Abstract
Moringa oleifera Lam, commonly known as moringa, is a plant widely used both as a human food and for medicinal purposes around the world. This research aimed to evaluate the efficacy of the aqueous extract of Moringa oleifera leaves (MoAE) and benzyl isothiocyanate (BIT) in rats with induced breast cancer. Cancer was induced with 7,12-dimethylbenz[a]anthracene (DMBA) at a dose of 60 mg/kg by orogastric gavage once only. Forty-eight rats were randomly assigned to eight groups, each consisting of six individuals. The control group (healthy) was called Group I. Group II received DMBA plus saline. In addition to DMBA, Groups III, IV, and V received MoAE at 100, 250, and 500 mg/kg/day, respectively, while Groups VI, VII, and VIII received BIT at 5, 10, and 20 mg/kg/day, respectively. Treatment was carried out for 13 weeks. Secondary metabolite analysis results identified predominantly quercetin, caffeoylquinic acid, neochlorogenic acid, vitexin, and kaempferol, as well as tropone, betaine, loliolide, and vitexin. The administration of MoAE at a dose of 500 mg/kg and BIT at 20 mg/kg exhibited a notable decrease in both the total tumor count and the cumulative tumor weight, along with a delay in their onset. Furthermore, they improved the histological grade. A significant decrease in serum levels of VEGF and IL-1β levels was observed (p < 0.001) with a better effect demonstrated with MoAE at 500 mg/kg and BIT at 20 mg/kg. In conclusion, this study suggests that both the aqueous extract of Moringa oleifera leaves and the benzyl isothiocyanate possess antitumor properties against mammary carcinogenesis, and this effect could be due, at least in part, to the flavonoids and isothiocyanates present in the extract.
1. Introduction
Breast cancer represents a significant challenge due to its high incidence and mortality rates in women worldwide [1]. According to data from the World Health Organization, in 2020, breast cancer was diagnosed in 2.3 million women and 685,000 women succumbed to the disease [2]. This scenario includes the marked adverse effects associated with chemotherapeutic agents [3]. Additionally, tumor cells have developed various mechanisms to induce resistance to chemotherapeutic treatments, a phenomenon known as chemoresistance, which significantly weakens efforts to combat breast cancer [4].
Natural compounds, through various mechanisms of action, present a potential inhibitor of drug resistance in cancer [5]. Furthermore, a synergistic interaction has been documented between secondary metabolites from plants and conventional chemotherapeutic drugs, which generates a greater antitumor effect and reduces associated toxicity [6]. In addition, several natural compounds have been identified for their chemosensitizing effect on cancer cells, increasing the cytotoxicity of drugs commonly used in chemotherapy [7].
Moringa oleifera Lam, which belongs to the Brassicales order, is widely known as moringa, horseradish tree, and drumstick tree, among other appellations, and is currently grown in various parts of the world [8]. It stands out as the most known and widely used among the 14 species recognized within the Moringa genus [9]. This plant is used both as food for human consumption and for medicinal purposes around the world, as numerous studies have identified various health benefits, including nutritional benefits and medicinal properties [10]. Its global recognition is due to its multiple medicinal applications, which has earned it the nickname “miracle tree” [11].
Scientific studies have shown the ability of Moringa oleifera to fight different types of cancer. The ethanolic and aqueous extracts of leaves has been reported to possess antiproliferative properties in colon cancer cell lines [12,13]. The hydroalcoholic extract of the leaves has shown an impact on Ehrlich solid tumor generated by the implantation of Ehrlich ascites carcinoma cells in mice, reducing the formation of micronuclei and DNA damage, and inhibiting the expression of the inducible nitric oxide synthase (iNOS), vascular endothelial growth factor (VEGF), p53 protein (p53) mutation, and B cell lymphoma 2 (Bcl-2) genes [14]. On the other hand, the aqueous extract of leaves has exhibited antiproliferative properties in A549 lung cancer cells, evidencing a pro-apoptotic action by significantly increasing the expression of p53, caspase-9, caspase-3, and caspase-7 proteins [15]. Furthermore, the methanolic extract of the leaves has significantly inhibited cell survival and induced apoptosis, associated with a marked increase in Bax and a decrease in Bcl-2 in the human prostate cancer cell line DU145 [16]. Similarly, inhibition of MCF-7 cell proliferation in breast cancer has been demonstrated by aqueous seed extract and the dichloromethane extract of moringa leaves [17,18].
The predominant phytochemical compounds in Moringa oleifera Lam are glucosinolates, followed by phenols and flavonoids. Leaves and seeds have been reported to harbor the highest concentrations of glucosinolates, which are precursors to isothiocyanates. Among them, benzylglucosinolate is the most abundant in leaves and, by the catalytic action of myrosinase, it is transformed into benzyl isothiocyanate [19,20].
The lack of specificity, high toxicity, and common resistance associated with conventional chemotherapy motivate the exploration of alternative sources with a more favorable profile in terms of efficacy and safety. Considering this context and taking into account that so far only in vitro antiproliferative activity of moringa leaf extracts and its main secondary metabolite, benzyl isothiocyanate, have been reported against breast cancer cells, with no in vivo studies available, we designed this research to evaluate the impact of MoAE and BIT on murine breast carcinogenesis.
2. Results and Discussion
2.1. Phytochemical Analysis of MoAE
The components identified in the MoAE by an ultra-performance liquid chromatography system coupled to a quadrupole time-of-flight mass spectrometer (UHPLC–Q-TOF/MS), either in negative or positive ionization mode, are presented in Figure 1, Table 1 and Table 2, respectively. In the negative mode, among the secondary metabolites, the presence of quercetin (glycosylated at C3) was determined, represented by quercetin-3-glucoside, quercetin-3-(6″-malonylglucoside) and quercetin-3-(6″-acetylglucoside). Other compounds such as caffeoylquinic acid, neochlorogenic acid, vitexin, and kaempferol 3-alpha-D-galactoside were also identified. Quinic acid, pinolenic acid, and rutin were detected with lower intensity.
Figure 1.
Chromatogram of the aqueous extract of moringa leaves, using UHPLC–Q-TOF/MS. (A) Negative ionization mode; (B) positive ionization mode.
In the positive mode, glycosylated quercetin, tropone, betaine, vitexin, loliolide, and kaempferol were identified. However, compounds such as ramelteon (TAK 375), D-pipecolic acid, isorhamnetin 3-glucoside, isoorientin, viscidulin I, 6-methylquinoline, 5-O-feruloylquinic acid, and rutin, among others, were detected with diminished intensity. In addition, primary metabolites such as sucrose, D-fructose; essential amino acids (which the organism cannot synthesize) leucine, isoleucine, phenylalanine, and valine; non-essential amino acids proline, arginine, glutamate and alanine; and the vitamins pyridoxine (vitamin B6), riboflavin (vitamin B2), and pantothenic acid (vitamin B5) were identified.
However, although authors such as Förster [19] and Waterman [20] recognize that BIT is a component of Moringa oleifera leaves, in this study its presence was not detected in MoAE. This may be attributed to our use of water extraction at 100 °C. Temperatures above 80 °C have been observed to lead to inactivation of myrosinase [20], thus preventing BIT formation. Therefore, the extraction of hot water at 100 °C poses a drawback, as it hinders the formation of BIT, a pharmacologically important compound. Al-Asmari [21] used gas chromatography coupled with mass spectrometry (GC/MS) to detect BIT in an alcoholic extract concentrated in a rotary evaporator at 50 °C, as reported.
Table 1.
Chemical composition of aqueous extract of moringa analyzed by UHPLC–Q-TOF/MS (negative mode).
Table 1.
Chemical composition of aqueous extract of moringa analyzed by UHPLC–Q-TOF/MS (negative mode).
