Anti-Obesity Properties of Boesenbergia rotunda Rhizome Extract: Regulation of Inflammation, Lipid Metabolism, and Insulin Signaling in ob/ob Mice
Abstract
1. Introduction
2. Results
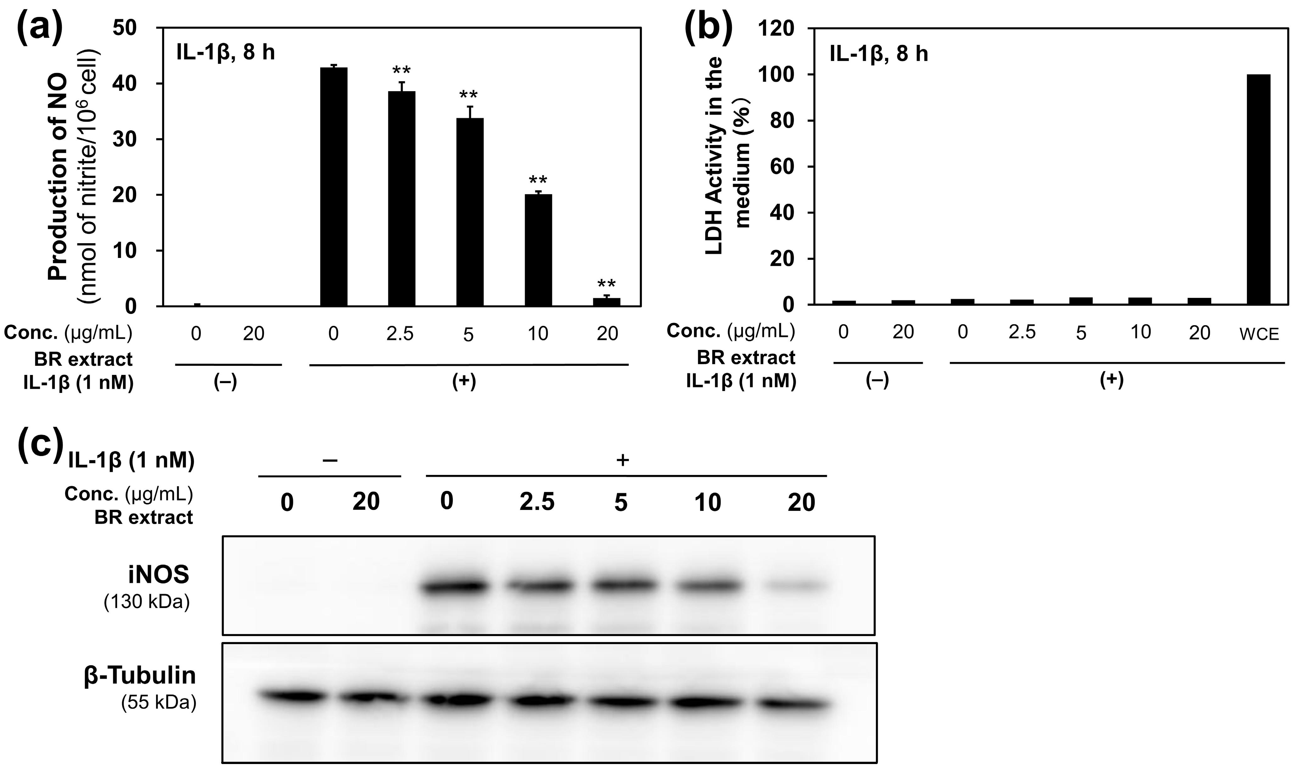
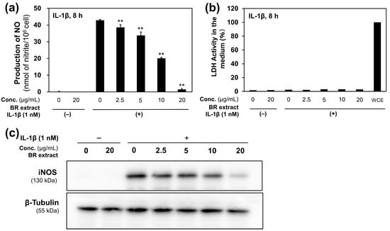
2.1. BR Extract Suppressed NO Production in Rat Hepatocytes
2.2. Chemical Analysis of BR Extract and Identification of Pinostrobin
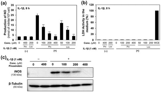
2.3. (±)-Pinostrobin Suppresses NO Production in IL-1β-Treated Hepatocytes
2.4. Effects of BR Extract on Body Weight and Blood Glucose Levels in ob/ob Mice
2.5. BR Extract Increases Serum Insulin Levels
2.6. BR Extract Reduces Serum and Liver Triglyceride Levels
2.7. The Administration of BR Extract Reduced Lipid Accumulation in the Liver
2.8. Hepatic mRNA Expression Profiles of ob/ob Mice
2.9. BR Extract Suppresses the Expression of mRNAs Associated with Inflammatory Responses
2.10. Effects of BR Extract on the Expression of mRNAs Related to Lipid Metabolism and Insulin Signaling
3. Discussion
4. Materials and Methods
4.1. General Experimental Procedures
4.2. Plant Materials and Extraction
4.3. Quantification of Pinostrobin Content
4.4. Primary Cultured Rat Hepatocytes
4.5. NO Level Assessment and LDH Activity Analysis
4.6. Western Blot Analysis
4.7. Administration of BR Extract to Mice
4.8. Measurement of Insulin and Triglyceride Levels
4.9. Liver Tissue Histology
4.10. Total RNA from the Liver
4.11. Microarray Analysis of mRNA Expression
4.12. Statistical Analysis
5. Conclusions
Author Contributions
Funding
Institutional Review Board Statement
Informed Consent Statement
Data Availability Statement
Acknowledgments
Conflicts of Interest
References
- Jiang, S.Z.; Lu, W.; Zong, X.F.; Ruan, H.Y.; Liu, Y. Obesity and Hypertension. Exp. Ther. Med. 2016, 12, 2395–2399. [Google Scholar] [CrossRef] [PubMed]
- Luna-Castillo, K.P.; Olivares-Ochoa, X.C.; Hernández-Ruiz, R.G.; Llamas-Covarrubias, I.M.; Rodríguez-Reyes, S.C.; Betancourt-Núñez, A.; Vizmanos, B.; Martínez-López, E.; Muñoz-Valle, J.F.; Márquez-Sandoval, F.; et al. The Effect of Dietary Interventions on Hypertriglyceridemia: From Public Health to Molecular Nutrition Evidence. Nutrients 2022, 14, 1104. [Google Scholar] [CrossRef] [PubMed]
- Ali, S.A.G.; AL-Fayyadh, H.R.D.; Mohammed, S.H.; Ahmed, S.R. A Descriptive Statistical Analysis of Overweight and Obesity Using Big Data. In Proceedings of the 2022 International Congress on Human-Computer Interaction, Optimization and Robotic Applications (HORA); IEEE, Ankara, Turkey, 9 June 2022; pp. 1–6. [Google Scholar]
