The Effect of Rubus idaeus Polyphenols Extract in Induced Endometriosis in Rats
Abstract
1. Introduction
2. Results
2.1. High-Performance Liquid Chromatography–Mass Spectrometry (HPLC-MS) Analysis of Polyphenols from Rubus idaeus Extract
2.2. Preliminary Studies in Endometriosis Induction
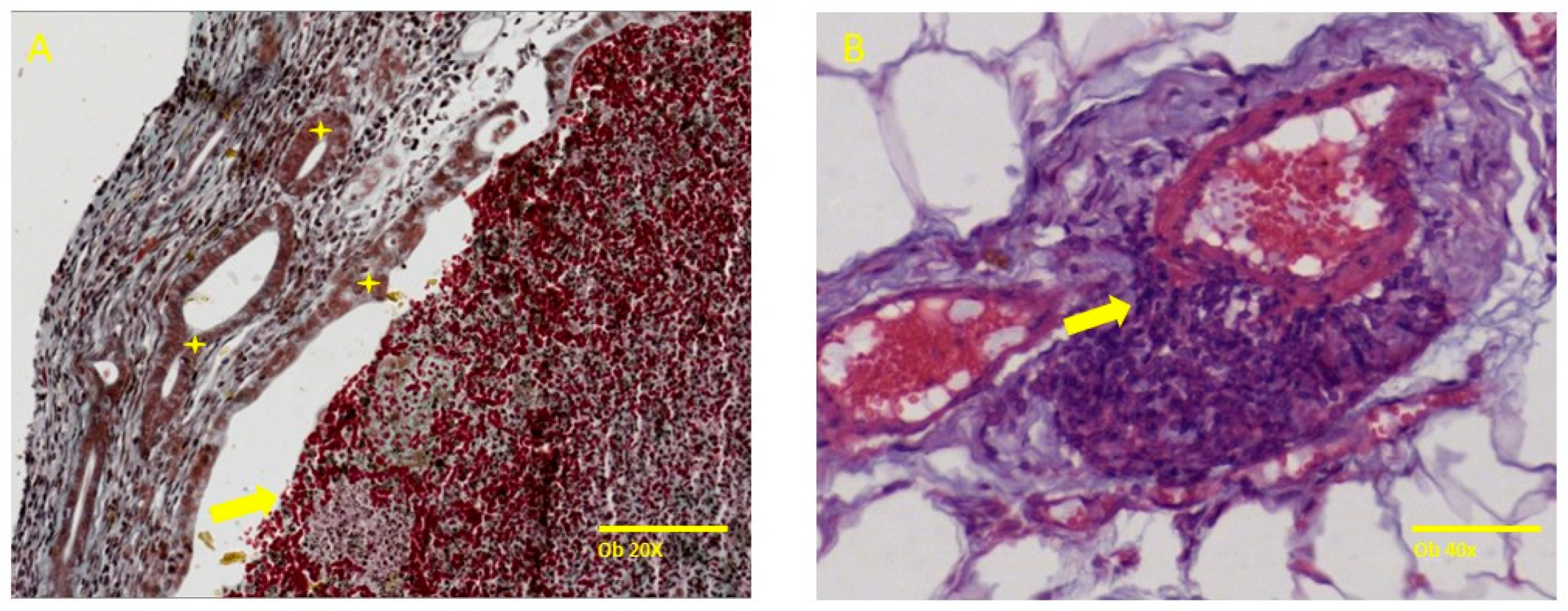
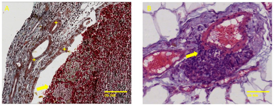
2.3. Macroscopic Evidence of Endometriotic Tissue
2.4. Effect of Rubus Idaues Leaf Extract on Plasma Levels of Matrix Metalloproteinases and Transforming Growth Factor Beta 1
3. Discussion
4. Materials and Methods
4.1. Chemicals
4.2. High-Performance Liquid Chromatography–Mass Spectrometry (HPLC-MS) Analysis of Polyphenols from Rubus idaeus Extract
4.3. Animals
4.4. Endometriosis Surgical Induction in Rats
4.4.1. Preliminary Studies in Endometriosis Surgical Induction
4.4.2. Endometriosis Histopathological Assessment
4.4.3. Endometriosis Surgical Induction-Experimental Study
4.4.4. Endometriosis Macroscopic Evaluation
4.4.5. Treatment Administration in Endometriotic Rats
4.5. Blood Samples and ELISA Analysis
4.6. Statistical Analysis
5. Conclusions
Author Contributions
Funding
Institutional Review Board Statement
Informed Consent Statement
Data Availability Statement
Conflicts of Interest
References
- Lamceva:, J.; Uljanovs, R.; Strumfa, I. The Main Theories on the Pathogenesis of Endometriosis. Int. J. Mol. Sci. 2023, 24, 4254. [Google Scholar] [CrossRef] [PubMed]
- World Health Organization. Endometriosis. Available online: https://www.who.int/news-room/fact-sheets/detail/endometriosis (accessed on 20 December 2023).
