | 4.61–2951 | 2.93 |
| Epiceanothic acid | y = 1.832 × 10−3 x − 3.799 × 10−2 | 0.9987 | 2.35–3009 | 0.92 |
| Pomonic acid | y = 2.989 × 10−4 x − 1.377 × 10−3 | 0.9997 | 22.82–2922 | 6.47 |
| Alphitolic acid | y = 4.411 × 10−3 x + 4.185 × 10−1 | 0.9930 | 22.60–2892 | 7.34 |
| Maslinic acid | y = 1.657 × 10−3 x + 1.111 × 10−1 | 0.9968 | 22.94–2936 | 15.02 |
| Betulinic acid | y = 6.084 × 10−3 x + 9.910 × 10−2 | 0.9996 | 23.62–3023 | 17.23 |
| Betulonic acid | y = 3.058 × 10−3 x + 1.718 × 10−2 | 0.9999 | 23.51–3009 | 22.68 |
| Compound | Concentration (ng/mL) | Intra-Day | Inter-Day | ||
|---|---|---|---|---|---|
| Accuracy (RE, %) | Precision (RSD, %) | Accuracy (RE, %) | Precision (RSD, %) | ||
| Ceanothic acid | 23.05 | 14.39 | 1.98 | 9.85 | 6.29 |
| 368.8 | 14.12 | 1.68 | 8.64 | 7.18 | |
| 2951 | 5.62 | 8.49 | 4.77 | 8.03 | |
| Epiceanothic acid | 23.51 | 10.40 | 3.94 | 5.66 | 11.33 |
| 376.1 | 9.97 | 1.33 | 5.95 | 5.43 | |
| 3009 | 5.04 | 7.30 | 2.74 | 6.52 | |
| Pomonic acid | 22.82 | −2.03 | 10.11 | 9.02 | 9.31 |
| 365.2 | 13.73 | 6.63 | 11.33 | 12.443 | |
| 2922 | 9.42 | 9.49 | 11.09 | 9.75 | |
| Alphitolic acid | 22.60 | 12.42 | 1.38 | 10.95 | 13.39 |
| 361.6 | 12.18 | 2.39 | 9.76 | 5.14 | |
| 2892 | 5.87 | 7.69 | 1.19 | 5.90 | |
| Maslinic acid | 22.94 | 12.03 | 4.88 | 14.61 | 14.29 |
| 367.0 | 14.87 | 1.17 | 12.99 | 9.18 | |
| 2936 | 12.44 | 6.58 | 8.21 | 5.77 | |
| Betulinic acid | 23.62 | 12.86 | 7.05 | 11.93 | 8.80 |
| 377.9 | 13.93 | 3.97 | 10.59 | 7.69 | |
| 3023 | 4.42 | 5.63 | 2.43 | 4.96 | |
| Betulonic acid | 23.51 | 13.50 | 7.82 | 10.31 | 12.88 |
| 376.1 | 12.88 | 2.14 | 10.52 | 8.78 | |
| 3009 | 8.41 | 8.57 | 5.52 | 8.75 | |
| Compound | Concentration (ng/mL) | Recovery (%, Mean ± S.D.) | Matrix Effect (%, Mean ± S.D.) |
|---|---|---|---|
| Ceanothic acid | 23.05 | 87.77 ± 3.88 | 94.42 ± 4.37 |
| 368.8 | 89.99 ± 6.08 | 91.57 ± 12.23 | |
| 2951 | 83.88 ± 2.30 | 82.64 ± 1.67 | |
| Epiceanothic acid | 23.51 | 91.06 ± 13.06 | 91.71 ± 8.25 |
| 376.1 | 90.87 ± 6.21 | 108.4 ± 15.8 | |
| 3009 | 82.01 ± 1.28 | 105.9 ± 1.6 | |
| Pomonic acid | 22.82 | 78.98 ± 2.93 | 75.28 ± 9.39 |
| 365.2 | 89.32 ± 5.73 | 94.82 ± 12.17 | |
| 2922 | 83.31 ± 3.72 | 109.3 ± 3.9 | |
| Alphitolic acid | 22.60 | 90.09 ± 3.62 | 85.95 ± 6.71 |
| 361.6 | 93.48 ± 5.93 | 82.60 ± 7.93 | |
| 2892 | 85.33 ± 0.80 | 77.22 ± 0.67 | |
