An Efficient Method for Genomic DNA Extraction from Different Molluscs Species
Abstract
:1. Introduction
2. Results and Discussion
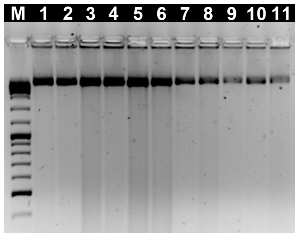
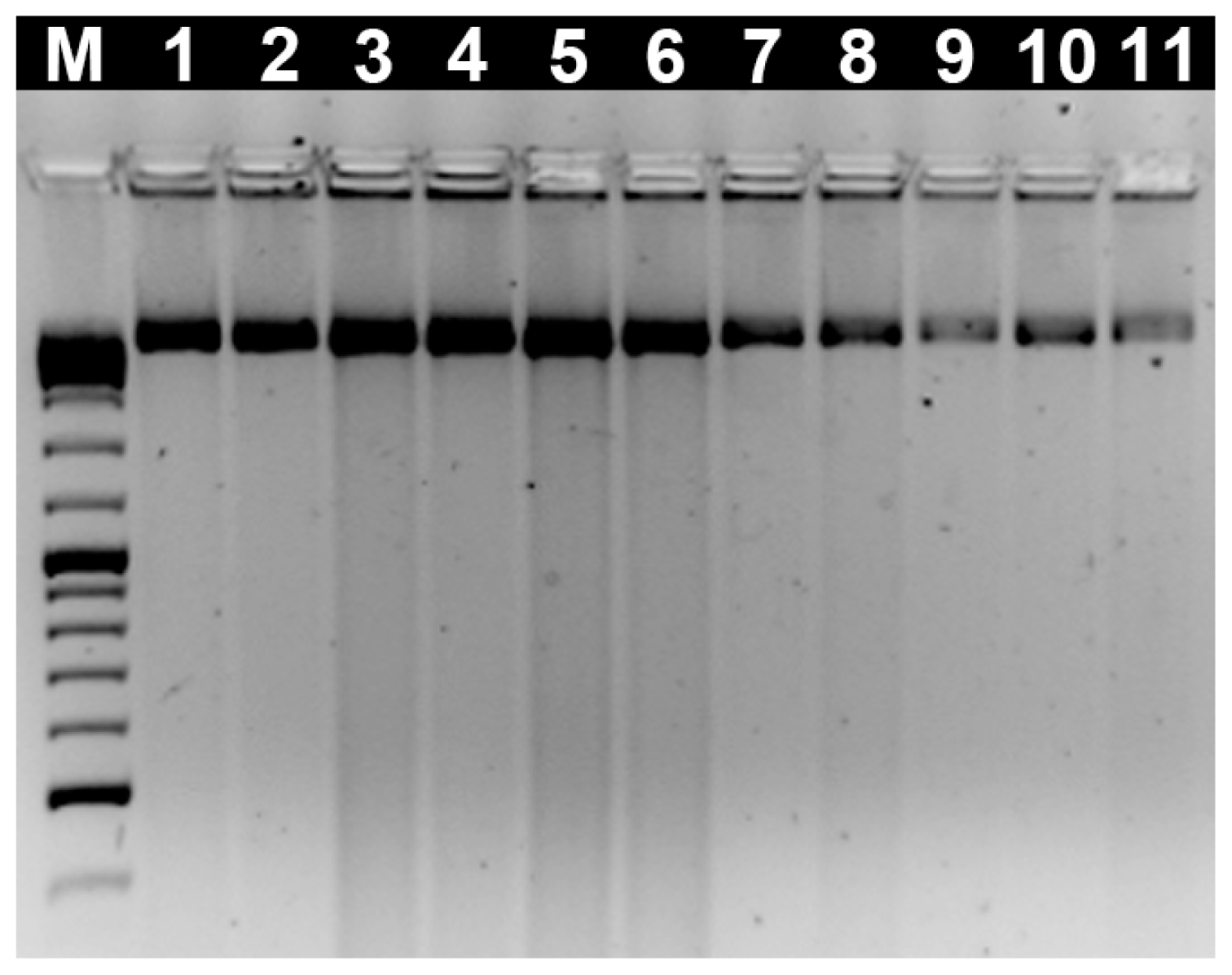
2.1. Evaluation of the Genomic DNA Integrity by Agarose Gel Electrophoresis
2.2. Evaluation of the Genomic DNA Quantity and Quality by NanoDrop® ND-1000 (NanoDrop Technologies)
2.3. Evaluation of the Genomic DNA Isolated in Downstream Applications
3. Experimental Section
3.1. Sample Collection
3.2. DNA Extraction Protocol
3.3. DNA Analysis
4. Conclusions
Acknowledgments
References
- Smith, D.S.; Maxwell, P.W.; de Boer, S.H. Comparison of several methods for the extraction of DNA from potatoes and potato-derived products. J. Agric. Food Chem 2005, 53, 9848–9859. [Google Scholar]
- Marmiroli, N.; Peano, C.; Maestri, E. Advanced PCR Techniques in Identifying Food Components. In Food Authenticity and Traceability; Lees, M., Ed.; Woodhead Publishing: Cambridge, UK, 2003; pp. 3–33. [Google Scholar]
- Yue, G.H.; Orban, L. Rapid isolation of DNA from fresh and preserved fish scales for polymerase chain reaction. Mar. Biotechnol 2001, 3, 199–204. [Google Scholar]
- Blin, N.; Stafford, D.W. A general method for isolation of high molecular weight DNA from eukaryotes. Nucleic Acids Res 1976, 3, 2303–2308. [Google Scholar]
- Köchl, S.; Niederstätter, H.; Parson, W. DNA extraction and quantification of forensic samples using the phenol-chloroform method and real-time PCR. Methods Mol. Biol 2005, 297, 13–29. [Google Scholar]
- Miller, S.A.; Dykes, D.D.; Polesky, H.F. A simple salting out procedure for extracting DNA from human nucleated cells. Nucleic Acids Res 1988, 16. [Google Scholar] [CrossRef]
- Carter, M.J.; Milton, I.D. An inexpensive and simple method for DNA purifications on silica particles. Nucleic Acids Res 1993, 21. [Google Scholar] [CrossRef]
- Höss, M.; Pääbo, S. DNA extraction from Pleistocene bones by a silica-based purification method. Nucleic Acids Res 1993, 21, 3913–3914. [Google Scholar]
