Gender Control of Mouse Embryos by Activation of TLR7/8 on X Sperm via Ligands dsRNA-40 and dsRNA-DR
Abstract
1. Introduction
2. Results
2.1. Efficient Transfection of Sperm with Cholesterol-Modified dsRNA-40 and dsRNA-DR
2.2. Determination of Incubation Concentration and Time of dsRNA-40 and dsRNA-DR for Treatment of Mouse Sperm
2.3. dsRNA-40 and dsRNA-DR Can Separate Mouse X and Y Sperm by Specific Inhibition of X Sperm Motility
2.4. dsRNA-40 and dsRNA-DR Inhibit X Sperm Motility by Reducing ATP Level and Mitochondrial Activity
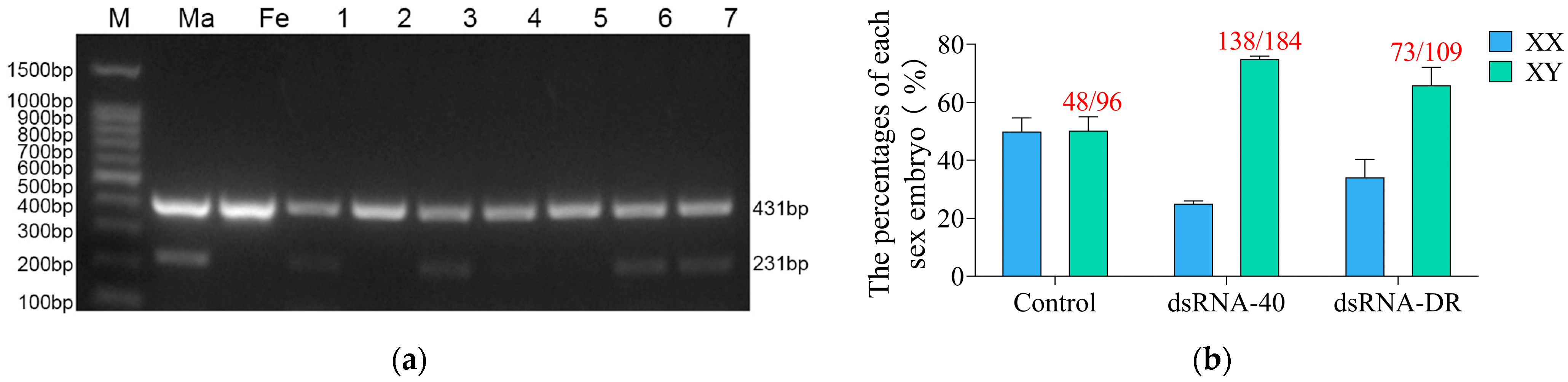
2.5. Production of Embryos with a Male-Biased Sex Ratio by Using Y Sperm Preselected with dsRNA-40 and dsRNA-DR Treatment for IVF
3. Discussion
4. Materials and Methods
4.1. Animals
4.2. Biochemical Materials
4.3. Sperm Transfection with Cholesterol-Modified dsRNAs
4.4. Assessment of Sperm Motility Using the CASA System
4.5. Measurement of Sperm Plasma Membrane and Mitochondrial Activity
4.6. Determination of Sperm ATP Content
4.7. Measurement of the Percentage of X and Y Sperm in the Upper and Lower Layer of dsRNA-Treated Mouse Sperm
4.8. Identification of the Gender of IVF Embryos Generated by the Upper Layer of dsRNA-Treated Mouse Sperm
4.9. Statistical Analysis
5. Conclusions
Supplementary Materials
Author Contributions
Funding
Institutional Review Board Statement
Informed Consent Statement
Data Availability Statement
Conflicts of Interest
References
- Oishi, K.; Hirooka, H. Effects of Sex Control and Twinning on Economic Optimization of Culling Cows in Japanese Black Cow-Calf Production Systems. Theriogenology 2012, 77, 320–330. [Google Scholar] [CrossRef] [PubMed]
- Zhang, X.; Li, J.; Chen, S.; Yang, N.; Zheng, J. Overview of Avian Sex Reversal. Int. J. Mol. Sci. 2023, 24, 8284. [Google Scholar] [CrossRef] [PubMed]
- Khalajzadeh, S.; Nejati-Javaremi, A.; Yeganeh, H.M. Effect of Widespread and Limited Use of Sexed Semen on Genetic Progress and Reproductive Performance of Dairy Cows. Animal 2012, 6, 1398–1406. [Google Scholar] [CrossRef] [PubMed][Green Version]
- Khramtsova, E.A.; Wilson, M.A.; Martin, J.; Winham, S.J.; He, K.Y.; Davis, L.K.; Stranger, B.E. Quality Control and Analytic Best Practices for Testing Genetic Models of Sex Differences in Large Populations. Cell 2023, 186, 2044–2061. [Google Scholar] [CrossRef] [PubMed]
- Khramtsova, E.A.; Davis, L.K.; Stranger, B.E. The Role of Sex in the Genomics of Human Complex Traits. Nat. Rev. Genet. 2019, 20, 173–190. [Google Scholar] [CrossRef] [PubMed]
- Morrell, J.M. Applications of Flow Cytometry to Artificial Insemination: A Review. Vet. Rec. 1991, 129, 375–378. [Google Scholar] [CrossRef] [PubMed]
- Buchanan, B.R.; Seidel, G.J.; McCue, P.M.; Schenk, J.L.; Herickhoff, L.A.; Squires, E.L. Insemination of Mares with Low Numbers of Either Unsexed or Sexed Spermatozoa. Theriogenology 2000, 53, 1333–1344. [Google Scholar] [CrossRef] [PubMed]
- Catt, S.L.; Catt, J.W.; Gomez, M.C.; Maxwell, W.M.; Evans, G. Birth of a Male Lamb Derived from an in Vitro Matured Oocyte Fertilised by Intracytoplasmic Injection of a Single Presumptive Male Sperm. Vet. Rec. 1996, 139, 494–495. [Google Scholar] [CrossRef]
