Molecular Characterization and Comparative Sequence Analysis of Defense-Related Gene, Oryza rufipogon Receptor-Like Protein Kinase 1
Abstract
:1. Introduction
2. Results and Discussion
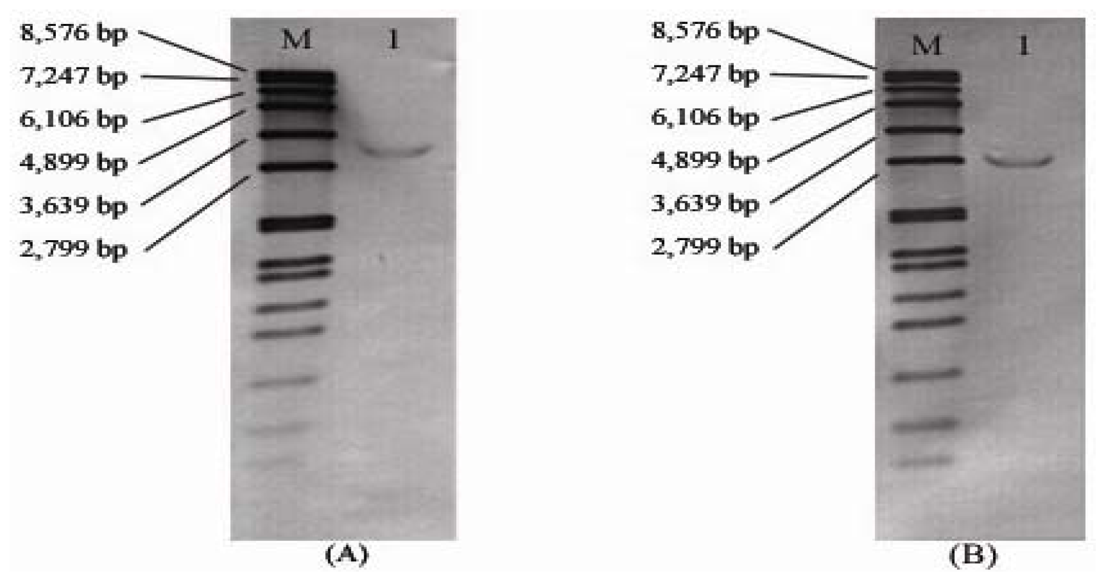
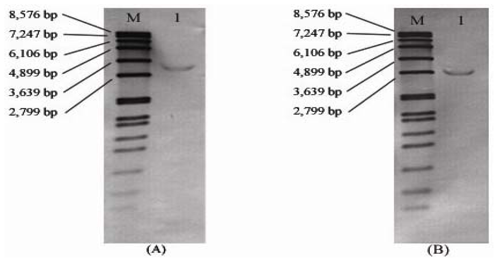
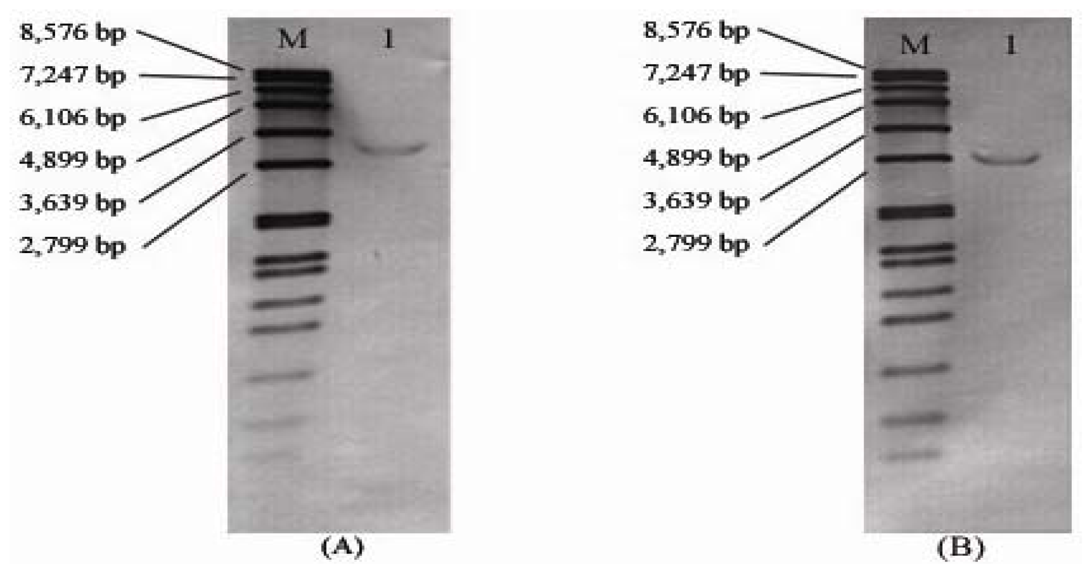
2.1. Results
2.2. Discussion
2.2.1. Structural Prediction of OrufRPK1 and OsI219RPK1
2.2.2. Inter- and Intra-Specific OrufRPK1 Sequence Comparison
2.2.3. Possible Role of OrufRPK1 and OsI219RPK1: A Defense Story
3. Experimental Section
3.1. Plant Materials
3.2. RNA Extraction and cDNA Synthesis
3.3. Cloning of the Full-Length OrufRPK1
3.4. Sequence Analysis
3.5. Southern Hybridization
3.6. Real Time qRT-PCR
3.7. Phylogenetic Analysis
3.8. Homology Modeling of OrufRPK1 Protein
4. Conclusions
Supplementary Information
ijms-13-09343-s001.pdfAcknowledgments
- Conflict of InterestThe authors declare no conflict of Interest.
References
- Ding, X.; Richter, T.; Chen, M.; Fujii, H.; Seo, Y.S.; Xie, M.; Zheng, X.; Kanrar, S.; Stevenson, R.A.; Dardick, C.; et al. A rice kinase-protein interaction map. Plant Physiol 2009, 149, 1478–1492. [Google Scholar]
- Lehti-Shiu, M.D.; Zou, C.; Hanada, K.; Shiu, S.-H. Evolutionary History and Stress Regulation of Plant Receptor-Like Kinase/Pelle Genes. Plant Physiol 2009, 150, 12–26. [Google Scholar]
- Shiu, S.-H.; Karlowski, W.M.; Pan, R.; Tzeng, Y.-H.; Mayer, K.F.X.; Li, W.-H. Comparative Analysis of the Receptor-Like Kinase Family in Arabidopsis and Rice. Plant Cell 2004, 16, 1220–1234. [Google Scholar]
- Suzaki, T.; Sato, M.; Ashikari, M.; Miyoshi, M.; Nagato, Y.; Hirano, H.-Y. The gene FLORAL ORGAN NUMBER1 regulates floral meristem size in rice and encodes a leucine-rich repeat receptor kinase orthologous to Arabidopsis CLAVATA1. Development 2004, 131, 5649–5657. [Google Scholar]
- Sakaguchi, J.; Itoh, J.-I.; Ito, Y.; Nakamura, A.; Fukuda, H.; Sawa, S. COE1, an LRR–RLK responsible for commissural vein pattern formation in rice. Plant J 2010, 63, 405–416. [Google Scholar]
- Zha, X.; Luo, X.; Qian, X.; He, G.; Yang, M.; Li, Y.; Yang, J. Over-expression of the rice LRK1 gene improves quantitative yield components. Plant Biotechnol. J 2009, 7, 611–620. [Google Scholar]
