MicroRNA-381 Regulates Chondrocyte Hypertrophy by Inhibiting Histone Deacetylase 4 Expression
Abstract
:1. Introduction
2. Results
2.1. Divergent Expression of MicroRNA-381 (miR-381) and Histone Deacetylase 4 (HDAC4) during Late-Stage Chondrogenesis of ATDC5 Cells
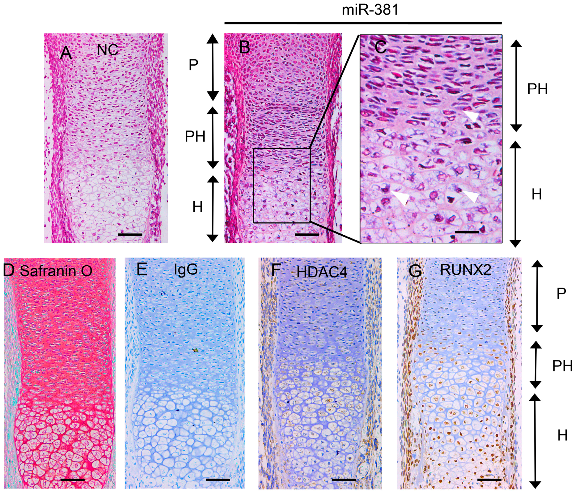
2.2. Evaluation of miR-381 and HDAC4 Expression during Cartilage Development
2.3. miR-381 Inhibits the mRNA and Protein Expression of HDAC4 in SW1353 Cells
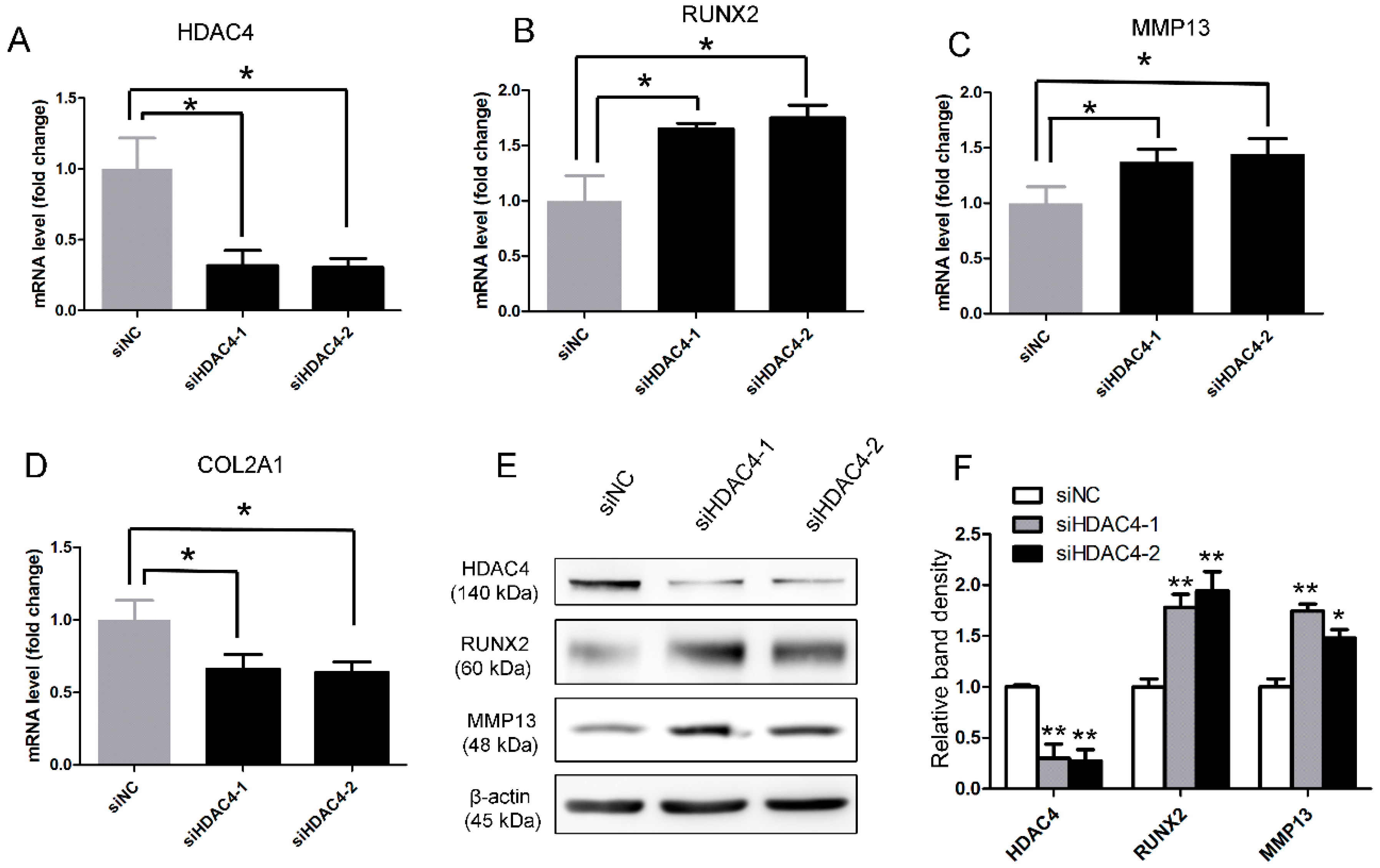
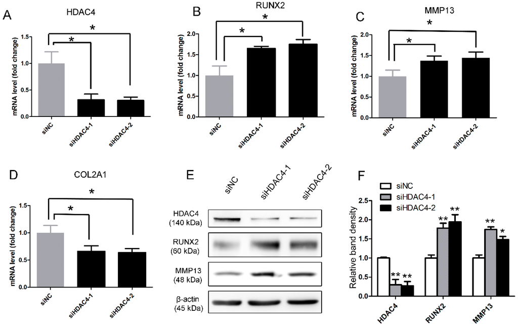
2.4. Small Interfering RNA (siRNA)-Mediated Knockdown of HDAC4 Promotes the Expression of Runt-Related Transcription Factor (2RUNX2) and Matrix Metalloproteinase 13 (MMP13)
2.5. miR-381 Directly Targets the 3′-Untranslated Region (3′-UTR) of HDAC4 mRNA
3. Discussion
4. Materials and Methods
4.1. Cell Culture
4.2. In Situ Hybridization and Immunohistochemistry
4.3. Transfection of the miR-381 Mimic, miR-381 Inhibitor, and HDAC4-Specific siRNA Molecules
4.4. RNA Extraction, Reverse Transcription, and qRT-PCR Analysis
4.5. Western Blot Analysis
4.6. Dual Luciferase Reporter Assay
4.7. Statistical Analysis
5. Conclusions
Acknowledgments
Author Contributions
Conflicts of Interest
References
- Kapoor, M.; Martel-Pelletier, J.; Lajeunesse, D.; Pelletier, J.P.; Fahmi, H. Role of proinflammatory cytokines in the pathophysiology of osteoarthritis. Nat. Rev. Rheumatol. 2011, 7, 33–42. [Google Scholar] [CrossRef] [PubMed]
- Sandell, L.J. Etiology of osteoarthritis: Genetics and synovial joint development. Nat. Rev. Rheumatol. 2012, 8, 77–89. [Google Scholar] [CrossRef] [PubMed]
- Reboul, P.; Pelletier, J.P.; Tardif, G.; Cloutier, J.M.; Martel-Pelletier, J. The new collagenase, collagenase-3, is expressed and synthesized by human chondrocytes but not by synoviocytes. A role in osteoarthritis. J. Clin. Investig. 1996, 97, 2011–2019. [Google Scholar] [CrossRef] [PubMed]
- Little, C.B.; Barai, A.; Burkhardt, D.; Smith, S.M.; Fosang, A.J.; Werb, Z.; Shah, M.; Thompson, E.W. Matrix metalloproteinase 13-deficient mice are resistant to osteoarthritic cartilage erosion but not chondrocyte hypertrophy or osteophyte development. Arthritis Rheum. 2009, 60, 3723–3733. [Google Scholar] [CrossRef] [PubMed]
