Efficient Heterologous Production of Rhizopus oryzae Lipase via Optimization of Multiple Expression-Related Helper Proteins
Abstract
1. Introduction
2. Results
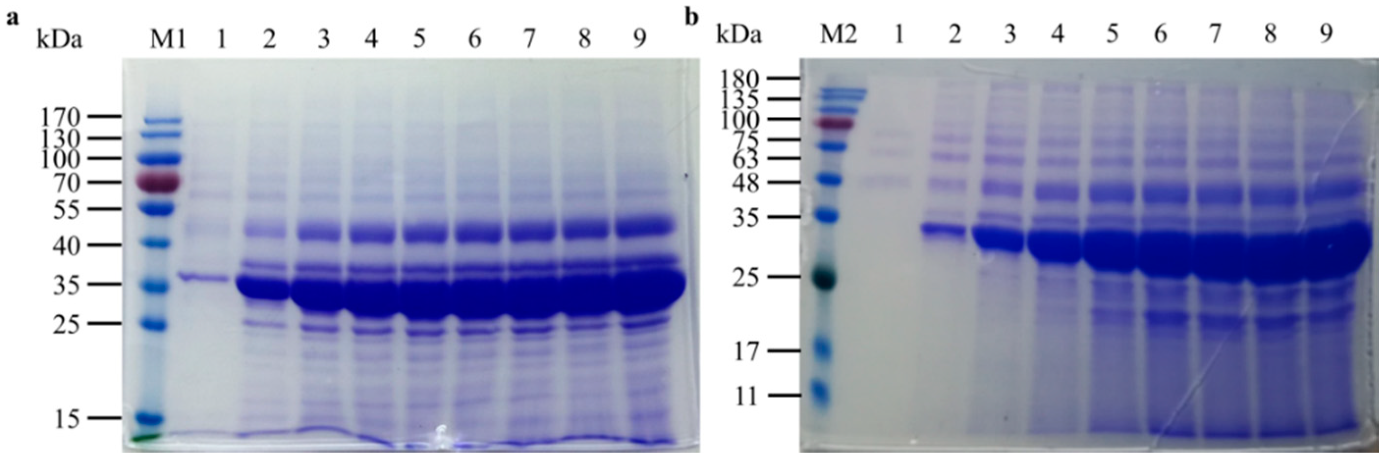
2.1. Influence of the Co-Expression of Different Copies of Pdi on ROL Production
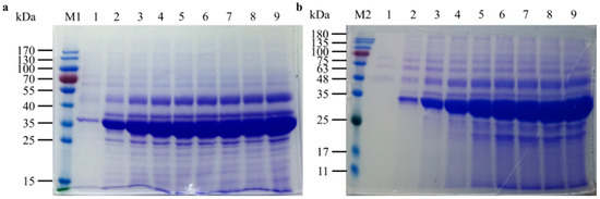
2.2. Effect of Co-Expressing a Single Helper Gene on ROL Expression
2.3. Co-Expressing Multiple Helper Genes to Enhance ROL Secretion
2.4. High-Cell-Density Fermentation in a 3 L Bioreactor
3. Discussion
4. Materials and Methods
4.1. Strains, Plasmids, and Media
4.2. Vector Construction
4.3. Transformation of P. Pastoris
4.4. Recombinant Screening and Shake-Flask Culture
4.5. Enzyme Assay and Total Protein Concentration
4.6. Gene-Copy Number Determination by RT-qPCR
4.7. 3 L Fermenter Cultivation
4.8. Dry Cell Weight (DCW) and OD600nm
4.9. Sodium Dodecyl Sulfate Polyacrylamide Gel Electrophoresis (SDS-PAGE) Analysis
5. Conclusions
Author Contributions
Funding
Acknowledgments
Conflicts of Interest
Abbreviations
| Bip | immunoglobulin-binding protein |
| BMGY | buffered glycerol-complex medium |
| BMMY | buffered methanol-complex medium |
| BRBO | BMMY-rhodamine B-olive oil medium |
| Cne1 | calnexin-like protein |
| DCW | dry cell weight |
| ER | endoplasmic reticulum |
| ERAD | ER-associated degradation |
| Ero1 | ER oxidoreduction 1 |
| GOD | glucose oxidase |
| LB | Luria–Bertani |
| OD600nm | optical density at 600 nm |
| OE-PCR | overlap extension PCR |
| pAOX1 | alcohol oxidase 1 promoter |
| Pdi | protein disulfide isomerase |
| PTVA | posttransformational vector amplification |
| ROL | Rhizopus oryzae lipase |
| SDS-PAGE | sodium dodecyl sulfate polyacrylamide gel electrophoresis |
| UPR | unfolded protein response |
| VHb | vitreoscilla hemoglobin |
| YPD | yeast extract-peptone-dextrose |
References
- Brzozowski, A.M.; Derewenda, U.; Derewenda, Z.S.; Dodson, G.G.; Lawson, D.M.; Turkenburg, J.P.; Bjorkling, F.; Huge-Jensen, B.; Patkar, S.A.; Thim, L. A model for interfacial activation in lipases from the structure of a fungal lipase-inhibitor complex. Nature 1991, 351, 491–494. [Google Scholar] [CrossRef] [PubMed]
- Treichel, H.; de Oliveira, D.; Mazutti, M.A.; Di Luccio, M.; Oliveira, J.V. A review on microbial lipases production. Food Bioprocess Technol. 2010, 3, 182–196. [Google Scholar] [CrossRef]
- Jaeger, K.E.; Eggert, T. Lipases for biotechnology. Curr. Opin. Biotechnol. 2002, 13, 390–397. [Google Scholar] [CrossRef]
- Hasan, F.; Shah, A.A.; Hameed, A. Industrial applications of microbial lipases. Enzyme Microb. Technol. 2006, 39, 235–251. [Google Scholar] [CrossRef]
