Distribution of Glutathione-Stabilized Gold Nanoparticles in Feline Fibrosarcomas and Their Role as a Drug Delivery System for Doxorubicin—Preclinical Studies in a Murine Model
Abstract
1. Introduction
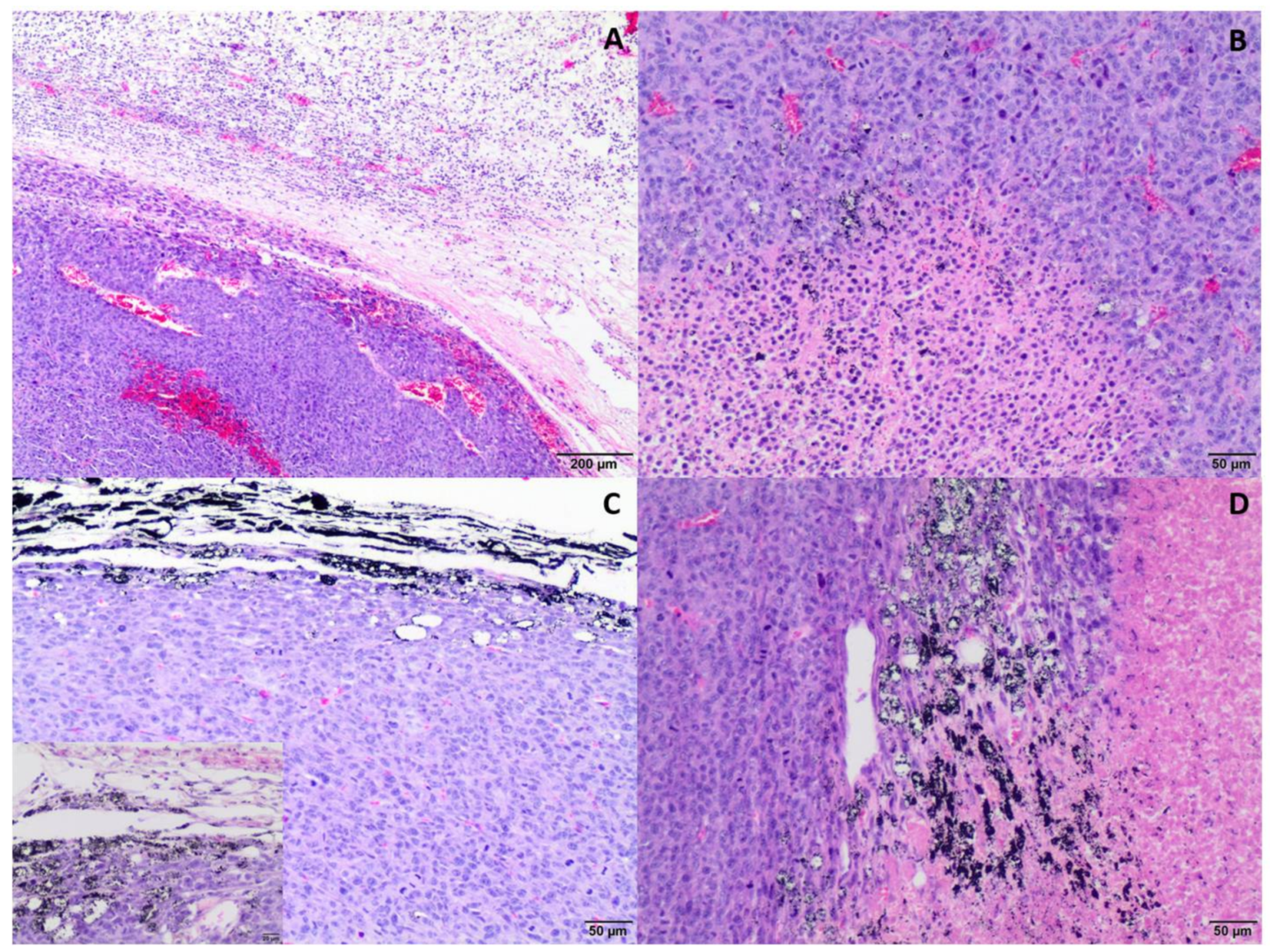
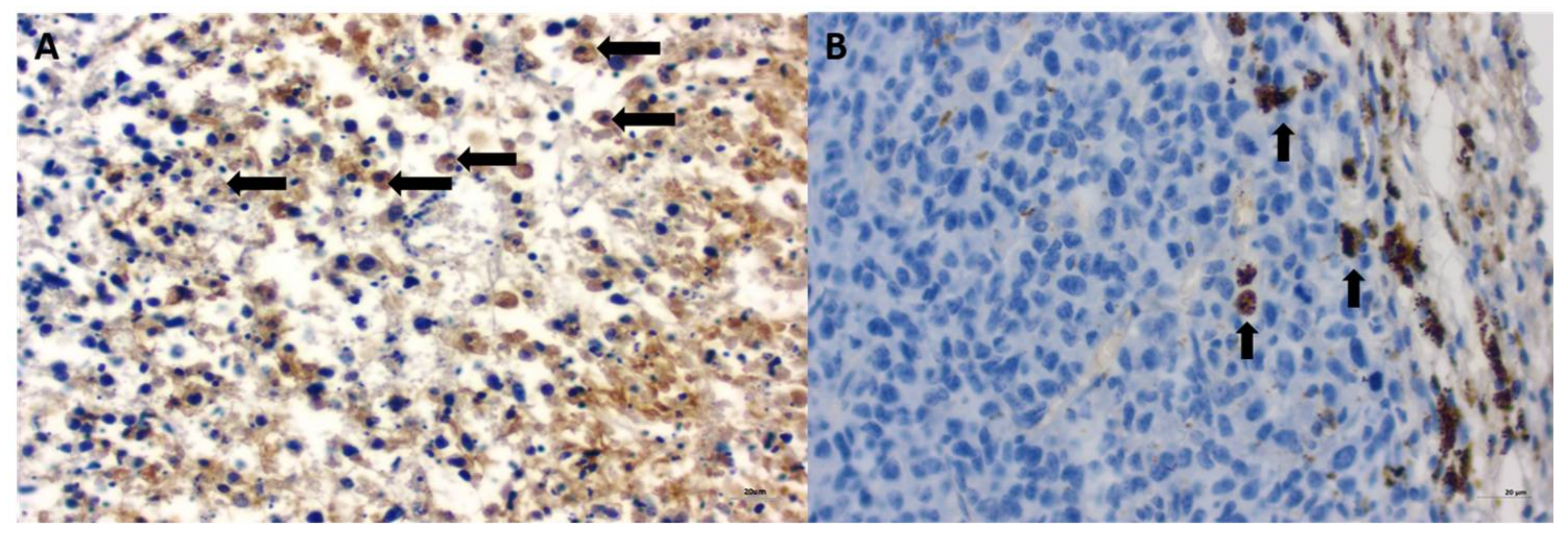
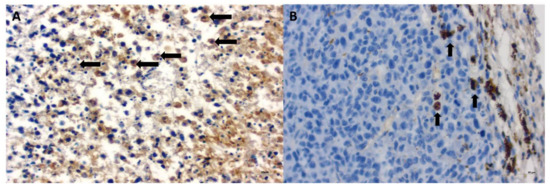
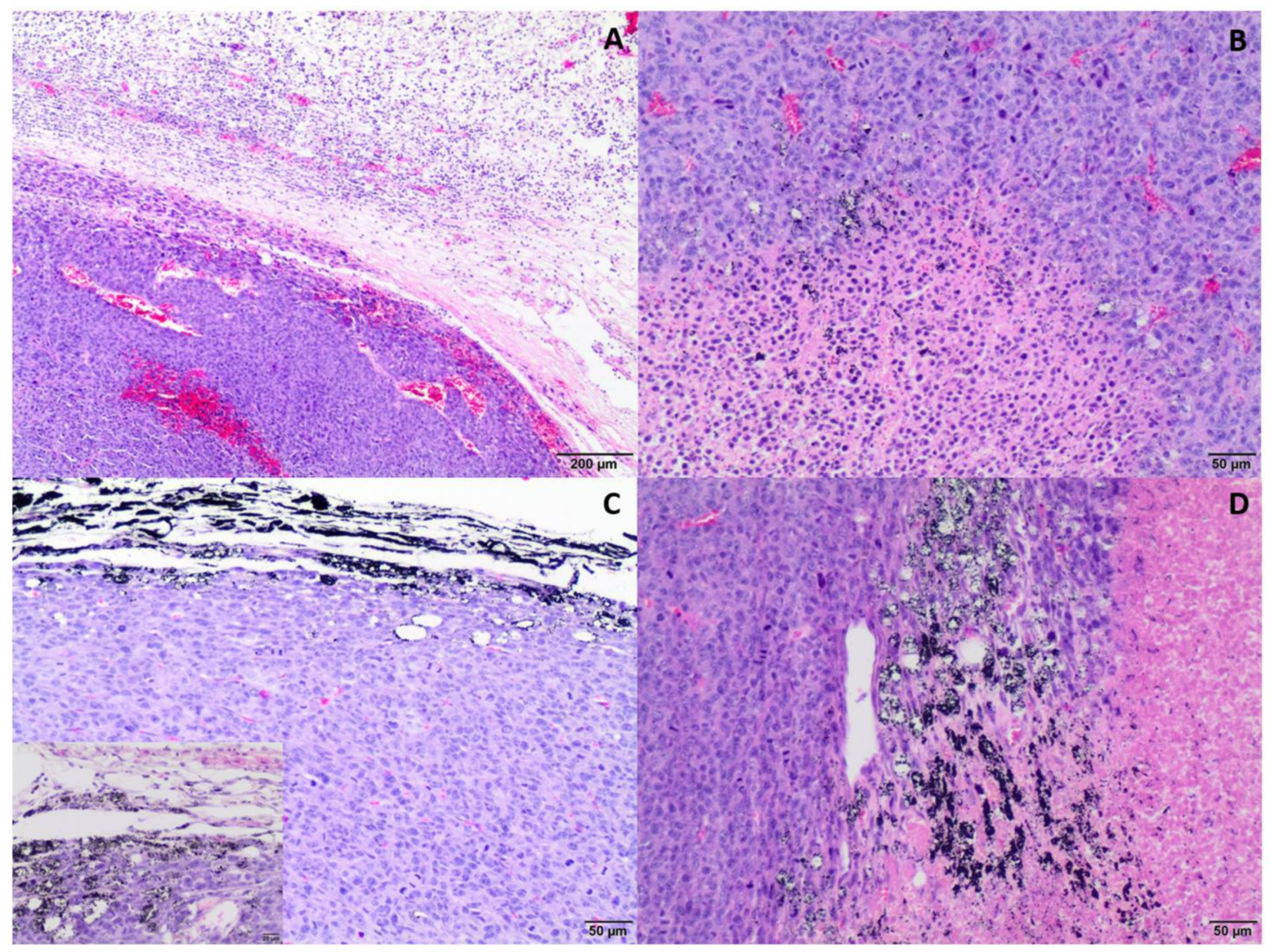
2. Results
3. Discussion
4. Materials and Methods
4.1. Cell Cultivation
4.2. Au-GSH and Dox Conjugated to Glutathione-Stabilized Gold Nanoparticles (Au-GSH-Dox) Preparation and Characterization
4.3. Animal Studies
4.3.1. Animal Housing
4.3.2. Au-GSH and Au-GSH-Dox Distribution and Efficacy Studies
4.4. ICP-MS Analyses
4.5. Confocal Microscopy
4.6. Histopathology and Immunohistochemistry
4.7. Statistical Analyses
Acknowledgments
Author Contributions
Conflicts of Interest
Abbreviations
| Au-NP | gold nanoparticle |
| Au-GSH | glutathione-stabilized gold nanoparticle |
| Au-GSH-Dox | doxorubicin conjugated to glutathione-stabilized gold nanoparticles |
| ALT | alanine transaminase |
| AST | asparagine transaminase |
| BUN | blood urea nitrogen |
| DDS | drug delivery system |
| DLS | dynamic light scattering |
| Dox | doxorubicin |
| FISS | feline injection-site sarcoma |
| HE | hematoxylin and eosin |
| HP | histopathology |
| HPF | high power field |
| ICP-MS | inductively-coupled plasma mass spectrometer |
| IV | intravenous |
| MDR | multidrug resistance |
| MeOH | methanol |
| MRP | multidrug resistance protein |
| NaBH4 | sodium borohydride |
| NaCl | Sodium chloride |
| NaHCO3 | saturated sodium bicarbonate |
| PBS | phosphate-buffered saline |
| P-gp | P-glycoprotein |
| SAXS | small angle X-ray scattering |
| SD | standard deviation |
| SEM | standard error of mean |
| TAM | tumor-associated macrophages |
References
- Zabielska-Koczywąs, K.; Wojtalewicz, A.; Lechowski, R. Current knowledge on feline injection-site sarcoma treatment. Acta Vet. Scand. 2017, 59, 47. [Google Scholar] [CrossRef] [PubMed]
- Choi, C.-H. ABC transporters as multidrug resistance mechanisms and the development of chemosensitizers for their reversal. Cancer Cell Int. 2005, 5, 30. [Google Scholar] [CrossRef] [PubMed][Green Version]
- Jain, R.K.; Stylianopoulos, T. Delivering nanomedicine to solid tumors. Nat. Rev. Clin. Oncol. 2010, 7, 653–664. [Google Scholar] [CrossRef] [PubMed]
