HER2 Analysis in Sporadic Thyroid Cancer of Follicular Cell Origin
Abstract
:1. Introduction
2. Results
2.1. Clinical-Pathological Findings
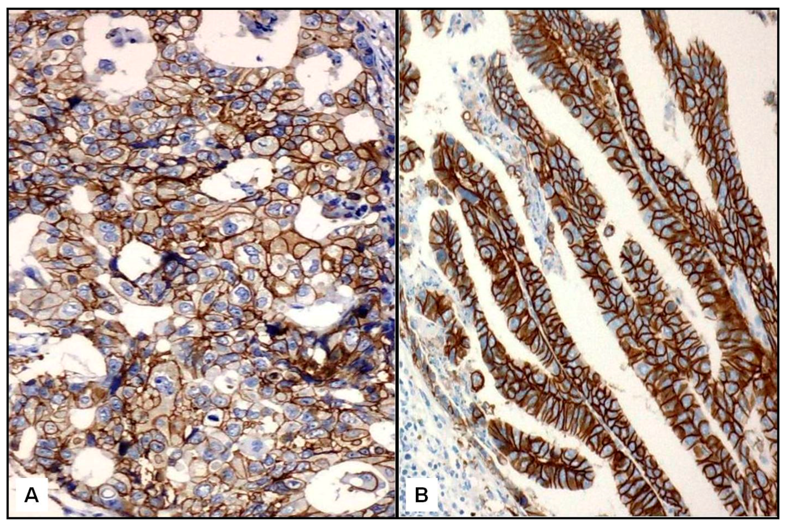
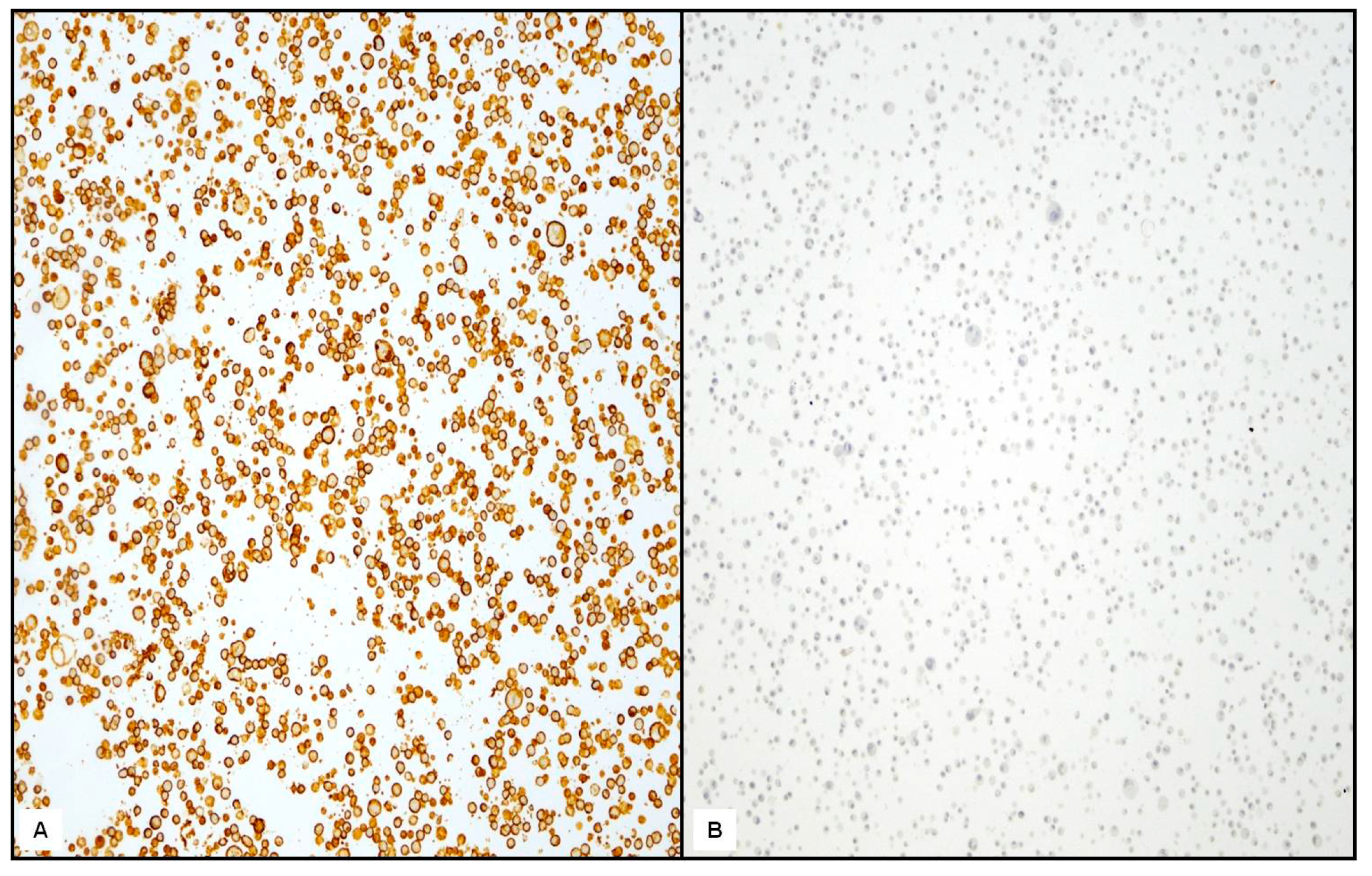
2.2. Immunohistochemical (IHC) and Fluorescence In Situ Hybridization (FISH) Results
3. Discussion
4. Materials and Methods
4.1. Sample Collection
4.2. Immunohistochemistry
4.3. Fluorescence In Situ Hybridization
4.4. Statistical Analysis
Acknowledgments
Author Contributions
Conflicts of Interest
References
- Yarden, Y. The EGFR family and its ligands in human cancer. Signaling mechanisms and therapeutic opportunities. Eur. J. Cancer 2001, 4, S3–S8. [Google Scholar] [CrossRef]
- Salomon, D.S.; Brandt, R.; Ciardiello, F.; Normanno, N. Epidermal growth factor-related peptides and their receptors in human malignancies. Crit. Rev. Oncol. Hematol. 1995, 19, 183–232. [Google Scholar] [CrossRef]
- Ieni, A.; Barresi, V.; Giuffrè, G.; Caruso, R.A.; Lanzafame, S.; Villari, L.; Salomone, E.; Roz, E.; Cabibi, D.; Franco, V.; et al. HER2 status in advanced gastric carcinoma: A retrospective multicentric analysis from Sicily. Oncol. Lett. 2013, 6, 1591–1594. [Google Scholar] [PubMed]
- Ieni, A.; Barresi, V.; Caltabiano, R.; Caleo, A.; Bonetti, L.R.; Lanzafame, S.; Zeppa, P.; Caruso, R.A.; Tuccari, G. Discordance rate of HER2 status in primary gastric carcinomas and synchronous lymph node metastases: A multicenter retrospective analysis. Int. J. Mol. Sci. 2014, 15, 22331–22341. [Google Scholar] [CrossRef] [PubMed]
- Ieni, A.; Barresi, V.; Caltabiano, R.; Cascone, A.M.; del Sordo, R.; Cabibi, D.; Zeppa, P.; Lanzafame, S.; Sidoni, A.; Franco, V.; et al. Discordance rate of HER2 status in primary breast carcinomas versus synchronous axillary lymph node metastases: A multicenter retrospective investigation. Onco. Targets Ther. 2014, 7, 1267–1272. [Google Scholar] [PubMed]
- Slamon, D.J.; Clark, G.M.; Wong, S.G.; Levin, W.J.; Ullrich, A.; McGuire, W.L. Human breast cancer: Correlation of relapse and survival with amplification of the HER-2/neu oncogene. Science 1987, 235, 177–182. [Google Scholar] [CrossRef] [PubMed]
- Allgayer, H.; Babic, R.; Gruetzner, K.U.; Tarabichi, A.; Schildberg, F.W.; Heiss, M.M. c-erbB-2 is of independent prognostic relevance in gastric cancer and is associated with the expression of tumor-associated protease systems. J. Clin. Oncol. 2000, 18, 2201–2209. [Google Scholar] [PubMed]