- Tel-Zur, N.A.S.; Myslabodski, D.; Mizrahi, Y. Modified CTAB procedure for DNA isolation from epiphytic cacti of the genera hylocereus and selenicereus (cactaceae). Plant Mol. Biol. Rep 1999, 17, 249–254. [Google Scholar]
- Walsh, P.S.; Metzger, D.A.; Higuchi, R. Chelex 100 as a medium for simple extraction of DNA for PCR-based typing from forensic material. Biotechniques 1991, 10, 506–513. [Google Scholar]
- Pepinski, W.; Soltyszewski, I.; Janica, J.; Skawronska, M.; Koc-Zorawska, E. Comparison of five commercial kits for DNA extraction from human blood, saliva and muscle samples. Rocz. Akad. Med. Bialymst 2002, 47, 270–275. [Google Scholar]
- Winnepenninckx, B.; Backeljau, T.; de Wachter, R. Extraction of high molecular weight DNA from molluscs. Trends Genet 1993, 9, 407. [Google Scholar]
- Doyle, J.; Doyle, J.L. Isolation of plant DNA from fresh tissue. Focus 1990, 12, 13–15. [Google Scholar]
- Robledo, J.A.F.; Pecher, W.T.; Vasta, G.R. High-throughput isolation of oyster DNA facilitates diagnosis of “Dermo” disease. Qiagen News 2000, 5, 15–17. [Google Scholar]
- Popa, O.P.; Murariu, D.; Popa, L.O. Comparison of four DNA extraction methods from invasive freshwater bivalve species (Mollusca: Bivalvia) in Romanian fauna. Travaux du Muséum National d’Histoire Naturelle Grigore Antipa 2007, 6, 527–536. [Google Scholar]
- Calderón-Cortés, N.; Quesada, M.; Cano-Camacho, H.; Zavala-Páramo, G. A simple and rapid method for DNA isolation from xylophagous insects. Int. J. Mol. Sci 2010, 11, 5056–5064. [Google Scholar]
- Reimann, U.; Guntermann, D.; Weber, O. High-throughput DNA purification with DNeasy 96-More than just mouse tails. Qiagen News 1998, 3, 7–9. [Google Scholar]
- Gilbert, M.T.P.; Haselkorn, T.; Bunce, M.; Sanchez, J.J.; Lucas, S.B.; Jewell, L.D.; van Marck, E.; Worobey, M. The isolation of nucleic acids from fixed, paraffin-embedded tissues—which methods are useful when. PLoS One 2007, 2. [Google Scholar] [CrossRef]
- Santos, S.; Sa, D.; Bastos, E.; Guedes-Pinto, H.; Gut, I.; Gartner, F.; Chaves, R. An efficient protocol for genomic DNA extraction from formalin-fixed paraffin-embedded tissues. Res. Vet. Sci 2009, 86, 421–426. [Google Scholar]
