The Synthesis and Antiproliferative Activities of New Arylidene-Hydrazinyl-Thiazole Derivatives
Abstract
:1. Introduction
2. Results and Discussion
2.1. Synthesis of Arylidene-Hydrazinyl-Thiazole Derivatives 2a–p

| Compound 1 | a | b | c | d | e | |||
| Ar | C6H5 | C6H3Cl2(2,4) | C6H4OH(4) | C6H4OCH3(4) | C6H4Cl(3) | |||
| Compodund 2 | a | b | c | d | e | f | g | h |
| Ar | C6H5 | C6H5 | C6H5 | C6H4OCH3(4) | C6H4OCH3(4) | C6H4OCH3(4) | C6H4OCH3(4) | C6H4OH(4) |
| R1 | CH3 | C6H5 | CH3 | CH3 | C6H5 | CH3 | CH3 | CH3 |
| R2 | H | H | COCH3 | H | H | COCH3 | COOC2H5 | H |
| Compound 2 | i | j | k | l | m | n | o | p |
| Ar | C6H4OH(4) | C6H4Cl(3) | C6H4Cl(3) | C6H4Cl(3) | C6H4Cl(3) | C6H3Cl2(2,4) | C6H3Cl2(2,4) | C6H3Cl2(2,4) |
| R1 | C6H5 | CH3 | C6H5 | CH3 | CH3 | CH3 | CH3 | CH2COOC2H5 |
| R2 | H | H | H | COCH3 | COOC2H5 | COCH3 | COOC2H5 | H |
2.2. In Vitro Cytotoxicity Assay
| Compound | IC50 (µg/mL) | |
|---|---|---|
| MDA-MB-231 | HeLa | |
| 2a | 3.92 ± 0.015 | 11.4 ± 0.005 |
| 2b | 35.5 ± 0.003 | >100 |
| 2c | >100 | 64.87 ± 0.005 |
| 2d | >100 | >100 |
| 2e | 46.11 ± 0.009 | 11.1 ± 0.009 |
| 2f | 16.25 ± 0.008 | >100 |
| 2g | >100 | >100 |
| 2h | 48.44 ± 0.017 | 25.59 ± 0.010 |
| 2i | 18.54 ± 0.008 | 20.04 ± 0.019 |
| 2j | >100 | 57.53 ± 0.011 |
| 2k | 81.02 ± 0.001 | >100 |
| 2l | 75.50 ± 0.009 | >100 |
| 2m | >100 | >100 |
| 2n | >100 | >100 |
| 2o | >100 | >100 |
| 2p | 64.95 ± 0.009 | >100 |
| Cisplatin | 17.28 ± 0.002 | 26.12 ± 0.010 |
| Oxaliplatin | 14.09 ± 0.001 | 23.17± 0.011 |
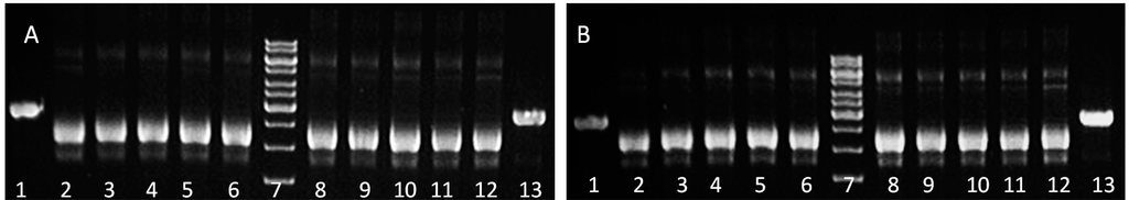
2.3. DNA Intercalation Study



3. Experimental Section
3.1. Materials and Methods
3.2. General Procedure for the Synthesis of Compounds 2a–p
3.3. In Vitro Anticancer Screening
3.3.1. Cell Cultures
3.3.2. Cell Treatment and Cytotoxicity Evaluation
3.4. DNA Electrophoresis Tests
4. Conclusions
Acknowledgments
Author Contributions
Conflicts of Interest
References
- Makam, P.; Thakur, P.K.; Kannan, T. In vitro and in silico antimalarial activity of 2-(2-hydrazinyl)thiazole derivatives. Eur. J. Pharm. Sci. 2014, 52, 138–145. [Google Scholar]
- Zhang, B.L.; Song, L.X.; Li, Y.F.; Li, Y.L.; Guo, Y.Z.; Zhang, E.; Liu, H.M. Synthesis and biological evaluation of dehydroepiandrosterone-fused thiazole, imidazo[2,1-b]thiazole, pyridine steroidal analogues. Steroids 2014, 80, 92–101. [Google Scholar]
- Carbone, A.; Pennati, M.; Parrino, B.; Lopergolo, A.; Barraja, P.; Montalbno, A.; Spanò, V.; Sbarra, S.; Doldi, V.; de Cesare, M.; et al. Novel 1H-pyrrolo[2,3-b]pyridine derivatives nortopsentin analogues: synthesis and antitumor activity in peritoneal mesothelioma experimental models. J. Med. Chem. 2013, 56, 7060–7072. [Google Scholar]
- Diana, P.; Carbone, A.; Barraja, P.; Montalbano, A.; Parrino, B.; Lopergolo, A.; Pennati, M.; Zaffaroni, N.; Cirrincione, G. Synthesis and antitumor activity of 3-(2-phenyl-1,3-thiazol-4-yl)-1H-indoles and 3-(2-phenyl-1,3-thiazol-4-yl)-1H-7-azaindoles. ChemMedChem 2011, 6, 1300–1309. [Google Scholar]