- Smith, K.B.; Smith, M.S. Obesity Statistics. Prim. Care-Clin. Off. Pract. 2016, 43, 121–135. [Google Scholar] [CrossRef] [PubMed]
- Sahoo, K.; Sahoo, B.; Choudhury, A.; Sofi, N.; Kumar, R.; Bhadoria, A. Childhood Obesity: Causes and Consequences. J. Family. Med. Prim Care 2015, 4, 187. [Google Scholar] [CrossRef] [PubMed]
- Wondmkun, Y.T. Obesity, Insulin Resistance, and Type 2 Diabetes: Associations and Therapeutic Implications. Diabetes Metab. Syndr. Obes. 2020, 13, 3611–3616. [Google Scholar] [CrossRef] [PubMed]
- Tateya, S.; Kim, F.; Tamori, Y. Recent Advances in Obesity-Induced Inflammation and Insulin Resistance. Front. Endocrinol. 2013, 4, 93. [Google Scholar] [CrossRef] [PubMed]
- Ye, J. Mechanisms of Insulin Resistance in Obesity. Front. Med. 2013, 7, 14–24. [Google Scholar] [CrossRef]
- Geng, Y.; Faber, K.N.; De Meijer, V.E.; Blokzijl, H.; Moshage, H. How Does Hepatic Lipid Accumulation Lead to Lipotoxicity in Non-Alcoholic Fatty Liver Disease? Hepatol. Int. 2021, 15, 21–35. [Google Scholar] [CrossRef] [PubMed]
- Eng-Chong, T.; Yean-Kee, L.; Chin-Fei, C.; Choon-Han, H.; Sher-Ming, W.; Li-Ping, C.T.; Gen-Teck, F.; Khalid, N.; Abd Rahman, N.; Karsani, S.A.; et al. Boesenbergia Rotunda: From Ethnomedicine to Drug Discovery. Evid. Based Complement. Alternat. Med. 2012, 2012, 473637. [Google Scholar] [CrossRef] [PubMed]
- Rosdianto, A.; Puspitasari, I.; Lesmana, R.; Sumiwi, S.; Megantara, S.; Jiranusornkul, S.; Levita, J. Inhibitory Effects of Indonesian Temu Kunci (Boesenbergia Rotunda) Rhizome Extract on Nitric Oxide Synthase Production and on the Kidneys of Wistar Rats. World. Acad. Sci. J. 2022, 4, 38. [Google Scholar] [CrossRef]
- JIRCAS. Boesenbergia Rotunda (L.) Mansf. (Zingiberaceae) | Japan International Research Center for Agricultural Sciences. Available online: https://www.jircas.go.jp/en/database/thaivege/019 (accessed on 21 July 2024).
- Ongwisespaiboon, O.; Jiraungkoorskul, W. Fingerroot, Boesenbergia Rotunda and Its Aphrodisiac Activity. Phcog. Rev. 2017, 11, 27. [Google Scholar] [CrossRef] [PubMed]
- Wongkaewkhiaw, S.; Wongrakpanich, A.; Krobthong, S.; Saengsawang, W.; Chairoungdua, A.; Boonmuen, N. Induction of Apoptosis in Human Colorectal Cancer Cells by Nanovesicles from Fingerroot (Boesenbergia Rotunda (L.) Mansf.). PLoS ONE 2022, 17, e0266044. [Google Scholar] [CrossRef] [PubMed]
- Zhang, L.; Jiang, Q.; Wang, X.; Jaisi, A.; Olatunji, O.J. Boesenbergia Rotunda Displayed Anti-Inflammatory, Antioxidant and Anti-Apoptotic Efficacy in Doxorubicin-induced Cardiotoxicity in Rats. Sci. Rep. 2023, 13, 11398. [Google Scholar] [CrossRef]
