Screening the Efficacy and Safety of Molluscicides from Three Leaf Extracts of Chimonanthus against the Invasive Apple Snail, Pomacea canaliculata
Abstract
1. Introduction
2. Results
2.1. PEE Components from Three Chimonanthus Species
2.2. Molluscicidal Activity of PEEs
2.3. Histopathological Studies of the Foot
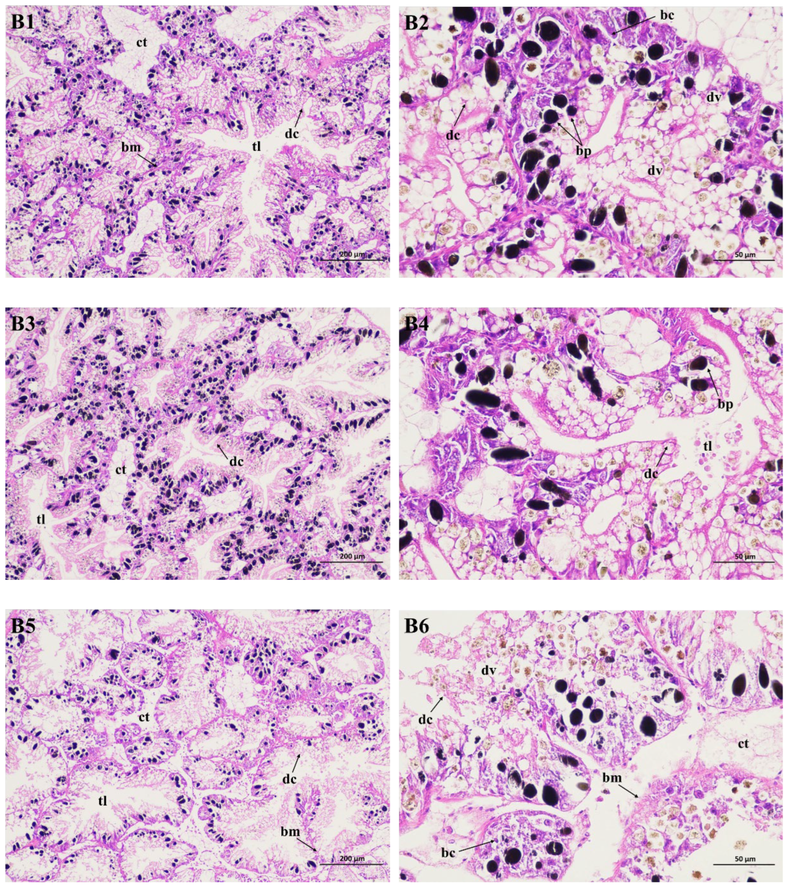
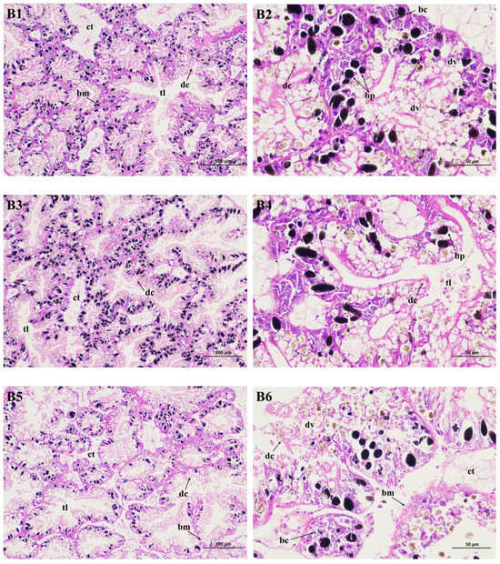
2.4. Histopathological Study of the Hepatopancreas
2.5. Biochemical Analysis
2.6. Effects of Pcp Treatment on Plant Growth
3. Discussion
4. Materials and Methods
4.1. Pomacea Canaliculata
4.2. Plant Extracts
4.3. Gas Chromatography–Mass Spectrometry (GC-MS) Analysis
4.4. Investigation of Molluscicidal Activity
4.5. Histopathological Observation
4.6. Biochemical Analysis
4.7. Effect on Rice Plant Growth
4.8. Statistical Analysis
5. Conclusions
Author Contributions
Funding
Institutional Review Board Statement
Informed Consent Statement
Data Availability Statement
Acknowledgments
Conflicts of Interest
References
- Chen, L.; Xu, H.; Li, H.; Wu, J.; Ding, H.; Liu, Y. Isolation and Characterization of Sixteen Polymorphic Microsatellite Loci in the Golden Apple Snail Pomacea Canaliculata. Int. J. Mol. Sci. 2011, 12, 5993–5998. [Google Scholar] [CrossRef] [PubMed]
- Cowie, R.H. Apple Snails (Ampullariidae) as Agricultural Pests: Their Biology, Impacts and Management. In Molluscs as Crop Pests; Barker, G.M., Ed.; CABI Publishing: Wallingford, UK, 2002; pp. 145–192. ISBN 978-0-85199-320-1. [Google Scholar]
- Bae, M.-J.; Kim, E.-J.; Park, Y.-S. Comparison of Invasive Apple Snail (Pomacea Canaliculata) Behaviors in Different Water Temperature Gradients. Water 2021, 13, 1149. [Google Scholar] [CrossRef]
- Carlsson, N.O.L.; Brönmark, C.; Hansson, L.-A. Invading herbivory: The golden apple snail alters ecosystem functioning in asian wetlands. Ecology 2004, 85, 1575–1580. [Google Scholar] [CrossRef]
- Hayes, K.A.; Joshi, R.C.; Thiengo, S.C.; Cowie, R.H. Out of South America: Multiple Origins of Non-Native Apple Snails in Asia: Invasive Ampullariids in Asia. Divers. Distrib. 2008, 14, 701–712. [Google Scholar] [CrossRef]
- Lowe, S.; Browne, M.; Boudjelas, S.; De Poorter, M. 100 of the World’s Worst Invasive Alien Species: A Selection from The Global Invasive Species Database. In Encyclopedia of Biological Invasions; Simberloff, D., Rejmanek, M., Eds.; University of California Press: Oakland, CA, USA, 2019; pp. 715–716. ISBN 978-0-520-94843-3. [Google Scholar]
- Xu, H.; Qiang, S.; Genovesi, P.; Ding, H.; Wu, J.; Meng, L.; Han, Z.; Miao, J.; Hu, B.; Guo, J.; et al. An Inventory of Invasive Alien Species in China. NeoBiota 2012, 15, 1–26. [Google Scholar] [CrossRef]
