HPTLC Analysis and Chemical Composition of Selected Melaleuca Essential Oils
Abstract
1. Introduction
2. Results and Discussion
2.1. Identification of Components in Melaleuca EOs
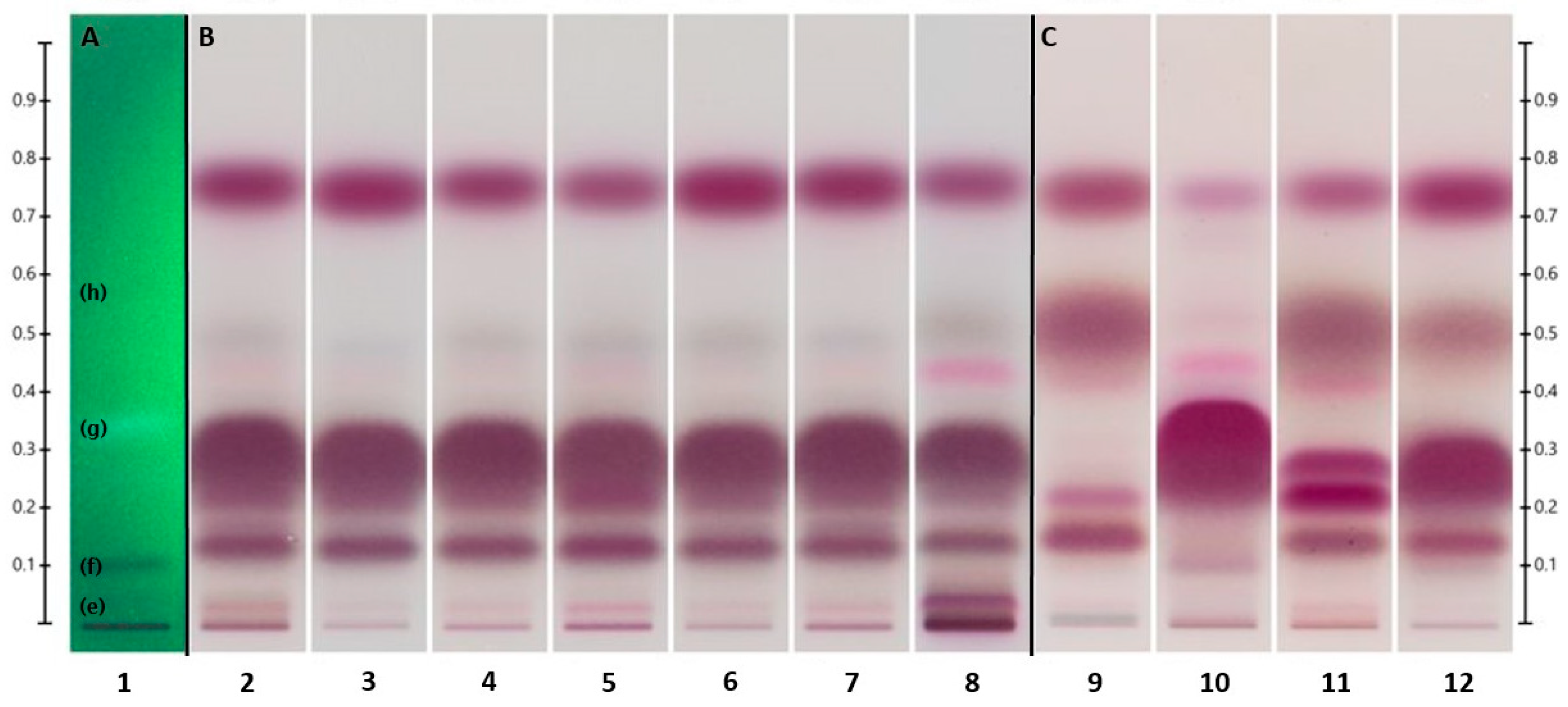
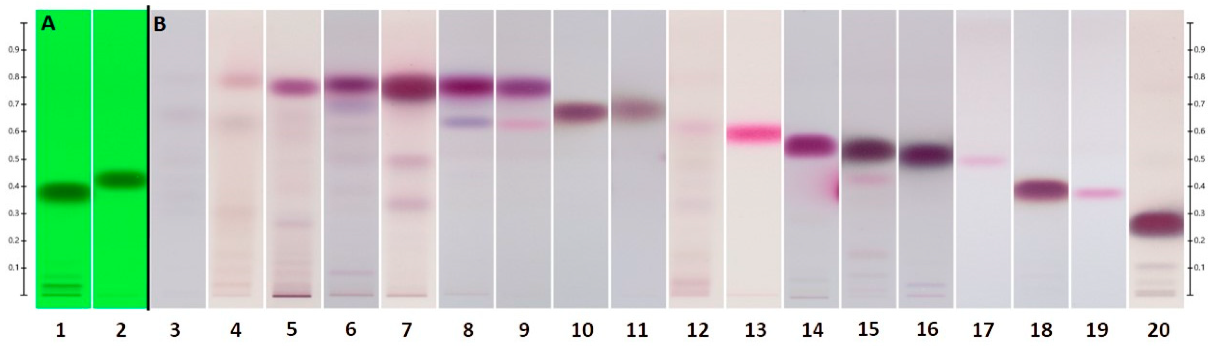
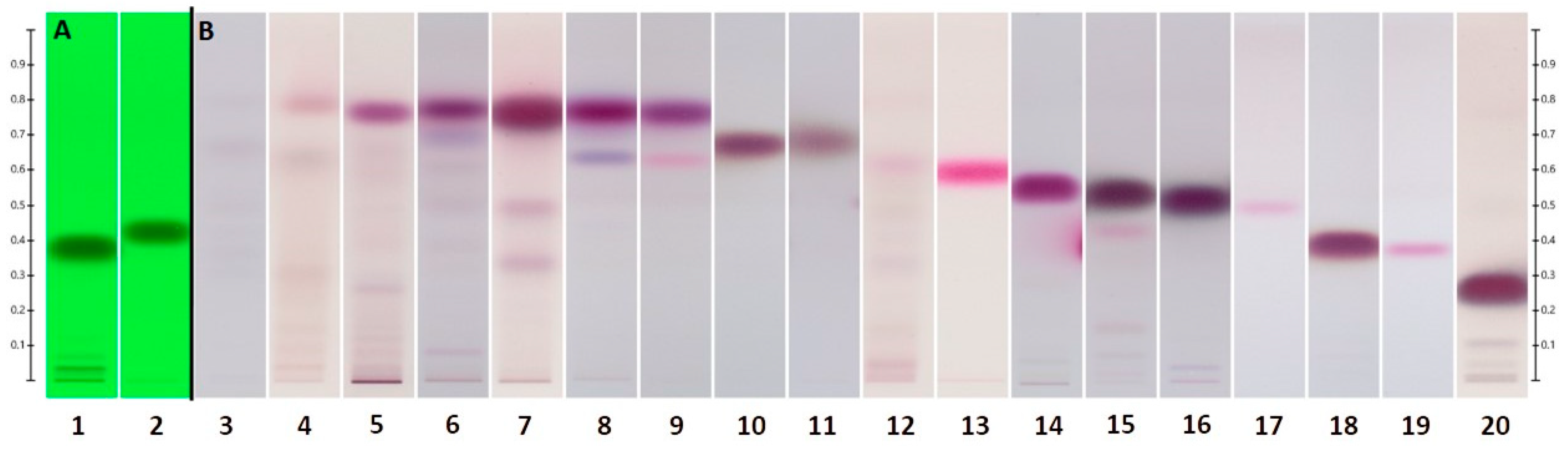
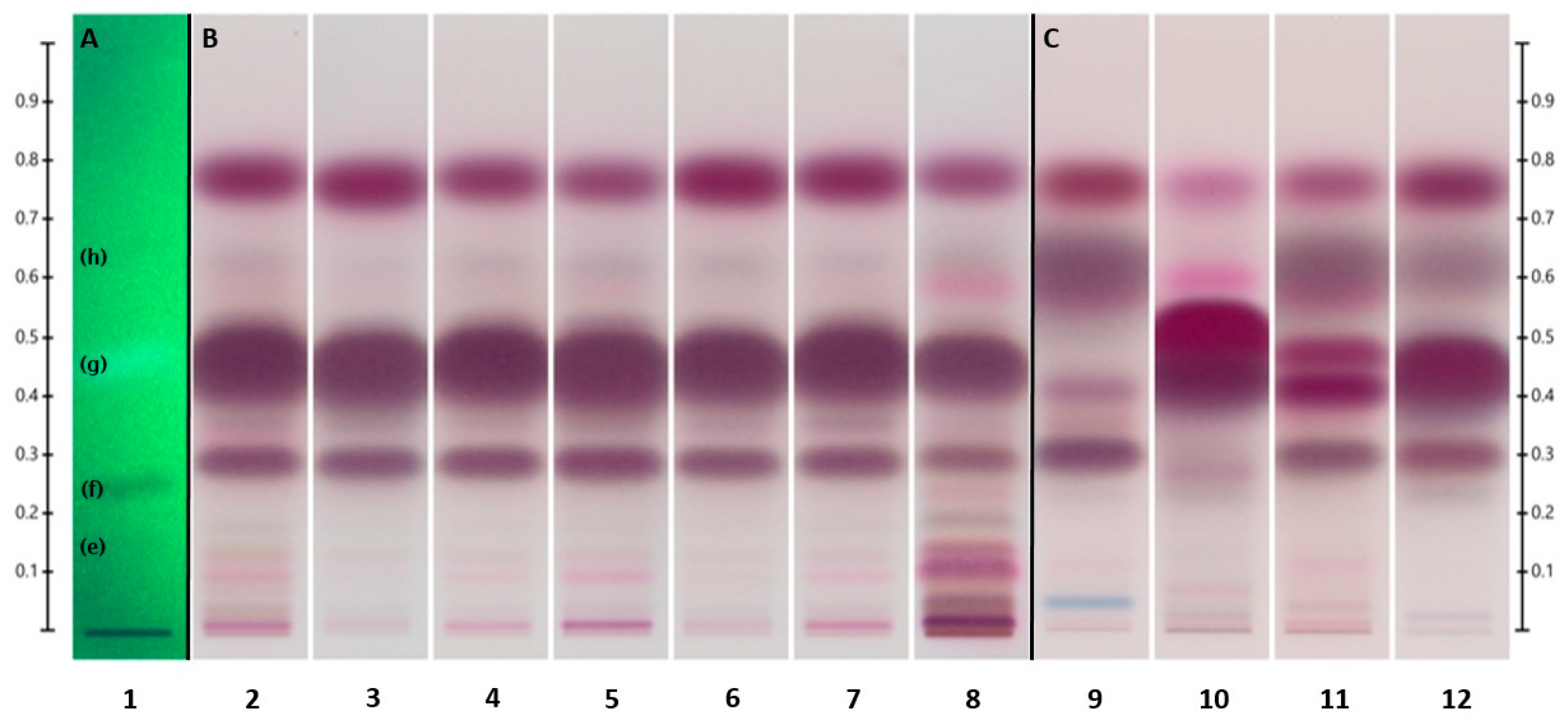
2.2. HPTLC Analysis of Melaleuca EOs
3. Materials and Methods
3.1. Sample Selection and Preparation
3.2. Standard Selection and Preparation
3.3. Gas Chromatography–Mass Spectrometry (GC-MS) Analysis
3.4. Thin-Layer Chromatography Analysis
3.4.1. Automated High-Performance Thin-Layer Chromatography (HPTLC) Analysis
3.4.2. Automated Preparative Thin-Layer Chromatography Analysis
3.5. Statistical Analysis
4. Conclusions
Author Contributions
Funding
Institutional Review Board Statement
Informed Consent Statement
Data Availability Statement
Acknowledgments
Conflicts of Interest
Sample Availability
References
- The Plant List. Available online: https://www.theplantlist.org/ (accessed on 22 November 2022).