- Song, W.-Y.; Wang, G.-L.; Chen, L.-L.; Kim, H.-S.; Pi, L.-Y.; Holsten, T.; Gardner, J.; Wang, B.; Zhai, W.-X.; Zhu, L.-H.; et al. A receptor kinase-like protein encoded by the rice disease resistance gene, Xa21. Science 1995, 270, 1804–1806. [Google Scholar]
- Song, D.; Li, G.; Song, F.; Zheng, Z. Molecular characterization and expression analysis of OsBISERK1, a gene encoding a leucine-rich repeat receptor-like kinase, during disease resistance responses in rice. Mol. Biol. Rep 2008, 35, 275–283. [Google Scholar]
- Peng, H.; Zhang, Q.; Li, Y.; Lei, C.; Zhai, Y.; Sun, X.; Sun, D.; Sun, Y.; Lu, T. A putative leucine-rich repeat receptor kinase, OsBRR1, is involved in rice blast resistance. Planta 2009, 230, 377–385. [Google Scholar]
- Hu, H.; Xiong, L.; Yang, Y. Rice SERK1 gene positively regulates somatic embryogenesis of cultured cell and host defense response against fungal infection. Planta 2005, 222, 107–117. [Google Scholar]
- Godiard, L.; Sauviac, L.; Torii, K.; Grenon, O.; Mangin, B.; Grimsley, N.; Marco, Y. ERECTA, an LRR receptor-like kinase protein controlling development pleiotropically affects resistance to bacterial wilt. Plant J 2003, 36, 353–365. [Google Scholar]
- Ellis, J.; Dodds, P.; Pryor, T. Structure, function and evolution of plant disease resistance genes. Curr.Opin. Plant Biol 2000, 3, 278–284. [Google Scholar]
- McCouch, S.; Sweeney, M.; Li, J.; Jiang, H.; Thomson, M.; Septiningsih, E.; Edwards, J.; Moncada, P.; Xiao, J.; Garris, A.; et al. Through the genetic bottleneck: O. rufipogon as a source of trait-enhancing alleles for O. sativa. Euphytica 2007, 154, 317–339. [Google Scholar]
- Moncada, P.; Martínez, C.P.; Borrero, J.; Chatel, M.; Gauch, H., Jr; Guimaraes, E.; Tohme, J.; McCouch, S.R. Quantitative trait loci for yield and yield components in an Oryza sativa ×Oryza rufipogon BC2F2 population evaluated in an upland environment. Theor. Appl. Genet 2001, 102, 41–52. [Google Scholar]
- Nguyen, B.; Brar, D.; Bui, B.; Nguyen, T.; Pham, L.; Nguyen, H. Identification and mapping of the QTL for aluminum tolerance introgressed from the new source, Oryza Rufipogon Griff., into indica rice (Oryza sativa L.). Theor. Appl. Genet 2003, 106, 583–593. [Google Scholar]
- Shibata, Y.; Cabunagan, R.C.; Cabauatan, P.Q.; Choi, I.-R. Characterization of Oryza rufipogon-derived resistance to Tungro disease in rice. Plant Dis 2007, 91, 1386–1391. [Google Scholar]