- Cran, D.G.; Johnson, L.A.; Miller, N.G.; Cochrane, D.; Polge, C. Production of Bovine Calves Following Separation of X- and Y-Chromosome Bearing Sperm and in Vitro Fertilisation. Vet. Rec. 1993, 132, 40–41. [Google Scholar] [CrossRef]
- Johnson, L.A.; Rath, D.; Vazquez, J.M.; Maxwell, W.M.C.; Dobrinsky, J.R. Preselection of Sex of Offspring in Swine for Production: Current Status of the Process and Its Application. Theriogenology 2005, 63, 615–624. [Google Scholar] [CrossRef]
- Rath, D.; Ruiz, S.; Sieg, B. Birth of Female Piglets Following Intrauterine Insemination of a Sow Using Flow Cytometrically Sexed Boar Semen. Vet. Rec. 2003, 152, 400–401. [Google Scholar] [CrossRef] [PubMed]
- Tubman, L.M.; Brink, Z.; Suh, T.K.; Seidel, G.E. Characteristics of Calves Produced with Sperm Sexed by Flow Cytometry/Cell Sorting. J. Anim. Sci. 2004, 82, 1029–1036. [Google Scholar] [CrossRef] [PubMed]
- Xi, J.; Wang, X.; Zhang, Y.; Jia, B.; Li, C.; Wang, X.; Ying, R. Sex Control by Zfy siRNA in the Dairy Cattle. Anim. Reprod. Sci. 2018, 200, 1–6. [Google Scholar] [CrossRef] [PubMed]
- Yosef, I.; Edry-Botzer, L.; Globus, R.; Shlomovitz, I.; Munitz, A.; Gerlic, M.; Qimron, U. A Genetic System for Biasing the Sex Ratio in Mice. EMBO Rep. 2019, 20, e48269. [Google Scholar] [CrossRef] [PubMed]
- Douglas, C.; Maciulyte, V.; Zohren, J.; Snell, D.M.; Mahadevaiah, S.K.; Ojarikre, O.A.; Ellis, P.; Turner, J. CRISPR-Cas9 Effectors Facilitate Generation of Single-Sex Litters and Sex-Specific Phenotypes. Nat. Commun. 2021, 12, 6926. [Google Scholar] [CrossRef] [PubMed]
- Bai, M.; Liang, D.; Cheng, Y.; Liu, G.; Wang, Q.; Li, J.; Wu, Y. Gonadal Mosaicism Mediated Female-Biased Gender Control in Mice. Protein Cell 2022, 13, 863–868. [Google Scholar] [CrossRef] [PubMed]
- Umehara, T.; Tsujita, N.; Shimada, M. Activation of Toll-like Receptor 7/8 Encoded by the X Chromosome Alters Sperm Motility and Provides a Novel Simple Technology for Sexing Sperm. PLoS Biol. 2019, 17, e3000398. [Google Scholar] [CrossRef]
- Takashi, U.; Natsumi, T.; Zhendong, Z.; Moeka, I.; Masayuki, S. A Simple Sperm-Sexing Method That Activates TLR7/8 on X Sperm for the Efficient Production of Sexed Mouse or Cattle Embryos. Nat. Protoc. 2020, 15, 2645–2667. [Google Scholar]
- Ren, F.; Xi, H.; Ren, Y.; Li, Y.; Wen, F.; Xian, M.; Zhao, M.; Zhu, D.; Wang, L.; Lei, A.; et al. TLR7/8 Signalling Affects X-Sperm Motility via the GSK3 α/β-Hexokinase Pathway for the Efficient Production of Sexed Dairy Goat Embryos. J. Anim. Sci. Biotechnol. 2021, 12, 89. [Google Scholar] [CrossRef]
- Huang, M.; Cao, X.Y.; He, Q.F.; Yang, H.W.; Chen, Y.Z.; Zhao, J.L.; Ma, H.W.; Kang, J.; Liu, J.; Quang, F.S. Alkaline Semen Diluent Combined with R848 for Separation and Enrichment of Dairy Goat X-Sperm. J. Dairy. Sci. 2022, 105, 10020–10032. [Google Scholar] [CrossRef]
- Wen, F.; Liu, W.; Li, Y.; Zou, Q.; Xian, M.; Han, S.; Zhang, H.; Liu, S.; Feng, X.; Hu, J. TLR7/8 Agonist (R848) Inhibit Bovine X Sperm Motility via PI3K/GSK3α/β and PI3K/NFκB Pathways. Int. J. Biol. Macromol. 2023, 232, 123485. [Google Scholar] [CrossRef] [PubMed]
