In Vitro Cytotoxic Evaluation of MgO Nanoparticles and Their Effect on the Expression of ROS Genes
Abstract
:1. Introduction
2. Results
2.1. Biocompatible MgO Nanoparticle Synthesis
2.2. Real-Time Quantitation of GST and Catalase Genes


| MgO Conc. (μg) | cDNA Copy Number | ||
|---|---|---|---|
| 24 h | 48 h | 72 h | |
| 0 | 8.40 × 102 | 9.57 × 102 | 2.88 × 103 |
| 25 | 1.15 × 103 | 4.60 × 103 | 4.10 × 103 |
| 75 | 2.34 × 103 | 7.83 × 103 | 5.37 × 103 |
| 150 | 3.90 × 103 | 8.40 × 103 | 5.90 × 103 |
| MgO Conc. (μg) | cDNA Copy Number | ||
|---|---|---|---|
| 24 h | 48 h | 72 h | |
| 0 | 0.23 × 105 | 0.62 × 105 | 0.68 × 105 |
| 25 | 0.57 × 105 | 1.63 × 105 | 1.32 × 105 |
| 75 | 1.11 × 105 | 3.207 × 105 | 1.61 × 105 |
| 150 | 1.63 × 105 | 5.26 × 105 | 3.25 × 105 |
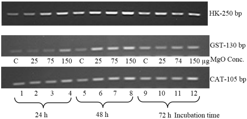
2.3. Quantitative Analysis of GST and Catalase on an Agarose Gel

2.4. GST Expression in a Living Cell Based on Molecular Beacon Technology


3. Discussion
4. Experimental Section
4.1. MgO Nanoparticle Preparation and Cell Culture
4.2. TaqMan RT-PCR Analysis
4.3. Standard Calibration Curve of RT-PCR
4.4. Quantitative Analysis on an Agarose Gel
4.5. Cellular Genotoxicity Test Using MB Technology
5. Conclusions
Acknowledgments
Author Contributions
Conflicts of Interest
References
- El-Ansary, A.; Al-Daihan, S. On the toxicity of therapeutically used nanoparticles. J. Toxicol. 2009. [Google Scholar] [CrossRef]
- Martirosyan, A.; Schneider, Y. Engineered nanomaterials in food: Implications for food fafety and consumer health. Int. J. Environ. Res. Public Health 2014, 11, 5720–5750. [Google Scholar] [CrossRef] [PubMed]
- Seaton, A.; Donaldson, K. Nanoscience, nanotoxicology, and the need to think small. Lancet 2005, 365, 923–924. [Google Scholar] [CrossRef] [PubMed]
- Peters, K.; Unger, R.E.; Kirkpatrick, C.J.; Gatti, A.M.; Monari, E. Effects of nano-scaled particles on endothelial cell function in vitro: Studies on viability, proliferation and inflammation. J. Mater. Sci. Mater. Med. 2004, 15, 321–325. [Google Scholar] [CrossRef] [PubMed]
- Na, H.B.; Lee, L.H.; An, K.; Park, Y.I.; Park, M.; Lee, I.S.; Nam, D.H.; Kim, S.T.; Kim, S.H.; Kim, S.W.; et al. Development of a T1 contrast agent for magnetic resonance imaging using MnO nanoparticles. Angew. Chem. Int. Ed. 2007, 119, 5493–5497. [Google Scholar]
- Srivastava, S.; Awasthi, R.; Gajbhiye, N.S.; Agarwal, V.; Singh, A.; Yadav, A.; Gupta, R.K. Innovative synthesis of citrate-coated superparamagnetic Fe3O4 nanoparticles and its preliminary applications. J. Colloid Interface Sci. 2011, 359, 104–111. [Google Scholar] [CrossRef] [PubMed]
- Krishnamoorthy, K.; Moon, J.Y.; Hyun, H.B.; Cho, S.K.; Kim, S.J. Mechanistic investigation on the toxicity of MgO nanoparticles towards cancer cells. J. Mater. Chem. 2012, 22, 24610–24617. [Google Scholar] [CrossRef]
- Yang, X.C.; Shang, Y.L.; Li, Y.H.; Zhai, L.J.; Foster, N.R.; Li, Y.X.; Zou, D.; Pu, Y. Synthesis of monodisperse Iron oxide nanoparticles without surfactants. J. Nanomater. 2014. [Google Scholar] [CrossRef]
- Chiu, S.K.; Manhat, B.A.; DeBenedetti, W.J.I.; Brown, A.N.; Fichter, K.; Vu, T.; Eastman, M.; Jiao, J.; Goforth, A.M. Aqueous red-emitting silicon nanoparticles for cellular imaging: Consequences of protecting against surface passivation by hydroxide and water for stable red emission. J. Mater. Res. 2013, 28, 216–230. [Google Scholar] [CrossRef]
