Scaffold Simplification Yields Potent Antibacterial Agents That Target Bacterial Topoisomerases
Abstract
1. Introduction
2. Results
2.1. Design of Target Substances
2.2. Chemistry
2.3. Antibacterial Activity Evaluation
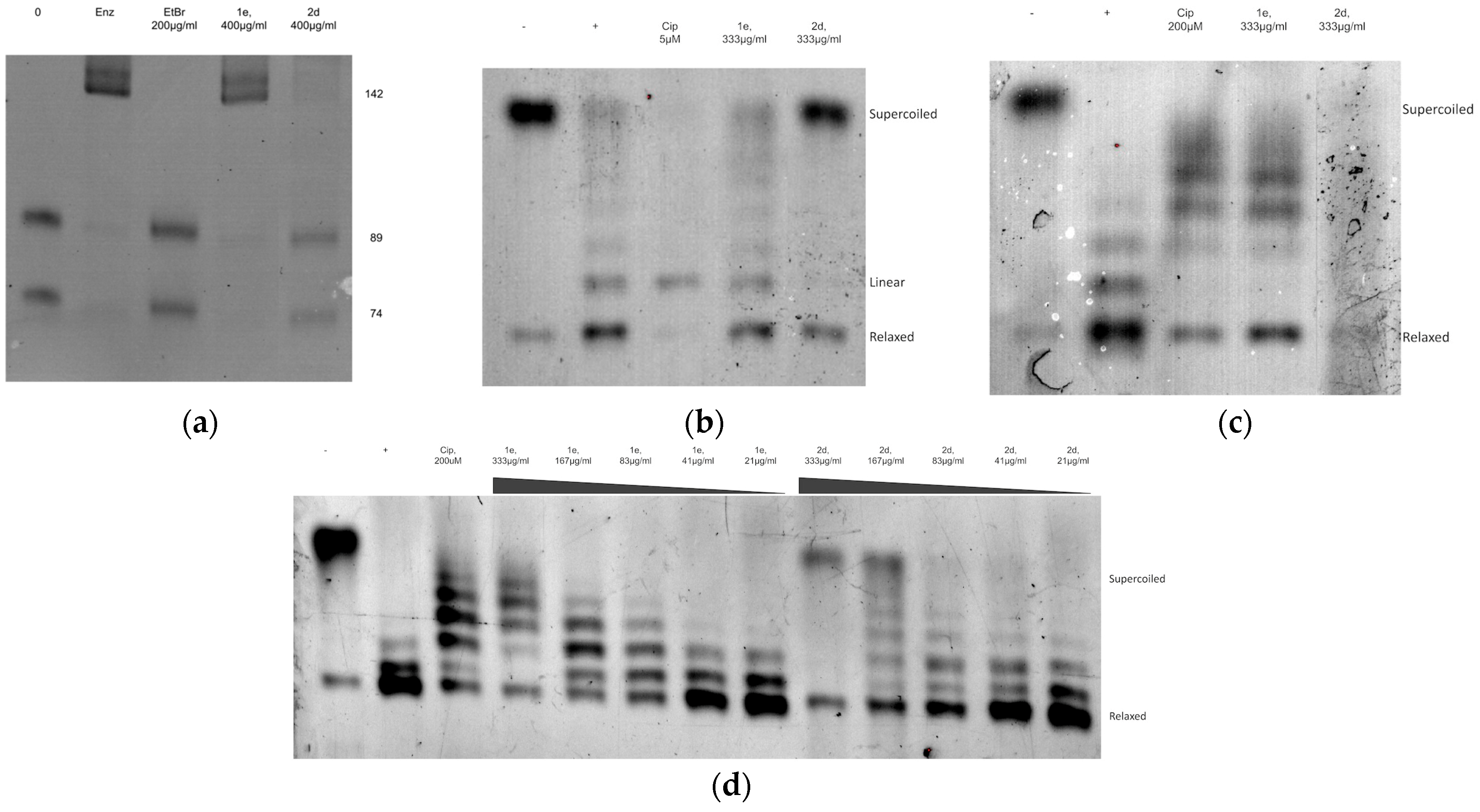
2.4. Discovery of the Antibacterial Action Mechanism
2.5. Toxicity Study
2.6. In Silico Studies
3. Discussion
4. Materials and Methods
4.1. General Chemistry
4.2. Synthesis
4.2.1. General Procedure A for Phenoxyphenyl Amines 5a–d
4.2.2. General Synthesis Procedure B for Compounds 1a–g, 2a–c and 4a–b
4.2.3. General Synthesis Procedure C for Compounds 2e–i
4.3. Antimicrobial Susceptibility Testing
4.4. Action Mechanism Evaluation
4.5. Enzyme Interaction Assays
- (1)
- 3× Gyrase assay mix: 105 mM Tris-HCl, pH 7.5, 18 mM MgCl2, 5.4 mM spermidine, 72 mM KCl, 15 mM DTT, 1.08 mg/mL BSA, 19.5% glycerol (w/v) [44];
- (2)
- 5× Topo4 assay mix: 250 mM Tris-HCl, pH 7.5, 500 mM potassium glutamate, 50 mM magnesium acetate, 50 mM DTT, 50 μg/mL BSA [45];
- (3)
- 5× dye mix: 5% SDS, 25% glycerol, 0.25 mg/mL bromophenol blue.
4.5.1. Klenow Fragment Polymerization Test
4.5.2. Topoisomerase I Relaxation Test
4.5.3. Topoisomerase IV Relaxation Cleavage Test
4.5.4. Topoisomerase IV Decatenation Cleavage Test
4.5.5. DNA Gyrase Relaxation Cleavage Test
4.5.6. DNA Gyrase Supercoiling Cleavage Test
4.6. MTT Assay
4.7. Molecular Modeling
4.7.1. Protein Preparation
4.7.2. Induced-Fit Docking of Molecules
5. Conclusions
Supplementary Materials
Author Contributions
Funding
Institutional Review Board Statement
Informed Consent Statement
Data Availability Statement
Acknowledgments
Conflicts of Interest
Abbreviations
| ESKAPE | acronym comprising the scientific names of six bacterial pathogens |
| MIC | minimum inhibitory concentrations |
| AI | artificial intelligence |
| MRSA | multiresistant strains of S. aureus |
| SAR | structure–activity relation |
| HBTU | hexafluorophosphate benzotriazole tetramethyl uronium |
| TopA | topoisomerase I |
| IC50abs | half maximal inhibitory concentration |
| PDB | Protein Data Bank |
| RMSD | root mean square deviation of atomic positions |
References
- Darby, E.M.; Trampari, E.; Siasat, P.; Gaya, M.S.; Alav, I.; Webber, M.A.; Blair, J.M.A. Molecular mechanisms of antibiotic resistance revisited. Nat. Rev. Microbiol. 2023, 21, 280–295. [Google Scholar] [CrossRef]
- Brüssow, H. The antibiotic resistance crisis and the development of new antibiotics. Microb. Biotechnol. 2024, 17, e14510. [Google Scholar] [CrossRef]