- Sritananuwat, P.; Samseethong, T.; Jitsaeng, K.; Duangjit, S.; Opanasopit, P.; Rangsimawong, W. Effectiveness and Safety of Boesenbergia Rotunda Extract on 3T3-L1 Preadipocytes and Its Use in Capsaicin-Loaded Body-Firming Formulation: In Vitro Biological Study and In Vivo Human Study. Cosmetics 2024, 11, 24. [Google Scholar] [CrossRef]
- San, H.T.; Khine, H.E.E.; Sritularak, B.; Prompetchara, E.; Chaotham, C.; Che, C.-T.; Likhitwitayawuid, K. Pinostrobin: An Adipogenic Suppressor from Fingerroot (Boesenbergia Rotunda) and Its Possible Mechanisms. Foods 2022, 11, 3024. [Google Scholar] [CrossRef]
- Gao, W.Y.; Chen, P.Y.; Chen, S.F.; Wu, M.J.; Chang, H.Y.; Yen, J.H. Pinostrobin Inhibits Proprotein Convertase Subtilisin/Kexin Type 9 (PCSK9) Gene Expression through the Modulation of FoxO3a Protein in HepG2 Cells. J. Agric. Food Chem. 2018, 66, 6083–6093. [Google Scholar] [CrossRef] [PubMed]
- Colasanti, M.; Suzuki, H. The Dual Personality of NO. Trends Pharmacol. Sci. 2000, 21, 249–252. [Google Scholar] [CrossRef] [PubMed]
- Kitade, H.; Sakitani, K.; Inoue, K.; Masu, Y.; Kawada, N.; Hiramatsu, Y.; Kamiyama, Y.; Okumura, T.; Ito, S. Interleukin 1 ? Markedly Stimulates Nitric Oxide Formation in the Absence of Other Cytokines or Lipopolysaccharide in Primary Cultured Rat Hepatocytes but Not in Kupffer Cells. Hepatology 1996, 23, 797–802. [Google Scholar] [CrossRef]
- Minhas, R.; Bansal, Y.; Bansal, G. Inducible Nitric Oxide Synthase Inhibitors: A Comprehensive Update. Med. Res. Rev. 2020, 40, 823–855. [Google Scholar] [CrossRef] [PubMed]
- Devkar, S.T.; Kandhare, A.D.; Zanwar, A.A.; Jagtap, S.D.; Katyare, S.S.; Bodhankar, S.L.; Hegde, M.V. Hepatoprotective Effect of Withanolide-Rich Fraction in Acetaminophen-Intoxicated Rat: Decisive Role of TNF-α, IL-1β, COX-II and iNOS. Pharm. Bio. 2016, 54, 2394–2403. [Google Scholar] [CrossRef] [PubMed]
- King, A.J. The Use of Animal Models in Diabetes Research. British. J. Pharmacol. 2012, 166, 877–894. [Google Scholar] [CrossRef]
- Hwang, P.; Willoughby, S.D. Intracellular Mechanistic Role of Nitric Oxide: A Comparative Analysis of The Effectiveness Of L-Arginine And L-Citrulline Supplementation on Nitric Oxide Synthesis and Subsequent Exercise Performance in Humans. Int. J. Food Sci. Nutr. 2015, 2, 1–8. [Google Scholar] [CrossRef]
- Maciel, J.; Chaves, O.; Brito Filho, S.; Teles, Y.; Fernandes, M.; Assis, T.; Fernandes, P.; De Andrade, A.; Felix, L.; Silva, T.; et al. New Alcamide and Anti-Oxidant Activity of Pilosocereus Gounellei A. Weber Ex K. Schum. Bly. Ex Rowl. (Cactaceae). Molecules 2015, 21, 11. [Google Scholar] [CrossRef] [PubMed]
