Native Cyclodextrin-Based Metal–Organic Frameworks (MOFs): Synthesis, Characterization, and Potential Applications in Food Industry
Abstract
1. Introduction
2. Toxicological Profile of Cyclodextrins
3. Synthesis of Cyclodextrin MOFs
3.1. Synthesis of α-CD MOF
3.2. Synthesis of β-CD MOF
3.3. Synthesis of γ-CD-MOF
| Metal Ion (Salt Used) | Ligand | Synthesis Technique | Conditions | Reference | ||
|---|---|---|---|---|---|---|
| Mixing/ Ultrasonication Time | Temperature for Vapor Diffusion (°C) | Vapor Diffusion Time | ||||
| K+ (C7H5KO2) | α-CD | Vapor diffusion | 6–8 h | R.T | 3–7 days | [39] |
| K+ (KOH) | α-CD | Ultrasonication | 30 min | After ultrasonication, solution was mixed with MeOH, heated at 60 °C, cooled to R.T, and PEG and MeOH were added to obtain crystals | [40] | |
| K+ (KOH) | β-CD | Vapor diffusion | - | R.T | 1 week | [41] |
| K+ (KOH) | β-CD | Vapor diffusion | - | 50 | 12 h | [42] |
| K+ (KOH) | β-CD | Vapor diffusion | 3 h | 25 | - | [43] |
| K+ (KOH) | β-CD | Vapor diffusion | 3.5 h | R.T | 3–5 weeks | [44] |
| K+ (KOH) | γ-CD | Ultrasonication | 30 min | - | - | [40] |
| Rb+ (RbOH) | γ-CD | Vapor diffusion | - | R.T | 1 week | [37] |
| K+ (KOH) | γ-CD | Vapor diffusion | 6–12 h at 500 rpm | 23 | 1 week | [45] |
| K+ (KOH) | γ-CD | Vapor diffusion | - | 60 | 2 h | [46] |
| K+ (KOH) | γ-CD | Vapor diffusion | - | 50 | 5 h | [47] |
| K+ (KOH) | γ-CD | Ultrasound assisted vapor diffusion | 5 min | 50 | 6 h | [48] |
| K+ (KOH) | γ-CD | Ultrasound assisted vapor diffusion | Different time (0, 5, 10, or 15 min) | 50 | 6 h | [49] |
| K+ (KOH) | γ-CD | Seed-mediated methanol vapor diffusion | - | 50 | 1 h | [50] |
| K+ (KOH) | γ-CD | Ultrasonication | 30 min | After ultrasonication, solution was heated at 60 °C for 1 h and the PEG 20,000 was added to obtain crystals | [51] | |
| K+ (KOH) | γ-CD | Vapor diffusion | 6 h 500 rpm | R.T | 3–7 days | [52] |
| K+ (C7H5KO2) | γ-CD | Vapor diffusion | 6 h 500 rpm | R.T | 3–7 days | [52] |
| K+ (KOH) | γ-CD | Ultrasonication | 30 min | After ultrasonication, solution was mixed with MeOH, heated at 60 °C, cooled to R.T, and PEG and MeOH were added to obtain crystals | [40] | |
| K+ (KOH) | γ-CD | Vapor diffusion | - | 50 | 24 h | [53] |
| K+ (KOH) | γ-CD | Ultrasonication | 30 min | After ultrasonication, solution was mixed with MeOH, heated and cooled to R.T, and PEG and MeOH was added to obtain crystals | [54] | |
| K+ (KOH) | γ-CD | Seed mediated methanol vapor diffusion | - | 50 | 6 | [55] |
| K+ (KOH) | γ-CD | Seed-mediated ultrasonication | Different time (0, 3, 5, 10, and 15 min) | After ultrasonication, solution was mixed with MeOH to obtain crystals | [56] | |
4. Structural Aspects of CD-MOFs
4.1. Effect of Metal Ion on Structural Changes
4.2. Effect of Different Metal Salts (Same Cation but Different Anion)
5. Mechanism and Kinetics of Encapsulation/Loading and Release (Migration of Active Substance)
5.1. Effect of Different Metal Ions on Release Rate of Active Principles
5.2. Effect of CD-MOFs on the Stability of Possible Active Principles
6. CD MOFs Applications in Food Industry
- The diffusion and volatility (in the case of volatile substances) of the included guest can decrease strongly.
- The complexed substances, even gaseous substances, can be entrapped in a carbohydrate matrix forming a microcrystalline or amorphous powder.
- The complexed substances can be effectively protected against heat decomposition, oxidation, and any other type of reaction, except against those with the hydroxyl groups of cyclodextrin, or reactions catalyzed by them.