- de la Fuente-Nunez, C.; Cesaro, A.; Hancock, R.E.W. Antibiotic failure: Beyond antimicrobial resistance. Drug Resist. Updates 2023, 71, 101012. [Google Scholar] [CrossRef]
- Farha, M.A.; Tu, M.M.; Brown, E.D. Important challenges to finding new leads for new antibiotics. Curr. Opin. Microbiol. 2025, 83, 102562. [Google Scholar] [CrossRef]
- Butler, M.S.; Vollmer, W.; Goodall, E.C.A.; Capon, R.J.; Henderson, I.R.; Blaskovich, M.A.T. A Review of Antibacterial Candidates with New Modes of Action. ACS Infect. Dis. 2024, 10, 3440–3474. [Google Scholar] [CrossRef] [PubMed]
- Bergkessel, M.; Forte, B.; Gilbert, I.H. Small-Molecule Antibiotic Drug Development: Need and Challenges. ACS Infect. Dis. 2023, 9, 2062–2071. [Google Scholar] [CrossRef] [PubMed]
- Nandikolla, A.; Khetmalis, Y.M.; Sangeetha, G.P.V.; Chandu, A.; Swati; Kumar, M.M.K.; Sharma, V.; Murugesan, S.; Chandra Sekhar, K.V.G. Tetrahydroisoquinoline based 5-nitro-2-furoic acid derivatives: A promising new approach for anti-tubercular agents. New J. Chem. 2023, 47, 15378–15389. [Google Scholar] [CrossRef]
- Xie, Y.P.; Sangaraiah, N.; Meng, J.P.; Zhou, C.H. Unique Carbazole-Oxadiazole Derivatives as New Potential Antibiotics for Combating Gram-Positive and -Negative Bacteria. J. Med. Chem. 2022, 65, 6171–6190. [Google Scholar] [CrossRef]
- Lukin, A.; Chudinov, M.; Vedekhina, T.; Rogacheva, E.; Kraeva, L.; Bakulina, O.; Krasavin, M. Exploration of Spirocyclic Derivatives of Ciprofloxacin as Antibacterial Agents. Molecules 2022, 27, 4864. [Google Scholar] [CrossRef]
- Bian, X.; Qu, X.; Zhang, J.; Nang, S.C.; Bergen, P.J.; Tony Zhou, Q.; Chan, H.K.; Feng, M.; Li, J. Pharmacokinetics and pharmacodynamics of peptide antibiotics. Adv. Drug Deliv. Rev. 2022, 183, 114171. [Google Scholar] [CrossRef]
- Bodrova, T.G.; Budanova, U.A.; Sebyakin, Y.L. L-Ornithine derivatives with structural hetaryl and alkyl moiety: Synthesis and antibacterial activity. Fine Chem. Technol. 2024, 19, 202–213. [Google Scholar] [CrossRef]
- Chang, R.Y.K.; Nang, S.C.; Chan, H.K.; Li, J. Novel antimicrobial agents for combating antibiotic-resistant bacteria. Adv. Drug Deliv. Rev. 2022, 187, 114378. [Google Scholar] [CrossRef] [PubMed]
- Kong, Q.; Yang, Y. Recent advances in antibacterial agents. Bioorg Med. Chem. Lett. 2021, 35, 127799. [Google Scholar] [CrossRef]
- Mitcheltree, M.J.; Pisipati, A.; Syroegin, E.A.; Silvestre, K.J.; Klepacki, D.; Mason, J.D.; Terwilliger, D.W.; Testolin, G.; Pote, A.R.; Wu, K.J.Y.; et al. A synthetic antibiotic class overcoming bacterial multidrug resistance. Nature 2021, 599, 507–512. [Google Scholar] [CrossRef] [PubMed]
