Protective Effect of Que Zui Tea on d-Galactose-Induced Oxidative Stress Damage in Mice via Regulating SIRT1/Nrf2 Signaling Pathway
Abstract
1. Introduction
2. Results
2.1. Characterization of QE (the Aqueous-Ethanol Extract of Que Zui Tea) Compounds
2.2. Effect of QE on the Body Weight and Organ Indexes
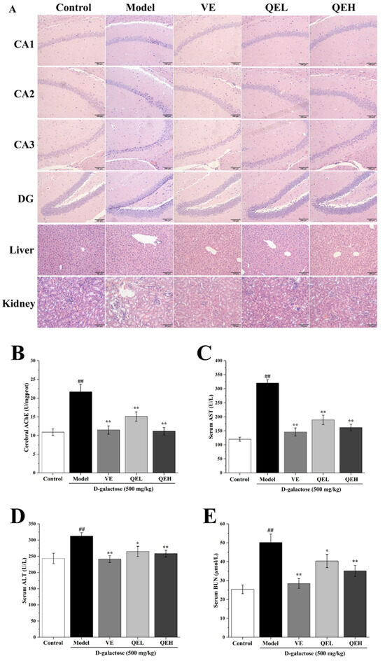
2.3. Effect of QE Treatment on the Organ Damages in ᴅ-Gal-Induced Mice
2.3.1. Protective Effect of QE Treatment on the Brains of ᴅ-Gal-Induced Mice
2.3.2. QE Mitigated Age-Related Liver Injury Induced by ᴅ-Gal
2.3.3. QE Treatment Ameliorated ᴅ-Gal-Elicited Kidney Damage
2.4. QE Increased the Antioxidant Abilities of Brain, Liver, and Kidneys in ᴅ-Gal-Treated Mice
2.5. QE Dampened the ᴅ-Gal-Caused Inflammatory Response in the Brain, Liver, and Kidneys
2.6. QE Alleviated Apoptosis Induced by ᴅ-Gal in the Brains, Livers, and Kidneys of Mice
2.7. QE Relieved Oxidative Stress via Modulating the Nrf2 Signaling Pathway in ᴅ-Gal-Treated Mice
2.8. QE Alleviated D-Gal-Induced Brain, Liver, and Kidney Damages via SIRT1 Signaling Pathway
2.9. Molecular Docking Results of Principal Components on Nrf2 and SIRT1
3. Discussion
4. Materials and Methods
4.1. Reagents and Plant Material
4.2. Preparation of QE
4.3. Qualitative Analysis of QE Was Performed by UPLC-LC/MS
4.4. Animals and Experimental Design
4.5. The Investigations of Biochemical Parameters in the Serum and Tissues
4.6. Hematoxylin-Eosin Stains
4.7. Western Blotting Analysis
4.8. Molecular Docking Methodology
4.9. Statistical Analysis
5. Conclusions
Author Contributions
Funding
Institutional Review Board Statement
Informed Consent Statement
Data Availability Statement
Conflicts of Interest
References
- Miceli, C.; Leri, M.; Stefani, M.; Bucciantini, M. Autophagy-related proteins: Potential diagnostic and prognostic biomarkers of aging-related diseases. Ageing Res. Rev. 2023, 89, 101967. [Google Scholar] [CrossRef] [PubMed]
- Kim, J.K.; Han, N.R.; Park, S.M.; Jegal, K.H.; Jung, J.Y.; Jung, E.H.; Kim, E.O.; Kim, D.; Jung, D.H.; Lee, J.R.; et al. Hemistepsin A alleviates liver fibrosis by inducing apoptosis of activated hepatic stellate cells via inhibition of nuclear factor-κB and Akt. Food Chem. Toxicol. 2020, 135, 111044. [Google Scholar] [CrossRef] [PubMed]
- Sabapathy, D.G.; Desai, M.S. Acute Liver Failure in Children. Pediatr. Clin. N. Am. 2022, 69, 465–495. [Google Scholar] [CrossRef] [PubMed]
- Liu, Y.-B.; Sun, D.-Z.; Chen, K.-C.; Zhang, J.-J.; Hou, Y.-Y.; Gao, X.-F.; Cai, E.-B.; Zhu, H.-Y.; Zheng, Y.-N.; Chen, R.-X.; et al. Based on molecular docking to evaluate the protective effect of saponins from ginseng berry on D-gal-induced brain injury via multiple molecular mechanisms in mice. J. Funct. Foods 2022, 97, 105224. [Google Scholar] [CrossRef]
- Du, J.; Zhang, X.; Zhang, J.; Huo, S.; Li, B.; Wang, Q.; Song, M.; Shao, B.; Li, Y. Necroptosis and NLPR3 inflammasome activation mediated by ROS/JNK pathway participate in AlCl3-induced kidney damage. Food Chem. Toxicol. 2023, 178, 113915. [Google Scholar] [CrossRef]
- Shwe, T.; Pratchayasakul, W.; Chattipakorn, N.; Chattipakorn, S.C. Role of D-galactose-induced brain aging and its potential used for therapeutic interventions. Exp. Gerontol. 2018, 101, 13–36. [Google Scholar] [CrossRef]