- Jang, S.H.; Wientjes, M.G.; Lu, D.; Au, J.L.-S. Drug Delivery and Transport to Solid Tumors. Pharm. Res. 2003, 20, 1337–1350. [Google Scholar] [CrossRef] [PubMed]
- Minchinton, A.I.; Tannock, I.F. Drug penetration in solid tumours. Nat. Rev. Cancer 2006, 6, 583–592. [Google Scholar] [CrossRef] [PubMed]
- Dreaden, E.C.; Austin, L.A.; Mackey, M.A.; El-Sayed, M.A. Size matters: Gold nanoparticles in targeted cancer drug delivery. Ther. Deliv. 2012, 3, 457–478. [Google Scholar] [CrossRef] [PubMed]
- Arvizo, R.; Bhattacharya, R.; Mukherjee, P. Gold nanoparticles: Opportunities and Challenges in Nanomedicine. Expert Opin. Drug Deliv. 2010, 7, 753–763. [Google Scholar] [CrossRef] [PubMed]
- Tomuleasa, C.; Soritau, O.; Orza, A.; Dudea, M.; Petrushev, B.; Mosteanu, O.; Susman, S.; Florea, A.; Pall, E.; Aldea, M.; et al. Gold nanoparticles conjugated with cisplatin/doxorubicin/capecitabine lower the chemoresistance of hepatocellular carcinoma-derived cancer cells. J. Gastrointest. Liver Dis. 2012, 21, 187–196. [Google Scholar]
- Huang, Y.; Yu, F.; Park, Y.S.; Wang, J.; Shin, M.C.; Chung, H.S.; Yang, V.C. Co-administration of protein drugs with gold nanoparticles to enable percutaneous delivery. Biomaterials 2010, 31, 9086–9091. [Google Scholar] [CrossRef] [PubMed]
- Paciotti, G.F.; Myer, L.; Weinreich, D.; Goia, D.; Pavel, N.; McLaughlin, R.E.; Tamarkin, L. Colloidal gold: A novel nanoparticle vector for tumor directed drug delivery. Drug Deliv. 2004, 11, 169–183. [Google Scholar] [CrossRef] [PubMed]
- Dhamecha, D.; Jalalpure, S.; Jadhav, K.; Jagwani, S.; Chavan, R. Doxorubicin loaded gold nanoparticles: Implication of passive targeting on anticancer efficacy. Pharmacol. Res. 2016, 113, 547–556. [Google Scholar] [CrossRef] [PubMed]
- Wójcik, M.; Lewandowski, W.; Król, M.; Pawłowski, K.; Mieczkowski, J.; Lechowski, R.; Zabielska, K. Enhancing anti-tumor efficacy of doxorubicin by non-covalent conjugation to gold nanoparticles—In vitro studies on Feline fibrosarcoma cell lines. PLoS ONE 2015, 10, e0124955. [Google Scholar] [CrossRef] [PubMed]
- Couto, S.S.; Griffey, S.M.; Duarte, P.C.; Madewell, B.R. Feline vaccine-associated fibrosarcoma: Morphologic distinctions. Vet. Pathol. 2002, 39, 33–41. [Google Scholar] [CrossRef] [PubMed]
- Luty-Błocho, M.; Wojnicki, M.; Fitzner, K. Gold Nanoparticles Formation via Au(III) Complex Ions Reduction with l-Ascorbic Acid. Int. J. Chem. Kinet. 2017, 49, 789–797. [Google Scholar] [CrossRef]
