Sorbus commixta Fruit Extract Suppresses Lipopolysaccharide-Induced Neuroinflammation in BV-2 Microglia Cells via the MAPK and NF-κB Signaling Pathways
Abstract
1. Introduction
2. Results
2.1. Effects of S. commixta Fruit Water Extract (SFW) and Ethanol Extract (SFE) on NO Production and Cytotoxicity
2.2. Effects of SFW on Pro-Inflammatory Cytokines
2.3. Effects of SFW on iNOS and COX-2 Protein Expression
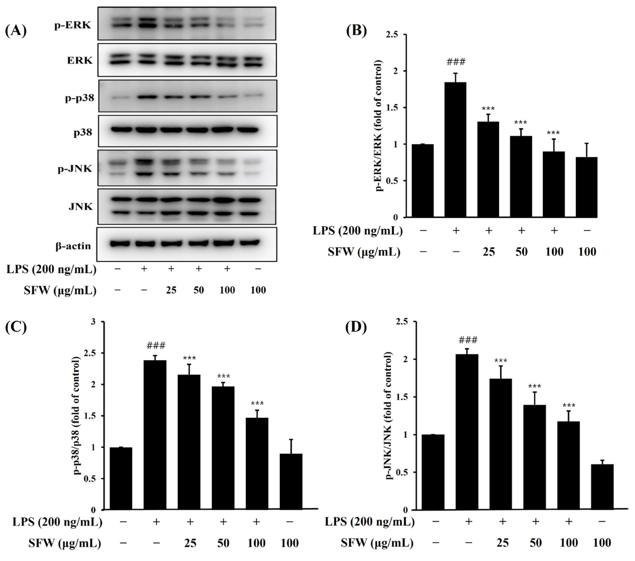
2.4. Effects of SFW on MAPK Protein Expression
2.5. Effects of SFW on Phosphorylation of IĸBα and Nuclear Translocation of NF-ĸB
2.6. HPLC Analysis of Caffeic Acid
2.7. Anti-Inflammatory Effect of Caffeic Acid
3. Discussion
4. Materials and Methods
4.1. Materials
4.2. Plant Materials and Sample Preparation
4.3. Cell Culture and Cell Viability
4.4. Nitric Oxide Assay
4.5. Enzyme-Linked Immunosorbent Assay (ELISA) for the Determination of Cytokine Levels
4.6. Western Blot Analysis
4.7. Immunocytochemistry Staining
4.8. HPLC Analysis
4.9. Statistical Analysis
5. Conclusions
Supplementary Materials
Author Contributions
Funding
Institutional Review Board Statement
Informed Consent Statement
Data Availability Statement
Conflicts of Interest
References
- Yang, S.; Chu, S.; Ai, Q.; Zhang, Z.; Gao, Y.; Lin, M.; Liu, Y.; Hu, Y.; Li, X.; Peng, Y.; et al. Anti-inflammatory effects of higenamine (Hig) on LPS-activated mouse microglia (BV-2) through NF-κB and Nrf2/HO-1 signaling pathways. Int. J. Immunopharmacol. 2020, 85, 106629. [Google Scholar] [CrossRef]
- Kim, K.W.; Kim, H.J.; Sohn, J.H.; Yim, J.H.; Kim, Y.C.; Oh, H. Terrein suppressed lipopolysaccharide-induced neuroinflammation through inhibition of NF-ĸB pathway by activating Nrf2/HO-1 signaling in BV-2 and primary microglial cells. J. Pharmacol. Sci. 2020, 143, 209–218. [Google Scholar] [CrossRef]
- Jeong, J.W.; Jin, C.Y.; Kim, G.Y.; Lee, J.D.; Park, C.; Kim, G.D.; Kim, W.J.; Jung, W.K.; Seo, S.K.; Choi, I.W.; et al. Anti-inflammatory effects of cordycepin via suppression of inflammatory mediators in BV-2 microglial cells. Int. Immunopharmacol. 2010, 10, 1580–1586. [Google Scholar] [CrossRef]
- Bui, B.P.; Oh, Y.; Lee, H.; Cho, J. Inhibition of inflammatory mediators and cell migration by 1,2,3,4-tetrahydroquinoline derivatives in LPS-stimulated BV-2 microglial cells via suppression of NF-κB and JNK pathway. Int. Immunopharmacol. 2020, 80, 106231. [Google Scholar] [CrossRef]
- Tak, P.P.; Firestein, G.S. NF-κB: A key role in inflammatory disease. J. Clin. Investig. 2001, 107, 7–11. [Google Scholar] [CrossRef]
- Moens, U.; Sergiy Kostenko, S.; Sveinbjørnsson, B. The Role of Mitogen-Activated Protein Kinase-Activated Protein Kinases (MAPKAPKs) in Inflammation. Genes 2013, 4, 101–133. [Google Scholar] [CrossRef]
- Qin, L.; Wu, X.; Block, M.L.; Liu, Y.; Breese, G.R.; Hong, J.S.; Knapp, D.J.; Crews, F.T. Systemic LPS causes chronic neuroinflammation and progressive neurodegeneration. Glia 2007, 55, 453–462. [Google Scholar] [CrossRef]
- Tapping, R.I.; Akashi, S.; Miyake, K.; Godowski, P.J.; Tobias, P.S. Toll-Like Receptor 4, But Not Toll-Like Receptor 2, Is a Signaling Receptor for Escherichia and Salmonella Lipopolysaccharides. J. Immunol. 2000, 165, 5780–5787. [Google Scholar] [CrossRef]
