Antioxidant Activity and Effectiveness of Fig Extract in Counteracting Carbon Tetrachloride-Induced Oxidative Damage in Rats
Abstract
1. Introduction
2. Results and Discussion
2.1. Phytochemical Identification of Plant Extract Using HPLC-DAD
2.2. Extraction Yields, Total Phenolic Content, and Antioxidant Activity In Vitro
2.2.1. Extraction Yield
2.2.2. Total Phenolic Content
2.2.3. In Vitro Antioxidant Activity
- -
- DPPH assay
- -
- FRAP assay
2.3. In Vivo Antioxidant Activity
2.3.1. Variation of Body Weight
2.3.2. Determination of Biochemical Parameters
2.3.3. Determination of Oxidative Stress Parameters
- -
- Determination of tissue proteins
- -
- Determination of malondialdehyde (MDA)
- -
- Determination of catalase (CAT)
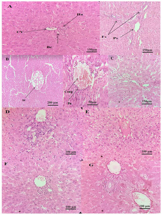
2.3.4. Histological Study
3. Materials and Methods
3.1. Reagents
3.2. Plant Samples
3.3. Drying Procedure
3.4. Crude Extract Preparation
3.5. HPLC-DAD of Fruit Extract
3.6. Total Phenolic Content (TPC)
3.7. In Vitro Antioxidant Activity
3.7.1. DPPH Assay
3.7.2. Ferric Ion Reducing Antioxidant Power (FRAP)
3.8. Determination of the Antioxidant Activity In Vivo
3.8.1. Acute Toxicity Test (ATT)
3.8.2. In Vivo Antioxidant Activity
3.8.3. Monitoring of Rat Body Weight
3.8.4. Biochemical Analysis
3.9. Tissue Assay of Oxidative Stress Parameters
3.9.1. Preparation of the Cytosolic Fraction of Tissues
3.9.2. Determination of Tissue Proteins
3.9.3. Malondialdehyde (MDA) Determination
3.9.4. Cytosolic Catalase (CAT) Determination
3.10. Histological Analysis
3.11. Statistical Analysis
4. Conclusions
Author Contributions
Funding
Institutional Review Board Statement
Informed Consent Statement
Data Availability Statement
Conflicts of Interest
Abbreviations
| ANOVA | analysis of variance |
| ALT | alanine aminotransferase |
| ALP | alkaline phosphatase |
| AST | aspartate aminotransferase |
| ATT | acute toxicity test |
| Az | azendjar |
| BILD | bilirubin direct |
| BILT | bilirubin total |
| BSA | bovine serum albumin |
| bw | body weight |
| CAT | catalase |
| GAE | gallic acid equivalent |
| DPPH | 2,2-diphenyl-1-picryl-hydrazyl |
| DW | dry weight |
| FCR | Folin–Ciocalteu reagent |
| FW | fresh weight |
| FRAP | ferric ion reducing antioxidant power |
| HPLC-DAD | high-performance liquid chromatography with diode array detection |
| IC50 | half-maximal inhibitory concentration |
| IGG | intragastric gavage |
| IP | intraperitoneal |
| ITAFV | Technical Institute for Fruit Trees in Algiers, Algeria |
| MDA | malondialdehyde |
| NLFO | National Livestock Feed Office |
| OECD | Organization for Economic Cooperation and Development |
| ROS | reactive oxygen species |
| RSA | radical scavenging activity |
| SEM | standard error of the mean |
| SD | standard deviation |
| Ta | taamriouth |
| TBA | thiobarbituric acid |
| TCA | trichloroacetic acid |
| TE | Trolox equivalent |
| TPC | total phenolic content |
References
- Sak, K. Dependence of DPPH Radical Scavenging Activity of Dietary Flavonoid Quercetin on Reaction Environment. Mini Rev. Med. Chem. 2014, 14, 494–504. [Google Scholar] [CrossRef] [PubMed]
- Schieber, M.; Chandel, N.S. ROS Function in Redox Signaling and Oxidative Stress. Curr. Biol. 2014, 24, R453–R462. [Google Scholar] [CrossRef] [PubMed]
- Huyut, Z.; Beydemir, Ş.; Gülçin, İ. Antioxidant and Antiradical Properties of Selected Flavonoids and Phenolic Compounds. Biochem. Res. Int. 2017, 2017, 7616791. [Google Scholar] [CrossRef] [PubMed]
- Rahman, M.M.; Islam, M.B.; Biswas, M.; Khurshid Alam, A.H.M. In Vitro Antioxidant and Free Radical Scavenging Activity of Different Parts of Tabebuia Pallida Growing in Bangladesh. BMC Res. Notes 2015, 8, 621. [Google Scholar] [CrossRef] [PubMed]
- Saha, S.; Verma, R.J. Antioxidant Activity of Polyphenolic Extract of Terminalia Chebula Retzius Fruits. J. Taibah Univ. Sci. 2016, 10, 805–812. [Google Scholar] [CrossRef]
- Aryal, S.; Baniya, M.K.; Danekhu, K.; Kunwar, P.; Gurung, R.; Koirala, N. Total Phenolic Content, Flavonoid Content and Antioxidant Potential of Wild Vegetables from Western Nepal. Plants 2019, 8, 96. [Google Scholar] [CrossRef] [PubMed]
- Li, J.; O, W.; Li, W.; Jiang, Z.-G.; Ghanbari, H. Oxidative Stress and Neurodegenerative Disorders. Int. J. Mol. Sci. 2013, 14, 24438–24475. [Google Scholar] [CrossRef] [PubMed]