- Kim, J.; Kyung, J.; Kim, D.; Choi, E.-K.; Bang, P.; Park, D.; Kim, Y.-B. Anti-Obesity Effects of Rapha Diet® Preparation in Mice Fed a High-Fat Diet. Lab. Anim. Res. 2012, 28, 265. [Google Scholar] [CrossRef][Green Version]
- Hu, X.; Li, Y.; Li, C.; Fu, Y.; Cai, F.; Chen, Q.; Li, D. Combination of Fucoxanthin and Conjugated Linoleic Acid Attenuates Body Weight Gain and Improves Lipid Metabolism in High-Fat Diet-Induced Obese Rats. Arch. Biochem. Biophys. 2012, 519, 59–65. [Google Scholar] [CrossRef]
- Kanchanapiboon, J.; Kongsa, U.; Pattamadilok, D.; Kamponchaidet, S.; Wachisunthon, D.; Poonsatha, S.; Tuntoaw, S. Boesenbergia Rotunda Extract Inhibits Candida Albicans Biofilm Formation by Pinostrobin and Pinocembrin. J. Ethnopharmacol. 2020, 261, 113193. [Google Scholar] [CrossRef] [PubMed]
- Wang, Z.; Zhao, J.; Chen, Y.; Liu, G.; Chang, Y.; Yang, J.; Wang, X.; Cui, C. Research Progress on the Pharmacological Effects and Molecular Mechanisms of Pinostrobin. Nat. Prod. Commun. 2023, 18, 1934578X231215934. [Google Scholar] [CrossRef]
- Zhou, L.; Wang, K.; Li, L.; Li, H.; Geng, M. Pinocembrin Inhibits Lipopolysaccharide-Induced Inflammatory Mediators Production in BV2 Microglial Cells through Suppression of PI3K/Akt/NF-κB Pathway. Eur. J. Pharmacol. 2015, 761, 211–216. [Google Scholar] [CrossRef]
- Mun, G.I.; Kim, I.-S.; Lee, B.-H.; Boo, Y.C. Endothelial Argininosuccinate Synthetase 1 Regulates Nitric Oxide Production and Monocyte Adhesion under Static and Laminar Shear Stress Conditions. J. Biol. Chem. 2011, 286, 2536–2542. [Google Scholar] [CrossRef] [PubMed]
- Vereecke, L.; Beyaert, R.; Van Loo, G. The Ubiquitin-Editing Enzyme A20 (TNFAIP3) Is a Central Regulator of Immunopathology. Trends Immunol. 2009, 30, 383–391. [Google Scholar] [CrossRef] [PubMed]
- Sasai, M.; Oshiumi, H.; Matsumoto, M.; Inoue, N.; Fujita, F.; Nakanishi, M.; Seya, T. Cutting Edge: NF-κB-Activating Kinase-Associated Protein 1 Participates in TLR3/Toll-IL-1 Homology Domain-Containing Adapter Molecule-1-Mediated IFN Regulatory Factor 3 Activation. J. Immunol. 2005, 174, 27–30. [Google Scholar] [CrossRef]
- El Gazzar, W.; Allam, M.; Shaltout, S.; Mohammed, L.; Sadek, A.; Nasr, H. Pioglitazone Modulates Immune Activation and Ameliorates Inflammation Induced by Injured Renal Tubular Epithelial Cells via PPARγ/miRNA-124/STAT3 Signaling. Biomed. Rep. 2022, 18, 2. [Google Scholar] [CrossRef] [PubMed]
- Hunt, M.C.; Tillander, V.; Alexson, S.E.H. Regulation of Peroxisomal Lipid Metabolism: The Role of Acyl-CoA and Coenzyme A Metabolizing Enzymes. Biochimie 2014, 98, 45–55. [Google Scholar] [CrossRef]