- Zhou, Y.-Y.; Ji, X.-F.; Fu, J.-P.; Zhu, X.-J.; Li, R.-H.; Mu, C.-K.; Wang, C.-L.; Song, W.-W. Gene Transcriptional and Metabolic Profile Changes in Mimetic Aging Mice Induced by D-Galactose. PLoS ONE 2015, 10, e0132088. [Google Scholar] [CrossRef] [PubMed]
- Budni, J.; Pacheco, R.; da Silva, S.; Garcez, M.L.; Mina, F.; Bellettini-Santos, T.; de Medeiros, J.; Voss, B.C.; Steckert, A.V.; Valvassori, S.d.S.; et al. Oral administration of d-galactose induces cognitive impairments and oxidative damage in rats. Behav. Brain Res. 2016, 302, 35–43. [Google Scholar] [CrossRef]
- Yoo, A.; Seo, H.D.; Hahm, J.H.; Jung, C.H.; Ahn, J.; Ha, T.Y. Dark tea extract attenuates age-related muscle loss by suppressing oxidative stress and inflammation in skeletal muscle of mice. J. Funct. Foods 2024, 112, 105980. [Google Scholar] [CrossRef]
- Auguste, S.; Yan, B.; Guo, M. Induction of mitophagy by green tea extracts and tea polyphenols: A potential anti-aging mechanism of tea. Food Biosci. 2023, 55, 102983. [Google Scholar] [CrossRef]
- Lennicke, C.; Cochemé, H.M. Redox metabolism: ROS as specific molecular regulators of cell signaling and function. Mol. Cell 2021, 81, 3691–3707. [Google Scholar] [CrossRef] [PubMed]
- Cai, J.; Liu, P.; Zhang, X.; Shi, B.; Jiang, Y.; Qiao, S.; Liu, Q.; Fang, C.; Zhang, Z. Micro-algal astaxanthin improves lambda-cyhalothrin-induced necroptosis and inflammatory responses via the ROS-mediated NF-κB signaling in lymphocytes of carp (Cyprinus carpio L.). Fish Shellfish Immun. 2023, 139, 108929. [Google Scholar] [CrossRef] [PubMed]
- Sharma, V.; Mehdi, M.M. Oxidative stress, inflammation and hormesis: The role of dietary and lifestyle modifications on aging. Neurochem. Int. 2023, 164, 105490. [Google Scholar] [CrossRef] [PubMed]
- Scarfiotti, C.; Fabris, F.; Cestaro, B.; Giuliani, A. Free radicals, atherosclerosis, ageing, and related dysmetabolic pathologies: Pathological and clinical aspects. Eur. J. Cancer Prev. 1997, 6, S31–S36. [Google Scholar] [CrossRef] [PubMed]
- Calabrese, V.; Cornelius, C.; Trovato-Salinaro, A.; Cambria, M.T.; Locascio, M.S.; Rienzo, L.D.; Condorelli, D.F.; Mancuso, C.; De Lorenzo, A.; Calabrese, E.J. The hormetic role of dietary antioxidants in free radical-related diseases. Curr. Pharm. Des. 2010, 16, 877–883. [Google Scholar] [CrossRef] [PubMed]
- Kwon, S.H.; Lee, H.K.; Kim, J.A.; Hong, S.I.; Kim, H.C.; Jo, T.H.; Park, Y.I.; Lee, C.K.; Kim, Y.B.; Lee, S.Y.; et al. Neuroprotective effects of chlorogenic acid on scopolamine-induced amnesia via anti-acetylcholinesterase and anti-oxidative activities in mice. Eur. J. Pharmacol. 2010, 649, 210–217. [Google Scholar] [CrossRef] [PubMed]
- Cavet, M.E.; Harrington, K.L.; Vollmer, T.R.; Ward, K.W.; Zhang, J.-Z. Anti-inflammatory and anti-oxidative effects of the green tea polyphenol epigallocatechin gallate in human corneal epithelial cells. Mol. Vis. 2011, 17, 533–542. [Google Scholar]
- Nakayama, T.; Kung, T.; Hiramitsu, M.; Osawa, T.; Kawakishi, S. Antioxidative and Prooxidative Activity of Caffeic Acid toward H2O2-induced DNA Strand Breakage Dependent on the State of the Fe Ion in the Medium. Biosci. Biotechnol. Biochem. 1993, 57, 174–176. [Google Scholar] [CrossRef]
- Xu, W.; Liang, Q.; Zhang, Y.; Zhao, P. Naturally Occurring Arbutin Derivatives and Their Bioactivities. Chem. Biodivers. 2015, 12, 54–81. [Google Scholar] [CrossRef]