- Joaquim, S.; Pereira, J.; Leitão, A.; Matias, D.; Chaves, R.; Guedes-Pinto, H.; Chícharo, L.; Gaspar, M.B. Genetic diversity of two Portuguese populations of the pullet carpet shell Venerupis senegalensis, based on RAPD markers: Contribution to a sustainable restocking program. Helgol. Mar. Res 2010, 64, 289–295. [Google Scholar]
- Pereira, J.; Chaves, R.; Leitão, A.; Matias, D.; Guedes-Pinto, H. Genetic analysis of two Portuguese populations of Ruditapes decussatus by RAPD profiling. Helgol. Mar. Res 2011, 65, 361–367. [Google Scholar]
- Zhang, L.; Bao, Z.; Wang, S.; Huang, X.; Hu, J. Chromosome rearrangements in Pectinidae (Bivalvia: Pteriomorphia) implied based on chromozomal localization of histone H3 gene in four scallops. Genetica 2007, 130, 193–198. [Google Scholar]



| Family | Species Names | N | DNA Concentration (mean ± SE) (ng·μL−1) | Amount Tissue (mean) (mg) | DNA Yield (mean ± SE) (ng·mg−1) | Evaluation RNA/Protein Contamination (A260/280) (mean ± SE) | Evaluation of Chaotropic Salt Contamination (A260/230) (mean ± SE) | PCR |
|---|---|---|---|---|---|---|---|---|
| Ostreidae | C.gigas | 10 | 200.7 ± 30.2 | 16.80 | 2386.3 ± 778.0 | 1.91 ± 0.03 | 1.99 ± 0.07 | + |
| O.stentina | 10 | 370.3 ± 118.6 | 16.80 | 3687.5 ± 1111.6 | 1.92 ± 0.03 | 1.94 ± 0.05 | + | |
| O. edulis | 10 | 331.6 ± 44.2 | 16.80 | 3426.1 ± 1136.4 | 1.85 ± 0.04 | 1.72 ± 0.10 | + | |
| O. chilensis | 10 | 256.4 ± 68.1 | 16.80 | 2795.5 ± 1001.0 | 1.89 ± 0.04 | 1.94 ± 0.11 | + | |
| Veneridae | C. gallina | 10 | 279.7 ± 60.8 | 16.80 | 2739.7 ± 896.9 | 1.80 ± 0.04 | 1.72 ± 0.09 | + |
| R. decussatus | 10 | 246.1 ± 44.6 | 16.80 | 2547.3 ± 832.9 | 1.89 ± 0.04 | 1.71 ± 0.10 | + | |
| V. aurea | 10 | 241.8 ± 40.5 | 16.80 | 2634.1 ± 923.4 | 1.91 ± 0.03 | 1.74 ± 0.09 | + | |
| V. pullastra | 10 | 254.7 ± 36.7 | 16.80 | 2688.4 ± 890.7 | 1.93 ± 0.05 | 1.78 ± 0.13 | + | |
| Anomiidae | A. ephippium | 5 | 327.8 ± 111.5 | 11.60 | 5053.8 ± 2566.5 | 1.85 ± 0.03 | 1.83 ± 0.17 | + |
| Cardiidae | C. edule | 10 | 244.7 ± 52.3 | 16.80 | 2823.1 ± 1155.5 | 1.85 ± 0.03 | 1.86 ± 0.12 | + |
| Muricidae | H. trunculus | 5 | 247.1 ± 89.7 | 30.00 | 823.6 ± 299.0 | 1.90 ± 0.04 | 1.90 ± 0.21 | + |
