An Overview of Multimodal Neuroimaging Using Nanoprobes
Abstract
:1. Introduction
2. Multimodal Imaging with Nanoprobes
2.1. Imaging with Positron Emission Tomography/Computed Tomography (PET-CT)
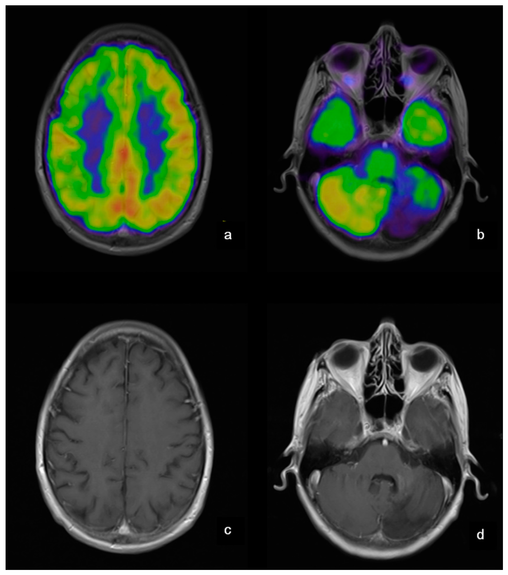
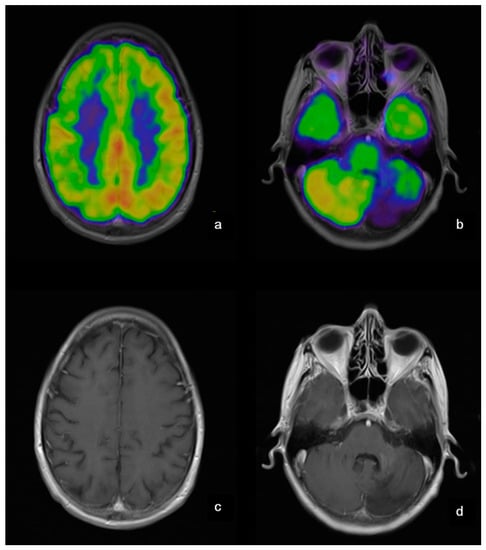
2.2. Imaging with PET-Magnetic Resonance Imaging (MRI)
2.3. Imaging with Single-Photon Emission Computed Tomography (SPECT)-CT
3. Discussion and Future Research Directions
4. Conclusions
Acknowledgement
Author contributions
Conflict of Interest
References
- Mazumder, S.; Pavurala, N. A review on nanoprobes for sensing, imaging and disease detection. J. Mater. Sci. Nanotechnol. 2016, 4, 1. [Google Scholar]
- Thiruppathi, R.; Mishra, S.; Ganapathy, M.; Padmanabhan, P.; Gulyás, B. Nanoparticle functionalization and its potentials for molecular imaging. Adv. Sci. 2016. [Google Scholar] [CrossRef]
- Kim, T.H.; Lee, S.; Chen, X. Nanotheranostics for personalized medicine. Expert Rev. Mol. Diagn. 2013, 13, 257–269. [Google Scholar] [CrossRef] [PubMed]
- Ryu, J.H.; Lee, S.; Son, S.; Kim, S.H.; Leary, J.F.; Choi, K.; Kwon, I.C. Theranostic nanoparticles for future personalized medicine. J. Controll. Release 2014, 190, 477–484. [Google Scholar] [CrossRef] [PubMed]
- Mura, S.; Couvreur, P. Nanotheranostics for personalized medicine. Adv. Drug Deliv. Rev. 2012, 64, 1394–1416. [Google Scholar] [CrossRef] [PubMed]
- Jang, J.K.; Canter, D.; Hu, P.; Epstein, A.L.; Khawli, L.A. Labeling and imaging techniques for quantification of therapeutic biologics. In Pharmaceutical Sciences Encyclopedia; John Wiley & Sons, Inc.: New York, NY, USA, 2010; pp. 1–24. [Google Scholar]
- Histed, S.N.; Lindenberg, M.L.; Mena, E.; Turkbey, B.; Choyke, P.L.; Kurdziel, K.A. Review of functional/anatomical imaging in oncology. Nucl. Med. Commun. 2012, 33, 349–361. [Google Scholar] [CrossRef] [PubMed]
- Ripen, M. Multimodality imaging. In Molecular Imaging Techniques: New Frontiers; Future Science Ltd.: London, UK, 2013; pp. 162–176. [Google Scholar]
- Marti-Bonmati, L.; Sopena, R.; Bartumeus, P.; Sopena, P. Multimodality imaging techniques. Contrast Media Mol. Imaging 2010, 5, 180–189. [Google Scholar] [CrossRef] [PubMed]
- Cherry, S.R. Multimodality imaging: Beyond PET/CT and SPECT/CT. Semin. Nucl. Med. 2009, 39, 348–353. [Google Scholar] [CrossRef] [PubMed]
- Yen, S.K.; Padmanabhan, P.; Selvan, S.T. Multifunctional iron oxide nanoparticles for diagnostics, therapy and macromolecule delivery. Theranostics 2013, 3, 986–1003. [Google Scholar] [CrossRef] [PubMed]
- Santhosh, P.B.; Ulrih, N.P. Multifunctional superparamagnetic iron oxide nanoparticles: Promising tools in cancer theranostics. Cancer Lett. 2013, 336, 8–17. [Google Scholar] [CrossRef] [PubMed]
- Lai, S.-F.; Ko, B.-H.; Chien, C.-C.; Chang, C.-J.; Yang, S.-M.; Chen, H.-H.; Petibois, C.; Hueng, D.-Y.; Ka, S.-M.; Chen, A.; et al. Gold nanoparticles as multimodality imaging agents for brain gliomas. J. Nanobiotechnol. 2015, 13, 85. [Google Scholar] [CrossRef] [PubMed]
- Xie, J.; Lee, S.; Chen, X. Nanoparticle-based theranostic agents. Adv. Drug Deliv. Rev. 2010, 62, 1064–1079. [Google Scholar] [CrossRef] [PubMed]