- Kaieda, M.; Samukawa, T.; Matsumoto, T.; Ban, K.; Kondo, A.; Shimada, Y.; Noda, H.; Nomoto, F.; Ohtsuka, K.; Izumoto, E.; et al. Biodiesel fuel production from plant oil catalyzed by Rhizopus oryzae lipase in a water-containing system without an organic solvent. J. Biosci. Bioeng. 1999, 88, 627–631. [Google Scholar] [CrossRef]
- Su, F.; Li, G.; Fan, Y.; Yan, Y. Enhancing biodiesel production via a synergic effect between immobilized Rhizopus oryzae lipase and Novozym 435. Fuel Process. Technol. 2015, 137, 298–304. [Google Scholar] [CrossRef]
- Resina, D.; Maurer, M.; Cos, O.; Arnau, C.; Carnicer, M.; Marx, H.; Gasser, B.; Valero, F.; Mattanovich, D.; Ferrer, P. Engineering of bottlenecks in Rhizopus oryzae lipase production in Pichia pastoris using the nitrogen source-regulated FLD1 promoter. New Biotechnol. 2009, 25, 396–403. [Google Scholar] [CrossRef] [PubMed]
- Yu, X.; Lu, X.; Zhao, L.; Xu, Y. Impact of NH4+ nitrogen source on the production of Rhizopus oryzae lipase in Pichia pastoris. Process Biochem. 2013, 48, 1462–1468. [Google Scholar] [CrossRef]
- Cereghino, J.L.; Cregg, J.M. Heterologous protein expression in the methylotrophic yeast Pichia pastoris. FEMS Microbiol. Rev. 2000, 24, 45–66. [Google Scholar] [CrossRef] [PubMed]
- Macauley-Patrick, S.; Fazenda, M.L.; McNeil, B.; Harvey, L.M. Heterologous protein production using the Pichia pastoris expression system. Yeast 2005, 22, 249–270. [Google Scholar] [CrossRef] [PubMed]
- Li, P.; Anumanthan, A.; Gao, X.; Ilangovan, K.; Suzara, V.V.; Duezguenes, N.; Renugopalakrishnan, V. Expression of recombinant proteins in Pichia pastoris. Appl. Biochem. Biotechnol. 2007, 142, 105–124. [Google Scholar] [CrossRef]
- Sreekrishna, K.; Brankamp, R.G.; Kropp, K.E.; Blankenship, D.T.; Tsay, J.T.; Smith, P.L.; Wierschke, J.D.; Subramaniam, A.; Birkenberger, L.A. Strategies for optimal synthesis and secretion of heterologous proteins in the methylotrophic yeast Pichia pastoris. Gene 1997, 190, 55–62. [Google Scholar] [CrossRef]
- Sha, C.; Yu, X.; Lin, N.; Zhang, M.; Xu, Y. Enhancement of lipase r27RCL production in Pichia pastoris by regulating gene dosage and co-expression with chaperone protein disulfide isomerase. Enzyme Microb. Technol. 2013, 53, 438–443. [Google Scholar] [CrossRef] [PubMed]
- Jiao, L.; Zhou, Q.; Su, Z.; Xu, L.; Yan, Y. High-level extracellular production of Rhizopus oryzae lipase in Pichia pastoris via a strategy combining optimization of gene-copy number with co-expression of ERAD-related proteins. Protein Expres. Purif. 2018, 147, 1–12. [Google Scholar] [CrossRef] [PubMed]
- Norden, K.; Agemark, M.; Danielson, J.A.; Alexandersson, E.; Kjellbom, P.; Johanson, U. Increasing gene dosage greatly enhances recombinant expression of aquaporins in Pichia pastoris. BMC Biotechnol. 2011, 11, 47. [Google Scholar] [CrossRef] [PubMed]