| N° | Compound Name | Formula | Theoretical Mass (m/z) | Experimental Mass (m/z) | Error (ppm) | RT (min) | Ref. |
|---|---|---|---|---|---|---|---|
| 1 | Gluconic acid | C6H12O7 | 195.0510 | 195.0514 | 2.07 | 0.72 | [22] |
| 2 | D-Arabinonic acid | C5H10O6 | 165.0405 | 165.0407 | 1.62 | 0.72 | [22] |
| 3 | D-Fructose | C6H12O6 | 179.0561 | 179.0565 | 2.06 | 0.73 | [23] |
| 4 | Threonic acid | C4H8O5 | 135.0299 | 135.0301 | 1.28 | 0.74 | [24] |
| 6 | Quinic acid | C7H12O6 | 191.0561 | 191.0565 | 1.82 | 0.77 | [25] |
| 7 | Sucrose | C12H22O11 | 341.1089 | 341.1096 | 1.95 | 0.78 | [23] |
| 8 | Malic acid | C4H6O5 | 133.0142 | 133.0144 | 1.45 | 0.86 | [22] |
| 9 | Malonic acid | C3H4O4 | 103.0037 | 103.0038 | 1.05 | 0.90 | [26] |
| 10 | 3-Aminobutanoic acid | C4H9NO2 | 102.0561 | 102.0561 | 0.67 | 0.96 | [27] |
| 11 | Uric acid | C5H4N4O3 | 167.0211 | 167.0214 | 2.01 | 1.02 | [22] |
| 12 | Citric acid | C6H8O7 | 191.0197 | 191.0202 | 2.59 | 1.03 | [22] |
| 13 | Pyromucic acid | C5H4O3 | 111.0088 | 111.0089 | 1.55 | 1.03 | [28] |
| 14 | Succinic acid | C4H6O4 | 117.0193 | 117.0195 | 1.18 | 1.31 | [29] |
| 15 | L-Phenylalanine | C9H11NO2 | 164.0717 | 164.0720 | 2.00 | 1.86 | [22] |
| 16 | 2,5-dihydroxybenzoic acid | C7H6O4 | 153.0193 | 153.0196 | 1.62 | 2.09 | [30] |
| 17 | Neochlorogenic acid | C16H18O9 | 353.0878 | 353.0886 | 2.16 | 2.18 | [24] |
| 18 | Hydroxyphenyllactic acid | C9H10O4 | 181.0506 | 181.0510 | 1.98 | 2.27 | [31] |
| 19 | 2-Isopropylmalic acid | C7H12O5 | 175.0612 | 175.0616 | 2.07 | 2.50 | [32] |
| 20 | Caffeoylquinic acid | C16H18O9 | 353.0878 | 353.0885 | 2.05 | 2.55 | [33] |
| 21 | Saponarin | C27H30O15 | 593.1512 | 593.1523 | 1.78 | 2.94 | [34] |
| 22 | Rutin | C27H30O16 | 609.1461 | 609.1469 | 1.28 | 3.19 | [35] |
| 23 | Vitexin | C21H20O10 | 431.0984 | 431.0992 | 1.83 | 3.27 | [32] |
| 24 | Quercetin 3-glucoside | C21H20O12 | 463.0882 | 463.0890 | 1.66 | 3.32 | [35] |
| 25 | 3-phenyllactic acid | C9H10O3 | 165.0557 | 165.0560 | 1.47 | 3.39 | [31] |
| 26 | Quercetin 3-(6″-malonylglucoside) | C24H22O15 | 549.0886 | 549.0896 | 1.78 | 3.44 | [35] |
| 27 | Quercetin 3-(6″-acetylglucoside) | C23H22O13 | 505.0988 | 505.0997 | 1.77 | 3.44 | [31] |
| 28 | Kaempferol 3-alpha-D-galactoside | C21H20O11 | 447.0933 | 447.0941 | 1.87 | 3.56 | [35] |
| 29 | Kaempherol 3-O-(6-malonylgalactopyranoside) | C24H22O14 | 533.0937 | 533.0946 | 1.63 | 3.72 | [35] |
| 30 | Azelaic acid | C9H16O4 | 187.0976 | 187.0980 | 1.96 | 3.82 | [31] |
| 31 | Hieracin | C15H10O7 | 301.0354 | 301.0361 | 2.27 | 4.37 | [36] |
| 32 | Kaempferol | C15H10O6 | 285.0405 | 285.0411 | 2.17 | 4.87 | [37] |
| 33 | Kaempferide | C16H12O6 | 299.0561 | 299.0571 | 3.40 | 4.93 | [38] |
| 34 | 6-Methoxyluteolin | C16H12O7 | 315.0510 | 315.0517 | 2.17 | 4.98 | [39] |
| 35 | Pinolenic Acid | C18H30O2 | 277.2173 | 277.2178 | 1.64 | 8.54 | [40] |
Table 2.
Chemical composition of aqueous extract of moringa analyzed by UHPLC–Q-TOF/MS (positive mode).
Table 2.
Chemical composition of aqueous extract of moringa analyzed by UHPLC–Q-TOF/MS (positive mode).
| N° | Compound Name | Formula | Theoretical Mass (m/z) | Experimental Mass (m/z) | Error (ppm) | RT (min) | Ref. |
|---|---|---|---|---|---|---|---|
| 1 | D-Arginine | C6H14N4O2 | 175.1190 | 175.1186 | 2.01 | 0.66 | [22] |
| 2 | Choline | C5H13NO | 104.1070 | 104.1069 | 0.86 | 0.69 | [31] |
| 3 | L-Glutamic acid | C5H9NO4 | 148.0604 | 148.0604 | 0.23 | 0.69 | [22] |
| 4 | Betaine | C5H11NO2 | 118.0863 | 118.0861 | 1.31 | 0.70 | [41] |
| 5 | Muramic acid | C9H17NO7 | 252.1078 | 252.1073 | 1.90 | 0.70 | [42] |
| 6 | Glucosamine | C6H13NO5 | 180.0866 | 180.0863 | 1.94 | 0.71 | [43] |
| 7 | D-Proline | C5H9NO2 | 116.0706 | 116.0705 | 0.90 | 0.75 | [26] |
| 8 | Trigonelline | C7H7NO2 | 138.0550 | 138.0547 | 1.99 | 0.76 | [44] |
| 9 | Furfural | C5H4O2 | 97.0284 | 97.0284 | 0.06 | 0.76 | [45] |
| 10 | N2-Acetyl-L-ornithine | C7H14N2O3 | 175.1077 | 175.1079 | 1.03 | 0.8 | [46] |
| 11 | Proline betaine | C7H13NO2 | 144.1019 | 144.1016 | 2.12 | 0.83 | [47] |
| 12 | 4-Hydroxypyridine | C5H5NO | 96.0444 | 96.0444 | 0.10 | 0.87 | |
| 13 | Glu Ala | C8H14N2O5 | 219.0975 | 219.0977 | 0.69 | 0.91 | |
| 14 | L-Valine | C5H11NO2 | 118.0863 | 118.0861 | 1.31 | 0.93 | [26] |
| 15 | D-Pipecolic acid | C6H11NO2 | 130.0863 | 130.0861 | 1.19 | 0.97 | [48] |
| 16 | Isonicotinic acid | C6H5NO2 | 124.0393 | 124.0391 | 1.65 | 1.01 | [31] |
| 17 | 3-Aminosalicylic acid | C7H7NO3 | 154.0499 | 154.0496 | 1.75 | 1.15 | [49] |
| 18 | D-Pyroglutamic acid | C5H7NO3 | 130.0499 | 130.0496 | 2.08 | 1.21 | [50] |
| 19 | Pyridoxine (Vitamin B6) | C8H11NO3 | 170.0812 | 170.0812 | 0.18 | 1.21 | [31] |
| 20 | Phenacylamine | C8H9NO | 136.0757 | 136.0753 | 2.87 | 1.27 | |
| 21 | Salsolinol | C10H13NO2 | 180.1019 | 180.1015 | 2.25 | 1.32 | [51] |
| 22 | Tropone | C7H6O | 107.0491 | 107.0490 | 1.32 | 1.34 | [52] |
| 23 | Euparin | C13H12O3 | 217.0859 | 217.0855 | 1.94 | 1.34 | [53] |
| 24 | 2,6-Dihydroxynaphthalene | C10H8O2 | 161.0597 | 161.0594 | 1.90 | 1.34 | |
| 25 | D-Isoleucine | C6H13NO2 | 132.1019 | 132.1017 | 1.55 | 1.39 | [26] |
| 26 | Vidarabine | C10H13N5O4 | 268.1040 | 268.1035 | 1.98 | 1.39 | [54] |
| 27 | N-(1-Deoxy-D-fructos-1-yl)-D-leucine | C12H23NO7 | 294.1547 | 294.1540 | 2.48 | 1.44 | |
| 28 | L-Leucine | C6H13NO2 | 132.1019 | 132.1016 | 2.31 | 1.46 | [26] |
| 29 | 2-Pyrrolidinone | C4H7NO | 86.0600 | 86.0599 | 1.63 | 1.48 | [55] |
| 30 | Cryptochlorogenic acid | C16H18O9 | 355.1024 | 353.0882 | 1.10 | 1.69 | [24] |
| 31 | Pantothenic acid | C9H17NO5 | 220.1179 | 220.1173 | 2.95 | 1.92 | [32] |
| 32 | Caffeate | C9H6O3 | 163.0390 | 163.0385 | 2.89 | 2.17 | [56] |
| 33 | (±)-Furaneol | C6H8O3 | 129.0546 | 129.0543 | 2.49 | 2.32 | [57] |
| 34 | Chlorogenic acid | C16H18O9 | 355.1024 | 355.1016 | 2.14 | 2.53 | [24] |
| 35 | Glu Phe | C14H18N2O5 | 295.1288 | 295.1293 | 1.53 | 2.55 | [22] |
| 36 | 6-Methylquinoline | C10H9N | 144.0808 | 144.0804 | 2.61 | 2.74 | [58] |
| 37 | Riboflavin (Vitamin B2) | C17H20N4O6 | 377.1456 | 377.1449 | 1.75 | 2.86 | [32] |
| 38 | Coumarin | C9H6O2 | 147.0441 | 147.0438 | 2.08 | 2.87 | [59] |
| 39 | Corchoionol C 9-glucoside | C19H30O8 | 387.2013 | 387.2003 | 2.70 | 2.90 | |
| 40 | Saponarin | C27H30O15 | 595.1657 | 595.1649 | 1.42 | 2.94 | [60] |
| 41 | Isoorientin | C21H20O11 | 449.1078 | 449.1072 | 1.42 | 2.96 | [60] |
| 42 | 5-O-Feruloylquinic acid | C17H20O9 | 369.1180 | 369.1174 | 1.65 | 3.07 | [61] |
| 43 | Rutin | C27H30O16 | 611.1607 | 611.1592 | 2.39 | 3.20 | [25] |
| 44 | Vitexin | C21H20O10 | 433.1129 | 433.1120 | 2.13 | 3.28 | [32] |
| 45 | Quercetin 3-O-glucoside | C21H20O12 | 465.1028 | 465.1016 | 2.48 | 3.33 | [25] |
| 46 | Quercetin | C15H10O7 | 303.0499 | 303.0492 | 2.50 | 3.54 | [35] |
| 47 | Kaempferol 3-alpha-D-galactoside | C21H20O11 | 449.1078 | 449.1068 | 2.31 | 3.58 | [35] |
| 48 | Isorhamnetin 3-glucoside | C22H22O12 | 479.1184 | 479.1173 | 2.30 | 3.64 | [25] |
| 49 | Quercetin 3-(6″-malonylgalactoside) | C24H22O15 | 551.1031 | 551.1022 | 1.70 | 3.65 | [35] |
| 50 | Viscidulin I | C15H10O7 | 303.0499 | 303.0493 | 2.08 | 3.65 | [37] |
| 51 | Quercetin 3-(6″-acetylglucoside) | C23H22O13 | 507.1133 | 507.1124 | 1.81 | 3.68 | [31] |
| 52 | Methyl cinnamate | C10H10O2 | 163.0754 | 163.0751 | 1.57 | 3.71 | [62] |
| 53 | Kaempferol | C15H10O6 | 287.0550 | 287.0543 | 2.38 | 3.74 | [37] |
| 54 | loliolide | C11H16O3 | 197.1172 | 197.1168 | 2.14 | 3.75 | [63] |
| 55 | 3,4-Dimethylstyrene | C10H12 | 133.1012 | 133.1008 | 2.83 | 3.77 | |
| 56 | Isorhamnetin | C16H12O7 | 317.0656 | 317.0648 | 2.43 | 3.82 | [61] |
| 57 | Cyanidin 3-(6″-acetylglucoside) | C23H22O12 | 491.1184 | 491.1176 | 1.64 | 4.00 | [64] |
| 58 | Traumatic acid | C12H20O4 | 229.1434 | 229.1430 | 1.90 | 4.85 | [65] |
| 59 | Dihydroactinidiolide | C11H16O2 | 181.1223 | 181.1218 | 2.79 | 5.50 | [66] |
