NANOG Plays a Hierarchical Role in the Transcription Network Regulating the Pluripotency and Plasticity of Adipose Tissue-Derived Stem Cells
Abstract
:1. Introduction
2. Results
2.1. Isolation of Adipose Derived Stem Cells
2.2. Cell Cycle Analysis
2.3. Flow Cytometry Stem Cell Phenotype Characterization
2.4. Stem Cell Markers of S-ASC and V-ASC Grown as Adherent Cells or Spheres
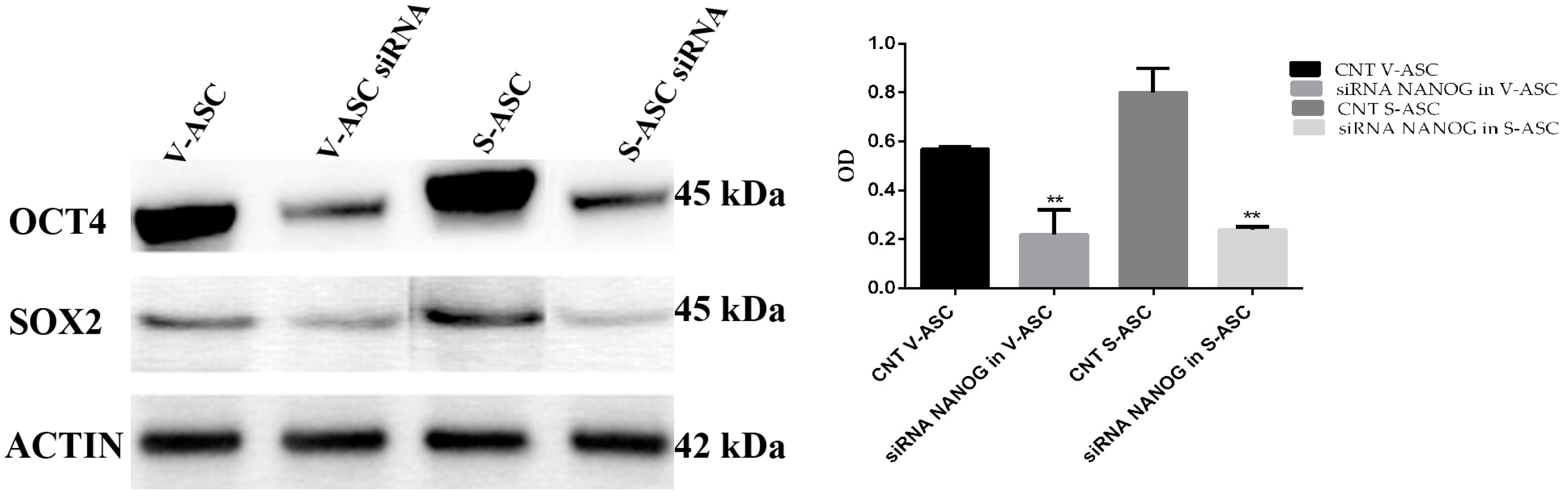
2.5. NANOG and SOX2 Silencing in S-ASC and V-ASC
3. Discussion
4. Materials and Methods
4.1. Establishment of Adipose-Derived Stem Cell Cultures
4.2. Sphere Cultures
4.3. Evaluation of Morphological Characteristics
4.4. Flow Cytometry Analysis
4.5. Immunophenotyping
4.6. Analysis of Cell Cycle Status of MSCs
4.7. RNA Isolation and Quantitative RT-PCR
4.8. siRNA Transfection
4.9. Western Blot Analysis
5. Conclusions
Supplementary Materials
Acknowledgments
Author Contributions
Conflicts of Interest
Abbreviations
| S-ASC | Subcutaneous-adipose stem cell |
| V-ASC | Visceral-adipose stem cell |
| SVF | Stromal vascular fraction |
References
- Gimble, J.M.; Katz, A.J.; Bunnell, B.A. Adipose-derived stem cells for regenerative medicine. Circ. Res. 2007, 100, 1249–1260. [Google Scholar] [CrossRef] [PubMed]
- Bunnell, B.A.; Flaat, M.; Gagliardi, C.; Patel, B.; Ripoll, C. Adipose-derived stem cells: Isolation, expansion and differentiation. Methods 2008, 45, 115–120. [Google Scholar] [CrossRef] [PubMed]
- Yu, G.; Floyd, Z.E.; Wu, X.; Halvorsen, Y.D.; Gimble, J.M. Isolation of human adipose-derived stem cells from lipoaspirates. Methods Mol. Biol. 2011, 702, 17–27. [Google Scholar] [CrossRef] [PubMed]
- Zuk, P.A.; Zhu, M.; Mizuno, H.; Huang, J.; Futrell, J.W.; Katz, A.J.; Benhaim, P.; Lorenz, H.P.; Hedrick, M.H. Multilineage cells from human adipose tissue: Implications for cell-based therapies. Tissue Eng. 2001, 7, 211–228. [Google Scholar] [CrossRef] [PubMed]
- Zuk, P.A.; Zuh, M.; Ashjian, P.; de Ugarte, D.A.; Huang, J.I.; Mizuno, H.; Alfonso, Z.C.; Fraser, J.K.; Benhaim, P.; Hedrick, M.H. Human adipose tissue is a source of multipotent stem cells. Mol. Biol. Cell 2002, 13, 4279–4295. [Google Scholar] [CrossRef] [PubMed]
- Wang, S.; Qu, X.; Zhao, R.C. Clinical applications of mesenchymal stem cells. J. Hematol. Oncol. 2012, 30, 19. [Google Scholar] [CrossRef] [PubMed]
- Wang, Z.; Oron, E.; Nelson, B.; Razis, S.; Ivanova, N. Distinct lineage specification roles for NANOG, OCT4, and SOX2 in human embryonic stem cells. Cell Stem Cell 2012, 10, 440–445. [Google Scholar] [CrossRef] [PubMed]