- Liu, G.; Catacutan, D.B.; Rathod, K.; Swanson, K.; Jin, W.; Mohammed, J.C.; Chiappino-Pepe, A.; Syed, S.A.; Fragis, M.; Rachwalski, K.; et al. Deep learning-guided discovery of an antibiotic targeting Acinetobacter baumannii. Nat. Chem. Biol. 2023, 19, 1342–1350. [Google Scholar] [CrossRef]
- Stokes, J.M.; Yang, K.; Swanson, K.; Jin, W.; Cubillos-Ruiz, A.; Donghia, N.M.; MacNair, C.R.; French, S.; Carfrae, L.A.; Bloom-Ackermann, Z.; et al. A Deep Learning Approach to Antibiotic Discovery. Cell 2020, 180, 688–702 e613. [Google Scholar] [CrossRef]
- Lluka, T.; Stokes, J.M. Antibiotic discovery in the artificial intelligence era. Ann. N. Y. Acad. Sci. 2023, 1519, 74–93. [Google Scholar] [CrossRef]
- Spink, E.; Ding, D.; Peng, Z.; Boudreau, M.A.; Leemans, E.; Lastochkin, E.; Song, W.; Lichtenwalter, K.; O’Daniel, P.I.; Testero, S.A.; et al. Structure-activity relationship for the oxadiazole class of antibiotics. J. Med. Chem. 2015, 58, 1380–1389. [Google Scholar] [CrossRef]
- O’Daniel, P.I.; Peng, Z.; Pi, H.; Testero, S.A.; Ding, D.; Spink, E.; Leemans, E.; Boudreau, M.A.; Yamaguchi, T.; Schroeder, V.A.; et al. Discovery of a new class of non-beta-lactam inhibitors of penicillin-binding proteins with Gram-positive antibacterial activity. J. Am. Chem. Soc. 2014, 136, 3664–3672. [Google Scholar] [CrossRef]
- Buommino, E.; De Marino, S.; Sciarretta, M.; Piccolo, M.; Festa, C.; D’Auria, M.V. Synergism of a Novel 1,2,4-oxadiazole-containing Derivative with Oxacillin against Methicillin-Resistant Staphylococcus aureus. Antibiotics 2021, 10, 1258. [Google Scholar] [CrossRef]
- Naclerio, G.A.; Abutaleb, N.S.; Onyedibe, K.I.; Karanja, C.; Eldesouky, H.E.; Liang, H.W.; Dieterly, A.; Aryal, U.K.; Lyle, T.; Seleem, M.N.; et al. Mechanistic Studies and In Vivo Efficacy of an Oxadiazole-Containing Antibiotic. J. Med. Chem. 2022, 65, 6612–6630. [Google Scholar] [CrossRef] [PubMed]
- Qin, H.L.; Liu, J.; Fang, W.Y.; Ravindar, L.; Rakesh, K.P. Indole-based derivatives as potential antibacterial activity against methicillin-resistance Staphylococcus aureus (MRSA). Eur. J. Med. Chem. 2020, 194, 112245. [Google Scholar] [CrossRef]
- Qian, Y.; Birhanu, B.T.; Yang, J.; Ding, D.; Janardhanan, J.; Mobashery, S.; Chang, M. A Potent and Narrow-Spectrum Antibacterial against Clostridioides difficile Infection. J. Med. Chem. 2023, 66, 13891–13899. [Google Scholar] [CrossRef] [PubMed]
