Unveiling the Anticancer Potential of a New Ciprofloxacin-Chalcone Hybrid as an Inhibitor of Topoisomerases I & II and Apoptotic Inducer
Abstract
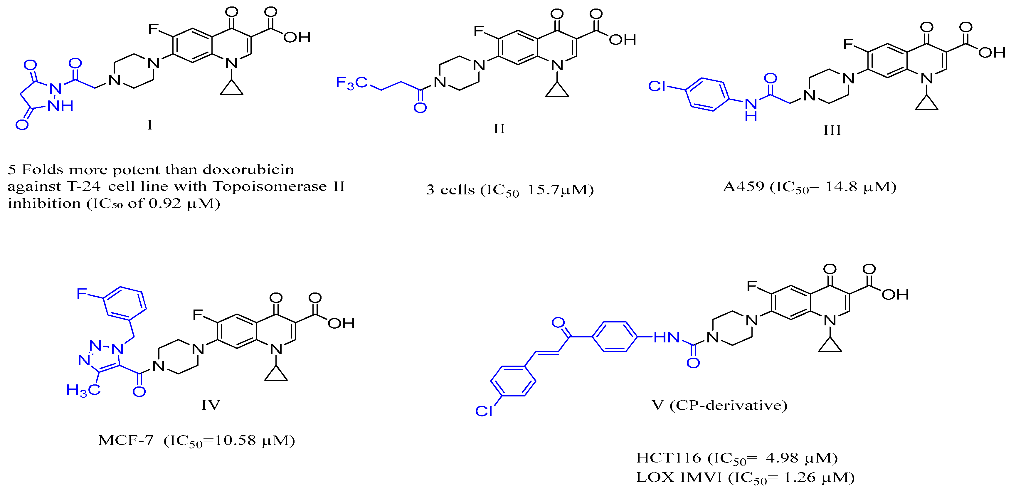
1. Introduction
2. Results
2.1. Chemistry
2.2. Biology
2.2.1. In Vitro Screening of the Anticancer Activity at a Single Dose of 10 μM
2.2.2. Cell Viability Assay
2.2.3. Annexin V Assay Using Flowcytometry
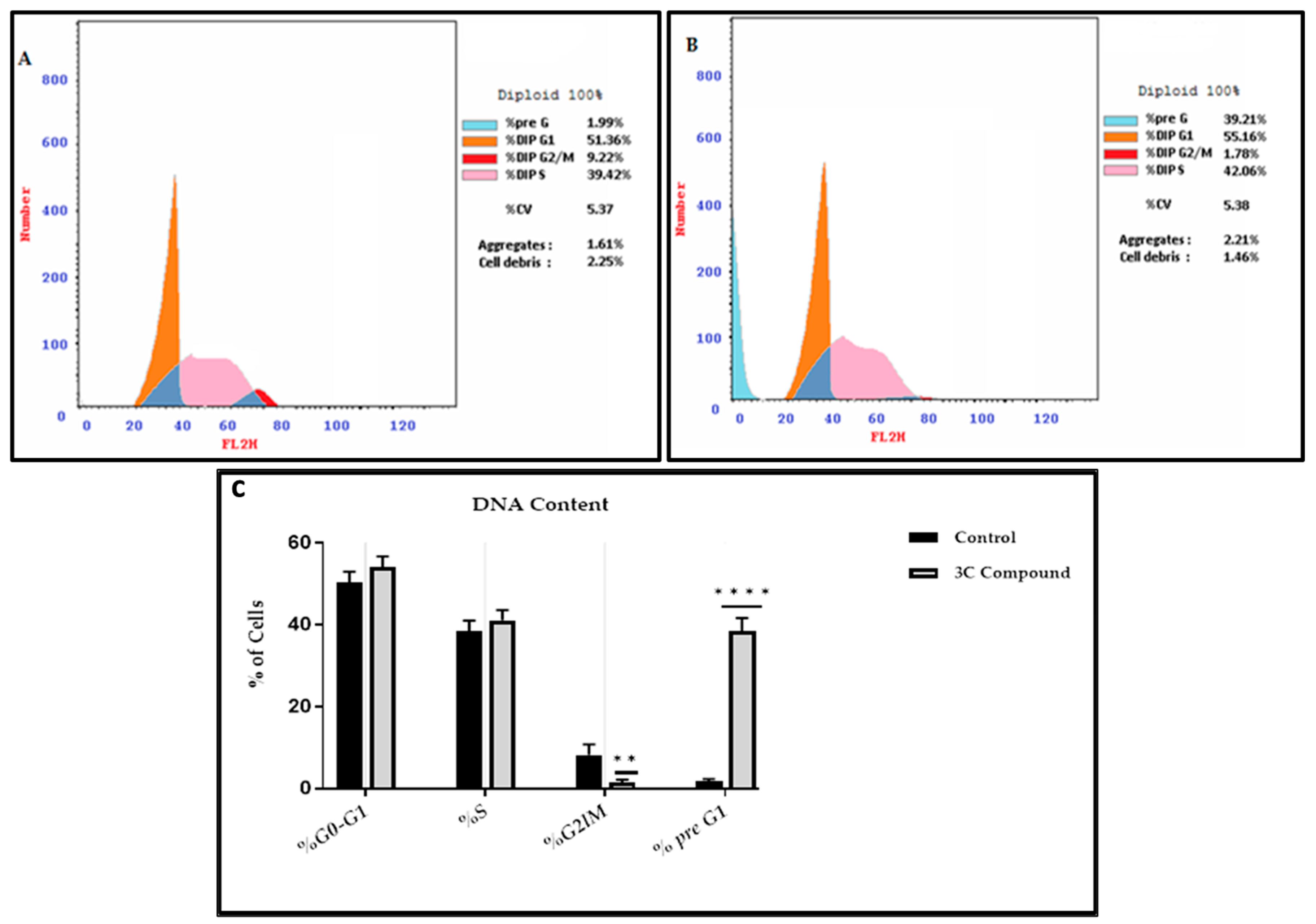
2.2.4. Cell Cycle Analysis Using Flowcytometry
2.2.5. Expression of Bax, Bcl-2, and Caspase 9 Genes
2.2.6. Inhibitory Action of CP Derivative on Topoisomerase I/II
2.3. In Silico Studies
2.3.1. Docking Studies
2.3.2. Predictions of Physicochemical and Pharmacokinetic Properties
3. Discussion
4. Experimental
4.1. Chemistry
7-(4-((4-(3-(4-Chlorophenyl) acryloyl) phenyl) carbamoyl) piperazin-1-yl)-1-cyclopropyl-6-fluoro-4-oxo-1,4-dihydroquinoline-3-carboxylic acid (CP derivative)
4.2. Biology
4.2.1. Materials and Methods
Cell Culture
4.2.2. In Vitro Screening of the Anticancer Activity at a Single Dose of 10 μM
4.2.3. Cell Viability Assay
4.2.4. Annexin V Assay
4.2.5. Cell Cycle Analysis
4.2.6. A Isolation and Real-Time qPCR Assay
4.2.7. Topoisomerases I/II Inhibition Assay
4.3. In Silico Studies
4.3.1. Docking Studies
4.3.2. Physicochemical and Pharmacokinetic Prediction
5. Conclusions
Supplementary Materials
Author Contributions
Funding
Institutional Review Board Statement
Informed Consent Statement
Data Availability Statement
Acknowledgments
Conflicts of Interest
References
- Abdel-Rahman, I.M.; Mustafa, M.; Mohamed, S.A.; Yahia, R.; Abdel-Aziz, M.; Abuo-Rahma, G.E.-D.A.; Hayallah, A.M. Novel Mannich bases of ciprofloxacin with improved physicochemical properties, antibacterial, anticancer activities and caspase-3 mediated apoptosis. Bioorganic Chem. 2021, 107, 104629. [Google Scholar] [CrossRef] [PubMed]
- Mohammad, R.M.; Muqbil, I.; Lowe, L.; Yedjou, C.; Hsu, H.Y.; Lin, L.T.; Siegelin, M.D.; Fimognari, C.; Kumar, N.B.; Dou, Q.P.; et al. Broad targeting of resistance to apoptosis in cancer. In Seminars in Cancer Biology; Academic Press: Cambridge, MA, USA, 2015; Volume 35, pp. S78–S103. [Google Scholar]
- Radwan, M.O.; Sakai, S.; Hassan, A.N.; Uesugi, M.; Sakamoto, M.; Toma, T.; Abourehab, M.A.S.; Badran, M.M.; Tateishi, H.; Nishimura, N.; et al. Discovery of cytotoxic truncated vitamin D derivatives against both bortezomib-sensitive and bortezomib-resistant multiple myeloma phenotypes. Med. Chem. Res. 2024, 33, 829–837. [Google Scholar] [CrossRef]
