Characterization of an Integrated Active Glu-1Ay Allele in Common Wheat from Wild Emmer and Its Potential Role in Flour Improvement
Abstract
:1. Introduction
2. Results
2.1. Phenotype and Karyotype Characteristics
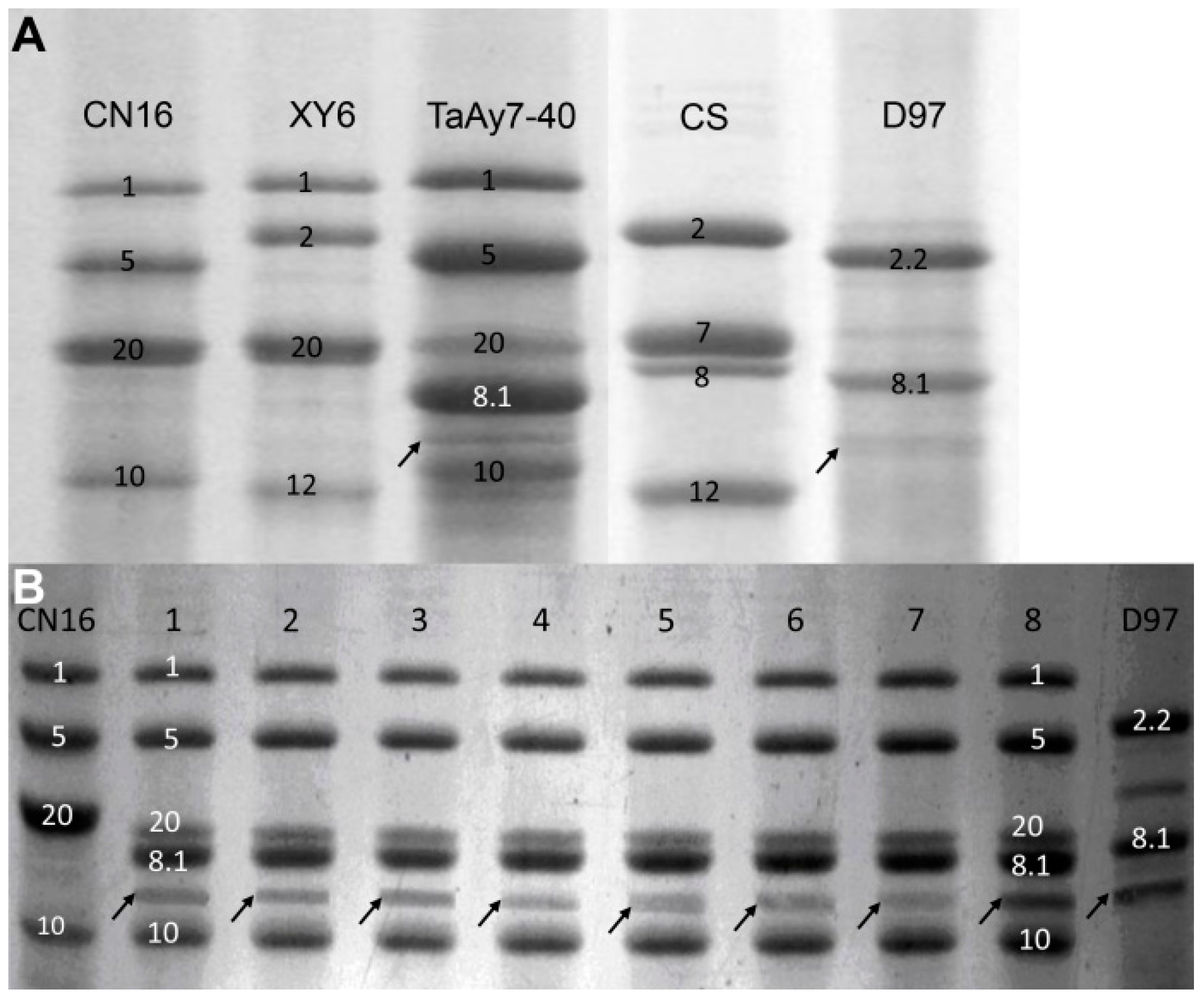
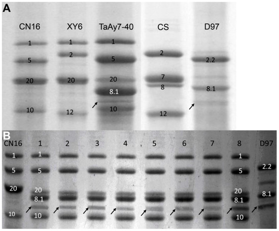
2.2. SDS-PAGE Analysis of HMW-GSs
2.3. Molecular Characterization of 1Ay Genes
2.4. Sequences Comparison of 1Ay Alleles
2.5. Phylogenetic Analysis
2.6. Processing Quality Parameters (PQPs)
3. Discussion
3.1. Identification of Two Novel Active 1Ay Alleles
3.2. The 1Ay Sequence Variations
3.3. A Wild Emmer 1Ay Allele Was Successfully Transferred and Stably Expressed inCommon Wheat
3.4. The Wild Emmer 1Ay Might be Partly Associated with Better Flour Quality in Common Wheat
4. Materials and Methods
4.1. Plant Materials
4.2. Characterization of Phenotype and Karyotype
4.3. SDS-PAGE Analysis
4.4. DNA Preparation and PCR Amplification
4.5. Cloning, Sequencing, and Prokaryotic Expression of the ORFs of 1Ay
4.6. Sequence Alignmentand Phylogenetic Analysis
4.7. Flour Processing Quality Determination
4.8. Statistical Analysis
5. Conclusions
Supplementary Materials
Acknowledgments
Author Contributions
Conflicts of Interest
Abbreviations
| CTAB | Cetyltrimethyl ammonium bromide |
| HMW-GS | High molecular weight glutenin subunit |
| InDel | Insertion and deletion |
| IPTG | Isopropyl b-D-thiogalactopyranoside |
| ORF | Open reading frame |
| PCR | Polymerase chain reaction |
| PQPs | Processing quality parameters |
| SAP | Single amino acid polymorphism |
| SDS-PAGE | Sodium dodecyl sulfate polyacrylamide gel electrophoresis |
| SNP | Single nucleotide polymorphism |
References
- Shewry, P.R.; Halford, N.G.; Tatham, A.S. High molecular weight subunits of wheat glutenin. J. Cereal Sci. 1992, 15, 105–120. [Google Scholar] [CrossRef]
- Shewry, P.R.; Napier, J.A.; Tatham, A.S. Seed storage proteins: Structures and biosynthesis. Plant Cell 1995, 7, 945–956. [Google Scholar] [CrossRef] [PubMed]
- Shewry, P.R.; Gilbert, S.M.; Savage, A.W.; Tatham, A.S.; Wan, Y.F.; Belton, P.S.; Wellner, N.; D’Ovidio, R.; Bekes, F.; Halford, N.G. Sequence and properties of HMW subunit 1Bx20 from pasta wheat (Triticum durum) which is associated with poor end use properties. Theor. Appl. Genet. 2003, 106, 744–750. [Google Scholar] [CrossRef] [PubMed]
- Shewry, P.R.; Halford, N.G. Cereal seed storage proteins: Structures, properties and role in grain utilization. J. Exp. Bot. 2002, 53, 947–958. [Google Scholar] [CrossRef] [PubMed]