- Hohenblum, H.; Gasser, B.; Maurer, M.; Borth, N.; Mattanovich, D. Effects of gene dosage, promoters, and substrates on unfolded protein stress of recombinant Pichia pastoris. Biotechnol. Bioeng. 2004, 85, 367–375. [Google Scholar] [CrossRef] [PubMed]
- Whyteside, G.; Alcocer, M.J.C.; Kumita, J.R.; Dobson, C.M.; Lazarou, M.; Pleass, R.J.; Archer, D.B. Native-state stability determines the extent of degradation relative to secretion of protein variants from Pichia pastoris. PLoS ONE 2011, 6, e22692. [Google Scholar] [CrossRef] [PubMed]
- Graf, A.; Gasser, B.; Dragosits, M.; Sauer, M.; Leparc, G.G.; Tuechler, T.; Kreil, D.P.; Mattanovich, D. Novel insights into the unfolded protein response using Pichia pastoris specific DNA microarrays. BMC Genom. 2008, 9, 390. [Google Scholar] [CrossRef] [PubMed]
- Damasceno, L.M.; Anderson, K.A.; Ritter, G.; Cregg, J.M.; Old, L.J.; Batt, C.A. Cooverexpression of chaperones for enhanced secretion of a single-chain antibody fragment in Pichia pastoris. Appl. Microbiol. Biotechnol. 2007, 74, 381–389. [Google Scholar] [CrossRef] [PubMed]
- Gu, L.; Zhang, J.; Du, G.; Chen, J. Multivariate modular engineering of the protein secretory pathway for production of heterologous glucose oxidase in Pichia pastoris. Enzyme Microb. Technol. 2015, 68, 33–42. [Google Scholar] [CrossRef] [PubMed]
- Xu, L.; Liu, Z.; Wang, G.; Pan, D.; Jiao, L.; Yan, Y. Overexpression of Candida rugosa lipase Lip1 via combined strategies in Pichia pastoris. Enzyme Microb. Technol. 2016, 82, 115–124. [Google Scholar] [CrossRef]
- Gasser, B.; Sauer, M.; Maurer, M.; Stadlmayr, G.; Mattanovich, D. Transcriptomics-based identification of novel factors enhancing heterologous protein secretion in Yeasts. Appl. Environ. Microb. 2007, 73, 6499–6507. [Google Scholar] [CrossRef] [PubMed]
- Michelsen, K.; Mrowiec, T.; Duderstadt, K.E.; Frey, S.; Minor, D.L.; Mayer, M.P.; Schwappach, B. A multimeric membrane protein reveals 14-3-3 isoform specificity in forward transport in yeast. Traffic 2006, 7, 903–916. [Google Scholar] [CrossRef] [PubMed]
- Gasser, B.; Maurer, M.; Rautio, J.; Sauer, M.; Bhattacharyya, A.; Saloheimo, M.; Penttila, M.; Mattanovich, D. Monitoring of transcriptional regulation in Pichia pastoris under protein production conditions. BMC Genom. 2007, 8, 179. [Google Scholar] [CrossRef] [PubMed]
- Chen, H.; Chu, J.; Zhang, S.; Zhuang, Y.; Qian, J.; Wang, Y.; Hu, X. Intracellular expression of Vitreoscilla hemoglobin improves S-adenosylmethionine production in a recombinant Pichia pastoris. Appl. Microbiol. Biotechnol. 2007, 74, 1205–1212. [Google Scholar] [CrossRef] [PubMed]
- Wang, X.; Sun, Y.; Shen, X.; Ke, F.; Zhao, H.; Liu, Y.; Xu, L.; Yan, Y. Intracellular expression of Vitreoscilla hemoglobin improves production of Yarrowia lipolytica lipase LIP2 in a recombinant Pichia pastoris. Enzyme Microb. Technol. 2012, 50, 22–28. [Google Scholar] [CrossRef] [PubMed]
