Glucagon Like Peptide-1 (GLP-1) Modulates OVA-Induced Airway Inflammation and Mucus Secretion Involving a Protein Kinase A (PKA)-Dependent Nuclear Factor-κB (NF-κB) Signaling Pathway in Mice
Abstract
:1. Introduction
2. Results
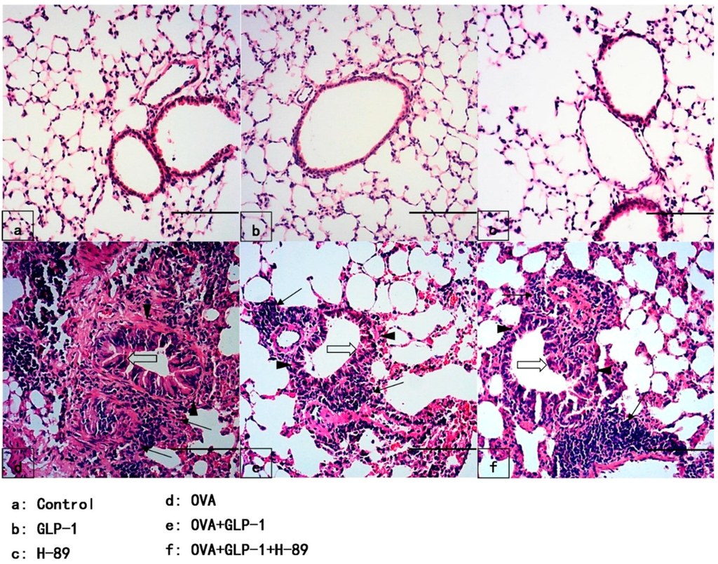
2.1. GLP-1 Improves Pulmonary Pathological Alterations in OVA-Induced Chronic Asthma

2.2. GLP-1 Reduces Inflammatory Cells Counts in BALF in OVA-Induced Chronic Asthma

2.3. GLP-1 Decreases Inflammatory Mediators in BALF in OVA-Induced Chronic Asthma
2.4. GLP-1 Down-Regulates E-Selectin in the Lung Tissues in OVA-Induced Chronic Asthma

2.5. GLP-1 Inhibits Airway Mucus Secretion in OVA-Induced Chronic Asthma

2.6. GLP-1 Blocks OVA-Induced NF-κB Activation and DNA Binding Activity in a PKA Dependent Manner in Lung


3. Discussion
4. Experimental Section
4.1. Animals
4.2. Murine Model of OVA-Induced Chronic Asthma
4.3. Cells Counts in BALF
4.4. TNF-α, IL-4, IL-5 and IL-13 in BALF
4.5. H&E Staining and Periodic Acid-Schiff (PAS) Staining
4.6. Quantitative PCR
4.7. Western Blotting
4.8. NF-κB p65 DNA Binding Activity Assay
4.9. Statistical Analysis
5. Conclusions
Acknowledgments
Author Contributions
Conflicts of Interest
References
- Mehal, J.M.; Holman, R.C.; Steiner, C.A.; Bartholomew, M.L.; Singleton, R.J. Epidemiology of asthma hospitalizations among American Indian and Alaska native people and the general United States population. Chest 2014, 146, 624–632. [Google Scholar] [CrossRef] [PubMed]
- Zhang, W.; Chen, X.; Ma, L.; Wu, J.; Zhao, L.; Kuang, H.; Huang, T.; Cheng, J.; Zhang, L.; Qi, Y.; et al. Epidemiology of bronchial asthma and asthma control assessment in Henan Province, China. Transl. Respir. Med. 2014, 2, 1–7. [Google Scholar] [CrossRef] [PubMed]
- Corry, D.B.; Kheradmand, F. A new link to airway obstruction in asthma. Nat. Med. 2007, 13, 777–778. [Google Scholar] [CrossRef] [PubMed]
- Zhu, T.; Zhang, W.; Wang, D.X.; Huang, N.W.; Bo, H.; Deng, W.; Deng, J. Rosuvastatin attenuates mucus secretion in a murine model of chronic asthma by inhibiting the γ-aminobutyric acid type A receptor. Chin. Med. J. 2012, 125, 1457–1464. [Google Scholar] [PubMed]
- Chen, F.H.; Samson, K.T.; Miura, K.; Ueno, K.; Odajima, Y.; Shougo, T.; Yoshitsugu, Y.; Shioda, S. Airway remodeling: A comparison between fatal and nonfatal asthma. J. Asthma 2004, 41, 631–638. [Google Scholar] [CrossRef] [PubMed]
- Wener, R.R.; Bel, E.H. Severe refractory asthma: An update. Eur. Respir. Rev. 2013, 22, 227–235. [Google Scholar] [CrossRef] [PubMed]
- Trevor, J.L.; Deshane, J.S. Refractory asthma: Mechanisms, targets, and therapy. Allergy 2014, 69, 817–827. [Google Scholar] [CrossRef] [PubMed]
- Liou, C.J.; Cheng, P.Y.; Huang, W.C.; Chan, C.C.; Chen, M.C.; Kuo, M.L.; Shen, J.J. Oral lovastatin attenuates airway inflammation and mucus secretion in ovalbumin-induced murine model of asthma. Allergy Asthma Immunol. Res. 2014, 6, 548–557. [Google Scholar] [CrossRef] [PubMed]