- Meitha, K.; Pramesti, Y.; Suhandono, S. Reactive Oxygen Species and Antioxidants in Postharvest Vegetables and Fruits. Int. J. Food Sci. 2020, 2020, 8817778. [Google Scholar] [CrossRef]
- Tian, Y.; Wen, Z.; Lei, L.; Li, F.; Zhao, J.; Zhi, Q.; Li, F.; Yin, R.; Ming, J. Coreopsis tinctoria flowers extract ameliorates D-galactose induced aging in mice via regulation of Sirt1-Nrf2 signaling pathway. J. Funct. Foods 2019, 60, 103464. [Google Scholar] [CrossRef]
- Wang, D.; Wang, T.; Li, Z.; Guo, Y.; Granato, D. Green Tea Polyphenols Upregulate the Nrf2 Signaling Pathway and Suppress Oxidative Stress and Inflammation Markers in D-Galactose-Induced Liver Aging in Mice. Front. Nutr. 2022, 9, 836112. [Google Scholar] [CrossRef]
- Yi, R.; Chen, X.; Li, W.; Mu, J.; Tan, F.; Zhao, X. Preventive effect of insect tea primary leaf (Malus sieboldii (Regal) Rehd.) extract on D-galactose-induced oxidative damage in mice. Food Sci. Nutr. 2020, 8, 5160–5171. [Google Scholar] [CrossRef] [PubMed]
- Liu, B.; Ma, R.; Zhang, J.; Sun, P.; Yi, R.; Zhao, X. Preventive Effect of Small-Leaved Kuding Tea (Ligustrum robustum (Roxb.) Bl.) Polyphenols on D-Galactose-Induced Oxidative Stress and Aging in Mice. Evid.-Based Complement. Altern. Med. 2019, 2019, 3152324. [Google Scholar] [CrossRef] [PubMed]
- Li, C.; He, J.; Yang, Y.; Gou, Y.; Wang, Z.; Chen, H.; Zhao, X. White Tip Silver Needle (Slightly Fermented White Tea) Flavonoids Help Prevent Aging via Antioxidative and Anti-Inflammatory Effects. Drug Des. Dev. Ther. 2021, 15, 1441–1457. [Google Scholar] [CrossRef] [PubMed]
- Chen, P.; Lei, J.; Chen, F.; Zhou, B. Ameliorative effect of urolithin A on d-gal-induced liver and kidney damage in aging mice via its antioxidative, anti-inflammatory and antiapoptotic properties. RSC Adv. 2020, 10, 8027–8038. [Google Scholar] [CrossRef] [PubMed]
- Vu, H.T.; Song, F.V.; Tian, K.V.; Su, H.; Chass, G.A. Systematic characterisation of the structure and radical scavenging potency of Pu’Er tea (普洱茶) polyphenol theaflavin. Org. Biomol. Chem. 2019, 17, 9942–9950. [Google Scholar] [CrossRef]
- Zhao, T.; Sun, M.; Kong, L.; Xue, Q.; Wang, Y.; Wang, Y.; Khan, A.; Cao, J.; Cheng, G. Bioactivity-Guided Isolation of Phytochemicals from Vaccinium dunalianum Wight and Their Antioxidant and Enzyme Inhibitory Activities. Molecules 2021, 26, 2075. [Google Scholar] [CrossRef]
- Zhang, J.-K.; Zhou, X.-L.; Wang, X.-Q.; Zhang, J.-X.; Yang, M.-L.; Liu, Y.-P.; Cao, J.-X.; Cheng, G.-G. Que Zui tea ameliorates hepatic lipid accumulation and oxidative stress in high fat diet induced nonalcoholic fatty liver disease. Food Res. Int. 2022, 156, 111196. [Google Scholar] [CrossRef]
- Wang, Y.; Wang, Z.; Xue, Q.; Zhen, L.; Wang, Y.; Cao, J.; Liu, Y.; Khan, A.; Zhao, T.; Cheng, G. Effect of ultra-high pressure pretreatment on the phenolic profiles, antioxidative activity and cytoprotective capacity of different phenolic fractions from Que Zui tea. Food Chem. 2023, 409, 135271. [Google Scholar] [CrossRef]
- Wang, Y.P.; Wang, Y.D.; Liu, Y.P.; Cao, J.X.; Yang, M.L.; Wang, Y.F.; Khan, A.; Zhao, T.R.; Cheng, G.G. 6′-O-Caffeoylarbutin from Que Zui tea ameliorates acetaminophen-induced liver injury via enhancing antioxidant ability and regulating the PI3K signaling pathway. Food Funct. 2022, 13, 5299–5316. [Google Scholar] [CrossRef] [PubMed]