| MOF | Active Compound | Application | Important Observations | Reference |
|---|---|---|---|---|
| α-CD MOF | Ethylene gas | Accelerated fruit ripening | MOF-ethylene complexes had controlled ethylene-release for accelerated fruit ripening. | [33] |
| α-CD MOF | Catechin | Potential application in food packaging | CD-MOFs protected catechin against light, oxygen, and temperature, thus improving its storage stability. Catechin encapsulated within CD-MOFs exhibited superior bioavailability. | [40] |
| β-CD MOF | - | Herbicide adsorption and potassium replenishment | The maximum adsorption capacities of four herbicides were in the range of 261.21–343.42 mg/g−1. The herbicide removal percentage was in the order: MET > PRE > ALA > ACE. | [65] |
| β-CD MOF | Hexanal | Preservation of mangoes | Treated fruit remains fresh until 2 weeks after storage. They possessed higher firmness and had lower weight loss. | [64] |
| β-CD MOF | Catechin | Zein-based packaging film | Zein films with catechin-loaded β-CD MOFs possessed better physical properties, antibacterial characteristics, and a more steady release profile for catechin compared to normal Zein film containing catechin. | [66] |
| β-CD MOF | Clove essential oil (CEO) | Preservation of Chinese bacon | Decrease in the lipid oxidation of bacon due to the increasing inhibitory effect of CEO after encapsulation in β-CD-MOF. Apart from that, the free radical scavenging activities and thermal and pH stabilities were also better in the case of CEO/β-CD-MOFs than just CEO. | [67] |
| β-CD MOF | Lavender essential oil (LEO) | Potential application in food packaging | LEO/K-βCD-MOFs were proved to be more thermally and acid-base stable than LEO, and its intracellular antioxidant effect was also significantly improved by encapsulation. | [34] |
| β-CD MOF | Thymol (THY) | Preservation of cherry tomatoes | The decay index of whole cherry tomatoes treated with γ-CD-MOF-THY decreased from 67.5% (control group) to less than 20% during storage at room temperature for 15 days. | [43] |
| β-CD MOF | Polyphenols | Potential application in food packaging | The stabilities and solubility’s of ALP were significantly improved compared to when encapsulated in β-CD-MOFs compared to β-CD, suggesting the potential of β-CD-MOFs as better carriers than β-CD for polyphenols in food industry applications. | [41] |
| β-CD MOF | Origanum Compactum essential oil (OCEO) | Potential application in food packaging | Compared to βCD, K-βCD-MOFs displayed higher encapsulation efficiency. Antioxidant capacity of OCEO was significantly enhanced in the presence of K-βCD-MOFs. | [68] |
| β-CD MOF | - | Extraction of Organochlorine pesticides from honey samples | CD-MOF/TiO2 has good selective enrichment ability for OCP and is suitable for the D-SPE pre-treat of honey sample analysis. | [69] |
| γ-CD MOF | Anthocyanins | Grape preservation | Grapes coated with sodium alginate + CD-MOFs containing anthocyanin showed gradual decrease in weight loss after 10 days. The firmness and epidermal puncture value of the grapes was also high with this coating. Brix value was found to be less compared to others. | [53] |
| γ-CD MOF | Ethylene gas | Accelerated ripening as well as preservation of bananas | Polycaprolactone nanofibers containing γ-CD-MOF and TiO2 were used. The γ-CD-MOF were encapsulated with ethylene and helped in the accelerated ripening of bananas while TiO2 under the action of UV helped to degrade ethylene, prolonging the shelf life of the bananas. | [70] |
| γ-CD MOF | Carvacol | Chitosan–Cellulose(CS-CEL) active packaging film | CS-CEL films containing Carvacol-γ-CD MOF showed the lowest weight loss in strawberries compared to other conditions. Also, Carvacol-γ-CD-MOFs/CS-CEL composite film showed the lowest firmness loss, highest TSS value, and lowest pH change. | [61] |
| γ-CD MOF | Cinnamaldehyde | Preservation of fresh cut cantaloupes | CD/MOF containing cinnamaldehyde (CA) and carbon dots improved the shelf life of the fresh cut cantaloupes and maintained the quality of the fruit. It was observed that CD/MOF-0.5 (amount of carbon dots)/CA exhibited a strong and long-lasting antibacterial activity when tested against E. coli in vitro and on fresh-cut cantaloupes. | [48] |
| γ-CD MOF | Curcumin | Preservation of Centennial Seedless grapes (CSg) through Pullulan and trehalose (Pul/Tre) composite film containing curcumin-γ-CD-MOF | The naturally placed CSg began to rot on the 4th day, while the CSg coated with Pul/Tre film rot on the 8th day with a shrunken surface and severe dehydration. However, the appearance of CSg coated with Cur-CD-MOFs-Pul/Tre film was still largely unaltered on day 10. | [47] |
| γ-CD MOF | - | Ethylene absorber for improving postharvest quality of kiwi fruit | The fruit in the γ-CDMOF-K group did not decay over the whole storage period, maintained a good appearance, and remained edible. | [49] |
| γ-CD MOF | Octadecenylsuccinic anhydride (ODSA) | Pickering emulsions coating and package paper for fruit preservation | The uncoated bananas experienced a 27.5% weight loss after 9 days, whereas the sample coated with a 10% ODSA emulsion had just 15.6% weight loss. Similarly, the weight loss also reduced in ODSA emulsions containing ODSA modified γ-CD-MOFs. | [71] |
| γ-CD MOF | β-carotene | Development of high internal phase emulsion (HIPE) | CD-MOF offers a safeguarding matrix for β-carotene, reducing the degradation and enabling a modulated release profile. | [72] |
| γ-CD MOF | Vitamin A palmitate | Encapsulation of vitamin A palmitate (VAP) for delivery as a food supplement | The half-life (t1/2) vitamin A in γ-CD-MOFs/VAP was recorded to be 20.5 days which is a 1.6 time increase compared to BASF vitamin A powder (t1/2 = 13.0 days) and a 2.6 time increase compared to physical mixture (t1/2 = 7.9 days), respectively. | [73] |
7. Characterization of CD-MOFs
7.1. Thermal Analysis
- a.
- Thermogravimetric Analysis (TGA)
- b.
- Differential Scanning Calorimetry (DSC)
7.2. Microscopy
7.3. X-Ray Diffraction
7.4. Spectroscopy
- a.