- Heppner, K.M.; Perez-Tilve, D. GLP-1 based therapeutics: Simultaneously combating T2DM and obesity. Front. Neurosci. 2015, 9. [Google Scholar] [CrossRef] [PubMed]
- Romani-Perez, M.; Outeirino-Iglesias, V.; Gil-Lozano, M.; Gonzalez-Matias, L.C.; Mallo, F.; Vigo, E. Pulmonary GLP-1 receptor increases at birth and exogenous GLP-1 receptor agonists augmented surfactant-protein levels in litters from normal and nitrofen-treated pregnant rats. Endocrinology 2013, 154, 1144–1155. [Google Scholar] [CrossRef] [PubMed]
- Golpon, H.A.; Puechner, A.; Welte, T.; Wichert, P.V.; Feddersen, C.O. Vasorelaxant effect of glucagon-like peptide-(7–36)amide and amylin on the pulmonary circulation of the rat. Regul. Pept. 2001, 102, 81–86. [Google Scholar] [CrossRef]
- Vara, E.; Arias-Diaz, J.; Garcia, C.; Balibrea, J.L.; Blazquez, E. Glucagon-like peptide-1(7–36) amide stimulates surfactant secretion in human type II pneumocytes. Am. J. Respir. Crit. Care Med. 2001, 163, 840–846. [Google Scholar] [CrossRef] [PubMed]
- Benito, E.; Blazquez, E.; Bosch, M.A. Glucagon-like peptide-1-(7–36) amide increases pulmonary surfactant secretion through a cyclic adenosine 3′,5′-monophosphate-dependent protein kinase mechanism in rat type II pneumocytes. Endocrinology 1998, 139, 2363–2368. [Google Scholar] [CrossRef] [PubMed]
- Bullock, B.P.; Heller, R.S.; Habener, J.F. Tissue distribution of messenger ribonucleic acid encoding the rat glucagon-like peptide-1 receptor. Endocrinology 1996, 137, 2968–2978. [Google Scholar] [PubMed]
- Campos, R.V.; Lee, Y.C.; Drucker, D.J. Divergent tissue-specific and developmental expression of receptors for glucagon and glucagon-like peptide-1 in the mouse. Endocrinology 1994, 134, 2156–2164. [Google Scholar] [PubMed]
- Richter, G.; Feddersen, O.; Wagner, U.; Barth, P.; Goke, R.; Goke, B. GLP-1 stimulates secretion of macromolecules from airways and relaxes pulmonary artery. Am. J. Physiol. 1993, 265, L374–L381. [Google Scholar] [PubMed]
- Goke, R.; Kolligs, F.; Richter, G.; Lankat-Buttgereit, B.; Goke, B. Solubilization of active receptors for glucagon-like peptide-1(7–36)amide from rat lung membranes. Am. J. Physiol. 1993, 264, L146–L152. [Google Scholar] [PubMed]
- Viby, N.E.; Isidor, M.S.; Buggeskov, K.B.; Poulsen, S.S.; Hansen, J.B.; Kissow, H. Glucagon-like peptide-1 (GLP-1) reduces mortality and improves lung function in a model of experimental obstructive lung disease in female mice. Endocrinology 2013, 154, 4503–4511. [Google Scholar] [CrossRef] [PubMed]
- Chang, S.; Kim, D.; Ryu, G.R.; Ko, S.; Jeong, I.; Ahn, Y.; Jo, Y.; Kim, M. Exendin-4 inhibits iNOS expression at the protein level in LPS-stimulated Raw264.7 macrophage by the activation of cAMP/PKA pathway. J. Cell Biochem. 2013, 114, 844–853. [Google Scholar] [CrossRef] [PubMed]