- Malvindi, M.A.; de Matteis, V.; Galeone, A.; Brunetti, V.; Anyfantis, G.C.; Athanassiou, A.; Cingolani, R.; Pompa, P.P. Toxicity assessment of Silica coated Iron oxide nanoparticles and biocompatibility improvement by surface engineering. PLoS ONE 2014, 9, e85835. [Google Scholar] [CrossRef] [PubMed]
- Manke, A.; Wang, L.; Rojanasakul, Y. Mechanisms of nanoparticle-induced oxidative stress and toxicity. BioMed Res. Int. 2013. [Google Scholar] [CrossRef]
- Huang, Y.W.; Wu, C.H.; Aronstam, R.S. Toxicity of transition metal oxide nanoparticles: Recent insights from in vitro studies. Materials 2010, 3, 4842–4859. [Google Scholar] [CrossRef]
- Zhang, H.; Ji, Z.; Xia, T.; Meng, H.; Low-Kam, C.; Liu, R.; Pokhrel, S.; Lin, S.; Wang, X.; Liao, Y.P.; et al. Use of metal oxide nanoparticle band gap to develop a predictive paradigm for oxidative stress and acute pulmonary inflammation. ACS Nano 2012, 6, 4349–4368. [Google Scholar]
- Park, E.J.; Choi, J.; Park, Y.K.; Park, K. Oxidative stress induced by cerium oxide nanoparticles in cultured BEAS-2B cells. Toxicology 2008, 245, 90–100. [Google Scholar] [CrossRef] [PubMed]
- Stone, V.; Shaw, J.; Brown, D.M.; Macnee, W.; Faux, S.P.; Donaldson, K. The role of oxidative stress in the prolonged inhibitory effect of ultrafine carbon black on epithelial cell function. Toxicol. In Vitro 1998, 12, 649–659. [Google Scholar] [CrossRef] [PubMed]
- Wilson, M.R.; Lightbody, J.H.; Donaldson, K.; Sales, J.; Stones, V. Interactions between ultrafine particles and transition metals in vivo and in vitro. Toxicol. Appl. Pharmacol. 2002, 184, 172–179. [Google Scholar] [CrossRef] [PubMed]
- Sahu, D.; Kannan, G.M.; Vijayaraghavan, R.; Anand, T.; Khanum, F. Nanosized Zinc oxide induces toxicity in human lung cells. ISRN Toxicol. 2013. [Google Scholar] [CrossRef]
- Vandebriel, R.J.; Jong, W.H.D. A review of mammalian toxicity of ZnO nanoparticles. Nanotechnol. Sci. Appl. 2012, 5, 61–71. [Google Scholar] [CrossRef] [PubMed]
- Vidic, J.; Stankic, S.; Haque, F.; Ciric, D.; Goffic, R.L.; Vidy, A.; Jupille, J.; Delmas, B. Selective antibacterial effects of mixed ZnMgO nanoparticles. J. Nanopart. Res. 2013, 15, 1595–1604. [Google Scholar] [CrossRef] [PubMed]
- Lai, J.C.K.; Lai, M.B.; Jandhyam, S.; Dukhande, V.V.; Bhushan, A.; Daniels, C.K.; Leung, S.W. Exposure to titanium dioxide and other metallic oxide nanoparticles induces cytotoxicity on human neural cells and fibroblasts. Int. J. Nanomed. 2008, 3, 533–545. [Google Scholar]
- Leung, Y.H.; Ng, A.M.C.; Xu, X.; Shen, Z.; Gethings, L.A.; Wong, M.T.; Chan, C.M.; Guo, M.Y.; Ng, Y.H.; Djurisic, A.B.; et al. Mechanisms of antibacterial activity of MgO: Non-ROS mediated toxicity of MgO nanoparticles towards Escherichia coli. Small 2014, 10, 1171–1183. [Google Scholar]
- Lee, Y.C.; Chen, D.Y.; Dodd, S.J.; Bouraoud, N.; Koretsky, A.P.; Krishnan, K.M. The use of silica coated MnO nanoparticles to control MRI relaxivity in response to specific physiological changes. Biomaterials 2012, 33, 3560–3567. [Google Scholar] [CrossRef] [PubMed]
- Na, H.B.; Song, I.C.; Hyeon, T. Inorganic nanoparticles for MRI contrast agents. Adv. Mater. 2009, 21, 2133–2148. [Google Scholar] [CrossRef]
- Talalay, P.; Dinkova–Kostova, A.T.; Holtzclaw, W.D. Importance of phase 2 gene regulation in protection against electrophile and reactive oxygen toxicity and carcinogenesis. Adv. Enzym. Regul. 2003, 43, 121–134. [Google Scholar] [CrossRef]