- Ebrahimzadeh, M.; Nabavi, S.; Nabavi, S.; Dehpour, A. Antioxidant Activity of Hydroalcholic Extract of Ferula gummosa Boiss Roots. Eur. Rev. Med. Pharmacol. Sci. 2011, 15, 658–664. [Google Scholar]
- Arackal, J.J.; Parameshwari, S. Identification of Antioxidant Activity and Shelf Life Assay of Avocado Fruit Pulp Incorporated Chapattis. Materials Today: Proceedings 2021, 45, 2589–2594. [Google Scholar] [CrossRef]
- Proteggente, A.R.; Pannala, A.S.; Paganga, G.; van Buren, L.; Wagner, E.; Wiseman, S.; Put, F. van de Dacombe, C.; Rice-Evans, C.A. The Antioxidant Activity of Regularly Consumed Fruit and Vegetables Reflects Their Phenolic and Vitamin C Composition. Free Radic. Res. 2002, 36, 217–233. [Google Scholar] [CrossRef] [PubMed]
- Wojdyło, A.; Nowicka, P.; Carbonell-Barrachina, Á.A.; Hernández, F. Phenolic Compounds, Antioxidant and Antidiabetic Activity of Different Cultivars of Ficus carica L. Fruits. J. Funct. Foods 2016, 25, 421–432. [Google Scholar] [CrossRef]
- Aguiar, J.; Gonçalves, J.L.; Alves, V.L.; Câmara, J.S. Chemical Fingerprint of Free Polyphenols and Antioxidant Activity in Dietary Fruits and Vegetables Using a Non-Targeted Approach Based on QuEChERS Ultrasound-Assisted Extraction Combined with UHPLC-PDA. Antioxidants 2020, 9, 305. [Google Scholar] [CrossRef] [PubMed]
- Lima, G.P.P.; Vianello, F.; Corrêa, C.R.; Campos, R.A.d.S.; Borguini, M.G. Polyphenols in Fruits and Vegetables and Its Effect on Human Health. Food Nutr. Sci. 2014, 5, 1065–1082. [Google Scholar] [CrossRef]
- Oliveira, A.P.; Valentão, P.; Pereira, J.A.; Silva, B.M.; Tavares, F.; Andrade, P.B. Ficus carica L.: Metabolic and Biological Screening. Food Chem. Toxicol. 2009, 47, 2841–2846. [Google Scholar] [CrossRef] [PubMed]
- Calani, L.; Bresciani, L.; Rodolfi, M.; Del Rio, D.; Petruccelli, R.; Faraloni, C.; Ganino, T. Characterization of the (Poly)Phenolic Fraction of Fig Peel: Comparison among Twelve Cultivars Harvested in Tuscany. Plants 2022, 11, 3073. [Google Scholar] [CrossRef] [PubMed]
- Mawa, S.; Husain, K.; Jantan, I. Ficus carica L. (Moraceae): Phytochemistry, Traditional Uses and Biological Activities. Evid. Based Complement. Alternat. Med. 2013, 2013, 1–8. [Google Scholar] [CrossRef]
- Alzahrani, M.Y.; Alshaikhi, A.I.; Hazzazi, J.S.; Kurdi, J.R.; Ramadan, M.F. Recent Insight on Nutritional Value, Active Phytochemicals, and Health-enhancing Characteristics of Fig (Ficus carica). Food Safe Health 2024, 2, 179–195. [Google Scholar] [CrossRef]
- Çalişkan, O.; Aytekin Polat, A. Phytochemical and Antioxidant Properties of Selected Fig (Ficus carica L.) Accessions from the Eastern Mediterranean Region of Turkey. Sci. Hortic. 2011, 128, 473–478. [Google Scholar] [CrossRef]
- Kebal, L.; Pokajewicz, K.; Djebli, N.; Mostefa, N.; Poliwoda, A.; Wieczorek, P.P. HPLC-DAD Profile of Phenolic Compounds and In Vitro Antioxidant Activity of Ficus carica L. Fruits from Two Algerian Varieties. Biomed. Pharmacother. 2022, 155, 113738. [Google Scholar] [CrossRef]
- Pereira, C.; López-Corrales, M.; Serradilla, M.J.; Villalobos, M.d.C.; Ruiz-Moyano, S.; Martín, A. Influence of Ripening Stage on Bioactive Compounds and Antioxidant Activity in Nine Fig (Ficus carica L.) Varieties Grown in Extremadura, Spain. J. Food Compost. Anal. 2017, 64, 203–212. [Google Scholar] [CrossRef]
- Faleh, E.; Oliveira, A.P.; Valentão, P.; Ferchichi, A.; Silva, B.M.; Andrade, P.B. Influence of Tunisian Ficus carica Fruit Variability in Phenolic Profiles and In Vitro Radical Scavenging Potential. Rev. Bras. Farmacogn. 2012, 22, 1282–1289. [Google Scholar] [CrossRef]
- De Masi, L.; Vella, F.M.; Laratta, B.; Volpe, M.G.; Tiseo, M.; La Cara, F. Biochemical and Genetic Characterization of a Red Fig Cultivar (Ficus carica) from Southern Italy. Acta Hortic. 2017, 1173, 81–86. [Google Scholar] [CrossRef]
- Soltana, H.; De Rosso, M.; Lazreg, H.; Vedova, A.D.; Hammami, M.; Flamini, R. LC-QTOF Characterization of Non-Anthocyanic Flavonoids in Four Tunisian Fig Varieties. J. Mass. Spectrom. 2018, 53, 817–823. [Google Scholar] [CrossRef] [PubMed]
- Trifunschi, S.; Munteanu, M.; Ardelean, D.; Orodan, M.; Osser, G.; Gligor, R. Flavonoids and Polyphenols Content and Antioxidant Activity of Ficus carica L. Extracts from Romania. Zb. Mat. Srp. Prir. Nauk. 2015, 128, 57–65. [Google Scholar] [CrossRef]