- Fourier Transform Infrared (FT-IR)
- b.
- Raman Spectroscopy
- c.
- Nuclear Magnetic Resonance (NMR)
7.5. UV–Visible
7.6. Antioxidant Activity
7.7. Antibacterial Studies
7.8. Measurement of Other Properties Indicative of Food Preservation
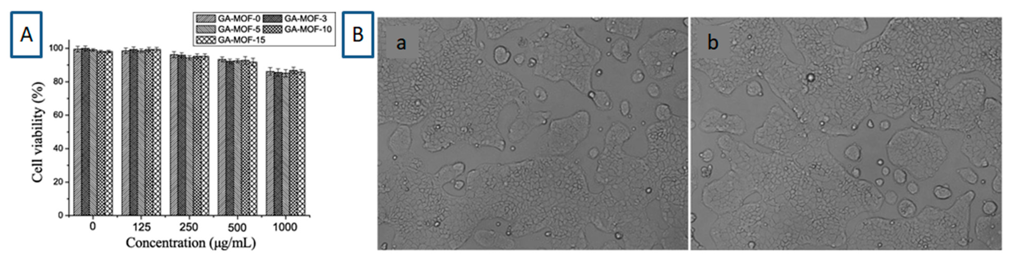
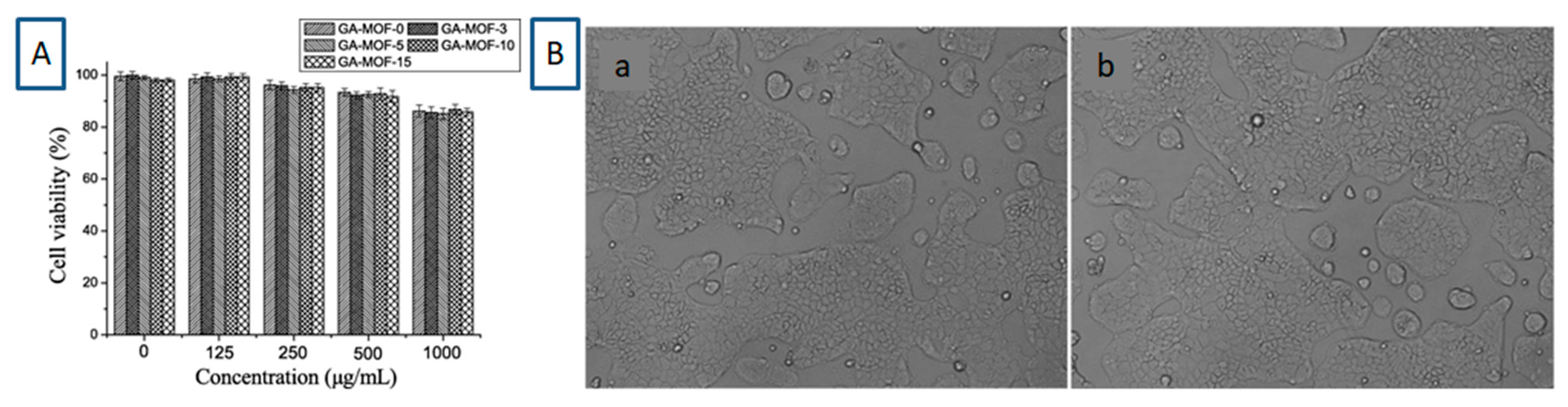
7.9. Biocompatibilty and Cytotoxicity
8. Conclusions and Future Trends
Funding
Acknowledgments
Conflicts of Interest
References
- Liang, S.; Wu, X.-L.; Xiong, J.; Zong, M.-H.; Lou, W.-Y. Metal-organic frameworks as novel matrices for efficient enzyme immobilization: An update review. Coord. Chem. Rev. 2020, 406, 213149. [Google Scholar] [CrossRef]
- Xu, Y.; Rashwan, A.K.; Osman, A.I.; Abd El-Monaem, E.M.; Elgarahy, A.M.; Eltaweil, A.S.; Omar, M.; Li, Y.; Mehanni, A.-H.E.; Chen, W.; et al. Synthesis and potential applications of cyclodextrin-based metal–organic frameworks: A review. Environ. Chem. Lett. 2023, 21, 447–477. [Google Scholar] [CrossRef] [PubMed]
- Magri, A.; Petriccione, M.; Gutiérrez, T.J. Metal-organic frameworks for food applications: A review. Food Chem. 2021, 354, 129533. [Google Scholar] [CrossRef] [PubMed]
- Jiang, W.; Liu, H.; Liao, Q.; Tang, T.; Liu, J.; Liu, Z.; Xie, L.; Yan, J. Preparation of two metal organic frameworks (K-β-CD-MOFs and Cs-β-CD-MOFs) and the adsorption research of myricetin. Polyhedron 2021, 196, 114983. [Google Scholar] [CrossRef]
- Furukawa, H.; Cordova, K.E.; O’Keeffe, M.; Yaghi, O.M. The Chemistry and Applications of Metal-Organic Frameworks. Science 2013, 341, 1230444. [Google Scholar] [CrossRef]
- Wu, D.; Gassensmith, J.J.; Gouvêa, D.; Ushakov, S.; Stoddart, J.F.; Navrotsky, A. Direct Calorimetric Measurement of Enthalpy of Adsorption of Carbon Dioxide on CD-MOF-2, a Green Metal–Organic Framework. J. Am. Chem. Soc. 2013, 135, 6790–6793. [Google Scholar] [CrossRef]
- Shen, M.; Liu, D.; Ding, T. Cyclodextrin-metal-organic frameworks (CD-MOFs): Main aspects and perspectives in food applications. Curr. Opin. Food Sci. 2021, 41, 8–15. [Google Scholar] [CrossRef]
- Poulson, B.G.; Alsulami, Q.A.; Sharfalddin, A.; El Agammy, E.F.; Mouffouk, F.; Emwas, A.-H.; Jaremko, L.; Jaremko, M. Cyclodextrins: Structural, Chemical, and Physical Properties, and Applications. Polysaccharides 2021, 3, 1–31. [Google Scholar] [CrossRef]
- Sandilya, A.A.; Natarajan, U.; Priya, M.H. Molecular View into the Cyclodextrin Cavity: Structure and Hydration. ACS Omega 2020, 5, 25655–25667. [Google Scholar] [CrossRef]
- Szejtli, J. Introduction and General Overview of Cyclodextrin Chemistry. Chem. Rev. 1998, 98, 1743–1754. [Google Scholar] [CrossRef]
- Connors, K.A. The Stability of Cyclodextrin Complexes in Solution. Chem. Rev. 1997, 97, 1325–1358. [Google Scholar] [CrossRef] [PubMed]
- Dodziuk, H. Molecules with Holes—Cyclodextrins. In Cyclodextrins and Their Complexes; Wiley-VCH Verlag GmbH & Co.: Weinheim, Germany, 2006; pp. 1–30. [Google Scholar] [CrossRef]
- Saenger, W.; Jacob, J.; Gessler, K.; Steiner, T.; Hoffmann, D.; Sanbe, H.; Koizumi, K.; Smith, S.M.; Takaha, T. Structures of the Common Cyclodextrins and Their Larger AnaloguesBeyond the Doughnut. Chem. Rev. 1998, 98, 1787–1802. [Google Scholar] [CrossRef] [PubMed]
- Jansook, P.; Ogawa, N.; Loftsson, T. Cyclodextrins: Structure, physicochemical properties and pharmaceutical applications. Int. J. Pharm. 2018, 535, 272–284. [Google Scholar] [CrossRef] [PubMed]
- Velazquez-Contreras, F.; Zamora-Ledezma, C.; Lopez-Gonzalez, I.; Meseguer-Olmo, L.; Nunez-Delicado, E.; Gabaldon, J.A. Cyclodextrins in Polymer-Based Active Food Packaging: A Fresh Look at Nontoxic, Biodegradable, and Sustainable Technology Trends. Polymers 2021, 14, 104. [Google Scholar] [CrossRef]