| 60 | 2-Heptyl-4-hydroxyquinoline | C16H21NO2 | 260.1645 | 260.1638 | 2.71 | 5.93 | |
| 61 | 2-heptylquinolin-4(1H)-one | C16H21NO | 244.1696 | 244.1689 | 2.83 | 6.05 | |
| 62 | Quercetin tetramethyl (5,7,3′,4′) ether | C19H18O7 | 359.1125 | 359.1114 | 3.14 | 6.98 | [67] |
| 64 | 13E-Docosenamide | C22H43NO | 338.3417 | 338.3408 | 2.78 | 9.29 | [68] |
2.2. Phenolic Content and Antioxidant Activity of MoAE
The total phenolic content of MoAE was quantified as 135.08 ± 0.64 mg equivalent gallic acid per gram of dry extract, using the equation y = 1241x + 0.1619 of the standard gallic acid curve. The antioxidant capacity, determined by the 2,2-Diphenyl-1-picrylhydrazyl (DPPH) radical scavenging assay, is shown in Table 3. Manguro and Lemmen [69], using spectroscopic methods to characterize phenols in the methanolic extract of M. oleifera leaves from Kenya, reported the presence of flavonol glycosides, kaempferol, syringic acid, gallic acid, rutin, and quercetin. On the other hand, Al-Asmari [21], using gas chromatographic and mass spectrometric methods, identified mainly thiocyanates in M. oleifera of Saudi Arabia and did not detect phenolic compounds and flavonoids.
Table 3.
Total phenolic content and antioxidant capacity (IC50).
In this investigation, the aqueous extract of M. oleifera showed antioxidant activity, consistent with the findings of the study of Peñalver [70], which linked a higher content of phenolic compounds with a greater antioxidant capacity. Similarly, Fitriana [71] demonstrated a potent free radical scavenging activity with an IC50 of 49.30 μg/mL in the DPPH assay using the methanolic extract of Moringa oleifera leaves, while we observed a value of 66.66 ± 0.53 μg/mL (Table 3). Additionally, a significant antioxidant potential of peptides derived from M. oleifera leaves has been reported [72].
Reactive oxygen species (ROS) play an important role in the modification of various cell signaling pathways that create an environment conducive to tumor development [73]. Furthermore, they have an impact on treatment response and the development of drug resistance [74]. This is due to the ability of free radicals to communicate within and outside of cells, serving as secondary messengers and regulating tumor cell signaling [75]. Studies have indicated that polyphenols, among other mechanisms, can influence these signaling pathways, exerting antitumor effects [76]. Considering the substantial oxidative stress observed both internally and externally in breast cancer cells [77], it is reasonable to assume that MoAE, with its antioxidant properties, may have a beneficial impact on this disease. This potential effect could be attributed to its identified components, such as quercetin, known for its potent antioxidant properties [78,79], as well as kaempferol [80].
2.3. MoAE Activity on Cancer Induced in Rats
The impact of treatment for 13 weeks with MoAE and BIT is presented in Table 4. MoAE at 500 mg/kg generated the best effect in reducing the total number of tumors, showing 10 tumors compared to 18 tumors in the cancer-induced BMBA group; this marked a reduction of 44% in the mean tumor count within this particular group. Similarly, BIT at a dose of 20 mg/kg reduced the average number of tumors by 33%. The delay in tumor onset was prolonged when MoAE at 500 mg/kg and BIT at 20 mg/kg were administered, recording durations of 67.80 ± 9.86 days and 71.75 ± 5.38 days, respectively. Furthermore, a more significant tumor size was observed in the DMBA group, and this size was reduced as a result of treatment (Figure 2), demonstrating a decrease in cumulative tumor weight with MoAE at 500 mg/kg and BIT at 20 mg/kg, representing 70.14% and 67.56%, respectively (Table 4).
Table 4.
Effect of MoAE and BIT on tumor parameters in DMBA-induced mammary carcinogenesis in rats.
Figure 2.
Photographs of tumors removed from DMBA-induced breast cancer rats treated for 13 weeks with MoAE and BIT.
On histopathological examination, it was observed in the control group that the mammary gland is organized in clusters of small tubulo-alveolar glands called lobules, which are separated by an appreciable amount of lax stroma, draining their secretions into the lactiferous ducts. No nuclear pleomorphism or mitosis was observed (Figure 3A). In contrast, in the DMBA group, an epithelial neoplasm was observed with very little stroma, organized in solid areas with tubular formations and in the presence of nuclear pleomorphism (Figure 3B). In the group treated with moringa extract at 100 mg/kg, epithelial neoplasia with very little stroma was observed, organized predominantly in tubular formations with marked nuclear pleomorphism and mitosis (Figure 3C). In the moringa group at 250 mg/kg, epithelial neoplasia was also observed to be organized in solid areas with tubular formations and with the presence of moderate nuclear pleomorphism (Figure 3D). In contrast, in the moringa group at 500 mg/kg, epithelial neoplasia with scant stroma was observed, organized predominantly in tubular formations with the presence of nuclear pleomorphism (Figure 3E).

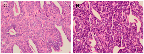
Figure 3.
Microphotographs of breast cancer in rats induced by DMBA treated for 13 weeks with MoAE and BIT. (A) Normal, (B) DMBA, (C) DMBA + MoAE 100 mg/kg, (D) DMBA + MoAE 250 mg/kg, (E) DMBA + MoAE 500 mg/kg, (F) DMBA + BIT 5 mg/kg, (G) DMBA + BIT 10 mg/kg, (H) DMBA + BIT 20 mg/kg.
Regarding the group treated with benzyl isothiocyanate at 5 mg/kg, it presented a limited effect, since epithelial neoplasia with very little stroma was observed, organized predominantly in solid areas and some tubular formations, with marked nuclear pleomorphism and mitosis (Figure 3F). In the BIT group at 10 mg/kg, epithelial neoplasia was observed with a small stroma, organized in solid areas with some tubular formations, and with the presence of marked nuclear pleomorphism (Figure 3G). In the BIT group at 20 mg/kg, epithelial neoplasia with very little stroma was observed, organized with a predominance of solid areas and some tubular formations, with nuclear pleomorphism and mitosis (Figure 3H).
This analysis allowed determination of the histological grade, showing a positive effect of moringa extract treatment at 250 and 500 mg/kg, as well as benzyl isothiocyanate at 20 mg/kg, where the histological grade was I compared to grade II in the DMBA group (Table 5).
Table 5.
Histological classification of mammary tumors of rats treated with MoAE and BIT.
A beneficial treatment effect was observed in the DMBA-induced breast cancer model when using MoAE and BIT, especially at doses of 500 mg/kg and 20 mg/kg, respectively. In the macroscopic evaluation, a decrease in the number of tumors was evident, as well as in the total cumulative tumor weight, together with a delay in their appearance (see Table 4). During the histopathological examination, enhancements in tubular differentiation and nuclear polymorphism were observed, which positively influenced the histological grade (see Table 5). It is plausible that this antitumor effect of Moringa oleifera is associated, at least in part, with the presence of its phenolic components, including flavonoids. In this context, flavonoids have been shown to exhibit anticancer properties against breast cancer, being able to induce the expression of various tumor suppressor genes that contribute to mitigating cancer progression and metastasis [81]. Additionally, natural flavonoids have been reported to possess antioxidant, anti-inflammatory, and anticancer activities through various pathways. These compounds can inhibit cell proliferation, arrest the cell cycle by suppressing the NF-kB pathway in various types of cancer, and promote apoptosis in breast cancer [82].