- Boyer, L.A.; Lee, T.I.; Cole, M.F.; Johnstone, S.E.; Levine, S.S.; Zucker, J.P.; Guenther, M.G.; Kumar, R.M.; Murray, H.L.; Jenner, R.G.; et al. Core transcriptional regulatory circuitry in human embryonic stem cells. Cell 2005, 122, 947–956. [Google Scholar] [CrossRef] [PubMed]
- Loh, Y.H.; Wu, Q.; Chew, J.L.; Vega, V.B.; Zhang, W.; Chen, X.; Bourque, G.; George, J.; Leong, B.; Liu, J.; et al. The OCT4 and NANOG transcription network regulates pluripotency in mouse embryonic stem cells. Nat. Genet. 2006, 38, 431–440. [Google Scholar] [CrossRef] [PubMed]
- Tsai, C.C.; Su, P.F.; Huang, Y.F.; Yew, T.L.; Hung, S.C. Oct4 and Nanog directly regulate Dnmt1 to maintain self-renewal and undifferentiated state in mesenchymal stem cells. Mol. Cell 2012, 47, 169–182. [Google Scholar] [CrossRef] [PubMed]
- Lengner, C.J.; Camargo, F.D.; Hochedlinger, K.; Welstead, G.G.; Zaidi, S.; Gokhale, S.; Scholer, H.R.; Tomilin, A.; Jaenisch, R. Oct4 expression is not required for mouse somatic stem cell self-renewal. Cell Stem Cell 2007, 1, 403–415. [Google Scholar] [CrossRef] [PubMed]
- Liedtke, S.; Enczmann, J.; Waclawczyk, S.; Wernet, P.; Kögler, G. Oct4 and its pseudogenes confuse stem cell research. Cell Stem Cell 2007, 1, 364–366. [Google Scholar] [CrossRef] [PubMed]
- Pain, D.; Chirn, G.W.; Strassel, C.; Kemp, D.M. Multiple retropseudogenes from pluripotent cell-specific gene expression indicates a potential signature for novel gene identification. J. Biol. Chem. 2005, 280, 6265–6268. [Google Scholar] [CrossRef] [PubMed]
- Hyslop, L.; Stojkovic, M.; Armstrong, L.; Walter, T.; Stojkovic, P.; Przyborski, S.; Herbert, M.; Murdoch, A.; Strachan, T.; Lakoa, M. Downregulation of NANOG Induces Differentiation of Human Embryonic Stem Cells to Extraembryonic Lineages. Stem Cells 2005, 8, 1035–1043. [Google Scholar] [CrossRef] [PubMed]
- Korkola, J.E.; Houldsworth, J.; Chadalavada, R.S.; Olshen, A.B.; Dobrzynski, D.; Reuter, V.E.; Bosl, G.J.; Chaganti, R.S. Down-regulation of stem cell genes, including those in a 200-kb gene cluster at 12p13.31, is associated with in vivo differentiation of human male germ cell tumors. Cancer Res. 2006, 66, 820–827. [Google Scholar] [CrossRef] [PubMed]
- Riccardi, C.; Nicoletti, I. Analysis of apoptosis by propidium iodide staining and flow cytometry. Nat. Protoc. 2006, 1, 1458–1461. [Google Scholar] [CrossRef] [PubMed]
- Gronthos, S.; Franklin, D.M.; Leddy, H.A.; Robey, P.G.; Storms, R.W.; Gimble, J.M. Surface protein characterization of human adipose tissue-derived stromal cells. J. Cell. Physiol. 2001, 189, 54–63. [Google Scholar] [CrossRef] [PubMed]