- Pereva, S.; Nikolova, V.; Angelova, S.; Spassov, T.; Dudev, T. Water inside beta-cyclodextrin cavity: Amount, stability and mechanism of binding. Beilstein J. Org. Chem. 2019, 15, 1592–1600. [Google Scholar] [CrossRef]
- Liu, L.; Guo, Q.-X. The Driving Forces in the Inclusion Complexation of Cyclodextrins. J. Incl. Phenom. Macrocycl. Chem. 2002, 42, 1–14. [Google Scholar] [CrossRef]
- Loftsson, T.; Brewster, M.E. Pharmaceutical applications of cyclodextrins. 1. Drug solubilization and stabilization. J. Pharm. Sci. 1996, 85, 1017–1025. [Google Scholar] [CrossRef]
- He, Y.; Fu, P.; Shen, X.; Gao, H. Cyclodextrin-based aggregates and characterization by microscopy. Micron 2008, 39, 495–516. [Google Scholar] [CrossRef]
- Muankaew, C.; Loftsson, T. Cyclodextrin-Based Formulations: A Non-Invasive Platform for Targeted Drug Delivery. Basic Clin. Pharmacol. Toxicol. 2018, 122, 46–55. [Google Scholar] [CrossRef]
- Gadade, D.D.; Pekamwar, S.S. Cyclodextrin Based Nanoparticles for Drug Delivery and Theranostics. Adv. Pharm. Bull. 2020, 10, 166–183. [Google Scholar] [CrossRef]
- Gidwani, B.; Vyas, A. A Comprehensive Review on Cyclodextrin-Based Carriers for Delivery of Chemotherapeutic Cytotoxic Anticancer Drugs. BioMed Res. Int. 2015, 2015, 1–15. [Google Scholar] [CrossRef] [PubMed]
- Munro, I.C.; Newberne, P.M.; Young, V.R.; Bar, A. Safety assessment of gamma-cyclodextrin. Regul. Toxicol. Pharmacol. RTP 2004, 39 (Suppl. S1), S3–S13. [Google Scholar] [CrossRef] [PubMed]
- Saokham, P.; Loftsson, T. gamma-Cyclodextrin. Int. J. Pharm. 2017, 516, 278–292. [Google Scholar] [CrossRef] [PubMed]
- Cid-Samamed, A.; Rakmai, J.; Mejuto, J.C.; Simal-Gandara, J.; Astray, G. Cyclodextrins inclusion complex: Preparation methods, analytical techniques and food industry applications. Food Chem. 2022, 384, 132467. [Google Scholar] [CrossRef]
- Carneiro, S.B.; Costa Duarte, F.I.; Heimfarth, L.; Siqueira Quintans, J.S.; Quintans-Junior, L.J.; Veiga Junior, V.F.D.; Neves de Lima, A.A. Cyclodextrin(-)Drug Inclusion Complexes: In Vivo and In Vitro Approaches. Int. J. Mol. Sci. 2019, 20, 642. [Google Scholar] [CrossRef]
- Matencio, A.; Navarro-Orcajada, S.; García-Carmona, F.; López-Nicolás, J.M. Applications of cyclodextrins in food science. A review. Trends Food Sci. Technol. 2020, 104, 132–143. [Google Scholar] [CrossRef]
- Van Ommen, B.; De Bie, A.T.; Bar, A. Disposition of 14C-alpha-cyclodextrin in germ-free and conventional rats. Regul. Toxicol. Pharmacol. RTP 2004, 39 (Suppl. S1), 57–66. [Google Scholar] [CrossRef]
- Stella, V.J.; He, Q. Cyclodextrins. Toxicol. Pathol. 2008, 36, 30–42. [Google Scholar] [CrossRef]
- Mortensen, A.; Aguilar, F.; Crebelli, R.; Di Domenico, A.; Dusemund, B.; Frutos, M.J.; Galtier, P.; Gott, D.; Gundert-Remy, U.; Leblanc, J.C.; et al. Re-evaluation of β-cyclodextrin (E 459) as a food additive. EFSA J. 2016, 14, e04628. [Google Scholar] [CrossRef]
- Giancarlo, C.; Arianna, B.; Enzo, B.; Paolo, C.; Francesco, T. Cyclodextrins as Food Additives and in Food Processing. Curr. Nutr. Food Sci. 2006, 2, 343–350. [Google Scholar] [CrossRef]
- Han, Y.; Liu, W.; Huang, J.; Qiu, S.; Zhong, H.; Liu, D.; Liu, J. Cyclodextrin-Based Metal-Organic Frameworks (CD-MOFs) in Pharmaceutics and Biomedicine. Pharmaceutics 2018, 10, 271. [Google Scholar] [CrossRef] [PubMed]
- Li, H.; Shi, L.; Li, C.; Fu, X.; Huang, Q.; Zhang, B. Metal-Organic Framework Based on alpha-Cyclodextrin Gives High Ethylene Gas Adsorption Capacity and Storage Stability. ACS Appl. Mater. Interfaces 2020, 12, 34095–34104. [Google Scholar] [CrossRef] [PubMed]