- Luty-Błocho, M.; Wojnicki, M. Single-step synthesis of onion-like Au—Pd—PtNPs nanoparticles using microflow system. J. Flow Chem. 2015, 5, 197–200. [Google Scholar] [CrossRef]
- Luty-Błocho, M.; Fitzner, K.; Hessel, V.; Löb, P.; Maskos, M.; Metzke, D.; Pacławski, K.; Wojnicki, M. Synthesis of gold nanoparticles in an interdigital micromixer using ascorbic acid and sodium borohydride as reducers. Chem. Eng. J. 2011, 171, 279–290. [Google Scholar] [CrossRef]
- Zhang, N.; Wang, L.Y.; Liu, H.; Cai, Q.K. Nitric acid oxidation on carbon dispersion and suspension stability. Surf. Interface Anal. 2008, 40, 1190–1194. [Google Scholar] [CrossRef]
- Sonavane, G.; Tomoda, K.; Sano, A.; Ohshima, H.; Terada, H.; Makino, K. In vitro permeation of gold nanoparticles through rat skin and rat intestine: Effect of particle size. Colloids Surf. B Biointerfaces 2008, 65, 1–10. [Google Scholar] [CrossRef] [PubMed]
- Zhang, H.; Liu, G.; Zeng, X.; Yang, C.; Mei, L.; Wang, Z.; Huang, L. Fabrication of genistein-loaded biodegradable TPGS-b-PCL nanoparticles for improved therapeutic effects in cervical cancer cells. Int. J. Nanomed. 2015, 10, 2461–2473. [Google Scholar]
- Zabielska-Koczywas, K.; Wojtkowska, A.; Dolka, I.; Małek, A.; Walewska, M.; Wojtalewicz, A.; Zbikowski, A.; Lechowski, R. 3D chick embryo chorioallantoic membrane model as an in vivo model to study morphological and histopathological features of feline fibrosarcomas. BMC Vet. Res. 2017, 13, 201. [Google Scholar] [CrossRef] [PubMed]
- Doddy, F.D.; Glickman, L.T.; Glickman, N.W.; Janovitz, E.B. Feline fibrosarcomas at vaccination sites and non-vaccination sites. J. Comp. Pathol. 1996, 114, 165–174. [Google Scholar] [CrossRef]
- Kang, S.; Southard, T.; Hume, K.R. DNA damage is a feature of feline injection-site sarcoma. Vet. Comp. Oncol. 2017, 15, 518–524. [Google Scholar] [CrossRef] [PubMed]
- Bredholt, G.; Mannelqvist, M.; Stefansson, I.M.; Birkeland, E.; Bø, T.H.; Øyan, A.M.; Trovik, J.; Kalland, K.-H.; Jonassen, I.; Salvesen, H.B.; et al. Tumor necrosis is an important hallmark of aggressive endometrial cancer and associates with hypoxia, angiogenesis and inflammation responses. Oncotarget 2015, 6, 39676–39691. [Google Scholar] [CrossRef] [PubMed]
- Keene, A.M.; Peters, D.; Rouse, R.; Stewart, S.; Rosen, E.T.; Tyner, K.M. Tissue and cellular distribution of gold nanoparticles varies based on aggregation/agglomeration status. Nanomedicine 2012, 7, 199–209. [Google Scholar] [CrossRef] [PubMed]
