Mangiferin Reduces the Inhibition of Chondrogenic Differentiation by IL-1β in Mesenchymal Stem Cells from Subchondral Bone and Targets Multiple Aspects of the Smad and SOX9 Pathways
Abstract
:1. Introduction
2. Results and Discussion
2.1. Mesenchymal Stem Cells from Subchondral Bone Differentiate into Chondrogenic, Adipogenic, and Osteogenic Cells

2.2. Mangiferin Enhances Chondrogenic Differentiation and Influences Induction of Cartilage Phenotypic Markers and Growth Factors

2.3. Mangiferin Reverses the Inhibition of IL-1β-Induced Chondrogenic Differentiation by Regulation of Anabolic and Catabolic Genes


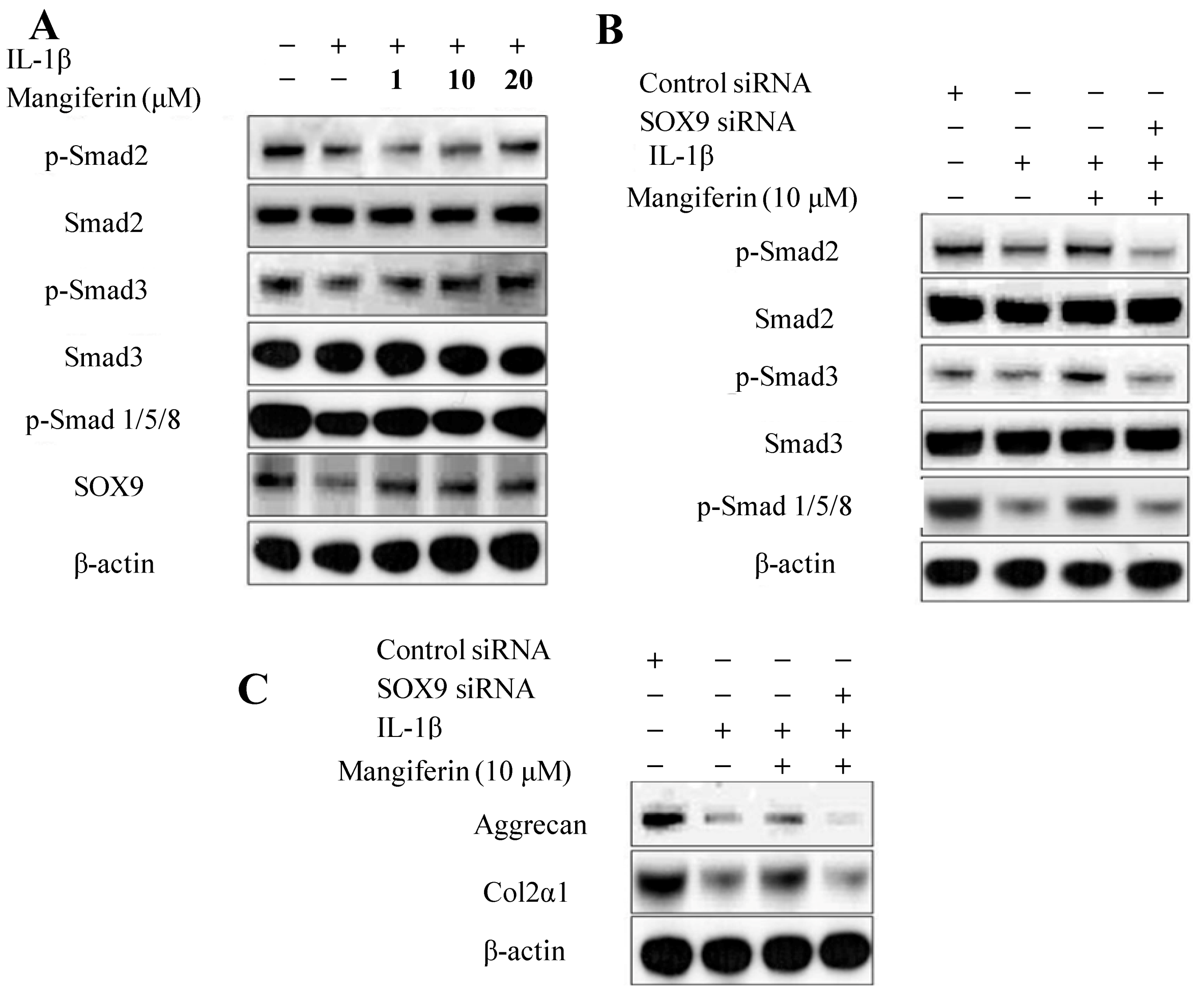
2.4. Mangiferin Upregulates the Phosphorylation of Smad and SOX9 Signaling Pathways in IL-1β-Stimulated Mesenchymal Stem Cells (MSCs)

3. Materials and Methods
3.1. Chemicals and Reagents
3.2. Animals
3.3. Cell Culture
3.4. Assessment of Mesenchymal Stem Cell Differentiation Potential from Subchondral Bone
3.5. Real-Time Reverse Transcription-Polymerase Chain Reaction (RT-PCR)
| mRNA | Primers | Annealing Tm (Cycle) |
|---|---|---|
| SOX9 | Fw: 5'-ATCTGAAGAAGGAGAGCGAG-3' | 58 °C (32) |
| Rv: 5'-TCAGAAGTCTCCAGAGCTTG-3' | ||
| Col2α1 | Fw: 5'-AACACTGCAACGTCCAGAT-3' | 58 °C (32) |
| Rv: 5'-CTGCAGCACGGTATAGGTGA-3' | ||
| Cartilage link protein | Fw: 5'-GCGTCCGCTACCCCATCTCTA-3' | 55 °C (32) |
| Rv: 5'-CTCTAAGGGCACATTCACTT-3' | ||
| Aggrecan | Fw: 5'-GAGGTCGTGGTGAAAGGTGT-3' | 58 °C (32) |
| Rv: 5'-GTGTGGATGGGGTACCTGAC-3' | ||
| ADAMS5 | Fw: 5'-TGTCCTGCCAGCGGATGT-3' | 58 °C (30) |
| Rv: 5'-ACGGAATTACTGTACGGCCTACA-3' | ||
| MMP-1 | Fw: 5'-TCAGTTCGTCCTCACTCCAG-3' | 58 °C (30) |
| Rv: 5'-TTGGTCCACCTGTCATCTTC-3' | ||
| MMP-13 | Fw: 5'-GATAAAGACTATCCGAGAC-3' | 58 °C (30) |
| Rv: 5'-CGAACAATACGGTTACTC-3' | ||
| TGF-β | Fw: 5'-CATCTGGAGCCTGGATACACAGT-3' | 56 °C (30) |
| Rv: 5'-GAAGCGCCCGGGTTGT-3' | ||
| BMP-2 | Fw: 5'-CGGGAACAGATACAGGAAGC-3' | 60 °C (30) |
| Rv: 5'-GCTGTTTGTGTTTGGCTTGA-3' | ||
| BMP-4 | Fw: 5'-GAGTATCTAGCTTGTCTCCCC-3' | 56 °C (30) |
| Rv: 5'-TCAGGTATCAAACTAGCATGG-3' | ||
| β-actin | Fw: 5'-GCTCTCCAGAACATCACTCCTGCC-3' | 58 °C (30) |
| Rv: 5'-CGTTGTCATACCAGGAAATGAGCTT-3' |
3.6. Enzyme-Linked Immunosorbent Assay (ELISA)
3.7. Colorimetric Analysis of Sulfated Glycosaminoglycan (sGAG) and Type II Collagen
3.8. Western Blot Analysis
3.9. siRNA Transfection
3.10. Statistical Analysis
4. Conclusions

Acknowledgments
Author Contributions
Conflicts of Interest
References
- Merashly, M.; Uthman, I. Management of knee osteoarthritis: An evidence-based review of treatment options. J. Med. Liban. 2012, 60, 237–242. [Google Scholar]
- Johanne, M.P.; Christelle, B.; Jean-Pierre, P.; Peter, J.R. Cartilage in normal and osteoarthritis Conditions. Best Pract. Res. Clin. Rheumatol. 2008, 22, 351–384. [Google Scholar]