- Wang, Y.; Tian, L.; Wang, Y.; Zhao, T.; Khan, A.; Wang, Y.; Cao, J.; Cheng, G. Protective effect of Que Zui tea hot-water and aqueous ethanol extract against acetamino-phen-induced liver injury in mice via inhibition of oxidative stress, inflammation, and apoptosis. Food Funct. 2021, 12, 2468–2480. [Google Scholar] [CrossRef] [PubMed]
- Gao, S.-H.; Zhao, T.-R.; Liu, Y.-P.; Wang, Y.-F.; Cheng, G.-G.; Cao, J.-X. Phenolic constituents, antioxidant activity and neuroprotective effects of ethanol extracts of fruits, leaves and flower buds from Vaccinium dunalianum Wight. Food Chem. 2021, 374, 131752. [Google Scholar] [CrossRef] [PubMed]
- El-Khair, D.M.A.; El-Safti, F.E.N.A.; Nooh, H.Z.; El-Mehi, A.E. A comparative study on the effect of high cholesterol diet on the hippocampal CA1 area of adult and aged rats. Anat. Cell Biol. 2014, 47, 117–126. [Google Scholar] [CrossRef] [PubMed]
- Sha, J.Y.; Li, J.H.; Zhou, Y.D.; Yang, J.Y.; Liu, W.; Jiang, S.; Wang, Y.P.; Zhang, R.; Di, P.; Li, W. The p53/p21/p16 and PI3K/Akt signaling pathways are involved in the ameliorative effects of maltol on D-galactose-induced liver and kidney aging and injury. Phytother. Res. 2021, 35, 4411–4424. [Google Scholar] [CrossRef] [PubMed]
- Cheng, C.-S.; Gu, Q.-H.; Zhang, J.-K.; Tao, J.-H.; Zhao, T.-R.; Cao, J.-X.; Cheng, G.-G.; Lai, G.-F.; Liu, Y.-P. Phenolic constituents, antioxidant and cytoprotective activities, enzyme inhibition abilities of five fractions from vaccinium dunalianum wight. Molecules 2022, 27, 3432. [Google Scholar] [CrossRef] [PubMed]
- Seydi, E.; Mehrpouya, L.; Sadeghi, H.; Rahimi, S.; Pourahmad, J. Luteolin attenuates Fipronil-induced neurotoxicity through reduction of the ROS-mediated oxidative stress in rat brain mitochondria. Pestic. Biochem. Physiol. 2021, 173, 104785. [Google Scholar] [CrossRef]
- Nilsson, G.E. Brain and body oxygen requirements of Gnathonemus petersii, a fish with an exceptionally large brain. J. Exp. Biol. 1996, 199, 603–607. [Google Scholar] [CrossRef]
- Hong, Z.J.; Yi, M.X.; Jin, Z.; Yan, X.C.; Jun, L.; Si, Z.M.; Peng, L.C.; Jie, C.; Yu, L.; Ping, W.Y. Ginsenoside Rg1 prevents cognitive impairment and hippocampus senescence in a rat model of D-galactose-induced aging. PLoS ONE 2014, 9, e101291. [Google Scholar]
- Zhang, J.-J.; Chen, K.-C.; Yin, J.-Y.; Zheng, Y.-N.; Chen, R.-X.; Liu, W.; Tang, S.; Zhang, J.; Zhang, M.; Wang, Z.; et al. AFG, an important maillard reaction product in red ginseng, alleviates D-galactose-induced brain aging in mice via correcting mitochondrial dysfunction induced by ROS accumulation. Eur. J. Pharmacol. 2023, 952, 175824. [Google Scholar] [CrossRef]
- Koyuncu, A.G.; Cumbul, A.; Akyüz, E.Y.; Noval, M.K.A. Pomegranate seed oil mitigates liver and kidney damage in an experimental colitis model: Modulation of NF-κB activation and apoptosis. Prostaglandins Other Lipid Mediat. 2024, 171, 106804. [Google Scholar] [CrossRef] [PubMed]
- Menezes, L.B.; Segat, B.B.; Tolentino, H.; Pires, D.C.; Mattos, L.M.d.M.; Hottum, H.M.; Pereira, M.D.; Latini, A.; Horn, A., Jr.; Fernandes, C. ROS scavenging of SOD/CAT mimics probed by EPR and reduction of lipid peroxidation in S. cerevisiae and mouse liver, under severe hydroxyl radical stress condition. J. Inorg. Biochem. 2023, 239, 112062. [Google Scholar] [CrossRef] [PubMed]