- Brosens, I.; Puttemans, P.; Gordts, S.; Campo, R.; Gordts, S.; Benagiano, G. Early Stage Management of Ovarian Endometrioma to Prevent. Facts Views Vis. ObGyn 2013, 5, 309–314. [Google Scholar] [PubMed]
- Donnez, J.; Cacciottola, L. Endometriosis: An Inflammatory Disease That Requires New Therapeutic Options. Int. J. Mol. Sci. 2022, 23, 1518. [Google Scholar] [CrossRef] [PubMed]
- Burney, R.O.; Giudice, L.C. Pathogenesis and Pathophysiology of Endometriosis. Fertil. Steril. 2012, 98, 511–519. [Google Scholar] [CrossRef]
- Abramiuk, M.; Grywalska, E.; Małkowska, P.; Sierawska, O.; Hrynkiewicz, R.; Niedźwiedzka-Rystwej, P. The Role of the Immune System in the Development of Endometriosis. Cells 2022, 11, 2028. [Google Scholar] [CrossRef]
- Ke, J.; Ye, J.; Li, M.; Zhu, Z. The Role of Matrix Metalloproteinases in Endometriosis: A Potential Target. Biomolecules 2021, 11, 1739. [Google Scholar] [CrossRef] [PubMed]
- Liu, Z.; Yi, L.; Du, M.; Gong, G.; Zhu, Y. Overexpression of TGF-β Enhances the Migration and Invasive Ability of Ectopic Endometrial Cells via ERK/MAPK Signaling Pathway. Exp. Ther. Med. 2019, 17, 4457–4464. [Google Scholar] [CrossRef]
- Hayashi, A.; Tanabe, A.; Kawabe, S.; Hayashi, M.; Yuguchi, H.; Yamashita, Y.; Okuda, K.; Ohmichi, M. Dienogest Increases the Progesterone Receptor Isoform B/A Ratio in Patients with Ovarian Endometriosis. J. Ovarian Res. 2012, 5, 31. [Google Scholar] [CrossRef]
- Malik, R.; Mann, M.K. Role of Dienogest in Endometriosis in Young Women. J. Obstet. Gynecol. India 2021, 71, 522–529. [Google Scholar] [CrossRef]
- Schell, J.; Betts, N.M.; Lyons, T.J.; Basu, A. Raspberries Improve Postprandial Glucose and Acute and Chronic Inflammation in Adults with Type 2 Diabetes. Ann. Nutr. Metab. 2019, 74, 165–174. [Google Scholar] [CrossRef]
- Menezes, R.; Foito, A.; Jardim, C.; Costa, I.; Garcia, G.; Rosado-Ramos, R.; Freitag, S.; Alexander, C.J.; Outeiro, T.F.; Stewart, D.; et al. Bioprospection of Natural Sources of Polyphenols with Therapeutic Potential for Redox-Related Diseases. Antioxidants 2020, 9, 789. [Google Scholar] [CrossRef]
- Bibi, S.; Kang, Y.; Du, M.; Zhu, M.J. Dietary Red Raspberries Attenuate Dextran Sulfate Sodium-Induced Acute Colitis. J. Nutr. Biochem. 2018, 51, 40–46. [Google Scholar] [CrossRef]
- Fotschki, B.; Laparra, J.M.; Sójka, M. Raspberry Polyphenolic Extract Regulates Obesogenic Signals in Hepatocytes. Molecules 2018, 23, 2103. [Google Scholar] [CrossRef] [PubMed]
- De Santis, D.; Carbone, K.; Garzoli, S.; Masci, V.L.; Turchetti, G. Bioactivity and Chemical Profile of Rubus idaeus L. Leaves Steam-Distillation Extract. Foods 2022, 11, 1455. [Google Scholar] [CrossRef]
- Teslić, N.; Santos, F.; Oliveira, F.; Stupar, A.; Pojić, M.; Mandić, A.; Pavlić, B.; Kljakić, A.C.; Duarte, A.R.C.; Paiva, A.; et al. Simultaneous Hydrolysis of Ellagitannins and Extraction of Ellagic Acid from Defatted Raspberry Seeds Using Natural Deep Eutectic Solvents (NADES). Antioxidants 2022, 11, 254. [Google Scholar] [CrossRef]
- Garjonyte, R.; Budiene, J.; Labanauskas, L.; Judzentiene, A. In Vitro Antioxidant and Prooxidant Activities of Red Raspberry (Rubus idaeus L.) Stem Extracts. Molecules 2022, 27, 4073. [Google Scholar] [CrossRef] [PubMed]
- Ponder, A.; Hallmann, E. Phenolics and Carotenoid Contents in the Leaves of Different Organic and Conventional Raspberry (Rubus idaeus L.) Cultivars and Their in Vitro Activity. Antioxidants 2019, 8, 458. [Google Scholar] [CrossRef]
- Oszmiański, J.; Wojdyło, A.; Nowicka, P.; Teleszko, M.; Cebulak, T.; Wolanin, M. Determination of Phenolic Compounds and Antioxidant Activity in Leaves from Wild Rubus L. Species. Molecules 2015, 20, 4951–4966. [Google Scholar] [CrossRef]