- Wang, Y.; Wang, L.; Tan, J.; Li, R.; Jiang, Z.-T.; Tang, S.-H. Enhancement of the Stabilities and Intracellular Antioxidant Activities of Lavender Essential Oil by Metal-Organic Frameworks Based on β-Cyclodextrin and Potassium Cation. Pol. J. Food Nutr. Sci. 2021, 71, 39–50. [Google Scholar] [CrossRef]
- Liu, B.; He, Y.; Han, L.; Singh, V.; Xu, X.; Guo, T.; Meng, F.; Xu, X.; York, P.; Liu, Z.; et al. Microwave-Assisted Rapid Synthesis of γ-Cyclodextrin Metal–Organic Frameworks for Size Control and Efficient Drug Loading. Cryst. Growth Des. 2017, 17, 1654–1660. [Google Scholar] [CrossRef]
- Wang, Q.; Li, C.; Guo, M.; Sun, L.; Hu, C. Hydrothermal synthesis of hexagonal magnesium hydroxide nanoflakes. Mater. Res. Bull. 2014, 51, 35–39. [Google Scholar] [CrossRef]
- Smaldone, R.A.; Forgan, R.S.; Furukawa, H.; Gassensmith, J.J.; Slawin, A.M.Z.; Yaghi, O.M.; Stoddart, J.F. Metal–Organic Frameworks from Edible Natural Products. Angew. Chem. Int. Ed. 2010, 49, 8630–8634. [Google Scholar] [CrossRef]
- Shen, M.; Zhou, J.; Elhadidy, M.; Xianyu, Y.; Feng, J.; Liu, D.; Ding, T. Cyclodextrin metal-organic framework by ultrasound-assisted rapid synthesis for caffeic acid loading and antibacterial application. Ultrason. Sonochemistry 2022, 86, 106003. [Google Scholar] [CrossRef]
- Kathuria, A.; Al-Ghamdi, S.; Abiad, M.G.; Auras, R. Multifunctional Ordered Bio-Based Mesoporous Framework from Edible Compounds. J. Biobased Mater. Bioenergy 2018, 12, 449–454. [Google Scholar] [CrossRef]
- Jiang, L.; Wang, F.; Du, M.; Xie, C.; Xie, X.; Zhang, H.; Meng, X.; Li, A.; Deng, T. Encapsulation of catechin into nano-cyclodextrin-metal-organic frameworks: Preparation, characterization, and evaluation of storage stability and bioavailability. Food Chem. 2022, 394, 133553. [Google Scholar] [CrossRef]
- Wang, Y.; Li, M.F.; Wang, L.; Tan, J.; Li, R.; Jiang, Z.T.; Tang, S.H.; Li, T.T. Improvement of the stabilities and antioxidant activities of polyphenols from the leaves of Chinese star anise (Illicium verum Hook. f.) using beta-cyclodextrin-based metal-organic frameworks. J. Sci. Food Agric. 2021, 101, 287–296. [Google Scholar] [CrossRef]
- Wang, S.; Shao, G.; Zhao, H.; Yang, L.; Zhu, L.; Liu, H.; Cui, B.; Zhu, D.; Li, J.; He, Y. Covering soy polysaccharides gel on the surface of β-cyclodextrin-based metal–organic frameworks. J. Mater. Sci. 2020, 56, 3049–3061. [Google Scholar] [CrossRef]
- Li, Z.; Sun, Y.; Pan, X.; Gao, T.; He, T.; Chen, C.; Zhang, B.; Fu, X.; Huang, Q. Controlled Release of Thymol by Cyclodextrin Metal-Organic Frameworks for Preservation of Cherry Tomatoes. Foods 2022, 11, 3818. [Google Scholar] [CrossRef] [PubMed]
- Hu, Z.; Li, S.; Wang, S.; Zhang, B.; Huang, Q. Encapsulation of menthol into cyclodextrin metal-organic frameworks: Preparation, structure characterization and evaluation of complexing capacity. Food Chem. 2021, 338, 127839. [Google Scholar] [CrossRef]
- Moussa, Z.; Hmadeh, M.; Abiad, M.G.; Dib, O.H.; Patra, D. Encapsulation of curcumin in cyclodextrin-metal organic frameworks: Dissociation of loaded CD-MOFs enhances stability of curcumin. Food Chem. 2016, 212, 485–494. [Google Scholar] [CrossRef] [PubMed]
- Wang, Z.; Zhou, D.; Liu, D.; Zhu, B. Ethanol-mediated synthesis of gamma-cyclodextrin-based metal-organic framework as edible microcarrier: Performance and mechanism. Food Chem. 2023, 418, 136000. [Google Scholar] [CrossRef] [PubMed]
- Kang, L.; Liang, Q.; Abdul, Q.; Rashid, A.; Ren, X.; Ma, H. Preparation technology and preservation mechanism of gamma-CD-MOFs biaological packaging film loaded with curcumin. Food Chem. 2023, 420, 136142. [Google Scholar] [CrossRef]