- Ieni, A.; Barresi, V.; Rigoli, L.; Caruso, R.A.; Tuccari, G. HER2 Status in Premalignant, Early, and Advanced Neoplastic Lesions of the Stomach. Dis. Markers 2015, 2015, 234851. [Google Scholar] [CrossRef] [PubMed]
- Ieni, A.; Giuffrè, G.; Lanzafame, S.; Nuciforo, G.; Curduman, M.; Villari, L.; Roz, E.; Certo, G.; Cabibi, D.; Salomone, E.; et al. Morphological and biomolecular characteristics of subcentimetric invasive breast carcinomas in Sicily: A multicentre retrospective study in relation to trastuzumab treatment. Oncol. Lett. 2012, 3, 141–146. [Google Scholar] [CrossRef] [PubMed]
- Rakha, E.A.; Starczynski, J.; Lee, A.H.; Ellis, I.O. The updated ASCO/CAP guideline recommendations for HER2 testing in the management of invasive breast cancer: A critical review of their implications for routine practice. Histopathology 2014, 64, 609–615. [Google Scholar] [CrossRef] [PubMed]
- Valtorta, E.; Martino, C.; Sartore-Bianchi, A.; Penaullt-Llorca, F.; Viale, G.; Risio, M.; Rugge, M.; Grigioni, W.; Bencardino, K.; Lonardi, S.; et al. Assessment of a HER2 scoring system for colorectal cancer: Results from a validation study. Mod. Pathol. 2015, 28, 481–1491. [Google Scholar] [CrossRef] [PubMed]
- Baselga, J.; Lewis Phillips, G.D.; Verma, S.; Ro, J.; Huober, J.; Guardino, A.E.; Samant, M.K.; Olsen, S.; de Haas, S.L.; Pegram, M.D. Relationship between Tumor Biomarkers and Efficacy in EMILIA, a Phase III Study of Trastuzumab Emtansine in HER2-Positive Metastatic Breast Cancer. Clin. Cancer Res. 2016, 22, 3755–3763. [Google Scholar] [CrossRef] [PubMed]
- Bang, Y.J.; van Cutsem, E.; Feyereislova, A.; Chung, H.C.; Shen, L.; Sawaki, A.; Lordick, F.; Ohtsu, A.; Omuro, Y.; Satoh, T.; et al. Trastuzumab in combination with chemotherapy versus chemotherapy alone for treatment of HER2-positive advanced gastric or gastro-oesophageal junction cancer (ToGA): A phase 3, open-label, randomised controlled trial. Lancet 2010, 376, 687–697. [Google Scholar] [CrossRef]
- Lemoine, N.K.; Wyllie, F.S.; Lillehaug, J.R.; Staddon, S.L.; Hughes, C.M.; Aasland, R.; Shaw, J.; Varhaug, J.E.; Brown, C.L.; Gullick, W.J.; et al. Absence of abnormalities of the c-erbB-1 and c-erbB-2 proto-oncogenes in human thyroid neoplasia. Eur. J. Cancer 1990, 26, 777–779. [Google Scholar] [CrossRef]
- Haugen, D.R.; Akslen, L.A.; Varhaug, J.E.; Lillehaug, J.R. Expression of c-erbB-2 protein in papillary thyroid carcinomas. Br. J. Cancer 1992, 65, 832–837. [Google Scholar] [CrossRef] [PubMed]