- Wojnicki, M.; Luty-błocho, M.; Bednarski, M.; Dudek, M.; Knutelska, J.; Sapa, J.; Zygmunt, M.; Nowak, G.; Fitzner, K. Tissue distribution of gold nanoparticles after single intravenous administration in mice. Pharmacol. Rep. 2013, 65, 1033–1038. [Google Scholar] [CrossRef]
- De Jong, W.H.; Hagens, W.I.; Krystek, P.; Burger, M.C.; Sips, A.J.A.M.; Geertsma, R.E. Particle size-dependent organ distribution of gold nanoparticles after intravenous administration. Biomaterials 2008, 29, 1912–1919. [Google Scholar] [CrossRef] [PubMed]
- Sonavane, G.; Tomoda, K.; Makino, K. Biodistribution of colloidal gold nanoparticles after intravenous administration: Effect of particle size. Colloids Surf. B Biointerfaces 2008, 66, 274–280. [Google Scholar] [CrossRef] [PubMed]
- Yang, L.; Kuang, H.; Zhang, W.; Aguilar, Z.P.; Wei, H.; Xu, H. Comparisons of the biodistribution and toxicological examinations after repeated intravenous administration of silver and gold nanoparticles in mice. Sci. Rep. 2017, 7, 1–12. [Google Scholar] [CrossRef] [PubMed]
- Zabielska-Koczywąs, K.; Dolka, I.; Król, M.; Żbikowski, A.; Lewandowski, W.; Mieczkowski, J.; Wójcik, M.; Lechowski, R. Doxorubicin Conjugated to Glutathione Stabilized Gold Nanoparticles (Au-GSH-Dox) as an Effective Therapeutic Agent for Feline Injection-Site Sarcomas-Chick Embryo Chorioallantoic Membrane Study. Molecules 2017, 22, 253. [Google Scholar] [CrossRef] [PubMed]
- Al-Ghananeem, A.M.; Malkawi, A.H.; Muammer, Y.M.; Balko, J.M.; Black, E.P.; Mourad, W.; Romond, E. Intratumoral delivery of Paclitaxel in solid tumor from biodegradable hyaluronan nanoparticle formulations. AAPS PharmSciTech 2009, 10, 410–417. [Google Scholar] [CrossRef] [PubMed]
- Zhang, X.; Teodoro, J.G.; Nadeau, J.L. Intratumoral gold-doxorubicin is effective in treating melanoma in mice. Nanomed. Nanotechnol. Biol. Med. 2015, 11, 1365–1375. [Google Scholar] [CrossRef] [PubMed]
- Lammers, T.; Peschke, P.; Kuhnlein, R.; Subr, V.; Ulbrich, K.; Huber, P.; Hennink, W.; Storm, G. Effect of Intratumoral Injection on the Biodistribution and the Therapeutic Potential of HPMA Copolymer—Based Drug Delivery Systems. Neoplasia 2006, 8, 788–795. [Google Scholar] [CrossRef] [PubMed]