- Utami, D.W.; Moeljopawiro, S.; Aswidinnoor, H.; Setiawan, A.; Hanarida, I. Blast resistance genes in wild rice Oryza rufipogon and rice cultivar IR64. Indones. J. Agr 2008, 01, 71–76. [Google Scholar]
- Sweeney, M.T.; Thomson, M.J.; Pfeil, B.E.; McCouch, S. Caught red-handed: Rc encodes a basic helix-loop-helix protein conditioning red pericarp in rice. Plant Cell 2006, 18, 283–294. [Google Scholar]
- Thomson, M.J.; Tai, T.H.; McClung, A.M.; Lai, X.H.; Hinga, M.E.; Lobos, K.B.; Xu, Y.; Martinez, C.P.; McCouch, S.R. Mapping quantitative trait loci for yield, yield components and morphological traits in an advanced backcross population between Oryza rufipogon and the Oryza sativa cultivar Jefferson. Theor. Appl. Genet 2003, 107, 479–493. [Google Scholar]
- Li, J.; Thomson, M.; McCouch, S.R. Fine mapping of a grain-weight quantitative trait locus in the pericentromeric region of rice chromosome 3. Genetics 2004, 168, 2187–2195. [Google Scholar]
- Septiningsih, E.M.; Prasetiyono, J.; Lubis, E.; Tai, T.H.; Tjubaryat, T.; Moeljopawiro, S.; McCouch, S.R. Identification of quantitative trait loci for yield and yield components in an advanced backcross population derived from the Oryza sativa variety IR64 and the wild relative O. rufipogon. Theor. Appl. Genet 2003, 107, 1419–1432. [Google Scholar]
- Xiao, J.; Li, J.; Grandillo, S.; Ahn, S.N.; Yuan, L.; Tanksley, S.D.; McCouch, S.R. Identification of trait-Improving quantitative trait loci alleles from a wild rice relative, Oryza rufipogon. Genetics 1998, 150, 899–909. [Google Scholar]
- Song, B.-K.; Hein, I.; Druka, A.; Waugh, R.; Marshall, D.; Nadarajah, K.; Yap, S.-J.; Ratnam, W. The 172-kb genomic DNA region of the O. rufipogon yld1.1 locus: Comparative sequence analysis with O. sativa ssp. japonica and O. sativa ssp. indica. Funct. Integr. Genom 2009, 9, 97–108. [Google Scholar]
- Yang, H.-J.; Yang, R.-C.; Li, Y.-Z. Genetic and Physiological Characteristics of Super High-Yieldinng Rice Cultivars; International Rice Congress: Manila, Philippines, 2002. [Google Scholar]
- Letunic, I.; Doerks, T.; Bork, P. SMART 7: Recent updates to the protein domain annotation resource. Nucleic Acids Res 2012, 40, D302–D305. [Google Scholar]
- Simple Modular Architecture Research Tool (SMART). Available online: http://smart.emblheidelberg.de/ accessed on 27 February 2012.