- Zhang, J.; Wei, Q.; Li, Q.; Liu, R.; Tang, L.; Song, Y.; Luo, J.; Liu, S.; Wang, P. Effects of hybrid Broussonetia papyrifera silage on growth performance, visceral organs, blood biochemical indices, antioxidant indices, and carcass traits in dairy goats. Anim. Feed. Sci. Technol. 2022, 292, 115435. [Google Scholar] [CrossRef]
- Tammaro, A.; Daniels, E.G.; Hu, I.M.; C‘t Hart, K.; Reid, K.; Juni, R.P.; Butter, L.M.; Vasam, G.; Kamble, R.; Jongejan, A.; et al. HDAC1/2 inhibitor therapy improves multiple organ systems in aged mice. iScience 2024, 27, 108681. [Google Scholar] [CrossRef] [PubMed]
- Ajiboye, B.; Dada, S.; Fatoba, H.; Lawal, O.; Oyeniran, O.; Adetuyi, O.; Olatunde, A.; Taher, M.; Khotib, J.; Susanti, D.; et al. Dalbergiella welwitschia (Baker) Baker f. alkaloid-rich extracts attenuate liver damage in streptozotocin-induced diabetic rats. Biomed. Pharmacother. 2023, 168, 115681. [Google Scholar] [CrossRef] [PubMed]
- Huo, T.; Zhang, W.; Yang, J.; Li, J.; Zhang, Y.; Guo, H.; Wu, X.; Li, A.; Feng, C.; Jiang, H. Effects of chronic realgar exposure on liver lipidome in mice and identification sensitive lipid biomarker model for realgar-induced liver damage. Toxicol. Lett. 2023, 372, 1–13. [Google Scholar] [CrossRef] [PubMed]
- Ying, X.; Pan, Y.; Lan, J.; Fang, Y.; Ding, Y.-Y.; Gu, Z. Preparation of pectin from fingered citron peel and its protective effect on cadmium-induced liver and kidney damage in mice. Food Biosci. 2023, 56, 103359. [Google Scholar] [CrossRef]
- Alak, G.; Turkez, H.; Ucar, A.; Yeltekin, A.C.; Ozgeris, F.B.; Parlak, V.; Atamanalp, M. Neuroprotective properties of borax against aluminum hydroxide-induced neurotoxicity: Possible role of Nrf-2/BDNF/AChE pathways in fish brain. Brain Res. 2023, 1803, 148241. [Google Scholar] [CrossRef]
- Hu, Y.; Li, M.; Wang, Y.; Xue, Q.; Luo, X.; Khan, A.; Zhao, T.; Liu, Y.; Wang, Z.; Wang, Y.; et al. Protective effect of hot-water and ethanol-aqueous extracts from Anneslea fragrans against acetaminophen-induced acute liver injury in mice. Food Chem. Toxicol. 2023, 179, 113973. [Google Scholar] [CrossRef]
- Calderón-Garcidueñas, A.L.; Barradas-Dermitz, D.M.; Nolasco-Hipolito, C.; López-Amador, N.; Ajibola, O.O.; Carvajal-Zarrabal, O. Functional and histological effects of Anthurium schlechtendalii Kunth extracts on adenine-induced kidney damage of adult Wistar rats. Toxicon 2023, 233, 107272. [Google Scholar] [CrossRef]
- Zhang, J.; Chen, Y.; Wang, Z.; Zhou, W.; Ullah, H.; Cao, J.; Liu, Y.; Cheng, G. The protective effect and mechanism of Mangifera on D-galactose-induced oxidative stress and cognitive impairment in aging mice by an integrated network pharmacology and experimental validation strategy. Food Front. 2023, 4, 1927–1945. [Google Scholar] [CrossRef]
- Zhang, L.; Xu, L.Y.; Tang, F.; Liu, D.; Zhao, X.L.; Zhang, J.N.; Xia, J.; Wu, J.J.; Yang, Y.; Peng, C.; et al. New perspectives on the therapeutic potential of quercetin in non-communicable diseases: Targeting Nrf2 to counteract oxidative stress and inflammation. J. Pharm. Anal. 2024; in press. [Google Scholar] [CrossRef]
- Gao, L.; Wang, J.; Sekhar, K.R.; Yin, H.; Yared, N.F.; Schneider, S.N.; Sasi, S.; Dalton, T.P.; Anderson, M.E.; Chan, J.Y.; et al. Novel n-3 Fatty Acid Oxidation Products Activate Nrf2 by Destabilizing the Association between Keap1 and Cullin3. J. Biol. Chem. 2007, 282, 2529–2537. [Google Scholar] [CrossRef] [PubMed]