- Jones, J.T.; Qian, X.; Van Der Velden, J.L.J.; Chia, S.B.; McMillan, D.H.; Flemer, S.; Hoffman, S.M.; Lahue, K.G.; Schneider, R.W.; Nolin, J.D.; et al. Glutathione S-Transferase Pi Modulates NF-κB Activation and pro-Inflammatory Responses in Lung Epithelial Cells. Redox Biol. 2016, 8, 375–382. [Google Scholar] [CrossRef]
- Boughanem, H.; Yubero-Serrano, E.M.; López-Miranda, J.; Tinahones, F.J.; Macias-Gonzalez, M. Potential Role of Insulin Growth-Factor-Binding Protein 2 as Therapeutic Target for Obesity-Related Insulin Resistance. Int. J. Mol. Sci. 2021, 22, 1133. [Google Scholar] [CrossRef] [PubMed]
- Yau, S.W.; Russo, V.C.; Clarke, I.J.; Dunshea, F.R.; Werther, G.A.; Sabin, M.A. IGFBP-2 Inhibits Adipogenesis and Lipogenesis in Human Visceral, but Not Subcutaneous, Adipocytes. Int. J. Obes. 2015, 39, 770–781. [Google Scholar] [CrossRef]
- Niu, Y.; Jiang, H.; Yin, H.; Wang, F.; Hu, R.; Hu, X.; Peng, B.; Shu, Y.; Li, Z.; Chen, S.; et al. Hepatokine ERAP1 Disturbs Skeletal Muscle Insulin Sensitivity Via Inhibiting USP33-Mediated ADRB2 Deubiquitination. Diabetes 2022, 71, 921–933. [Google Scholar] [CrossRef]
- Nguyen, N.T.; Do, T.N.V.; Do, A.P.T.; Nguyen, M.T.T. Establishing pinostrobin reference standard for quantitative analysis of the rhizomes of Boesenbergia pandurata. Sci. Tech. Dev. J.-Nat. Sci. 2020, 4, 901–909. [Google Scholar] [CrossRef]
- Ozaki, H.; Nishidono, Y.; Fujii, A.; Okuyama, T.; Nakamura, K.; Maesako, T.; Shirako, S.; Nakatake, R.; Tanaka, K.; Ikeya, Y.; et al. Identification of Anti-Inflammatory Compounds from Peucedanum Praeruptorum Roots by Using Nitric Oxide-Producing Rat Hepatocytes Stimulated by Interleukin 1β. Molecules 2023, 28, 5076. [Google Scholar] [CrossRef]
- Green, L.C.; Wagner, D.A.; Glogowski, J.; Skipper, P.L.; Wishnok, J.S.; Tannenbaum, S.R. Analysis of Nitrate, Nitrite, and [15N]Nitrate in Biological Fluids. Anal. Biochem. 1982, 126, 131–138. [Google Scholar] [CrossRef] [PubMed]
- Inaba, H.; Yoshigai, E.; Okuyama, T.; Murakoshi, M.; Sugiyama, K.; Nishino, H.; Nishizawa, M. Antipyretic Analgesic Drugs Have Different Mechanisms for Regulation of the Expression of Inducible Nitric Oxide Synthase in Hepatocytes and Macrophages. Nitric Oxide 2015, 44, 61–70. [Google Scholar] [CrossRef] [PubMed]
- Fujii, A.; Okuyama, T.; Wakame, K.; Okumura, T.; Ikeya, Y.; Nishizawa, M. Identification of Anti-Inflammatory Constituents in Phellodendri Cortex and Coptidis Rhizoma by Monitoring the Suppression of Nitric Oxide Production. J. Nat. Med. 2017, 71, 745–756. [Google Scholar] [CrossRef] [PubMed]