- Ganeshpurkar, A.; Saluja, A.K. The Pharmacological Potential of Rutin. Saudi Pharm. J. 2017, 25, 149–164. [Google Scholar] [CrossRef] [PubMed]
- Enogieru, A.B.; Haylett, W.; Hiss, D.C.; Bardien, S.; Ekpo, O.E. Rutin as a Potent Antioxidant: Implications for Neurodegenerative Disorders. Oxid. Med. Cell Longev. 2018, 2018, 6241017. [Google Scholar] [CrossRef] [PubMed]
- Satari, A.; Ghasemi, S.; Habtemariam, S.; Asgharian, S.; Lorigooini, Z. Rutin: A Flavonoid as an Effective Sensitizer for Anticancer Therapy; Insights into Multifaceted Mechanisms and Applicability for Combination Therapy. Evid. Based Complement. Alternat. Med. 2021, 2021, 9913179. [Google Scholar] [CrossRef] [PubMed]
- Salehi, B.; Machin, L.; Monzote, L.; Sharifi-Rad, J.; Ezzat, S.M.; Salem, M.A.; Merghany, R.M.; El Mahdy, N.M.; Kılıç, C.S.; Sytar, O.; et al. Therapeutic Potential of Quercetin: New Insights and Perspectives for Human Health. ACS Omega 2020, 5, 11849–11872. [Google Scholar] [CrossRef] [PubMed]
- Viuda-Martos, M.; Barber, X.; Pérez-Álvarez, J.A.; Fernández-López, J. Assessment of Chemical, Physico-Chemical, Techno-Functional and Antioxidant Properties of Fig (Ficus carica L.) Powder Co-Products. Ind. Crops Prod. 2015, 69, 472–479. [Google Scholar] [CrossRef]
- Semaming, Y.; Pannengpetch, P.; Chattipakorn, S.C.; Chattipakorn, N. Pharmacological Properties of Protocatechuic Acid and Its Potential Roles as Complementary Medicine. Evid. Based Complement. Alternat. Med. 2015, 2015, 593902. [Google Scholar] [CrossRef] [PubMed]
- Veberic, R.; Colaric, M.; Stampar, F. Phenolic Acids and Flavonoids of Fig Fruit (Ficus carica L.) in the Northern Mediterranean Region. Food Chem. 2008, 106, 153–157. [Google Scholar] [CrossRef]
- Benmaghnia, S.; Meddah, B.; Tir-Touil, A.; Antonio Gabaldon Hernandez, J. Phytochemical Analysis, Antioxidant and Antimicrobial Activities of Three Samples of Dried Figs (Ficus carica L.) from the Region of Mascara. J. Microb. Biotech. Food Sci. 2019, 9, 208–215. [Google Scholar] [CrossRef]
- Soni, N.; Mehta, S.; Satpathy, G.; Gupta, R.K. Estimation of Nutritional, Phytochemical, Antioxidant and Antibacterial Activity of Dried Fig (Ficus carica). J. Pharmacogn. Phytochem. 2014, 3, 158–165. [Google Scholar]
- Krakowska, A.; Rafińska, K.; Walczak, J.; Kowalkowski, T.; Buszewski, B. Comparison of Various Extraction Techniques of Medicago Sativa: Yield, Antioxidant Activity, and Content of Phytochemical Constituents. J. AOAC Int. 2017, 100, 1681–1693. [Google Scholar] [CrossRef]
- Lezoul, N.E.H.; Belkadi, M.; Habibi, F.; Guillén, F. Extraction Processes with Several Solvents on Total Bioactive Compounds in Different Organs of Three Medicinal Plants. Molecules 2020, 25, 4672. [Google Scholar] [CrossRef] [PubMed]
- Lasano, N.F.; Ramli, N.S.; Hamid, A.H.; Karim, R.; Pak Dek, M.S.; Shukri, R. Effects of Different Extraction Solvents on Polyphenols and Antioxidant Capacity of Peel, Pulp and Seed Kernel of Kuini (Mangifera odorata). Orient. Pharm. Exp. Med. 2019, 19, 277–286. [Google Scholar] [CrossRef]
- Katalinić, V.; Možina, S.S.; Skroza, D.; Generalić, I.; Abramovič, H.; Miloš, M.; Ljubenkov, I.; Piskernik, S.; Pezo, I.; Terpinc, P.; et al. Polyphenolic Profile, Antioxidant Properties and Antimicrobial Activity of Grape Skin Extracts of 14 Vitis vinifera Varieties Grown in Dalmatia (Croatia). Food Chem. 2010, 119, 715–723. [Google Scholar] [CrossRef]
- Mahmoudi, S.; Khali, M.; Mahmoudi, N. Etude de l’extraction Des Composés Phénoliques de Différentes Parties de La Fleur d’artichaut (Cynara scolymus L.). Nat. Technol. 2013, 35–40. [Google Scholar]
- Abdel-Rahman, R.; Ghoneimy, E.; Abdel-Wahab, A.; Eldeeb, N.; Salem, M.; Salama, E.; Ahmed, T. The Therapeutic Effects of Ficus carica Extract as Antioxidant and Anticancer Agent. S. Afr. J. Bot. 2021, 141, 273–277. [Google Scholar] [CrossRef]
- Bey, M.B.; Louaileche, H. A Comparative Study of Phytochemical Profile and In Vitro Antioxidant Activities of Dark and Light Dried Fig (Ficus carica L.) Varieties. J. Phytopharmacol. 2015, 4, 41–48. [Google Scholar] [CrossRef]
- Hoxha, L.; Kongoli, R.; Hoxha, M. Antioxidant Activity of Some Dried Autochthonous Albanian Fig (Ficus carica) Cultivars. IJCST 2015, 1, 20–26. [Google Scholar]