- Che, J.; Chen, K.; Song, J.; Tu, Y.; Reymick, O.O.; Chen, X.; Tao, N. Fabrication of gamma-cyclodextrin-Based metal-organic frameworks as a carrier of cinnamaldehyde and its application in fresh-cut cantaloupes. Curr. Res. Food Sci. 2022, 5, 2114–2124. [Google Scholar] [CrossRef]
- Li, S.; Hu, X.; Chen, S.; Wang, X.; Shang, H.; Zhou, Y.; Dai, J.; Xiao, L.; Qin, W.; Liu, Y. Synthesis of γ-cyclodextrin metal-organic framework as ethylene absorber for improving postharvest quality of kiwi fruit. Food Hydrocoll. 2023, 136, 108294. [Google Scholar] [CrossRef]
- Qiu, C.; Wang, J.; Qin, Y.; Xu, X.; Jin, Z. Characterization and Mechanisms of Novel Emulsions and Nanoemulsion Gels Stabilized by Edible Cyclodextrin-Based Metal-Organic Frameworks and Glycyrrhizic Acid. J. Agric. Food Chem. 2019, 67, 391–398. [Google Scholar] [CrossRef]
- Chen, Y.; Su, J.; Dong, W.; Xu, D.; Cheng, L.; Mao, L.; Gao, Y.; Yuan, F. Cyclodextrin-based metal–organic framework nanoparticles as superior carriers for curcumin: Study of encapsulation mechanism, solubility, release kinetics, and antioxidative stability. Food Chem. 2022, 383, 132605. [Google Scholar] [CrossRef]
- Al-Ghamdi, S.; Kathuria, A.; Abiad, M.; Auras, R. Synthesis of nanoporous carbohydrate metal-organic framework and encapsulation of acetaldehyde. J. Cryst. Growth 2016, 451, 72–78. [Google Scholar] [CrossRef]
- Su, Q.; Su, W.; Xing, S.; Tan, M. Enhanced stability of anthocyanins by cyclodextrin–metal organic frameworks: Encapsulation mechanism and application as protecting agent for grape preservation. Carbohydr. Polym. 2024, 326, 121645. [Google Scholar] [CrossRef] [PubMed]
- Chen, Y.; Tai, K.; Ma, P.; Su, J.; Dong, W.; Gao, Y.; Mao, L.; Liu, J.; Yuan, F. Novel γ-cyclodextrin-metal–organic frameworks for encapsulation of curcumin with improved loading capacity, physicochemical stability and controlled release properties. Food Chem. 2021, 347, 128978. [Google Scholar] [CrossRef] [PubMed]
- Qiu, C.; Wang, J.; Qin, Y.; Fan, H.; Xu, X.; Jin, Z. Green Synthesis of Cyclodextrin-Based Metal–Organic Frameworks through the Seed-Mediated Method for the Encapsulation of Hydrophobic Molecules. J. Agric. Food Chem. 2018, 66, 4244–4250. [Google Scholar] [CrossRef]
- Qiu, C.; McClements, D.J.; Jin, Z.; Wang, C.; Qin, Y.; Xu, X.; Wang, J. Development of nanoscale bioactive delivery systems using sonication: Glycyrrhizic acid-loaded cyclodextrin metal-organic frameworks. J. Colloid Interface Sci. 2019, 553, 549–556. [Google Scholar] [CrossRef]
- Gassensmith, J.J.; Smaldone, R.A.; Forgan, R.S.; Wilmer, C.E.; Cordes, D.B.; Botros, Y.Y.; Slawin, A.M.; Snurr, R.Q.; Stoddart, J.F. Polyporous metal-coordination frameworks. Org. Lett. 2012, 14, 1460–1463. [Google Scholar] [CrossRef]
- Charpin, P.; Nicolis, I.; Villain, F.; de Rango, C.; Coleman, A.W. [beta]-Cyclodextrin-potassium hydroxide-water (1/1/8). Acta Crystallogr. Sect. C 1991, 47, 1829–1833. [Google Scholar] [CrossRef]
- Lu, H.; Yang, X.; Li, S.; Zhang, Y.; Sha, J.; Li, C.; Sun, J. Study on a new cyclodextrin based metal–organic framework with chiral helices. Inorg. Chem. Commun. 2015, 61, 48–52. [Google Scholar] [CrossRef]
- Pan, X.; Junejo, S.A.; Tan, C.P.; Zhang, B.; Fu, X.; Huang, Q. Effect of potassium salts on the structure of gamma-cyclodextrin MOF and the encapsulation properties with thymol. J. Sci. Food Agric. 2022, 102, 6387–6396. [Google Scholar] [CrossRef]
- Min, T.; Lei, Y.; Cheng, C.; Luo, Y.; Zhang, Y.; Yue, J. Highly efficient anchoring of γ-cyclodextrin-MOFs on chitosan/cellulose film by in situ growth to enhance encapsulation and controlled release of carvacrol. Food Hydrocoll. 2024, 150, 109633. [Google Scholar] [CrossRef]