- McClendon, A.K.; Osheroff, N. DNA topoisomerase II, genotoxicity, and cancer. Mutat. Res./Fundam. Mol. Mech. Mutagen. 2007, 623, 83–97. [Google Scholar] [CrossRef]
- Ansari, M.; Shokrzadeh, M.; Karima, S.; Rajaei, S.; Fallah, M.; Ghassemi-Barghi, N.; Ghasemian, M.; Emami, S. New thiazole-2(3H)-thiones containing 4-(3,4,5-trimethoxyphenyl) moiety as anticancer agents. Eur. J. Med. Chem. 2020, 185, 111784. [Google Scholar] [CrossRef] [PubMed]
- El-Metwally, S.A.; Khalil, A.K.; El-Sayed, W.M. Design, molecular modeling and anticancer evaluation of thieno[2,3-d]pyrimidine derivatives as inhibitors of topoisomerase II. Bioorganic Chem. 2020, 94, 103492. [Google Scholar] [CrossRef]
- Mohammed, H.H.H.; Ali, D.M.E.; Badr, M.; Habib, A.G.K.; Mahmoud, A.M.; Farhan, S.M.; Gany, S.S.H.A.E.; Mohamad, S.A.; Hayallah, A.M.; Abbas, S.H.; et al. Synthesis and molecular docking of new N4-piperazinyl ciprofloxacin hybrids as antimicrobial DNA gyrase inhibitors. Mol. Divers. 2023, 27, 1751–1765. [Google Scholar] [CrossRef] [PubMed]
- Delgado, J.L.; Hsieh, C.-M.; Chan, N.-L.; Hiasa, H. Topoisomerases as Anticancer Targets. Biochem. J. 2018, 475, 373–398. [Google Scholar] [CrossRef]
- Ahadi, H.; Emami, S. Modification of 7-piperazinylquinolone antibacterials to promising anticancer lead compounds: Synthesis and in vitro studies. Eur. J. Med. Chem. 2020, 187, 111970. [Google Scholar] [CrossRef]
- Alhaj-Suliman, S.O.; Naguib, Y.W.; Wafa, E.I.; Saha, S.; Ebeid, K.; Meng, X.; Mohammed, H.H.; Abuo-Rahma, G.E.-D.A.; Yang, S.; Salem, A.K. A ciprofloxacin derivative with four mechanisms of action overcomes paclitaxel resistance in p53-mutant and MDR1 gene-expressing type II human endometrial cancer. Biomaterials 2023, 296, 122093. [Google Scholar] [CrossRef]
- Tillotson, G.S. Quinolones: Structure-activity relationships and future predictions. J. Med. Microbiol. 1996, 44, 320–324. [Google Scholar] [CrossRef]
- Hashem, H.; Hassan, A.; Abdelmagid, W.M.; Habib, A.G.K.; Abdel-Aal, M.A.A.; Elshamsy, A.M.; El Zawily, A.; Radwan, I.T.; Bräse, S.; Abdel-Samea, A.S.; et al. Synthesis of New Thiazole-Privileged Chalcones as Tubulin Polymerization Inhibitors with Potential Anticancer Activities. Pharmaceuticals 2024, 17, 1154. [Google Scholar] [CrossRef] [PubMed]
