Dual-Functionalized Mesoporous Silica Nanoparticles for Celecoxib Delivery: Amine Grafting and Imidazolyl PEI Gatekeepers for Enhanced Loading and Controlled Release with Reduced Toxicity
Abstract
1. Introduction
2. Results
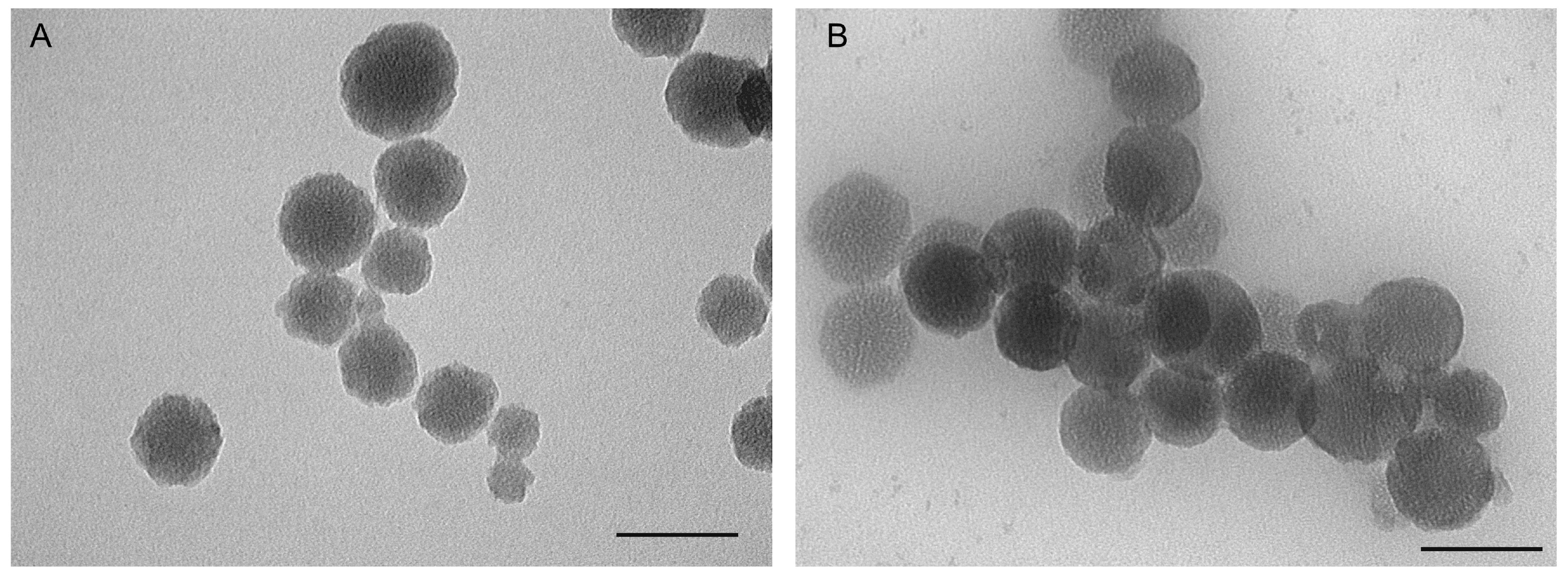
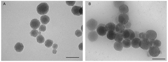
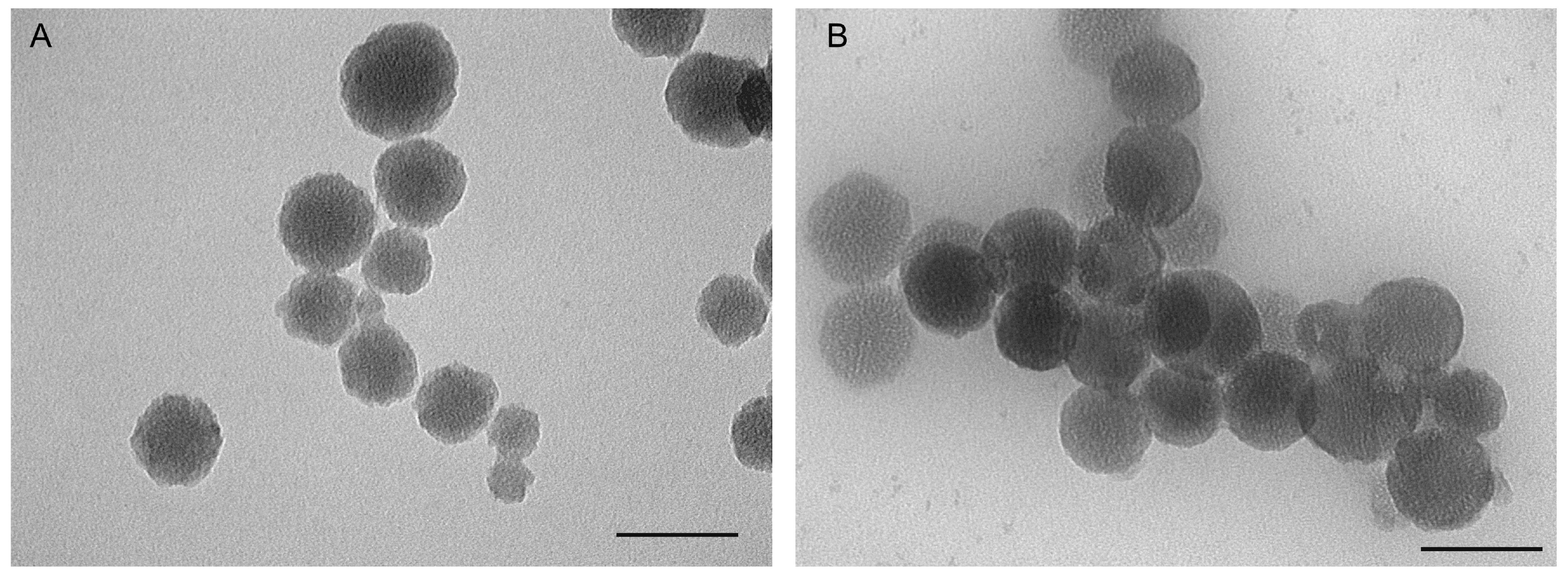
2.1. Synthesis and Characterization of Different MSN Formulations
2.2. TGA Results
2.3. FTIR and 1H-NMR Results
2.4. In Vitro Release Testing
2.5. Cell Viabilty
2.6. Evaluation of Anti-Inflammatory Effects Using NO Assay
3. Discussion
4. Materials and Methods
4.1. Materials
4.2. Synthesis of Mesoporous Silica Nanoparticles (MSN)
4.3. Functionalization and Drug Loading in MSN
4.4. Synthesis and Conjugation of IP to MSN-NH2-Cxb
4.5. Characterization of Nanoparticles
4.6. Thermogravimetric Analysis (TGA)
4.7. FTIR and 1H-NMR Characterization
4.8. Determination of Entrapment Efficiency and Loading Capacity
4.9. In Vitro Release Testing
4.10. Cell Culture
4.11. Cell Viability Assay
4.12. Nitric Oxide (NO) Assay
4.13. Statistical Analysis
5. Conclusions
Author Contributions
Funding
Institutional Review Board Statement
Informed Consent Statement
Data Availability Statement
Acknowledgments
Conflicts of Interest
References
- Rainsford, K.D. Anti-Inflammatory Drugs in the 21st Century. Subcell. Biochem. 2007, 42, 3–27. [Google Scholar] [CrossRef] [PubMed]
- Dannenberg, A.J.; Subbaramaiah, K. Targeting Cyclooxygenase-2 in Human Neoplasia: Rationale and Promise. Cancer Cell 2003, 4, 431–436. [Google Scholar] [CrossRef] [PubMed]
- Kulp, S.K.; Yang, Y.T.; Hung, C.C.; Chen, K.F.; Lai, J.P.; Tseng, P.H.; Fowble, J.W.; Ward, P.J.; Chen, C.S. 3-Phosphoinositide-Dependent Protein Kinase-1/Akt Signaling Represents a Major Cyclooxygenase-2-Independent Target for Celecoxib in Prostate Cancer Cells. Cancer Res. 2004, 64, 1444–1451. [Google Scholar] [CrossRef] [PubMed]
- Arslan, A.; Yet, B.; Nemutlu, E.; Akdağ Çaylı, Y.; Eroğlu, H.; Öner, L. Celecoxib Nanoformulations with Enhanced Solubility, Dissolution Rate, and Oral Bioavailability: Experimental Approaches over In Vitro/In Vivo Evaluation. Pharmaceutics 2023, 15, 363. [Google Scholar] [CrossRef] [PubMed]
- Nachimuthu, S.; Volfinzon, L.; Gopal, L. Acute Hepatocellular and Cholestatic Injury in a Patient Taking Celecoxib. Postgrad. Med. J. 2001, 77, 548–550. [Google Scholar] [CrossRef]