- McBride, A.; Chau, T.T.H.; Hong, N.T.T.; Mai, N.T.H.; Anh, N.T.; Thanh, T.T.; Van, T.T.H.; Xuan, L.T.; Sieu, T.P.M.; Thai, L.H.; et al. Angiostrongylus Cantonensis Is an Important Cause of Eosinophilic Meningitis in Southern Vietnam. Clin. Infect. Dis. 2017, 64, 1784–1787. [Google Scholar] [CrossRef]
- Zhu, G.-L.; Tang, Y.-Y.; Limpanont, Y.; Wu, Z.-D.; Li, J.; Lv, Z.-Y. Zoonotic Parasites Carried by Invasive Alien Species in China. Infect. Dis. Poverty 2019, 8, 2. [Google Scholar] [CrossRef]
- Abobakr, Y.; Gad, A.F.; Abou-Elnasr, H.S.; Abdelgalil, G.M.; Hussein, H.I.; Selim, S. Contact Toxicity and Biochemical Impact of Metaldehyde against the White Garden Snail Theba Pisana (Müller, 1774). Pest Manag. Sci. 2021, 77, 3208–3215. [Google Scholar] [CrossRef]
- Kenawy, E.-R.; Rizk, E.-S. Polymeric Controlled Release Formulations of Niclosamide for Control ofBiomphalaria Alexandrina, the Vector Snail of Schistosomiasis. Macromol. Biosci. 2004, 4, 119–128. [Google Scholar] [CrossRef]
- Luiz De Oliveira, J.; Ramos Campos, E.V.; Fraceto, L.F. Recent Developments and Challenges for Nanoscale Formulation of Botanical Pesticides for Use in Sustainable Agriculture. J. Agric. Food Chem. 2018, 66, 8898–8913. [Google Scholar] [CrossRef]
- Ngegba, P.M.; Cui, G.; Khalid, M.Z.; Zhong, G. Use of Botanical Pesticides in Agriculture as an Alternative to Synthetic Pesticides. Agriculture 2022, 12, 600. [Google Scholar] [CrossRef]
- Prabhakaran, G.; Bhore, S.; Ravichandran, M. Development and Evaluation of Poly Herbal Molluscicidal Extracts for Control of Apple Snail (Pomacea Maculata). Agriculture 2017, 7, 22. [Google Scholar] [CrossRef]
- Paudel, N.; Heo, K. Additional Characters for Taxonomic Treatment on Chimonanthus Praecox (L.) Link (Calycanthaceae). Flora 2018, 249, 150–155. [Google Scholar] [CrossRef]
- Shu, R.-G.; Wan, Y.-L.; Wang, X.-M. Non-Volatile Constituents and Pharmacology of Chimonanthus: A Review. Chin. J. Nat. Med. 2019, 17, 161–186. [Google Scholar] [CrossRef]
- Zhang, X.; Xu, M.; Zhang, J.; Wu, L.; Liu, J.; Si, J. Identification and Evaluation of Antioxidant Components in the Flowers of Five Chimonanthus Species. Ind. Crop. Prod. 2017, 102, 164–172. [Google Scholar] [CrossRef]
- Wang, N.; Chen, H.; Xiong, L.; Liu, X.; Li, X.; An, Q.; Ye, X.; Wang, W. Phytochemical Profile of Ethanolic Extracts of Chimonanthus Salicifolius S. Y. Hu. Leaves and Its Antimicrobial and Antibiotic-Mediating Activity. Ind. Crop. Prod. 2018, 125, 328–334. [Google Scholar] [CrossRef]