- Castañeda, S.; Roman Blas, J.A.; Largo, R.; Herrero Beaumont, G. Subchondral bone as a key target for osteoarthritis treatment. Biochem. Pharmacol. 2012, 83, 315–323. [Google Scholar]
- Lajeunesse, D. The role of bone in the treatment of osteoarthritis. Osteoarthr. Cartil. 2004, 12, S34–S38. [Google Scholar] [CrossRef]
- Pelletier, J.P.; Pelletier, J.M.; Raynauld, J.P. Most recent development in strategies to reduce the progression of structural changes in osteoarthritis: Today and tomorrow. Arthritis Res. Ther. 2006, 8, 206–219. [Google Scholar]
- Neumann, K.; Dehne, T.; Endres, M.; Erggrlet, C.; Kaps, C.; Ringe, J.; Stitinger, M. Chondrogenic differentiation capacity of human mesenchymal progenitor cells derived from subchondral cortico-spongious bone. J. Orthop. Res. 2008, 26, 1449–1456. [Google Scholar]
- De Vries van Melle, M.L.; Narcisi, R.; Kops, N.; Koevoet, W.J.; Bos, P.K.; Murphy, J.M.; Verhaar, J.A.; van der Kraan, P.M.; van Osch, G.J. Chondrogenesis of mesenchymal stem cells in an osteochondral environment is mediated by the subchondral bone. Tissue Eng. Part A 2014, 20, 23–33. [Google Scholar]
- Shapiro, F.; Koide, S.; Glimcher, M.J. Cell origin and differentiation in the repair of full thickness defects of articular cartilage. J. Bone Jt. Surg. Am. 1993, 75, 532–553. [Google Scholar]
- Huh, J.E.; Cho, Y.J.; Yoo, M.C.; Baek, Y.H.; Lee, J.D.; Choi, D.Y.; Park, D.S. Induction of effective osteogenesis by mesenchymal stem cells from the human subchondral bone. J. Korean Acupunct. Moxibustion Soc. 2006, 23, 69–77. [Google Scholar]
- Huh, J.E.; Park, Y.C.; Seo, B.K.; Lee, J.D.; Baek, Y.H.; Choi, D.Y.; Park, D.S. Cartilage protective and chondrogenic capacity of WIN-34B, a new herbal agent, in the collagenase-induced osteoarthritis rabbit model and in progenitor cells from subchondral bone. Evid. Based Complement. Altern. Med. 2013, 2013, 527561. [Google Scholar]
- Yu, D.A.; Han, J.; Kim, B.S. Stimulation of chodrogenic differentiatoion of mesenchymal stem cells. Int. J. Stem Cells 2012, 5, 16–22. [Google Scholar]
- Fortier, L.A.; Barker, J.U.; Strauss, E.J.; McCarrel, T.M.; Cole, B.J. The role of growth factors in cartilage repair. Clin. Orthop. Relat. Res. 2011, 469, 2706–2715. [Google Scholar]
- Zuscik, M.J.; Ma, L.; Buckley, T.; Puzas, J.E.; Drissi, H.; Schwarz, E.M.; O’Keefe, R.J. Lead induces chondrogenesis and alters transforming growth factor-β and bone morphogenetic protein signaling in mesenchymal cell populations. Environ. Health Perspect. 2007, 115, 1276–1282. [Google Scholar]
- Kawamura, I.; Maeda, S.; Imamura, K.; Setoguchi, T.; Yokouchi, M.; Ishidou, Y.; Komiya, S. SnoN suppresses maturation of chondrocytes by mediating signal crosstalk between transforming growth factor-β and bone morphogenetic protein pathways. J. Biol. Chem. 2012, 17, 29101–29113. [Google Scholar]