- Dai, Y.; Dai, D.; Wang, X.; Ding, Z.; Li, C.; Mehta, J.L. GLP-1 agonists inhibit ox-LDL uptake in macrophages by activating protein kinase A. J. Cardiovasc. Pharmacol. 2014, 64, 47–52. [Google Scholar] [CrossRef] [PubMed]
- Ishibashi, Y.; Matsui, T.; Ojima, A.; Nishino, Y.; Nakashima, S.; Maeda, S.; Yamagishi, S. Glucagon-like peptide-1 inhibits angiotensin II-induced mesangial cell damage via protein kinase A. Microvasc. Res. 2012, 84, 395–398. [Google Scholar] [CrossRef] [PubMed]
- Wang, L.; Liu, Y.; Yang, J.; Zhao, H.; Ke, J.; Tian, Q.; Zhang, L.; Wen, J.; Wei, R.; Hong, T. GLP-1 analogue liraglutide enhances proinsulin processing in pancreatic beta-cells via a PKA-dependent pathway. Endocrinology 2014, 155, 3817–3828. [Google Scholar] [CrossRef] [PubMed]
- Zhao, L.; Li, A.Q.; Zhou, T.F.; Zhang, M.Q.; Qin, X.M. Exendin-4 alleviates angiotensin II-induced senescence in vascular smooth muscle cells by inhibiting Rac1 activation via a cAMP/PKA-dependent pathway. Am. J. Physiol. Cell Physiol. 2014, 307, C1130–C1141. [Google Scholar] [CrossRef] [PubMed]
- Arakawa, M.; Mita, T.; Azuma, K.; Ebato, C.; Goto, H.; Nomiyama, T.; Fujitani, Y.; Hirose, T.; Kawamori, R.; Watada, H. Inhibition of monocyte adhesion to endothelial cells and attenuation of atherosclerotic lesion by a glucagon-like peptide-1 receptor agonist, exendin-4. Diabetes 2010, 59, 1030–1037. [Google Scholar] [CrossRef] [PubMed]
- Hacha, J.; Tomlinson, K.; Maertens, L.; Paulissen, G.; Rocks, N.; Foidart, J.M.; Noel, A.; Palframan, R.; Gueders, M.; Cataldo, D.D. Nebulized anti-IL-13 monoclonal antibody Fab’ fragment reduces allergen-induced asthma. Am. J. Respir. Cell Mol. Biol. 2012, 47, 709–717. [Google Scholar] [CrossRef] [PubMed]
- Bao, Z.; Guan, S.; Cheng, C.; Wu, S.; Wong, S.H.; Kemeny, D.M.; Leung, B.P.; Wong, W.S. A novel antiinflammatory role for andrographolide in asthma via inhibition of the nuclear factor-κB pathway. Am. J. Respir. Crit. Care Med. 2009, 179, 657–665. [Google Scholar] [CrossRef] [PubMed]
- Xiao, M.; Zhu, T.; Zhang, W.; Wang, T.; Shen, Y.C.; Wan, Q.F.; Wen, F.Q. Emodin ameliorates LPS-induced acute lung injury, involving the inactivation of NF-κB in mice. Int. J. Mol. Sci. 2014, 15, 19355–19368. [Google Scholar] [CrossRef] [PubMed]
- Abdelsalam, R.M.; Safar, M.M. Neuroprotective effects of vildagliptin in rat rotenone Parkinson’s disease model: Role of RAGE-NF-κB and Nrf2-antioxidant signaling pathways. J. Neurochem. 2015, 133, 700–707. [Google Scholar] [CrossRef] [PubMed]
- Lee, J.; Kim, T.H.; Murray, F.; Li, X.; Choi, S.S.; Broide, D.H.; Corr, M.; Lee, J.; Webster, N.J.; Insel, P.A.; et al. Cyclic AMP concentrations in dendritic cells induce and regulate Th2 immunity and allergic asthma. Proc. Natl. Acad. Sci. USA 2015, 112, 1529–1534. [Google Scholar] [CrossRef] [PubMed]