- Simon, T.; Potara, M.; Gabudean, A.-M.; Licarete, E.; Banciu, M.; Astilean, S. Designing theranostic agents based on pluronic stabilized gold nanoaggregates loaded with methylene blue for multimodal cell imaging and enhanced photodynamic therapy. ACS Appl. Mater. Interfaces 2015, 7, 16191–16201. [Google Scholar] [CrossRef] [PubMed]
- Rai, P.; Mallidi, S.; Zheng, X.; Rahmanzadeh, R.; Mir, Y.; Elrington, S.; Khurshid, A.; Hasan, T. Development and applications of photo-triggered theranostic agents. Adv. Drug Delivery Rev. 2010, 62, 1094–1124. [Google Scholar] [CrossRef] [PubMed]
- Griffeth, L.K. Use of PET/CT scanning in cancer patients: Technical and practical considerations. Proceedings (Baylor UniversityMedical Center) 2005, 18, 321–330. [Google Scholar]
- Zhao, F.; Li, M.; Wang, Z.; Fu, Z.; Cui, Y.; Chen, Z.; Yu, J. 18F-fluorothymidine PET-CT for resected malignant gliomas before radiotherapy: Tumor extent according to proliferative activity compared with MRI. PLoS ONE 2015, 10, e0118769. [Google Scholar] [CrossRef] [PubMed]
- Badakhshi, H.; Graf, R.; Prasad, V.; Budach, V. The impact of 18F-FET PET-CT on target definition in image-guided stereotactic radiotherapy in patients with skull base lesions. Cancer Imaging 2014, 14, 25. [Google Scholar] [PubMed]
- Nonokuma, M.; Kuwabara, Y.; Takano, K.; Tamura, K.; Ishitsuka, K.; Yoshimitsu, K. Evaluation of regional cerebral glucose metabolism in patients with malignant lymphoma of the body using statistical image analysis. Ann. Nucl. Med. 2014, 28, 950–960. [Google Scholar] [CrossRef] [PubMed]
- Deguchi, K.; Kawahara, Y.; Deguchi, S.; Morimoto, N.; Kurata, T.; Ikeda, Y.; Ichikawa, T.; Tokunaga, K.; Kawai, N.; Sugiu, K. A patient develops transient unique cerebral and cerebellar lesions after unruptured aneurysm coiling. BMC Neurol. 2015, 15, 1. [Google Scholar] [CrossRef] [PubMed]
- Wright, E.A.; d'Esterre, C.D.; Morrison, L.B.; Cockburn, N.; Kovacs, M.; Lee, T.Y. Absolute cerebral blood flow infarction threshold for 3-h ischemia time determined with CT perfusion and 18F-FFMZ-PET imaging in a porcine model of cerebral ischemia. PLoS ONE 2016, 11, e0158157. [Google Scholar] [CrossRef] [PubMed]
- Zhang, W.; Ning, N.; Li, X.; Niu, G.; Bai, L.; Guo, Y.; Yang, J. Changes of brain glucose metabolism in the pretreatment patients with non-small cell lung cancer: A retrospective PET/CT study. PLoS ONE 2016, 11, e0161325. [Google Scholar] [CrossRef] [PubMed]
- Knesaurek, K. Improving 18F-fluoro-d-glucose-positron emission tomography/computed tomography imaging in Alzheimer’s disease studies. World J. Nucl. Med. 2015, 14, 171–177. [Google Scholar] [CrossRef] [PubMed]
- Hatzoglou, V.; Ulaner, G.A.; Zhang, Z.; Beal, K.; Holodny, A.I.; Young, R.J. Comparison of the effectiveness of mri perfusion and fluorine-18 FDG PET-CT for differentiating radiation injury from viable brain tumor: A preliminary retrospective analysis with pathologic correlation in all patients. Clin. Imaging 2013, 37, 451–457. [Google Scholar] [CrossRef] [PubMed]