- Yang, B.; Li, Q.; Cheng, K.; Fang, J.; Mustafa, G.; Pan, J.; Xing, B.; Lv, Q.; Zhang, L.; Cheng, K. Proteomics and Metabolomics Reveal the Mechanism Underlying Differential Antioxidant Activity among the Organs of Two Base Plants of Shiliang Tea (Chimonanthus Salicifolius and Chimonanthus Zhejiangensis). Food Chem. 2022, 385, 132698. [Google Scholar] [CrossRef]
- Rad, S.M.; Ray, A.K.; Barghi, S. Water Pollution and Agriculture Pesticide. Clean Technol. 2022, 4, 1088–1102. [Google Scholar] [CrossRef]
- Tudi, M.; Daniel Ruan, H.; Wang, L.; Lyu, J.; Sadler, R.; Connell, D.; Chu, C.; Phung, D.T. Agriculture Development, Pesticide Application and Its Impact on the Environment. Int. J. Environ. Res. Public. Health 2021, 18, 1112. [Google Scholar] [CrossRef]
- Hayes, T.B.; Hansen, M. From Silent Spring to Silent Night: Agrochemicals and the Anthropocene. Elem. Sci. Anthr. 2017, 5, 57. [Google Scholar] [CrossRef]
- Yang, X.; Chen, S.; Xia, L.; Chen, J. Molluscicidal Activity against Oncomelania Hupensis of Ginkgo Biloba. Fitoterapia 2008, 79, 250–254. [Google Scholar] [CrossRef]
- Costa, M.C.; Boros, L.A.D.; Batista, M.L.S.; Coutinho, J.A.P.; Krähenbühl, M.A.; Meirelles, A.J.A. Phase Diagrams of Mixtures of Ethyl Palmitate with Fatty Acid Ethyl Esters. Fuel 2012, 91, 177–181. [Google Scholar] [CrossRef]
- Wedler, C.; Trusler, J.P.M. Review of Density and Viscosity Data of Pure Fatty Acid Methyl Ester, Ethyl Ester and Butyl Ester. Fuel 2023, 339, 127466. [Google Scholar] [CrossRef]
- Zhang, L.; Zou, Z. Molluscicidal Activity of Fatty Acids in the Kernel of Chimonanthus Praecox Cv. Luteus against the Golden Apple Snail Pomacea Canaliculata. Pestic. Biochem. Physiol. 2020, 167, 104620. [Google Scholar] [CrossRef] [PubMed]
- Radwan, M.A.; Essawy, A.E.; Abdelmeguied, N.E.; Hamed, S.S.; Ahmed, A.E. Biochemical and Histochemical Studies on the Digestive Gland of Eobania Vermiculata Snails Treated with Carbamate Pesticides. Pestic. Biochem. Physiol. 2008, 90, 154–167. [Google Scholar] [CrossRef]
- Chen, S.-X.; Wu, L.; Yang, X.-M.; Jiang, X.-G.; Li, L.-G.; Zhang, R.-X.; Xia, L.; Shao, S.-H. Comparative Molluscicidal Action of Extract of Ginko Biloba Sarcotesta, Arecoline and Niclosamide on Snail Hosts of Schistosoma Japonicum. Pestic. Biochem. Physiol. 2007, 89, 237–241. [Google Scholar] [CrossRef]
- Gad, A.F.; Abdelgalil, G.M.; Radwan, M.A. Bio-Molluscicidal Potential and Biochemical Mechanisms of Clove Oil and Its Main Component Eugenol against the Land Snail, Theba Pisana. Pestic. Biochem. Physiol. 2023, 192, 105407. [Google Scholar] [CrossRef]