- Bejar, E. Adulteration of Tea Tree Oil (Melaleuca alternifolia and M. linariifolia). In Botanical Adulterants Prevention Bulletin; ABC-AHP-NCNPR Botanical Adulterants Prevention Program: Austin, TX, USA, 2017; pp. 1–8. [Google Scholar]
- Gafner, S.; Dowell, A. Tea Tree Oil Laboratory Guidance Document. In Botanical Adulterants Prevention Bulletin; ABC-AHP-NCNPR Botanical Adulterants Prevention Program: Austin, TX, USA, 2018; pp. 1–13. [Google Scholar]
- Hammer, K.A.; Carson, C.F.; Riley, T.V. In-vitro Activity of Essential Oils, In Particular Melaleuca alternifolia (tea tree) Oil and Tea Tree Oil Products, Against Candida spp. J. Antimicrob. Chemother. 1998, 42, 591–595. [Google Scholar] [CrossRef]
- Carson, C.F.; Hammer, K.A.; Riley, T.V. Melaleuca alternifolia (Tea Tree) Oil: A Review of Antimicrobial and Other Medicinal Properties. Clin. Microbiol. Rev. 2006, 19, 50–62. [Google Scholar] [CrossRef] [PubMed]
- Lis-Balchin, M.; Hart, S.L.; Deans, S.G. Pharmacological and Antimicrobial Studies on Different Tea-Tree Oils (Melaleuca alternifolia, Leptospermum scoparium or Manuka and Kunzea ericoides or Kanuka), Originating in Australia and New Zealand. Phytother. Res. 2000, 14, 623–629. [Google Scholar] [CrossRef] [PubMed]
- Kairey, L.; Agnew, T.; Bowles, E.J.; Barkla, B.J.; Wardle, J.; Lauche, R. Efficacy and Safety of Melaleuca alternifolia (Tea Tree) Oil for Human Health—A Systematic Review of Randomized Controlled Trials. Front. Pharmacol. 2023, 24, 1116077. [Google Scholar] [CrossRef]
- Chouhan, S.; Sharma, K.; Guleria, S. Antimicrobial Activity of Some Essential Oils—Present Status and Future perspectives. Medicines 2017, 4, 58. [Google Scholar] [CrossRef]
- Man, A.; Santacroce, L.; Jacob, R.; Mare, A.; Man, L. Antimicrobial Activity of Six Essential Oils Against a Group of Human Pathogens: A Comparative Study. Pathogens 2019, 8, 15. [Google Scholar] [CrossRef]
- Kendra, P.E.; Montgomery, W.S.; Niogret, J.; Tabanca, N.; Owens, D.; Epsky, N.D. Utility of Essential Oils for Development of Host-Based Lures for Xyleborus glabratus (Coleoptera: Curculionidae: Scolytinae), Vector of laurel Wilt. Open Chem. 2018, 16, 393–400. [Google Scholar] [CrossRef]
- Niogret, J.; Gill, M.A.; Espinosa, H.R.; Kendra, P.E.; Epsky, N.D. Attraction and Electroantennogram Responses of Male Mediterranean Fruit Fly (Diptera: Tephritidae) to Six Plant Essential Oils. J. Entomol. Zool. Stud. 2017, 5, 958–964. [Google Scholar]
- Tabanca, N.; Bernier, U.R.; Agramonte, N.M.; Tsikolia, M.; Bloomquist, J.R. Discovery of Repellents from Natural Products. Curr. Org. Chem. 2016, 20, 2690–2702. [Google Scholar] [CrossRef]
- Kurtca, M.; Tumen, I.; Keskin, H.; Tabanca, N.; Yang, X.; Dermirci, B.; Kendra, P.E. Chemical Composition of Essential Oils from Leaves and Fruits of Juniperus foetidissima and Their Attractancy and Toxicity to Two Economically Important Tephritid Fruit Fly Species, Ceratitis capitata and Anastrepha suspensa. Molecules 2021, 26, 7054. [Google Scholar] [CrossRef]
- Sampson, B.J.; Tabanca, N.; Kirimer, N.; Demirci, B.; Baser, K.H.C.; Khan, I.A.; Spiers, J.M.; Wedge, D.E. Insecticidal Activity of 23 Essential Oils and Their Major Compounds Against Adult Lipaphis pseudobrassicae (Davis) (Aphididae: Homoptera). Pest Manag. Sci. 2005, 61, 1122–1128. [Google Scholar] [CrossRef]
- Sakhanokho, H.F.; Sampson, B.J.; Tabanca, N.; Wedge, D.E.; Demirci, B.; Baser, K.H.C.; Bernier, U.R.; Tsikolia, M.; Agramonte, N.M.; Becnel, J.J.; et al. Chemical Composition, Antifungal and Insecticidal Activities of Hedychium Essential Oils. Molecules 2013, 18, 4308–4327. [Google Scholar] [CrossRef] [PubMed]
- Ali, A.; Murphy, C.C.; Demirci, B.; Wedge, D.E.; Sampson, B.J.; Khan, I.A.; Baser, K.H.C.; Tabanca, N. Insecticidal and Biting Deterrent Activity of Rose-Scented Geranium (Pelargonium spp.) Essential Oils and Individual Compounds Against Stephanitis pyrioides and Aedes aegypti. Pest Manag. Sci. 2013, 69, 1385–1392. [Google Scholar] [CrossRef] [PubMed]
- Luu-Dam, N.A.; Tabanca, N.; Estep, A.S.; Nguyen, D.H.; Kendra, P.E. Insecticidal and Attractant Activities of Magnolia citrata Leaf Essential Oil against Two Major Pests from Diptera: Aedes aegypti (Culicidae) and Ceratitis capitata (Tephritidae). Molecules 2021, 26, 2311. [Google Scholar] [CrossRef] [PubMed]
- Isman, M.B. Plant Essential Oils for Pest and Disease Management. Crop Prot. 2000, 19, 603–608. [Google Scholar] [CrossRef]
- Kendra, P.E.; Tabanca, N.; Montgomery, W.S.; Niogret, J.; Owens, D.; Carrillo, D. Essential Oils as Lures for Invasive Ambrosia Beetles. In Handbook of Essential Oils: Science, Technology, and Applications, 3rd ed.; Baser, K.H.C., Buchbauer, G., Eds.; CRC Press: Boca Raton, FL, USA, 2020; pp. 495–513. [Google Scholar] [CrossRef]
- Jones, O.T. Ceratitis capitata. In Fruit Flies: Their Biology, Natural Enemies and Control, 1st ed.; Robinson, A.S., Hooper, G., Eds.; Elsevier: Amsterdam, The Netherlands, 1989; Volume 3A, pp. 179–183. [Google Scholar]
- Silva, J.G.; Meixner, M.D.; McPheron, B.A.; Steck, G.J.; Sheppard, W.S. Recent Mediterranean Fruit Fly (Diptera: Tephritidae) Infestations in Florida—A Genetic Perspective. J. Econ. Entomol. 2003, 96, 1711–1718. [Google Scholar] [CrossRef]
- University of Florida—Institute of Food and Agricultural Science Featured Creatures, Common Name: Mediterranean Fruit Fly. Available online: https://entnemdept.ufl.edu/creatures/fruit/mediterranean_fruit_fly.htm (accessed on 2 November 2022).