- Xia, T.; Kovochich, M.; Brant, J.; Hotze, M.; Sempf, J.; Oberley, T.; Sioutas, C.; Yeh, J.I.; Wiesner, M.R.; Nel, A.E. Comparison of the abilities of ambient and manufactured nanoparticles to induce cellular toxicity according to an oxidative stress paradigm. Nano Lett. 2006, 6, 1794–1807. [Google Scholar] [CrossRef] [PubMed]
- Li, N.; Alam, J.; Venkatesan, M.I.; Eiguren-Fernandez, A.; Schmitz, D.; di Stefano, E.; Slaughter, N.; Killeen, E.; Wang, X.; Huang, A.; et al. Nrf2 is a key transcription factor that regulates antioxidant defense in macrophages and epithelial cells: Protection against the proinflammatory and oxidizing effects of diesel exhaust chemicals. J. Immunol. 2004, 173, 3467–3481. [Google Scholar]
- Hu, F.; Neoh, K.G.; Cen, L.; Kang, E.T. Cellular responses to magnetic nanoparticles “PEGylated” via surface-initiated atom transfer radical polymerization. Biomacromolecules 2006, 7, 809–816. [Google Scholar] [CrossRef] [PubMed]
- Chan, K.; Kan, Y.W. Nrf2 is essential for protection against acute pulmonary injury in mice. Proc. Natl. Acad. Sci. USA 1999, 96, 12731–12736. [Google Scholar] [CrossRef] [PubMed]
- Kloc, M.; Zearfoss, N.R.; Etkin, L.D. Mechanisms of subcellular mRNA localization. Cell 2002, 108, 533–544. [Google Scholar] [CrossRef] [PubMed]
- Brown, D.M.; Donaldson, K.; Borm, P.J.; Schins, R.P.; Dehnhardt, M.; Gilmour, P.; Jimenez, L.A.; Stone, V. Calcium and ROS-mediated activation of transcription factors and TNF-α Cytokine gene expression in macrophages exposed to ultrafine particles. Am. J. Physiol. 2004, 286, 344–353. [Google Scholar]
- Dubertret, B.; Skourides, P.; Norris, D.J.; Noireaux, V.; Brivanlou, A.H.; Libchaber, A. In vivo imaging of quantum dots encapsulated in phospholipid micelles. Science 2002, 298, 1759–1762. [Google Scholar] [CrossRef] [PubMed]
- Park, J.; An, K.; Hwang, Y.; Park, J.G.; Noh, H.J.; Kim, J.Y.; Park, J.H.; Hwang, N.M.; Hyeon, T. Ultra-large-scale synthesis of monodisperse nanocrystals. Nat. Mater. 2004, 3, 891–895. [Google Scholar] [CrossRef] [PubMed]
- Santangelo, P.J.; Nix, B.; Tsourkas, A; Bao, G. Dual FRET molecular beacons for mRNA detection in live cells. Nucleic Acids Res. 2004, 32, e57. [Google Scholar]
© 2015 by the authors; licensee MDPI, Basel, Switzerland. This article is an open access article distributed under the terms and conditions of the Creative Commons Attribution license (http://creativecommons.org/licenses/by/4.0/).
Share and Cite
Kumaran, R.S.; Choi, Y.-K.; Singh, V.; Song, H.-J.; Song, K.-G.; Kim, K.J.; Kim, H.J. In Vitro Cytotoxic Evaluation of MgO Nanoparticles and Their Effect on the Expression of ROS Genes. Int. J. Mol. Sci. 2015, 16, 7551-7564. https://doi.org/10.3390/ijms16047551
Kumaran RS, Choi Y-K, Singh V, Song H-J, Song K-G, Kim KJ, Kim HJ. In Vitro Cytotoxic Evaluation of MgO Nanoparticles and Their Effect on the Expression of ROS Genes. International Journal of Molecular Sciences. 2015; 16(4):7551-7564. https://doi.org/10.3390/ijms16047551
Chicago/Turabian StyleKumaran, Rangarajulu Senthil, Yong-Keun Choi, Vijay Singh, Hak-Jin Song, Kyung-Guen Song, Kwang Jin Kim, and Hyung Joo Kim. 2015. "In Vitro Cytotoxic Evaluation of MgO Nanoparticles and Their Effect on the Expression of ROS Genes" International Journal of Molecular Sciences 16, no. 4: 7551-7564. https://doi.org/10.3390/ijms16047551
APA StyleKumaran, R. S., Choi, Y.-K., Singh, V., Song, H.-J., Song, K.-G., Kim, K. J., & Kim, H. J. (2015). In Vitro Cytotoxic Evaluation of MgO Nanoparticles and Their Effect on the Expression of ROS Genes. International Journal of Molecular Sciences, 16(4), 7551-7564. https://doi.org/10.3390/ijms16047551