- Zhang, Z.; Kuo, J.C.; Zhang, C.; Huang, Y.; Zhou, Z.; Lee, R.J. A Squalene-Based Nanoemulsion for Therapeutic Delivery of Resiquimod. Pharmaceutics 2021, 13, 2060. [Google Scholar] [CrossRef] [PubMed]
- Greulich, W.; Wagner, M.; Gaidt, M.M.; Stafford, C.; Cheng, Y.; Linder, A.; Carell, T.; Hornung, V. TLR8 Is a Sensor of RNase T2 Degradation Products. Cell 2019, 179, 1264–1275.e13. [Google Scholar] [CrossRef] [PubMed]
- Guan, C.; Chernyak, N.; Dominguez, D.; Cole, L.; Zhang, B.; Mirkin, C.A. RNA-Based Immunostimulatory Liposomal Spherical Nucleic Acids as Potent TLR7/8 Modulators. Small 2018, 14, e1803284. [Google Scholar] [CrossRef]
- Heil, F.; Hemmi, H.; Hochrein, H.; Ampenberger, F.; Kirschning, C.; Akira, S.; Lipford, G.; Wagner, H.; Bauer, S. Species-Specific Recognition of Single-Stranded RNA via Toll-like Receptor 7 and 8. Science 2004, 303, 1526–1529. [Google Scholar] [CrossRef]
- Obermann, H.L.; Lederbogen, I.I.; Steele, J.; Dorna, J.; Sander, L.E.; Engelhardt, K.; Bakowsky, U.; Kaufmann, A.; Bauer, S. RNA-Cholesterol Nanoparticles Function as Potent Immune Activators via TLR7 and TLR8. Front. Immunol. 2021, 12, 658895. [Google Scholar] [CrossRef]
- Ohto, U.; Tanji, H.; Shimizu, T. Structure and Function of Toll-like Receptor 8. Microbes Infect. 2014, 16, 273–282. [Google Scholar] [CrossRef]
- Ewald, S.E.; Engel, A.; Lee, J.; Wang, M.; Bogyo, M.; Barton, G.M. Nucleic Acid Recognition by Toll-like Receptors Is Coupled to Stepwise Processing by Cathepsins and Asparagine Endopeptidase. J. Exp. Med. 2011, 208, 643–651. [Google Scholar] [CrossRef]
- Kagan, J.C.; Barton, G.M. Emerging Principles Governing Signal Transduction by Pattern-Recognition Receptors. Cold Spring Harb. Perspect. Biol. 2014, 7, a016253. [Google Scholar] [CrossRef]
- Moresco, E.M.; LaVine, D.; Beutler, B. Toll-like Receptors. Curr. Biol. 2011, 21, R488–R493. [Google Scholar] [CrossRef]
- Méndez-Acevedo, K.M.; Valdes, V.J.; Asanov, A.; Vaca, L. A Novel Family of Mammalian Transmembrane Proteins Involved in Cholesterol Transport. Sci. Rep. 2017, 7, 7450. [Google Scholar] [CrossRef] [PubMed]
- Salim, L.; McKim, C.; Desaulniers, J.P. Effective Carrier-Free Gene-Silencing Activity of Cholesterol-Modified siRNAs. RSC Adv. 2018, 8, 22963–22966. [Google Scholar] [CrossRef] [PubMed]
- Sanitt, P.; Apiratikul, N.; Niyomtham, N.; Yingyongnarongkul, B.E.; Assavalapsakul, W.; Panyim, S.; Udomkit, A. Cholesterol-Based Cationic Liposome Increases dsRNA Protection of Yellow Head Virus Infection in Penaeus Vannamei. J. Biotechnol. 2016, 228, 95–102. [Google Scholar] [CrossRef] [PubMed]
- Hemmi, H.; Kaisho, T.; Takeuchi, O.; Sato, S.; Sanjo, H.; Hoshino, K.; Horiuchi, T.; Tomizawa, H.; Takeda, K.; Akira, S. Small Anti-Viral Compounds Activate Immune Cells via the TLR7 MyD88-Dependent Signaling Pathway. Nat. Immunol. 2002, 3, 196–200. [Google Scholar] [CrossRef]
- Jurk, M.; Heil, F.; Vollmer, J.; Schetter, C.; Krieg, A.M.; Wagner, H.; Lipford, G.; Bauer, S. Human TLR7 or TLR8 Independently Confer Responsiveness to the Antiviral Compound R-848. Nat. Immunol. 2002, 3, 499. [Google Scholar] [CrossRef]