- McKellar, G.; Singh, G. Celecoxib in Arthritis: Relative Risk Management Profile and Implications for Patients. Ther. Clin. Risk Manag. 2009, 5, 889–896. [Google Scholar] [CrossRef] [PubMed][Green Version]
- Trzeciak, K.; Chotera-ouda, A.; Bak-sypien, I.I.; Potrzebowski, M.J. Mesoporous Silica Particles as Drug Delivery Systems—The State of the Art in Loading Methods and the Recent Progress in Analytical Techniques for Monitoring These Processes. Pharmaceutics 2021, 13, 950. [Google Scholar] [CrossRef] [PubMed]
- Günaydin, Ş.; Yilmaz, A. Improvement of Solubility of Celecoxib by Inclusion in MCM-41 Mesoporous Silica: Drug Loading and Release. Turk. J. Chem. 2015, 39, 317–333. [Google Scholar] [CrossRef]
- Xu, B.; Li, S.; Shi, R.; Liu, H. Multifunctional Mesoporous Silica Nanoparticles for Biomedical Applications. Signal Transduct. Target. Ther. 2023, 8, 197–206. [Google Scholar] [CrossRef]
- Rosenholm, J.M.; Meinander, A.; Peuhu, E.; Niemi, R.; Eriksson, J.E.; Sahlgren, C.; Lindén, M. Targeting of Porous Hybrid Silica Nanoparticles to Cancer Cells. ACS Nano 2009, 3, 197–206. [Google Scholar] [CrossRef]
- Liu, J.; Stace-Naughton, A.; Jiang, X.; Brinker, C.J. Porous Nanoparticle Supported Lipid Bilayers (Protocells) as Delivery Vehicles. J. Am. Chem. Soc. 2009, 131, 1354–1355. [Google Scholar] [CrossRef] [PubMed]
- Oh, J.Y.; Yang, G.; Choi, E.; Ryu, J.H. Mesoporous Silica Nanoparticle-Supported Nanocarriers with Enhanced Drug Loading, Encapsulation Stability, and Targeting Efficiency. Biomater. Sci. 2022, 10, 1448–1455. [Google Scholar] [CrossRef] [PubMed]
- Hanafi-Bojd, M.Y.; Jaafari, M.R.; Ramezanian, N.; Xue, M.; Amin, M.; Shahtahmassebi, N.; Malaekeh-Nikouei, B. Surface Functionalized Mesoporous Silica Nanoparticles as an Effective Carrier for Epirubicin Delivery to Cancer Cells. Eur. J. Pharm. Biopharm. 2015, 89, 248–258. [Google Scholar] [CrossRef] [PubMed]
- Eren, Z.S.; Tunçer, S.; Gezer, G.; Yildirim, L.T.; Banerjee, S.; Yilmaz, A. Improved Solubility of Celecoxib by Inclusion in SBA-15 Mesoporous Silica: Drug Loading in Different Solvents and Release. Microporous Mesoporous Mater. 2016, 235, 211–223. [Google Scholar] [CrossRef]
- Estevão, B.M.; Miletto, I.; Hioka, N.; Marchese, L.; Gianotti, E. Mesoporous Silica Nanoparticles Functionalized with Amino Groups for Biomedical Applications. ChemistryOpen 2021, 10, 1251–1259. [Google Scholar] [CrossRef] [PubMed]
- Kamarudin, N.H.N.; Jalil, A.A.; Triwahyono, S.; Salleh, N.F.M.; Karim, A.H.; Mukti, R.R.; Hameed, B.H.; Ahmad, A. Role of 3-Aminopropyltriethoxysilane in the Preparation of Mesoporous Silica Nanoparticles for Ibuprofen Delivery: Effect on Physicochemical Properties. Microporous Mesoporous Mater. 2013, 180, 235–241. [Google Scholar] [CrossRef]