- Li, A.; Chen, S.; Yang, Z.; Luan, C.; Lu, W.; Hao, F.; Tang, Y.; Han, X.; Wang, D. 4-Methylguaiacol alleviated alcoholic liver injury by increasing antioxidant capacity and en-hancing autophagy through the Nrf2-Keap1 pathway. Food Biosci. 2023, 51, 102160. [Google Scholar] [CrossRef]
- Gill, T.; Levine, A.D. Mitochondria-derived hydrogen peroxide selectively enhances T Cell receptor-initiated signal trans-duction. J. Biol. Chem. 2013, 288, 26246–26255. [Google Scholar] [CrossRef] [PubMed]
- Yuan, Y.; Yucai, L.; Lu, L.; Hui, L.; Yong, P.; Haiyang, Y. Acrylamide induces ferroptosis in HSC-T6 cells by causing antioxidant imbalance of the XCT-GSH-GPX4 signaling and mitochondrial dysfunction. Toxicol. Lett. 2022, 368, 24–32. [Google Scholar] [CrossRef]
- Chen, J.; Zhou, Z.; Wu, N.; Li, J.; Xi, N.; Xu, M.; Wu, F.; Fu, Q.; Yan, G.; Liu, Y.; et al. Chlorogenic acid attenuates deoxynivalenol-induced apoptosis and pyroptosis in human keratinocytes via activating Nrf2/HO-1 and inhibiting MAPK/NF-κB/NLRP3 pathways. Biomed. Pharmacother. 2024, 170, 116003. [Google Scholar] [CrossRef]
- Chen, X.; Yang, J.H.; Cho, S.S.; Kim, J.H.; Xu, J.; Seo, K.; Ki, S.H. 5-Caffeoylquinic acid ameliorates oxidative stress-mediated cell death via Nrf2 activation in hepatocytes. Pharm. Biol. 2020, 58, 999–1005. [Google Scholar] [CrossRef]
- Sosnowska, B.; Mazidi, M.; Penson, P.; Gluba-Brzózka, A.; Rysz, J.; Banach, M. The sirtuin family members SIRT1, SIRT3 and SIRT6: Their role in vascular biology and atherogenesis. Atherosclerosis 2017, 265, 275–282. [Google Scholar] [CrossRef]
- Wang, W.; Liu, F.; Xu, C.; Liu, Z.; Ma, J.; Gu, L.; Jiang, Z.; Hou, J. Lactobacillus plantarum 69-2 Combined with Galacto-Oligosaccharides Alleviates d-Galactose-Induced Aging by Regulating the AMPK/SIRT1 Signaling Pathway and Gut Microbiota in Mice. J. Agric. Food Chem. 2021, 69, 2745–2757. [Google Scholar] [CrossRef]
- Kim, M.; Cho, K.-H.; Shin, M.-S.; Lee, J.-M.; Cho, H.-S.; Kim, C.-J.; Shin, D.-H.; Yang, H.J. Berberine prevents nigrostriatal dopaminergic neuronal loss and suppresses hippocampal apoptosis in mice with Parkinson’s disease. Int. J. Mol. Med. 2014, 33, 870–878. [Google Scholar] [CrossRef] [PubMed]
- Ullah, F.; Ali, T.; Ullah, N.; Kim, M.O. Caffeine prevents d-galactose-induced cognitive deficits, oxidative stress, neuroinflammation and neurodegeneration in the adult rat brain. Neurochem. Int. 2015, 90, 114–124. [Google Scholar] [CrossRef] [PubMed]
- Zhang, X.; Wu, J.-Z.; Lin, Z.-X.; Yuan, Q.-J.; Li, Y.-C.; Liang, J.-L.; Zhan, J.Y.-X.; Xie, Y.-L.; Su, Z.-R.; Liu, Y.-H. Ameliorative effect of supercritical fluid extract of Chrysanthemum indicum Linnén against D-galactose induced brain and liver injury in senescent mice via suppression of oxidative stress, inflammation and apoptosis. J. Ethnopharmacol. 2019, 234, 44–56. [Google Scholar] [CrossRef] [PubMed]
- Xu, L.Q.; Xie, Y.L.; Gui, S.H.; Zhang, X.; Mo, Z.Z.; Sun, C.Y.; Li, C.L.; Luo, D.D.; Zhang, Z.B.; Su, Z.R.; et al. Polydatin attenuates D-galactose-induced liver and brain damage through its anti-oxidative, anti-inflammatory and anti-apoptotic effects in mice. Food Funct. 2016, 7, 4545–4555. [Google Scholar] [CrossRef] [PubMed]
- Patel, J.R.; Brewer, G.J. Age-related differences in NFκB translocation and Bcl-2/Bax ratio caused by TNFα and Abeta42 promote survival in middle-age neurons and death in old neurons. Exp. Neurol. 2008, 213, 93–100. [Google Scholar] [CrossRef] [PubMed]