- Shukla, S.; Sood, A.K.; Goyal, K.; Singh, A.; Sharma, V.; Guliya, N.; Gulati, S.; Kumar, S. Chalcone scaffolds as anticancer drugs: A review on molecular insight in action of mechanisms and anticancer properties. Anti-Cancer Agents Med. Chem. (Former. Curr. Med. Chem. -Anti-Cancer Agents) 2021, 21, 1650–1670. [Google Scholar] [CrossRef]
- Swedan, H.K.; Kassab, A.E.; Gedawy, E.M.; Elmeligie, S.E. Design, synthesis, and biological evaluation of novel ciprofloxacin derivatives as potential anticancer agents targeting topoisomerase II enzyme. J. Enzym. Inhib. Med. Chem. 2023, 38, 118–137. [Google Scholar] [CrossRef]
- Struga, M.; Roszkowski, P.; Bielenica, A.; Otto-Ślusarczyk, D.; Stępień, K.; Stefańska, J.; Zabost, A.; Augustynowicz-Kopeć, E.; Koliński, M.; Kmiecik, S.; et al. N-Acylated ciprofloxacin derivatives: Synthesis and in vitro biological evaluation as antibacterial and anticancer agents. ACS Omega 2023, 8, 18663–18684. [Google Scholar] [CrossRef] [PubMed]
- Mohammed, H.H.H.; Abd El-Hafeez, A.A.; Abbas, S.H.; Abdelhafez, E.-S.M.N.; Abuo-Rahma, G.E.-D.A. New antiproliferative 7-(4-(N-substituted carbamoylmethyl)piperazin-1-yl) derivatives of ciprofloxacin induce cell cycle arrest at G2/M phase. Bioorg. Med. Chem. 2016, 24, 4636–4646. [Google Scholar] [CrossRef]
- Al-Taweel, S.; Al-Saraireh, Y.; Al-Trawneh, S.; Alshahateet, S.; Al-Tarawneh, R.; Ayed, N.; Alkhojah, M.; Wisam, A.K.; Zereini, W.; Al-Qaralleh, O. Synthesis and biological evaluation of ciprofloxacin–1, 2, 3-triazole hybrids as antitumor, antibacterial, and antioxidant agents. Heliyon 2023, 9, e22592. [Google Scholar] [CrossRef]
- Mohammed, H.H.H.; Abbas, S.H.; Hayallah, A.M.; Abuo-Rahma, G.E.-D.A.; Mostafa, Y.A. Novel urea linked ciprofloxacin-chalcone hybrids having antiproliferative topoisomerases I/II inhibitory activities and caspases-mediated apoptosis. Bioorganic Chem. 2021, 106, 104422. [Google Scholar] [CrossRef] [PubMed]
- Ghosh, A.K.; Brindisi, M. Urea derivatives in modern drug discovery and medicinal chemistry. J. Med. Chem. 2019, 63, 2751–2788. [Google Scholar] [CrossRef]
- Kaina, B. DNA damage-triggered apoptosis: Critical role of DNA repair, double-strand breaks, cell proliferation and signaling. Biochem. Pharmacol. 2003, 66, 1547–1554. [Google Scholar] [CrossRef]
- Pu, L.; Amoscato, A.A.; Bier, M.E.; Lazo, J.S. Dual G1 and G2 phase inhibition by a novel, selective Cdc25 inhibitor 6-chloro-7-[corrected](2-morpholin-4-ylethylamino)-quinoline- 5,8-dione. J. Biol. Chem. 2002, 277, 46877–46885. [Google Scholar] [CrossRef]