| Total | 100 | 271.8 ± 64.5 | 2695.8 ± 884.5 | 1.88 ± 0.04 | 1.83 ± 0.12 |
| Weight Class (mg) | N | DNA Concentration (mean ± SE) (ng·μL−1) | DNA Yield (mean ± SE) (ng·mg−1) | Evaluation RNA/Protein Contamination (A260/280) (mean ± SE) | Evaluation of Chaotropic Salt Contamination (A260/230) (mean ± SE) |
|---|---|---|---|---|---|
| [0–5] | 25 | 344.8 ± 30.7 | 6887.3 ± 613.0 | 1.88 ± 0.02 | 1.82 ± 0.07 |
| [5–10] | 25 | 328.3 ± 50.4 | 3577.2 ± 490.4 | 1.90 ± 0.03 | 1.82 ± 0.05 |
| [10–15] | 25 | 259.0 ± 62.8 | 1871.2 ± 416.92 | 1.90 ± 0.03 | 1.75 ± 0.08 |
| [15–20] | 25 | 177.0 ± 21.1 | 935.5 ± 113.15 | 1.88 ± 0.03 | 1.81 ± 0.09 |
| [20–25] | 25 | 245.3 ± 38.0 | 771.3 ± 159.1 | 1.84 ± 0.04 | 1.91 ± 0.05 |
| Total | 100 | 271.8 ± 40.6 | 2808.8 ± 358.6 | 1.88 ± 0.04 | 1.82 ± 0.12 |
© 2011 by the authors; licensee MDPI, Basel, Switzerland. This article is an open-access article distributed under the terms and conditions of the Creative Commons Attribution license (http://creativecommons.org/licenses/by/3.0/).
Share and Cite
Pereira, J.C.; Chaves, R.; Bastos, E.; Leitão, A.; Guedes-Pinto, H. An Efficient Method for Genomic DNA Extraction from Different Molluscs Species. Int. J. Mol. Sci. 2011, 12, 8086-8095. https://doi.org/10.3390/ijms12118086
Pereira JC, Chaves R, Bastos E, Leitão A, Guedes-Pinto H. An Efficient Method for Genomic DNA Extraction from Different Molluscs Species. International Journal of Molecular Sciences. 2011; 12(11):8086-8095. https://doi.org/10.3390/ijms12118086
Chicago/Turabian StylePereira, Jorge C., Raquel Chaves, Estela Bastos, Alexandra Leitão, and Henrique Guedes-Pinto. 2011. "An Efficient Method for Genomic DNA Extraction from Different Molluscs Species" International Journal of Molecular Sciences 12, no. 11: 8086-8095. https://doi.org/10.3390/ijms12118086
APA StylePereira, J. C., Chaves, R., Bastos, E., Leitão, A., & Guedes-Pinto, H. (2011). An Efficient Method for Genomic DNA Extraction from Different Molluscs Species. International Journal of Molecular Sciences, 12(11), 8086-8095. https://doi.org/10.3390/ijms12118086