- Mopuri, R.; Ganjayi, M.; Meriga, B.; Koorbanally, N.A.; Islam, M.S. The Effects of Ficus carica on the Activity of Enzymes Related to Metabolic Syndrome. J. Food Drug Anal. 2018, 26, 201–210. [Google Scholar] [CrossRef]
- Nakilcioğlu-Taş, E.; Ötleş, S. Influence of Extraction Solvents on the Polyphenol Contents, Compositions, and Antioxidant Capacities of Fig (Ficus carica L.) Seeds. An. Acad. Bras. Ciênc. 2021, 93, e20190526. [Google Scholar] [CrossRef] [PubMed]
- Harzallah, A.; Bhouri, A.M.; Amri, Z.; Soltana, H.; Hammami, M. Phytochemical Content and Antioxidant Activity of Different Fruit Parts Juices of Three Figs (Ficus carica L.) Varieties Grown in Tunisia. Ind. Crops Prod. 2016, 83, 255–267. [Google Scholar] [CrossRef]
- Baliyan, S.; Mukherjee, R.; Priyadarshini, A.; Vibhuti, A.; Gupta, A.; Pandey, R.P.; Chang, C.-M. Determination of Antioxidants by DPPH Radical Scavenging Activity and Quantitative Phytochemical Analysis of Ficus religiosa. Molecules 2022, 27, 1326. [Google Scholar] [CrossRef] [PubMed]
- Palmeira, L.; Pereira, C.; Dias, M.I.; Abreu, R.M.V.; Corrêa, R.C.G.; Pires, T.C.S.P.; Alves, M.J.; Barros, L.; Ferreira, I.C.F.R. Nutritional, Chemical and Bioactive Profiles of Different Parts of a Portuguese Common Fig (Ficus carica L.) Variety. Food Res. Int. 2019, 126, 108572. [Google Scholar] [CrossRef] [PubMed]
- Mujić, I.; Dudas, S.; Skutin, H.M.; Perusic, D.; Zeković, Z.; Lepojević, Z.; Radojković, M.; Vidović, S.; Milošević, S.; Mesic, E.O. Determination of Antioxidant Properties of Fig Fruit Extracts (Ficus carica L.). Acta Hortic. 2012, 940, 369–375. [Google Scholar] [CrossRef]
- Aljane, F.; Neily, M.H.; Msaddak, A. Phytochemical Characteristics and Antioxidant Activity of Several Fig (Ficus carica L.) Ecotypes. Ital. J. Food Sci. 2020, 32, 755–768. [Google Scholar] [CrossRef]
- Solomon, A.; Golubowicz, S.; Yablowicz, Z.; Grossman, S.; Bergman, M.; Gottlieb, H.E.; Altman, A.; Kerem, Z.; Flaishman, M.A. Antioxidant Activities and Anthocyanin Content of Fresh Fruits of Common Fig ( Ficus carica L.). J. Agric. Food Chem. 2006, 54, 7717–7723. [Google Scholar] [CrossRef] [PubMed]
- Martins, N.; Barros, L.; Ferreira, I.C.F.R. In Vivo Antioxidant Activity of Phenolic Compounds: Facts and Gaps. Trends Food Sci. Technol. 2016, 48, 1–12. [Google Scholar] [CrossRef]
- Hssaini, L.; Charafi, J.; Razouk, R.; Hernández, F.; Fauconnier, M.; Ennahli, S.; Hanine, H. Assessment of Morphological Traits and Fruit Metabolites in Eleven Fig Varieties (Ficus carica L.). Int. J. Fruit. Sci. 2020, 20 (Suppl. 2), 8–28. [Google Scholar] [CrossRef]
- Pande, G.; Akoh, C.C. Organic Acids, Antioxidant Capacity, Phenolic Content and Lipid Characterisation of Georgia-Grown Underutilized Fruit Crops. Food Chem. 2010, 120, 1067–1075. [Google Scholar] [CrossRef]
- Truong, H.N.; Nguyen, H.N.; Nguyen, T.K.N.; Le, M.H.; Tran, H.G.; Huynh, N.; Van Nguyen, T. Establishment of a Standardized Mouse Model of Hepatic Fibrosis for Biomedical Research. Biomed. Res. Ther. 2014, 1, 9. [Google Scholar] [CrossRef]
- Dutta, S.; Chakraborty, A.K.; Dey, P.; Kar, P.; Guha, P.; Sen, S.; Kumar, A.; Sen, A.; Chaudhuri, T.K. Amelioration of CCl4 Induced Liver Injury in Swiss Albino Mice by Antioxidant Rich Leaf Extract of Croton bonplandianus Baill. PLoS ONE 2018, 13, e0196411. [Google Scholar] [CrossRef] [PubMed]
- Zhang, G.; Wang, X.; Chung, T.-Y.; Ye, W.; Hodge, L.; Zhang, L.; Chng, K.; Xiao, Y.-F.; Wang, Y.J. Carbon Tetrachloride (CCl4) Accelerated Development of Non-Alcoholic Fatty Liver Disease (NAFLD)/Steatohepatitis (NASH) in MS-NASH Mice Fed Western Diet Supplemented with Fructose (WDF). BMC Gastroenterol. 2020, 20, 339. [Google Scholar] [CrossRef] [PubMed]
- Nemiche, S.; Ait Hamadouche, N.; Nemmiche, S.; Fauconnier, M.-L.; Tou, A. Ameliorative or Corrective Effects of Fig “Ficus carica” Extract on Nickel-Induced Hepatotoxicity in Wistar Rats. Toxicol. Res. 2022, 38, 311–321. [Google Scholar] [CrossRef] [PubMed]
- Ubhenin, A.E.; Igbe, I.; Adamude, F.A.; Falodun, A. Hepatoprotective Effects of Ethanol Extract of Caesalpiniabonduc against Carbon Tetrachloride Induced Hepatotoxicity in Albino Rats. J. Appl. Sci. Environ. Manag. 2016, 20, 396–401. [Google Scholar] [CrossRef]