- Staszowska-Karkut, M.; Materska, M. Phenolic Composition, Mineral Content, and Beneficial Bioactivities of Leaf Extracts from Black Currant (Ribes nigrum L.), Raspberry (Rubus idaeus), and Aronia (Aronia melanocarpa). Nutrients 2020, 12, 463. [Google Scholar] [CrossRef]
- MacIerzyński, J.; Sójka, M.; Kosmala, M.; Karlińska, E. Transformation of Oligomeric Ellagitannins, Typical for Rubus and Fragaria Genus, during Strong Acid Hydrolysis. J. Agric. Food Chem. 2020, 68, 8212–8222. [Google Scholar] [CrossRef] [PubMed]
- Lopez-Corona, A.V.; Valencia-Espinosa, I.; González-Sánchez, F.A.; Sánchez-López, A.L.; Garcia-Amezquita, L.E.; Garcia-Varela, R. Antioxidant, Anti-Inflammatory and Cytotoxic Activity of Phenolic Compound Family Extracted from Raspberries (Rubus idaeus): A General Review. Antioxidants 2022, 11, 1192. [Google Scholar] [CrossRef] [PubMed]
- Lin, B.-W.; Gong, C.-C.; Song, H.-F.; Cui, Y.-Y. Effects of Anthocyanins on the Prevention and Treatment of Cancer LINKED ARTICLES. Br. J. Pharmacol. 2017, 174, 1226. [Google Scholar] [CrossRef] [PubMed]
- Zielińska-Wasielica, J.; Olejnik, A.; Kowalska, K.; Olkowicz, M.; Dembczyński, R. Elderberry (Sambucus nigra L.) Fruit Extract Alleviates Oxidative Stress, Insulin Resistance, and Inflammation in Hypertrophied 3T3-L1 Adipocytes and Activated RAW 264.7 Macrophages. Foods 2019, 8, 326. [Google Scholar] [CrossRef] [PubMed]
- Tu, L.; Sun, H.; Tang, M.; Zhao, J.; Zhang, Z.; Sun, X.; He, S. Red Raspberry Extract (Rubus idaeus L. Shrub) Intake Ameliorates Hyperlipidemia in HFD-Induced Mice through PPAR Signaling Pathway. Food Chem. Toxicol. 2019, 133, 110796. [Google Scholar] [CrossRef] [PubMed]
- Ryan, N.M.; Lamenza, F.F.; Upadhaya, P.; Pracha, H.; Springer, A.; Swingler, M.; Siddiqui, A.; Oghumu, S. Black Raspberry Extract Inhibits Regulatory T-Cell Activity in a Murine Model of Head and Neck Squamous Cell Carcinoma Chemoprevention. Front. Immunol. 2022, 13, 932742. [Google Scholar] [CrossRef] [PubMed]
- Krauze-Baranowska, M.; Głód, D.; Kula, M.; Majdan, M.; Hałasa, R.; Matkowski, A.; Kozłowska, W.; Kawiak, A. Chemical Composition and Biological Activity of Rubus idaeus Shoots—A Traditional Herbal Remedy of Eastern Europe. BMC Complement. Altern. Med. 2014, 14, 1–12. [Google Scholar] [CrossRef]
- Simonovic, M.; Kojic, V.; Jakimov, D.; Glumac, M.; Pejin, B. Raspberry Seeds Extract Selectively Inhibits the Growth of Human Lung Cancer Cells In Vitro. Nat. Prod. Res. 2021, 35, 2253–2256. [Google Scholar] [CrossRef]
- Park, E.J.; Lee, D.; Baek, S.E.; Kim, K.H.; Kang, K.S.; Jang, T.S.; Lee, H.L.; Song, J.H.; Yoo, J.E. Cytotoxic Effect of Sanguiin H-6 on MCF-7 and MDA-MB-231 Human Breast Carcinoma Cells. Bioorganic Med. Chem. Lett. 2017, 27, 4389–4392. [Google Scholar] [CrossRef]
- Durgo, K.; Belščak-Cvitanović, A.; Stančić, A.; Franekić, J.; Komes, D. The Bioactive Potential of Red Raspberry (Rubus idaeus L.) Leaves in Exhibiting Cytotoxic and Cytoprotective Activity on Human Laryngeal Carcinoma and Colon Adenocarcinoma. J. Med. Food 2012, 15, 258–268. [Google Scholar] [CrossRef]
- Ajayi, A.F.; Akhigbe, R.E. Staging of the Estrous Cycle and Induction of Estrus in Experimental Rodents: An Update. Fertil. Res. Pract. 2020, 6, 1–15. [Google Scholar] [CrossRef]
- Nnoaham, K.E.; Hummelshoj, L.; Webster, P.; D’Hooghe, T.; De Cicco Nardone, F.; De Cicco Nardone, C.; Jenkinson, C.; Kennedy, S.H.; Zondervan, K.T. Impact of Endometriosis on Quality of Life and Work Productivity: A Multicenter Study across Ten Countries. Fertil. Steril. 2011, 96, 366–373. [Google Scholar] [CrossRef]
- Schliep, K.C.; Chen, Z.; Stanford, J.B.; Xie, Y.; Mumford, S.L.; Hammoud, A.O.; Boiman Johnstone, E.; Dorais, J.K.; Varner, M.W.; Buck Louis, G.M.; et al. Endometriosis Diagnosis and Staging by Operating Surgeon and Expert Review Using Multiple Diagnostic Tools: An Inter-Rater Agreement Study. BJOG Int. J. Obstet. Gynaecol. 2017, 124, 220–229. [Google Scholar] [CrossRef]