- Shelly, T.E.; Epsky, N.D. Exposure to Tea Tree Oil Enhances the Mating Success of Male Mediterranean Fruit Flies (Diptera: Tephritidae). Fla. Entomol. 2015, 98, 1127–1133. [Google Scholar] [CrossRef]
- Epsky, N.D.; Niogret, J. Short Range Attraction of Ceratitis capitata (Diptera: Tephritidae) Sterile Males to Six Commercially Available Plant Essential Oils. Nat. Volatiles Essent. Oils 2017, 4, 1–7. [Google Scholar]
- Tabanca, N.; Wedge, D.E.; Li, X.; Gao, Z.; Ozek, T.; Bernier, U.R.; Epsky, N.D.; Baser, K.H.C.; Ozek, G. Biological Evaluation, Overpressured Layer Chromatography (OPLC) Separation and Isolation of a New Acetylenic Derivative Compound from Prangos platychlaena ssp. platychlaena Fruit Essential Oils. J. Planar. Chromatogr. Mod. TLC 2018, 31, 61–71. [Google Scholar] [CrossRef]
- Tabanca, N.; Masi, M.; Epsky, N.D.; Nocera, P.; Cimmino, A.; Kendra, P.E.; Niogret, J.; Evidente, A. Laboratory Evaluation of Natural and Synthetic Aromatic Compounds as Potential Attractants for Male Mediterranean Fruit Fly, Ceratitis capitata. Molecules 2019, 24, 2409. [Google Scholar] [CrossRef]
- Tabanca, N.; Niogret, J.; Kendra, P.K.; Epsky, N.D. TLC-Based Bioassay to Isolate Kairomones from Tea Tree Essential Oil That Attract Male Mediterranean Fruit Flies, Ceratitis capitata (Wiedemann). Biomolecules 2020, 10, 683. [Google Scholar] [CrossRef]
- Tabanca, N.; Nalbantsoy, A.; Kendra, P.E.; Demirci, F.; Demirci, B. Chemical Characterization and Biological Activity of Mastic Gum Essential Oils from Pistacia lentiscus var. chia from Turkey. Molecules 2020, 25, 2136. [Google Scholar] [CrossRef] [PubMed]
- Blythe, E.K.; Tabanca, N.; Demirci, B.; Kendra, P.E. Chemical Composition of Essential Oil from Tetradenia riparia and Its Attractant Activity for Mediterranean Fruit Fly, Ceratitis capitata. Nat. Prod. Commun. 2020, 15, 1–6. [Google Scholar] [CrossRef]
- Stappen, I.; Wanner, J.; Tabanca, N.; Bernier, U.R.; Kendra, P.E. Blue Tansy Oil: Chemical Composition, Repellent Activity Against Aedes aegypti and Attractant Activity for Ceratitis capitata. Nat. Prod. Commun. 2021, 16, 1–8. [Google Scholar] [CrossRef]
- Yusufoglu, H.S.; Alqarni, M.H.; Salkini, M.A.; Tabanca, N.; Demirci, B.; Kendra, P.E. Chemical Composition of Essential Oils of Pulicaria Species Growing in Saudi Arabia and Activity for Mediterranean Fruit Fly, Ceratitis capitata. Phytochem. Lett. 2021, 46, 51–55. [Google Scholar] [CrossRef]
- Lata, E.; Fulczyk, A.; Ott, P.G.; Kowalska, T.; Sajewicz, M.; Moricz, A.M. Thin-Layer Chromatographic Quantification of Magnolol and Honokiol in Dietary Supplements and Selected Biological Properties of These Preparations. J. Chromatogr. A 2020, 1625, 461230. [Google Scholar] [CrossRef] [PubMed]
- Wang, X.; Habib, E.; Leon, F.; Radwan, M.M.; Tabanca, N.; Gao, J.; Wedge, D.E.; Cutler, S.J. Antifungal Metabolites from the Roots of Diospyros virginiana by Overpressure Layer Chromatography. Chem. Biodivers. 2011, 8, 2331–2340. [Google Scholar] [CrossRef] [PubMed]
- Perera, W.H.; Frommenwiler, D.A.; Sharaf, M.H.M.; Reich, E. An Improved High-Performance Thin-Layer Chromatographic Method to Unambiguously Assess Ginkgo biloba Leaf Finished Products. J. Planar. Chromatogr. Mod. TLC 2022, 34, 559–560. [Google Scholar] [CrossRef]
- Baglyas, M.; Ott, P.G.; Garadi, Z.; Glavnik, V.; Beni, S.; Vovk, I.; Moricz, A.M. High-Performance Thin-Layer Chromatography—Antibacterial Assay First Reveals Bioactive Clerodane Diterpenes in Giant Goldenrod (Solidago gigantea Ait.). J. Chromatogr. A 2022, 1677, 463308. [Google Scholar] [CrossRef]
- Trovato, E.; Micalizzi, G.; Dugo, P.; Utczas, M.; Mondello, L. Use of Linear Retention Indices in GC-MS Libraries for Essential Oil Analysis. In Handbook of Essential Oils: Science, Technology, and Applications, 3rd ed.; Baser, K.H.C., Buchbauer, G., Eds.; CRC Press: Boca Raton, FL, USA, 2020; pp. 229–251. [Google Scholar]
- Do, T.K.T.; Trettin, I.; De Vaumas, R.; Cañigueral, S.; Valder, C.; Reich, E. Proposal for a Standardized Method for The Identification of Essential Oils by HPTLC. Pharmeuropa Bio Sci. Notes 2021, 2021, 157–166. [Google Scholar]