- El-Hadary, A.E.; Elsanhoty, R.M.; Ramadan, M.F. In Vivo Protective Effect of Rosmarinus officinalis Oil against Carbon Tetrachloride (CCl4)-Induced Hepatotoxicity in Rats. PharmaNutrition 2019, 9, 100151. [Google Scholar] [CrossRef]
- Osadebe, P.O.; Okoye, F.B.; Uzor, P.F.; Nnamani, N.R.; Adiele, I.E.; Obiano, N.C. Phytochemical Analysis, Hepatoprotective and Antioxidant Activity of Alchornea cordifolia Methanol Leaf Extract on Carbon Tetrachloride-Induced Hepatic Damage in Rats. Asian Pac. J. Trop. Med. 2012, 5, 289–293. [Google Scholar] [PubMed]
- Olayode, O.A.; Daniyan, M.O.; Olayiwola, G. Biochemical, Hematological and Histopathological Evaluation of the Toxicity Potential of the Leaf Extract of Stachytarpheta cayennensis in Rats. J. Tradit. Complement. Med. 2020, 10, 544–554. [Google Scholar] [CrossRef] [PubMed]
- Hira, S.; Gulfraz, M.; Saqlan Naqvi, S.M.; Qureshi, R.; Gul, H.; Shad, I. Protective Effect of Ficus carica Fruit against Carbon Tetrachloride Induced Hepatic Toxicity in Mice. J. Anim. Plant Sci. 2021, 31, 1419–1426. [Google Scholar] [CrossRef]
- Fouad, D.; Alhatem, H.; Abdel-Gaber, R.; Ataya, F. Hepatotoxicity and Renal Toxicity Induced by Gamma-Radiation and the Modulatory Protective Effect of Ficus carica in Male Albino Rats. Res. Vet. Sci. 2019, 125, 24–35. [Google Scholar] [CrossRef] [PubMed]
- Turan, A.; Celik, I. Antioxidant and Hepatoprotective Properties of Dried Fig against Oxidative Stress and Hepatotoxicity in Rats. Int. J. Biol. Macromol. 2016, 91, 554–559. [Google Scholar] [CrossRef] [PubMed]
- Unsal, V.; Cicek, M.; Sabancilar, İ. Toxicity of Carbon Tetrachloride, Free Radicals and Role of Antioxidants. Rev. Environ. Health 2021, 36, 279–295. [Google Scholar] [CrossRef] [PubMed]
- Moreira, P.R.; Maioli, M.A.; Medeiros, H.C.; Guelfi, M.; Pereira, F.T.; Mingatto, F.E. Protective Effect of Bixin on Carbon Tetrachloride-Induced Hepatotoxicity in Rats. Biol. Res. 2014, 47, 49. [Google Scholar] [CrossRef] [PubMed]
- Molehin, O.R.; Oloyede, O.I.; Idowu, K.A.; Adeyanju, A.A.; Olowoyeye, A.O.; Tubi, O.I.; Komolafe, O.E.; Gold, A.S. White Butterfly (Clerodendrum volubile) Leaf Extract Protects against Carbon Tetrachloride-Induced Hepatotoxicity in Rats. Biomed. Pharmacother. 2017, 96, 924–929. [Google Scholar] [CrossRef] [PubMed]
- Adikwu, E.; Deo, O. Hepatoprotective Effect of Vitamin C (Ascorbic Acid). Pharmacol. Pharm. 2013, 4, 84–92. [Google Scholar] [CrossRef]
- Khalil, I.; Ghani, M.; Khan, M.R.; Akbar, F. Evaluation of Biological Activities and In Vivo Amelioration of CCl4 Induced Toxicity in Lung and Kidney with Abutilon Pannosum (G. Forst.) Schltdl. in Rat. J. Ethnopharmacol. 2020, 249, 112395. [Google Scholar] [CrossRef] [PubMed]
- Naz, I.; Khan, M.R.; Zai, J.A.; Batool, R.; Zahra, Z.; Tahir, A. Pilea Umbrosa Ameliorate CCl4 Induced Hepatic Injuries by Regulating Endoplasmic Reticulum Stress, pro-Inflammatory and Fibrosis Genes in Rat. Environ. Health Prev. Med. 2020, 25, 53. [Google Scholar] [CrossRef] [PubMed]
- Ali, S.; Khan, M.R.; Iqbal, J.; Shah, S.A.; Abbasi, B.A.; Yaseen, T.; Batool, R.; Ali, I.; Hussain, M.D.; Kazi, M. Chemical Characterization and Evaluation of the Nephroprotective Potential of Parrotiopsis Jacquemontiana (Decne) Rehder and Periploca Hydaspidis Falc Crude Extract in CCl4-Induced Male Sprague-Dawley Rats. Saudi J. Biol. Sci. 2022, 29, 702–712. [Google Scholar] [CrossRef] [PubMed]
- Khadeer Ahamed, M.B.; Krishna, V.; Dandin, C.J. In Vitro Antioxidant and In Vivo Prophylactic Effects of Two γ-Lactones Isolated from Grewia tiliaefolia against Hepatotoxicity in Carbon Tetrachloride Intoxicated Rats. Eur. J. Pharmacol. 2010, 631, 42–52. [Google Scholar] [CrossRef] [PubMed]
- Bouabid, K.; Lamchouri, F.; Toufik, H.; Faouzi, M.E.A. Phytochemical Investigation, In Vitro and In Vivo Antioxidant Properties of Aqueous and Organic Extracts of Toxic Plant: Atractylis gummifera L. J. Ethnopharmacol. 2020, 253, 112640. [Google Scholar] [CrossRef] [PubMed]
- Pirinççioğlu, M.; Kızıl, G.; Kızıl, M.; Kanay, Z.; Ketani, A. The Protective Role of Pomegranate Juice against Carbon Tetrachloride–Induced Oxidative Stress in Rats. Toxicol. Ind. Health 2014, 30, 910–918. [Google Scholar] [CrossRef]