Regarding quercetin, several studies, including those of a basic, epidemiological, and genetic nature, suggest the possibility of its contribution in the treatment of breast cancer [83]. For example, quercetin has been reported to cause a decrease in cell viability and cell cycle arrest in the G2/M phase, associated with a reduction in proteosomal enzyme activities [84]. Similarly, it has been found to inhibit tumor invasion by suppressing PKC delta/ERK/AP-1-dependent activation of matrix metalloproteinase MMP-9 in MCF-7 breast carcinoma cells [85]. Further experiments have revealed that quercetin inhibits the growth of the MCF-7 cancer cell line, induces apoptosis, and, in in vivo studies, reduces tumor volume in mice with tumors by CT-26 and MCF-7 cells, increasing animal survival [86]. In addition, it has been found to induce cytotoxicity in breast cancer cells, arrest cell cycle progression in the S phase, and induce tumor regression in mice [87]. In particular, quercetin, when encapsulated in lipid nanoparticles, intensifies its toxic effect on MCF-7 breast cancer cells [88].
In another perspective, Moringa oleifera-derived isothiocyanates have demonstrated a remarkable ability to inhibit viability in nine breast cancer cell lines [89]. Benzyl isothiocyanate (BIT) has shown efficacy in suppressing the growth of MDA-MB-231 and MCF-7 human breast cancer cells, with effects including cell cycle arrest and apoptosis induction [90]. In these cell types, BIT has also shown inhibition of epithelial–mesenchymal transition, causing a positive up-regulation of epithelial markers such as E-cadherin and occludin, and a concomitant decrease in the protein level of mesenchymal markers, arresting cancer progression to its invasive state [91]. Likewise, BIT has caused the death of breast cancer cells, including MDA-MB-231, MCF-7, MDA-MB-468, BT-474, and BRI-JM04, through induction of autophagy, associated with an increase in FoxO1 expression and acetylation [92]. Although both MoAE and BIT have shown effectiveness against breast cancer cells in vitro, in this study, the administration of MoAE at a dose of 500 mg/kg demonstrated superior in vivo effectiveness compared to BIT at a dose of 20 mg/kg. This is evidenced in Table 4, where MoAE at 500 mg/kg resulted in a 44% reduction in the average number of tumors per group and a 70.14% decrease in cumulative tumor weight (in comparison to the DMBA group), while BIT at 20 mg/kg reduced these parameters by 33% and 67.56%, respectively.
Other compounds identified in this study in the aqueous extract of Moringa oleifera (MoAE), such as kaempferol, vitexin, pinolenic acid, and ramelteon (TAK-375), have also shown anticancer activity. Several preclinical investigations have highlighted the role of kaempferol in the prevention and treatment of breast cancer [93], and it has been shown to suppress the proliferation of triple negative breast cancer (TNBC) MDA-MB-231 cells by inducing G₂/M phase arrest and apoptosis [94]. Vitexin has been shown to increase apoptosis in MCF-7 cells, generating up-regulation of microRNAs, including the expression of caspase-3, -6, and -8 genes, as well as down-regulation of others [95]. Pinolenic acid inhibits cell metastasis by suppressing invasiveness and cell motility in MDA-MB-231 human breast cancer cells [96], while ramelteon, a melatonin receptor agonist, significantly suppresses endometrial cancer cell proliferation (HHUA), inhibiting invasion and reducing the expression of the MMP-2 and MMP-9 genes [97]. In addition, it reduces the incidence and intensity of postoperative delirium in elderly patients undergoing lung cancer surgery [98].
In the group treated only with DMBA and receiving saline as treatment, a significant increase in serum VEGF levels was observed, from 15.67 ± 3.67 pg/mL (healthy control group) to 46.32 ± 3.51 pg/mL (p < 0.001). Administration of MoAE at 250 mg/kg or BIT at 10 mg/kg reduced these values to 31.96 ± 3.78 and 34.06 ± 2.10 pg/mL, respectively (p < 0.05). At higher doses, such as 500 mg/kg MoAE and 20 mg/kg BIT, a more pronounced effect was observed, with a p-value < 0.001 (Figure 4A). The pattern for serum IL-1β levels was similar, with a p-value < 0.001 (Figure 4B). VEGF is known as an angiogenic factor, and IL-1β also has the ability to increase the formation of new blood vessels in tumors, contributing to increased tumor development and metastatic spread [99]. In this context, the results of this study suggest that the mechanism of action against breast cancer could be related, at least in part, to the down-regulation of VEGF and IL-1β. The use of pharmacological inhibitors targeting IL-1β has been suggested as a promising option to address metastasis in breast cancer [100].
Figure 4.
Serum levels of (A) vascular endothelial growth factor (VEGF) and (B) interleukin-1 beta (IL-1β) in rats at the end of MoAE and BIT treatment for 13 weeks. * p < 0.05, ** p < 0.001.
3. Materials and Methods
3.1. Plant Sample Preparation
The leaves of Moringa oleifera Lam were purchased from the medicinal plant market in the city of Lima, Peru. To produce MoAE, the washed leaves were dried at a temperature of 40 °C, then ground in an electric mill. Subsequently, 500 g of the resulting powder was combined with 1000 mL of distilled water at 100 °C and stirred for 15 min. Afterward, the mixture was allowed to cool, filtered under vacuum, and concentrated using a rotary evaporator. Finally, it was dried at 40 °C, resulting in 34 g of aqueous extract (yielding an extraction rate of 6.8%), which was then refrigerated at 4 °C until use.
Benzyl isothiocyanate was purchased from Sigma-Aldrich (St. Louis, MO, USA).
3.2. Analysis of the Chemical Composition of MoAE by UHPLC–Q-TOF/MS
We used ultra-performance liquid chromatography coupled with a triple quadrupole time-of-flight mass spectrometer (UHPLC–Q-TOF/MS) to determine the phytochemical composition of MoAE employing MetaboScape software version 4.0 for data analysis. The experimental configuration included the following parameters: LC system (Bruker UHPLC Elute Plus), column (Avantor ACE Excel C18 AQ 150 × 2.1 mm), flow rate (0.2–0.48 mL/min flow gradient), mobile phase comprising 0.01% formic acid and 0.01% acetonitrile, LC gradient (0 min 1% B, 10 min 100% B, 12 min 100% B, 12.1 min 1% B, 14 min 1% B), run time (14 min), and injection volume (4 µL). The MS system used was Q-TOF Impact II (Bruker), employing VIP-HESI ionization in both positive and negative modes, a mass range of 20–1300 m/z, and an acquisition rate of 12 Hz MS for MS/MS dynamic 16–30 Hz. Calibration was performed through internal calibration on sodium formate, and the dry temperature was set at 250 °C. Sample preparation involved dissolving 1 mg of the crude extract in 1 mL of water:acetonitrile (50:50), followed by a 20-fold dilution in water after centrifugation for injection into the LC-QTOF system.
3.3. Determination of the Total Phenolic Content in MoAE
The determination of the total phenolic content in MoAE was carried out using the Singleton method [101] with slight adaptations. Gallic acid (0.1 mg/mL) was used as standard and a calibration curve was generated with concentrations of 1, 2, 3, 3, 4, and 5 mg/mL. Samples were dissolved in 2.5 mL of methanol until concentrations of 0.1 mg/mL were reached. Subsequently, 250 µL of Folin–Ciocalteu was added to 0.5 mL of the prepared solution and stirred for 5 min. Then, 1250 µL of calcium carbonate was added and the solution was allowed to stand for 60 min before reading on a UV-VIS spectrophotometer at 760 nm. The total phenolic content was expressed as milligrams of gallic acid equivalent (GAE) per gram of dry extract.
3.4. Antioxidant Activity: DPPH Radical Scavenging Assay
This assay procedure was carried out following the indications provided by Umamaheswari [102], using 96-well microplates. MoAE and BIT were dissolved in methanol and dilutions of 25, 50, 100, and 200 µg/mL were prepared. In each well, 100 µL of each sample dilution was mixed with 100 µL of freshly prepared DPPH solution in methanol (0.4 mM). A control, consisting of 100 µL of methanol plus 100 µL of 0.4 mM DPPH, was included along with a blank sample containing 100 µL of the same dilutions plus 100 µL of methanol (without DPPH). The samples and control were analyzed in triplicate. The mixture was then incubated at room temperature in a dark place for 30 min. After gentle shaking, the absorbance was read at 517 nm. For the calculation of the DPPH radical scavenging capacity, the following formula was used:
Scavenging activity (%) = [(A0 − A1)/A0] × 100.
In the formula, A0 corresponds to the absorbance of the reaction control, and A1 indicates the absorbance when the sample is present, adjusted for the absorbance of the sample itself (blank). A concentration-dependent graph of percentage inhibition was constructed and the inhibitory concentration 50 (IC50) was calculated graphically.