- Hawtin, R.E.; Stockett, D.E.; Byl, J.A.W.; McDowell, R.S.; Nguyen, T.; Arkin, M.R.; Conroy, A.; Yang, W.; Osheroff, N.; Fox, J.A. Voreloxin is an anticancer quinolone derivative that intercalates DNA and poisons topoisomerase II. PLoS ONE 2010, 5, e10186. [Google Scholar] [CrossRef]
- Yadav, V.; Varshney, P.; Sultana, S.; Yadav, J.; Saini, N. Moxifloxacin and ciprofloxacin induces S-phase arrest and augments apoptotic effects of cisplatin in human pancreatic cancer cells via ERK activation. BMC Cancer 2015, 15, 581. [Google Scholar] [CrossRef]
- Samir, M.; Ramadan, M.; Abdelrahman, M.H.; Abdelbaset, M.S.; Abourehab, M.A.S.; Abdel-Aziz, M.; Abuo-Rahma, G.E.-D.A. 3,7-bis-benzylidene hydrazide ciprofloxacin derivatives as promising antiproliferative dual TOP I & TOP II isomerases inhibitors. Bioorganic Chem. 2021, 110, 104698. [Google Scholar] [CrossRef]
- Staker, B.L.; Hjerrild, K.; Feese, M.D.; Behnke, C.A.; Burgin, A.B.; Stewart, L. The mechanism of topoisomerase I poisoning by a camptothecin analog. Proc. Natl. Acad. Sci. USA 2002, 99, 15387–15392. [Google Scholar] [CrossRef] [PubMed]
- Bunch, H.; Kim, D.; Naganuma, M.; Nakagawa, R.; Cong, A.; Jeong, J.; Ehara, H.; Vu, H.; Chang, J.H.; Schellenberg, M.J.; et al. ERK2-topoisomerase II regulatory axis is important for gene activation in immediate early genes. Nat. Commun. 2023, 14, 8341. [Google Scholar] [CrossRef] [PubMed]
- Talevi, A. Multi-target pharmacology: Possibilities and limitations of the “skeleton key approach” from a medicinal chemist perspective. Front. Pharmacol. 2015, 6, 205. [Google Scholar] [CrossRef] [PubMed]
- Yadav, V.; Talwar, P. Repositioning of fluoroquinolones from antibiotic to anti-cancer agents: An underestimated truth. Biomed. Pharmacother. 2019, 111, 934–946. [Google Scholar] [CrossRef]
- Brody, H. Colorectal cancer. Nature 2015, 521, S1. [Google Scholar] [CrossRef]
- Liang, H.X.; Yu, Y.H.; Li, X.H.; Tang, N.F.; Hu, G.Q.; Liu, B. Apoptosis of human hepatocellular carcinoma cells SMMC-7721 induced by C-3 methylidene thiazolidinedione acetic acid. Int. J. Clin. Exp. Med. 2019, 12, 371–377. [Google Scholar]
- Aziz, H.A.; El-Saghier, A.M.; Badr, M.; Elsadek, B.E.M.; Abuo-Rahma, G.E.-D.A.; Shoman, M.E. Design, synthesis and mechanistic study of N-4-Piperazinyl Butyryl Thiazolidinedione derivatives of ciprofloxacin with Anticancer Activity via Topoisomerase I/II inhibition. Sci. Rep. 2024, 14, 24101. [Google Scholar] [CrossRef]