- Shewry, P.R.; Halford, N.G.; Lafiandra, D. Genetics of wheat gluten proteins. Adv. Genet. 2003, 49, 111–184. [Google Scholar] [PubMed]
- Harberd, N.P.; Bartels, D.; Thompson, R.D. DNA restriction-fragment variation in the gene family encoding high molecular weight (HMW) glutenin subunits of wheat. Biochem. Genet. 1986, 24, 579–596. [Google Scholar] [CrossRef] [PubMed]
- Payne, P.I.; Holt, L.M.; Harinder, K.; Macartney, D.P.; Lawrence, G.J. Use of near-isogenic lines with different HMW glutenin subunits in studying bread-making quality and glutenin structure. In Proceedings of the 3rd International Workshop Gluten Proteins, Budapest, Hungary, 9–12 May 1987; Lásztity, R., Békés, F., Eds.; pp. 216–226. [Google Scholar]
- D’Ovidio, R.; Masci, S.; Porceddu, E. Sequence analysis of the 5′ non-coding regions of active and inactive 1Ay HMW glutenin genes from wild and cultivated wheats. Plant Sci. 1996, 114, 61–69. [Google Scholar] [CrossRef]
- Forde, J.; Malpica, J.M.; Halford, N.G.; Shewry, P.R.; Anderson, O.D.; Greene, F.C.; Miflin, B.J. The nucleotide sequence of a HMW glutenin subunit gene located on chromosome 1A of wheat (Triticum aestivum L.). Nucleic Acids Res. 1985, 13, 6817–6832. [Google Scholar] [CrossRef] [PubMed]
- Hu, X.G.; Wu, B.H.; Bi, Z.G.; Liu, D.C.; Zhang, L.Q.; Yan, Z.H.; Wei, Y.M.; Zheng, Y.L. Allelic variation and distribution of HMW glutenin subunit 1Ay in Triticum species. Genet. Resour. Crop Evol. 2012, 59, 491–497. [Google Scholar] [CrossRef]
- Xu, L.L.; Li, W.; Wei, Y.M.; Zheng, Y.L. Genetic diversity of HMW glutenin subunits in diploid, tetraploid and hexaploid Triticum species. Genet. Resour. Crop Evol. 2009, 56, 377–391. [Google Scholar] [CrossRef]
- Johansson, E.; Henriksson, P.; Svensson, G.; Heneen, W.K. Detection, Chromosomal location and evaluation of the functional value of a novel high Mr glutenin subunit found in Swedish wheats. J. Cereal Sci. 1993, 17, 237–245. [Google Scholar] [CrossRef]
- Margiotta, B.; Urbano, M.; Colaprico, G.; Johansson, E.; Lafiandra, D. Detection of y-type subunit at the Glu-A1 locus in some Swedish bread wheat lines. J. Cereal Sci. 1996, 23, 203–211. [Google Scholar] [CrossRef]
- Harberd, N.P.; Flavell, R.B.; Thompson, R.D. Identification of a transposon-like insertion in a Glu-1 allele of wheat. Mol. Gen. Genet. 1987, 209, 326–332. [Google Scholar] [CrossRef] [PubMed]
- Wan, Y.; Wang, D.; Shewry, R.; Halford, G. Isolation and characterization of five novel high molecular weight subunit of glutenin genes from Triticum timopheevi and Aegilops cylindrica. Theor. Appl. Genet. 2002, 104, 828–839. [Google Scholar] [PubMed]