- Folch, J.; Lees, M.; Stanley, G.H.S. A Simple Method for the Isolation and Purification of Total Lipides from Animal Tissues. J. Biol. Chem. 1957, 226, 497–509. [Google Scholar] [CrossRef] [PubMed]
- Dwijayanti, D.R.; Shimada, T.; Ishii, T.; Okuyama, T.; Ikeya, Y.; Mukai, E.; Nishizawa, M. Bitter Melon Fruit Extract Has a Hypoglycemic Effect and Reduces Hepatic Lipid Accumulation in Ob/Ob Mice. Phytother. Res. 2020, 34, 1338–1346. [Google Scholar] [CrossRef]
- Yoshigai, E.; Hara, T.; Inaba, H.; Hashimoto, I.; Tanaka, Y.; Kaibori, M.; Kimura, T.; Okumura, T.; Kwon, A.-H.; Nishizawa, M. Interleukin-1β Induces Tumor Necrosis Factor-α Secretion from Rat Hepatocytes. Hepatol. Res. 2013, 44, 571–583. [Google Scholar] [CrossRef]
- Okuyama, T.; Nakatake, R.; Kaibori, M.; Okumura, T.; Kon, M.; Nishizawa, M. A Sense Oligonucleotide to Inducible Nitric Oxide Synthase mRNA Increases the Survival Rate of Rats in Septic Shock. Nitric Oxide 2018, 72, 32–40. [Google Scholar] [CrossRef] [PubMed]
- Dwijayanti, D.R.; Okuyama, T.; Ishii, T.; Mukai, E.; Nishizawa, M. Bitter Melon Fruit Extract Affects Hepatic Expression of the Genes Involved in Inflammation and Fatty Acid Metabolism in ob/ob Mice. Funct. Foods Health Dis. 2020, 10, 18. [Google Scholar] [CrossRef]






| Gene Description | Gene Symbol | Signal Ratio of BR(+)/BR(−) |
|---|---|---|
| Nitric oxide (NO) biosynthesis | ||
| Decreased: | ||
| TIR domain-containing adaptor molecule 1 | Ticam1 | 0.446 |
| Argininosuccinate synthetase 1 | Ass1 | 0.420 |
| Histocompatibility 2, M region locus 3 | H2-M3 | 0.353 |
| NF-κB activity and signaling | ||
| Increased: | ||
| Tumor necrosis factor, alpha-induced protein 3 | Tnfaip3 | 3.184 |
| Decreased: | ||
| Signal transducer and activator of transcription 1 | Stat1 | 0.450 |
| TIR domain-containing adaptor molecule 1 | Ticam1 | 0.446 |
| Tripartite motif-containing 37 | Trim37 | 0.432 |
| Leukocyte immunoglobulin-like receptor, subfamily B, member 4A | Lilrb4a | 0.426 |
| JAK-STAT cascade | ||
| Decreased: | ||
| Signal transducer and activator of transcription 1 | Stat1 | 0.450 |
| Signal transducer and activator of transcription 2 | Stat2 | 0.376 |
| Gene Description | Gene Symbol | Signal Ratio of BR(+)/BR(−) |
|---|---|---|
| Fatty acid metabolic process | ||
| Increased: | ||
| Acyl-coenzyme A (CoA) amino acid N-acyltransferase 2 | Acnat2 | 2.991 |
| Acyl-coenzyme A (CoA) amino acid N-acyltransferase 1 | Acnat1 | 2.731 |
| Decreased: | ||
| Acetoacetyl-CoA synthetase | Aacs | 0.384 |