- Lapa, C.; Lückerath, K.; Kleinlein, I.; Monoranu, C.M.; Linsenmann, T.; Kessler, A.F.; Rudelius, M.; Kropf, S.; Buck, A.K.; Ernestus, R.-I. 68Ga-pentixafor-PET/CT for imaging of chemokine receptor 4 expression in glioblastoma. Theranostics 2016, 6, 428. [Google Scholar] [CrossRef] [PubMed]
- Jadvar, H.; Colletti, P.M. Competitive advantage of PET/MRI. Eur. J. Radiol. 2014, 83, 84–94. [Google Scholar] [CrossRef] [PubMed]
- Guo, J.; Bakshi, V.; Lin, A.-L. Early shifts of brain metabolism by caloric restriction preserve white matter integrity and long-term memory in aging mice. Front. Aging Neurosci. 2015, 7, 213. [Google Scholar] [CrossRef] [PubMed]
- Werner, P.; Saur, D.; Zeisig, V.; Ettrich, B.; Patt, M.; Sattler, B.; Jochimsen, T.; Lobsien, D.; Meyer, P.M.; Bergh, F.T.; et al. Simultaneous PET/MRI in stroke: A case series. J. Cereb. Blood Flow Metab. 2015, 35, 1421–1425. [Google Scholar] [CrossRef] [PubMed]
- Korsholm, K.; Feldt-Rasmussen, U.; Granqvist, H.; Hojgaard, L.; Bollinger, B.; Rasmussen, A.K.; Law, I. Positron emission tomography and magnetic resonance imaging of the brain in fabry disease: A nationwide, long-time, prospective follow-up. PLoS ONE 2015, 10, e0143940. [Google Scholar] [CrossRef] [PubMed]
- Jena, A.; Renjen, P.N.; Taneja, S.; Gambhir, A.; Negi, P. Integrated 18F-fluorodeoxyglucose positron emission tomography magnetic resonance imaging 18F-FDG PET/MRI), a multimodality approach for comprehensive evaluation of dementia patients: A pictorial essay. Indian J. Radiol. Imaging 2015, 25, 342–352. [Google Scholar] [PubMed]
- Anazodo, U.C.; Thiessen, J.D.; Ssali, T.; Mandel, J.; Günther, M.; Butler, J.; Pavlosky, W.; Prato, F.S.; Thompson, R.T.; St. Lawrence, K.S. Feasibility of simultaneous whole-brain imaging on an integrated PET-MRI system using an enhanced 2-point dixon attenuation correction method. Front. Neurosci. 2014, 8, 434. [Google Scholar] [PubMed]
- Wey, H.-Y.; Catana, C.; Hooker, J.M.; Dougherty, D.D.; Knudsen, G.M.; Wang, D.J.J.; Chonde, D.B.; Rosen, B.R.; Gollub, R.L.; Kong, J. Simultaneous FMRI-PET of the opioidergic pain system in human brain. NeuroImage 2014, 102, 275–282. [Google Scholar] [CrossRef] [PubMed]
- Zandieh, S.; Bernt, R.; Knoll, P.; Wenzel, T.; Hittmair, K.; Haller, J.; Hergan, K.; Mirzaei, S. Analysis of the metabolic and structural brain changes in patients with torture-related post-traumatic stress disorder (TR-PTSD) using 18F-FDG PET and MRI. Medicine 2016, 95, e3387. [Google Scholar] [CrossRef] [PubMed]
- Lewis, C.M.; Graves, S.A.; Hernandez, R.; Valdovinos, H.F.; Barnhart, T.E.; Cai, W.; Meyerand, M.E.; Nickles, R.J.; Suzuki, M. 52Mn production for PET/MRI tracking of human stem cells expressing divalent metal transporter 1 (DMT1). Theranostics 2015, 5, 227–239. [Google Scholar] [CrossRef] [PubMed]
- Henriksen, O.M.; Larsen, V.A.; Muhic, A.; Hansen, A.E.; Larsson, H.B.W.; Poulsen, H.S.; Law, I. O7.08one-stop shopping in brain tumor imaging: Initial experience with PET/MR for simultaneous evaluation of tumor metabolism, structure and blood volume using 18F-fluor-ethyl-thyrosine PET and DSC-MRI. Neuro-Oncology 2014, 16, ii16–ii17. [Google Scholar] [CrossRef]