- Perrini, S.; Laviola, L.; Cignarelli, A.; Melchiorre, M.; de Stefano, F.; Caccioppoli, C.; Natalicchio, A.; Orlando, M.R.; Garruti, G.; de Fazio, M.; et al. Fat depot-related differences in gene expression, adiponectin secretion, and insulin action and signalling in human adipocytes differentiated in vitro from precursor stromal cells. Diabetologia 2008, 51, 155–164. [Google Scholar] [CrossRef] [PubMed]
- Potdar, P.; Sutar, J. Establishment and molecular characterization of mesenchymal stem cell lines derived from human visceral & subcutaneous adipose tissues. J. Stem Cells Regen. Med. 2010, 6, 26–35. [Google Scholar] [PubMed]
- De Francesco, F.; Tirino, V.; Desiderio, V.; Ferraro, G.; D’Andrea, F.; Giuliano, M.; Libondi, G.; Pirozzi, G.; de Rosa, A.; Papaccio, G. Human CD34/CD90 ASCs are capable of growing as sphere clusters, producing high levels of VEGF and forming capillaries. PLoS ONE 2009, 4, e6537. [Google Scholar] [CrossRef] [PubMed]
- Pittenger, M.F.; Mackay, A.M.; Beck, S.C.; Douglas, R.; Mosca, J.D.; Moorman, M.A.; Simonetti, D.W.; Craig, S.; Marshak, D.R. Multilineage potential of adult human mesenchymal stem cells. Science 1999, 284, 143–147. [Google Scholar] [CrossRef] [PubMed]
- Barry, F.P.; Boynton, R.E.; Haynesworth, S.; Murphy, J.M.; Zaia, J. The monoclonal antibody SH-2, raised against human mesenchymal stem cells, recognizes an epitope on endoglin (CD105). Biochem. Biophys. Res. Commun. 1999, 265, 134–139. [Google Scholar] [CrossRef] [PubMed]
- Sachs, P.C.; Francis, M.P.; Zhao, M.; Brumelle, J.; Rao, R.R.; Elmore, L.W.; Holt, S.E.; Patrick, C.S.; Francis, M.P.; Zhao, M.; et al. Defining essential stem cell characteristics in adipose-derived stromal cells extracted from distinct anatomical sites. Cell Tissue Res. 2012, 349, 505–515. [Google Scholar] [CrossRef] [PubMed]
- Chambers, I.; Colby, D.; Robertson, M.; Nichols, J.; Lee, S.; Tweedie, S.; Smith, A. Functional expression cloning of Nanog, a pluripotency sustaining factor in embryonic stem cells. Cell 2003, 30, 643–655. [Google Scholar] [CrossRef]
- Ng, H.H.; Surani, M.A. The transcriptional and signalling networks of pluripotency. Nat. Cell Biol. 2011, 13, 490–496. [Google Scholar] [CrossRef] [PubMed]
- Kuroda, T.; Tada, M.; Kubota, H.; Kimura, H.; Hatano, S.Y.; Suemori, H.; Nakatsuji, N.; Tada, T. Octamer and Sox elements are required for transcriptional cis regulation of NANOG gene expression. Mol. Cell. Biol. 2005, 25, 2475–2485. [Google Scholar] [CrossRef] [PubMed]