- Liu, W.; Zhu, Y.; Wang, F.; Li, X.; Liu, X.; Pang, J.; Pan, W. Galactosylated Chitosanfunctionalized Mesoporous Silica Nanoparticles for Efficient Colon Cancer Cell-Targeted Drug Delivery. R. Soc. Open Sci. 2018, 5, 181027. [Google Scholar] [CrossRef] [PubMed]
- Yang, L.; Li, F.; Cao, Y.; Liu, Q.; Jing, G.; Niu, J.; Sun, F.; Qian, Y.; Wang, S.; Li, A. Multifunctional Silica Nanocomposites Prime Tumoricidal Immunity for Efficient Cancer Immunotherapy. J. Nanobiotechnol. 2021, 19, 328. [Google Scholar] [CrossRef] [PubMed]
- Zauška, Ľ.; Beňová, E.; Urbanová, M.; Brus, J.; Zeleňák, V.; Hornebecq, V.; Almáši, M. Adsorption and Release Properties of Drug Delivery System Naproxen-SBA-15: Effect of Surface Polarity, Sodium/Acid Drug Form and PH. J. Funct. Biomater. 2022, 13, 275. [Google Scholar] [CrossRef]
- Zauska, L.; Bova, S.; Benova, E.; Bednarcik, J.; Balaz, M.; Zelenak, V.; Hornebecq, V.; Almasi, M. Thermosensitive Drug Delivery System SBA-15-PEI for Controlled Release of Nonsteroidal Anti-Inflammatory Drug Diclofenac Sodium Salt: A Comparative Study. Materials 2021, 14, 1880. [Google Scholar] [CrossRef]
- Sun, X.; Wang, N.; Yang, L.Y.; Ouyang, X.K.; Huang, F. Folic Acid and Pei Modified Mesoporous Silica for Targeted Delivery of Curcumin. Pharmaceutics 2019, 11, 430. [Google Scholar] [CrossRef] [PubMed]
- Brunot, C.; Ponsonnet, L.; Lagneau, C.; Farge, P.; Picart, C.; Grosgogeat, B. Cytotoxicity of Polyethyleneimine (PEI), Precursor Base Layer of Polyelectrolyte Multilayer Films. Biomaterials 2007, 28, 632–640. [Google Scholar] [CrossRef] [PubMed]
- Song, J.; Wang, D.; Wang, J.; Shen, Q.; Xie, C.; Lu, W.; Wang, R.; Liu, M. Low Molecular Weight Polyethyleneimine Modified by 2-Aminoimidazole Achieving Excellent Gene Transfection Efficiency. Eur. Polym. J. 2020, 140, 110017. [Google Scholar] [CrossRef]
- Bertrand, E.; Gonalves, C.; Billiet, L.; Gomez, J.P.; Pichon, C.; Cheradame, H.; Midoux, P.; Guégan, P. Histidinylated Linear PEI: A New Efficient Non-Toxic Polymer for Gene Transfer. Chem. Commun. 2011, 47, 12547–12549. [Google Scholar] [CrossRef] [PubMed]
- Kong, J.; Yu, X.; Hu, W.; Hu, Q.; Shui, S.; Li, L.; Han, X.; Xie, H.; Zhang, X.; Wang, T. A Biomimetic Enzyme Modified Electrode for H2O2 Highly Sensitive Detection. Analyst 2015, 140, 7792–7798. [Google Scholar] [CrossRef] [PubMed]