- Elsawy, H.; Badr, G.M.; Sedky, A.; Abdallah, B.M.; Alzahrani, A.M.; Abdel-Moneim, A.M. Rutin Ameliorates Carbon Tetrachloride (CCl4 )-Induced Hepatorenal Toxicity and Hypogonadism in Male Rats. PeerJ 2019, 7, e7011. [Google Scholar] [CrossRef] [PubMed]
- Makni, M.; Chtourou, Y.; Fetoui, H.; Garoui, E.M.; Boudawara, T.; Zeghal, N. Evaluation of the Antioxidant, Anti-Inflammatory and Hepatoprotective Properties of Vanillin in Carbon Tetrachloride-Treated Rats. Eur. J. Pharmacol. 2011, 668, 133–139. [Google Scholar] [CrossRef] [PubMed]
- Foti, M.C.; Ingold, K.U. Mechanism of Inhibition of Lipid Peroxidation by γ-Terpinene, an Unusual and Potentially Useful Hydrocarbon Antioxidant. J. Agric. Food Chem. 2003, 51, 2758–2765. [Google Scholar] [CrossRef]
- Zhang, L.; Zhang, J.; Zang, H.; Yin, Z.; Guan, P.; Yu, C.; Shan, A.; Feng, X. Dietary pterostilbene exerts potential protective effects by regulating lipid metabolism and enhancing antioxidant capacity on liver in broilers. J. Anim. Physiol. Anim. Nutr. 2024, 1–13. [Google Scholar] [CrossRef]
- Rudrapal, M.; Khairnar, S.J.; Khan, J.; Dukhyil, A.B.; Ansari, M.A.; Alomary, M.N.; Alshabrmi, F.M.; Palai, S.; Deb, P.K.; Devi, R. Dietary Polyphenols and Their Role in Oxidative Stress-Induced Human Diseases: Insights Into Protective Effects, Antioxidant Potentials and Mechanism(s) of Action. Front. Pharmacol. 2022, 13, 806470. [Google Scholar] [CrossRef] [PubMed]
- Okoro, I.O.; Okoro, E.O.; Isoje, F.E.; Oyubu, G. Protective Effects of Alstonia Congensis Methanolic Extract against CCl4 Induced Liver Damage in Wistar Rats. Sci. Afr. 2022, 17, e01315. [Google Scholar] [CrossRef]
- Timoumi, R.; Amara, I.; Neffati, F.; Najjar, M.F.; El Golli-Bennour, E.; Bacha, H.; Abid-Essefi, S. Acute Triflumuron Exposure Induces Oxidative Stress Responses in Liver and Kidney of Balb/C Mice. Environ. Sci. Pollut. Res. 2019, 26, 3723–3730. [Google Scholar] [CrossRef]
- Liu, Y.; Cao, L.; Du, J.; Jia, R.; Wang, J.; Xu, P.; Yin, G. Protective Effects of Lycium Barbarum Polysaccharides against Carbon Tetrachloride-Induced Hepatotoxicity in Precision-Cut Liver Slices In Vitro and In Vivo in Common Carp (Cyprinus carpio L.). Comp. Biochem. Physiol. C Toxicol. Pharmacol. 2015, 169, 65–72. [Google Scholar] [CrossRef] [PubMed]
- Duan, Z.; Zhang, Y.; Zhu, C.; Wu, Y.; Du, B.; Ji, H. Structural Characterization of Phosphorylated Pleurotus Ostreatus Polysaccharide and Its Hepatoprotective Effect on Carbon Tetrachloride-Induced Liver Injury in Mice. Int. J. Biol. Macromol. 2020, 162, 533–547. [Google Scholar] [CrossRef]
- Meng, X.; Wang, Z.; Liang, S.; Tang, Z.; Liu, J.; Xin, Y.; Kuang, H.; Wang, Q. Hepatoprotective Effect of a Polysaccharide from Radix Cyathulae Officinalis Kuan against CCl4-Induced Acute Liver Injury in Rat. Int. J. Biol. Macromol. 2019, 132, 1057–1067. [Google Scholar] [CrossRef] [PubMed]
- Aly, A.A.; Zaky, E.A.; Mahmoud, H.A.; Alrefaei, A.F.; Hameed, A.M.; Alessa, H.; Alsimaree, A.A.; Aljohani, M.; El-Bahy, S.M.; Kadasah, S. The Impact of Addition Oats (Avena sativa) and Cinnamon on Cookies and Their Biological Effects on Rats Treated with Cirrhosis by CCL4. Saudi J. Biol. Sci. 2021, 28, 7142–7151. [Google Scholar] [CrossRef] [PubMed]
- Al Doghaither, H.A.; Al-Sohaibani, R.M.; Omar, U.M.; Alharbi, H.A. Biochemical and Histological Effects of Five Weeks Ingestion of Zamzam Water on the Liver and Kidneys of Wistar Rats. Saudi Pharm. J. 2021, 29, 91–95. [Google Scholar] [CrossRef] [PubMed]
- Ojeaburu, S.I.; Oriakhi, K. Hepatoprotective, Antioxidant and, Anti-Inflammatory Potentials of Gallic Acid in Carbon Tetrachloride-Induced Hepatic Damage in Wistar Rats. Toxicol. Rep. 2021, 8, 177–185. [Google Scholar] [CrossRef] [PubMed]
- Ozturk, I.C.; Ozturk, F.; Gul, M.; Ates, B.; Cetin, A. Protective Effects of Ascorbic Acid on Hepatotoxicity and Oxidative Stress Caused by Carbon Tetrachloride in the Liver of Wistar Rats. Cell Biochem. Funct. 2009, 27, 309–315. [Google Scholar] [CrossRef] [PubMed]
- Slatnar, A.; Klancar, U.; Stampar, F.; Veberic, R. Effect of Drying of Figs (Ficus carica L.) on the Contents of Sugars, Organic Acids, and Phenolic Compounds. J. Agric. Food Chem. 2011, 59, 11696–11702. [Google Scholar] [CrossRef]