- Singh, R.; Letai, A.; Sarosiek, K. Regulation of apoptosis in health and disease: The balancing act of BCL-2 family proteins. Nat. Rev. Mol. Cell Biol. 2019, 20, 175–193. [Google Scholar] [CrossRef] [PubMed]
- Pfeffer, C.M.; Singh, A.T. Apoptosis: A target for anticancer therapy. Int. J. Mol. Sci. 2018, 19, 448. [Google Scholar] [CrossRef] [PubMed]
- Alaaeldin, R.; Nazmy, M.H.; Abdel-Aziz, M.; Abuo-Rahma, G.E.D.A.; Fathy, M. Cell Cycle Arrest and Apoptotic Effect of 7-(4-(N-substituted carbamoylmethyl) piperazin-1-yl) Ciprofloxacin-derivative on HCT 116 and A549 Cancer Cells. Anticancer. Res. 2020, 40, 2739–2749. [Google Scholar] [CrossRef]
- Mohamed, M.S.; Abdelhamid, A.O.; Almutairi, F.M.; Ali, A.G.; Bishr, M.K. Induction of apoptosis by pyrazolo[3,4-d]pyridazine derivative in lung cancer cells via disruption of bcl-2/bax expression balance. Bioorganic Med. Chem. 2018, 26, 623–629. [Google Scholar] [CrossRef] [PubMed]
- Shahat, A.S. Antioxidant and anticancer activities of yeast grown on commercial media. Int. J. Biol. Chem. Sci. 2017, 11, 2442–2455. [Google Scholar] [CrossRef][Green Version]
- Bas, A.; Forsberg, G.; Hammarstrom, S.; Hammarstrom, M.L. Utility of the housekeeping genes 18s rrna, beta-actin and glyceraldehyde-3-phosphate-dehydrogenase for normalization in real-time quantitative reverse transcriptase-polymerase chain reaction analysis of gene expression in human t lymphocytes. Scand. J. Immunol. 2004, 59, 566–573. [Google Scholar] [CrossRef] [PubMed]
- Hinz, B.; Ramer, R.; Eichele, K.; Weinzierl, U.; Brune, K. Up-regulation of cyclooxygenase-2 expression is involved in r(+)- methanandamide-induced apoptotic death of human neuroglioma cells. Mol. Pharmacol. 2004, 66, 1643–1651. [Google Scholar] [CrossRef] [PubMed]
- Kleiboeker, S.B. Applications of competitor RNA in diagnostic reverse transcription-pcr. J. Clin. Microbiol. 2003, 41, 2055–2061. [Google Scholar] [CrossRef] [PubMed]
- Cha, S.H.; Chang, C.C.; Yoon, K.J. Instability of the restriction fragment length polymorphism pattern of open reading frame 5 of porcine reproductive and respiratory syndrome virus during sequential pig-to-pig passages. J. Clin. Microbiol. 2004, 42, 4462–4467. [Google Scholar] [CrossRef] [PubMed]
- Trask, D.K.; DiDonato, J.A.; Muller, M.T. Rapid detection and isolation of covalent DNA/protein complexes: Application to topoisomerase I and II. EMBO J. 1984, 3, 671–676. [Google Scholar] [CrossRef]