- Carbone, A.; Pennati, M.; Barraja, P.; Montalbano, A.; Parrino, B.; Spanò, V.; Lopergolo, A.; Sbarra, S.; Doldi, V.; Zaffaroni, N.; et al. Synthesis and antiproliferative activity of substituted 3[2-(1H-indol-3-yl)-1,3-thiazol-4-yl]-1H-pyrrolo[3,2-b]piridine, marine alkaloid nortopsentin analogues. Curr. Med. Chem. 2014, 21, 1654–1666. [Google Scholar]
- Desai, N.C.; Bhatt, N.; Somani, H.; Trivedi, A. Synthesis, antimicrobial and cytotoxic activities of some novel thiazole clubbed 1,3,4-oxadiazoles. Eur. J. Med. Chem. 2013, 67, 54–59. [Google Scholar]
- Helal, M.H.M.; Salem, M.A.; El-Gaby, M.S.A.; Aljahdali, M. Synthesis and biological evaluation of some novel thiazole compounds as potential anti-inflammatory agents. Eur. J. Med. Chem. 2013, 65, 517–526. [Google Scholar]
- Izawa, K.; Onishi, T. Industrial Syntheses of the Central Core Molecules of HIV Protease Inhibitors. Chem. Rev. 2006, 106, 2811–2827. [Google Scholar]
- Lopes, R.M.; Schwartsmann, G. Natural products in anticancer therapy. Curr. Opin. Pharmacol. 2001, 1, 364–369. [Google Scholar]
- Jayarama, N.H.; Pillwein, K.; Craig, R.N.; Hoffman, R.; Webe, G. Selective sensitivity to tiazofurin of human leukemic cells. Biochem. Pharmacol. 1986, 35, 2029–2032. [Google Scholar]
- Lednicer, D.; Mitscher, L.A.; George, G.I. Organic Chemistry of Drug Synthesis; Wiley: New York, NY, USA, 1990; Volume 4, pp. 95–97. [Google Scholar]
- Simiti, I.; Coman, M. Contribution à l’étude de quelques hétérocycles VIII. Condensation de la dichloroacetone symetrique avec des thiosemicarbazones et le comportement chimiques des produits résultés. Bull. Soc. Chim. Fr. 1969, 9, 3276–3281. [Google Scholar]
- Simiti, I.; Coman, M. Contribution à l’étude de quelques hétérocycles XX. La condensation de quelques thiosemicarbazones avec l’ester γ-bromacétylacétique. Ann. Chim. 1972, 7, 31–38. [Google Scholar]
- Ignat, A.; Lovasz, T.; Vasilescu, M.; Fischer-Fodor, E.; Tatomir, C.B.; Cristea, C.; Silaghi-Dumitrescu, L.; Zaharia, V. Heterocycles 27. Microwave Assisted Synthesis and Antitumour Activity of Novel Phenothiazinyl-Thiazolyl-Hydrazine Derivatives. Arch. Pharm. Chem. Life Sci. 2012, 345, 574–583. [Google Scholar]
- Zaharia, V.; Ignat, A.; Palibroda, N.; Ngameni, B.; Kuete, V.; Fokunang, C.N.; Moungang, M.L.; Ngadjui, B.T. Synthesis of some p-toluenesulfonyl-hydrazinothiazoles and hydrazino-bisthiazoles and their anticancer activity. Eur. J. Med. Chem. 2010, 45, 5080–5085. [Google Scholar]
- Venzke, D.; Flores, A.F.C.; Quina, F.H.; Pizzuti, L.; Pereira, C.M.P. Ultrasound promoted greener synthesis of 2-(3,5-diaryl-4,5-dihydro-1H-pyrazol-1-yl)-4-phenylthiazoles. Ultrason. Sonochem. 2011, 18, 370–374. [Google Scholar]
- Zhang, D.N.; Li, J.T.; Song, Y.L.; Liu, H.M.; Li, H.Y. Efficient one-pot three-component synthesis of N-(4-arylthiazol-2-yl) hydrazones in water under ultrasound irradiation. Ultrason. Sonochem. 2012, 19, 475–478. [Google Scholar]