- Follain, N.; Montanari, S.; Jeacomine, I.; Gambarelli, S.; Vignon, M.R. Coupling of Amines with Polyglucuronic Acid: Evidence for Amide Bond Formation. Carbohydr. Polym. 2008, 74, 333–343. [Google Scholar] [CrossRef]
- Zhang, L.; He, Y.; Zhou, Y.; Yang, R.; Yang, Q.; Qing, D.; Niu, Q. A Novel Imidazoline Derivative as Corrosion Inhibitor for P110 Carbon Steel in Hydrochloric Acid Environment. Petroleum 2015, 1, 237–243. [Google Scholar] [CrossRef]
- Nhavene, E.P.F.; Andrade, G.F.; Arantes Faria, J.A.Q.; Gomes, D.A.; de Sousa, E.M.B. Biodegradable Polymers Grafted onto Multifunctional Mesoporous Silica Nanoparticles for Gene Delivery. ChemEngineering 2018, 2, 24. [Google Scholar] [CrossRef]
- Pilipavicius, J.; Kaleinikaite, R.; Pucetaite, M.; Velicka, M.; Kareiva, A.; Beganskiene, A. Controllable Formation of High Density SERS-Active Silver Nanoprism Layers on Hybrid Silica-APTES Coatings. Appl. Surf. Sci. 2016, 377, 134–140. [Google Scholar] [CrossRef]
- Alajami, H.N.; Fouad, E.A.; Ashour, A.E.; Kumar, A.; Yassin, A.E.B. Celecoxib-Loaded Solid Lipid Nanoparticles for Colon Delivery: Formulation Optimization and In Vitro Assessment of Anti-Cancer Activity. Pharmaceutics 2022, 14, 131. [Google Scholar] [CrossRef]
- Von Harpe, A.; Petersen, H.; Li, Y.; Kissel, T. Characterization of Commercially Available and Synthesized Polyethylenimines for Gene Delivery. J. Control. Release 2000, 69, 309–322. [Google Scholar] [CrossRef] [PubMed]
- Taghavi, M.; Ghaemy, M.; Hassanzadeh, M. Asymmetric-Based Novel Poly(Ether-Imide)s: Preparation, Properties, Kinetics of Thermal Decomposition, and Study Electrochemical Oxidation Behavior by Using Nanocomposite Paste of Polymer and Multi-Walled Carbon Nanotube. High. Perform. Polym. 2012, 24, 305–318. [Google Scholar] [CrossRef]
- Miller, P.J.; Shantz, D.F. Covalently Functionalized Uniform Amino-Silica Nanoparticles. Synthesis and Validation of Amine Group Accessibility and Stability. Nanoscale Adv. 2020, 2, 860–868. [Google Scholar] [CrossRef] [PubMed]
- Abdul Ajiz, H.; Widiyastuti, W.; Setyawan, H.; Nurtono, T. Amine-Functionalized Porous Silica Production via Ex- and in-Situ Method Using Silicate Precursors as a Selective Adsorbent for CO2 Capture Applications. Heliyon 2024, 10, e26691. [Google Scholar] [CrossRef] [PubMed]
- Szegedi, A.; Popova, M.; Goshev, I.; Mihály, J. Effect of Amine Functionalization of Spherical MCM-41 and SBA-15 on Controlled Drug Release. J. Solid. State Chem. 2011, 184, 1201–1207. [Google Scholar] [CrossRef]