- Zirpel, B.; Degenhardt, F.; Zammarelli, C.; Wibberg, D.; Kalinowski, J.; Stehle, F.; Kayser, O. Optimization of Δ9-tetrahydrocannabinolic acid synthase production in Komagataella phaffii via post-translational bottleneck identification. J. Biotechnol. 2018, 272–273, 40–47. [Google Scholar] [CrossRef] [PubMed]
- Wang, X.; Shen, X.; Zhao, H.; Sun, Y.; Liu, T.; Liu, Y.; Xu, L.; Yan, Y. Combined strategies for the improvement of heterologous expression of a His-tagged Yarrowia lipolytica lipase Lip2 in Pichia pastoris. Afr. J. Biotechnol. 2011, 10, 18503–18512. [Google Scholar] [CrossRef]
- Yu, X.; Sha, C.; Guo, Y.; Xiao, R.; Xu, Y. High-level expression and characterization of a chimeric lipase from Rhizopus oryzae for biodiesel production. Biotechnol. Biofuels 2013, 6, 29. [Google Scholar] [CrossRef] [PubMed]
- Delic, M.; Goengrich, R.; Mattanovich, D.; Gasser, B. Engineering of protein folding and secretion-strategies to overcome bottlenecks for efficient production of recombinant proteins. Antioxid. Redox Signal. 2014, 21, 414–437. [Google Scholar] [CrossRef] [PubMed]
- Schwarzhans, J.; Wibberg, D.; Winkler, A.; Luttermann, T.; Kalinowski, J.; Friehs, K. Integration event induced changes in recombinant protein productivity in Pichia pastoris discovered by whole genome sequencing and derived vector optimization. Microb. Cell Fact. 2016, 15, 84. [Google Scholar] [CrossRef] [PubMed]
- Romanos, M.; Scorer, C.; Sreekrishna, K.; Clare, J. The generation of multicopy recombinant strains. In Pichia Protocols; Higgins, D.R., Cregg, J.M., Eds.; Humana Press: New York, NY, USA, 1998; Volume 103, pp. 55–72. ISBN 978-1-59259-578-5. [Google Scholar]
- Sunga, A.J.; Tolstorukov, I.; Cregg, J.M. Posttransformational vector amplification in the yeast Pichia pastoris. FEMS Yeast Res. 2008, 8, 870–876. [Google Scholar] [CrossRef] [PubMed]
- Jiao, L.; Zhou, Q.; Liu, W.; Yan, Y. New insight into the method of posttransformational vector amplification (PTVA) in Pichia pastoris. J. Microbiol. Meth. 2018, 148, 151–154. [Google Scholar] [CrossRef] [PubMed]
- Bradford, M.M. A rapid and sensitive method for the quantitation of microgram quantities of protein utilizing the principle of protein-dye binding. Anal. Biochem. 1976, 72, 248–254. [Google Scholar] [CrossRef]
- Abad, S.; Kitz, K.; Hoermann, A.; Schreiner, U.; Hartner, F.S.; Glieder, A. Real-time PCR-based determination of gene copy numbers in Pichia pastoris. Biotechnol. J. 2010, 5, 413–420. [Google Scholar] [CrossRef] [PubMed]





| Strains | Gene Copy Number | |
|---|---|---|
| ROL | Pdi | |
| GS115 (control) | 0 | 1 |
| GS115/ROL-Pdi | 1 | 2 |
| GS115/2ROL-Pdi | 2 | 2 |
| GS115/3ROL-Pdi | 3 | 2 |
| GS115/4ROL-Pdi | 4 | 2 |