- Jiang, Q.T.; Wei, Y.M.; Wang, F.; Wang, J.R.; Yan, Z.H.; Zheng, Y.L. Characterization and comparative analysis of HMW glutenin 1Ay alleles with differential expressions. BMC Plant Biol. 2009, 9, 16. [Google Scholar] [CrossRef] [PubMed]
- Hu, X.G.; Wu, B.H.; Yan, Z.H.; Liu, D.C.; Wei, Y.M.; Zheng, Y.L. Characterization of a novel 1Ay gene and its expression protein in Triticum urartu. Agric. Sci. China 2010, 9, 1543–1552. [Google Scholar] [CrossRef]
- Waines, J.G.; Payne, P.I. Electrophoretic analysis of the high-molecular-weight glutenin subunits of Triticum monococcum, T. urartu, and the A genome of bread wheat (T. aestivum). Theor. Appl. Genet. 1987, 74, 71–76. [Google Scholar] [CrossRef] [PubMed]
- Guo, X.H.; Wu, B.H.; Hu, X.G.; Bi, Z.G.; Wang, Z.Z.; Liu, D.C.; Zheng, Y.L. Molecular characterization of two y-type high molecular weight glutenin subunit alleles 1Ay12* and 1Ay8* from cultivated einkorn wheat (Triticum monococcum ssp. monococcum). Gene 2013, 516, 1–7. [Google Scholar] [CrossRef] [PubMed]
- Bi, Z.G.; Wu, B.H.; Hu, X.G.; Guo, X.H.; Liu, D.C.; Zheng, Y.L. Identification of an active 1Ay gene from Triticum turgidum ssp. dicoccoides. Czech J. Genet. Plant. 2014, 50, 208–215. [Google Scholar] [CrossRef]
- Guo, X.H.; Bi, Z.G.; Wu, B.H.; Wang, Z.Z.; Hu, J.L.; Zheng, Y.L.; Liu, D.C. ChAy/Bx, a novel chimeric high-molecular-weight glutenin subunit gene apparently created by homoeologous recombination in Triticum turgidum ssp. dicoccoides. Gene 2013, 531, 318–325. [Google Scholar] [CrossRef] [PubMed]
- Rogers, W.; Miller, T.; Payne, P.; Seekings, J.; Sayers, E.; Holt, L.; Law, C. Introduction to bread wheat (Triticum aestivum L.) and assessment for bread-making quality of alleles from T. boeoticum Boiss. ssp. thaoudar at Glu-A1 encoding two high-molecular-weight subunits of glutenin. Euphytica 1997, 93, 19–29. [Google Scholar]
- Hale, I.; Zhang, X.; Fu, D.; Dubcovsky, J. Registration of wheat lines carrying the partial stripe rust resistance gene Yr36 without the Gpc-B1 high grain protein content allele. J. Plant Regist. 2013, 7, 108–112. [Google Scholar] [CrossRef] [PubMed]
- Hua, W.; Liu, Z.; Zhu, J.; Xie, C.; Yang, T.; Zhou, Y.; Duan, X.; Sun, Q.; Liu, Z. Identification and genetic mapping of pm42, a new recessive wheat powdery mildew resistance gene derived from wild emmer (Triticum turgidum var. dicoccoides). Theor. Appl. Genet. 2009, 119, 223–230. [Google Scholar] [CrossRef] [PubMed]
