In the original publication [1], there was a mistake in Figure 7E as published. Figure 7A was copied by mistake and inserted as Figure 7E. The corrected Figure 7 appears below. The authors state that the scientific conclusions are unaffected. This correction was approved by the Academic Editor. The original publication has also been updated.
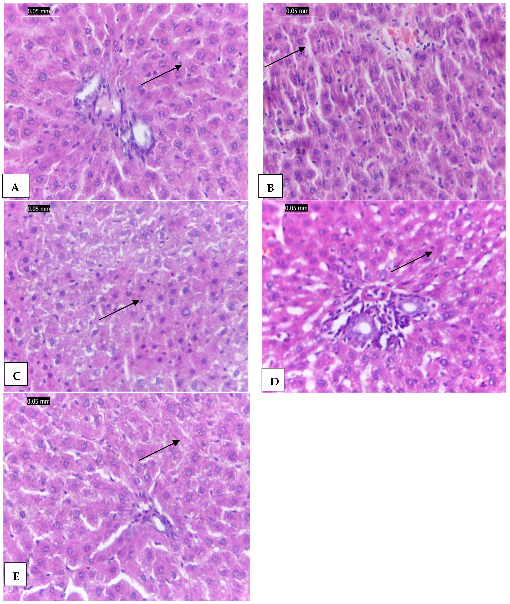
Figure 7.
(A): The control negative group (G1) showing normal hepatic tissues architecture without any necrosis or inflammation (arrow), (B): The CCl4 treated group (G2) showing distorted hepatic plates, fatty hepatocytes (arrow), and dense portal tract mononuclear infiltrate, (C): G3 treated with vanillic acid showing mild inflammation (arrow), (D): The G4 group treated with vanillic AgNPs showing mild inflammation to nearly normal hepatic tissues (arrow), and (E): The silymarin treated group (G5) showing nearly normal hepatic tissues (arrow). (H & E × 400).
Figure 7.
(A): The control negative group (G1) showing normal hepatic tissues architecture without any necrosis or inflammation (arrow), (B): The CCl4 treated group (G2) showing distorted hepatic plates, fatty hepatocytes (arrow), and dense portal tract mononuclear infiltrate, (C): G3 treated with vanillic acid showing mild inflammation (arrow), (D): The G4 group treated with vanillic AgNPs showing mild inflammation to nearly normal hepatic tissues (arrow), and (E): The silymarin treated group (G5) showing nearly normal hepatic tissues (arrow). (H & E × 400).

Reference
- Alamri, E.S.; El Rabey, H.A.; Alzahrani, O.R.; Almutairi, F.M.; Attia, E.S.; Bayomy, H.M.; Albalwi, R.A.; Rezk, S.M. Enhancement of the Protective Activity of Vanillic Acid against Tetrachloro-Carbon (CCl4) Hepatotoxicity in Male Rats by the Synthesis of Silver Nanoparticles (AgNPs). Molecules 2022, 27, 8308. [Google Scholar] [CrossRef] [PubMed]
Disclaimer/Publisher’s Note: The statements, opinions and data contained in all publications are solely those of the individual author(s) and contributor(s) and not of MDPI and/or the editor(s). MDPI and/or the editor(s) disclaim responsibility for any injury to people or property resulting from any ideas, methods, instructions or products referred to in the content. |
© 2025 by the authors. Licensee MDPI, Basel, Switzerland. This article is an open access article distributed under the terms and conditions of the Creative Commons Attribution (CC BY) license (https://creativecommons.org/licenses/by/4.0/).