- Meng, F.; Zhang, Z.; Chen, W.; Huang, G.; He, A.; Hou, C.; Long, Y.; Yang, Z.; Zhang, Z.; Liao, W. MicroRNA-320 regulates matrix metalloproteinase-13 expression in chondrogenesis and interleukin-1β-induced chondrocyte responses. Osteoarthr. Cartil. 2016, 24, 932–941. [Google Scholar] [CrossRef] [PubMed]
- Inada, M.; Wang, Y.; Byrne, M.H.; Rahman, M.U.; Miyaura, C.; Lopez-Otin, C.; Krane, S.M. Critical roles for collagenase-3 (Mmp13) in development of growth plate cartilage and in endochondral ossification. Proc. Natl. Acad. Sci. USA 2004, 101, 17192–17197. [Google Scholar] [CrossRef] [PubMed]
- Minond, D.; Lauer-Fields, J.L.; Cudic, M.; Overall, C.M.; Pei, D.; Brew, K.; Visse, R.; Nagase, H.; Fields, G.B. The roles of substrate thermal stability and P2 and P1’ subsite identity on matrix metalloproteinase triple-helical peptidase activity and collagen specificity. J. Biol. Chem. 2006, 281, 38302–38313. [Google Scholar] [CrossRef] [PubMed]
- Komori, T. Runx2, a multifunctional transcription factor in skeletal development. J. Cell. Biochem. 2002, 87, 1–8. [Google Scholar] [CrossRef] [PubMed]
- Tang, G.H.; Rabie, A.B. Runx2 regulates endochondral ossification in condyle during mandibular advancement. J. Dent. Res. 2005, 84, 166–171. [Google Scholar] [CrossRef] [PubMed]
- Hirata, M.; Kugimiya, F.; Fukai, A.; Saito, T.; Yano, F.; Ikeda, T.; Mabuchi, A.; Sapkota, B.R.; Akune, T.; Nishida, N.; et al. C/EBPβ and RUNX2 cooperate to degrade cartilage with MMP-13 as the target and HIF-2α as the inducer in chondrocytes. Hum. Mol. Genet. 2012, 21, 1111–1123. [Google Scholar] [CrossRef] [PubMed]
- Wang, X.; Manner, P.A.; Horner, A.; Shum, L.; Tuan, R.S.; Nuckolls, G.H. Regulation of MMP-13 expression by RUNX2 and FGF2 in osteoarthritic cartilage. Osteoarthr. Cartil. 2004, 12, 963–973. [Google Scholar] [CrossRef] [PubMed]
- Haberland, M.; Montgomery, R.L.; Olson, E.N. The many roles of histone deacetylases in development and physiology: Implications for disease and therapy. Nat. Rev. Genet. 2009, 10, 32–42. [Google Scholar] [CrossRef] [PubMed]
- Vega, R.B.; Matsuda, K.; Oh, J.; Barbosa, A.C.; Yang, X.; Meadows, E.; McAnally, J.; Pomajzl, C.; Shelton, J.M.; Richardson, J.A.; et al. Histone deacetylase 4 controls chondrocyte hypertrophy during skeletogenesis. Cell 2004, 119, 555–566. [Google Scholar] [CrossRef] [PubMed]
- Hong, S.; Derfoul, A.; Pereira-Mouries, L.; Hall, D.J. A novel domain in histone deacetylase 1 and 2 mediates repression of cartilage-specific genes in human chondrocytes. FASEB J. 2009, 23, 3539–3552. [Google Scholar] [CrossRef] [PubMed]