- Liu, C.; Yang, S.; Qiao, Y.; Zhao, Y.; Wang, W.; Jia, M.; He, Y.; Zhou, Y.; Duan, L. Effects of the Molluscicide Candidate PPU06 on Alkaline Phosphatase in the Golden Apple Snails Determined Using a Near-Infrared Fluorescent Probe. Chin. Chem. Lett. 2021, 32, 1809–1813. [Google Scholar] [CrossRef]
- Gaber, O.A.; Asran, A.E.A.; Elfayoumi, H.M.K.; El-Shahawy, G.; Khider, F.K.; Abdel-Tawab, H.; Mahmoud, K.A. Influence of Methomyl (Copter 90%) on Certain Biochemical Activities and Histological Structures of Land Snails Monacha Cartusiana. Saudi J. Biol. Sci. 2022, 29, 2455–2462. [Google Scholar] [CrossRef]
- Masola, B.; Chibi, M.; Kandare, E.; Naik, Y.S.; Zaranyika, M.F. Potential Marker Enzymes and Metal–Metal Interactions in Helisoma Duryi and Lymnaea Natalensis Exposed to Cadmium. Ecotoxicol. Environ. Saf. 2008, 70, 79–87. [Google Scholar] [CrossRef]
- Masola, B.; Chibi, M.; Naik, Y.S.; Kandare, E.; Zaranyika, M.F. Activities of Glutamate Dehydrogenase and Aspartate and Alanine Aminotransferases in Freshwater Snails Helisoma Duryi and Lymnaea Natalensis Exposed to Copper. Biomarkers 2003, 8, 33–42. [Google Scholar] [CrossRef] [PubMed]
- Blasco, J.; Puppo, J. Effect of Heavy Metals (Cu, Cd and Pb) on Aspartate and Alanine Aminotransferase in Ruditapes Philippinarum (Mollusca: Bivalvia). Comp. Biochem. Physiol. Part C Pharmacol. Toxicol. Endocrinol. 1999, 122, 253–263. [Google Scholar] [CrossRef] [PubMed]
- Pinheiro, J.; Gomes, E.M.; Chagas, G.M. Aminotransferases Activity in the Hemolymph of Bradybaena Similaris (Gastropoda, Xanthonychidae) under Starvation. Mem. Inst. Oswaldo Cruz 2001, 96, 1161–1164. [Google Scholar] [CrossRef] [PubMed]
- Svačina, P.; Příborský, J.; Blecha, M.; Policar, T.; Velíšek, J. Haematological and Biochemical Response of Burbot (Lota Lota L.) Exposed to Four Different Anaesthetics. Czech J. Anim. Sci. 2016, 61, 414–420. [Google Scholar] [CrossRef]
- Ibrahim, A.M.; Bekhit, M.; Sokary, R.; Hammam, O.; Atta, S. Toxicological, Hepato-Renal, Endocrine Disruption, Oxidative Stress and Immunohistopathological Responses of Chitosan Capped Gold Nanocomposite on Biomphalaria Alexandrina Snails. Pestic. Biochem. Physiol. 2023, 195, 105559. [Google Scholar] [CrossRef] [PubMed]
- Kopecka-Pilarczyk, J.; Correia, A.D. Effects of Exposure to PAHs on Brain AChE in Gilthead Seabream, Sparus Aurata L., Under Laboratory Conditions. Bull. Environ. Contam. Toxicol. 2011, 86, 379–383. [Google Scholar] [CrossRef] [PubMed]
- Xie, H.Q.; Leung, K.W.; Chen, V.P.; Chan, G.K.L.; Xu, S.L.; Guo, A.J.Y.; Zhu, K.Y.; Zheng, K.Y.Z.; Bi, C.W.; Zhan, J.Y.X.; et al. PRiMA Directs a Restricted Localization of Tetrameric AChE at Synapses. Chem. Biol. Interact. 2010, 187, 78–83. [Google Scholar] [CrossRef] [PubMed]