- Sugg, S.L.; Ezzat, S.; Zheng, L.; Rosen, I.B.; Freeman, J.L.; Asa, S.L. Cytoplasmic staining of erbB-2 but not mRNA levels correlates with differentiation in human thyroid neoplasia. Clin. Endocrinol. 1998, 49, 629–637. [Google Scholar] [CrossRef]
- Utrilla, J.C.; Martin-Lacave, I.; San Martin, M.V.; Fernandez-Santos, J.M.; Galera-Davidson, H. Expression of c-erbB-2 oncoprotein in human thyroid tumours. Histopathology 1999, 34, 60–65. [Google Scholar] [CrossRef] [PubMed]
- Kremser, R.; Obrist, P.; Spizzo, G.; Erler, H.; Kendler, D.; Kemmler, G.; Mikuz, G.; Ensinger, C. Her2/neu overexpression in differentiated thyroid carcinomas predicts metastatic disease. Virchows. Arch. 2003, 442, 322–328. [Google Scholar] [PubMed]
- Ensinger, C.; Prommegger, R.; Kendler, D.; Gabriel, M.; Spizzo, G.; Mikuz, G.; Kremser, R. Her2/neu expression in poorly-differentiated and anaplastic thyroid carcinomas. Anticancer Res. 2003, 23, 2349–2353. [Google Scholar] [PubMed]
- Mondi, M.M.; Rich, R.; Ituarte, P.; Wong, M.; Bergman, S.; Clark, O.H.; Perrier, N.D. HER2 expression in thyroid tumors. Am. Surg. 2003, 69, 1100–1103. [Google Scholar] [PubMed]
- Murakawa, T.; Tsuda, H.; Tanimoto, T.; Tanabe, T.; Kitahara, S.; Matsubara, O. Expression of KIT, EGFR, HER2/NEU and tyrosine phosphorylation in undifferentiated thyroid carcinoma: Implication for a new therapeutic approach. Pathol. Int. 2005, 55, 757–765. [Google Scholar] [CrossRef] [PubMed]
- Elliott, D.D.; Sherman, S.I.; Busaidy, N.L.; Williams, M.D.; Santarpia, L.; Clayman, G.L.; El-Naggar, A.K. Growth factor receptors expression in anaplastic thyroid carcinoma: Potential markers for therapeutic stratification. Hum. Pathol. 2008, 39, 15–20. [Google Scholar] [CrossRef] [PubMed]
- Qin, C.; Cau, W.; Zhang, Y.; Mghanga, F.P.; Lan, X.; Gao, Z.; An, R. Correlation of clinic-pathological features and expression of molecular markers with prognosis after 131I treatment of differentiated thyroid carcinoma. Clin. Nucl. Med. 2012, 37, e40–e46. [Google Scholar] [CrossRef] [PubMed]
- Sugishita, Y.; Kammori, M.; Yamada, O.; Poon, S.S.; Kobayashi, M.; Onoda, N.; Yamazaki, K.; Fukumori, T.; Yoshikawa, K.; Onose, H.; et al. Amplification of the human epidermal growth factor receptor 2 gene in differentiated thyroid cancer correlates with telomere shortening. Int. J. Oncol. 2013, 42, 1589–1596. [Google Scholar] [PubMed]
- Mdah, W.; Mzalbat, R.; Gilbey, P.; Stein, M.; Sharabi, A.; Zidan, J. Lack of HER-2 gene amplification and association with pathological and clinical characteristics of differentiated thyroid cancer. Mol. Clin. Oncol. 2014, 2, 1107–1110. [Google Scholar] [CrossRef] [PubMed]