- Hassan, A.; Mubarak, F.A.F.; Shehadi, I.A.; Mosallam, A.M.; Temairk, H.; Badr, M.; Abdelmonsef, A.H. Design and biological evaluation of 3-substituted quinazoline-2,4(1H,3H)-dione derivatives as dual c-Met/VEGFR-2-TK inhibitors. J. Enz. Inhib. Med. Chem. 2023, 38, 2189578. [Google Scholar] [CrossRef] [PubMed]











| Compound | IC50 in µM | |
|---|---|---|
| Topoisomerase I | Topoisomerase II | |
| Cp derivative | 37.5 | 19.9 |
| Topotecan | 23.0 | ND |
| Etoposide | ND | 28.9 |
| Compound | Target | Binding Affinity (Kcal/mol) | Amino Acid Residue DNA Nucleotide Base | Types of Interaction |
|---|---|---|---|---|
| Topotecan | Topo I | −10.26 | LYS 532 ASP 533 ARG 364 GLU 365 DC 112 DA 113 TGP 11 DT 10 | H-bond H-bond H-bond Pi-Anion Pi-Pi Pi-Pi Pi-Pi Pi-Pi |
| CP derivative | Topo I | −12.04 | TRP 416 | H-bond |
| ASN 419 | H-bond | |||
| ARG 375 | Pi-Anion | |||
| DG 112 | Pi-Alkyl | |||
| LYS 425 | Pi-Alkyl | |||
| GLU 356 | Halogen | |||
| ASP 533 | Pi-Anion | |||
| DA 113 | Pi-Pi | |||
| TGP 11 | Pi-Pi | |||
| DT 10 | Pi-Pi | |||
| HIS 632 | Pi-Alkyl | |||
| ILE 535 | Pi-Alkyl | |||
| ILE 420 | Pi-Alkyl | |||
| LYS 374 | Pi-Alkyl | |||
| PHE 361 | Pi-Alkyl | |||
| Etoposide | Topo IIβ | −8.62 | DC 28 DG 27 DG 23 ARG 508 PRO 824 MET 787 | H-bond Pi-Pi Pi-Pi Pi-cation Pi-Alkyl Pi-Alkyl |
| CP derivative | Topo IIβ | −8.01 | GLY 638 SER 485 GLU 482 GLY 483 PRO 824 ASP 562 DC 28 DG 27 DG 323 | H-bond H-bond Halogen Halogen Pi-Alkyl Negative-Negative H-bond Pi-Pi Pi-Pi |
| CP derivative | Physicochemical Properties of CP Derivative | |||||||
| Heavy atoms | Aromatic heavy atoms | Fraction Csp3 | Rotatable bonds | HBAs | HBDs | MR | TPSA | |
| 44 | 22 | 0.21 | 9 | 6 | 2 | 174.38 | 111.95 | |
| Lipophilicity Parameters of CP Derivative | ||||||||
| iLOGP | XLOGP3 | WLOGP | MLOGP | Silicos-IT Log P | Consensus Log P | |||
| 3.18 | 4.91 | 5.37 | 3.51 | 4.79 | 4.35 | |||
| Water Solubility Parameters of CP Derivative | ||||||||
| ESOL Solubility (mg/mL) | ESOL Class | Ali Solubility (mg/mL) | Ali Class | Silicos-IT Solubility (mg/mL) | Silicos-IT class | |||
| 1.85 × 10−4 | Poorly Soluble | 6.19 × 10−5 | Poorly Soluble | 4.04 × 10−6 | Poorly Soluble | |||
| Pharmacokinetics of CP Derivative | ||||||||
| GI absorption | BBB permeant | Pgp substrate | CYP1A2 inhibitor | CYP1A4 inhibitor | CYP2C9 inhibitor | CYP2D6 inhibitor | log Kp (cm/s) | |
| low | no | no | no | no | yes | no | −6.57 | |
| Drug Likeness Parameters of CP Derivative. | ||||||||
| Lipinski violations | Ghose violations | Veber violations | Egan violations | Muegge violations | Bioavailability Score | |||