- Dardick, C.; Chen, J.; Richter, T.; Ouyang, S.; Ronald, P. The Rice Kinase Database. A Phylogenomic Database for the Rice Kinome. Plant Physiol 2007, 143, 579–586. [Google Scholar]
- Rice Kinase Database. Available online: http://phylomics.ucdavis.edu/kinase/dbsearch.shtml accessed on 1 October 2011.
- Ouyang, S.; Zhu, W.; Hamilton, J.; Lin, H.; Campbell, M.; Childs, K.; Thibaud-Nissen, F.; Malek, R.L.; Lee, Y.; Zheng, L.; et al. The TIGR Rice Genome Annotation Resource: improvements and new features. Nucleic Acids Res 2007, 35, D883–D887. [Google Scholar]
- Rice Genome Annotation Project. Available online: http://rice.plantbiology.msu.edu accessed on 1 October 2011.
- Youens-Clark, K.; Buckler, E.; Casstevens, T.; Chen, C.; DeClerck, G.; Derwent, P.; Dharmawardhana, P.; Jaiswal, P.; Kersey, P.; Karthikeyan, A.S.; et al. Gramene database in 2010: Updates and extensions. Nucleic Acids Res 2011, 39, D1085–D1094. [Google Scholar]
- Gramene. Available online: http://www.gramene.org accessed on 1 October 2011.
- Shiu, S.-H.; Karlowski, W.M.; Pan, R.; Tzeng, Y.-H.; Mayer, K.F.X.; Li, W.-H. Comparative analysis of the receptor-like kinase family in Arabidopsis and rice. Plant Cell 2004, 16, 1220–1234. [Google Scholar]
- Kim, D.E.; Chivian, D.; Malmström, L.; Baker, D. Automated prediction of domain boundaries in CASP6 targets using Ginzu and RosettaDOM. Proteins 2005, 61, 193–200. [Google Scholar]
- Dunning, F.M.; Sun, W.; Jansen, K.L.; Helft, L.; Bent, A.F. Identification and Mutational Analysis of Arabidopsis FLS2 Leucine-Rich Repeat Domain Residues That Contribute to Flagellin Perception. Plant Cell 2007, 19, 3297–3313. [Google Scholar]
- Morillo, S.A.; Tax, F.E. Functional analysis of receptor-like kinases in monocots and dicots. Curr. Opin. Plant Biol 2006, 9, 460–469. [Google Scholar]
- Jung, K.-H.; Cao, P.; Seo, Y.-S.; Dardick, C.; Ronald, P.C. The Rice Kinase Phylogenomics Database: A guide for systematic analysis of the rice kinase super-family. Trends Plant Sci 2010, 15, 595–599. [Google Scholar]
- Shiu, S.; Bleecker, A. Receptor-like kinases from Arabidopsis form a monophyletic gene family related to animal receptor kinases. Proc. Natl. Acad. Sci. USA 2001, 98, 10763–10768. [Google Scholar]
- Hunter, T. Tyrosine phosphorylation: past, present and future. Biochem. Soc. Trans 1996, 24, 307–327. [Google Scholar]
- Dissmeyer, N.; Schnittger, A. The age of protein kinases. Methods Mol. Biol 2011, 779, 7–52. [Google Scholar]
- Kornev, A.P.; Haste, N.M.; Taylor, S.S.; Ten Eyck, L.F. Surface comparison of active and inactive protein kinases identifies a conserved activation mechanism. Proc. Natl. Acad. Sci. USA 2006, 103, 17783–17788. [Google Scholar]