3.5. Animals
Female Holtzman rats with a body weight of 140 ± 10 g were used. The animals were purchased from the National Institute of Health biotherium, housed in clean cages, and maintained in a temperature and light controlled environment (12-h light/dark cycle). They had unlimited access to drinking water throughout the experiment and were fed a standard rat diet.
The research protocol received the approval of the Ethics Committee of the Faculty of Pharmacy and Biochemistry of the Universidad Nacional Mayor de San Marcos on 31 July 2020 (certificate number 004-CE-UDI-FFB-2020).
3.6. Evaluation of the Effect of MoAE and BIT on Breast Cancer
Breast cancer induction was performed following the procedure described by Wang and Shang [103] with minor adjustments. A single dose of 60 mg/kg of 7,12-dimethylbenz[a]anthracene (DMBA) was administered by orogastric gavage, diluted in olive oil. Forty-eight rats were randomly assigned to eight groups, each consisting of six individuals. The control (healthy) group was called Group I. Group II received DMBA plus saline. In addition to DMBA, Groups III, IV, and V received MoAE at 100, 250, and 500 mg/kg/day, respectively, while Groups VI, VII, and VIII received BIT at 5, 10, and 20 mg/kg/day, respectively. The treatment period covered 13 weeks. Mammary tumor latency was recorded and body weight was monitored weekly. At the end of the experiment, blood was drawn under ethyl ether anesthesia for serum determinations by ELISA. Subsequently, the animals were sacrificed with an overdose of pentobarbital. All tumors in each rat were counted and excised for volume determination and histopathological analysis.
To perform the histopathological analysis, tumor samples were preserved in 10% formalin. Subsequently, they were subjected to a series of steps to dehydrate and clarify them using acetone and the solvent xylene. Then, they were embedded in paraffin, sectioned with a microtome, placed on slides, and stained with hematoxylin and eosin. Evaluation was carried out using optical microscopy.
3.7. Determination of Serum Levels of VEFG and IL-1β
The concentration of vascular endothelial growth factor (VEGF) and interleukin-1β in rat serum was determined by ELISA (enzyme-linked immunosorbent assay) using kits purchased from Sigma-Aldrich, according to the manufacturer’s instructions.
3.8. Statistical Analysis
Results were expressed as mean accompanied by standard deviation. Statistical significance was assessed by one-way analysis of variance followed by a Tukey post hoc test. Statistical analysis was performed using SPSS version 19 software. All p-values < 0.05 were considered statistically significant.
4. Conclusions
In conclusion, under the experimental conditions established in this study, both MoAE and BIT exhibited antitumor properties in the rat model of induced breast cancer. An improvement in the macroscopic and microscopic characteristics of the tumors was observed, while serum levels of VEGF and IL-1β decreased. MoAE was shown to have a high content of total phenols and a remarkable antioxidant capacity. Chemical analysis by UPLC-MS revealed the predominant presence of flavonoids such as quercetin, vitexin, and kaempferol in MoAE. It is suggested that the chemopreventive effect could be linked, at least in part, to the presence of flavonoids and isothiocyanates in the extract.
Author Contributions
Conceptualization, J.P.R.-A.; methodology, J.P.R.-A. and M.P.-P.; validation, J.L.A.-A.; formal analysis, J.M.O.-S. and C.R.F.; investigation, A.C.-L. and A.J.G.D.; resources, J.T.M.-H.; writing—original draft preparation, H.J.J.-G.; writing—review and editing, J.P.R.-A.; supervision, J.L.A.-A.; funding acquisition, J.P.R.-A. All authors have read and agreed to the published version of the manuscript.
Funding
This research was funded by the Vicerrectorado de Investigación y Posgrado of the Universidad Nacional Mayor de San Marcos, protocol code A20010551.
Institutional Review Board Statement
The animal study protocol was approved by the Ethics. Committee of the Faculty of Pharmacy and Biochemistry of the Universidad Nacional Mayor de San Marcos on 31 July 2020 (certificate with registration number 004-CE-UDI-FFB-2020).
Informed Consent Statement
Not applicable.
Data Availability Statement
This publication contains all available data.
Acknowledgments
The authors express gratitude to the Vicerrectorado of Investigación y Posgrado de la Universidad Nacional Mayor de San Marcos.
Conflicts of Interest
The authors declare no conflict of interest.
References
- Fahad Ullah, M. Breast Cancer: Current Perspectives on the Disease Status. Adv. Exp. Med. Biol. 2019, 1152, 51–64. [Google Scholar]
- World Health Organization. Breast Cancer. 2023. Available online: https://www.who.int/es/news-room/fact-sheets/detail/breast-cancer (accessed on 14 June 2023).
- Anjum, F.; Razvi, N.; Saeed, U. Effects of Chemotherapy in Breast Cancer Patients. Nat. J. Health Sci. 2017, 2, 67–74. [Google Scholar] [CrossRef]
- Ji, X.; Lu, Y.; Tian, H.; Meng, X.; Wei, M.; Cho, W.C. Chemoresistance mechanisms of breast cancer and their countermeasures. Biomed. Pharmacother. 2019, 114, 108800. [Google Scholar] [CrossRef] [PubMed]
- Talib, W.H.; Alsayed, A.R.; Barakat, M.; Abu-Taha, M.I.; Mahmod, A.I. Targeting Drug Chemo-Resistance in Cancer Using Natural Products. Biomedicines 2021, 9, 1353. [Google Scholar] [CrossRef] [PubMed]
- Castañeda, A.M.; Meléndez, C.M.; Uribe, D.; Pedroza-Díaz, J. Synergistic effects of natural compounds and conventional chemotherapeutic agents: Recent insights for the development of cancer treatment strategies. Heliyon 2022, 8, e09519. [Google Scholar] [CrossRef] [PubMed]
- de Oliveira Júnior, R.G.; Christiane Adrielly, A.F.; da Silva Almeida, J.R.; Grougnet, R.; Thiéry, V.; Picot, L. Sensitization of tumor cells to chemotherapy by natural products: A systematic review of preclinical data and molecular mechanisms. Fitoterapia 2018, 129, 383–400. [Google Scholar] [CrossRef] [PubMed]
- Subramonie, S.; Suryadevara, N.; Ganapathy, B.; Devi, G. Molecular activities in Moringa oleifera Linn—Review. Int. J. Res. Pharm. Sci. 2019, 11, 140–147. [Google Scholar] [CrossRef]
- Abdoun, K.; Alsagan, A.; Altahir, O.; Suliman, G.; Al-Haidary, A.; Alsaiady, M. Cultivation and Uses of Moringa oleifera as Non-Conventional Feed Stuff in Livestock Production: A Review. Life 2022, 13, 63. [Google Scholar] [CrossRef]
- Abdull Razis, A.F.; Ibrahim, M.D.; Kntayya, S.B. Health benefits of Moringa oleifera. Asian Pac. J. Cancer Prev. 2014, 15, 8571–8576. [Google Scholar] [CrossRef]
- Rode, S.B.; Dadmal, A.; Salankar, H.V. Nature’s Gold (Moringa Oleifera): Miracle Properties. Cureus 2022, 14, e26640. [Google Scholar] [CrossRef]
- Sanganna, B.; Chitme, H.R.; Vrunda, K.; Jamadar, M.J. Antiproliferative and antioxidant activity of leaves extracts of Moringa oleifera. Int. J. Curr. Pharm. Res. 2016, 8, 54–56. [Google Scholar] [CrossRef]
- Pamok, S.; Saenphet, S.; Vinitketkumnuen, U.; Saenphet, K. Antiproliferative effect of Moringa oleifera Lam. and Pseuderanthemum palatiferum (Nees) Radlk extracts on the colon cancer cells. J. Med. Plants Res. 2012, 6, 139–145. [Google Scholar]
- Khalil, W.K.; Ghaly, I.S.; Diab, K.A.; ELmakawy, A.I. Antitumor activity of Moringa Oleifera leaf extract against Ehrlich solid tumor. Int. J. Pharm. 2014, 4, 68–82. [Google Scholar]