- Do, T.K.T.; Schmid, M.; Phanse, M.; Charegaonkar, A.; Sprecher, H.; Obkircher, M.; Reich, E. Development of The First Universal Mixture for Use in System Suitability Tests for High-Performance Thin Layer Chromatography. J. Chromatogr. A 2021, 1638, 461830. [Google Scholar] [CrossRef]
- Yasin, M.; Younis, A.; Javed, T.; Akram, A.; Ahsan, M.; Shabbir, R.; Ali, M.M.; Tahir, A.; El-Ballat, E.M.; Sheteiwy, M.S.; et al. River Tea Tree Oil: Composition, Antimicrobial and Antioxidant Activities, and Potential Applications in Agriculture. Plants 2021, 10, 2105. [Google Scholar] [CrossRef] [PubMed]
- Sabir, S.; Arshad, M.; Zahara, K.; Tabassum, S.; Chaudhari, S.K. Pharmacological Attributes and Nutritional Benefits of Tea Tree Oil. Int. J. Biol. Sci. 2014, 5, 80–91. [Google Scholar]
- Adams, R.P. Identification of Essential Oil Components by Gas Chromatography/Mass Spectrometry, 4th ed.; Allured Publishing Corp: Carol Stream, IL, USA, 2017; pp. 1–804. [Google Scholar]
- van Den Dool, H.; Kratz, P.D. A Generalization of the Retention Index System Including Linear Temperature Programmed Gas-Liquid Partition Chromatography. J. Chromatogr. A 1963, 11, 463–471. [Google Scholar] [CrossRef] [PubMed]
- MassFinder. MassFinder Software; Version 3; Dr. Hochmuth Scientific Consulting: Hamburg, Germany, 2004. [Google Scholar]
- FFNSC3. Flavors and Fragrances of Natural and Synthetic Compounds. 2015. [Google Scholar]
- Wiley Science Solution, Wiley Registry 12th Edition/NIST 2020 Mass Spectral Library, Solutions; Scientific Instrument Services Inc.: Ringoes, NJ, USA, 2020.
- Fitsiou, I.; Tzakou, O.; Hancianu, M.; Poiata, A. Volatile Constituents and Antimicrobial Activity of Tilia tomentosa Moench and Tilia cordata Miller Oils. J. Essent. Oil Res. 2007, 19, 183–185. [Google Scholar] [CrossRef]
- Al-Kaf, A.G.; Crouch, R.A.; Denkert, A.; Porzel, A.; Al-Hawshabi, O.S.S.; Ali, N.A.A.; Setzer, W.N. Chemical Composition and Biological Activity of Essential Oil of Chenopodium ambrosioides from Yemen. Am. J. Essent. Oil. Nat. Prod. 2016, 4, 20–22. [Google Scholar]
- Olawore, N.O.; Usman, L.A.; Ogunwande, I.A.; Adeleke, K.A. Constituents of Rhizome Essential Oils of Two Types of Cyperus articulatus L. Grown in Nigeria. J. Essent. Oil Res. 2006, 18, 604–606. [Google Scholar] [CrossRef]
- Garneau, F.X.; Collin, G.J.; Jean, F.I.; Gagnon, H.; Arze, J.B.L. Essential Oils from Bolivia. XII. Asteraceae: Ophryosporus piquerioides (D.C.) Benth. ex Baker. J. Essent. Oil Res. 2013, 25, 388–393. [Google Scholar] [CrossRef]
- Huong, L.T.; Hung, N.H.; Dai, D.N.; Tai, T.A.; Hien, V.T.; Satyal, P.; Setzer., W.N. Chemical Compositions and Mosquito Larvicidal Activities of Essential Oils from Piper Species Growing Wild in Central Vietnam. Molecules 2019, 24, 3871. [Google Scholar] [CrossRef]
- Kowalski, R.; Wierciński, J.; Mardarowicz, M. Essential Oil in Leaves and Inflorescences of Silphium integrifolium Michx. J. Essent. Oil Res. 2005, 17, 220–222. [Google Scholar] [CrossRef]
- Lazarević, J.; Radulović, N.; Palić, R.; Zlatković, B. Chemical Composition of the Essential Oil of Doronicum austriacum Jacq. subsp. giganteum (Griseb.) Stoj. et Stef. (Compositae) From Serbia. J. Essent. Oil Res. 2009, 21, 507–510. [Google Scholar] [CrossRef]
- Upadhyaya, K.; Dixit, V.K.; Padalia, R.C.; Matgela, C.S. Chemical Composition of the Essential Oil of Caryopteris grata Benth. J. Essent. Oil Res. 2009, 21, 69–70. [Google Scholar] [CrossRef]
- Babushok, V.I.; Linstrom, P.J.; Zenkevich, I.G. Retention Indices for Frequently Reported Compounds of Plant Essential Oils. J. Phys. Chem. Ref. Data 2011, 40, 043101. [Google Scholar] [CrossRef]
- The Pherobase Database of Pheromones and Semiochemicals. Available online: https://www.pherobase.com (accessed on 7 January 2023).
- PubChem. Available online: https://pubchem.ncbi.nlm.nih.gov (accessed on 17 January 2023).
- Acree, T.E.; Arn, H. The Flavornet. Available online: https://www.flavornet.org (accessed on 2 February 2023).
- International Standard ISO-4730; Oil of Melaleuca, Terpinen-4-ol Type (Tea Tree Oil). ISO: Geneva, Switzerland, 2004.