| GS115/5ROL-Pdi | 5 | 2 |
| GS115/ROL-2Pdi | 1 | 3 |
| GS115/2ROL-2Pdi | 2 | 3 |
| GS115/3ROL-2Pdi | 3 | 3 |
| GS115/4ROL-2Pdi | 4 | 3 |
| GS115/5ROL-2Pdi | 5 | 3 |
| Plasmids/Strains | Description | References |
|---|---|---|
| pPICZA | Intracellular expression vector, Sh ble gene (zeocin r) | Invitrogen |
| pPIC3.5K | Intracellular expression vector, His4 gene and Kan gene (G418 r) | Invitrogen |
| pPIC3.5K-VHb | pPIC3.5K derivative, carrying VHb gene expression cassette | [26] |
| pPICZ-Ssa4 | pPICZA derivative, carrying Ssa4 gene expression cassette | This study |
| pPICZ-Bip | pPICZA derivative, carrying Bip gene expression cassette | This study |
| pPICZ-Cne1 | pPICZA derivative, carrying Cne1 gene expression cassette | This study |
| pPICZ-Ero1 | pPICZA derivative, carrying Ero1 gene expression cassette | This study |
| pPICZ-Sec53 | pPICZA derivative, carrying Sec53 gene expression cassette | This study |
| pPICZ-Bmh2 | pPICZA derivative, carrying Bmh2 gene expression cassette | This study |
| pPICZ-Sso2 | pPICZA derivative, carrying Sso2 gene expression cassette | This study |
| pPICZ-Hac1 | pPICZA derivative, carrying Hac1 gene expression cassette | This study |
| pPICZ-Pdi | pPICZA derivative, carrying Pdi gene expression cassette | This study |
| pPICZ-VHb | pPICZA derivative, carrying VHb gene expression cassette | This study |
| pPIC3.5K-Pdi | pPIC3.5K derivative, carrying Pdi gene expression cassette | This study |
| pPIC3.5K-Ssa4-Sso2 | pPIC3.5K derivative, carrying Ssa4 and Sso2 expression cassettes | This study |
| pPIC3.5K-Ssa4-Bmh2 | pPIC3.5K derivative, carrying Ssa4 and Bmh2 expression cassettes | This study |
| pPIC3.5K-Sso2-Bmh2 | pPIC3.5K derivative, carrying Sso2 and Bmh2 expression cassettes | This study |
| pPIC3.5K-Ssa4-Sso2-Bmh2 | pPIC3.5K derivative, carrying Ssa4, Sso2, and Bmh2 expression cassettes | This study |
| E. coli Top10 | F-, mcrAΔ(mrr-hsd RMS-mcrBC), ϕ80, lacZΔM15, ΔlacX74, recA1, araΔ139Δ(ara-leu)7697, galU, galK, rps, (StrR) endA1, nupG | Invitrogen |
| P. pastoris GS115 | Host strain (his4−, Mut+) | Invitrogen |
| GS115/pAOα-ROL | GS115 harboring one copy of ROL gene | [14] |
| GS115/pAOα-2ROL | GS115 harboring two copies of ROL gene | [14] |
| GS115/pAOα-3ROL | GS115 harboring three copies of ROL gene | [14] |
| GS115/pAOα-4ROL | GS115 harboring four copies of ROL gene | [14] |
| GS115/pAOα-5ROL | GS115 harboring five copies of ROL gene | [14] |
| GS115/ROL-Pdi | GS115/pAOα-ROL harboring pPICZ-Pdi | This study |
| GS115/2ROL-Pdi | GS115/pAOα-2ROL harboring pPICZ-Pdi | This study |
| GS115/3ROL-Pdi | GS115/pAOα-3ROL harboring pPICZ-Pdi | This study |
| GS115/4ROL-Pdi | GS115/pAOα-4ROL harboring pPICZ-Pdi | This study |
| GS115/5ROL-Pdi | GS115/pAOα-5ROL harboring pPICZ-Pdi | This study |