- Lu, Y.C.; Yeh, W.C.; Ohashi, P.S. LPS/TLR4 signal transduction pathway. Cytokine 2008, 42, 145–151. [Google Scholar] [CrossRef]
- Yu, T.; Lee, Y.J.; Jang, H.J.; Kim, A.R.; Hong, S.; Kim, T.W.; Kim, M.Y.; Lee, J.; Lee, Y.G.; Cho, J.Y. Anti-inflammatory activity of Sorbus commixta water extract and its molecular inhibitory mechanism. J. Ethnopharmacol. 2011, 134, 493–500. [Google Scholar] [CrossRef]
- Lee, T.K.; Roh, H.S.; Yu, J.S.; Kwon, D.J.; Kim, S.Y.; Baek, K.H.; Kim, K.H. A novel cytotoxic activity of the fruit of Sorbus commixta against human lung cancer cells and isolation of the major constituents. J. Funct. Foods 2017, 30, 1–7. [Google Scholar] [CrossRef]
- Shikov, A.N.; Pozharitskaya, O.N.; Makarov, V.G.; Wagner, H.; Verpoorte, R.; Heinrich, M. Medicinal Plants of the Russian Pharmacopoeia; Their history and applications. J. Ethnopharmacol. 2014, 154, 481–536. [Google Scholar] [CrossRef]
- Moon, S.C.; Choi, H.J.; Chung, T.W.; Lee, J.H.; Lee, S.O.; Jung, M.H.; Kim, B.J.; Choi, J.Y. Sorbus commixta water extract induces apoptotic cell death via a ROS-dependent pathway. Oncol. Lett. 2018, 16, 4193–4200. [Google Scholar] [CrossRef]
- Bae, J.T.; Sim, G.S.; Kim, J.H.; Pyo, H.B.; Yun, J.W.; Lee, B.C. Antioxidative activity of the hydrolytic enzyme treated Sorbus commixta Hedl. and its inhibitory effect on matrix metalloproteinase-1 in UV irradiated human dermal fibroblasts. Arch. Pharm. Res. 2007, 30, 1116–1123. [Google Scholar] [CrossRef]
- Sohn, E.J.; Kang, D.G.; Mun, Y.J.; Woo, W.H.; Lee, H.S. Anti-atherogenic effects of the methanol extract of Sorbus cortex in atherogenic-diet rats. Biol. Pharm. Bull. 2005, 28, 1444–1449. [Google Scholar] [CrossRef]
- Sohn, E.J.; Kang, D.G.; Choi, D.H.; Lee, A.S.; Mun, Y.J.; Woo, W.H.; Kim, J.S.; Lee, H.S. Effect of methanol extract of Sorbus cortex in a rat model of L-NAME-induced atherosclerosis. Biol. Pharm. Bull. 2005, 28, 1239–1243. [Google Scholar] [CrossRef]
- Yin, M.H.; Kang, D.G.; Choi, D.H.; Kwon, T.O.; Lee, H.S. Screening of vasorelaxant activity of some medicinal plants used in Oriental medicines. J. Ethnopharmacol. 2005, 99, 113–117. [Google Scholar] [CrossRef]
- Lee, S.O.; Lee, H.W.; Lee, I.S.; Im, H.G. The pharmacological potential of Sorbus commixta cortex on blood alcohol concentration and hepatic lipid peroxidation in acute alcohol-treated rats. J. Pharm. Pharmacol. 2006, 58, 685–893. [Google Scholar] [CrossRef]
- Jin, S.; Kim, K.C.; Kim, J.S.; Jang, K.I.; Hyun, T.K. Anti-Melanoma Activities and Phytochemical Compositions of Sorbus commixta Fruit Extracts. Plants 2020, 9, 1076. [Google Scholar] [CrossRef]
- Jo, H.G.; Baek, C.Y.; Kim, D.; Lee, D.; Song, H.S. Stem of Sorbus commixta Hedl. Extract Inhibits Cartilage Degradation and Arthritic Pain in Experimental Model via Anti-Inflammatory Activity. Nutrients 2023, 15, 3774. [Google Scholar] [CrossRef]
- Sołtys, A.; Galanty, A.; Podolak, I. Ethnopharmacologically important but underestimated genus Sorbus: A comprehensive review. Phytochem. Rev. 2020, 19, 491–526. [Google Scholar] [CrossRef]