- Shi, S.; Chan, A.G.; Mercer, S.; Eckert, G.J.; Trippel, S.B. Endogenous versus exogenous growth factor regulation of articular cartilage. J. Orthop. Res. 2014, 32, 54–60. [Google Scholar] [CrossRef]
- Bell, D.M.; Leung, K.K.; Wheatley, S.C.; Ng, L.J.; Zhou, S.; Ling, K.W.; Sham, M.H.; Koopman, P.; Tam, P.P.; Cheah, K.S. SOX9 directly regulates the type-II collagen gene. Nat. Genet. 1997, 6, 174–178. [Google Scholar]
- Pan, Q.; Yu, Y.; Chen, Q.; Li, C.; Wu, H.; Wan, Y.; Ma, J.; Sun, F. SOX9, a key transcription factor of bone morphogenetic protein-2-induced chondrogenesis, is activated through BMP pathway and a CCAAT box in the proximal promoter. J. Cell. Physiol. 2008, 217, 228–241. [Google Scholar]
- García Rivera, D.; Delgado, R.; Bougarne, N.; Haegeman, G.; Berghe, W.V. Gallic acid indanone and mangiferin xanthone are strong determinants of immunosuppressive anti-tumour effects of Mangifera indica L. bark in MDA-MB231 breast cancer cells. Cancer Lett. 2011, 305, 21–31. [Google Scholar] [CrossRef]
- Das, J.; Ghosh, J.; Roy, A.; Sil, P.C. Mangiferin exerts hepatoprotective activity against d-galactosamine induced acute toxicity and oxidative/nitrosative stress via Nrf2-NFκB pathways. Toxicol. Appl. Pharmacol. 2012, 260, 35–47. [Google Scholar]
- De, A.; Chattopadhyay, S. The variation in cytoplasmic distribution of mouse peritoneal macrophage during phagocytosis modulated by mangiferin, an immunomodulator. Immunobiology 2009, 214, 367–376. [Google Scholar]
- Ghosh, M.; Das, J.; Sil, P.C. D(+) galactosamine induced oxidative and nitrosative stress-mediated renal damage in rats via NF-κB and inducible nitric oxide synthase (iNOS) pathways is ameliorated by a polyphenol xanthone, mangiferin. Free Radic. Res. 2012, 46, 116–132. [Google Scholar]
- Ang, E.; Liu, Q.; Qi, M.; Liu, H.G.; Yang, X.; Chen, H.; Zheng, M.H.; Xu, J. Mangiferin attenuates osteoclastogenesis, bone resorption, and RANKL-induced activation of NF-κB and ERK. J. Cell. Biochem. 2011, 112, 89–97. [Google Scholar] [CrossRef]
- Lefebvre, V.; Behringer, R.R.; de, Crombrugghe, B. L-SOX5, SOX6 and SOX9 control essential steps of the chondrocyte differentiation pathway. Osteoarthr. Cartil. 2001, 9, S69–S75. [Google Scholar]
- Ng, L.J.; Wheatley, S.; Muscat, G.E.; Conway-Campbell, J.; Bowles, J.; Wright, E.; Bell, D.M.; Tam, P.P.; Cheah, K.S.; Koopman, P. SOX9 binds DNA, activates transcription, and coexpresses with type II collagen during chondrogenesis in the mouse. Dev. Biol. 1997, 183, 108–121. [Google Scholar] [CrossRef]