- Barbosa, L.C.A.; Silva, C.J.; Teixeira, R.R.; Meira, R.M.S.A.; Pinheiro, A.L. Chemistry and Biological Activities of Essential Oils from Melaleuca L. Species. Agric. Conspec. Sci. 2013, 78, 11–23. [Google Scholar]
- Tisserand, R.; Young, R. Essential Oil Safety, 2nd ed.; Churchill Livingston Elsevier: London, UK, 2014; pp. 224, 364–265, 404. [Google Scholar]
- Marinkovic, J.; Markovic, T.; Nikolic, B.; Ciric, A.; Mitic-Culafic, D.; Dukanovic, S.; Krstic, A.; Pavlica, D.; Vlajic, T.; Markovic, D. Biocompatibility and Antibacterial Potential of the Cinnamomum camphora cineoliferum (L.) J. Presl. and Melaleuca ericifolia Sm. Essential Oils against Facultative and Obligate Endodontic Anaerobes. J. Essent. Oil-Bear. Plants 2022, 25, 111–125. [Google Scholar] [CrossRef]
- Zhao, Q.; Bowles, J.E.; Zhang, H.Y. Antioxidant Activities of Eleven Australian Essential Oils. Nat. Prod. Commun. 2008, 3, 837–842. [Google Scholar] [CrossRef]
- Wagner, H.; Bladt, S. Plant Drug Analysis: A Thin Layer Chromatography Atlas, 2nd ed.; Springer: Berlin, Germany, 2001; p. 364. [Google Scholar]






| Species | Code | Source |
|---|---|---|
| M. alternifolia (Maiden & Betche) Cheel | TTAA | Aromappeal (Puritan’s Pride, Inc.), Oakdale, NY, USA |
| M. alternifolia (Maiden & Betche) Cheel | TTAS | Apothecary Shoppe, Portland, OR, USA |
| M. alternifolia (Maiden & Betche) Cheel | TTEG | Eden’s Garden, San Clemente, CA, USA |
| M. alternifolia (Maiden & Betche) Cheel | TTFC | Floracopeia, Grass Valley, CA, USA |
| M. alternifolia (Maiden & Betche) Cheel | TTNG | Nature’s Gift, Madison, TN, USA |
| M. alternifolia (Maiden & Betche) Cheel | TTPT | Plant Therapy, Inc, Twin Falls, ID, USA |
| M. alternifolia (Maiden & Betche) Cheel | TTSAT | SAT Group, Kannauj, India |
| M. cajuputi Powell | MCa | Nature’s Gift, Madison, TN, USA |
| M. quinquenervia (Cav.) S.T. Blake | MNe | Nature’s Gift, Madison, TN, USA |
| M. quinquenervia (Cav.) S.T. Blake | MNi | Nature’s Gift, Madison, TN, USA |
| M. ericifolia Sm. | MRo | Nature’s Gift, Madison, TN, USA |
| # | * RI Exp | ** RILit | Compounds | TTAA | TTAS | TTEG | TTFC | TTNG | TTPT | TTSAT | MCa | MNe | MNi | MRo |
|---|---|---|---|---|---|---|---|---|---|---|---|---|---|---|
| 1 | 938 | 930 | α-Thujene RI, MS | 0.85 ± 0.10 | 0.77 ± 0.05 | 0.76 ± 0.04 | 0.48 ± 0.02 | 0.97 ± 0.06 | 0.79 ± 0.01 | 0.30 ± 0.10 | 0.77 ± 0.10 | 0.27 ± 0.03 | 1.07 ± 0.28 | 0.17 ± 0.00 |
| 2 | 946 | 939 | α-Pinene RI, MS, Std | 1.89 ± 0.06 | 2.66 ± 0.03 | 2.40 ± 0.41 | 1.67 ± 0.05 | 2.48 ± 0.16 | 1.39 ± 0.02 | 1.29 ± 0.16 | 5.48 ± 0.11 | 0.57 ± 0.12 | 9.75 ± 0.13 | 5.09 ± 0.03 |
| 3 | 954 | 954 | Camphene RI, MS | 0.00 | 0.00 | 0.00 | 0.00 | 0.00 | 0.01 ± 0.00 | 0.01 ± 0.00 | 0.15 ± 0.02 | 0.00 | 0.04 ± 0.02 | 0.28 ± 0.05 |
| 4 | 969 | 960 | Benzaldehyde RI, MS, Std | 0.00 | 0.00 | 0.00 | 0.00 | 0.00 | 0.00 | 0.00 | 0.00 | 0.38 ± 0.04 | 0.09 ± 0.04 | 0.00 |
| 5 | 970 | 975 | Sabinene RI, MS, Std | 0.72 ± 0.03 | 0.05 ± 0.00 | 0.36 ± 0.04 | 0.45 ± 0.06 | 0.94 ± 0.03 | 0.64 ± 0.07 | 0.08 ± 0.02 | 0.18 ± 0.04 | 0.00 | 0.00 | 0.00 |
| 6 | 989 | 979 | β-pinene RI, MS, Std | 0.73 ± 0.01 | 0.88 ± 0.07 | 0.89 ± 0.10 | 0.97 ± 0.16 | 1.06 ± 0.02 | 0.80 ± 0.08 | 0.93 ± 0.01 | 1.11 ± 0.07 | 0.94 ± 0.08 | 2.56 ± 0.33 | 0.64 ± 0.03 |