- Ahmadi, E.; Dehghannejad, N.; Hashemikia, S.; Ghasemnejad, M.; Tabebordbar, H. Synthesis and Surface Modification of Mesoporous Silica Nanoparticles and Its Application as Carriers for Sustained Drug Delivery. Drug Deliv. 2014, 21, 164–172. [Google Scholar] [CrossRef] [PubMed]
- Manzano, M.; Aina, V.; Areán, C.O.; Balas, F.; Cauda, V.; Colilla, M.; Delgado, M.R.; Vallet-Regí, M. Studies on MCM-41 Mesoporous Silica for Drug Delivery: Effect of Particle Morphology and Amine Functionalization. Chem. Eng. J. 2008, 137, 164–172. [Google Scholar] [CrossRef]
- Kim, D.; Koo, J.; Yang, E.J.; Shim, K.; Tin, Y.Y.; Lin, Z.; Oh, K.T.; Na, D.H. Entrapment of Celecoxib into Mesoporous Silica Particles for Tablets with Improved Dissolution through Amorphization. J. Drug Deliv. Sci. Technol. 2023, 84, 104485. [Google Scholar] [CrossRef]
- Yu, Q.Y.; Zhan, Y.R.; Zhang, J.; Luan, C.R.; Wang, B.; Yu, X.Q. Aromatic Modification of Low Molecular Weight PEI for Enhanced Gene Delivery. Polymers 2017, 9, 362. [Google Scholar] [CrossRef]
- Wen, Y.; Guo, Z.; Du, Z.; Fang, R.; Wu, H.; Zeng, X.; Wang, C.; Feng, M.; Pan, S. Serum Tolerance and Endosomal Escape Capacity of Histidine-Modified PDNA-Loaded Complexes Based on Polyamidoamine Dendrimer Derivatives. Biomaterials 2012, 33, 8111–8121. [Google Scholar] [CrossRef]
- El-Sayed, A.; Futaki, S.; Harashima, H. Delivery of Macromolecules Using Arginine-Rich Cell-Penetrating Peptides: Ways to Overcome Endosomal Entrapment. AAPS J. 2009, 11, 13–22. [Google Scholar] [CrossRef] [PubMed]
- Lu, D.; An, Y.; Feng, S.; Li, X.; Fan, A.; Wang, Z.; Zhao, Y. Imidazole-Bearing Polymeric Micelles for Enhanced Cellular Uptake, Rapid Endosomal Escape, and On-Demand Cargo Release. AAPS PharmSciTech 2018, 19, 2610–2619. [Google Scholar] [CrossRef]
- Ashour, M.M.; Mabrouk, M.; Soliman, I.E.; Beherei, H.H.; Tohamy, K.M. Mesoporous Silica Nanoparticles Prepared by Different Methods for Biomedical Applications: Comparative Study. IET Nanobiotechnol. 2021, 15, 291–300. [Google Scholar] [CrossRef] [PubMed]
- She, X.; Chen, L.; Li, C.; He, C.; He, L.; Kong, L. Functionalization of Hollow Mesoporous Silica Nanoparticles for Improved 5-Fu Loading. J. Nanomater. 2015, 2015, 872035. [Google Scholar] [CrossRef]
- Zhang, G.; Gao, J.; Qian, J.; Zhang, L.; Zheng, K.; Zhong, K.; Cai, D.; Zhang, X.; Wu, Z. Hydroxylated Mesoporous Nanosilica Coated by Polyethylenimine Coupled with Gadolinium and Folic Acid: A Tumor-Targeted T 1 Magnetic Resonance Contrast Agent and Drug Delivery System. ACS Appl. Mater. Interfaces 2015, 7, 14192–14200. [Google Scholar] [CrossRef] [PubMed]