- Pachowicz, M.; Staśkiewicz, G.; Florek, K.; Chrapko, B.E. The usefulness of SPECT/CT in characterization of skeletal and soft tissue lesions—Report of two cases. Nucl. Med. Rev. 2014, 17, 29–34. [Google Scholar] [CrossRef] [PubMed]
- Ndlovu, X.; George, R.; Ellmann, A.; Warwick, J. Should SPECT-CT replace spect for the evaluation of equivocal bone scan lesions in patients with underlying malignancies? Nucl. Med. Commun. 2010, 31, 659–665. [Google Scholar] [CrossRef] [PubMed]
- Helyar, V.; Mohan, H.K.; Barwick, T.; Livieratos, L.; Gnanasegaran, G.; Clarke, S.E.; Fogelman, I. The added value of multislice SPECT/CT in patients with equivocal bony metastasis from carcinoma of the prostate. Eur. J. Nucl. Med. Mol. Imaging 2010, 37, 706–713. [Google Scholar] [CrossRef] [PubMed]
- Bural, G.G.; Muthukrishnan, A.; Oborski, M.J.; Mountz, J.M. Improved benefit of SPECT/CT compared to SPECT alone for the accurate localization of endocrine and neuroendocrine tumors. Mol. Imaging Radionucl. Ther. 2012, 21, 91–96. [Google Scholar] [PubMed]
- Mariani, G.; Bruselli, L.; Kuwert, T.; Kim, E.E.; Flotats, A.; Israel, O.; Dondi, M.; Watanabe, N. A review on the clinical uses of SPECT/CT. Eur. J. Nucl. Med. Mol. Imaging 2010, 37, 1959–1985. [Google Scholar] [CrossRef] [PubMed]
- Rangger, C.; Helbok, A.; Sosabowski, J.; Kremser, C.; Koehler, G.; Prassl, R.; Andreae, F.; Virgolini, I.J.; von Guggenberg, E.; Decristoforo, C. Tumor targeting and imaging with dual-peptide conjugated multifunctional liposomal nanoparticles. Int. J. Nanomed. 2013, 8, 4659–4671. [Google Scholar] [CrossRef] [PubMed]
- Bäck, S.; Raki, M.; Tuominen, R.K.; Raasmaja, A.; Bergström, K.; Männistö, P.T. High correlation between in vivo [123I]β-CIT SPECT/CT imaging and post-mortem immunohistochemical findings in the evaluation of lesions induced by 6-OHDA in rats. EJNMMI Res. 2013, 3, 46. [Google Scholar] [CrossRef] [PubMed]
- Pitkonen, M.; Hippeläinen, E.; Raki, M.; Andressoo, J.-O.; Urtti, A.; Männistö, P.T.; Savolainen, S.; Saarma, M.; Bergström, K. Advanced brain dopamine transporter imaging in mice using small-animal SPECT/CT. EJNMMI Res. 2012, 2, 55. [Google Scholar] [CrossRef] [PubMed]
- Zaidi, H.; Prasad, R. Advances in multimodality molecular imaging. J. Med. Phys. 2009, 34, 122–128. [Google Scholar] [CrossRef] [PubMed]
- Rieffel, J.; Chitgupi, U.; Lovell, J.F. Recent advances in higher-order multimodal biomedical imaging agents. Small 2015, 11, 4445–4461. [Google Scholar] [CrossRef] [PubMed]




| S. No. | Nanoprobes | Imaging Modalities | Application | References |
|---|---|---|---|---|
| 1 | Flurothymidine (18F–FLT) | MRI and PET-CT | Detecting residual disease post operation in patients with malignant glioma | Zhao et al. [18] |
| 2 | 18F–Fluro-ethyl-tyrosine (18F–FET) | PET-CT | Image-guided stereotactic radiotherapy in patients with skull-base lesions | Badakhshi et al. [19] |
| 3 | FDG | PET-CT | Statistical parametric mapping, metabolic activities visualization | Nonokuma et al. [20] |