- Cora, M.C.; Kooistra, L.; Travlos, G. Vaginal Cytology of the Laboratory Rat and Mouse:Review and Criteria for the Staging of the Estrous Cycle Using Stained Vaginal Smears. Toxicol. Pathol. 2015, 43, 776–793. [Google Scholar] [CrossRef] [PubMed]
- Kiani, K.; Movahedin, M.; Malekafzali, H.; Mirfasihi, F.; Nargess Sadati, S.; Moini, A.; Nasser Ostad, S.; Aflatoonian, R. Effect of the Estrus Cycle Stage on the Establishment of Murine Endometriosis Lesions. Int. J. Reprod. BioMedicine 2018, 16, 305. [Google Scholar] [CrossRef]
- Schreinemacher, M.H.; Backes, W.H.; Slenter, J.M.; Xanthoulea, S.; Delvoux, B.; van Winden, L.; Beets-Tan, R.G.; Evers, J.L.H.; Dunselman, G.A.J.; Romano, A. Towards Endometriosis Diagnosis by Gadofosveset-Trisodium Enhanced Magnetic Resonance Imaging. PLoS ONE 2012, 7, e33241. [Google Scholar] [CrossRef] [PubMed]
- Rudzitis-Auth, J.; Krbel, C.; Scheuer, C.; Menger, M.D.; Laschke, M.W. Xanthohumol Inhibits Growth and Vascularization of Developing Endometriotic Lesions. Hum. Reprod. 2012, 27, 1735–1744. [Google Scholar] [CrossRef]
- Laschke, M.W.; Schwender, C.; Scheuer, C.; Vollmar, B.; Menger, M.D. Epigallocatechin-3-Gallate Inhibits Estrogen-Induced Activation of Endometrial Cells in Vitro and Causes Regression of Endometriotic Lesions in Vivo. Hum. Reprod. 2008, 23, 2308–2318. [Google Scholar] [CrossRef]
- Uchida, M.; Kobayashi, O. Sequential Observation of Implanted Endometriosis by Laparoscopy in Rats: Correlation between the Prevalence Rate and the Estrous Cycle. J. Pharmacol. Sci. 2013, 121, 299–304. [Google Scholar] [CrossRef]
- Persoons, E.; De Clercq, K.; Van den Eynde, C.; Pinto, S.J.P.C.; Luyten, K.; Van Bree, R.; Tomassetti, C.; Voets, T.; Vriens, J. Mimicking Sampson’s Retrograde Menstrual Theory in Rats: A New Rat Model for Ongoing Endometriosis-Associated Pain. Int. J. Mol. Sci. 2020, 21, 2326. [Google Scholar] [CrossRef] [PubMed]
- Muzii, L.; Di Tucci, C.; Galati, G.; Carbone, F.; Palaia, I.; Bogani, G.; Perniola, G.; Tomao, F.; Kontopantelis, E.; Di Donato, V. The Efficacy of Dienogest in Reducing Disease and Pain Recurrence after Endometriosis Surgery: A Systematic Review and Meta-Analysis. Reprod. Sci. 2023, 30, 3135–3143. [Google Scholar] [CrossRef]
- Santulli, P.; Marcellin, L.; Noël, J.C.; Borghese, B.; Fayt, I.; Vaiman, D.; Chapron, C.; Méhats, C. Sphingosine Pathway Deregulation in Endometriotic Tissues. Fertil. Steril. 2012, 97, 904–911. [Google Scholar] [CrossRef] [PubMed]
- Vetvicka, V.; Laganà, A.S.; Salmeri, F.M.; Triolo, O.; Palmara, V.I.; Vitale, S.G.; Sofo, V.; Králíčková, M. Regulation of Apoptotic Pathways during Endometriosis: From the Molecular Basis to the Future Perspectives. Arch. Gynecol. Obstet. 2016, 294, 897–904. [Google Scholar] [CrossRef] [PubMed]
- Ren, Y.H.; Gu, G.S.; Min, Y.; Driver, V.R. Role of Matrix Metalloproteinases in Chronic Wound Healing: Diagnostic and Therapeutic Implications. Chin. Med. J. 2014, 127, 1572–1581. [Google Scholar] [CrossRef] [PubMed]
- Behl, T.; Kaur, G.; Sehgal, A.; Bhardwaj, S.; Singh, S.; Buhas, C.; Judea-Pusta, C.; Uivarosan, D.; Munteanu, M.A.; Bungau, S. Multifaceted Role of Matrix Metalloproteinases in Neurodegenerative Diseases: Pathophysiological and Therapeutic Perspectives. Int. J. Mol. Sci. 2021, 22, 1413. [Google Scholar] [CrossRef] [PubMed]
- Rosenberg, G. Metalloproteinases and Neurodegenerative Diseases: Pathophysiological and Therapeutic Perspectives. Met. Med. 2015, 39, 39–50. [Google Scholar] [CrossRef]