- Wu, G.; Wang, J.; Zhou, Z.; Li, T.; Tang, F. Combined staining for immunohistochemical markers in the diagnosis of papillary thyroid carcinoma: Improvement in the sensitivity or specificity? J. Int. Med. Res. 2013, 41, 975–983. [Google Scholar] [CrossRef] [PubMed]
- Kavanagh, D.O.; McIlroy, M.; Myers, E.; Bane, F.; Crotty, T.B.; McDermott, E.; Hill, A.D.; Young, L.S. The role of oestrogen receptor α in human thyroid cancer: Contributions from coregulatory proteins and the tyrosine kinase receptor HER2. Endocr. Relat. Cancer 2010, 17, 255–264. [Google Scholar] [CrossRef] [PubMed]
- Caria, P.; Cantara, S.; Frau, D.V.; Pacini, F.; Vanni, R.; Dettori, T. Genetic Heterogeneity of HER2 Amplification and Telomere Shortening in Papillary Thyroid Carcinoma. Int. J. Mol. Sci. 2016, 17, e1759. [Google Scholar] [CrossRef] [PubMed]
- The American Joint Committee on Cancer. Thyroid. In AJCC Cancer Staging Manual, 7th ed.; Edge, S.B., Byrd, D.R., Compton, C.C., Eds.; Springer: New York, NY, USA, 2010; pp. 87–96. [Google Scholar]
- Alonso-Gordoa, T.; Díez, J.J.; Durán, M.; Grande, E. Advances in thyroid cancer treatment: Latest evidence and clinical potential. Ther. Adv. Med. Oncol. 2015, 7, 22–38. [Google Scholar] [CrossRef] [PubMed]
- Bulotta, S.; Celano, M.; Costante, G.; Russo, D. Emerging strategies for managing differentiated thyroid cancers refractory to radioiodine. Endocrine 2016, 52, 214–221. [Google Scholar] [CrossRef] [PubMed]
- Soares, P.; Celestino, R.; Melo, M.; Fonseca, E.; Sobrinho-Simões, M. Prognostic biomarkers in thyroid cancer. Virchows. Arch. 2014, 464, 333–346. [Google Scholar] [CrossRef] [PubMed]
- Ruggeri, R.M.; Campennì, A.; Baldari, S.; Trimarchi, F.; Trovato, M. What is New on Thyroid Cancer Biomarkers. Biomark. Insights 2008, 3, 237–252. [Google Scholar] [PubMed]
- De Lellis, R.A. WHO Classification of Tumours, Pathology and Genetics of Tumours of Endocrine Organs, 3rd ed.; Ronald, A., de Lellis, R.A., Riccardo, V.L., Philipp, U.H., Charis, E., Eds.; IARC Press: Lyon, France, 2004; Volume 8, p. 230. [Google Scholar]
- La, P.; Salazar, P.A.; Hudis, C.A.; Ladanyi, M.; Chen, B. HER-2 testing in breast cancer using immunohistochemical analysis and fluorescence in situ hybridization: A single-institution experience of 2279 cases and comparison of dual-color and single-color scoring. Am. J. Clin. Pathol. 2004, 121, 631–636. [Google Scholar]