- Vinogradova, L.V.; Komarova, K.Y.; Chudinov, M.V.; Rogacheva, E.V.; Kraeva, L.A.; Lukin, A.Y. Scaffold hopping in the oxadiazole antibiotic structure leads to more active compounds. Mendeleev Commun. 2024, 34, 362–364. [Google Scholar] [CrossRef]
- Boudreau, M.A.; Ding, D.; Meisel, J.E.; Janardhanan, J.; Spink, E.; Peng, Z.; Qian, Y.; Yamaguchi, T.; Testero, S.A.; O’Daniel, P.I.; et al. Structure-Activity Relationship for the Oxadiazole Class of Antibacterials. ACS Med. Chem. Lett. 2020, 11, 322–326. [Google Scholar] [CrossRef] [PubMed]
- Pendleton, J.N.; Gorman, S.P.; Gilmore, B.F. Clinical relevance of the ESKAPE pathogens. Expert Rev. Anti-Infect. Ther. 2013, 11, 297–308. [Google Scholar] [CrossRef]
- Osterman, I.A.; Komarova, E.S.; Shiryaev, D.I.; Korniltsev, I.A.; Khven, I.M.; Lukyanov, D.A.; Tashlitsky, V.N.; Serebryakova, M.V.; Efremenkova, O.V.; Ivanenkov, Y.A.; et al. Sorting Out Antibiotics’ Mechanisms of Action: A Double Fluorescent Protein Reporter for High-Throughput Screening of Ribosome and DNA Biosynthesis Inhibitors. Antimicrob. Agents Chemother. 2016, 60, 7481–7489. [Google Scholar] [CrossRef]
- Baba, T.; Ara, T.; Hasegawa, M.; Takai, Y.; Okumura, Y.; Baba, M.; Datsenko, K.A.; Tomita, M.; Wanner, B.L.; Mori, H. Construction of Escherichia coli K-12 in-frame, single-gene knockout mutants: The Keio collection. Mol. Syst. Biol. 2006, 2, MSB4100050. [Google Scholar] [CrossRef]
- Orelle, C.; Carlson, S.; Kaushal, B.; Almutairi, M.M.; Liu, H.; Ochabowicz, A.; Quan, S.; Pham, V.C.; Squires, C.L.; Murphy, B.T.; et al. Tools for characterizing bacterial protein synthesis inhibitors. Antimicrob. Agents Chemother. 2013, 57, 5994–6004. [Google Scholar] [CrossRef]
- Lim, D.C.; Strynadka, N.C.J. Structure of penicillin G acyl-Penicillin binding protein 2a from methicillin resistant Staphylococcus aureus strain 27r at 2.45 A resolution. Nat. Struct. Biol. 2002, 9, 870–876. [Google Scholar] [CrossRef]
- Verma, S.K.; Verma, R.; Kumar, K.S.S.; Banjare, L.; Shaik, A.B.; Bhandare, R.R.; Rakesh, K.P.; Rangappa, K.S. A key review on oxadiazole analogs as potential methicillin-resistant Staphylococcus aureus (MRSA) activity: Structure-activity relationship studies. Eur. J. Med. Chem. 2021, 219, 113442. [Google Scholar] [CrossRef]
- Singh, S.; Geetha, P.; Ramajayam, R. Isolation, synthesis and medicinal chemistry of biphenyl analogs—A review. Results Chem. 2023, 6, 101135. [Google Scholar] [CrossRef]