- Levy, A.A.; Feldman, M. Ecogeographical distribution of HMW glutenin alleles in populations of the wild tetraploid wheat Triticum turgidum var. dicoccoides. Theor. Appl. Genet. 1988, 75, 651–658. [Google Scholar] [CrossRef]
- Levy, A.A.; Feldman, M. Location of genes for high grain protein percentage and other quantitative traits in wild wheat Triticum turgidum var. dicoccoides. Euphytica 1989, 41, 113–122. [Google Scholar] [CrossRef]
- Margiotta, B.; Colaprico, G.; Urbano, M. Polymorphism of high Mr glutenin subunits in wild emmer Triticum turgidum subsp. dicoccoides: Chromatographic, electrophoretic separations and PCR analysis of their encoding genes. Genet. Resour. Crop Evol. 2014, 61, 331–343. [Google Scholar]
- Peleg, Z.; Fahima, T.; Abbo, S.; Krugman, T.; Nevo, E.; Yakir, D.; Saranga, Y. Genetic diversity for drought resistance in wild emmer wheat and its ecogeographical associations. Plant Cell Environ. 2005, 28, 176–191. [Google Scholar] [CrossRef]
- Yu, W.L.; Li, G.J.; Wu, B.H.; Zheng, Y.L.; Liu, D.C.; Yan, Z.H. Variations of high-molecular-weight glutenin subunits in Triticum dicoccoides and its potential utilization in common wheat. J. Sichuan Agric. Univ. 2005, 3, 253–257. [Google Scholar]
- Nevo, E.; Pagnotta, M.A.; Beiles, A.; Porceddu, E. Wheat storage proteins, glutenin DNA diversity in wild emmer wheat, Triticum dicoccoids, in Israel and Turkey. 3. environmental correlates and allozymic associations. Theor. Appl. Genet. 1995, 91, 415–420. [Google Scholar] [CrossRef] [PubMed]
- Xu, S.S.; Khan, K.; Klindworth, D.L.; Faris, J.D.; Nygard, G. Chromosomal location of genes for novel glutenin subunits and gliadins in wild emmer wheat (Triticum turgidum L. var. dicoccoides). Theor. Appl. Genet. 2004, 108, 1221–1228. [Google Scholar] [PubMed]
- Chu, C.; Feng, Y.; Chen, P. The transference of the traits large kernel and high seed protein content from T. dicoccoides into common wheat. J. Nanjing Agric. Univ. 2001, 24, 16–19. [Google Scholar]
- Shen, H.X.; Xin, M.M.; Liang, R.Q.; Xie, C.J.; Yang, Z.M.; Liu, Z.Y.; Sun, Q.X. Molecular mapping of a powdery mildew resistance gene transferred from wild emmer into common wheat. Acta Agric. Boreali-Sin. 2012, 27, 7–11. [Google Scholar]
- Zhang, L.S.; Hua, W.; Guan, H.Y.; Li, G.Q.; Xie, C.J.; Yang, Z.M.; Sun, Q.X. Molecular mapping of powdery mildew resistance gene MlWE29 in wheat originated from wild emmer (Triticum turgidum var. dicoccoides). Acta Agron. Sin. 2009, 35, 998–1005. [Google Scholar] [CrossRef]