- Karikó, K.; Buckstein, M.; Ni, H.; Weissman, D. Suppression of RNA Recognition by Toll-like Receptors: The Impact of Nucleoside Modification and the Evolutionary Origin of RNA. Immunity 2005, 23, 165–175. [Google Scholar] [CrossRef]
- Abdel-Mageed, A.M.; Isobe, N.; Yoshimura, Y. Effects of Virus-Associated Molecular Patterns on the Expression of Cathelicidins in the Hen Vagina. J. Poult. Sci. 2016, 53, 240–247. [Google Scholar] [CrossRef]
- Cekaite, L.; Furset, G.; Hovig, E.; Sioud, M. Gene Expression Analysis in Blood Cells in Response to Unmodified and 2′-Modified siRNAs Reveals TLR-Dependent and Independent Effects. J. Mol. Biol. 2007, 365, 90–108. [Google Scholar] [CrossRef]
- Hotz, C.; Treinies, M.; Mottas, I.; Rötzer, L.C.; Oberson, A.; Spagnuolo, L.; Perdicchio, M.; Spinetti, T.; Herbst, T.; Bourquin, C. Reprogramming of TLR7 Signaling Enhances Antitumor NK and Cytotoxic T Cell Responses. Oncoimmunology 2016, 5, e1232219. [Google Scholar] [CrossRef]
- Elbashir, S.M.; Harborth, J.; Lendeckel, W.; Yalcin, A.; Weber, K.; Tuschl, T. Duplexes of 21-Nucleotide RNAs Mediate RNA Interference in Cultured Mammalian Cells. Nature 2001, 411, 494–498. [Google Scholar] [CrossRef]
- Gallas, A.; Alexander, C.; Davies, M.C.; Puri, S.; Allen, S. Chemistry and Formulations for siRNA Therapeutics. Chem. Soc. Rev. 2013, 42, 7983–7997. [Google Scholar] [CrossRef] [PubMed]





Disclaimer/Publisher’s Note: The statements, opinions and data contained in all publications are solely those of the individual author(s) and contributor(s) and not of MDPI and/or the editor(s). MDPI and/or the editor(s) disclaim responsibility for any injury to people or property resulting from any ideas, methods, instructions or products referred to in the content. |
© 2024 by the authors. Licensee MDPI, Basel, Switzerland. This article is an open access article distributed under the terms and conditions of the Creative Commons Attribution (CC BY) license (https://creativecommons.org/licenses/by/4.0/).
Share and Cite
Hou, Y.; Peng, J.; Hong, L.; Wu, Z.; Zheng, E.; Li, Z. Gender Control of Mouse Embryos by Activation of TLR7/8 on X Sperm via Ligands dsRNA-40 and dsRNA-DR. Molecules 2024, 29, 262. https://doi.org/10.3390/molecules29010262
Hou Y, Peng J, Hong L, Wu Z, Zheng E, Li Z. Gender Control of Mouse Embryos by Activation of TLR7/8 on X Sperm via Ligands dsRNA-40 and dsRNA-DR. Molecules. 2024; 29(1):262. https://doi.org/10.3390/molecules29010262
Chicago/Turabian StyleHou, Yunfei, Jingfeng Peng, Linjun Hong, Zhenfang Wu, Enqin Zheng, and Zicong Li. 2024. "Gender Control of Mouse Embryos by Activation of TLR7/8 on X Sperm via Ligands dsRNA-40 and dsRNA-DR" Molecules 29, no. 1: 262. https://doi.org/10.3390/molecules29010262
APA StyleHou, Y., Peng, J., Hong, L., Wu, Z., Zheng, E., & Li, Z. (2024). Gender Control of Mouse Embryos by Activation of TLR7/8 on X Sperm via Ligands dsRNA-40 and dsRNA-DR. Molecules, 29(1), 262. https://doi.org/10.3390/molecules29010262