- Gilani, A.H.; Mehmood, M.H.; Janbaz, K.H.; Khan, A.; Saeed, S.A. Ethnopharmacological Studies on Antispasmodic and Antiplatelet Activities of Ficus carica. J. Ethnopharmacol. 2008, 119, 1–5. [Google Scholar] [CrossRef] [PubMed]
- Mustafa, K.; Yu, S.; Zhang, W.; Mohamed, H.; Naz, T.; Xiao, H.; Liu, Y.; Nazir, Y.; Fazili, A.B.A.; Nosheen, S.; et al. Screening, Characterization, and in Vitro-ROS Dependent Cytotoxic Potential of Extract from Ficus carica against Hepatocellular (HepG2) Carcinoma Cells. S. Afr. J. Bot. 2021, 138, 217–226. [Google Scholar] [CrossRef]
- Singleton, V.L.; Rossi, J.A. Colorimetry of Total Phenolics with Phosphomolybdic-Phosphotungstic Acid Reagents. Am. J. Enol. Vitic. 1965, 16, 144. [Google Scholar] [CrossRef]
- Atoui, A. Tea and Herbal Infusions: Their Antioxidant Activity and Phenolic Profile. Food Chem. 2005, 89, 27–36. [Google Scholar] [CrossRef]
- Benzie, I.F.F.; Strain, J.J. The Ferric Reducing Ability of Plasma (FRAP) as a Measure of “Antioxidant Power”: The FRAP Assay. Anal. Biochem. 1996, 239, 70–76. [Google Scholar] [CrossRef] [PubMed]
- Pulido, R.; Bravo, L.; Saura-Calixto, F. Antioxidant Activity of Dietary Polyphenols As Determined by a Modified Ferric Reducing/Antioxidant Power Assay. J. Agric. Food Chem. 2000, 48, 3396–3402. [Google Scholar] [CrossRef] [PubMed]
- OECD. Test No. 425: Acute Oral Toxicity: Up-and-Down Procedure; OECD Guidelines for the Testing of Chemicals, Section 4; OECD: Paris, France, 2022. [Google Scholar] [CrossRef]
- Loomis, T.A.; Hayes, W.A. Loomis’s Essentials of Toxicology; Elsevier: Amsterdam, The Netherlands, 1996. [Google Scholar] [CrossRef]
- Ashraf, G.M.; Alghamdi, B.S.; Alshehri, F.S.; Alam, M.Z.; Tayeb, H.O.; Tarazi, F.I. Empagliflozin Effectively Attenuates Olanzapine-Induced Body Weight Gain in Female Wistar Rats. Front. Pharmacol. 2021, 12, 578716. [Google Scholar] [CrossRef] [PubMed]
- Murray, R.L. Aspartate Aminotransferase. In Clinical Chemistry: Theory, Analysis and Correlation; Mosby Company: Toronto, ON, Canada, 1984; pp. 1112–1116. [Google Scholar]
- Murray, R.L. Alanine Aminotransferase. In Clinical Chemistry: Theory, Analysis and Correlation; Mosby Company: Toronto, ON, Canada, 1984; pp. 1088–1090. [Google Scholar]
- Murao, S.; Tanaka, N. A New Enzyme “Bilirubin Oxidase” Produced by Myrothecium verrucaria MT-1. Agric. Biol. Chem. 1981, 45, 2383–2384. [Google Scholar] [CrossRef]
- Garber, C.C. Jendrassik--Grof Analysis for Total and Direct Bilirubin in Serum with a Centrifugal Analyzer. Clin. Chem. 1981, 27, 1410–1416. [Google Scholar] [CrossRef] [PubMed]
- Wenger, C.; Kaplan, L.A.; Pesce, A.J. Alkaline Phosphatase. In Clinical Chemistry. Theory, Analysis and Correlation; Mosby Company: Toronto, ON, Canada, 1984; pp. 1094–1098. [Google Scholar]
- Boni, A.N.R.; Kouassi, K.; Ayebe, A.E.; Yapi, H.F.; Djaman, A.J.; Nguessan, J.D. In Vivo Antioxidant Activity of Methanolic Extract of Stem Bark of Spondias mombin L. on Carbon Tetrachloride Induced Oxidative Stressin Wistar Rats. J. Chem. Pharm. Res. 2015, 7, 1232–1239. [Google Scholar]
- Bradford, M.M. A Rapid and Sensitive Method for the Quantitation of Microgram Quantities of Protein Utilizing the Principle of Protein-Dye Binding. Anal. Biochem. 1976, 72, 248–254. [Google Scholar] [PubMed]
- Draper, H.H.; Hadley, M. Malondialdehyde Determination as Index of Lipid Peroxidation. In Methods in Enzymology; Elsevier: Amsterdam, The Netherlands, 1990; Volume 186, pp. 421–431. [Google Scholar]
- Claiborne, A. Catalase Activity. Handbook of Methods for Oxygen Radical Research; CRC Press: Boca Raton, FL, USA, 1985. [Google Scholar]
- Cardiff, R.D.; Miller, C.H.; Munn, R.J. Manual Hematoxylin and Eosin Staining of Mouse Tissue Sections. Cold Spring Harb. Protoc. 2014, 2014, 655–658. [Google Scholar] [CrossRef] [PubMed]





| Component | Retention Time [min] | Mass Per 100 g of Fig DW [mg] | Mass Per 1 g of Fig Extract [µg] | ||||||
|---|---|---|---|---|---|---|---|---|---|
| Az | Ta | Az | Ta | ||||||
| Average | RSD [%] | Average | RSD [%] | Average | RSD [%] | Average | RSD [%] | ||
| 3,4-dihydroxybenzoic acid | 8.63 | 1.892 | 2.5 | 0.744 | 2.1 | 29.72 | 2.5 | 10.28 | 2.1 |
| 4-hydroxybenzoic acid | 12.70 | 0.585 | 2.7 | 0.625 | 1.7 | 9.19 | 2.7 | 8.64 | 1.7 |
| vanillic acid | 14.95 | 2.771 | 3.5 | 1.761 | 3.9 | 43.51 | 3.5 | 24.34 | 3.9 |
| rutin | 28.88 | 8.957 | 2.0 | 2.544 | 0.8 | 140.64 | 2.0 | 35.16 | 0.8 |