- Tiloke, C.; Phulukdaree, A.; Chuturgoon, A.A. The antiproliferative effect of Moringa oleifera crude aqueous leaf extract on cancerous human alveolar epithelial cells. BMC Complement. Altern. Med. 2013, 13, 226. [Google Scholar] [CrossRef] [PubMed]
- Khan, F.; Pandey, P.; Jha, N.K.; Jafri, A.; Khan, I. Antiproliferative effect of Moringa oleifera methanolic leaf extract by downregulation of Notch signaling in DU145 prostate cancer cells. Gene Rep. 2020, 19, 100619. [Google Scholar] [CrossRef]
- Adebayo, I.A.; Arsad, H.; Samian, M.R. Antiproliferative effect on breast cancer (MCF7) of Moringa oleifera seed extracts. Afr. J. Tradit. Complement. Altern. Med. 2017, 14, 282–287. [Google Scholar] [CrossRef] [PubMed]
- Charoensin, S. Antioxidant and anticancer activities of Moringa oleifera leaves. J. Med. Plants Res. 2014, 8, 318–325. [Google Scholar]
- Förster, N.; Ulrichs, C.; Schreiner, M.; Müller, C.T.; Mewis, I. Development of a reliable extraction and quantification method for glucosinolates in Moringa oleifera. Food Chem. 2015, 166, 456–464. [Google Scholar] [CrossRef]
- Waterman, C.; Cheng, D.M.; Rojas-Silva, P.; Poulev, A.; Dreifus, J.; Lila, M.A.; Raskin, I. Stable, water extractable isothiocyanates from Moringa oleifera leaves attenuate inflammation in vitro. Phytochemistry 2014, 103, 114–122. [Google Scholar] [CrossRef]
- Al-Asmari, A.K.; Albalawi, S.M.; Athar, M.T.; Khan, A.Q.; Al-Shahrani, H.; Islam, M. Moringa oleifera as an Anti-Cancer Agent against Breast and Colorectal Cancer Cell Lines. PLoS ONE 2015, 10, e0135814. [Google Scholar] [CrossRef] [PubMed]
- Aloo, S.O.; Ofosu, F.K.; Muchiri, M.N.; Vijayalakshmi, S.; Pyo, C.-G.; Oh, D.-H. In Vitro Bioactivities of Commonly Consumed Cereal, Vegetable, and Legume Seeds as Related to Their Bioactive Components: An Untargeted Metabolomics Approach Using UHPLC–QTOF-MS. Antioxidants 2023, 12, 1501. [Google Scholar] [CrossRef]
- Jin, J.; Lao, J.; Zhou, R.; He, W.; Qin, Y.; Zhong, C.; Xie, J.; Liu, H.; Wan, D.; Zhang, S.; et al. Simultaneous Identification and Dynamic Analysis of Saccharides during Steam Processing of Rhizomes of Polygonatum cyrtonema by HPLC-QTOF-MS/MS. Molecules 2018, 23, 2855. [Google Scholar] [CrossRef]
- Krzyżanowska-Kowalczyk, J.; Pecio, Ł.; Mołdoch, J.; Ludwiczuk, A.; Kowalczyk, M. Novel Phenolic Constituents of Pulmonaria officinalis L. LC-MS/MS Comparison of Spring and Autumn Metabolite Profiles. Molecules 2018, 23, 2277. [Google Scholar] [CrossRef]
- Raal, A.; Rusalepp, A.; Chiru, T.; Ciobanu, N.; Talvistu, K.; Shusta, M.; Koshovyi1, O.; Püssa, T. Polyphenolic Compounds and Antioxidant Activity of Sea Buckthorn (Hippophae rhamnoides L.). Phyton-Int. J. Exp. Bot. 2023, 92, 1–15. [Google Scholar] [CrossRef]
- Di Matteo, P.; Bortolami, M.; Curulli, A.; Feroci, M.; Gullifa, G.; Materazzi, S.; Risoluti, R.; Petrucci, R. Phytochemical Characterization of Malt Spent Grain by Tandem Mass Spectrometry also Coupled with Liquid Chromatography: Bioactive Compounds from Brewery By-Products. Front. Biosci. 2023, 28, 3. [Google Scholar] [CrossRef]
- Yagali, S. Study of vibrational spectra of zwitterionic 3-Aminobutanoic acid, as supported by DFT calculations. World J. Adv. Res. Rev. 2022, 16, 1122–1131. [Google Scholar]
- Cui, Y.J.; Liu, P.; Chen, R.Y. Studies on the chemical constituents of Spatholobus suberectus Dunn. Yao Xue Xue Bao 2002, 37, 784–787. [Google Scholar] [PubMed]
- Flores, P.; Hellín, P.; Fenoll, J. Determination of organic acids in fruits and vegetables by liquid chromatography with tandem-mass spectrometry. Food Chem. 2012, 132, 1049–1054. [Google Scholar] [CrossRef]
- Gruz, J.; Novák, O.; Strnad, M. Rapid análisis of phenolic acids in beverages by UPLC–MS/MS. Food Chem. 2008, 111, 789–794. [Google Scholar] [CrossRef]
- Yan, X.; Liu, M.; Guo, C.; Lian, X.; Shen, Y.; Liu, Y.; Qian, Y.; Zhang, L.; Wang, W.; Chen, D.; et al. Analysis of Metabolic Differences in the Water Extract of Shenheling Fermented by Lactobacillus fermentum Based on Nontargeted Metabolomics. Fermentation 2023, 9, 44. [Google Scholar] [CrossRef]
- Arkhipov, A.; Sirdaarta, J.; Matthews, B.; Cock, I.E. Metabolomic Profiling of Kigelia africana Extracts with Anti-Cancer Activity by High Resolution Tandem Mass Spectroscopy. Pharmacogn. Commun. 2014, 4, 10–32. [Google Scholar]
- Kuczkowiak, U.; Petereit, F.; Nahrstedt, A. Hydroxycinnamic Acid Derivatives Obtained from a Commercial Crataegus Extract and from Authentic Crataegus spp. Sci. Pharm. 2014, 82, 835–846. [Google Scholar] [CrossRef]
- Budan, A.; Bellenot, D.; Freuze, I.; Gillmann, L.; Chicoteau, P. Potential of extracts from Saponaria officinalis and Calendula officinalis to modulate in vitro rumen fermentation with respect to their content in saponins. Biosci. Biotechnol. Biochem. 2014, 78, 228–295. [Google Scholar] [CrossRef] [PubMed]
- Ju, W.T.; Kwon, O.C.; Kim, H.B.; Sung, G.B.; Kim, H.W.; Kim, Y.S. Qualitative and quantitative analysis of flavonoids from 12 species of Korean mulberry leaves. J. Food Sci. Technol. 2018, 55, 1789–1796. [Google Scholar] [CrossRef] [PubMed]
- Phuwajaroanpong, A.; Chaniad, P.; Plirat, W.M.; Konyanee, A.; Septama, A.W.; Punsawad, C. Phytochemical Analysis, Antimalarial Properties, and Acute Toxicity of Aqueous Extracts of Trisamo and Jatu-Phala-Tiga Recipes. Adv. Pharmacol. Pharm. Sci. 2023, 2023, 6624040. [Google Scholar] [CrossRef]
- Cai, R.; Li, X.; Li, C.; Zhu, J.; Zeng, J.; Li, J.; Tang, B.; Li, Z.; Liu, S.; Yan, Y. Standards-Based UPLC-Q-Exactive Orbitrap MS Systematically Identifies 36 Bioactive Compounds in Ampelopsis grossedentata (Vine Tea). Separations 2022, 9, 329. [Google Scholar] [CrossRef]
- Pan, C.; Lü, H. Preparative separation of quercetin, ombuin and kaempferide from Gynostemma pentaphyllum by high-speed counter current chromatography. J. Chromatogr. Sci. 2019, 57, 265–271. [Google Scholar] [CrossRef]
- Manasa, D.J.; Chandrashekar, K.R. Phenolic acid profiling in the leaves of Tabernaemontana heyneana wall. an endemic plant of the western Ghats using ultra-high performance liquid chromatography coupled with quadrupole-time-of-flight. Asian J. Pharm. Clin. Res. 2019, 12, 172–177. [Google Scholar] [CrossRef]
- No, D.S.; Kim, I.-H. Pinolenic acid as a new source of phyto-polyunsaturated fatty acid. Lipid Technol. 2013, 25, 135–138. [Google Scholar] [CrossRef]
- Shin, Y.G.; Cho, K.H.; Kim, J.M.; Park, M.K.; Park, J.H. Determination of betaine in Lycium chinense fruits by liquid chromatography-electrospray ionization mass spectrometry. J. Chromatogr. 1999, 857, 331–335. [Google Scholar] [CrossRef]
- Olofsson, M.A.; Bylund, D. Liquid Chromatography with Electrospray Ionization and Tandem Mass Spectrometry Applied in the Quantitative Analysis of Chitin-Derived Glucosamine for a Rapid Estimation of Fungal Biomass in Soil. Int. J. Anal. Chem. 2016, 2016, 9269357. [Google Scholar] [CrossRef]
- Pastorini, E.; Rotini, R.; Guardigli, M.; Vecchiotti, S.; Persiani, S.; Trisolino, G.; Antonioli, D.; Rovati, L.C.; Roda, A. Development and validation of a HPLC-ES-MS/MS method for the determination of glucosamine in human synovial fluid. J. Pharm. Biomed. Anal. 2009, 50, 1009–1014. [Google Scholar] [CrossRef] [PubMed]
- Perrone, D.; Donangelo, C.M.; Farah, A. Fast simultaneous análisis of caffeine, trigonelline, nicotinic acid and sucrose in coffee by liquid chromatography–mass spectrometry. Food Chem. 2008, 110, 1030–1035. [Google Scholar] [CrossRef] [PubMed]