- Lasagna-Reeves, C.; Gonzalez-Romero, D.; Barria, M.A.; Olmedo, I.; Clos, A.; Sadagopa Ramanujam, V.M.; Urayama, A.; Vergara, L.; Kogan, M.J.; Soto, C. Bioaccumulation and toxicity of gold nanoparticles after repeated administration in mice. Biochem. Biophys. Res. Commun. 2010, 393, 649–655. [Google Scholar] [CrossRef] [PubMed]
- Ferrari, M. Frontiers in Cancer Nanomedicine: Directing Mass Transport through Biological Barriers. Trends Biotechnol. 2010, 28, 181–188. [Google Scholar] [CrossRef] [PubMed]
- Blanco, E.; Shen, H.; Ferrari, M. Principles of nanoparticles design for overcoming biologica barriers for drug delivery. Nat. Biotechnol. 2016, 33, 941–951. [Google Scholar] [CrossRef] [PubMed]
- Choi, I.-K.; Strauss, R.; Richter, M.; Yun, C.-O.; Lieber, A. Strategies to increase drug penetration in solid tumors. Front. Oncol. 2013, 3, 193. [Google Scholar] [CrossRef] [PubMed]
- Yang, L.; Zhang, Y. Tumor-associated macrophages: From basic research to clinical application. J. Hematol. Oncol. 2017, 10, 58. [Google Scholar] [CrossRef] [PubMed]
- Grivennikov, S.I.; Greten, F.R.; Karin, M. Immunity, Inflammation, and Cancer. Cell 2011, 140, 883–899. [Google Scholar] [CrossRef] [PubMed]
- Caux, C.; Ramos, R.N.; Prendergast, G.C.; Bendriss-Vermare, N.; Ménétrier-Caux, C. A milestone review on how macrophages affect tumor growth. Cancer Res. 2016, 76, 6439–6442. [Google Scholar] [CrossRef] [PubMed]
- Leek, R.D.; Lewis, C.E.; Whitehouse, R.; Greenall, M.; Clarke, J.; Harris, A.L. Association of macrophage infiltration with angiogenesis and prognosis in invasive breast carcinoma. Cancer Res. 1996, 56, 4625–4629. [Google Scholar] [PubMed]
- Murdoch, C.; Giannoudis, A.; Lewis, C.E. Mechanisms regulating the recruitment of macrophages into hypoxic areas of tumors and other ischemic tissues. Blood 2004, 104, 2224–2234. [Google Scholar] [CrossRef] [PubMed]
- Onita, T.; Ji, P.G.; Xuan, J.W.; Sakai, H.; Kanetake, H.; Maxwell, P.H.; Fong, G.; Gabril, M.Y.; Moussa, M.; Chin, J.L. Hypoxia-induced, Perinecrotic Expression of Endothelial Per–ARNT–Sim Domain Protein-1/Hypoxia-inducible Factor-2. Correlates with Tumor Progression, Vascularization, and Focal Macrophage Infiltration in Bladder Cancer. Clin. Cancer Res. 2002, 8, 471–480. [Google Scholar] [PubMed]
- Panni, R.Z.; Linehan, D.C.; DeNardo, D.G. Targeting tumor-infiltrating macrophages to combat cancer. Immunotherapy 2013, 5, 1075–1087. [Google Scholar] [CrossRef] [PubMed]