- Szente, L.; Fenyvesi, E. Cyclodextrin-Enabled Polymer Composites for Packaging (dagger). Molecules 2018, 23, 1556. [Google Scholar] [CrossRef] [PubMed]
- Bai, H.; Yang, L.; Li, Z.; Xiao, D.; Dong, A. Contactless and Biosafe Freshness Protection Package Consists of Geraniol@β-cyclodextrin MOF Complex for Emperor Banana Storage. ACS Food Sci. Technol. 2024, 4, 2762–2773. [Google Scholar] [CrossRef]
- Nagarajan, V.; Kizhaeral S, S.; Subramanian, M.; Rajendran, S.; Ranjan, J. Encapsulation of a Volatile Biomolecule (Hexanal) in Cyclodextrin Metal–Organic Frameworks for Slow Release and Its Effect on Preservation of Mangoes. ACS Food Sci. Technol. 2021, 1, 1936–1944. [Google Scholar] [CrossRef]
- Liu, C.; Wang, P.; Liu, X.; Yi, X.; Zhou, Z.; Liu, D. Multifunctional β-Cyclodextrin MOF-Derived Porous Carbon as Efficient Herbicides Adsorbent and Potassium Fertilizer. ACS Sustain. Chem. Eng. 2019, 7, 14479–14489. [Google Scholar] [CrossRef]
- Jiang, L.; Liu, F.; Wang, F.; Zhang, H.; Kang, M. Development and characterization of zein-based active packaging films containing catechin loaded β-cyclodextrin metal-organic frameworks. Food Packag. Shelf Life 2022, 31, 100810. [Google Scholar] [CrossRef]
- Wang, Y.; Du, Y.T.; Xue, W.Y.; Wang, L.; Li, R.; Jiang, Z.T.; Tang, S.H.; Tan, J. Enhanced preservation effects of clove (Syzygium aromaticum) essential oil on the processing of Chinese bacon (preserved meat products) by beta cyclodextrin metal organic frameworks (beta-CD-MOFs). Meat Sci. 2023, 195, 108998. [Google Scholar] [CrossRef]
- Ez-zoubi, A.; Annemer, S.; El Amrani, S.; Ez zoubi, Y.; Farah, A.; Proestos, C. Encapsulation of Origanum compactum Essential Oil in Beta-Cyclodextrin Metal Organic Frameworks: Characterization, Optimization, and Antioxidant Activity. J. Food Process. Preserv. 2023, 2023, 5973846. [Google Scholar] [CrossRef]
- Sun, X.; Fu, Z.; Jiang, T.; Ning, F.; Cheng, Y.; Fu, T.; Zhu, M.; Zhang, H.; Zhang, M.; Hu, P. Application of beta-Cyclodextrin metal-organic framework/titanium dioxide hybrid nanocomposite as dispersive solid-phase extraction adsorbent to organochlorine pesticide residues in honey samples. J. Chromatogr. A 2022, 1663, 462750. [Google Scholar] [CrossRef]
- Qin, Z.; Jiang, Q.; Chen, M.; Li, J.; Zhang, H. Food packaging for ripening and preserving banana based on ethylene-loaded nanofiber films deposited with nanosized cyclodextrin metal-organic frameworks and TiO2 nanoparticles. Food Packag. Shelf Life 2024, 45, 101332. [Google Scholar] [CrossRef]
- Zhang, Y.; Yu, D.; Zhao, R.; Li, Z.; Dong, B.; Hu, F.; Li, S.; Zhang, F.; Wang, H. A functional Pickering emulsion coating based on octadecenylsuccinic anhydride modified γ-cyclodextrin metal-organic frameworks for food preservation. Food Hydrocoll. 2024, 150, 109668. [Google Scholar] [CrossRef]
- Zhang, Y.; Yu, D.; Zhao, R.; Hu, F.; Li, Z.; Dong, B.; Lu, P.; Song, Z.; Wang, H.; Zhang, F.; et al. Enhanced stability and biocompatibility of HIPEs stabilized by cyclodextrin-metal organic frameworks with inclusion of resveratrol and soy protein isolate for β-carotene delivery. Int. J. Biol. Macromol. 2024, 274, 133431. [Google Scholar] [CrossRef] [PubMed]
- Zhang, G.; Meng, F.; Guo, Z.; Guo, T.; Peng, H.; Xiao, J.; Liu, B.; Singh, V.; Gui, S.; York, P.; et al. Enhanced stability of vitamin A palmitate microencapsulated by gamma-cyclodextrin metal-organic frameworks. J. Microencapsul. 2018, 35, 249–258. [Google Scholar] [CrossRef] [PubMed]
- Wadhwa, G.; Kumar, S.; Chhabra, L.; Mahant, S.; Rao, R. Essential oil–cyclodextrin complexes: An updated review. J. Incl. Phenom. Macrocycl. Chem. 2017, 89, 39–58. [Google Scholar] [CrossRef]