- Zheng, S.; Zhou, Q. Intoxication and Biochemical Responses of Freshwater Snail Bellamya Aeruginosa to Ethylbenzene. Environ. Sci. Pollut. Res. 2017, 24, 189–198. [Google Scholar] [CrossRef] [PubMed]
- Essawy, A.E.; Abdelmeguied, N.E.; Radwan, M.A.; Hamed, S.S.; Hegazy, A.E. Neuropathological Effect of Carbamate Molluscicides on the Land Snail, Eobania Vermiculata. Cell Biol. Toxicol. 2009, 25, 275–290. [Google Scholar] [CrossRef]
- Ibrahim, H.A.M.; El-Mesalamy, A.F.; Baghdadi, S.A.E.-W.S.; Elhanbaly, R. Histopathological Effects of Methomyl and Crude Extracts of Jatropha Curcas against the Terrestrial Snail, Monacha Obstructa (Gastropoda:Hygromiidae). Chem. Biol. Technol. Agric. 2022, 9, 65. [Google Scholar] [CrossRef]
- Karakaş, S.B.; Otludil, B. Accumulation and Histopathological Effects of Cadmium on the Great Pond Snail Lymnaea Stagnalis Linnaeus, 1758 (Gastropoda: Pulmonata). Environ. Toxicol. Pharmacol. 2020, 78, 103403. [Google Scholar] [CrossRef] [PubMed]
- World Health Organization. Snail Control in the Prevention of Bilharziasis; World Health Organization: Geneva, Switzerland, 1965.
- Yoshida, S. Physiological Aspects of Grain Yield. Annu. Rev. Plant Physiol. 1972, 23, 437–464. [Google Scholar] [CrossRef]









| No. | Compound | Formula | CAS Number | RI | Relative Peak Area % | ||
|---|---|---|---|---|---|---|---|
| Pcz | Pcs | Pcp | |||||
| 1 | Eucalyptol | C10H18O | 00470-82-6 | 1038 | - | 2.10 | - |
| 2 | endo-Borneol | C10H18O | 00507-70-0 | 1166 | 0.43 | - | - |
| 3 | 4-Terpineol | C10H18O | 00562-74-3 | 1169 | - | 0.24 | - |
| 4 | α-Terpineol | C10H18O | 00098-55-5 | 1173 | 1.32 | 7.93 | - |
| 5 | Citronellol | C10H20O | 00106-22-9 | 1217 | - | 0.48 | - |
| 6 | Geraniol | C10H18O | 00106-24-1 | 1254 | 0.79 | 1.62 | - |
| 7 | Linalyl acetate | C12H20O2 | 00115-95-7 | 1256 | - | - | 0.15 |
| 8 | Terpinyl acetate | C12H20O2 | 00080-26-2 | 1343 | 0.76 | 2.42 | - |
| 9 | Citronellol acetate | C13H24O2 | 00150-84-5 | 1354 | 0.36 | - | - |
| 10 | α-Copaene | C15H24 | 03856-25-5 | 1376 | - | 0.51 | 0.16 |
| 11 | β-Elemene | C15H24 | 00515-13-9 | 1394 | - | - | 0.15 |
| 12 | (E)-β-Caryophyllene | C15H24 | 00087-44-5 | 1417 | 0.98 | 2.21 | 0.79 |
| 13 | α-Humulene | C15H24 | 06753-98-6 | 1452 | 10.70 | 0.38 | - |
| 14 | Germacrene D | C15H24 | 23986-74-5 | 1484 | - | 1.43 | - |
| 15 | (E,E)-α-Farnesene | C15H24 | 00502-61-4 | 1496 | - | 0.41 | - |
| 16 | α-Calamene | C15H22 | 01460-96-4 | 1512 | 0.48 | - | - |
| 17 | Cubebol | C15H26O | 23445-02-5 | 1516 | - | 0.30 | 0.34 |