| 7 | 998 | 990 | Myrcene RI, MS, Std | 0.48 ± 0.06 | 0.58 ± 0.05 | 0.63 ± 0.04 | 0.62 ± 0.12 | 0.77 ± 0.03 | 0.41 ± 0.06 | 0.63 ± 0.02 | 0.65 ± 0.03 | 0.60 ± 0.16 | 0.72 ± 0.20 | 0.61 ± 0.02 |
| 8 | 1009 | 991 | 6-Methyl-5-hepten-2-ol RI, MS, Std | 0.00 | 0.00 | 0.00 | 0.00 | 0.00 | 0.00 | 0.00 | 0.00 | 0.19 ± 0.03 | 0.00 | 0.00 |
| 9 | 1010 | 1002 | α-Phellandrene RI, MS, Std | 0.14 ± 0.07 | 0.54 ± 0.02 | 0.45 ± 0.07 | 0.47 ± 0.10 | 0.53 ± 0.08 | 0.33 ± 0.10 | 0.43 ± 0.13 | 0.50 ± 0.02 | 0.09 ± 0.01 | 0.11 ± 0.03 | 0.03 ± 0.01 |
| 10 | 1012 | 1003 | Pseudolimonene RI, MS | 0.01 ± 0.00 | 0.01 ± 0.00 | 0.01 ± 0.00 | 0.01 ± 0.00 | 0.01 ± 0.00 | 0.01 ± 0.00 | 0.00 | 0.00 | 0.00 | 0.00 | 0.00 |
| 11 | 1018 | 1011 | δ-3-Carene RI, MS, Std | 0.00 | 0.00 | 0.00 | 0.00 | 0.00 | 0.00 | 0.00 | 0.00 | 0.00 | 0.00 | 0.20 ± 0.04 |
| 12 | 1021 | 1014 | 1,4-Cineole RI, MS, Std | 0.00 | 0.00 | 0.04 ± 0.01 | 0.00 | 0.00 | 0.00 | 0.00 | 0.00 | 0.00 | 0.00 | 0.00 |
| 13 | 1022 | 1017 | α-Terpinene RI, MS, Std | 6.14 ± 0.03 | 12.62 ± 0.41 | 9.62 ± 0.14 | 8.35 ± 0.13 | 8.89 ± 0.37 | 7.63 ± 0.19 | 3.47 ± 0.06 | 0.22 ± 0.01 | 0.13 ± 0.03 | 0.00 | 0.17 ± 0.04 |
| 14 | 1030 | 1024 | p-Cymene RI, MS, Std | 5.18 ± 0.55 | 1.66 ± 0.15 | 3.51 ± 0.04 | 3.59 ± 0.27 | 3.22 ± 0.28 | 3.71 ± 0.17 | 11.47 ± 0.19 | 0.79 ± 0.11 | 0.03 ± 0.02 | 0.07 ± 0.02 | 1.21 ± 0.06 |
| 15 | 1039 | 1029 | Limonene RI, MS, Std | 1.63 ± 0.23 | 0.30 ± 0.09 | 1.10 ± 0.07 | 1.15 ± 0.02 | 0.87 ± 0.03 | 1.10 ± 0.05 | 0.51 ± 0.19 | 0.10 ± 0.00 | 0.19 ± 0.03 | 2.83 ± 0.18 | 3.03 ± 0.05 |
| 16 | 1039 | 1029 | β-Phellandrene RI, MS, Std | 0.10 ± 0.01 | 0.26 ± 0.01 | 0.86 ± 0.04 | 0.83 ± 0.06 | 0.03 ± 0.00 | 0.44 ± 0.04 | 0.39 ± 0.01 | 0.07 ± 0.01 | 0.01 ± 0.00 | 0.01 ± 0.00 | 0.00 |
| 17 | 1040 | 1031 | 1,8-Cineole RI, MS, Std | 2.85 ± 0.38 | 1.17 ± 0.01 | 3.76 ± 0.12 | 3.28 ± 0.07 | 4.79 ± 0.14 | 3.90 ± 0.08 | 4.50 ± 0.09 | 64.63 ± 1.19 | 1.91 ± 0.16 | 52.20 ± 0.28 | 27.57 ± 0.56 |
| 18 | 1049 | 1037 | (Z)-β-Ocimene RI, MS, Std | 0.00 | 0.00 | 0.00 | 0.00 | 0.00 | 0.00 | 0.00 | 0.00 | 0.69 ± 0.10 | 0.00 | 0.04 ± 0.01 |
| 19 | 1062 | 1050 | (E)-β-Ocimene RI, MS, Std | 0.01 ± 0.00 | 0.01 ± 0.00 | 0.01 ± 0.00 | 0.01 ± 0.00 | 0.01 ± 0.00 | 0.01 ± 0.00 | 0.00 | 0.00 | 0.74 ± 0.10 | 0.03 ± 0.01 | 0.76 ± 0.08 |
| 20 | 1071 | 1059 | γ-Terpinene RI, MS, Std | 16.42 ± 0.83 | 18.91 ± 0.46 | 19.58 ± 0.10 | 19.60 ± 0.10 | 16.58 ± 0.45 | 20.75 ± 0.20 | 16.61 ± 0.41 | 3.24 ± 0.20 | 0.12 ± 0.05 | 0.57 ± 0.00 | 1.84 ± 0.01 |
| 21 | 1081 | 1070 | cis-Sabinene hydrate RI, MS | 0.00 | 0.01 ± 0.00 | 0.14 ± 0.04 | 0.20 ± 0.09 | 0.29 ± 0.07 | 0.07 ± 0.02 | 0.09 ± 0.01 | 0.01 ± 0.01 | 0.00 | 0.00 | 0.00 |
| 22 | 1084 | 1072 | cis-Linalool oxide RI, MS, Std | 0.00 | 0.00 | 0.30 ± 0.14 | 0.00 | 0.00 | 0.00 | 0.00 | 0.00 | 0.07 ± 0.00 | 0.00 | 0.13 ± 0.13 |
| 23 | 1098 | 1088 | Terpinolene RI, MS, Std | 2.83 ± 0.05 | 3.61 ± 0.01 | 4.19 ± 0.04 | 3.63 ± 0.21 | 3.39 ± 0.12 | 3.16 ± 0.06 | 2.75 ± 0.04 | 1.04 ± 0.05 | 0.26 ± 0.10 | 0.45 ± 0.07 | 2.14 ± 0.02 |
| 24 | 1107 | 1096 | Linalool RI, MS, Std | 0.07 ± 0.02 | 0.13 ± 0.01 | 0.45 ± 0.15 | 1.12 ± 0.03 | 1.04 ± 0.04 | 0.13 ± 0.06 | 0.22 ± 0.02 | 0.26 ± 0.04 | 33.30± 0.63 | 0.47 ± 0.29 | 38.19 ± 0.06 |