- Ciaffi, M.; Benedettelli, S.; Giorgi, B.; Porceddu, E.; Lafiandra, D. Seed storage proteins of Triticum turgidum ssp. dicoccoides and their effect on the technological quality in durum wheat. Plant Breed. 1991, 107, 309–319. [Google Scholar]
- Jiang, Z.L.; Wu, B.H.; Wang, Z.Z.; Hu, J.L.; Yuan, J.; Chen, H.L.; Liu, J.; Zheng, Y.L.; Liu, D.C. Enriching novel Glu-Ax alleles and significantly strengthening gluten properties of common wheat through wide hybridization with wild emmer. J. Cereal Sci. 2017, 76, 271–279. [Google Scholar] [CrossRef]
- Liu, D.; Zhang, H.; Zhang, L.; Yuan, Z.; Hao, M.; Zheng, Y. Distant hybridization: A tool for interspecific manipulation of chromosomes. In Alien Gene Transfer in Crop Plants; Springer: New York, NY, USA, 2014; Volume 1, pp. 25–42. [Google Scholar]
- McClintock, B. The significance of responses of the genome to challenge. Science 1984, 226, 792–801. [Google Scholar] [CrossRef] [PubMed]
- Acquaah, G. Principles of Plant Genetics and Breeding, 2nd ed.; John Wiley & Sons, Ltd.: Hoboken, NJ, USA, 2012; pp. 131–145. [Google Scholar]
- Yuan, Z.W.; Liu, M.; Ouyang, Y.Y.; Zeng, X.X.; Hao, M.; Zhang, L.Q.; Ning, S.Z.; Yan, Z.H.; Liu, D.C. The detection of a de novo allele of the Glu-1Dx gene in wheat–rye hybrid offspring. Theor. Appl. Genet. 2014, 127, 2173–2182. [Google Scholar] [CrossRef] [PubMed]
- Zhang, H.; Bian, Y.; Gou, X.; Dong, Y.; Rustgi, S.; Zhang, B. Intrinsic karyotype stability and gene copy number variations may have laid the foundation for tetraploid wheat formation. Proc. Natl. Acad. Sci. USA 2013, 110, 19466–19471. [Google Scholar] [CrossRef] [PubMed]
- Luo, M.C.; Gu, Y.Q.; Puiu, D.; Wang, H.; Twardziok, S.O.; Deal, K.R.; Huo, N.; Zhu, T.; Wang, L.; Wang, Y.; et al. Genome sequence of the progenitor of the wheat D genome Aegilops tauschii. Nature 2017, 551, 498–502. [Google Scholar] [CrossRef] [PubMed]
- Wang, C.; Shen, X.; Wang, K.; Liu, Y.L.; Zhou, J.W.; Hu, Y.K.; Zeller, F.J.; Hsam, S.L.K.; Yan, Y.M. Molecular characterization and functional properties of two novel x-type HMW-GS from wheat line CNU608 derived from Chinese Spring × Ae. caudata cross. J. Cereal Sci. 2016, 68, 16–24. [Google Scholar] [CrossRef]
- Lafiandra, D.; D’Ovidio, R.; Porceddu, E.; Margiotta, B.; Colaprico, G. New data supporting high Mr glutenin subunit 5 as the determinant of quality differences among the pairs 5 + 10 vs. 2 + 12. J. Cereal Sci. 1993, 18, 197–205. [Google Scholar] [CrossRef]
- Pang, B.S.; Zhang, X.Y. Isolation and molecular characterization of high molecular weight glutenin subunit genes 1Bx13 and 1By16 from hexaploid wheat. J. Integr. Plant Biol. 2008, 50, 329–337. [Google Scholar] [CrossRef] [PubMed]