| 1 | 3 | 0 | 0 | 1 | 0.56 | |||
| Primer | Sequence of Primer |
|---|---|
| Bax | F 5′-ATGTTTTCTGACGGCAACTTC -3′ R 5′- AGTCCAATGTCCAGCCCAT-3′ |
| BCL-2 | F 5′-ATGTGTGTGGAGACCGTCAA -3′ R 5′-GCCGTACAGTTCCACAAAGG -3′ |
| Caspase-9 | F 5′-TCA GTG ACG TCT GTG TTC AGG AGA-3′ R 5′-TTG TTG ATG ATG AGG CAG TAG CCG-3′ |
| β-Actin | F 5′-GTGACATCCACACCCAGAGG-3′ R 5′-ACAGGATGTCAAAACTGCCC-3′ |
Disclaimer/Publisher’s Note: The statements, opinions and data contained in all publications are solely those of the individual author(s) and contributor(s) and not of MDPI and/or the editor(s). MDPI and/or the editor(s) disclaim responsibility for any injury to people or property resulting from any ideas, methods, instructions or products referred to in the content. |
© 2024 by the authors. Licensee MDPI, Basel, Switzerland. This article is an open access article distributed under the terms and conditions of the Creative Commons Attribution (CC BY) license (https://creativecommons.org/licenses/by/4.0/).
Share and Cite
Ali, D.M.E.; Aziz, H.A.; Bräse, S.; Al Bahir, A.; Alkhammash, A.; Abuo-Rahma, G.E.-D.A.; Elshamsy, A.M.; Hashem, H.; Abdelmagid, W.M. Unveiling the Anticancer Potential of a New Ciprofloxacin-Chalcone Hybrid as an Inhibitor of Topoisomerases I & II and Apoptotic Inducer. Molecules 2024, 29, 5382. https://doi.org/10.3390/molecules29225382
Ali DME, Aziz HA, Bräse S, Al Bahir A, Alkhammash A, Abuo-Rahma GE-DA, Elshamsy AM, Hashem H, Abdelmagid WM. Unveiling the Anticancer Potential of a New Ciprofloxacin-Chalcone Hybrid as an Inhibitor of Topoisomerases I & II and Apoptotic Inducer. Molecules. 2024; 29(22):5382. https://doi.org/10.3390/molecules29225382
Chicago/Turabian StyleAli, Doaa Mohamed Elroby, Hossameldin A. Aziz, Stefan Bräse, Areej Al Bahir, Abdullah Alkhammash, Gamal El-Din A. Abuo-Rahma, Ali M. Elshamsy, Hamada Hashem, and Walid M. Abdelmagid. 2024. "Unveiling the Anticancer Potential of a New Ciprofloxacin-Chalcone Hybrid as an Inhibitor of Topoisomerases I & II and Apoptotic Inducer" Molecules 29, no. 22: 5382. https://doi.org/10.3390/molecules29225382
APA StyleAli, D. M. E., Aziz, H. A., Bräse, S., Al Bahir, A., Alkhammash, A., Abuo-Rahma, G. E.-D. A., Elshamsy, A. M., Hashem, H., & Abdelmagid, W. M. (2024). Unveiling the Anticancer Potential of a New Ciprofloxacin-Chalcone Hybrid as an Inhibitor of Topoisomerases I & II and Apoptotic Inducer. Molecules, 29(22), 5382. https://doi.org/10.3390/molecules29225382