- Liu, B.; Wang, Y.; Chen, N.; Li, C.; Zhao, J.; Li, T. Diphenyl Ethers: Isolation, Bioactivities and Biosynthesis. Mini-Rev. Org. Chem. 2024, 21, 590–598. [Google Scholar] [CrossRef]
- Ghouse, S.M.; Akhir, A.; Sinha, K.; Pawar, G.; Saxena, D.; Akunuri, R.; Malik, P.; Roy, A.; Parida, K.K.; Dasgupta, A.; et al. Synthesis and Biological Evaluation of Diphenyl Ether-Linked Quinolone Derivatives as Antibacterial Agents. ChemistrySelect 2023, 8, e202303083. [Google Scholar] [CrossRef]
- Wang, D.; Wang, C.; Gui, P.; Liu, H.; Khalaf, S.M.H.; Elsayed, E.A.; Wadaan, M.A.M.; Hozzein, W.N.; Zhu, W. Identification, Bioactivity, and Productivity of Actinomycins from the Marine-Derived Streptomyces heliomycini. Front. Microbiol. 2017, 8, 1147. [Google Scholar] [CrossRef]
- Wadia, S.; Tran, B. Colistin-mediated neurotoxicity. BMJ Case Rep. 2014, 2014, 205332. [Google Scholar] [CrossRef]
- Giacobbe, D.R.; di Masi, A.; Leboffe, L.; Del Bono, V.; Rossi, M.; Cappiello, D.; Coppo, E.; Marchese, A.; Casulli, A.; Signori, A.; et al. Hypoalbuminemia as a predictor of acute kidney injury during colistin treatment. Sci. Rep. 2018, 8, 11968. [Google Scholar] [CrossRef] [PubMed]
- Tegge, W.; Guerra, G.; Holtke, A.; Schiller, L.; Beutling, U.; Harmrolfs, K.; Grobe, L.; Wullenkord, H.; Xu, C.; Weich, H.; et al. Selective Bacterial Targeting and Infection-Triggered Release of Antibiotic Colistin Conjugates. Angew. Chem. Int. Ed. 2021, 60, 17989–17997. [Google Scholar] [CrossRef] [PubMed]
- Oh, S.; Kwon, D.Y.; Choi, I.; Kim, Y.M.; Lee, J.Y.; Ryu, J.; Jeong, H.; Kim, M.J.; Song, R. Identification of Piperidine-3-carboxamide Derivatives Inducing Senescence-like Phenotype with Antimelanoma Activities. ACS Med. Chem. Lett. 2021, 12, 563–571. [Google Scholar] [CrossRef] [PubMed]
- Benamara, N.; Merabet-Khelassi, M.; Aribi-Zouioueche, L.; Riant, O. CAL-B-mediated efficient synthesis of a set of valuable amides by direct amidation of phenoxy- and aryl-propionic acids. Chem. Pap. 2021, 75, 4045–4053. [Google Scholar] [CrossRef]
- Bauer, A.W.; Kirby, W.M.M.; Sherris, J.C.; Turck, M. Antibiotic Susceptibility Testing by a Standardized Single Disk Method. Am. J. Clin. Pathol. 1966, 45, 493–496. [Google Scholar] [CrossRef]
- EUCAST SOP 9.2. Procedure for Establishing Zone Diameter Breakpoints and Quality Control Criteria. Available online: https://www.eucast.org/fileadmin/src/media/PDFs/EUCAST_files/EUCAST_SOPs/2020/EUCAST_SOP_9.2_Disk_diffusion_breakpoints_and_QC_ranges_final.pdf (accessed on 1 July 2023).