- Park, I.H.; Zhao, R.; West, J.A.; Yabuuchi, A.; Huo, H.; Ince, T.A.; Lerou, P.H.; Lensch, M.W.; Daley, G.Q. Reprogramming of human somatic cells to pluripotency with defined factors. Nature 2008, 451, 141–146. [Google Scholar] [CrossRef] [PubMed]
- Freberg, C.T.; Dahl, J.A.; Timoskainen, S.; Collas, P. Epigenetic reprogramming of OCT4 and NANOG regulatory regions by embryonal carcinoma cell extract. Mol. Biol. Cell 2007, 18, 1543–1553. [Google Scholar] [CrossRef] [PubMed]
- Goodell, M.A. Stem-cell “plasticity”: Befuddled by the muddle. Curr. Opin. Hematol. 2003, 10, 208–213. [Google Scholar] [CrossRef] [PubMed]
- Mi tsui, K.; Tokuzawa, Y.; Itoh, H.; Segawa, K.; Murakami, M.; Takahashi, K.; Maruyama, M.; Maeda, M.; Yamanaka, S. The homeoprotein Nanog is required for maintenance of pluripotency in mouse epiblast and ES cells. Cell 2003, 113, 631–664. [Google Scholar] [CrossRef]
- Okita, K.; Ichisaka, T.; Yamanaka, S. Generation of germline-competent induced pluripotent stem cells. Nature 2007, 19, 313–317. [Google Scholar] [CrossRef] [PubMed]
- Chew, J.L.; Loh, Y.H.; Zhang, W.; Chen, X.; Tam, W.L.; Yeap, L.S.; Li, P.; Ang, Y.S.; Lim, B.; Robson, P.; et al. Reciprocal transcriptional regulation of Pou5f1 and SOX2 via the OCT4/SOX2 complex in embryonic stem cells. Mol. Cell. Biol. 2005, 25, 6031–6046. [Google Scholar] [CrossRef] [PubMed]
- Sanges, D.; Cosma, M.P. Reprogramming cell fate to pluripotency: The decision-making signalling pathways. Int. J. Dev. Biol. 2010, 54, 1575–1587. [Google Scholar] [CrossRef] [PubMed]
- Kim, J.H.; Jee, M.K.; Lee, S.Y.; Han, T.H.; Kim, B.S.; Kang, K.S.; Kang, S.K. Regulation of adipose tissue stromal cells behaviors by endogenic OCT4 expression control. PLoS ONE 2009, 4, e7166. [Google Scholar] [CrossRef] [PubMed]
- Suzuki, A.; Raya, A.; Kawakami, Y.; Morita, M.; Matsui, T.; Nakashima, K.; Gage, F.H.; Rodriguez-Esteban, C.; Izpisua Belmonte, J.C. Nanog binds to Smad1 and blocks bone morphogenetic protein-induced differentiation of embryonic stem cells. Proc. Natl. Acad. Sci. USA 2006, 103, 10294–10299. [Google Scholar] [CrossRef] [PubMed]
- Vallier, L.; Mendjan, S.; Brown, S.; Chng, Z.; Teo, A.; Smithers, L.E.; Trotter, M.W.; Cho, C.H.; Martinez, A.; Rugg-Gunn, P.; et al. Activin/Nodal signaling maintains pluripotency by controlling NANOG expression. Development 2009, 136, 1339–1349. [Google Scholar] [CrossRef] [PubMed]
- Wang, J.; Rao, S.; Chu, J.; Shen, X.; Levasseur, D.N.; Theunissen, T.W.; Orkin, S.H. A protein interaction network for pluripotency of embryonic stem cells. Nature 2006, 444, 364–368. [Google Scholar] [CrossRef] [PubMed]