- Seufert, J.; Gallwitz, B. The extra-pancreatic effects of GLP-1 receptor agonists: A focus on the cardiovascular, gastrointestinal and central nervous systems. Diabetes Obes. Metab. 2014, 16, 673–688. [Google Scholar] [CrossRef] [PubMed]
- Wagner, U.; Bredenbroker, D.; Storm, B.; Tackenberg, B.; Fehmann, H.C.; von Wichert, P. Effects of VIP and related peptides on airway mucus secretion from isolated rat trachea. Peptides 1998, 19, 241–245. [Google Scholar] [CrossRef]
- Dai, Y.; Dai, D.; Wang, X.; Ding, Z.; Mehta, J.L. DPP-4 inhibitors repress NLRP3 Inflammasome and interleukin-1β via GLP-1 receptor in macrophages through protein kinase C pathway. Cardiovasc. Drugs Ther. 2014, 28, 425–432. [Google Scholar] [CrossRef] [PubMed]
- Higashijima, Y.; Tanaka, T.; Yamaguchi, J.; Tanaka, S.; Nangaku, M. Anti-inflammatory role of DPP-4 inhibitors in a non-diabetic model of glomerular injury. Am. J. Physiol. Renal Physiol. 2015, 308, 590–2014. [Google Scholar] [CrossRef] [PubMed]
- Steven, S.; Hausding, M.; Kroller-Schon, S.; Mader, M.; Mikhed, Y.; Stamm, P.; Zinssius, E.; Pfeffer, A.; Welschof, P.; Agdauletova, S.; et al. Gliptin and GLP-1 analog treatment improves survival and vascular inflammation/dysfunction in animals with lipopolysaccharide-induced endotoxemia. Basic Res. Cardiol. 2015, 110, 1–14. [Google Scholar] [CrossRef] [PubMed]
- Wang, Y.; Parlevliet, E.T.; Geerling, J.J.; van der Tuin, S.J.; Zhang, H.; Bieghs, V.; Jawad, A.H.; Shiri-Sverdlov, R.; Bot, I.; de Jager, S.C.; et al. Exendin-4 decreases liver inflammation and atherosclerosis development simultaneously by reducing macrophage infiltration. Br. J. Pharmacol. 2014, 171, 723–734. [Google Scholar] [CrossRef] [PubMed]
- Svegliati-Baroni, G.; Saccomanno, S.; Rychlicki, C.; Agostinelli, L.; de Minicis, S.; Candelaresi, C.; Faraci, G.; Pacetti, D.; Vivarelli, M.; Nicolini, D.; et al. Glucagon-like peptide-1 receptor activation stimulates hepatic lipid oxidation and restores hepatic signalling alteration induced by a high-fat diet in nonalcoholic steatohepatitis. Liver Int. 2011, 31, 1285–1297. [Google Scholar] [CrossRef] [PubMed]
- Wei, Q.; Sha, Y.; Bhattacharya, A.; Abdel, F.E.; Bonilla, D.; Jyothula, S.S.; Pandit, L.; Khurana, H.G.; Eissa, N.T. Regulation of IL-4 receptor signaling by STUB1 in lung inflammation. Am. J. Respir. Crit. Care Med. 2014, 189, 16–29. [Google Scholar] [CrossRef] [PubMed]
- Ma, Y.; Halayko, A.J.; Basu, S.; Guan, Q.; Weiss, C.R.; Ma, A.G.; HayGlass, K.T.; Becker, A.B.; Warrington, R.J.; Peng, Z. Sustained suppression of IL-13 by a vaccine attenuates airway inflammation and remodeling in mice. Am. J. Respir. Cell Mol. Biol. 2013, 48, 540–549. [Google Scholar] [CrossRef] [PubMed]
- Hekking, P.W.; Wener, R.R.; Amelink, M.; Zwinderman, A.H.; Bouvy, M.L.; Bel, E.H. The prevalence of severe refractory asthma. J. Allergy Clin. Immun. 2015, 135, 896–902. [Google Scholar] [CrossRef] [PubMed]