- Akiyama, H.; Kim, J.E.; Nakashima, K.; Balmes, G.; Iwai, N.; Deng, J.M.; Zhang, Z.; Martin, J.F.; Behringer, R.R.; Nakamura, T.; et al. Osteo-chondroprogenitor cells are derived from SOX9 expressing precursors. Proc. Natl. Acad. Sci. USA 2005, 102, 14665–14670. [Google Scholar] [CrossRef]
- DeLise, A.M.; Fischer, L.; Tuan, R.S. Cellular interactions and signaling in cartilage development. Osteoarthr. Cartil. 2000, 8, 309–304. [Google Scholar]
- Kawakami, Y.; Rodriguez-Leon, J.; Belmonte, J.C. The role of TGF-βs and SOX9 during limb chondrogenesis. Curr. Opin. Cell Biol. 2006, 18, 723–729. [Google Scholar]
- Derfoul, A.; Perkins, G.L.; Hall, D.J.; Tuan, R.S. Glucocorticoids promote chondrogenic differentiation of adult human mesenchymal stem cells by enhancing expression of cartilage extracellular matrix genes. Stem Cells 2006, 24, 1487–1495. [Google Scholar]
- Mehlhorn, A.T.; Niemeyer, P.; Kaschte, K.; Muller, L.; Finkenzeller, G.; Hartl, D.; Sudkamp, N.P.; Schmal, H. Differential effects of BMP-2 and TGF-β1 on chondrogenic differentiation of adipose derived stem cells. Cell Prolif. 2007, 40, 809–823. [Google Scholar]
- Tetlow, L.C.; Adlam, D.J.; Woolley, D.E. Matrix metalloproteinase and proinflammatory cytokine production by chondrocytes of human osteoarthritic cartilage: Associations with degenerative changes. Arthritis Rheumatol. 2001, 44, 585–594. [Google Scholar]
- Fernandes, J.C.; Martel-Pelletier, J.; Pelletier, J.P. The role of cytokines in osteoarthritis pathophysiology. Biorheology 2002, 39, 237–246. [Google Scholar]
- Joos, H.; Wildner, A.; Hogrefe, C.; Reichel, H.; Brenner, R.E. Interleukin-1β and tumor necrosis factor alpha inhibit migration activity of chondrogenic progenitor cells from non-fibrillated osteoarthritic cartilage. Arthritis Res. Ther. 2013, 15, R119. [Google Scholar]
- Blaney Davidson, E.N.; van der Kraan, P.M.; van den Berg, W.B. TGF-β and osteoarthritis. Osteoarthr. Cartil. 2007, 15, 597–604. [Google Scholar]
- Diao, H.; Wang, J.; Shen, C.; Xia, S.; Gou, T.; Donq, L.; Zhang, C.; Chen, J.; Zhang, J. Improved cartilage regeneration utilizing mesenchymal stem cells in TGF-β1 gene-activated scaffolds. Tissue Eng. Part A 2009, 15, 2687–2698. [Google Scholar]
- Gouttenoire, J.; Valcourt, U.; Ronziere, M.C.; Aubert Foucher, E.; Mallein Gerin, F.; Herbage, D. Modulation of collagen synthesis in normal and osteoarthritic cartilage. Biorheology 2004, 41, 535–542. [Google Scholar]
- Chung, C.; Burdick, J.A. Engineering cartilage tissue. Adv. Drug Deliv. Rev. 2008, 60, 243–262. [Google Scholar]
- Glasson, S.S. In vivo osteoarthritis target validation utilizing genetically-modified mice. Curr. Drug Targets 2007, 8, 367–376. [Google Scholar]
- Derynck, R.; Zhang, Y.E. Smad-dependent and Smad-independent pathways in TGF-β family signalling. Nature 2003, 425, 577–584. [Google Scholar]