| 18 | Cadina-1(10),4-diene | C15H24 | 00483-76-1 | 1519 | - | 0.97 | - |
| 19 | Butylated hydroxytoluene | C15H24O | 00128-37-0 | 1533 | - | - | 0.20 |
| 20 | Elemol | C15H26O | 00639-99-6 | 1537 | - | 1.71 | - |
| 21 | α-Copaen-11-ol | C15H24O | 41370-56-3 | 1547 | - | 0.34 | - |
| 22 | Hedycaryol | C15H26O | 21657-90-9 | 1559 | - | - | 0.45 |
| 23 | trans-Nerolidol | C15H26O | 40716-66-3 | 1564 | - | 0.44 | - |
| 24 | Spathulenol | C15H24O | 06750-60-3 | 1566 | - | 0.23 | - |
| 25 | Dendrolasin | C15H22O | 23262-34-2 | 1571 | 1.19 | - | - |
| 26 | Germacrene-4-ol | C15H26O | 74841-87-5 | 1574 | - | - | 0.23 |
| 27 | Caryophyllene oxide | C15H24O | 01139-30-6 | 1578 | 2.85 | 1.08 | 0.73 |
| 28 | Calarene epoxide | C15H24O | 68926-75-0 | 1592 | 1.91 | - | - |
| 29 | Isoaromadendrene epoxide | C15H24O | / | 1594 | 1.95 | - | 0.10 |
| 30 | Carotol | C15H26O | 00465-28-1 | 1596 | - | 0.37 | - |
| 31 | Cedrol | C15H26O | 00077-53-2 | 1605 | - | - | 0.19 |
| 32 | Epiglobulol | C15H26O | 88728-58-9 | 1608 | - | 0.54 | 0.26 |
| 33 | γ-Eudesmol | C15H26O | 01209-71-8 | 1630 | - | 0.53 | - |
| 34 | τ-Muurolol | C15H26O | 19912-62-0 | 1632 | 0.71 | 1.78 | - |
| 35 | Cubenol | C15H26O | 21284-22-0 | 1643 | - | - | 1.88 |
| 36 | β-Eudesmol | C15H26O | 00473-15-4 | 1645 | - | 1.17 | - |
| 37 | α-Eudesmol | C15H26O | 00473-16-5 | 1652 | - | 0.76 | - |
| 38 | α-Cadinol | C15H26O | 00481-34-5 | 1663 | 0.23 | - | - |
| 39 | α-Santalol | C15H24O | 00115-71-9 | 1681 | 0.34 | 5.02 | - |
| 40 | (Z,Z)-2,6-Farnesol | C15H26O | 04602-84-0 | 1695 | 1.01 | - | - |
| 41 | Aromadendrene epoxide II | C15H24O | 85710-39-0 | 1706 | 6.97 | - | 0.44 |
| 42 | Shyobunol | C15H26O | 35727-45-8 | 1709 | 2.22 | - | - |
| 43 | Longifolol | C15H26O | 00469-27-2 | 1720 | - | - | 0.22 |
| 44 | trans-Farnesol | C15H26O | 00106-28-5 | 1722 | 3.64 | 2.53 | - |
| 45 | (Z)-α-Bisabolene epoxide | C15H24O | 111536-37-9 | 1733 | 1.26 | - | - |
| 46 | Tetradecanoic acid | C14H28O2 | 00544-63-8 | 1765 | - | - | 0.28 |
| 47 | Ethyl tetradecanoate | C16H32O2 | 00124-06-1 | 1793 | - | 0.25 | 0.19 |
| 48 | Ledene oxide-I | C15H24O | / | 1890 | 4.43 | - | - |
| 49 | Corymbolone | C15H24O2 | 97094-19-4 | 1898 | 6.35 | - | - |
| 50 | Methyl palmitoleate | C17H32O2 | 01120-25-8 | 1932 | - | 0.40 | - |
| 51 | 9-Hexadecenoic acid | C16H30O2 | 02091-29-4 | 1942 | 1.70 | - | - |
| 52 | Hexadecanoic acid | C16H32O2 | 00057-10-3 | 1964 | 0.81 | 0.97 | 1.03 |
| 53 | Ethyl 9-hexadecenoate | C18H34O2 | 54546-22-4 | 1978 | 2.75 | - | 0.18 |
| 54 | Ethyl hexadecanoate | C18H36O2 | 00628-97-7 | 1993 | 3.41 | 12.63 | 9.04 |