- Sadaqa, E.; Utami, R.A.; Mudhakir, D. In Vitro Cytotoxic and Genotoxic Effects of Phyllanthus Niruri Extract Loaded Chitosan Nanoparticles in TM4 Cells and Their Influence on Spermatogenesis. Pharmacia 2024, 71, e112138. [Google Scholar] [CrossRef]
- Alaaeldin, E.; Abou-Taleb, H.A.; Mohamad, S.A.; Elrehany, M.; Gaber, S.S.; Mansour, H.F. Topical Nano-Vesicular Spanlastics of Celecoxib: Enhanced Anti-Inflammatory Effect and down-Regulation of Tnf-α, Nf-Kb and Cox-2 in Complete Freund’s Adjuvant-Induced Arthritis Model in Rats. Int. J. Nanomed. 2021, 16, 133–145. [Google Scholar] [CrossRef] [PubMed]
- Kim, Y.; Park, E.J.; Kim, T.W.; Na, D.H. Recent Progress in Drug Release Testing Methods of Biopolymeric Particulate System. Pharmaceutics 2021, 13, 1313. [Google Scholar] [CrossRef] [PubMed]
- Song, Y.; Li, Y.; Xu, Q.; Li, Z. IJN-117495-Mesoporous-Silica-Nanoparticles-for-Stimuli-Responsive-Cont-. Int. J. Nanomed. 2017, 87–110. [Google Scholar] [CrossRef]
- Jin, H.; Heller, D.A.; Strano, M.S. Single-Particle Tracking of Endocytosis and Exocytosis of Single-Walled Carbon Nanotubes in NIH-3T3 Cells. Nano Lett. 2008, 8, 1577–1585. [Google Scholar] [CrossRef]
- Wang, W.; Wang, P.; Tang, X.; Elzatahry, A.A.; Wang, S.; Al-Dahyan, D.; Zhao, M.; Yao, C.; Hung, C.T.; Zhu, X.; et al. Facile Synthesis of Uniform Virus-like Mesoporous Silica Nanoparticles for Enhanced Cellular Internalization. ACS Cent. Sci. 2017, 3, 1577–1585. [Google Scholar] [CrossRef] [PubMed]
- Loan, T.T.; Do, L.T.; Yoo, H. Platinum Nanoparticles Induce Apoptosis on Raw 264.7 Macrophage Cells. J. Nanosci. Nanotechnol. 2017, 18, 861–864. [Google Scholar] [CrossRef] [PubMed]








| Characteristics | Type of Nanoparticles | |||
|---|---|---|---|---|
| MSN-Cxb | MSN-NH2-Cxb | MSN-NH2-Cxb-PEI | MSN-NH2-Cxb-IP | |
| Particle size (nm) | 218.5 ± 7.50 | 201.77 ± 3.74 | 266.90 ± 2.89 | 215.60 ± 9.70 |
| Polydispersity index | 0.34 ± 0.05 | 0.31 ± 0.01 | 0.32 ± 0.01 | 0.35 ± 0.08 |
| Zeta potential (mV) | −28.79 ± 5.38 | 28.91 ± 1.81 | 26.36 ± 5.79 | 20.16 ± 3.01 |
| Entrapment efficiency (%) | 6.10 ± 2.43 | 12.89 ± 1.02 | 12.89 ± 1.02 | 13.17 ± 2.11 |
| Loading capacity (%) | 6.18 ± 1.75 | 12.91 ± 2.02 | 12.91 ± 2.02 | 13.51 ± 1.60 |
| Sample | Surface Area [m2·g−1] | Pore Size (nm) | Pore Volume (cm3·g−1) |
|---|---|---|---|
| MSN | 204.47 | 24.32 | 2.03 |
| MSN-NH2 | 166.77 | 19.66 | 1.12 |