- Raposo, T.; Gregorio, H.; Pires, I.; Prada, J.; Queiroga, F.L. Prognostic value of tumour-associated macrophages in canine mammary tumours. Vet. Comp. Oncol. 2014, 12, 10–19. [Google Scholar] [CrossRef] [PubMed]
- Król, M.; Pawłowski, K.M.; Majchrzak, K.; Dolka, I.; Abramowicz, A.; Szyszko, K.; Motyl, T. Density of tumor-associated macrophages (TAMs) and expression of their growth factor receptor MCSF-R and CD14 in canine mammary adenocarcinomas of various grade of malignancy and metastasis. Pol. J. Vet. Sci. 2011, 14, 3–10. [Google Scholar] [CrossRef] [PubMed]
- Raposo, T.P.; Pires, I.; Carvalho, M.I.; Prada, J.; Argyle, D.J.; Queiroga, F.L. Tumour-associated macrophages are associated with vascular endothelial growth factor expression in canine mammary tumours. Vet. Comp. Oncol. 2015, 13, 464–474. [Google Scholar] [CrossRef] [PubMed]
- Lee, H.; Hoang, B.; Fonge, H.; Reilly, R.M.; Allen, C. In vivo distribution of polymeric nanoparticles at the whole-body, tumor, and cellular levels. Pharm. Res. 2010, 27, 2343–2355. [Google Scholar] [CrossRef] [PubMed]
- Erichsen, J.V.; Hecht, W.; Lohberg-Gruene, C.; Reinacher, M. Cell Lines Derived from Feline Fibrosarcoma Display Unstable Chromosomal Aneuploidy and Additionally Centrosome Number Aberrations. Vet. Pathol. 2012, 49, 648–657. [Google Scholar] [CrossRef] [PubMed]
- Petznek, H.; Kleiter, M.; Tichy, A.; Fuchs-Baumgartinger, A.; Hohenadl, C. Murine xenograft model demonstrates significant radio-sensitising effect of liposomal doxorubicin in a combination therapy for Feline Injection Site Sarcoma. Res. Vet. Sci. 2014, 97, 386–390. [Google Scholar] [CrossRef] [PubMed]
- Bednarski, M.; Dudek, M.; Knutelska, J.; Nowinski, L.; Sapa, J.; Zygmunt, M.; Nowak, G.; Luty-Blocho, M.; Wojnicki, M.; Fitzner, K.; et al. The influence of the route of administration of gold nanoparticles on their tissue distribution and basic biochemical parameters: In vivo studies. Pharmacol. Rep. 2015, 67, 405–409. [Google Scholar] [CrossRef] [PubMed]















| Tested Compound | ID | Grading System of Fibrosarcoma 1 | Hemorrhages | Inflammation | Au-GSH Deposits | ||||
|---|---|---|---|---|---|---|---|---|---|
| Differentiation | Mitotic Count | Mitotic Score | Necrosis | Grade | |||||
| NaCl | 93795 | 3 | 148 | 3 | 1 | III | Yes | 1 | No |
| NaCl | 93864 | 3 | 103 | 3 | 3 | III | Yes | 0 | No |
| NaCl | 93869 | 3 | 133 | 3 | 3 | III | Yes | 1 | No |
| NaCl | 93870 | 3 | 90 | 3 | 3 | III | Yes | 3 | No |