| Maslinic acid | 22.94 | 94.67 ± 8.49 | 89.02 ± 8.68 |
| 367.0 | 93.23 ± 5.66 | 93.72 ± 8.65 | |
| 2936 | 83.58 ± 2.24 | 89.37 ± 1.33 | |
| Betulinic acid | 23.62 | 103.8 ± 11.3 | 89.83 ± 10.73 |
| 377.9 | 100.5 ± 8.9 | 101.8 ± 14.8 | |
| 3023 | 89.34 ± 1.81 | 91.10 ± 0.28 | |
| Betulonic acid | 23.51 | 101.0 ± 8.1 | 92.62 ± 7.51 |
| 376.1 | 101.7 ± 7.2 | 100.4 ± 13.5 | |
| 3009 | 85.79 ± 2.10 | 102.0 ± 2.0 |
| Compound | Concentration (ng/mL) | Three Freeze-Thaw Cycles (RSD%) | 12 h at Room Temperature (RSD%) | 24 h at 4 °C (RSD%) | 20 Days at −20 °C (RSD%) |
|---|---|---|---|---|---|
| Ceanothic acid | 23.05 | 9.10 | 12.59 | 10.45 | 8.57 |
| 368.8 | 2.56 | 10.12 | 5.91 | 2.04 | |
| 2951 | 3.41 | 11.68 | 8.14 | 7.15 | |
| Epiceanothic acid | 23.51 | 9.22 | 13.33 | 9.92 | 6.33 |
| 376.1 | 3.05 | 9.67 | 6.30 | 1.65 | |
| 3009 | 5.46 | 12.27 | 8.07 | 6.30 | |
| Pomonic acid | 22.82 | 13.42 | 13.59 | 12.50 | 11.71 |
| 365.2 | 5.33 | 10.54 | 7.15 | 7.01 | |
| 2922 | 4.17 | 12.67 | 8.42 | 7.72 | |
| Alphitolic acid | 22.60 | 9.78 | 11.32 | 11.99 | 1.82 |
| 361.6 | 3.06 | 8.64 | 6.14 | 2.88 | |
| 2892 | 4.28 | 11.39 | 9.52 | 4.90 | |
| Maslinic acid | 22.94 | 10.21 | 9.47 | 13.61 | 10.65 |
| 367.0 | 3.10 | 7.76 | 5.34 | 1.17 | |
| 2936 | 5.54 | 11.54 | 9.72 | 6.31 | |
| Betulinic acid | 23.62 | 10.49 | 11.32 | 9.31 | 5.82 |
| 377.9 | 3.61 | 6.96 | 5.46 | 3.35 | |
| 3023 | 5.32 | 11.95 | 8.62 | 4.50 | |
| Betulonic acid | 23.51 | 11.18 | 10.50 | 4.53 | 7.47 |
| 376.1 | 3.44 | 6.99 | 4.08 | 2.48 | |
| 3009 | 6.47 | 11.46 | 6.13 | 8.51 |
| Compound | Group | Cmax | CLz/F | Tmax | T1/2z | AUC0–t | AUC0–∞ |
|---|---|---|---|---|---|---|---|
| (μg/L) | (L/h/kg) | (h) | (h) | (μg⋅h/L) | (μg⋅h/L) | ||
| Ceanothic acid | C | 326.9 ± 67.4 | 1.25 ± 0.08 | 6.67 ± 0.47 | 2.06 ± 0.26 | 2474 ± 168 | 2479 ± 171 |
| M | 286.5 ± 21.1 | 0.87 ± 0.06 | 8.67 ± 1.25 | 4.11 ± 0.48 | 3431 ± 171 * | 3567 ± 232 | |
| Epiceanothic acid | C | 169.7 ± 34.4 | 1.36 ± 0.18 | 7.33 ± 0.47 | 2.45 ± 0.03 | 1478 ± 255 | 1482 ± 255 |
| M | 371.9 ± 19.9 * | 0.28 ± 0.02 * | 7.33 ± 0.47 | 7.00 ± 1.33 | 5227 ± 334 ** | 6127 ± 423 ** | |
| Pomonic acid | C | 304.9 ± 53.8 | 53.15 ± 5.60 | 6.00 ± 0.00 | 2.88 ± 0.54 | 1834 ± 225 | 1859 ± 230 |
| M | 495.2 ± 60.9 | 19.96 ± 1.30 * | 6.00 ± 0.82 | 3.87 ± 0.58 | 4654 ± 349 ** | 4776 ± 322 ** | |