- Salimi, R.; Naderi, R.; Shirpoor, A. Involvement of miR-27a/smurf1/ TNF-α and mitochondrial apoptotic pathway in apoptosis induced by cerebral ischemia–reperfusion injury in rats: The protective effect of chlorogenic acid. Neurosci. Lett. 2023, 817, 137529. [Google Scholar] [CrossRef] [PubMed]
- Zhang, Q.; Jiang, Y.; Toutounchian, J.; Wilson, M.W.; Morales-Tirado, V.; Miller, D.D.; Yates, C.R.; Steinle, J.J. Novel Quinic Acid Derivative KZ-41 Prevents Retinal Endothelial Cell Apoptosis Without Inhibiting Retinoblastoma Cell Death Through p38 Signaling. Investig. Opthalmol. Vis. Sci. 2013, 54, 5937–5943. [Google Scholar] [CrossRef] [PubMed]
- Yang, M.; Ma, Y.; Wang, Z.; Khan, A.; Zhou, W.; Zhao, T.; Cao, J.; Cheng, G.; Cai, S. Phenolic constituents, antioxidant and cytoprotective activities of crude extract and fractions from cultivated artichoke inflorescence. Ind. Crop Prod. 2019, 143, 111433. [Google Scholar] [CrossRef]
- Ma, Q.; Chen, Y.; Zhang, X.; Cai, S.; Sun, Y.; Ma, N.; Yi, J. Crateva unilocularis Buch. shoots attenuate d-galactose-induced brain injury and cognitive disorders of mice through the PI3K/Akt/Nrf2 pathway. Food Funct. 2022, 13, 3465–3480. [Google Scholar] [CrossRef]
- Wang, Y.; Njateng, G.S.S.; Zhao, T.; Yang, M.; Wang, Y.; Cao, J.; Liu, Y.; Cheng, G. Evaluation of Acute and Subacute Toxicity of Two Different Extracts from Que Zui Tea in Rats. Efood 2021, 2, 81–91. [Google Scholar] [CrossRef]
- Wang, Y.; Fan, Z.; Yang, M.; Wang, Y.; Cao, J.; Khan, A.; Liu, Y.; Cheng, G. Protective effects of E Se tea extracts against alcoholic fatty liver disease induced by high fat/alcohol diet: In vivo biological evaluation and molecular docking study. Phytomedicine 2022, 101, 154113. [Google Scholar] [CrossRef]
- Liu, Y.; Grimm, M.; Dai, W.-T.; Hou, M.-C.; Xiao, Z.-X.; Cao, Y. CB-Dock: A web server for cavity detection-guided protein–ligand blind docking. Acta Pharmacol. Sin. 2020, 41, 138–144. [Google Scholar] [CrossRef] [PubMed]
- Cao, Y.; Li, L. Improved protein–ligand binding affinity prediction by using a curvature-dependent surface-area model. Bioinformatics 2014, 30, 1674–1680. [Google Scholar] [CrossRef]









| Peak | TR (min) | [M-H]− (m/z) | MS/MS Fragment Ions | Error (ppm) | Molecular | Compounds |
|---|---|---|---|---|---|---|
| 1 | 1.17 | 191.0562 | 85.0284, 93.0336, 191.0557 | 1.389 | C7H12O6 | quinic acid |
| 2 | 1.53 | 271.0823 | 71.0124, 108.0202, 110.0317 | 7.044 | C19H12O2 | arbutin |
| 3 | 3.00 | 341.0877 | 59.0124, 135.0439, 161.0234, 179.0342, 221.0445 | 3.024 | C15H18O9 | 6-O-trans-caffeoyl-d-glucopyranose |
| 4 | 3.83 | 353.0878 | 85.0280, 127.0389, 191.0553 | 3.091 | C16H18O9 | chlorogenic acid |
| 5 | 5.35 | 179.0341 | 89.0382, 134.0361, 135.0448 | 1.144 | C9H8O4 | caffeic acid |
| 6 | 6.86 | 319.0458 | 57.0332, 83.0123, 125.0232, 193.0133 | 3.311 | C15H12O8 | Ampeloptin |
| 7 | 8.60 | 595.1670 | 161.0233, 323.0770, 433.1137 | 2.291 | C27H32O15 | Neoeriocitrin |
| 8 | 10.49 | 433.1137 | 161.0233, 179.0339 | 1.886 | C21H22O10 | 6′-O-caffeoylarbutin |
| 9 | 11.49 | 463.1247 | 139.0389, 161.0233 | 2.531 | C22H23ClO11 | Peonidin 3-O-glucoside chloride |
| 10 | 12.96 | 417.1224 | 145.0284, 163.0390 | 2.712 | C21H22O9 | robustaside A |
| 11 | 13.92 | 447.1296 | 145.0284, 160.0155, 175.0390, 193.0499 | 2.453 | C21H20O11 | kaempferol-3-O-β-d-glucopyranoside |