- Wiegand, I.; Hilpert, K.; Hancock, R.E. Agar and broth dilution methods to determine the minimal inhibitory concentration (MIC) of antimicrobial substances. Nat. Protoc. 2008, 3, 163–175. [Google Scholar] [CrossRef]
- Fisher, L.M.; Pan, X.S. Methods to assay inhibitors of DNA gyrase and topoisomerase IV activities. Methods Mol. Med. 2008, 142, 11–23. [Google Scholar] [CrossRef] [PubMed]
- Peng, H.; Marians, K.J. Overexpression and purification of bacterial topoisomerase IV. Methods Mol. Biol. 1999, 94, 163–169. [Google Scholar] [CrossRef] [PubMed]
- Shiriaev, D.I.; Sofronova, A.A.; Berdnikovich, E.A.; Lukianov, D.A.; Komarova, E.S.; Marina, V.I.; Zakalyukina, Y.V.; Biryukov, M.V.; Maviza, T.P.; Ivanenkov, Y.A.; et al. Nybomycin inhibits both types of E. coli DNA gyrase-fluoroquinolone-sensitive and fluoroquinolone-resistant. Antimicrob. Agents Chemother. 2023, 95, AAC-00777-20. [Google Scholar] [CrossRef]
- Mosmann, T. Rapid colorimetric assay for cellular growth and survival: Application to proliferation and cytotoxicity assays. J. Immunol. Methods 1983, 65, 55–63. [Google Scholar] [CrossRef] [PubMed]
- Sastry, G.M.; Adzhigirey, M.; Day, T.; Annabhimoju, R.; Sherman, W. Protein and ligand preparation: Parameters, protocols, and influence on virtual screening enrichments. J. Comput.-Aided Mol. Des. 2013, 27, 221–234. [Google Scholar] [CrossRef]
- Lu, C.; Wu, C.; Ghoreishi, D.; Chen, W.; Wang, L.; Damm, W.; Ross, G.A.; Dahlgren, M.K.; Russell, E.; Von Bargen, C.D.; et al. OPLS4: Improving Force Field Accuracy on Challenging Regimes of Chemical Space. J. Chem. Theory Comput. 2021, 17, 4291–4300. [Google Scholar] [CrossRef]






| Species | Compound | ||||||||||||
|---|---|---|---|---|---|---|---|---|---|---|---|---|---|
| 1a | 1b | 1d | 1e | 1f | 1g | 2b | 2c | 2f | 2g | 2h | 2i | Cyp | |
| E. faecium | nt | 0.16 | 0.65 | 0.09 | 0.19 | 0.20 | 0.10 | 2.6 | 0.17 | 0.36 | 0.40 | 0.35 | 1.25 |
| S. aureus | 0.20 | 0.16 | 0.17 | 0.09 | 0.19 | 0.10 | 0.10 | 0.08 | 0.08 | 0.18 | 0.20 | 0.18 | 1.25 |
| K. pneumoniae | 0.20 | 0.16 | 0.33 | 0.09 | 0.19 | 0.10 | 0.10 | 0.08 | 0.34 | 0.36 | 0.80 | 0.35 | 0.6 |
| A. baumannii | 0.20 | 0.65 | nt | 0.09 | 0.19 | 0.10 | 0.10 | 0.08 | 0.08 | 0.36 | 0.20 | 0.70 | 2.5 |
| P. aeruginosa | nt | 0.33 | 2.6 | 0.09 | 0.19 | 0.81 | 0.79 | 0.08 | 0.64 | 0.18 | 3.2 | 0.70 | 0.6 |
| E. cloacae | 0.20 | 0.16 | 0.17 | 0.09 | 0.19 | 0.20 | 0.39 | 0.08 | 0.34 | 0.18 | 0.40 | 0.18 | 3.0 |
| Compound Docking Score (kcal/mol) and Binding Pose Quality (Stars) | |||||
|---|---|---|---|---|---|