- Wei, L.; Wang, Q.; Zhang, L.L.; Ma, J.; Wang, J.R.; Qi, P.F.; Li, W.; Chen, G.Y.; Lan, X.J.; Deng, M. Genetic analyses of Glu-1Ssh in wheat/Aegilops sharonensis hybrid progenies and development of alien HMW-GSs gene-specific markers. Mol. Breed. 2015, 35, 230. [Google Scholar] [CrossRef]
- Zhao, J.X.; Ji, W.Q.; Wu, J.; Chen, X.H.; Cheng, X.N.; Wang, J.W.; Pang, Y.H.; Liu, S.H.; Yang, Q.H. Development and identification of a wheat-Psathyrostachys huashanica addition line carrying HMW-GS, LMW-GS and gliadin genes. Genet. Resour. Crop Evol. 2010, 57, 387–394. [Google Scholar] [CrossRef]
- Dumur, J.; Branlard, G.; Tanguy, A.M.; Dardevet, M.; Coriton, O.; Huteau, V.; Lemoine, J.; Jahier, J. Development of isohomoeoallelic lines within the wheat cv. Courtot for high molecular weight glutenin subunits: Transfer of the Glu-D1 locus to chromosome 1A. Theor. Appl. Genet. 2009, 119, 471–481. [Google Scholar] [CrossRef] [PubMed]
- Dumur, J.; Branlard, G.; Tanguy, A.M.; Dardevet, M.; Coriton, O.; Huteau, V.; Lemoine, J.; Jahier, J. Homoeologous recombination within bread wheat to develop novel combinations of HMW-GS genes: transfer of the Glu-A1 locus to chromosome 1D. Planta 2009, 231, 57–65. [Google Scholar] [CrossRef] [PubMed]
- Dumur, J.; Jahier, J.; Dardevet, M.; Chiron, H.; Tanguy, A.M.; Branlard, G. Effects of the replacement of Glu-A1 by Glu-D1 locus on agronomic performance and bread-making quality of the hexaploid wheat cv. Courtot. J. Cereal Sci. 2010, 51, 175–181. [Google Scholar] [CrossRef]
- Roy, N.; Islam, S.; Ma, J.; Lu, M.; Torok, K.; Tomoskozi, S.; Bekes, F.; Lafiandra, D.; Appels, R.; Ma, W. Expressed Ay HMW glutenin subunit in Australian wheat cultivars indicates a positive effect on wheat quality. J. Cereal Sci. 2018, 79, 494–500. [Google Scholar] [CrossRef]
- Faridi, M.N. Genetical Studies of Grain Protein and Developmental Characters in Wheat. Ph.D. Thesis, University of Cambridge, Cambridge, UK, 1988. [Google Scholar]
- Carrillo, J.M.; Rousset, M.; Qualset, C.O.; Kasarda, D.D. Use of recombinant inbred lines of wheat for study of associations of high-molecular-weight glutenin alleles to quantitative traits. Theor. Appl. Genet. 1990, 79, 321–330. [Google Scholar] [CrossRef] [PubMed]
- Worland, A.J.; Law, C.N.; Li, W.M. The Location of Genes Depressing Yield Associated with the Transfer of Eyespot Resistance from Aegilops ventricosa; Annual Report of the AFRC Institute of Plant Science Research, John InnesInstitute and Sainsbury Laboratory 1989; IPSR and John Innes Institute: Norwich, UK, 1990; pp. 7–8. [Google Scholar]