- Uemura, S.; Matsushita, H.; Li, W.; Glassford, A.J.; Asagami, T.; Lee, K.-H.; Harrison, D.G.; Tsao, P.S. Diabetes Mellitus Enhances Vascular Matrix Metalloproteinase Activity Role of Oxidative Stress. Circ. Res. 2001, 88, 1291–1298. [Google Scholar] [CrossRef]
- Guo, F.; Tang, C.; Huang, B.; Gu, L.; Zhou, J.; Mo, Z.; Liu, C.; Liu, Y. LncRNA H19 Drives Proliferation of Cardiac Fibroblasts and Collagen Production via Suppression of the miR-29a-3p/miR-29b-3pVEGFA/TGF-β Axis. Mol. Cells 2022, 45, 122–133. [Google Scholar] [CrossRef]
- Wang, S.; Jia, J.; Liu, D.; Wang, M.; Wang, Z.; Li, X.; Wang, H.; Rui, Y.; Liu, Z.; Guo, W.; et al. Matrix Metalloproteinase Expressions Play Important Role in Prediction of Ovarian Cancer Outcome. Sci. Rep. 2019, 9, 11677. [Google Scholar] [CrossRef]
- Seo, J.Y.; Kim, T.H.; Kang, K.R.; Lim, H.; Choi, M.C.; Kim, D.K.; Chun, H.S.; Kim, H.J.; Yu, S.K.; Kim, J.S. 7α,25-Dihydroxycholesterol-Induced Oxiapoptophagic Chondrocyte Death via the Modulation of P53-Akt-mTOR Axis in Osteoarthritis Pathogenesis. Mol. Cells 2023, 46, 245–255. [Google Scholar] [CrossRef]
- Fingleton, B. Matrix Metalloproteinases as Regulators of Inflammatory Processes. Biochim. Et Biophys. Acta (BBA)-Mol. Cell Res. 2017, 1864, 2036–2042. [Google Scholar] [CrossRef]
- Begum, Y.; Pandit, A.; Swarnakar, S. Insights Into the Regulation of Gynecological Inflammation-Mediated Malignancy by Metalloproteinases. Front. Cell Dev. Biol. 2021, 9, 780510. [Google Scholar] [CrossRef] [PubMed]
- Bostanci Durmus, A.; Dincer Cengiz, S.; Yılmaz, H.; Candar, T.; Gursoy, A.Y.; Sinem Caglar, G. The Levels of Matrix Metalloproteinase-9 and Neutrophil Gelatinase-Associated Lipocalin in Different Stages of Endometriosis. J. Obstet. Gynaecol. 2019, 39, 991–995. [Google Scholar] [CrossRef] [PubMed]
- Barbe, A.M.; Berbets, A.M.; Davydenko, I.S.; Koval, H.D.; Yuzko, V.O.; Yuzko, O.M. Expression and Significance of Matrix Metalloproteinase-2 and Matrix Metalloproteinas-9 in Endometriosis. J. Med. Life 2020, 13, 314–320. [Google Scholar] [CrossRef] [PubMed]
- Zhang, M.; Xu, T.; Tong, D.; Li, S.; Yu, X.; Liu, B.; Jiang, L.; Liu, K. Research Advances in Endometriosis-Related Signaling Pathways: A Review. Biomed. Pharmacother. 2023, 164, 114909. [Google Scholar] [CrossRef] [PubMed]
- Qiu, X.-M.; Lai, Z.-Z.; Ha, S.-Y.; Yang, H.-L.; Liu, L.-B.; Wang, Y.; Shi, J.-W.; Ruan, L.-Y.; Ye, J.-F.; Wu, J.-N.; et al. IL-2 and IL-27 Synergistically Promote Growth and Invasion of Endometriotic Stromal Cells by Maintaining the Balance of IFN-γ and IL-10 in Endometriosis. Reproduction 2020, 159, 251–260. [Google Scholar] [CrossRef] [PubMed]
- Hung, S.W.; Zhang, R.; Tan, Z.; Chung, J.P.W.; Zhang, T.; Wang, C.C. Pharmaceuticals Targeting Signaling Pathways of Endometriosis as Potential New Medical Treatment: A Review. Med. Res. Rev. 2021, 41, 2489–2564. [Google Scholar] [CrossRef]
- Jana, S.; Chatterjee, K.; Ray, A.K.; Dasmahapatra, P.; Swarnakar, S. Regulation of Matrix Metalloproteinase-2 Activity by COX-2-PGE2-pAKT Axis Promotes Angiogenesisin Endometriosis. PLoS ONE 2016, 11, e0163540. [Google Scholar] [CrossRef]
- Ahn, J.H.; Choi, Y.S.; Choi, J.H. Leptin Promotes Human Endometriotic Cell Migration and Invasion by Up-Regulating MMP-2 through the JAK2/STAT3 Signaling Pathway. MHR Basic Sci. Reprod. Med. 2015, 21, 792–802. [Google Scholar] [CrossRef]
- Matsuzaki, S.; Darcha, C. Involvement of the Wnt/β-Catenin Signaling Pathway in the Cellular and Molecular Mechanisms of Fibrosis in Endometriosis. PLoS ONE 2013, 8, e76808. [Google Scholar] [CrossRef] [PubMed]
- Stamenkovic, I. Extracellular Matrix Remodelling: The Role of Matrix Metalloproteinases. J. Pathol. 2003, 200, 448–464. [Google Scholar] [CrossRef] [PubMed]