| 55 | Geranylgeraniol | C20H34O | 24034-73-9 | 2201 | 2.12 | - | - |
| 56 | Phytol | C20H40O | 00150-86-7 | 2111 | 4.61 | 10.46 | 23.27 |
| 57 | 9,12,15-Octadecatrienoic acid | C18H30O2 | 01955-33-5 | 2117 | - | 4.37 | 3.10 |
| 58 | 9,12-Octadecadienoic acid | C18H32O2 | 00060-33-3 | 2144 | - | 0.74 | 0.96 |
| 59 | Ethyl linolenate | C20H34O2 | 01191-41-9 | 2173 | 26.28 | 22.50 | 34.72 |
| 60 | Ethyl octadecanoate | C20H40O2 | 00111-61-5 | 2194 | - | 0.77 | - |
| 61 | Ethyl 9,12-Octadecadienoic acid | C20H36O2 | 07619-08-1 | 2515 | 1.85 | 8.08 | 19.87 |
| Total (%) | 94.41 | 93.65 | 98.93 | ||||
| Oxygenated monoterpenes (%) | 3.33 | 14.79 | 0.15 | ||||
| Sesquiterpene hydrocarbons (%) | 12.16 | 5.91 | 1.10 | ||||
| Oxygenated sesquiterpenes (%) | 35.06 | 16.80 | 5.04 | ||||
| Oxygenated diterpene (%) | 6.73 | 10.46 | 23.27 | ||||
| Fatty acid compounds (%) | 37.13 | 50.71 | 69.37 | ||||
Disclaimer/Publisher’s Note: The statements, opinions and data contained in all publications are solely those of the individual author(s) and contributor(s) and not of MDPI and/or the editor(s). MDPI and/or the editor(s) disclaim responsibility for any injury to people or property resulting from any ideas, methods, instructions or products referred to in the content. |
© 2024 by the authors. Licensee MDPI, Basel, Switzerland. This article is an open access article distributed under the terms and conditions of the Creative Commons Attribution (CC BY) license (https://creativecommons.org/licenses/by/4.0/).
Share and Cite
He, D.; Li, C.; Su, Q.; Lin, Y.; Zou, Z. Screening the Efficacy and Safety of Molluscicides from Three Leaf Extracts of Chimonanthus against the Invasive Apple Snail, Pomacea canaliculata. Molecules 2024, 29, 2487. https://doi.org/10.3390/molecules29112487
He D, Li C, Su Q, Lin Y, Zou Z. Screening the Efficacy and Safety of Molluscicides from Three Leaf Extracts of Chimonanthus against the Invasive Apple Snail, Pomacea canaliculata. Molecules. 2024; 29(11):2487. https://doi.org/10.3390/molecules29112487
Chicago/Turabian StyleHe, Deying, Cheng Li, Qitao Su, Yiying Lin, and Zhengrong Zou. 2024. "Screening the Efficacy and Safety of Molluscicides from Three Leaf Extracts of Chimonanthus against the Invasive Apple Snail, Pomacea canaliculata" Molecules 29, no. 11: 2487. https://doi.org/10.3390/molecules29112487
APA StyleHe, D., Li, C., Su, Q., Lin, Y., & Zou, Z. (2024). Screening the Efficacy and Safety of Molluscicides from Three Leaf Extracts of Chimonanthus against the Invasive Apple Snail, Pomacea canaliculata. Molecules, 29(11), 2487. https://doi.org/10.3390/molecules29112487