| AlkB homolog 7 | Alkbh7 | 0.315 |
| Cytochrome P450, family 4, subfamily a, polypeptide 12B | Cyp4a12b | 0.236 |
| Triglyceride homeostasis | ||
| Increased: | ||
| Apolipoprotein A-I | Apoa1 | 3.211 |
| Adenosine A1 receptor | Adora1 | 2.912 |
| Gene Description | Gene Symbol | Signal Ratio of BR(+) versus (−) |
|---|---|---|
| Insulin signaling pathway | ||
| Increased: | ||
| Insulin-like growth factor binding protein 2 | Igfbp2 | 3.469 |
| Adenosine A1 receptor | adora1 | 2.912 |
| Adrenergic receptor, beta 2 | Adrb2 | 2.555 |
| Decreased: | ||
| Glycoprotein hormones, alpha subunit | Cga | 0.421 |
Disclaimer/Publisher’s Note: The statements, opinions and data contained in all publications are solely those of the individual author(s) and contributor(s) and not of MDPI and/or the editor(s). MDPI and/or the editor(s) disclaim responsibility for any injury to people or property resulting from any ideas, methods, instructions or products referred to in the content. |
© 2025 by the authors. Licensee MDPI, Basel, Switzerland. This article is an open access article distributed under the terms and conditions of the Creative Commons Attribution (CC BY) license (https://creativecommons.org/licenses/by/4.0/).
Share and Cite
Widyananda, M.H.; Dwijayanti, D.R.; Fujii, A.; Minamisaka, K.; Nishidono, Y.; Nishizawa, M.; Widodo, N. Anti-Obesity Properties of Boesenbergia rotunda Rhizome Extract: Regulation of Inflammation, Lipid Metabolism, and Insulin Signaling in ob/ob Mice. Molecules 2025, 30, 501. https://doi.org/10.3390/molecules30030501
Widyananda MH, Dwijayanti DR, Fujii A, Minamisaka K, Nishidono Y, Nishizawa M, Widodo N. Anti-Obesity Properties of Boesenbergia rotunda Rhizome Extract: Regulation of Inflammation, Lipid Metabolism, and Insulin Signaling in ob/ob Mice. Molecules. 2025; 30(3):501. https://doi.org/10.3390/molecules30030501
Chicago/Turabian StyleWidyananda, Muhammad Hermawan, Dinia Rizqi Dwijayanti, Airi Fujii, Keita Minamisaka, Yuto Nishidono, Mikio Nishizawa, and Nashi Widodo. 2025. "Anti-Obesity Properties of Boesenbergia rotunda Rhizome Extract: Regulation of Inflammation, Lipid Metabolism, and Insulin Signaling in ob/ob Mice" Molecules 30, no. 3: 501. https://doi.org/10.3390/molecules30030501
APA StyleWidyananda, M. H., Dwijayanti, D. R., Fujii, A., Minamisaka, K., Nishidono, Y., Nishizawa, M., & Widodo, N. (2025). Anti-Obesity Properties of Boesenbergia rotunda Rhizome Extract: Regulation of Inflammation, Lipid Metabolism, and Insulin Signaling in ob/ob Mice. Molecules, 30(3), 501. https://doi.org/10.3390/molecules30030501