| Variables | PTC Cases (n = 45) | FTC Cases (n = 45) |
|---|---|---|
| Age (years, mean ± SD) | 50.6 ± 12.3 | 52.7 ± 13.2 |
| Sex | ||
| Male | 11 | 6 |
| Female | 34 | 39 |
| M:F | 1:3 | 1:6.5 |
| Histological features | Classic variant, n = 16 | Minimally invasive, n = 34 |
| Follicular variant, n = 21 | ||
| Hürtle cell variant, n = 4 | Widely invasive, n = 11 | |
| Sclerosing variant, n = 4 | ||
| Primary Tumour pT [29] | ||
| T1 | 34 (13 T1a and 21 T1b) | 21 (9 T1a and 12 T1b) |
| T2 | 10 | 13 |
| T3 | 1 | 11 |
| T4 | / | / |
| Node metastasis (NX/N0/N1) [29] | ||
| pNX | 12 | 20 |
| pN0 | 23 | 25 |
| pN1 | 10 (N1a) | / |
| HER2 Status | FTC (n = 45) | PTC (n = 45) | p |
|---|---|---|---|
| IHC Negative/low (0, 1+) | 12 (26.6%) | 30 (66.6%) | 0.020 |
| Equivocal (2+) | 15 | 7 | |
| Positive (3+) | 18 | 8 | |
| IHC/FISH | |||
| Positive cases | |||
| (3+ and amplified) | 20 (44.4%) | 8 (17.7%) | 0.046 |
© 2016 by the authors; licensee MDPI, Basel, Switzerland. This article is an open access article distributed under the terms and conditions of the Creative Commons Attribution (CC-BY) license (http://creativecommons.org/licenses/by/4.0/).
Share and Cite
Ruggeri, R.M.; Campennì, A.; Giuffrè, G.; Giovanella, L.; Siracusa, M.; Simone, A.; Branca, G.; Scarfì, R.; Trimarchi, F.; Ieni, A.; et al. HER2 Analysis in Sporadic Thyroid Cancer of Follicular Cell Origin. Int. J. Mol. Sci. 2016, 17, 2040. https://doi.org/10.3390/ijms17122040
Ruggeri RM, Campennì A, Giuffrè G, Giovanella L, Siracusa M, Simone A, Branca G, Scarfì R, Trimarchi F, Ieni A, et al. HER2 Analysis in Sporadic Thyroid Cancer of Follicular Cell Origin. International Journal of Molecular Sciences. 2016; 17(12):2040. https://doi.org/10.3390/ijms17122040
Chicago/Turabian StyleRuggeri, Rosaria M., Alfredo Campennì, Giuseppe Giuffrè, Luca Giovanella, Massimiliano Siracusa, Angela Simone, Giovanni Branca, Rosa Scarfì, Francesco Trimarchi, Antonio Ieni, and et al. 2016. "HER2 Analysis in Sporadic Thyroid Cancer of Follicular Cell Origin" International Journal of Molecular Sciences 17, no. 12: 2040. https://doi.org/10.3390/ijms17122040
APA StyleRuggeri, R. M., Campennì, A., Giuffrè, G., Giovanella, L., Siracusa, M., Simone, A., Branca, G., Scarfì, R., Trimarchi, F., Ieni, A., & Tuccari, G. (2016). HER2 Analysis in Sporadic Thyroid Cancer of Follicular Cell Origin. International Journal of Molecular Sciences, 17(12), 2040. https://doi.org/10.3390/ijms17122040