- El-Wahed, A.A.; Rashwan, E.H.; AlAjmi, M.F.; Khalifa, S.A.; Saeed, A.; Zhao, C.; Naggar, Y.A.; Guo, Z.; Musharraf, S.G.; Wang, K. Sidr Honeys Physical and Chemical Characterization, a Comprehensive Approach through LC-MS/MS, NMR, and GC-MS Analysis. Separations 2023, 10, 372. [Google Scholar] [CrossRef]
- Hu, W.; Pan, X.; Abbas, H.M.K.; Li, F.; Dong, W. Metabolites contributing to Rhizoctonia solani AG-1-IA maturation and sclerotial differentiation revealed by UPLC-QTOF-MS metabolomics. PLoS ONE 2017, 12, e0177464. [Google Scholar] [CrossRef] [PubMed]
- Lang, R.; Lang, T.; Bader, M.; Beusch, A.; Schlagbauer, V.; Hofmann, T. High-Throughput Quantitation of Proline Betaine in Foods and Suitability as a Valid Biomarker for Citrus Consumption. J. Agric. Food Chem. 2017, 65, 1613–1619. [Google Scholar] [CrossRef] [PubMed]
- Wu, Q.; Yan, Q.; Jiang, L.; Chen, C.; Huang, X.; Zhu, X.; Zhou, T.; Chen, J.; Yan, J.; Wen, F.; et al. Metabolomics analysis reveals metabolite changes during freeze-drying and oven-drying of Angelica dahurica. Sci. Rep. 2023, 13, 6022. [Google Scholar] [CrossRef]
- Zeng, J.; Shi, D.; Chen, Y.; Bao, X.; Zong, Y. FvbHLH1 Regulates the Accumulation of Phenolic Compounds in the Yellow Cap of Flammulina velutipes. J. Fungi 2023, 9, 1063. [Google Scholar] [CrossRef]
- Hazrati, H.; Kudsk, P.; Ding, L.; Uthe, H.; Fomsgaard, I.S. Integrated LC-MS and GC-MS-Based Metabolomics Reveal the Effects of Plant Competition on the Rye Metabolome. J. Agric. Food Chem. 2022, 70, 3056–3066. [Google Scholar] [CrossRef]
- Cai, M.; Liu, Y. Quantification of salsolinol enantiomers by stable isotope dilution liquid chromatography with tandem mass spectrometric detection. Rapid Commun. Mass Spectrom. 2008, 22, 4171–4177. [Google Scholar] [CrossRef]
- Duan, Y.; Petzold, M.; Saleem-Batcha, R.; Teufel, R. Bacterial Tropone Natural Products and Derivatives: Overview of their Biosynthesis, Bioactivities, Ecological Role and Biotechnological Potential. Chembiochem 2020, 21, 2384–2407. [Google Scholar] [CrossRef]
- Plaza-Cazón, J.; González, E.; Donati, E.R. Parastrephia quadrangularis: A Possible Alternative to Inhibit the Microbial Effect on the Generation of Acid Mine Drainage. Mine Water Environ. 2021, 40, 994–1002. [Google Scholar] [CrossRef]
- Hayakawa, Y.; Suita, K.; Ohnuki, Y.; Mototani, Y.; Ishikawa, M.; Ito, A.; Nariyama, M.; Morii, A.; Kiyomoto, K.; Tsunoda, M.; et al. Vidarabine, an anti-herpes agent, prevents occlusal-disharmony-induced cardiac dysfunction in mice. J. Physiol. Sci. 2022, 72, 2. [Google Scholar] [CrossRef]
- Miyamoto, H.; Yaguchi, T.; Ohta, K.; Nagai, K.; Nagata, T.; Yamamoto, S.; Nishizaki, T. 2-pyrrolidinone induces a long-lasting facilitation of hippocampal synaptic transmission by enhancing alpha7 ACh receptor responses via a PKC pathway. Brain Res. Mol. Brain Res. 2003, 117, 91–96. [Google Scholar] [CrossRef]
- Mohammed, B.S.; Sanadelaslam, E.; Salwa IA, E.; Ahmed, S.J. HPLC-PDA-MS Identification of Phenolic Profile and in vitro Antioxidant Activity of Adansonia digitata L. Leaves from Sudan. Moroc. J. Chem. 2024, 12, 221–232. [Google Scholar]
- Osiecka, D.; Vakh, C.; Makoś-Chełstowska, P.; Kubica, P. Plant-based meat substitute analysis using microextraction with deep eutectic solvent followed by LC-MS/MS to determine acrylamide, 5-hydroxymethylfurfural and furaneol. Anal. Bioanal. Chem. 2024, 416, 1117–1126. [Google Scholar] [CrossRef] [PubMed]
- Pathan, S.A.; Phulpoto, M.H.; Solangi, A.R.; Khanzada, A.W. Solvent dependent 13C NMR Chemical shifts in 6-Methyquinoline and 8-Methyquinoline. J.-Chem. Soc. Pak. 2003, 25, 196–200. [Google Scholar]
- Hroboňová, K.; Sádecká, J.; Čižmárik, J. HPLC separation and determination of dicoumarol and other simple coumarins in sweet clover. Nova Biotechnol. Chim. 2018, 17, 95–102. [Google Scholar] [CrossRef]
- Wu, Q.X.; Chen, J.; Shi, Y.P. RPHPLC and NMR Study of Antioxidant Flavonoids in Extract from Gentiana piasezkii. J. Anal. Chem. 2010, 65, 298–304. [Google Scholar] [CrossRef]
- Bojilov, D.; Manolov, S.; Ahmed, S.; Dagnon, S.; Ivanov, I.; Marc, G.; Oniga, S.; Oniga, O.; Nedialkov, P.; Mollova, S. HPLC Analysis and In Vitro and In Silico Evaluation of the Biological Activity of Polyphenolic Components Separated with Solvents of Various Polarities from Helichrysum italicum. Molecules 2023, 28, 6198. [Google Scholar] [CrossRef] [PubMed]
- Nour, A.H.; Idris, A.A.; Ishag, O.A.; Nour, A.H. Chemical Composition and Repellent Activity of Methyl Cinnamate-Rich Basil (Ocimum basilicum) Essential Oil. J. Turk. Chem. Soc. Sect. A Chem. 2022, 9, 1277–1284. [Google Scholar] [CrossRef]
- Cho, S.; Lee, D.J.; Jung, Y.-S.; Kim, H.B.; Cho, E.J.; Lee, S. Phytochemical Identification from Boehmeria nivea Leaves and Analysis of (–)-Loliolide by HPLC. Nat. Prod. Sci. 2016, 22, 134–139. [Google Scholar] [CrossRef]
- Cosme, F.; Vilela, A.; Moreira, L.; Moura, C.; Enríquez JA, P.; Filipe-Ribeiro, L.; Nunes, F.M. Terroir Effect on the Phenolic Composition and Chromatic Characteristics of Mencía/Jaen Monovarietal Wines: Bierzo D.O. (Spain) and Dão D.O. (Portugal). Molecules 2020, 25, 6008. [Google Scholar] [CrossRef]
- Sowa, I.; Paduch, R.; Mołdoch, J.; Szczepanek, D.; Szkutnik, J.; Sowa, P.; Tyszczuk-Rotko, K.; Blicharski, T.; Wójciak, M. Antioxidant and Cytotoxic Potential of Carlina vulgaris Extract and Bioactivity-Guided Isolation of Cytotoxic Components. Antioxidants 2023, 12, 1704. [Google Scholar] [CrossRef]
- Hamid, H.A.; Kupan, S.; Yusoff, M.M. Dihydroactinidiolide from thermal degradation of β-carotene. Int. J. Food Prop. 2017, 20, 674–680. [Google Scholar] [CrossRef]
- Nadaf, N.H.; Parulekar, R.S.; Patil, R.S.; Gade, T.K.; Momin, A.A.; Waghmare, S.R.; Dhanavade, M.J.; Arvindekar, A.U.; Sonawane, K.D. Biofilm inhibition mechanism from extract of Hymenocallis littoralis leaves. J. Ethnopharmacol. 2018, 222, 121–132. [Google Scholar] [CrossRef] [PubMed]
- Clementino, L.C.; Torres, F.A.; Velasquez, A.M.; Villela, L.; Mutue, T.F.; Colepicolo, P.; Graminha, M.A. Bioguided study of the Antarctic alga Himantothallus grandifolius (A. Geep & E.S. Geep) indicates 13E-Docosenamide as potential antileishmanial agent. J. Appl. Pharm. Sci. 2020, 10, 98–103. [Google Scholar]
- Manguro, L.O.; Lemmen, P. Phenolics of Moringa oleifera leaves. Nat. Prod. Res. 2007, 21, 56–68. [Google Scholar] [CrossRef] [PubMed]
- Peñalver, R.; Martínez-Zamora, L.; Lorenzo, J.M.; Ros, G.; Nieto, G. Nutritional and Antioxidant Properties of Moringa oleifera Leaves in Functional Foods. Foods 2022, 11, 1107. [Google Scholar] [CrossRef]
- Fitriana, W.D.; Ersam, T.; Shimizu, K.; Fatmawati, S. Antioxidant Activity of Moringa oleifera Extracts. Indones. J. Chem. 2016, 16, 297–301. [Google Scholar] [CrossRef]
- Tao, L.; Gu, F.; Liu, Y.; Yang, M.; Wu, X.Z.; Sheng, J.; Tian, Y. Preparation of antioxidant peptides from Moringa oleifera leaves and their protection against oxidative damage in HepG2 cells. Front. Nutr. 2022, 9, 1062671. [Google Scholar] [CrossRef]
- Prasad, S.; Gupta, S.C.; Tyagi, A.K. Reactive oxygen species (ROS) and cancer: Role of antioxidative nutraceuticals. Cancer Lett. 2017, 387, 95–105. [Google Scholar] [CrossRef] [PubMed]
- Lambring, C.B.; Chen, L.; Nelson, C.; Stevens, A.; Bratcher, W.; Basha, R. Oxidative Stress and Cancer: Harnessing the Therapeutic Potential of Curcumin and Analogues Against Cancer. Eur. J. Biol. 2023, 82, 317–325. [Google Scholar] [CrossRef]