- Guo, X.H.; Hu, J.L.; Wu, B.H.; Wang, Z.Z.; Wang, D.; Liu, D.C.; Zheng, Y.L. Special HMW-GSs and their genes of Triticum turgidum subsp. dicoccoides accession D141 and the potential utilization in common wheat. Genet. Resour. Crop Evol. 2016, 63, 833–844. [Google Scholar]
- Takata, K.; Yamauchi, H.; Nishio, Z.; Funatsuki, W.; Kuwabara, T. Effect of high molecular-weight glutenin subunits with different protein contents on breadmaking quality. Food Sci. Technol. Res. 2002, 8, 178–182. [Google Scholar] [CrossRef]
- Gao, L.Y.; Ma, W.J.; Chen, J.; Wang, K.; Li, J.; Wang, S.L.; Bekes, F.; Apples, R.; Yan, Y.M. Characterization and comparative analysis of wheat high molecular weight glutenin subunits by SDS-PAGE, RP-HPLC, HPCE, and MALDI-TOF-MS. J. Agric. Food Chem. 2010, 58, 2777–2786. [Google Scholar] [CrossRef] [PubMed]
- Wei, Y.M.; Zheng, Y.L.; Liu, D.C.; Zhou, Y.H.; Lan, X.J. HMW glutenin and gliadin variations in Tibetan weedrace, Xinjiang rice wheat and Yunnan hulled wheat. Genet. Resour. Crop Evol. 2002, 49, 327–330. [Google Scholar] [CrossRef]
- Zhang, L.Q.; Yang, Y.; Zheng, Y.L.; Liu, D.C. Meiotic restriction in emmer wheat is controlled by one or more nuclear genes that continue to function in derived lines. Sex. Plant Reprod. 2007, 20, 159–166. [Google Scholar] [CrossRef]
- Wan, Y.; Liu, K.; Wang, D.; Shewry, P.R. High-molecular-weight glutenin subunits in the Cylindropyrum and Vertebrata section of the Aegilops genus and identification of subunits related to those encoded by the Dx alleles of common wheat. Theor. Appl. Genet. 2000, 101, 879–884. [Google Scholar] [CrossRef]
- Doyle, J.J.; Doyle, J.L. A rapid DNA isolation procedure for small quantities of fresh leaf tissue. Phytochem. Bull. 1987, 19, 11–15. [Google Scholar]
- Sambrook, J.; Fritsch, E.F.; Maniatis, T. Molecular Cloning: A Laboratory Manual; Cold Spring Harbor Laboratory Press: Cold Spring Harbor, NY, USA, 1989; Volume 49, pp. 895–909. [Google Scholar]
- Tamura, K.; Peterson, D.; Peterson, N.; Stecher, G.; Nei, M.; Kumar, S. MEGA5: Molecular evolutionary genetics analysis using maximum likelihood, evolutionary distance, and maximum parsimony methods. Mol. Biol. Evol. 2011, 28, 2731–2739. [Google Scholar] [CrossRef] [PubMed]
- AACC International. Method 44-15.02, Moisture-Air-Oven Methods (3rd, Nov., 1999). In Approved Method of Analysis, 11th ed.; AACC International: St. Paul, MN, USA, 2009; Available online: http://methods.aaccnet.org/summaries/44-15-02.aspx (accessed on 19 March 2018).