- Schmierer, B.; Hill, C.S. TGF-β-Smad signal transduction: Molecular specificity and functional flexibility. Nat. Rev. Mol. Cell Biol. 2007, 8, 970–982. [Google Scholar]
- Miyazono, K.; Kamiya, Y.; Morikawa, M. Bone morphogenetic protein receptors and signal transduction. J. Biochem. 2010, 147, 35–51. [Google Scholar]
- Xiao, Y.T.; Xiang, L.X.; Shao, J.Z. Bone morphogenetic protein. Biochem. Biophys. Res. Commun. 2007, 362, 550–553. [Google Scholar]
- Furumatsu, T.; Tsuda, M.; Taniguchi, N.; Tajima, Y.; Asahara, H. Smad3 induces chondrogenesis through the activation of SOX9 via CREB-binding protein/p300 recruitment. J. Biol. Chem. 2005, 280, 8343–8350. [Google Scholar]
- Sekiya, I.; Tsuji, K.; Koopman, P.; Watanabe, H.; Yamada, Y.; Shinomiya, K.; Nifuji, A.; Noda, M. SOX9 enhances aggrecan gene promoter/enhancer activity and is up-regulated by retinoic acid in a cartilage-derived cell line, TC6. J. Biol. Chem. 2000, 275, 10738–10744. [Google Scholar]
© 2014 by the authors; licensee MDPI, Basel, Switzerland. This article is an open access article distributed under the terms and conditions of the Creative Commons Attribution license (http://creativecommons.org/licenses/by/3.0/).
Share and Cite
Huh, J.-E.; Koh, P.-S.; Seo, B.-K.; Park, Y.-C.; Baek, Y.-H.; Lee, J.-D.; Park, D.-S. Mangiferin Reduces the Inhibition of Chondrogenic Differentiation by IL-1β in Mesenchymal Stem Cells from Subchondral Bone and Targets Multiple Aspects of the Smad and SOX9 Pathways. Int. J. Mol. Sci. 2014, 15, 16025-16042. https://doi.org/10.3390/ijms150916025
Huh J-E, Koh P-S, Seo B-K, Park Y-C, Baek Y-H, Lee J-D, Park D-S. Mangiferin Reduces the Inhibition of Chondrogenic Differentiation by IL-1β in Mesenchymal Stem Cells from Subchondral Bone and Targets Multiple Aspects of the Smad and SOX9 Pathways. International Journal of Molecular Sciences. 2014; 15(9):16025-16042. https://doi.org/10.3390/ijms150916025
Chicago/Turabian StyleHuh, Jeong-Eun, Pil-Seong Koh, Byung-Kwan Seo, Yeon-Chul Park, Yong-Hyun Baek, Jae-Dong Lee, and Dong-Suk Park. 2014. "Mangiferin Reduces the Inhibition of Chondrogenic Differentiation by IL-1β in Mesenchymal Stem Cells from Subchondral Bone and Targets Multiple Aspects of the Smad and SOX9 Pathways" International Journal of Molecular Sciences 15, no. 9: 16025-16042. https://doi.org/10.3390/ijms150916025
APA StyleHuh, J.-E., Koh, P.-S., Seo, B.-K., Park, Y.-C., Baek, Y.-H., Lee, J.-D., & Park, D.-S. (2014). Mangiferin Reduces the Inhibition of Chondrogenic Differentiation by IL-1β in Mesenchymal Stem Cells from Subchondral Bone and Targets Multiple Aspects of the Smad and SOX9 Pathways. International Journal of Molecular Sciences, 15(9), 16025-16042. https://doi.org/10.3390/ijms150916025