- Balakrishnan, R.; Kim, Y.S.; Kim, G.W.; Kim, W.J.; Hong, S.M.; Kim, C.G.; Choi, D.K. Standardized extract of Glehnia Littoralis abrogates memory impairment and neuroinflammation by regulation of CREB/BDNF and NF-κB/MAPK signaling in scopolamine-induced amnesic mice model. Biomed. Pharmacother. 2023, 165, 115106. [Google Scholar] [CrossRef]
- Amor, S.; Puentes, F.; Baker, D.; Valk, P. Inflammation in neurodegenerative diseases. Immunology 2010, 129, 154–169. [Google Scholar] [CrossRef]
- Anttila, J.E.; Whitaker, K.W.; Wires, E.S.; Harvey, B.K.; Airavaara, M. Role of microglia in ischemic focal stroke and recovery: Focus on Toll-like receptors. Prog. Neuropsychopharmacol. Biol. Psychiatry 2017, 79, 3–14. [Google Scholar] [CrossRef]
- Wilms, H.; Zecca, L.; Rosenstiel, P.; Sievers, J.; Deuschl, G.; Lucius, R. Inflammation in Parkinson’s diseases and other neurodegenerative diseases: Cause and therapeutic implications. Curr. Pharm. Des. 2007, 13, 1925–1928. [Google Scholar] [CrossRef]
- Kim, S.Y.; Jin, C.Y.; Kim, C.H.; Yoo, Y.H.; Choi, S.H.; Kim, G.Y.; Yoon, H.M.; Park, H.T.; Choi, Y.H. Isorhamnetin alleviates lipopolysaccharide-induced inflammatory responses in BV-2 microglia by inactivating NF-κB, blocking the TLR4 pathway and reducing ROS generation. Int. J. Mol. Med. 2019, 43, 682–692. [Google Scholar] [CrossRef]
- Song, H.S.; An, J.Y.; Oh, J.Y.; Kim, D.U.; Kweon, B.; Park, S.J.; Bae, G.S. Anti-inflammatory activity of Kyungok-go on Lipopolysaccharide-Stimulated BV-2 Microglia Cells. J. Korean Med. 2022, 43, 20–32. [Google Scholar] [CrossRef]
- Lehnardt, S.; Massillon, L.; Follett, P.; Jensen, F.E.; Ratan, R.; Rosenberg, P.A.; Volpe, J.J.; Vartanian, T. Activation of innate immunity in the CNS triggers neurodegeneration through a Toll-like receptor 4-dependent pathway. Proc. Natl. Acad. Sci. USA 2003, 100, 8514–8519. [Google Scholar] [CrossRef]
- Xiang, B.; Xiao, C.; Shen, T.; Li, X. Anti-inflammatory effects of anisalcohol on lipopolysaccharide-stimulated BV-2 microglia via selective modulation of microglia polarization and downregulation of NF-ĸB p65 and JNK activation. Mol. Immunol. 2018, 95, 39–46. [Google Scholar] [CrossRef]
- Akira, S.; Uematsu, S.; Takeuchi, O. Pathogen recognition and innate immunity. Cell 2006, 124, 783–801. [Google Scholar] [CrossRef]
- Jeong, J.W.; Choi, I.W.; Jo, G.H.; Kim, G.Y.; Kim, J.; Suh, H.; Ryu, C.H.; Kim, W.J.; Park, K.Y.; Choi, Y.H. Anti-inflammatory effects of 3-(4′-hydroxyl-3′,5′-dimethoxyphenyl) propionic acid, an active component of Korean cabbage kimchi, in lipopolysaccharide-stimulated BV-2 microglia. J. Med. Food 2015, 18, 677–684. [Google Scholar] [CrossRef]
- Guo, C.; Yang, L.; Wan, C.X.; Xia, Y.Z.; Zhang, C.; Chen, M.H.; Wang, Z.D.; Li, Z.R.; Li, X.M.; Geng, Y.D.; et al. Anti-neuroinflammatory effect of Sophoraflavanone G from Sophora alopecuroides in LPS-activated BV-2 microglia by MAPK, JAK/STAT and Nrf2/HO-1 signaling pathways. Phytomedicine 2016, 23, 1629–1637. [Google Scholar] [CrossRef]
- Velagapudi, R.; Aderogba, M.; Olajide, O.A. Tiliroside, a dietary glycosidic flavonoid, inhibits TRAF-6/NF-kappa B/p38-mediated neuroinflammation in activated BV-2 microglia. Biochim. Biophys. Acta. 2014, 1840, 3311–3319. [Google Scholar] [CrossRef]