- Goke, J.; Jung, M.; Behrens, S.; Chavez, L.; O’Keeffe, S.; Timmermann, B.; Lehrach, H.; Adjaye, J.; Vingron, M. Combinatorial binding in human and mouse embryonic stem cells identifies conserved enhancers active in early embryonic development. PLoS Comput. Biol. 2011, 7, e1002304. [Google Scholar] [CrossRef] [PubMed]
- Fujikura, J.; Yamato, E.; Yonemura, S.; Hosoda, K.; Masui, S.; Nakao, K.; Miyazaki, J.; Niwa, H. Differentiation of embryonic stem cells is induced by GATA factors. Genes Dev. 2002, 16, 784–789. [Google Scholar] [CrossRef] [PubMed]
- Koutsourakis, M.; Langeveld, A.; Patient, R.; Beddington, R.; Grosveld, F. The transcription factor GATA6 is essential for early extraembryonic development. Development 1999, 126, 723–732. [Google Scholar] [PubMed]
- Morrisey, E.E.; Tang, Z.; Sigrist, K.; Lu, M.M.; Jiang, F.; Ip, H.S.; Parmacek, M.S. GATA6 regulates HNF4 and is required for differentiation of visceral endoderm in the mouse embryo. Genes Dev. 1998, 12, 3579–3590. [Google Scholar] [CrossRef] [PubMed]
- Kunath, T.; Strumpf, D.; Rossant, J. Early trophoblast determination and stem cell maintenance in the mouse—A review. Placenta 2004, 25, S32–S38. [Google Scholar] [CrossRef] [PubMed]
- Masui, S.; Nakatake, Y.; Toyooka, Y.; Shimosato, D.; Yagi, R.; Takahashi, K.; Okochi, H.; Okuda, A.; Matoba, R.; Sharov, A.A.; et al. Pluripotency governed by SOX2 via regulation of Oct3/4 expression in mouse embryonic stem cells. Nat. Cell Biol. 2007, 9, 625–635. [Google Scholar] [CrossRef] [PubMed]











| Primary Antibody/Localization Marker | Code Number | Diluition | Incubation |
|---|---|---|---|
| CD31, surface | Miltenyi Biotec, 130-092-654 | 1:100 | 30 min, r.t. |
| CD45, surface | Miltenyi Biotec, 130-080-202 | 1:100 | 30 min, r.t. |
| CD146, surface | Miltenyi Biotec, 130-092-851 | 1:100 | 30 min, r.t. |
| CD90, surface | Chemicon, CBL415 | 1:50 | o/n, r.t. |
| CD105, surface | Biolegend,323202 | 1:50 | o/n, r.t. |
| CD29, surface | Miltenyi Biotec, 130-101-256 | 1:100 | 30 min, r.t. |
| Secondary antibody | Code Number | Diluition | Incubation |
| AlexaFluor 488 | Life Technologies, Z25402 | 1:50 | 20 min, r.t. |
| RNA | Primer Sequence | Code Number |
|---|---|---|
| ABCG2 | Qiagen® | QT00073206 |
| NANOG | Qiagen® | QT01844808 |
| OCT3/4 | Qiagen® | QT00210840 |
| SOX2 | FORWARD: 5′-GGAGACGGAGCTGAAGCCGC-3′ REVERSE: 5′-GACGCGGTCCGGGCTGTTTT-3′ | |
| THY1 | Qiagen® | QT00023569 |
| CD105 | Qiagen® | QT00013335 |
| CD73 | Qiagen® | QT00027279 |