- International Organisation for Standardization. ISO 27971: 2015: Cereals and Cereal Products-Common Wheat (Triticum aestivum L.)-Determination of Alveograph Properties of Dough at Constant Hydration Feom Commercial or Test Flours and Test Milling Methodology; ISO: Geneva, Switzerland, 2015. [Google Scholar]
- Pettersson, C.; Eckersten, H. Prediction of grain protein in spring malting barley grown in northern Europe. Eur. J. Agron. 2007, 27, 205–214. [Google Scholar] [CrossRef]
- Axford, D.W.E.; McDermott, E.E.; Redman, D.G. Note on the sodium dodecyl sulfate test of breadmaking quality: comparison with Pelshenke and Zeleny tests. Cereal Chem. 1979, 56, 582–584. [Google Scholar]
- Kennedy, J.F. American Association of Cereal Chemists Approved Methods, 10th ed.; CD-ROM; American Association of Cereal Chemists: St. Paul, MN, USA, 2000; ISBN 1-891127-13-6. [Google Scholar]







| Line | Plant Height * (cm) | Spike Number * | Spikelet Number * | Heading Date * (day) | Flowering Time * (day) |
|---|---|---|---|---|---|
| TaAy7-40 | 93.5 ± 1.2A | 12.2 ± 0.9A | 18 ± 1A | 140 ± 2A | 150 ± 2B |
| CN16 | 89.3 ± 6.4A | 10 ± 1A | 19 ± 1A | 143 ± 1A | 155 ± 1A |
| D97 | 79.6 ± 4.6B | 7.5 ± 0.9B | 12 ± 0.2B | 142 ± 2A | 155 ± 2A |
| Germplasm | Kernel Length * (mm) | Kernel Width * (mm) | Kernel Thickness * (mm) | 1000-Kernel Weight § (g) | Grain Weight Per Plant * (g) |
|---|---|---|---|---|---|
| TaAy7-40 | 7.1 ± 0.3B | 3.2 ± 0.2A | 3.0 ± 0.2A | 46.6 ± 3.9A | 10.6 ± 2.8A |
| CN16 | 6.4 ± 0.3C | 3.4 ± 0.2A | 2.9 ± 0.2A | 40.0 ± 4.26B | 8.9 ± 3.7A |
| D97 | 8.7 ± 0.7A | 2.0 ± 0.2B | 2.1 ± 0.2B | 18.8 ± 3.32C | 3.6 ± 1.4B |
© 2018 by the authors. Licensee MDPI, Basel, Switzerland. This article is an open access article distributed under the terms and conditions of the Creative Commons Attribution (CC BY) license (http://creativecommons.org/licenses/by/4.0/).
Share and Cite
Wang, Z.; Huang, L.; Wu, B.; Hu, J.; Jiang, Z.; Qi, P.; Zheng, Y.; Liu, D. Characterization of an Integrated Active Glu-1Ay Allele in Common Wheat from Wild Emmer and Its Potential Role in Flour Improvement. Int. J. Mol. Sci. 2018, 19, 923. https://doi.org/10.3390/ijms19040923
Wang Z, Huang L, Wu B, Hu J, Jiang Z, Qi P, Zheng Y, Liu D. Characterization of an Integrated Active Glu-1Ay Allele in Common Wheat from Wild Emmer and Its Potential Role in Flour Improvement. International Journal of Molecular Sciences. 2018; 19(4):923. https://doi.org/10.3390/ijms19040923
Chicago/Turabian StyleWang, Zhenzhen, Lin Huang, Bihua Wu, Jiliang Hu, Zilong Jiang, Pengfei Qi, Youliang Zheng, and Dengcai Liu. 2018. "Characterization of an Integrated Active Glu-1Ay Allele in Common Wheat from Wild Emmer and Its Potential Role in Flour Improvement" International Journal of Molecular Sciences 19, no. 4: 923. https://doi.org/10.3390/ijms19040923
APA StyleWang, Z., Huang, L., Wu, B., Hu, J., Jiang, Z., Qi, P., Zheng, Y., & Liu, D. (2018). Characterization of an Integrated Active Glu-1Ay Allele in Common Wheat from Wild Emmer and Its Potential Role in Flour Improvement. International Journal of Molecular Sciences, 19(4), 923. https://doi.org/10.3390/ijms19040923