- Wuelling, M.; Vortkamp, A. Transcriptional networks controlling chondrocyte proliferation and differentiation during endochondral ossification. Pediatr. Nephrol. 2010, 25, 625–631. [Google Scholar] [CrossRef] [PubMed]
- Bradley, E.W.; Carpio, L.R.; Olson, E.N.; Westendorf, J.J. Histone deacetylase 7 (Hdac7) suppresses chondrocyte proliferation and β-catenin activity during endochondral ossification. J. Biol. Chem. 2015, 290, 118–126. [Google Scholar] [CrossRef] [PubMed]
- Cao, K.; Wei, L.; Zhang, Z.; Guo, L.; Zhang, C.; Li, Y.; Sun, C.; Sun, X.; Wang, S.; Li, P.; et al. Decreased histone deacetylase 4 is associated with human osteoarthritis cartilage degeneration by releasing histone deacetylase 4 inhibition of runt-related transcription factor-2 and increasing osteoarthritis-related genes: A novel mechanism of human osteoarthritis cartilage degeneration. Arthritis Res. Ther. 2014, 16, 491. [Google Scholar] [PubMed]
- Bartel, D.P. MicroRNAs: Genomics, biogenesis, mechanism, and function. Cell 2004, 116, 281–297. [Google Scholar] [CrossRef]
- Carthew, R.W.; Sontheimer, E.J. Origins and mechanisms of miRNAs and siRNAs. Cell 2009, 136, 642–655. [Google Scholar] [CrossRef] [PubMed]
- Tuddenham, L.; Wheeler, G.; Ntounia-Fousara, S.; Waters, J.; Hajihosseini, M.K.; Clark, I.; Dalmay, T. The cartilage specific microRNA-140 targets histone deacetylase 4 in mouse cells. FEBS Lett. 2006, 580, 4214–4217. [Google Scholar] [CrossRef] [PubMed]
- Guan, Y.J.; Yang, X.; Wei, L.; Chen, Q. MiR-365: A mechanosensitive microRNA stimulates chondrocyte differentiation through targeting histone deacetylase 4. FASEB J. 2011, 25, 4457–4466. [Google Scholar] [CrossRef] [PubMed]
- Zhang, Z.; Kang, Y.; Zhang, Z.; Zhang, H.; Duan, X.; Liu, J.; Li, X.; Liao, W. Expression of microRNAs during chondrogenesis of human adipose-derived stem cells. Osteoarthr. Cartil. 2012, 20, 1638–1646. [Google Scholar] [CrossRef] [PubMed]
- Hou, C.; Yang, Z.; Kang, Y.; Zhang, Z.; Fu, M.; He, A.; Zhang, Z.; Liao, W. MiR-193b regulates early chondrogenesis by inhibiting the TGF-β2 signaling pathway. FEBS Lett. 2015, 589, 1040–1047. [Google Scholar] [CrossRef] [PubMed]