- Calabriso, N.; Massaro, M.; Scoditti, E.; Pellegrino, M.; Ingrosso, I.; Giovinazzo, G.; Carluccio, M.A. Red Grape Skin Polyphenols Blunt Matrix Metalloproteinase-2 and -9 Activity and Expression in Cell Models of Vascular Inflammation: Protective Role in Degenerative and Inflammatory Diseases. Molecules 2016, 21, 1147. [Google Scholar] [CrossRef] [PubMed]
- Kim, S.J.; Lee, S.H.; Do Quang, B.; Tran, T.T.; Kim, Y.G.; Ko, J.; Choi, W.Y.; Lee, S.Y.; Ryu, J.H. Avenanthramide-C Shows Potential to Alleviate Gingival Inflammation and Alveolar Bone Loss in Experimental Periodontitis. Mol. Cells 2023, 46, 627–636. [Google Scholar] [CrossRef] [PubMed]
- Suzuki, T.; Ohishi, T.; Tanabe, H.; Miyoshi, N.; Nakamura, Y. Anti-Inflammatory Effects of Dietary Polyphenols through Inhibitory Activity against Metalloproteinases. Molecules 2023, 28, 5426. [Google Scholar] [CrossRef] [PubMed]
- Dudzinska, D.; Bednarska, K.; Boncler, M.; Luzak, B.; Watala, C. The Influence of Rubus idaeus and Rubus Caesius Leaf Extracts on Platelet Aggregation in Whole Blood. Cross-Talk of Platelets and Neutrophils. Platelets 2016, 27, 433–439. [Google Scholar] [CrossRef] [PubMed]
- McCormack, B.A.; Bilotas, M.A.; Madanes, D.; Ricci, A.G.; Singla, J.J.; Barañao, R.I. Potential Use of Ellagic Acid for Endometriosis Treatment: Its Effect on a Human Endometrial Cell Cycle, Adhesion and Migration. Food Funct. 2020, 11, 4605–4614. [Google Scholar] [CrossRef]
- Gramec Skledar, D.; Tomašič, T.; Sollner Dolenc, M.; Peterlin Mašič, L.; Zega, A. Evaluation of Endocrine Activities of Ellagic Acid and Urolithins Using Reporter Gene Assays. Chemosphere 2019, 220, 706–713. [Google Scholar] [CrossRef]
- Khanduja, K.L.; Avti, P.K.; Kumar, S.; Mittal, N.; Sohi, K.K.; Pathak, C.M. Anti-Apoptotic Activity of Caffeic Acid, Ellagic Acid and Ferulic Acid in Normal Human Peripheral Blood Mononuclear Cells: A Bcl-2 Independent Mechanism. Biochim. Et Biophys. Acta (BBA)-Gen. Subj. 2006, 1760, 283–289. [Google Scholar] [CrossRef]
- Sudheer, A.R.; Muthukumaran, S.; Devipriya, N.; Menon, V.P. Ellagic Acid, a Natural Polyphenol Protects Rat Peripheral Blood Lymphocytes against Nicotine-Induced Cellular and DNA Damage in Vitro: With the Comparison of N-Acetylcysteine. Toxicology 2007, 230, 11–21. [Google Scholar] [CrossRef]
- Rivera, A.R.; Castillo-Pichardo, L.; Gerena, Y.; Dharmawardhane, S. Anti-Breast Cancer Potential of Quercetin via the AkT/AMPK/Mammalian Target of Rapamycin (mTOR) Signaling Cascade. PLoS ONE 2016, 11, e0157251. [Google Scholar] [CrossRef]
- Tassinari, V.; Smeriglio, A.; Stillittano, V.; Trombetta, D.; Zilli, R.; Tassinari, R.; Maranghi, F.; Frank, G.; Marcoccia, D.; Di Renzo, L. Endometriosis Treatment: Role of Natural Polyphenols as Anti-Inflammatory Agents. Nutrients 2023, 15, 2967. [Google Scholar] [CrossRef]
- Tang, X.L.; Liu, J.X.; Dong, W.; Li, P.; Li, L.; Hou, J.C.; Zheng, Y.Q.; Lin, C.R.; Ren, J.G. Protective Effect of Kaempferol on LPS plus ATP-Induced Inflammatory Response in Cardiac Fibroblasts. Inflammation 2015, 38, 94–101. [Google Scholar] [CrossRef]
- Saw, C.L.L.; Guo, Y.; Yang, A.Y.; Paredes-Gonzalez, X.; Ramirez, C.; Pung, D.; Kong, A.N.T. The Berry Constituents Quercetin, Kaempferol, and Pterostilbene Synergistically Attenuate Reactive Oxygen Species: Involvement of the Nrf2-ARE Signaling Pathway. Food Chem. Toxicol. 2014, 72, 303–311. [Google Scholar] [CrossRef] [PubMed]
- Nam, S.Y.; Jeong, H.J.; Kim, H.M. Kaempferol Impedes IL-32-Induced Monocyte-Macrophage Differentiation. Chem. Biol. Interact. 2017, 274, 107–115. [Google Scholar] [CrossRef] [PubMed]
- García-Mediavilla, V.; Crespo, I.; Collado, P.S.; Esteller, A.; Sánchez-Campos, S.; Tuñón, M.J.; González-Gallego, J. The Anti-Inflammatory Flavones Quercetin and Kaempferol Cause Inhibition of Inducible Nitric Oxide Synthase, Cyclooxygenase-2 and Reactive C-Protein, and down-Regulation of the Nuclear Factor kappaB Pathway in Chang Liver Cells. Eur. J. Pharmacol. 2007, 557, 221–229. [Google Scholar] [CrossRef] [PubMed]