- Gerthoffer, W.T.; Solway, J.; Camoretti-Mercado, B. Emerging targets for novel therapy of asthma. Curr. Opin. Pharmacol. 2013, 13, 324–330. [Google Scholar] [CrossRef] [PubMed]
- Billington, C.K.; Hall, I.P. Novel cAMP signalling paradigms: Therapeutic implications for airway disease. Br. J. Pharmacol. 2012, 166, 401–410. [Google Scholar] [CrossRef] [PubMed]
- Billington, C.K.; Ojo, O.O.; Penn, R.B.; Ito, S. cAMP regulation of airway smooth muscle function. Pulm. Pharmacol. Ther. 2013, 26, 112–120. [Google Scholar] [CrossRef] [PubMed]
- Leaker, B.R.; Singh, D.; Ali, F.Y.; Barnes, P.J.; O’Connor, B. The effect of the novel phosphodiesterase-4 inhibitor MEM 1414 on the allergen induced responses in mild asthma. BMC Pulm. Med. 2014, 14. [Google Scholar] [CrossRef] [PubMed]
- Mata, M.; Sarria, B.; Buenestado, A.; Cortijo, J.; Cerda, M.; Morcillo, E.J. Phosphodiesterase 4 inhibition decreases MUC5AC expression induced by epidermal growth factor in human airway epithelial cells. Thorax 2005, 60, 144–152. [Google Scholar] [CrossRef] [PubMed]
- Gauvreau, G.M.; Boulet, L.P.; Schmid-Wirlitsch, C.; Cote, J.; Duong, M.; Killian, K.J.; Milot, J.; Deschesnes, F.; Strinich, T.; Watson, R.M.; et al. Roflumilast attenuates allergen-induced inflammation in mild asthmatic subjects. Respir. Res. 2011, 12. [Google Scholar] [CrossRef] [PubMed]
- Morgan, S.J.; Deshpande, D.A.; Tiegs, B.C.; Misior, A.M.; Yan, H.; Hershfeld, A.V.; Rich, T.C.; Panettieri, R.A.; An, S.S.; Penn, R.B. β-Agonist-mediated relaxation of airway smooth muscle is protein kinase A-dependent. J. Biol. Chem. 2014, 289, 23065–23074. [Google Scholar] [CrossRef] [PubMed]
- Chang, M.; Chen, C.; Chen, Y.; Wu, Y.; Zhen, Y.; Leu, S.; Tsai, T.; Ko, S.; Sung, P.; Yang, C.; et al. Sitagliptin protects rat kidneys from acute ischemia-reperfusion injury via upregulation of GLP-1 and GLP-1 receptors. Acta Pharmacol. Sin. 2014, 36, 119–130. [Google Scholar] [CrossRef] [PubMed]
- Gou, S.; Zhu, T.; Wang, W.; Xiao, M.; Wang, X.; Chen, Z. Glucagon like peptide-1 attenuates bleomycin-induced pulmonary fibrosis, involving the inactivation of NF-κB in mice. Int. Immunopharmacol. 2014, 22, 498–504. [Google Scholar] [CrossRef] [PubMed]
- Hattori, Y.; Jojima, T.; Tomizawa, A.; Satoh, H.; Hattori, S.; Kasai, K.; Hayashi, T. A glucagon-like peptide-1 (GLP-1) analogue, liraglutide, upregulates nitric oxide production and exerts anti-inflammatory action in endothelial cells. Diabetologia 2010, 53, 2256–2263. [Google Scholar] [CrossRef] [PubMed]
- Kodera, R.; Shikata, K.; Takatsuka, T.; Oda, K.; Miyamoto, S.; Kajitani, N.; Hirota, D.; Ono, T.; Usui, H.K.; Makino, H. Dipeptidyl peptidase-4 inhibitor ameliorates early renal injury through its anti-inflammatory action in a rat model of type 1 diabetes. Biochem. Biophys. Res. Commun. 2014, 443, 828–833. [Google Scholar] [CrossRef] [PubMed]