- Zhang, Z.; Hou, C.; Meng, F.; Zhao, X.; Zhang, Z.; Huang, G.; Chen, W.; Fu, M.; Liao, W. MiR-455-3p regulates early chondrogenic differentiation via inhibiting Runx2. FEBS Lett. 2015, 589, 3671–3678. [Google Scholar] [CrossRef] [PubMed]
- Hou, C.; Meng, F.; Zhang, Z.; Kang, Y.; Chen, W.; Huang, G.; Fu, M.; Sheng, P.; Zhang, Z.; Liao, W. The role of microRNA-381 in chondrogenesis and interleukin-1-β induced chondrocyte responses. Cell. Physiol. Biochem. 2015, 36, 1753–1766. [Google Scholar] [CrossRef] [PubMed]
- Tang, H.; Liu, X.; Wang, Z.; She, X.; Zeng, X.; Deng, M.; Liao, Q.; Guo, X.; Wang, R.; Li, X.; et al. Interaction of hsa-miR-381 and glioma suppressor LRRC4 is involved in glioma growth. Brain Res. 2011, 1390, 21–32. [Google Scholar] [CrossRef] [PubMed]
- He, X.; Wei, Y.; Wang, Y.; Liu, L.; Wang, W.; Li, N. MiR-381 functions as a tumor suppressor in colorectal cancer by targeting Twist1. OncoTargets Ther. 2016, 9, 1231–1239. [Google Scholar]
- Xia, B.; Li, H.; Yang, S.; Liu, T.; Lou, G. MiR-381 inhibits epithelial ovarian cancer malignancy via YY1 suppression. Tumour Biol. 2016. [Google Scholar] [CrossRef] [PubMed]
- Xu, Z.; Dong, D.; Chen, X.; Huang, H.; Wen, S. MicroRNA-381 negatively regulates TLR4 signaling in A549 cells in response to LPS stimulation. BioMed Res. Int. 2015, 2015, 849475. [Google Scholar] [CrossRef] [PubMed]
- Culley, K.L.; Hui, W.; Barter, M.J.; Davidson, R.K.; Swingler, T.E.; Destrument, A.P.; Scott, J.L.; Donell, S.T.; Fenwick, S.; Rowan, A.D.; et al. Class I histone deacetylase inhibition modulates metalloproteinase expression and blocks cytokine-induced cartilage degradation. Arthritis Rheum. 2013, 65, 1822–1830. [Google Scholar] [CrossRef] [PubMed]
- Lago, R.; Gomez, R.; Otero, M.; Lago, F.; Gallego, R.; Dieguez, C.; Gomez-Reino, J.J.; Gualillo, O. A new player in cartilage homeostasis: Adiponectin induces nitric oxide synthase type II and pro-inflammatory cytokines in chondrocytes. Osteoarthr. Cartil. 2008, 16, 1101–1109. [Google Scholar] [CrossRef] [PubMed]
- Palmer, G.; Guicheux, J.; Bonjour, J.P.; Caverzasio, J. Transforming growth factor-β stimulates inorganic phosphate transport and expression of the type III phosphate transporter Glvr-1 in chondrogenic ATDC5 cells. Endocrinology 2000, 141, 2236–2243. [Google Scholar] [CrossRef] [PubMed]
- Livak, K.J.; Schmittgen, T.D. Analysis of relative gene expression data using real-time quantitative PCR and the 2−ΔΔCt Method. Methods 2001, 25, 402–408. [Google Scholar] [CrossRef] [PubMed]