| topA | 2c | 1b | 1e | 2d | 2g |
| Staphylococcus aureus | −4.93 * | −5.12 * | −5.19 * | −5.00 * | −5.17 *** |
| GyrA/B | |||||
| Enterococcus faecium | −5.70 * | −5.43 * | −5.71 *** | −4.60 ** | −5.89 * |
| Staphylococcus aureus | −5.0 * | −4.02 * | −5.34 * | −6.39 *** | −6.53 *** |
| Acinetobacter Baumannii | −5.56 ** | −4.01 * | −4.74 ** | −5.00 *** | −5.54 *** |
| Pseudomonas aeruginosa | −5.67 ** | −5.23 * | −4.67 * | −5.70 *** | −5.15 ** |
| Pbp2a | |||||
| Staphylococcus aureus | −4.24 ** | −5.78 ** | −6.18 *** | −4.98 ** | −4.35 * |
Disclaimer/Publisher’s Note: The statements, opinions and data contained in all publications are solely those of the individual author(s) and contributor(s) and not of MDPI and/or the editor(s). MDPI and/or the editor(s) disclaim responsibility for any injury to people or property resulting from any ideas, methods, instructions or products referred to in the content. |
© 2026 by the authors. Licensee MDPI, Basel, Switzerland. This article is an open access article distributed under the terms and conditions of the Creative Commons Attribution (CC BY) license.
Share and Cite
Khudiakova, L.; Komarova, K.; Zhuravlev, M.; Deniskin, D.; Golovanov, A.; Nichugovskiy, A.; Babkin, K.; Zakharova, M.; Chudinov, M.; Rogacheva, E.; et al. Scaffold Simplification Yields Potent Antibacterial Agents That Target Bacterial Topoisomerases. Molecules 2026, 31, 240. https://doi.org/10.3390/molecules31020240
Khudiakova L, Komarova K, Zhuravlev M, Deniskin D, Golovanov A, Nichugovskiy A, Babkin K, Zakharova M, Chudinov M, Rogacheva E, et al. Scaffold Simplification Yields Potent Antibacterial Agents That Target Bacterial Topoisomerases. Molecules. 2026; 31(2):240. https://doi.org/10.3390/molecules31020240
Chicago/Turabian StyleKhudiakova, Lyubov, Kristina Komarova, Maxim Zhuravlev, Dmitry Deniskin, Alexey Golovanov, Artemiy Nichugovskiy, Kirill Babkin, Maria Zakharova, Mikhail Chudinov, Elizaveta Rogacheva, and et al. 2026. "Scaffold Simplification Yields Potent Antibacterial Agents That Target Bacterial Topoisomerases" Molecules 31, no. 2: 240. https://doi.org/10.3390/molecules31020240
APA StyleKhudiakova, L., Komarova, K., Zhuravlev, M., Deniskin, D., Golovanov, A., Nichugovskiy, A., Babkin, K., Zakharova, M., Chudinov, M., Rogacheva, E., Kraeva, L., Shevtsova, O., Ipatova, D., Skvortsov, D., Lukianov, D., Kryakvin, M., Gureev, M., & Lukin, A. (2026). Scaffold Simplification Yields Potent Antibacterial Agents That Target Bacterial Topoisomerases. Molecules, 31(2), 240. https://doi.org/10.3390/molecules31020240