| 12 | 15.42 | 475.1245 | 161.0233, 179.0340, 475.1274 | 2.032 | C23H24O11 | dunalianoside E |
| Body Weight (g) | Food Intake (g per Mouse per Day) | Organ Index (mg/g) | ||||
|---|---|---|---|---|---|---|
| Group | Initial | Final | Brain | Liver | Kidney | |
| Control | 36.74 ± 2.42 | 41.70 ± 2.89 | 4.64 ± 0.39 | 9.42 ± 0.13 | 44.12 ± 1.69 | 6.71 ± 0.12 |
| Model | 37.49 ± 1.61 | 44.40 ± 0.33 | 4.79 ± 0.40 | 8.90 ± 0.15 # | 39.71 ± 2.05 # | 6.42 ± 0.07 # |
| VE | 38.21 ± 3.56 | 43.03 ± 1.48 | 4.33 ± 0.44 | 9.23 ± 0.14 * | 45.18 ± 2.25 * | 6.72 ± 0.14 * |
| QEL | 35.62 ±3.60 | 41.33 ± 2.32 | 4.65 ± 0.42 | 9.15 ± 0.10 * | 43.13 ± 1.25 * | 6.83 ± 0.18 * |
| QEH | 39.15 ±2.12 | 44.79 ± 0.95 | 4.59 ± 0.38 | 9.11 ± 0.13 * | 46.05 ± 1.41 * | 6.80 ± 0.21 * |
| BE (Kcal/mol) | Cavity Volume (Å3) | Center (x, y, z) | Docking Size (x, y, z) | Chain Break Threshold | |
|---|---|---|---|---|---|
| Nrf2 (7k2a) | |||||
| 6′-O-caffeoylarbutin | −10.4 | 536 | −28, 19, 6 | 26, 26, 26 | 7 |
| Chlorogenic acid | −9.4 | 536 | −28, 19, 6 | 23, 23, 23 | 7 |
| Quinic acid | −7.2 | 536 | −28, 19, 6 | 25, 17, 28 | 7 |
| Robustaside A | −10.4 | 536 | −28, 19, 6 | 23, 23, 23 | 7 |
| SIRT1 (4zzi) | |||||
| 6′-O-caffeoylarbutin | −9.1 | 6561 | 7, 47, −4 | 23, 35, 23 | 7 |
| Chlorogenic acid | −8.6 | 6561 | 7, 47, −4 | 23, 35, 23 | 7 |
| Quinic acid | −6.1 | 6561 | 7, 47, −4 | 26, 35, 28 | 7 |
| Robustaside A | −9.8 | 6561 | 7, 47, −4 | 23, 35, 23 | 7 |
Disclaimer/Publisher’s Note: The statements, opinions and data contained in all publications are solely those of the individual author(s) and contributor(s) and not of MDPI and/or the editor(s). MDPI and/or the editor(s) disclaim responsibility for any injury to people or property resulting from any ideas, methods, instructions or products referred to in the content. |
© 2024 by the authors. Licensee MDPI, Basel, Switzerland. This article is an open access article distributed under the terms and conditions of the Creative Commons Attribution (CC BY) license (https://creativecommons.org/licenses/by/4.0/).
Share and Cite
Wang, Y.; Wang, Y.; Zhao, T.; Li, M.; Wang, Y.; Cao, J.; Liu, Y.; Wang, Z.; Cheng, G. Protective Effect of Que Zui Tea on d-Galactose-Induced Oxidative Stress Damage in Mice via Regulating SIRT1/Nrf2 Signaling Pathway. Molecules 2024, 29, 1384. https://doi.org/10.3390/molecules29061384
Wang Y, Wang Y, Zhao T, Li M, Wang Y, Cao J, Liu Y, Wang Z, Cheng G. Protective Effect of Que Zui Tea on d-Galactose-Induced Oxidative Stress Damage in Mice via Regulating SIRT1/Nrf2 Signaling Pathway. Molecules. 2024; 29(6):1384. https://doi.org/10.3390/molecules29061384
Chicago/Turabian StyleWang, Yongchao, Yongpeng Wang, Tianrui Zhao, Mengcheng Li, Yudan Wang, Jianxin Cao, Yaping Liu, Zhengxuan Wang, and Guiguang Cheng. 2024. "Protective Effect of Que Zui Tea on d-Galactose-Induced Oxidative Stress Damage in Mice via Regulating SIRT1/Nrf2 Signaling Pathway" Molecules 29, no. 6: 1384. https://doi.org/10.3390/molecules29061384
APA StyleWang, Y., Wang, Y., Zhao, T., Li, M., Wang, Y., Cao, J., Liu, Y., Wang, Z., & Cheng, G. (2024). Protective Effect of Que Zui Tea on d-Galactose-Induced Oxidative Stress Damage in Mice via Regulating SIRT1/Nrf2 Signaling Pathway. Molecules, 29(6), 1384. https://doi.org/10.3390/molecules29061384