| β-Actin | FORWARD: 5′-GGACTT CGA GCA AGA GAT GG-3′ REVERSE: 5′-AGC ACT GTG TTG GCG TAC AG-3′ |
| Primary Antibody/Localization Marker | Code Number | Dilution | Incubation |
| NANOG, nuclear and cytoplasmatic | sc-30331, Santa Cruz Biotechnology | 1:500 | o/n, 4 °C |
| OCT3/4, nuclear | sc-5279 , Santa Cruz Biotechnology | 1:500 | o/n, 4 °C |
| SOX2 nuclear | Poly6308, BioLegend | 1:500 | o/n, 4 °C |
| Secondary Antibody | Code Number | Diluition | Incubation |
| Goat anti-rabbit IgG-HRP | sc-2030, Santa Cruz Biotechnology | 1:2500 | 90 min, r.t. |
| Goat anti-mouse IgG-HRP | sc-2031, Santa Cruz Biotechnology | 1:2500 | 90 min, r.t. |
| Donkey anti-goat IgG-HRP | sc-2033, Santa Cruz Biotechnology | 1:2500 | 90 min, r.t. |
© 2017 by the authors. Licensee MDPI, Basel, Switzerland. This article is an open access article distributed under the terms and conditions of the Creative Commons Attribution (CC BY) license (http://creativecommons.org/licenses/by/4.0/).
Share and Cite
Pitrone, M.; Pizzolanti, G.; Tomasello, L.; Coppola, A.; Morini, L.; Pantuso, G.; Ficarella, R.; Guarnotta, V.; Perrini, S.; Giorgino, F.; et al. NANOG Plays a Hierarchical Role in the Transcription Network Regulating the Pluripotency and Plasticity of Adipose Tissue-Derived Stem Cells. Int. J. Mol. Sci. 2017, 18, 1107. https://doi.org/10.3390/ijms18061107
Pitrone M, Pizzolanti G, Tomasello L, Coppola A, Morini L, Pantuso G, Ficarella R, Guarnotta V, Perrini S, Giorgino F, et al. NANOG Plays a Hierarchical Role in the Transcription Network Regulating the Pluripotency and Plasticity of Adipose Tissue-Derived Stem Cells. International Journal of Molecular Sciences. 2017; 18(6):1107. https://doi.org/10.3390/ijms18061107
Chicago/Turabian StylePitrone, Maria, Giuseppe Pizzolanti, Laura Tomasello, Antonina Coppola, Lorenzo Morini, Gianni Pantuso, Romina Ficarella, Valentina Guarnotta, Sebastio Perrini, Francesco Giorgino, and et al. 2017. "NANOG Plays a Hierarchical Role in the Transcription Network Regulating the Pluripotency and Plasticity of Adipose Tissue-Derived Stem Cells" International Journal of Molecular Sciences 18, no. 6: 1107. https://doi.org/10.3390/ijms18061107
APA StylePitrone, M., Pizzolanti, G., Tomasello, L., Coppola, A., Morini, L., Pantuso, G., Ficarella, R., Guarnotta, V., Perrini, S., Giorgino, F., & Giordano, C. (2017). NANOG Plays a Hierarchical Role in the Transcription Network Regulating the Pluripotency and Plasticity of Adipose Tissue-Derived Stem Cells. International Journal of Molecular Sciences, 18(6), 1107. https://doi.org/10.3390/ijms18061107