- Zhao, J.; Ha, Y.; Liou, G.I.; Gonsalvez, G.B.; Smith, S.B.; Bollinger, K.E. Sigma receptor ligand, (+)-pentazocine, suppresses inflammatory responses of retinal microglia. Investig. Ophthalmol. Vis. Sci. 2014, 55, 3375–3384. [Google Scholar] [CrossRef]
- Chen, D.; Nie, M.; Fan, M.W.; Bian, Z. Anti-inflammatory activity of curcumin in macrophages stimulated by lipopolysaccharides from Porphyromonas gingivalis. Pharmacology 2008, 82, 264–269. [Google Scholar] [CrossRef]
- Yu, H.Y.; Kim, K.S.; Lee, Y.C.; Moon, H.I.; Lee, J.H. Oleifolioside A, a New active compound, attenuates LPS-stimulated iNOS and COX-2 expression through the downregulation of NF-κB and MAPK activities in RAW 264.7 macrophages. Evid.-Based Complement. Altern. Med. 2012, 2012, 637512. [Google Scholar] [CrossRef]
- Kaltschmidt, B.; Kaltschmidt, C. NF-kappaB in the nervous System. Cold Spring Harb. Perspect. Biol. 2009, 1, a001271. [Google Scholar] [CrossRef]
- Pavlíková, N. Caffeic Acid and Diseases—Mechanisms of Action. Int. J. Mol. Sci. 2023, 24, 588. [Google Scholar] [CrossRef]








| Compound | Retention Time (min) | Formular | Molecular Weight | CAS Number | |
|---|---|---|---|---|---|
| 1 | Gallic acid | 9.60 | C7H6O5 | 170.12 | 149-91-7 |
| 2 | Chlorogenic acid | 18.45 | C16H18O9 | 354.31 | 327-97-9 |
| 3 | Caffeic acid | 20.58 | C9H8O4 | 180.16 | 331-39-5 |
| 4 | p-Coumaric acid | 23.03 | C9H8O3 | 164.16 | 501-98-4 |
| 5 | Rutin hydrate | 24.17 | C27H30O16 × H2O | 610.52 | 207671-50-9 |
Disclaimer/Publisher’s Note: The statements, opinions and data contained in all publications are solely those of the individual author(s) and contributor(s) and not of MDPI and/or the editor(s). MDPI and/or the editor(s) disclaim responsibility for any injury to people or property resulting from any ideas, methods, instructions or products referred to in the content. |
© 2024 by the authors. Licensee MDPI, Basel, Switzerland. This article is an open access article distributed under the terms and conditions of the Creative Commons Attribution (CC BY) license (https://creativecommons.org/licenses/by/4.0/).
Share and Cite
Kim, Y.-S.; Jung, J.-H.; Kim, K.-T. Sorbus commixta Fruit Extract Suppresses Lipopolysaccharide-Induced Neuroinflammation in BV-2 Microglia Cells via the MAPK and NF-κB Signaling Pathways. Molecules 2024, 29, 5592. https://doi.org/10.3390/molecules29235592
Kim Y-S, Jung J-H, Kim K-T. Sorbus commixta Fruit Extract Suppresses Lipopolysaccharide-Induced Neuroinflammation in BV-2 Microglia Cells via the MAPK and NF-κB Signaling Pathways. Molecules. 2024; 29(23):5592. https://doi.org/10.3390/molecules29235592
Chicago/Turabian StyleKim, Yon-Suk, Jin-Hwa Jung, and Ki-Tae Kim. 2024. "Sorbus commixta Fruit Extract Suppresses Lipopolysaccharide-Induced Neuroinflammation in BV-2 Microglia Cells via the MAPK and NF-κB Signaling Pathways" Molecules 29, no. 23: 5592. https://doi.org/10.3390/molecules29235592
APA StyleKim, Y.-S., Jung, J.-H., & Kim, K.-T. (2024). Sorbus commixta Fruit Extract Suppresses Lipopolysaccharide-Induced Neuroinflammation in BV-2 Microglia Cells via the MAPK and NF-κB Signaling Pathways. Molecules, 29(23), 5592. https://doi.org/10.3390/molecules29235592