| MSN-NH2-PEI | 49.727 | 10.92 | 0.49 |
| Sample | Total Weight Loss wt.% | Cxb Weight Loss wt.% | Cxb Mass [mg·g−1] | Cxb Mass per Surface [mg·m−2] |
|---|---|---|---|---|
| MSN-NH2-Cxb | 25.68 | 8.02 | 49.36 | 0.30 |
| MSN-NH2-Cxb-PEI | 47.90 | 7.58 | 46.69 | 0.94 |
| MSN-NH2-Cxb-IP | 49.80 | 7.35 | 45.26 | - |
Disclaimer/Publisher’s Note: The statements, opinions and data contained in all publications are solely those of the individual author(s) and contributor(s) and not of MDPI and/or the editor(s). MDPI and/or the editor(s) disclaim responsibility for any injury to people or property resulting from any ideas, methods, instructions or products referred to in the content. |
© 2024 by the authors. Licensee MDPI, Basel, Switzerland. This article is an open access article distributed under the terms and conditions of the Creative Commons Attribution (CC BY) license (https://creativecommons.org/licenses/by/4.0/).
Share and Cite
Mudhakir, D.; Sadaqa, E.; Permana, Z.; Mumtazah, J.E.; Zefrina, N.F.; Xeliem, J.N.; Hanum, L.F.; Kurniati, N.F. Dual-Functionalized Mesoporous Silica Nanoparticles for Celecoxib Delivery: Amine Grafting and Imidazolyl PEI Gatekeepers for Enhanced Loading and Controlled Release with Reduced Toxicity. Molecules 2024, 29, 3546. https://doi.org/10.3390/molecules29153546
Mudhakir D, Sadaqa E, Permana Z, Mumtazah JE, Zefrina NF, Xeliem JN, Hanum LF, Kurniati NF. Dual-Functionalized Mesoporous Silica Nanoparticles for Celecoxib Delivery: Amine Grafting and Imidazolyl PEI Gatekeepers for Enhanced Loading and Controlled Release with Reduced Toxicity. Molecules. 2024; 29(15):3546. https://doi.org/10.3390/molecules29153546
Chicago/Turabian StyleMudhakir, Diky, Ebrahim Sadaqa, Zuliar Permana, Jihan Eldia Mumtazah, Normalita Faraz Zefrina, Jovinka Natalie Xeliem, Latifa Fawzia Hanum, and Neng Fisheri Kurniati. 2024. "Dual-Functionalized Mesoporous Silica Nanoparticles for Celecoxib Delivery: Amine Grafting and Imidazolyl PEI Gatekeepers for Enhanced Loading and Controlled Release with Reduced Toxicity" Molecules 29, no. 15: 3546. https://doi.org/10.3390/molecules29153546
APA StyleMudhakir, D., Sadaqa, E., Permana, Z., Mumtazah, J. E., Zefrina, N. F., Xeliem, J. N., Hanum, L. F., & Kurniati, N. F. (2024). Dual-Functionalized Mesoporous Silica Nanoparticles for Celecoxib Delivery: Amine Grafting and Imidazolyl PEI Gatekeepers for Enhanced Loading and Controlled Release with Reduced Toxicity. Molecules, 29(15), 3546. https://doi.org/10.3390/molecules29153546