| Genes | Primer Sequences (5′–3′) | |
|---|---|---|
| a mmu/b hsa-U6 | Forward | CTCGCTTCGGCAGCACA |
| Reverse | AACGCTTCACGAATTTGCGT | |
| mmu/hsa-miR-381 | TATACAAGGGCAAGCTCTCTGT | |
| mmu-GAPDH | Forward | TGTGTCCGTCGTGGATCTGA |
| Reverse | TTGCTGTTGAAGTCGCAGGAG | |
| mmu-RUNX2 | Forward | ATGCTTCATTCGCCTCACAAA |
| Reverse | GCACTCACTGACTCGGTTGG | |
| mmu-MMP13 | Forward | ATGCATTCAGCTATCCTGGCCA |
| Reverse | AAGATTGCATTTCTCGGAGCCTG | |
| hsa-RUNX2 | Forward | CGGAATGCCTCTGCTGTTATG |
| Reverse | TTTGTGAAGACGGTTATGGTCAA | |
| hsa-MMP13 | Forward | GCCAAATTATGGAGGAGATGC |
| Reverse | GCCGGTGTAGGTGTAGATAGGAA | |
| hsa-HDAC4 | Forward | TTTGCCGTGTGTGCTCCATAG |
| Reverse | GCGAACAGGCATCAGGTAGGTTA | |
| hsa-COL2A1 | Forward | GAGGGCAATAGCAGGTTCACGTA |
| Reverse | TGGGTGCAATGTCAATGATGG | |
| hsa-GAPDH | Forward | ACCCACTCCTCCACCTTTGA |
| Reverse | TTGCTGTAGCCAAATTCGTTGT | |
© 2016 by the authors; licensee MDPI, Basel, Switzerland. This article is an open access article distributed under the terms and conditions of the Creative Commons Attribution (CC-BY) license (http://creativecommons.org/licenses/by/4.0/).
Share and Cite
Chen, W.; Sheng, P.; Huang, Z.; Meng, F.; Kang, Y.; Huang, G.; Zhang, Z.; Liao, W.; Zhang, Z. MicroRNA-381 Regulates Chondrocyte Hypertrophy by Inhibiting Histone Deacetylase 4 Expression. Int. J. Mol. Sci. 2016, 17, 1377. https://doi.org/10.3390/ijms17091377
Chen W, Sheng P, Huang Z, Meng F, Kang Y, Huang G, Zhang Z, Liao W, Zhang Z. MicroRNA-381 Regulates Chondrocyte Hypertrophy by Inhibiting Histone Deacetylase 4 Expression. International Journal of Molecular Sciences. 2016; 17(9):1377. https://doi.org/10.3390/ijms17091377
Chicago/Turabian StyleChen, Weishen, Puyi Sheng, Zhiyu Huang, Fangang Meng, Yan Kang, Guangxin Huang, Zhiqi Zhang, Weiming Liao, and Ziji Zhang. 2016. "MicroRNA-381 Regulates Chondrocyte Hypertrophy by Inhibiting Histone Deacetylase 4 Expression" International Journal of Molecular Sciences 17, no. 9: 1377. https://doi.org/10.3390/ijms17091377
APA StyleChen, W., Sheng, P., Huang, Z., Meng, F., Kang, Y., Huang, G., Zhang, Z., Liao, W., & Zhang, Z. (2016). MicroRNA-381 Regulates Chondrocyte Hypertrophy by Inhibiting Histone Deacetylase 4 Expression. International Journal of Molecular Sciences, 17(9), 1377. https://doi.org/10.3390/ijms17091377