- Lee, J.H.; Kim, G.H. Evaluation of Antioxidant and Inhibitory Activities for Different Subclasses Flavonoids on Enzymes for Rheumatoid Arthritis. J. Food Sci. 2010, 75, H212–H217. [Google Scholar] [CrossRef] [PubMed]
- Fan, F.Y.; Sang, L.X.; Jiang, M.; McPhee, D.J. Catechins and Their Therapeutic Benefits to Inflammatory Bowel Disease. Molecules 2017, 22, 484. [Google Scholar] [CrossRef] [PubMed]
- Wang, X.; Zhao, X.; Wang, J.; Wu, H.; Cheng, Y.; Guo, Q.; Liang, T.; Zhang, G. Cross-Talk between N6-Methyladenosine and Their Related RNAs Defined a Signature and Confirmed m6A Regulators for Diagnosis of Endometriosis. Int. J. Mol. Sci. 2023, 24, 1665. [Google Scholar] [CrossRef] [PubMed]
- Jang, K.-H.; Heras, C.R.; Lee, G. m6A in the Signal Transduction Network. Mol. Cells 2022, 45, 435–443. [Google Scholar] [CrossRef] [PubMed]
- Jiang, L.; Zhang, M.; Wu, J.; Wang, S.; Yang, X.; Yi, M.; Zhang, X.; Fang, X. Aging-12-202163 (1). Aging 2020, 12, 25916–25938. [Google Scholar] [CrossRef]
- Yang, Y.-M.; Yang, W.-X. Epithelial-to-Mesenchymal Transition in the Development of Endometriosis. Oncotarget 2017, 8, 41679–41689. [Google Scholar] [CrossRef]
- Bowman, R.; Taylor, J.; Muggleton, S.; Davis, D. Biophysical Effects, Safety and Efficacy of Raspberry Leaf Use in Pregnancy: A Systematic Integrative Review. BMC Complement. Med. Ther. 2021, 21, 56. [Google Scholar] [CrossRef] [PubMed]
- Socha, M.W.; Flis, W.; Wartęga, M.; Szambelan, M.; Pietrus, M.; Kazdepka-Ziemińska, A. Raspberry Leaves and Extracts-Molecular Mechanism of Action and Its Effectiveness on Human Cervical Ripening and the Induction of Labor. Nutrients 2023, 15, 3206. [Google Scholar] [CrossRef] [PubMed]
- Vernon, M.W.; Wilson, E.A. Studies on the Surgical Induction of Endometriosis in the Rat. Fertil. Steril. 1985, 44, 684–694. [Google Scholar] [CrossRef] [PubMed]
- Cummings, A.M.; Metcalf, J.L. Induction of Endometriosis in Mice: A New Model Sensitive to Estrogen. Reprod. Toxicol. 1995, 9, 233–238. [Google Scholar] [CrossRef]
- Quereda, F.; Barroso, J.; Acién, P. Individual and Combined Effects of Triptoreline and Gestrinone on Experimental Endometriosis in Rats. Eur. J. Obstet. Gynecol. Reprod. Biol. 1996, 67, 35–40. [Google Scholar] [CrossRef]







| Peak No. | Rt (min) | UV λmax (nm) | [M+H]+ (m/z) | Phenolic Compound | Subclass | Concentration (μg/mL) |
|---|---|---|---|---|---|---|
| 1 | 5.98 | 270 | 328, 171 | Gallic acid-glucoside | Hydroxybenzoic acid | 33.14 ± 0.67 |
| 2 | 8.17 | 280 | 155 | 2,4-Dihydroxybenzoic acid | Hydroxybenzoic acid | 23.56 ± 2.02 |
| 3 | 8.96 | 280 | 301 | 4-Hydroxybenzoic acid-glucoside | Hydroxybenzoic acid | 59.43 ± 7.19 |
| 4 | 11.25 | 280 | 579 | Procyanidin dimmer I | Flavanol | 24.18 ± 1.96 |
| 5 | 12.05 | 331 | 355 | Chlorogenic acid | Hydroxycinnamic acid | 10.34 ± 0.11 |
| 6 | 12.77 | 280 | 291 | Catechin | Flavanol | 27.33 ± 1.65 |
| 7 | 13.03 | 360, 280 | 435 | Ellagic acid-arabinoside | Hydroxybenzoic acid | 26.18 ± 1.46 |
| 8 | 13.47 | 330 | 343 | Caffeic acid-glucoside | Hydroxycinnamic acid | 21.55 ± 0.42 |
| 9 | 13.67 | 270 | 169 | Vanilic acid | Hydroxybenzoic acid | 13.89 ± 1.10 |
| 10 | 14.81 | 350, 255 | 611, 287 | Kaempferol-diglucoside | Flavonol | 8.68 ± 0.25 |
| 11 | 15.15 | 360, 280 | 465 | Ellagic acid-glucoside | Hydroxybenzoic acid | 2.08 ± 0.10 |
| 12 | 15.79 | 360, 260 | 611, 303 | Quercetin-rutinoside (Rutin) | Flavonol | 23.45 ± 1.67 |
| 13 | 16.04 | 360, 260 | 465, 303 | Quercetin-glucoside | Flavonol | 45.17 ± 2.03 |
| 14 | 16.18 | 360, 280 | 303 | Ellagic acid | Hydroxybenzoic acid | 40.69 ± 5.05 |