| Alphitolic acid | C | 526.7 ± 45.6 | 3.53 ± 0.27 | 6.67 ± 0.47 | 3.72 ± 0.46 | 5446 ± 346 | 5580 ± 379 |
| M | 171.0 ± 21.9 ** | 10.25 ± 0.59 ** | 4.67 ± 0.47 | 4.18 ± 0.65 | 1855 ± 126 ** | 1912 ± 112 ** | |
| Maslinic acid | C | 899.5 ± 144.4 | 13.50 ± 0.67 | 6.00 ± 0.00 | 2.17 ± 0.36 | 5026 ± 245 | 5040 ± 239 |
| M | 578.7 ± 78.6 | 11.96 ± 1.24 | 6.00 ± 0.82 | 3.06 ± 0.13 | 5879 ± 702 | 5931 ± 715 | |
| Betulinic acid | C | 189.5 ± 20.5 | 33.90 ± 3.03 | 8.00 ± 1.41 | 3.58 ± 0.57 | 1951 ± 180 | 1995 ± 192 |
| M | 69.8 ± 7.8 * | 70.09 ± 4.33 ** | 1.33 ± 0.24 * | 9.00 ± 2.20 | 774 ± 42 * | 945 ± 54 * | |
| Betulonic acid | C | 522.7 ± 65.6 | 13.65 ± 0.61 | 6.00 ± 0.00 | 3.74 ± 0.92 | 3939 ± 98 | 4107 ± 190 |
| M | 133.2 ± 14.8 * | 22.80 ± 0.78 ** | 3.33 ± 0.47 * | 10.49 ± 1.56 | 1928 ± 205 ** | 2450 ± 88 ** |
© 2018 by the authors. Licensee MDPI, Basel, Switzerland. This article is an open access article distributed under the terms and conditions of the Creative Commons Attribution (CC BY) license (http://creativecommons.org/licenses/by/4.0/).
Share and Cite
Li, Y.; Guo, S.; Ren, Q.; Wei, D.; Zhao, M.; Su, S.; Tang, Z.; Duan, J.-A. Pharmacokinetic Comparisons of Multiple Triterpenic Acids from Jujubae Fructus Extract Following Oral Delivery in Normal and Acute Liver Injury Rats. Int. J. Mol. Sci. 2018, 19, 2047. https://doi.org/10.3390/ijms19072047
Li Y, Guo S, Ren Q, Wei D, Zhao M, Su S, Tang Z, Duan J-A. Pharmacokinetic Comparisons of Multiple Triterpenic Acids from Jujubae Fructus Extract Following Oral Delivery in Normal and Acute Liver Injury Rats. International Journal of Molecular Sciences. 2018; 19(7):2047. https://doi.org/10.3390/ijms19072047
Chicago/Turabian StyleLi, Yao, Sheng Guo, Quanjin Ren, Dandan Wei, Ming Zhao, Shulan Su, Zhishu Tang, and Jin-Ao Duan. 2018. "Pharmacokinetic Comparisons of Multiple Triterpenic Acids from Jujubae Fructus Extract Following Oral Delivery in Normal and Acute Liver Injury Rats" International Journal of Molecular Sciences 19, no. 7: 2047. https://doi.org/10.3390/ijms19072047
APA StyleLi, Y., Guo, S., Ren, Q., Wei, D., Zhao, M., Su, S., Tang, Z., & Duan, J.-A. (2018). Pharmacokinetic Comparisons of Multiple Triterpenic Acids from Jujubae Fructus Extract Following Oral Delivery in Normal and Acute Liver Injury Rats. International Journal of Molecular Sciences, 19(7), 2047. https://doi.org/10.3390/ijms19072047