- Yang, A.; Liu, H.; Li, Z.; Li, L.; Li, W.; Liu, K. Green synthesis of β-cyclodextrin metal–organic frameworks and the adsorption of quercetin and emodin. Polyhedron 2019, 159, 116–126. [Google Scholar] [CrossRef]
- Abid, H.R.; Azhar, M.R.; Iglauer, S.; Rada, Z.H.; Al-Yaseri, A.; Keshavarz, A. Physiochemical characterization of metal organic framework materials: A mini review. Heliyon 2024, 10, e23840. [Google Scholar] [CrossRef]
- Sunil, J.; Narayana, C.; Kumari, G.; Jayaramulu, K. Raman spectroscopy, an ideal tool for studying the physical properties and applications of metal–organic frameworks (MOFs). Chem. Soc. Rev. 2023, 52, 3397–3437. [Google Scholar] [CrossRef]
- Ke, F.; Zhang, M.; Qin, N.; Zhao, G.; Chu, J.; Wan, X. Synergistic antioxidant activity and anticancer effect of green tea catechin stabilized on nanoscale cyclodextrin-based metal–organic frameworks. J. Mater. Sci. 2019, 54, 10420–10429. [Google Scholar] [CrossRef]



























| Properties | α-CD | β-CD | γ-CD |
|---|---|---|---|
| Number of glucose units | 6 | 7 | 8 |
| Molecular weight (g/mol) | 972 | 1135 | 1297 |
| Solubility in water at 25 °C (%, w/v) | 14.5 | 1.9 | 23.2 |
| Melting point (°C) | 275 | 280 | 275 |
| Cavity diameter (Å) | 4.7–5.3 | 6.0–6.5 | 7.5–8.3 |
| External diameter (Å) | 14.6 | 15.4 | 17.5 |
| Crystal forms (from water) | Hexagonal plates | Monoclinic parallelograms | Quadratic prisms |
| European trade name as food additives | E-457 | E-459 | E-458 |
| KOH-γ-CD-MOF | KCl-γ-CD-MOF | KAc-γ-CD-MOF | KBz-γ-CD-MOF | |
|---|---|---|---|---|
| Formula | C48H124K2O64 | C92H212KClO86 | C302H637K7O222 | C110H172K4O86 |
| Space group | I432 | P4212 | R32 | - |
| Formula weight | 1803.66 | 2769.16 | 8110.78 | 3026.88 |
| Crystallite structure | Cubic | Tetragonal | Trigonal | Trigonal |
| Cavity size | 0.3–1.0 nm | 0.2–2.5 nm | 0.2–1.0 nm | 0.40 ± 0.40 nm |
| Solvent | ALP | ALP/β-CD | ALP-β-CD-MOFs |
|---|---|---|---|
| Water | 1.15 ± 0.12 * | 1.87 ± 0.24 * | 11.93 ± 0.43 * |
| Methanol | 0.43 ± 0.04 * | 0.46 ± 0.09 * | 0.56 ± 0.12 * |
| Ethanol | 0.22 ± 0.07 * | 0.29 ± 0.06 * | 0.40 ± 0.05 * |
Disclaimer/Publisher’s Note: The statements, opinions and data contained in all publications are solely those of the individual author(s) and contributor(s) and not of MDPI and/or the editor(s). MDPI and/or the editor(s) disclaim responsibility for any injury to people or property resulting from any ideas, methods, instructions or products referred to in the content. |
© 2025 by the authors. Licensee MDPI, Basel, Switzerland. This article is an open access article distributed under the terms and conditions of the Creative Commons Attribution (CC BY) license (https://creativecommons.org/licenses/by/4.0/).
Share and Cite
Saxena, S.; Lis, M.J. Native Cyclodextrin-Based Metal–Organic Frameworks (MOFs): Synthesis, Characterization, and Potential Applications in Food Industry. Molecules 2025, 30, 293. https://doi.org/10.3390/molecules30020293
Saxena S, Lis MJ. Native Cyclodextrin-Based Metal–Organic Frameworks (MOFs): Synthesis, Characterization, and Potential Applications in Food Industry. Molecules. 2025; 30(2):293. https://doi.org/10.3390/molecules30020293
Chicago/Turabian StyleSaxena, Siddanth, and Manuel J. Lis. 2025. "Native Cyclodextrin-Based Metal–Organic Frameworks (MOFs): Synthesis, Characterization, and Potential Applications in Food Industry" Molecules 30, no. 2: 293. https://doi.org/10.3390/molecules30020293
APA StyleSaxena, S., & Lis, M. J. (2025). Native Cyclodextrin-Based Metal–Organic Frameworks (MOFs): Synthesis, Characterization, and Potential Applications in Food Industry. Molecules, 30(2), 293. https://doi.org/10.3390/molecules30020293