- Maccioni, E.; Cardia, M.C.; Distinto, S.; Bonsignore, L.; de Logu, A. An investigation of the biological effect of structural modifications of isothiosemicarbazones and their cyclic analogues. Farmaco 2003, 58, 951–959. [Google Scholar]
- Denisova, A.B.; Andronnikova, G.P. Bromination of 4-substitutedThiazolylhydrazones. Chem. Heterocycl. Compd. 1995, 31, 863–867. [Google Scholar]
- Parameshwar, M.; Ramakrishna, K.; Amresh, P.; Tharanikkarasu, K. 2-(2-Hydrazinyl)thiazole derivatives: Design, synthesis and in vitro antimycobacterial studies. Eur. J. Med. Chem. 2013, 69, 564–576. [Google Scholar]
- Ceballos-Torres, J.; Virag, P.; Cenariu, M.; Prashar, S.; Fajardo, M.; Fischer-Fodor, E.; Gómez-Ruiz, S. Anti-cancer applications of titanocene-functionalised nanostructured systems: An insight into Cell Death Mechanisms. Chem. Eur. J. 2014, 20, 10811–10828. [Google Scholar]
- Alam, M.S.; Liu, L.; Lee, Y.E.; Lee, D.U. Synthesis, antibacterial activity and quantum-chemical studies of novel 2-arylidenehydrazinyl-4-arylthiazole analogues. Chem. Pharm. Bull. 2011, 59, 568–573. [Google Scholar]
- Ausubel, F.M.; Brent, R.; Kingston, R.E.; Moore, D.M.; Seidman, J.G.; Smith, J.A.; Struhl, K. Short Protocols in Molecular Biology, 5th ed.; Wiley: New York, NY, USA, 2002; Volume 1. [Google Scholar]
© 2014 by the authors; licensee MDPI, Basel, Switzerland. This article is an open access article distributed under the terms and conditions of the Creative Commons Attribution license (http://creativecommons.org/licenses/by/4.0/).
Share and Cite
Grozav, A.; Găină, L.I.; Pileczki, V.; Crisan, O.; Silaghi-Dumitrescu, L.; Therrien, B.; Zaharia, V.; Berindan-Neagoe, I. The Synthesis and Antiproliferative Activities of New Arylidene-Hydrazinyl-Thiazole Derivatives. Int. J. Mol. Sci. 2014, 15, 22059-22072. https://doi.org/10.3390/ijms151222059
Grozav A, Găină LI, Pileczki V, Crisan O, Silaghi-Dumitrescu L, Therrien B, Zaharia V, Berindan-Neagoe I. The Synthesis and Antiproliferative Activities of New Arylidene-Hydrazinyl-Thiazole Derivatives. International Journal of Molecular Sciences. 2014; 15(12):22059-22072. https://doi.org/10.3390/ijms151222059
Chicago/Turabian StyleGrozav, Adriana, Luiza Ioana Găină, Valentina Pileczki, Ovidiu Crisan, Luminita Silaghi-Dumitrescu, Bruno Therrien, Valentin Zaharia, and Ioana Berindan-Neagoe. 2014. "The Synthesis and Antiproliferative Activities of New Arylidene-Hydrazinyl-Thiazole Derivatives" International Journal of Molecular Sciences 15, no. 12: 22059-22072. https://doi.org/10.3390/ijms151222059
APA StyleGrozav, A., Găină, L. I., Pileczki, V., Crisan, O., Silaghi-Dumitrescu, L., Therrien, B., Zaharia, V., & Berindan-Neagoe, I. (2014). The Synthesis and Antiproliferative Activities of New Arylidene-Hydrazinyl-Thiazole Derivatives. International Journal of Molecular Sciences, 15(12), 22059-22072. https://doi.org/10.3390/ijms151222059