- Hanks, S.; Hunter, T. Protein kinases 6. The eukaryotic protein kinase superfamily: Kinase (catalytic) domain structure and classification. FASEB J 1995, 9, 576–596. [Google Scholar]
- Cao, Y.; Ding, X.; Cai, M.; Zhao, J.; Lin, Y.; Li, X.; Xu, C.; Wang, S. The Expression Pattern of a Rice Disease Resistance Gene Xa3/Xa26 Is Differentially Regulated by the Genetic Backgrounds and Developmental Stages That Influence Its Function. Genetics 2007, 177, 523–533. [Google Scholar]
- Century, K.S.; Lagman, R.A.; Adkisson, M.; Morlan, J.; Tobias, R.; Schwartz, K.; Smith, A.; Love, J.; Ronald, P.C.; Whalen, M.C. Developmental control of Xa21-mediated disease resistance in rice. Plant J 1999, 20, 231–236. [Google Scholar]
- Gu, H.; Zhu, P.; Jiao, Y.; Meng, Y.; Chen, M. PRIN: A predicted rice interactome network. BMC Bioinformatics 2011, 12, 161. [Google Scholar]
- Sun, X.; Cao, Y.; Yang, Z.; Xu, C.; Li, X.; Wang, S.; Zhang, Q. Xa26, a gene conferring resistance to Xanthomonas oryzae pv. oryzae in rice, encodes an LRR receptor kinase-like protein. Plant J. 2004, 37, 517–527. [Google Scholar]
- Bella, J.; Hindle, K.; McEwan, P.; Lovell, S. The leucine-rich repeat structure. Cell. Mol. Life Sci 2008, 65, 2307–2333. [Google Scholar]
- Seeholzer, S.; Tsuchimatsu, T.; Jordan, T.; Bieri, S.; Pajonk, S.; Yang, W.; Jahoor, A.; Shimizu, K.K.; Keller, B.; Schulze-Lefert, P. Diversity at the Mla Powdery Mildew Resistance Locus from Cultivated Barley Reveals Sites of Positive Selection. Mol. Plant Microbe Interact 2010, 23, 497–509. [Google Scholar]
- Zhang, X.S.; Choi, J.H.; Heinz, J.; Chetty, C.S. Domain-specific positive selection contributes to the evolution of Arabidopsis leucine-rich repeat receptor-like kinase (LRR RLK) genes. J. Mol. Evol 2006, 63, 612–621. [Google Scholar]
- Wang, G.-L.; Ruan, D.-L.; Song, W.-Y.; Sideris, S.; Chen, L.; Pi, L.-Y.; Zhang, S.; Zhang, Z.; Fauquet, C.; Gaut, B.S.; et al. Xa21D encodes a receptor-like molecule with a leucine-rich repeat domain that determines race-specific recognition and is subject to adaptive evolution. Plant Cell 1998, 10, 765–780. [Google Scholar]
- Gao, J.; Liu, J.; Li, B.; Li, Z. Isolation and purification of functional total RNA from blue-grained wheat endosperm tissues containing high levels of starches and flavonoids. Plant Mol. Biol. Rep 2001, 19, 185–186. [Google Scholar]
- Burge, C.; Karlin, S. Prediction of complete gene structures in human genomic DNA. J. Mol. Biol 1997, 268, 78–94. [Google Scholar]
- Genscan. Available online: http://genes.mit.edu/GENSCAN.html accessed on 9 June 2010.