| rosmarinic acid | 30.44 | 0.055 | 40.2 | 0.87 | 40.2 | ||||
| cinnamic acid | 33.93 | 0.049 | 4.3 | 0.100 | 9.3 | 0.77 | 4.3 | 1.38 | 9.3 |
| quercetin | 35.61 | 0.644 | 2.9 | 0.151 | 3.8 | 10.11 | 2.9 | 2.09 | 3.8 |
| Studied Parameter | Extraction Yields | Total Phenolic Content (TPC) | In Vitro Antioxidant Activity | |||
|---|---|---|---|---|---|---|
| DPPH Assay | FRAP Assay | |||||
| Unit of Measurement | % | mg GAE/100 g of Extract | mg GAE/100 g DW of Figs | IC 50 mg/mL | mmol Fe (II)/100 g of Extract | mmol Fe (II)/100 g DW of Figs |
| Az variety | 10.15 | 403.66 ± 32.11 * | 257.06 ± 20.44 | 0.417 ± 0.032 1*** 0. 655 ± 0.050 2*** | 31.55 ± 1.43 ** | 20.09 ± 0.91 |
| Ta variety | 9.95 | 339.44 ± 10.33 | 245.57 ± 7.47 | 0.582 ± 0.015 1 0.804 ± 0.021 2 | 26.08 ± 0.66 | 18.86 ± 0.47 |
| Ascorbic acid | / | / | 0.0995 1 | / | ||
| Groups | Day 0 | 24 h after CCl4 | Final Day | |||
|---|---|---|---|---|---|---|
| Weight [g] | Weight [g] | Growth Rate [%] | Weight [g] | Growth Rate [% ] | ||
| T- | 160.8 ± 1.78 | 162.7 ± 1.48 | 1.18 | 164 ± 4.52 | 1.99 | |
| T+ | 207.4 ± 3.28 | 186.6 ± 3.36 *** | −10.02 | 190 ± 4.30 *** | −8.38 | |
| STD (Vitamin C) | 169.8 ± 4.38 | 161.8 ± 2.77 ** | −4.71 | 176.4 ± 7.50 | 3.88 | |
| Dose 1 | Az | 187.4 ± 1.14 | 181 ± 2.82 ** | −3.41 | 197.2 ± 6.83 * | 5.22 |
| Ta | 167.8 ± 3.11 | 151.4 ± 5.03 *** | −9.77 | 163 ± 5.70 | −2.86 | |
| Dose 2 | Az | 183.6 ± 3.43 | 177.00 ± 4.79 * | −3.59 | 192.4 ± 7.56 * | 4.79 |
| Ta | 171.4 ± 2.50 | 162.4 ± 5.02 ** | −5.25 | 176 ± 6.81 | 2.68 | |
| Groups | Biochemical Parameter | |||||
|---|---|---|---|---|---|---|
| AST [Ul/L] | ALT [Ul/L] | BILT [mg/L] | BILD [mg/L] | ALP [µL/L] | ||
| T- | 82.0 ± 3.9 ***## | 126.0 ± 9.1 ***### | 1.23± 0.2 ***## | 0.3 ± 0.1 ***# | 180.2 ± 34.9 ***## | |
| T+ (CCl4) | 570.4 ± 26.5 ### | 594.8 ± 38.5 ### | 3.78 ± 0.3 ### | 3.1 ± 0.3 ### | 602.2 ± 43.6 ### | |
| STD (vit C) | 103.8 ± 13.4 *** | 161.8 ± 5.4 *** | 1.7 ± 0.1 *** | 0.8 ± 0.4 *** | 269.0 ± 17.6 *** δδ | |
| Dose 1 (300mg/kg) | Az | 95.0 ± 7.0 *** δδ | 132.6 ± 15.6 ***## | 1.4 ± 0.2 ***# | 0.7 ± 0.2 *** δδ | 318.8 ± 4 ***# δδ |
| Ta | 118.4 ± 20.5 *** δδ a’ | 150.6 ± 11.0 ***δδ | 1.4 ± 0.2 ***# | 0.8 ± 0.2 *** δδ | 347.2 ± 16.1 ***### δδδ | |
| Dose 2 (600mg/kg) | Az | 88.2 ± 9.3 *** | 106.0 ± 9.1 ***δδ ### | 0.8 ± 0.2 ***### δδ | 0.6 ± 0.1 *** δδδ | 239.4 ± 15.5 ***# δ |
| Ta | 91.4 ± 7.2 ***δ | 115.8 ± 12.7 ***### | 1.2 ± 0.1 ***### b’ | 0.8 ± 0.2 *** δδ | 241.6 ± 16.3 ***# δ | |
Disclaimer/Publisher’s Note: The statements, opinions and data contained in all publications are solely those of the individual author(s) and contributor(s) and not of MDPI and/or the editor(s). MDPI and/or the editor(s) disclaim responsibility for any injury to people or property resulting from any ideas, methods, instructions or products referred to in the content. |
© 2024 by the authors. Licensee MDPI, Basel, Switzerland. This article is an open access article distributed under the terms and conditions of the Creative Commons Attribution (CC BY) license (https://creativecommons.org/licenses/by/4.0/).
Share and Cite
Kebal, L.; Djebli, N.; Pokajewicz, K.; Mostefa, N.; Wieczorek, P.P. Antioxidant Activity and Effectiveness of Fig Extract in Counteracting Carbon Tetrachloride-Induced Oxidative Damage in Rats. Molecules 2024, 29, 1997. https://doi.org/10.3390/molecules29091997
Kebal L, Djebli N, Pokajewicz K, Mostefa N, Wieczorek PP. Antioxidant Activity and Effectiveness of Fig Extract in Counteracting Carbon Tetrachloride-Induced Oxidative Damage in Rats. Molecules. 2024; 29(9):1997. https://doi.org/10.3390/molecules29091997
Chicago/Turabian StyleKebal, Leila, Noureddine Djebli, Katarzyna Pokajewicz, Nadjet Mostefa, and Piotr P. Wieczorek. 2024. "Antioxidant Activity and Effectiveness of Fig Extract in Counteracting Carbon Tetrachloride-Induced Oxidative Damage in Rats" Molecules 29, no. 9: 1997. https://doi.org/10.3390/molecules29091997
APA StyleKebal, L., Djebli, N., Pokajewicz, K., Mostefa, N., & Wieczorek, P. P. (2024). Antioxidant Activity and Effectiveness of Fig Extract in Counteracting Carbon Tetrachloride-Induced Oxidative Damage in Rats. Molecules, 29(9), 1997. https://doi.org/10.3390/molecules29091997