- Choi, H.; Park, S.; Oh, H.; Han, E.; Lee, Y.; Lee, J.; Jun, W.J.; Choi, K.; Yoon, H. PKA negatively regulates PP2Cβ to activate NF-κB-mediated inflammatory signaling. Biochem. Biophys. Res. Commun. 2013, 436, 473–477. [Google Scholar] [CrossRef] [PubMed]
- Li, J.; Luo, L.; Wang, X.; Liao, B.; Li, G. Inhibition of NF-κB expression and allergen-induced airway inflammation in a mouse allergic asthma model by andrographolide. Cell Mol. Immunol. 2009, 6, 381–385. [Google Scholar] [CrossRef] [PubMed]
- Zhu, T.; Wang, D.; Zhang, W.; Liao, X.; Guan, X.; Bo, H.; Sun, J.; Huang, N.; He, J.; Zhang, Y.; et al. Andrographolide protects against LPS-induced acute lung injury by inactivation of NF-κB. PLoS ONE 2013, 8, e56407. [Google Scholar] [CrossRef] [PubMed]
- Zhu, T.; Zhang, W.; Wang, D. Insulin up-regulates epithelial sodium channel in LPS-induced acute lung injury model in rats by SGK1 activation. Injury 2012, 43, 1277–1283. [Google Scholar] [CrossRef] [PubMed]
- Zhu, T.; Zhang, W.; Xiao, M.; Chen, H.; Jin, H. Protective role of andrographolide in bleomycin-induced pulmonary fibrosis in mice. Int. J. Mol. Sci. 2013, 14, 23581–23596. [Google Scholar] [CrossRef] [PubMed]
© 2015 by the authors; licensee MDPI, Basel, Switzerland. This article is an open access article distributed under the terms and conditions of the Creative Commons Attribution license (http://creativecommons.org/licenses/by/4.0/).
Share and Cite
Zhu, T.; Wu, X.-l.; Zhang, W.; Xiao, M. Glucagon Like Peptide-1 (GLP-1) Modulates OVA-Induced Airway Inflammation and Mucus Secretion Involving a Protein Kinase A (PKA)-Dependent Nuclear Factor-κB (NF-κB) Signaling Pathway in Mice. Int. J. Mol. Sci. 2015, 16, 20195-20211. https://doi.org/10.3390/ijms160920195
Zhu T, Wu X-l, Zhang W, Xiao M. Glucagon Like Peptide-1 (GLP-1) Modulates OVA-Induced Airway Inflammation and Mucus Secretion Involving a Protein Kinase A (PKA)-Dependent Nuclear Factor-κB (NF-κB) Signaling Pathway in Mice. International Journal of Molecular Sciences. 2015; 16(9):20195-20211. https://doi.org/10.3390/ijms160920195
Chicago/Turabian StyleZhu, Tao, Xiao-ling Wu, Wei Zhang, and Min Xiao. 2015. "Glucagon Like Peptide-1 (GLP-1) Modulates OVA-Induced Airway Inflammation and Mucus Secretion Involving a Protein Kinase A (PKA)-Dependent Nuclear Factor-κB (NF-κB) Signaling Pathway in Mice" International Journal of Molecular Sciences 16, no. 9: 20195-20211. https://doi.org/10.3390/ijms160920195
APA StyleZhu, T., Wu, X.-l., Zhang, W., & Xiao, M. (2015). Glucagon Like Peptide-1 (GLP-1) Modulates OVA-Induced Airway Inflammation and Mucus Secretion Involving a Protein Kinase A (PKA)-Dependent Nuclear Factor-κB (NF-κB) Signaling Pathway in Mice. International Journal of Molecular Sciences, 16(9), 20195-20211. https://doi.org/10.3390/ijms160920195