- Emanuelsson, O.; Brunak, S.; von Heijne, G.; Nielsen, H. Locating proteins in the cell using TargetP, SignalP and related tools. Nat. Protocol 2007, 2, 953–971. [Google Scholar]
- SignalP 4.0 Server. Available online: http://www.cbs.dtu.dk/services/SignalP accessed on 27 February 2012.
- Krogh, A.; Larsson, B.; von Heijne, G.; Sonnhammer, E.L.L. Predicting transmembrane protein topology with a hidden markov model: application to complete genomes. J. Mol. Biol 2001, 305, 567–580. [Google Scholar]
- Transmembrane Protein Topology with a Hidden Markov Model (TMHMM) Server 2.0. Available online: http://www.cbs.dtu.dk/services/TMHMM/ accessed on 27 February 2012.
- Finn, R.D.; Mistry, J.; Tate, J.; Coggill, P.; Heger, A.; Pollington, J.E.; Gavin, O.L.; Gunasekaran, P.; Ceric, G.; Forslund, K.; et al. The Pfam protein families database. Nucleic Acids Res 2010, 38, D211–D222. [Google Scholar]
- Thompson, J.; Higgins, D.; Gibson, T. CLUSTAL W: Improving the sensitivity of progressive multiple sequence alignment through sequence weighting, position-specific gap penalties and weight matrix choice. Nucleic Acids Res 1994, 22, 4673–4680. [Google Scholar]
- Clustalw. Available online: http://clustalw.genome.jp/ accessed on 27 February 2012.
- Dardick, C.; Ronald, P. Plant and Animal Pathogen Recognition Receptors Signal through Non-RD Kinases. PLoS Pathogens 2006, 2, e2. [Google Scholar]
- Jian, B.; Liu, B.; Bi, Y.; Hou, W.; Wu, C.; Han, T. Validation of internal control for gene expression study in soybean by quantitative real-time PCR. BMC Mol. Biol 2008, 9, 59. [Google Scholar]
- Vandesompele, J.; de Preter, K.; Pattyn, F.; Poppe, B.; van Roy, N.; de Paepe, A.; Speleman, F. Accurate normalization of real-time quantitative RT-PCR data by geometric averaging of multiple internal control genes. Genome Biol 2002, 3, research0034.1–research0034.11. [Google Scholar]
- Ronquist, F.; Huelsenbeck, J.P. MrBayes 3: Bayesian phylogenetic inference under mixed models. Bioinformatics 2003, 19, 1572–1574. [Google Scholar]
- Sali, A.; Blundell, T.L. Comparative Protein Modelling by Satisfaction of Spatial Restraints. J. Mol. Biol 1993, 234, 779–815. [Google Scholar]
- Eswar, N.; Webb, B.; Marti-Renom, M.A.; Madhusudhan, M.; Eramian, D.; Shen, M.-Y.; Pieper, U.; Sali, A. Comparative Protein Structure Modeling Using Modeller; John Wiley & Sons, Inc: Hoboken, NJ, USA, 2002. [Google Scholar]
- Di Matteo, A.; Federici, L.; Mattei, B.; Salvi, G.; Johnson, K.; Savino, C.; de Lorenzo, G.; Tsernoglou, D.; Cervone, F. The crystal structure of polygalacturonase-inhibiting protein (PGIP), a leucine-rich repeat protein involved in plant defense. Proc. Natl. Acad. Sci. USA 2003, 100, 10124–10128. [Google Scholar]
- Wang, Z.; Liu, J.; Sudom, A.; Ayres, M.; Li, S.; Wesche, H.; Powers, J.P.; Walker, N.P.C. Crystal Structures of IRAK-4 Kinase in Complex with Inhibitors: A Serine/Threonine Kinase with Tyrosine as a Gatekeeper. Structure 2006, 14, 1835–1844. [Google Scholar]
- Bonneau, R.; Strauss, C.E.M.; Rohl, C.A.; Chivian, D.; Bradley, P.; Malmström, L.; Robertson, T.; Baker, D. De Novo Prediction of Three-dimensional Structures for Major Protein Families. J. Mol. Biol 2002, 322, 65–78. [Google Scholar]