| 15 | 16.51 | 360, 260 | 478, 303 | Quercetin-glucuronide | Flavonol | 8.56 ± 0.11 |
| 16 | 17.14 | 350, 255 | 463, 287 | Kaempferol-glucuronide | Flavonol | 12.98 ± 0.69 |
| Total phenolics | 381.29 ± 26.42 |
| CTRL | DG | RiDG | D+RiDG | Stat. (p-Value) * | |
|---|---|---|---|---|---|
| Weight, g A | |||||
| baseline | 152 [149 to 153] | 152 [147 to 159] | 152 [149 to 154] | 155 [148 to 158] | 0.1 (0.9914) |
| 1 month | 174 [172 to 176] | 179 [176 to 180] | 175 [169 to 182] | 178 [176 to 179] | 3.8 (0.2822) |
| Follow-up | 206 [204 to 211] | 234 [231 to 239] | 218 [217 to 221] | 224 [219 to 228] | 28.2 (<0.0001) a |
| Stat. (p-value) ** | 16.0 (0.0003) | 18.0 (0.0001) | 18.0 (0.0001) | 18.0 (0.0001) | |
| Diameter of lesion, mm A | |||||
| preT | 3.9 [3.5 to 7.75] | 12.2 [7.7 to 13] | 5.7 [5.2 to 9.2] | 13.7 [13 to 15.2] | 17.4 (0.0006) b |
| postT | 4 [3.4 to 7.65] | 5.7 [3.5 to 6.35] | 7.4 [3.6 to 8.4] | 5.9 [4.5 to 6.9] | 1.5 (0.6745) |
| Stat. (p-value) # | 9 (0.0630) | 2.7 (0.0077) | 0.9 (0.3743) | 2.7 (0.0077) | |
| PreT Grade B | n.a. | ||||
| 0 | 18 (50.0) | 16 (44.4) | 18 (50) | 19 (52.8) | |
| 1 | 7 (19.4) | 0 (0.0) | 2 (5.6) | 0 (0.0) | |
| 2 | 11 (30.6) | 15 (41.7) | 14 (38.9) | 10 (27.8) | |
| 3 | 0 (0.0) | 5 (13.9) | 2 (5.6) | 7 (19.4) | |
| PostT Grade B | n.a | ||||
| 0 | 18 (50) | 16 (44.4) | 18 (50) | 19 (52.8) | |
| 1 | 5 (13.9) | 5 (13.9) | 7 (19.4) | 4 (11.1) | |
| 2 | 13 (36.1) | 12 (33.3) | 11 (30.6) | 12 (33.3) | |
| 3 | 0 (0.0) | 3 (8.3) | 0 (0) | 1 (2.8) | |
| Grade change B | n.a. | ||||
| Grade 0 | 17 (47.2) | 16 (44.4) | 17 (47.2) | 19 (52.8) | |
| Unchanged (Grade 1–3) | 15 (41.7) | 13 (36.1) | 11 (30.6) | 7 (19.4) | |
| Decreased | 1 (2.8) | 7 (19.4) | 7 (19.4) | 10 (27.8) | |
| Increased | 3 (8.3) | 0 (0.0) | 1 (2.8) | 0 (0.0) |
Disclaimer/Publisher’s Note: The statements, opinions and data contained in all publications are solely those of the individual author(s) and contributor(s) and not of MDPI and/or the editor(s). MDPI and/or the editor(s) disclaim responsibility for any injury to people or property resulting from any ideas, methods, instructions or products referred to in the content. |
© 2024 by the authors. Licensee MDPI, Basel, Switzerland. This article is an open access article distributed under the terms and conditions of the Creative Commons Attribution (CC BY) license (https://creativecommons.org/licenses/by/4.0/).
Share and Cite
Jianu, E.-M.; Pop, R.M.; Gherman, L.M.; Ranga, F.; Levai, A.-M.; Rus, V.; Bolboacă, S.D.; Ștefan, R.-A.; Onofrei, M.M.; Nati, I.-D.; et al. The Effect of Rubus idaeus Polyphenols Extract in Induced Endometriosis in Rats. Molecules 2024, 29, 778. https://doi.org/10.3390/molecules29040778
Jianu E-M, Pop RM, Gherman LM, Ranga F, Levai A-M, Rus V, Bolboacă SD, Ștefan R-A, Onofrei MM, Nati I-D, et al. The Effect of Rubus idaeus Polyphenols Extract in Induced Endometriosis in Rats. Molecules. 2024; 29(4):778. https://doi.org/10.3390/molecules29040778
Chicago/Turabian StyleJianu, Elena-Mihaela, Raluca Maria Pop, Luciana Mădălina Gherman, Floricuța Ranga, Antonia-Mihaela Levai, Vasile Rus, Sorana D. Bolboacă, Roxana-Adelina Ștefan, Mădălin Mihai Onofrei, Ionel-Daniel Nati, and et al. 2024. "The Effect of Rubus idaeus Polyphenols Extract in Induced Endometriosis in Rats" Molecules 29, no. 4: 778. https://doi.org/10.3390/molecules29040778
APA StyleJianu, E.-M., Pop, R. M., Gherman, L. M., Ranga, F., Levai, A.-M., Rus, V., Bolboacă, S. D., Ștefan, R.-A., Onofrei, M. M., Nati, I.-D., Stoia, I. A., Ștefan, P.-A., Mihu, C., & Mihu, C. M. (2024). The Effect of Rubus idaeus Polyphenols Extract in Induced Endometriosis in Rats. Molecules, 29(4), 778. https://doi.org/10.3390/molecules29040778