| 4 | 11C–Methionine | PET-CT | Cerebellar lesions imaging | Deguchi et al. [21] |
| 5 | Fluoroflumazenil | PET-CT | Cerebral blood flow during heart attacks | Wright et al. [22] |
| 6 | 18FDG | PET-CT | Modelling Alzheimer’s using Fourier transform analysis | Knesaurek et al. [24], Hatzoglou et al. [25] |
| 7 | 68Ga–Pentixafor | PET-CT | Studying Chemokine receptor 4 during glioblastoma | Lapa et al. [26] |
| 8 | 18FDG | PET/MRI/MRS | Determine relationship between brain functions, aging and caloric restriction | Guo et al. [28] |
| 9 | 15O-H2O | PET/ MRI | To identify critically hypo perfused tissue during thrombolysis trials | Werner et al. [29] |
| 10 | 18FDG | PET/MRI | Record the relative values of regional cerebral glucose metabolic rate in Fabry disease and monitoring dementia | Korsholm et al. [30], Jena et al. [31] |
| 11 | 18FDG | PET/MRI | Whole-brain imaging system | Anazodo et al. [32] |
| 12 | 11C diprenorphine (11C–DPN) | fMRI/PET | To identify the regional endogenous opioid displacement from the opioid receptor | Hsiao Ying Wey et al. [33] |
| 13 | 18FDG | PET/MRI | Study metabolism in the different brain regions | Zandieh et al. [34] |
| 14 | 52Mn | PET/MRI | Divalent metal transporter 1 (DTM1) reporter gene for cell tracking in the central nervous system | Lewis et al. [35] |
| 15 | 18F–FET | PET-DSC MRI | Evaluating tumor metabolism, structure and blood volume in the study of the human brain | Henriksen et al. [36] |
| 16 | Liposomal nanoparticles | SPECT-CT | Localizing endocrine and neuroendocrine tumors, brain imaging | Pachowicz et al. [37], Ndlovu et al. [38], Helyar et al. [39], Rangger et al. [42] |
| 17 | 123I-β-CIT | SPECT-CT | Synthesized a model of Parkinson’s using 6-Hydroxydopamine (6-OHDA) pathway in rats, for ascertaining neuroprotective properties of drugs | Bäck et al. [43] |
| 18 | 123I-β-CIT | SPECT-CT | Dopamine transporter binding in the mouse brain | Pitkonen et al. [44] |
© 2017 by the authors. Licensee MDPI, Basel, Switzerland. This article is an open access article distributed under the terms and conditions of the Creative Commons Attribution (CC BY) license ( http://creativecommons.org/licenses/by/4.0/).
Share and Cite
Sridhar, S.; Mishra, S.; Gulyás, M.; Padmanabhan, P.; Gulyás, B. An Overview of Multimodal Neuroimaging Using Nanoprobes. Int. J. Mol. Sci. 2017, 18, 311. https://doi.org/10.3390/ijms18020311
Sridhar S, Mishra S, Gulyás M, Padmanabhan P, Gulyás B. An Overview of Multimodal Neuroimaging Using Nanoprobes. International Journal of Molecular Sciences. 2017; 18(2):311. https://doi.org/10.3390/ijms18020311
Chicago/Turabian StyleSridhar, Sriram, Sachin Mishra, Miklós Gulyás, Parasuraman Padmanabhan, and Balázs Gulyás. 2017. "An Overview of Multimodal Neuroimaging Using Nanoprobes" International Journal of Molecular Sciences 18, no. 2: 311. https://doi.org/10.3390/ijms18020311
APA StyleSridhar, S., Mishra, S., Gulyás, M., Padmanabhan, P., & Gulyás, B. (2017). An Overview of Multimodal Neuroimaging Using Nanoprobes. International Journal of Molecular Sciences, 18(2), 311. https://doi.org/10.3390/ijms18020311