| NaCl | 93872 | 3 | 124 | 3 | 2 | III | Yes | 0 | No |
| NaCl | 93873 | 3 | 144 | 3 | 3 | III | Yes | 1 | No |
| NaCl | 93874 | 3 | 139 | 3 | 3 | III | Yes | 0 | No |
| Au-GSH | 93862 | 3 | 113 | 3 | 1 | III | Yes | 0 | Peripherally |
| Au-GSH | 93863 | 3 | 164 | 3 | 3 | III | Yes | 1 | Peripherally and in tumor within area of necrosis |
| Au-GSH | 93866 | 3 | 121 | 3 | 2 | III | Yes | 0 | Peripherally |
| Au-GSH | 93867 | 3 | 121 | 3 | 2 | III | Yes | 1 | Peripherally and in tumor within area of necrosis |
| Au-GSH | 93871 | 3 | 191 | 3 | 3 | III | Yes | 1 | Peripherally and in tumor within area of necrosis |
| Au-GSH | 93793 | 3 | 121 | 3 | 2 | III | Yes | 0 | Peripherally |
| Au-GSH | 93794 | 3 | 116 | 3 | 2 | III | Yes | 3 | Peripherally and in tumor within area of necrosis |
| Au-GSH-Dox | 93842 | 3 | 111 | 3 | 3 | III | Yes | 2 | Peripherally |
| Au-GSH-Dox | 93843 | 3 | 99 | 3 | 3 | III | Yes | 3 | Peripherally and in tumor within area of necrosis |
| Au-GSH-Dox | 93844 | 3 | 59 | 3 | 2 | III | Yes | 1 | Peripherally and in tumor within area of necrosis |
| Au-GSH-Dox | 93868 | 3 | 124 | 3 | 3 | III | Yes | 1 | Peripherally |
| Au-GSH-Dox | 93846 | 3 | 101 | 3 | 2 | III | Yes | 0 | Peripherally and in tumor within area of necrosis |
| Au-GSH-Dox | 93847 | 3 | 142 | 3 | 2 | III | Yes | 0 | Peripherally and in tumor within area of necrosis |
| Au-GSH-Dox | 93848 | 3 | 136 | 3 | 2 | III | Yes | 2 | Peripherally and in tumor wthin area of necrosis |
| Au-GSH-Dox | 93849 | 3 | 84 | 3 | 3 | III | Yes | 3 | Peripherally |
| Au-GSH-Dox | 93851 | 3 | 111 | 3 | 3 | III | Yes | 1 | Peripherally and in tumor within area of necrosis |
| Au-GSH-Dox | 93858 | 3 | 115 | 3 | 3 | III | Yes | 0 | Peripherally and in tumor within area of necrosis |
| Au-GSH-Dox | 93853 | 3 | 100 | 3 | 2 | III | Yes | 3 | Peripherally and in tumor within area of necrosis |
| Au-GSH-Dox | 93788 | 3 | 54 | 3 | 2 | III | Yes | 1 | Peripherally and in tumor within area of necrosis |
| Au-GSH-Dox | 93789 | 3 | 98 | 3 | 2 | III | Yes | 2 | Peripherally |
| Dox | 93791 | 3 | 114 | 3 | 2 | III | Yes | 0 | No |
| Dox | 93854 | 3 | 108 | 3 | 2 | III | Yes | 0 | No |
| Dox | 93855 | 3 | 125 | 3 | 2 | III | Yes | 2 | No |
| Dox | 93856 | 3 | 134 | 3 | 3 | III | Yes | 3 | No |
| Dox | 93857 | 3 | 101 | 3 | 2 | III | Yes | 2 | No |
| Dox | 93858 | 3 | 92 | 3 | 1 | III | Yes | 0 | No |