- Puente-Cobacho, B.; Varela-López, A.; Quiles, J.L.; Vera-Ramirez, L. Involvement of redox signalling in tumour cell dormancy and metastasis. Cancer Metastasis Rev. 2023, 42, 49–85. [Google Scholar] [CrossRef]
- Chimento, A.; De Luca, A.; D’Amico, M.; De Amicis, F.; Pezzi, V. The Involvement of Natural Polyphenols in Molecular Mechanisms Inducing Apoptosis in Tumor Cells: A Promising Adjuvant in Cancer Therapy. Int. J. Mol. Sci. 2023, 24, 1680. [Google Scholar] [CrossRef]
- Vera-Ramirez, L.; Sanchez-Rovira, P.; Ramirez-Tortosa, M.C.; Ramirez-Tortosa, C.L.; Granados-Principal, S.; Lorente, J.A.; Quiles, J.L. Free radicals in breast carcinogenesis, breast cancer progression and cancer stem cells. Biological bases to develop oxidative-based therapies. Crit. Rev. Oncol./Hematol. 2011, 80, 347–368. [Google Scholar] [CrossRef]
- Xu, D.; Hu, M.J.; Wang, Y.Q.; Cui, Y.L. Antioxidant Activities of Quercetin and Its Complexes for Medicinal Application. Molecules 2019, 24, 1123. [Google Scholar] [CrossRef]
- Song, X.; Wang, Y.; Gao, L. Mechanism of antioxidant properties of quercetin and quercetin-DNA complex. J. Mol. Model. 2020, 26, 133. [Google Scholar] [CrossRef] [PubMed]
- Zhang, Q.; Pan, J.; Liu, H.; Jiao, Z. Characterization of the Synergistic Antioxidant Activity of Epigallocatechin Gallate (EGCG) and Kaempferol. Molecules 2023, 28, 5265. [Google Scholar] [CrossRef] [PubMed]
- Selvakumar, P.; Badgeley, A.; Murphy, P.; Anwar, H.; Sharma, U.; Lawrence, K.; Lakshmikuttyamma, A. Flavonoids and Other Polyphenols Act as Epigenetic Modifiers in Breast Cancer. Nutrients 2020, 12, 761. [Google Scholar] [CrossRef]
- Hazafa, A.; Rehman, K.U.; Jahan, N.; Jabeen, Z. The Role of Polyphenol (Flavonoids) Compounds in the Treatment of Cancer Cells. Nutr. Cancer 2020, 72, 386–397. [Google Scholar] [CrossRef] [PubMed]
- Kasiri, N.; Rahmati, M.; Ahmadi, L.; Eskandari, N.; Motedayyen, H. Therapeutic potential of quercetin on human breast cancer in different dimensions. Inflammopharmacology 2020, 28, 39–62. [Google Scholar] [CrossRef] [PubMed]
- Noolu, B.; Gogulothu, R.; Bhat, M. In Vivo Inhibition of Proteasome Activity and Tumour Growth by Murraya koenigii Leaf Extract in Breast Cancer Xenografts and by Its Active Flavonoids in Breast Cancer Cells. Anticancer. Agents Med. Chem. 2016, 16, 1605–1614. [Google Scholar] [CrossRef]
- Lin, C.W.; Hou, W.C.; Shen, S.C. Quercetin inhibition of tumor invasion via suppressing PKC delta/ERK/AP-1-dependent matrix metalloproteinase-9 activation in breast carcinoma cells. Carcinogenesis 2008, 29, 1807–1815. [Google Scholar] [CrossRef] [PubMed]
- Hashemzaei, M.; Delarami Far, A.; Yari, A.; Heravi, R.E.; Tabrizian, K.; Taghdisi, S.M. Anticancer and apoptosis-inducing effects of quercetin in vitro and in vivo. Oncol. Rep. 2017, 38, 819–828. [Google Scholar] [CrossRef] [PubMed]
- Srivastava, S.; Somasagara, R.R.; Hegde, M.; Nishana, M.; Tadi, S.K.; Srivastava, M. Quercetin, a Natural Flavonoid Interacts with DNA, Arrests Cell Cycle and Causes Tumor Regression by Activating Mitochondrial Pathway of Apoptosis. Sci. Rep. 2016, 6, 24049. [Google Scholar] [CrossRef]
- Niazvand, F.; Orazizadeh, M.; Khorsandi, L.; Abbaspour, M.; Mansouri, E.; Khodadadi, A. Effects of Quercetin-Loaded Nanoparticles on MCF-7 Human Breast Cancer Cells. Medicina 2019, 55, 114. [Google Scholar] [CrossRef]
- Bolanle, J. Understanding the Anti-Cancer Activities of Moringa Isothiocyanates in Breast Cancer Cells. Ph.D. Thesis, Rutgers, The State University of New Jersey, Piscataway, NJ, USA, 2018. [Google Scholar]
- Xiao, D.; Vogel, V.; Singh, S.V. Benzyl isothiocyanate-induced apoptosis in human breast cancer cells is initiated by reactive oxygen species and regulated by Bax and Bak. Mol. Cancer Ther. 2006, 5, 2931–2945. [Google Scholar] [CrossRef]
- Sehrawat, A.; Singh, S.V. Benzyl isothiocyanate inhibits epithelial-mesenchymal transition in cultured and xenografted human breast cancer cells. Cancer Prev. Res. 2011, 4, 1107–1117. [Google Scholar] [CrossRef]
- Xiao, D.; Bommareddy, A.; Kim, S.H.; Sehrawat, A.; Hahm, E.R.; Singh, S.V. Benzyl isothiocyanate causes FoxO1-mediated autophagic death in human breast cancer cells. PLoS ONE 2012, 7, e32597. [Google Scholar] [CrossRef]
- Wang, X.; Yang, Y.; An, Y.; Fang, G. The mechanism of anticancer action and potential clinical use of kaempferol in the treatment of breast cancer. Biomed. Pharmacother. 2019, 117, 109086. [Google Scholar] [CrossRef]
- Zhu, L.; Xue, L. Kaempferol Suppresses Proliferation and Induces Cell Cycle Arrest, Apoptosis, and DNA Damage in Breast Cancer Cells. Oncol. Res. 2019, 27, 629–634. [Google Scholar] [CrossRef]
- Najafipour, R.; Momeni, A.M.; Mirmazloomi, Y.; Moghbelinejad, S. Vitexin Induces Apoptosis in MCF-7 Breast Cancer Cells through the Regulation of Specific miRNAs Expression. Int. J. Mol. Cell Med. 2022, 11, 197–206. [Google Scholar] [PubMed]
- Chen, S.J.; Hsu, C.P.; Li, C.W.; Lu, J.H.; Chuang, L.T. Pinolenic acid inhibits human breast cancer MDA-MB-231 cell metastasis in vitro. Food Chem. 2011, 126, 1708–1715. [Google Scholar] [CrossRef] [PubMed]
- Osanai, K.; Kobayashi, Y.; Otsu, M.; Izawa, T.; Sakai, K.; Iwashita, M. Ramelteon, a selective MT1/MT2 receptor agonist, suppresses the proliferation and invasiveness of endometrial cancer cells. Hum. Cell. 2017, 30, 209–215. [Google Scholar] [CrossRef]
- Miyata, R.; Omasa, M.; Fujimoto, R.; Ishikawa, H.; Aoki, M. Efficacy of Ramelteon for delirium after lung cancer surgery. Interact. Cardiovasc. Thorac. Surg. 2017, 24, 8–12. [Google Scholar] [CrossRef] [PubMed][Green Version]
- Malkova, A.M.; Gubal, A.R.; Petrova, A.L. Pathogenetic role and clinical significance of interleukin-1β in cancer. Immunology 2023, 168, 203–216. [Google Scholar] [CrossRef] [PubMed]
- Tulotta, C.; Lefley, D.V.; Freeman, K. Endogenous Production of IL1B by Breast Cancer Cells Drives Metastasis and Colonization of the Bone Microenvironment. Clin. Cancer Res. 2019, 25, 2769–2782. [Google Scholar] [CrossRef]
- Singleton, V.L.; Orthofer, R.; Lamuela-Raventós, R.M. Analysis of total phenols and other oxidation substrates and antioxidants by means of folin-ciocalteu reagent. Methods Enzymol. 1999, 299, 152–178. [Google Scholar]
- Umamaheswari, M.; Chatterjee, T. In vitro antioxidant activities of the fractions of Coccinia grandis L. Leaf extract. Afr. J. Tradit. Complement. Altern. Med. 2008, 5, 61–73. [Google Scholar] [CrossRef]
- Wang, Z.; Zhang, X. Chemopreventive Activity of Honokiol against 7, 12-Dimethylbenz[a] anthracene-Induced Mammary Cancer in Female Sprague Dawley Rats. Front. Pharmacol. 2017, 8, 253664. [Google Scholar] [CrossRef] [PubMed]
Disclaimer/Publisher’s Note: The statements, opinions and data contained in all publications are solely those of the individual author(s) and contributor(s) and not of MDPI and/or the editor(s). MDPI and/or the editor(s) disclaim responsibility for any injury to people or property resulting from any ideas, methods, instructions or products referred to in the content. |
© 2024 by the authors. Licensee MDPI, Basel, Switzerland. This article is an open access article distributed under the terms and conditions of the Creative Commons Attribution (CC BY) license (https://creativecommons.org/licenses/by/4.0/).