- Kim, D.E.; Chivian, D.; Baker, D. Protein structure prediction and analysis using the Robetta server. Nucleic Acids Res 2004, 32, W526–W531. [Google Scholar]







| Gene name | Species name | Genbank accession no. | DNA length (bp) | cDNA length (bp) | Protein length (aa) | No. of exons | No. of introns [length (bp)] |
|---|---|---|---|---|---|---|---|
| OrufRPK1 | O. rufipogon | GI: 380710170 | 5807 | 2052 | 684 | 2 | 1 (3752) |
| OsI219RPK1 | O. sativa ssp. indica cv. MR219 | GI: 380710172 | 5427 | 2052 | 684 | 2 | 1 (3372) |
| OsI9311RPK1 | O. sativa ssp. indica cv. 9311 | GI: 218188631 | 5400 | 2052 | 684 | 2 | 1 (3345) |
| OsJNipponRPK1 | O. sativa ssp. japonica cv. Nipponbare | GI: 53792194 | 5411 | 2052 | 684 | 2 | 1 (3357) |
| Gene name | Species | Gene locus | Genbank accession no. | Protein length (aa) |
|---|---|---|---|---|
| At_RLL1 | Arabidopsis thaliana | AT2G26730.1 | GI: 30683225 | 658 |
| Bd_RLL1 | Brachpodium distachyon | BRADI2G43110.1 | GI: 357130455 | 675 |
| Gm_RLL1 | Glycine max | MTR_4g113100 | GI: 357477836 | 655 |
| Gm_RLL2 | Glycine max | Glyma06g23590.1 | GI: 356516925 | 653 |
| Gm_RLL3 | Glycine max | Glyma05g08140.1 | GI: 356513915 | 625 |
| OsJ_RLL1 | O. sativa ssp. japonica cv. Nippobare | LOC_Os05g51070.1 | GI: 47777361 | 710 |
| Pt_RLL1 | Populus trichocarpa | POPTR_0018s06400.1 | GI: 280967730 | 621 |
| Sb_RLL1 | Sorghum bicolar | Sb03g027400.1 | GI: 219885379 | 690 |
| Vv_RLL1 | Vitis vinifera | GSVIVT01015460001 | GI: 280967730 | 653 |
| Zm_RLL1 | Zea mays | GRMZM2G050548_T01 | GI: 219885379 | 693 |
| Zm_RLL2 | Zea mays | LOC100279562 | GI: 100279562 | 685 |
© 2012 by the authors; licensee Molecular Diversity Preservation International, Basel, Switzerland. This article is an open-access article distributed under the terms and conditions of the Creative Commons Attribution license (http://creativecommons.org/licenses/by/3.0/).
Share and Cite
Law, Y.-S.; Gudimella, R.; Song, B.-K.; Ratnam, W.; Harikrishna, J.A. Molecular Characterization and Comparative Sequence Analysis of Defense-Related Gene, Oryza rufipogon Receptor-Like Protein Kinase 1. Int. J. Mol. Sci. 2012, 13, 9343-9362. https://doi.org/10.3390/ijms13079343
Law Y-S, Gudimella R, Song B-K, Ratnam W, Harikrishna JA. Molecular Characterization and Comparative Sequence Analysis of Defense-Related Gene, Oryza rufipogon Receptor-Like Protein Kinase 1. International Journal of Molecular Sciences. 2012; 13(7):9343-9362. https://doi.org/10.3390/ijms13079343
Chicago/Turabian StyleLaw, Yee-Song, Ranganath Gudimella, Beng-Kah Song, Wickneswari Ratnam, and Jennifer Ann Harikrishna. 2012. "Molecular Characterization and Comparative Sequence Analysis of Defense-Related Gene, Oryza rufipogon Receptor-Like Protein Kinase 1" International Journal of Molecular Sciences 13, no. 7: 9343-9362. https://doi.org/10.3390/ijms13079343
APA StyleLaw, Y.-S., Gudimella, R., Song, B.-K., Ratnam, W., & Harikrishna, J. A. (2012). Molecular Characterization and Comparative Sequence Analysis of Defense-Related Gene, Oryza rufipogon Receptor-Like Protein Kinase 1. International Journal of Molecular Sciences, 13(7), 9343-9362. https://doi.org/10.3390/ijms13079343