| Dox | 93859 | 3 | 63 | 3 | 1 | III | Yes | 1 | No |
| Dox | 93860 | 3 | 96 | 3 | 2 | III | Yes | 1 | No |
| Dox | 93861 | 3 | 112 | 3 | 2 | III | Yes | 1 | No |
| Dox | 93845 | 3 | 108 | 3 | 2 | III | Yes | 1 | No |
| Dox | 93850 | 3 | 101 | 3 | 2 | III | Yes | 1 | No |
| Dox | 93865 | 3 | 155 | 3 | 1 | III | Yes | 1 | No |
| Dox | 93792 | 3 | 169 | 3 | 2 | III | Yes | 1 | No |
© 2018 by the authors. Licensee MDPI, Basel, Switzerland. This article is an open access article distributed under the terms and conditions of the Creative Commons Attribution (CC BY) license (http://creativecommons.org/licenses/by/4.0/).
Share and Cite
Zabielska-Koczywąs, K.; Wojtalewicz, A.; Użarowska, E.; Klejman, A.; Wojtkowska, A.; Dolka, I.; Wojnicki, M.; Sobczak, K.; Wójcik, M.; Shen, H.; et al. Distribution of Glutathione-Stabilized Gold Nanoparticles in Feline Fibrosarcomas and Their Role as a Drug Delivery System for Doxorubicin—Preclinical Studies in a Murine Model. Int. J. Mol. Sci. 2018, 19, 1021. https://doi.org/10.3390/ijms19041021
Zabielska-Koczywąs K, Wojtalewicz A, Użarowska E, Klejman A, Wojtkowska A, Dolka I, Wojnicki M, Sobczak K, Wójcik M, Shen H, et al. Distribution of Glutathione-Stabilized Gold Nanoparticles in Feline Fibrosarcomas and Their Role as a Drug Delivery System for Doxorubicin—Preclinical Studies in a Murine Model. International Journal of Molecular Sciences. 2018; 19(4):1021. https://doi.org/10.3390/ijms19041021
Chicago/Turabian StyleZabielska-Koczywąs, Katarzyna, Anna Wojtalewicz, Ewelina Użarowska, Agata Klejman, Agata Wojtkowska, Izabella Dolka, Marek Wojnicki, Katarzyna Sobczak, Michał Wójcik, Haifa Shen, and et al. 2018. "Distribution of Glutathione-Stabilized Gold Nanoparticles in Feline Fibrosarcomas and Their Role as a Drug Delivery System for Doxorubicin—Preclinical Studies in a Murine Model" International Journal of Molecular Sciences 19, no. 4: 1021. https://doi.org/10.3390/ijms19041021
APA StyleZabielska-Koczywąs, K., Wojtalewicz, A., Użarowska, E., Klejman, A., Wojtkowska, A., Dolka, I., Wojnicki, M., Sobczak, K., Wójcik, M., Shen, H., Ferrari, M., & Lechowski, R. (2018). Distribution of Glutathione-Stabilized Gold Nanoparticles in Feline Fibrosarcomas and Their Role as a Drug Delivery System for Doxorubicin—Preclinical Studies in a Murine Model. International Journal of Molecular Sciences, 19(4), 1021. https://doi.org/10.3390/ijms19041021