| GS115/ROL-2Pdi | GS115/pAOα-ROL harboring pPICZ-Pdi and pPIC3.5K-Pdi | This study |
| GS115/2ROL-2Pdi | GS115/pAOα-2ROL harboring pPICZ-Pdi and pPIC3.5K-Pdi | This study |
| GS115/3ROL-2Pdi | GS115/pAOα-3ROL harboring pPICZ-Pdi and pPIC3.5K-Pdi | This study |
| GS115/4ROL-2Pdi | GS115/pAOα-4ROL harboring pPICZ-Pdi and pPIC3.5K-Pdi | This study |
| GS115/5ROL-2Pdi | GS115/pAOα-5ROL harboring pPICZ-Pdi and pPIC3.5K-Pdi | This study |
| GS115/5ROL-Ssa4 | GS115/pAOα-5ROL harboring pPICZ-Ssa4 | This study |
| GS115/5ROL-Bip | GS115/pAOα-5ROL harboring pPICZ-Bip | This study |
| GS115/5ROL-Cne1 | GS115/pAOα-5ROL harboring pPICZ-Cne1 | This study |
| GS115/5ROL-Ero1 | GS115/pAOα-5ROL harboring pPICZ-Ero1 | This study |
| GS115/5ROL-Sec53 | GS115/pAOα-5ROL harboring pPICZ-Sec53 | This study |
| GS115/5ROL-Bmh2 | GS115/pAOα-5ROL harboring pPICZ-Bmh2 | This study |
| GS115/5ROL-Sso2 | GS115/pAOα-5ROL harboring pPICZ-Sso2 | This study |
| GS115/5ROL-Hac1 | GS115/pAOα-5ROL harboring pPICZ-Hac1 | This study |
| GS115/5ROL-VHb | GS115/pAOα-5ROL harboring pPICZ-VHb | This study |
| GS115/5ROL-Sso2-Bmh2 | GS115/pAOα-5ROL harboring pPIC3.5K-Sso2-Bmh2 | This study |
| GS115/5ROL-Ssa4-Bmh2 | GS115/pAOα-5ROL harboring pPIC3.5K-Ssa4-Bmh2 | This study |
| GS115/5ROL-Ssa4-Sso2 | GS115/pAOα-5ROL harboring pPIC3.5K-Ssa4-Sso2 | This study |
| GS115/5ROL-Ssa4-Sso2-Bmh2 | GS115/pAOα-5ROL harboring pPIC3.5K-Ssa4-Sso2-Bmh2 | This study |
| GS115/5ROL-Ssa4-Sso2-Bmh2-Bip | GS115/pAOα-5ROL harboring pPIC3.5K-Ssa4-Sso2-Bmh2 and pPICZ-Bip | This study |
| GS115/5ROL-Ssa4-Sso2-Bmh2-Pdi | GS115/pAOα-5ROL harboring pPIC3.5K-Ssa4-Sso2-Bmh2 and pPICZ-Pdi | This study |
| GS115/5ROL-Ssa4-Sso2-Bmh2-Hac1 | GS115/pAOα-5ROL harboring pPIC3.5K-Ssa4-Sso2-Bmh2 and pPICZ-Hac1 | This study |
| GS115/5ROL-Ssa4-Sso2-Bmh2-VHb | GS115/pAOα-5ROL harboring pPIC3.5K-Ssa4-Sso2-Bmh2 and pPICZ-VHb | This study |
| Primers | Sequence (5′–3′) | Annotation | GenBank |
|---|---|---|---|
| Ssa4-F | CCGCTCGAGACGATGGGTAAATCAATTGGAATTG | XhoI site (underlined) | XM_002492398.1 |
| Ssa4-R | ATTTGCGGCCGCTTAATCGACTTCTTCCACGG | NotI site (underlined) | |
| Bip-F | CCGCTCGAGACGATGCTGTCGTTAAAACCATCTTGG | XhoI site (underlined) | AY965684.1 |
| Bip-R | ATTTGCGGCCGCCTACAACTCATCATGATCATAGTCA | NotI site (underlined) | |
| Cne1-F | ATTATTCGAAACGATGAAGATCTCTACCATTGC | AsuII site (underlined) | XM_002491173.1 |
| Cne1-R | ATTTGCGGCCGCCTAGGTTCTCTTTGTAGC | NotI site (underlined) | |
| Ero1-F | ATTATTCGAAACGATGAGGATAGTAAGGAGCG | AsuII site (underlined) | XM_002489600.1 |
| Ero1-R | ATTTGCGGCCGCTTACAAGTCTACTCTATATG | NotI site (underlined) | |
| Sec53-F | ATTATTCGAAACGATGTCGTTTTCTAATAAAGAAGATCC | AsuII site (underlined) | XM_002492115.1 |
| Sec53-R | ATTTGCGGCCGCTTACAGGGAAAAGAGCTCC | NotI site (underlined) | |
| Bmh2-F | CTGAATTCACGATGTCAAGAGAAGATTCTG | EcoRI site (underlined) | XM_002490942.1 |
| Bmh2-R | ATTTGCGGCCGCTCACTCTTCATCTTTGGGAG | NotI site (underlined) | |
| bm-f | GTTATTTGGCCGAATTTGCTG | Elimination of EcoRI site | |
| bm-r | CAGCAAATTCGGCCAAATAAC | ||
| Sso2-F | CTGAATTCACGATGAGTAACCAGTATAATCC | EcoRI site (underlined) | XM_002490368.1 |
| Sso2-R | ATTTGCGGCCGCCTATCTTCCCCAGTTTCCG | NotI site (underlined) | |
| sso-f | CTGAGACCAGTCGTCAACG | Elimination of SalI site | |
| sso-r | CGTTGACGACTGGTCTCAG | ||
| Hac1-F | CTGAATTCATGCCCGTAGATTCTTCTC | EcoRI site (underlined) | XM_002489994.1 |
| Hac1-R | ATTTGCGGCCGCCTATTCCTGGAAGAATACAAAGTC | NotI site (underlined) | |
| ha-f | AATCGGTTGCATCATCCAGCAGCACCATTTACCGCTAATGCA | ||
| ha-r | TGCATTAGCGGTAAATGGTGCTGCTGGATGATGCAACCGATT | ||
| VHb-F | CTGAATTCACCATGTTAGACCAGCAAACC | EcoRI site (underlined) | L21670.1 |
| VHb-R | ATTTGCGGCCGCTTATTCAACCGCTTGAGCG | NotI site (underlined) | |
| Pdi-F | CTGAATTCATGCAATTCAACTGGAATATTAAAACTGTG | EcoRI site (underlined) | EU805807.1 |
| Pdi-R | ATTTGCGGCCGCTTAAAGCTCGTCGTGAGCGTC | NotI site (underlined) | |
| qROL-F | CAAGTATGCTGGTATCGCTG | RT-PCR for ROL | |
| qROL-R | GAGTTGGTACCACGGAAAAC | RT-PCR for ROL | |
| qGADPH-F | CGGTGTTTTCACCACTTTGGA | RT-PCR for GADPH 1 | XM_002491300.1 |
| qGADPH-R | CAACGAACATTGGAGCATCCT | RT-PCR for GADPH | |
| qPdi-F | GCCGTTAAATTCGGTAAGCA | RT-PCR for Pdi | |
| qPdi-F | TCAGCTCGGTCACATCTTTG | RT-PCR for Pdi |
© 2018 by the authors. Licensee MDPI, Basel, Switzerland. This article is an open access article distributed under the terms and conditions of the Creative Commons Attribution (CC BY) license (http://creativecommons.org/licenses/by/4.0/).
Share and Cite
Jiao, L.; Zhou, Q.; Su, Z.; Yan, Y. Efficient Heterologous Production of Rhizopus oryzae Lipase via Optimization of Multiple Expression-Related Helper Proteins. Int. J. Mol. Sci. 2018, 19, 3372. https://doi.org/10.3390/ijms19113372
Jiao L, Zhou Q, Su Z, Yan Y. Efficient Heterologous Production of Rhizopus oryzae Lipase via Optimization of Multiple Expression-Related Helper Proteins. International Journal of Molecular Sciences. 2018; 19(11):3372. https://doi.org/10.3390/ijms19113372
Chicago/Turabian StyleJiao, Liangcheng, Qinghua Zhou, Zhixin Su, and Yunjun Yan. 2018. "Efficient Heterologous Production of Rhizopus oryzae Lipase via Optimization of Multiple Expression-Related Helper Proteins" International Journal of Molecular Sciences 19, no. 11: 3372. https://doi.org/10.3390/ijms19113372
APA StyleJiao, L., Zhou, Q., Su, Z., & Yan, Y. (2018). Efficient Heterologous Production of Rhizopus oryzae Lipase via Optimization of Multiple Expression-Related Helper Proteins. International Journal of Molecular Sciences, 19(11), 3372. https://doi.org/10.3390/ijms19113372