| 25 | 1115 | 1097 | Hotrienol RI, MS | 0.00 | 0.00 | 0.01 ± 0.00 | 0.01 ± 0.00 | 0.01 ± 0.00 | 0.01 ± 0.00 | 0.00 | 0.00 | 0.12 ± 0.06 | 0.00 | 0.15 ± 0.02 |
| 26 | 1123 | 1121 | cis-p-Menth-2-en-1-ol | 0.14 ± 0.08 | 0.21 ± 0.06 | 0.21 ± 0.05 | 0.00 | 0.37 ± 0.08 | 0.28 ± 0.01 | 0.36 ± 0.05 | 0.00 | 0.00 | 0.00 | 0.00 |
| 27 | 1125 | 1122 | trans-p-Menth-2-en-1-ol | 0.21 ± 0.01 | 0.18 ± 0.01 | 0.17 ± 0.02 | 0.15 ± 0.02 | 0.31 ± 0.04 | 0.22 ± 0.01 | 0.28 ± 0.04 | 0.00 | 0.00 | 0.00 | 0.00 |
| 28 | 1168 | 1166 | δ-Terpinol RI, MS | 0.00 | 0.00 | 0.00 | 0.00 | 0.00 | 0.00 | 0.00 | 0.12 ± 0.01 | 0.00 | 0.11 ± 0.01 | 0.12 ± 0.01 |
| 29 | 1183 | 1177 | Terpinene-4-ol RI, MS, Std | 44.28 ± 0.90 | 38.62 ± 0.33 | 37.66 ± 0.24 | 40.36 ± 0.53 | 38.42 ± 0.22 | 40.55 ± 0.67 | 39.57 ± 1.37 | 0.71 ± 0.03 | 0.27 ± 0.00 | 0.62 ± 0.01 | 0.79 ± 0.01 |
| 30 | 1188 | 1182 | p-Cymen-8-ol RI, MS | 0.14 ± 0.04 | 0.05 ± 0.02 | 0.12 ± 0.00 | 0.17 ± 0.03 | 0.11 ± 0.01 | 0.10 ± 0.02 | 0.19 ± 0.10 | 0.02 ± 0.01 | 0.00 | 0.00 | 0.10 ± 0.01 |
| 31 | 1198 | 1188 | α-Terpineol RI, MS, Std | 3.74 ± 0.05 | 3.11 ± 0.01 | 3.35 ± 0.07 | 3.61 ± 0.09 | 4.66 ± 0.03 | 3.40 ± 0.04 | 4.20 ± 0.09 | 5.44 ± 0.10 | 0.46 ± 0.01 | 5.08 ± 0.06 | 4.05 ± 0.08 |
| 32 | 1206 | 1196 | cis-Piperitol RI, MS, Std | 0.08 ± 0.02 | 0.07 ± 0.00 | 0.07 ± 0.00 | 0.03 ± 0.00 | 0.08 ± 0.01 | 0.09 ± 0.01 | 0.13 ± 0.02 | 0.00 | 0.00 | 0.00 | 0.00 |
| 33 | 1218 | 1208 | trans-Piperitol RI, MS | 0.14 ± 0.01 | 0.09 ± 0.01 | 0.10 ± 0.00 | 0.05 ± 0.00 | 0.08 ± 0.00 | 0.15 ± 0.00 | 0.14 ± 0.06 | 0.00 | 0.00 | 0.00 | 0.00 |
| 34 | 1226 | 1216 | trans-Carveol RI, MS, | 0.00 | 0.00 | 0.00 | 0.00 | 0.00 | 0.00 | 0.00 | 0.00 | 0.00 | 0.00 | 0.01 ± 0.01 |
| 35 | 1232 | 1221 | cis-Sabinene hydrate acetate RI, MS | 0.00 | 0.00 | 0.00 | 0.00 | 0.00 | 0.00 | 0.00 | 0.00 | 0.08 ± 0.00 | 0.00 | 0.00 |
| 36 | 1236 | 1225 | Citronellol RI, MS, Std | 0.00 | 0.00 | 0.00 | 0.00 | 0.00 | 0.00 | 0.00 | 0.00 | 0.00 | 0.01 ± 0.00 | 0.02 ± 0.00 |
| 37 | 1238 | 1229 | Nerol RI, MS | 0.00 | 0.00 | 0.00 | 0.00 | 0.00 | 0.00 | 0.00 | 0.00 | 0.01 ± 0.00 | 0.00 | 0.16 ± 0.01 |
| 38 | 1243 | 1237 | Ascaridole RI, MS | 0.00 | 0.00 | 0.00 | 0.00 | 0.00 | 0.00 | 0.05 ± 0.03 | 0.00 | 0.00 | 0.00 | 0.00 |
| 39 | 1245 | 1238 | Neral | 0.00 | 0.00 | 0.00 | 0.00 | 0.00 | 0.00 | 0.00 | 0.00 | 0.00 | 0.00 | 0.09 ± 0.01 |
| 40 | 1253 | 1252 | Geraniol RI, MS, Std | 0.05 ± 0.05 | 0.00 | 0.04 ± 0.03 | 0.02 ± 0.00 | 0.03 ± 0.00 | 0.00 | 0.02 ± 0.02 | 0.04 ± 0.02 | 0.19 ± 0.02 | 0.02 ± 0.01 | 0.20 ± 0.00 |
| 41 | 1264 | 1258 | 2-Phenyl ethyl acetate RI, MS | 0.00 | 0.00 | 0.00 | 0.00 | 0.00 | 0.00 | 0.00 | 0.00 | 0.00 | 0.00 | 0.08 ± 0.02 |
| 42 | 1271 | 1267 | Geranial RI, MS | 0.00 | 0.00 | 0.00 | 0.00 | 0.00 | 0.00 | 0.00 | 0.00 | 0.00 | 0.00 | 0.12 ± 0.01 |
| 43 | 1273 | 1269 | trans-Ascaridol glycol RI, MS | 0.12 ± 0.02 | 0.01 ± 0.00 | 0.04 ± 0.00 | 0.05 ± 0.02 | 0.02 ± 0.00 | 0.04 ± 0.01 | 0.06 ± 0.02 | 0.00 | 0.00 | 0.00 | 0.00 |
| 44 | 1291 | 1288 | cis-Ascaridol glycol RI, MS | 0.04 ± 0.02 | 0.01 ± 0.00 | 0.02 ± 0.00 | 0.04 ± 0.01 | 0.00 | 0.01 ± 0.00 | 0.04 ± 0.01 | 0.00 | 0.00 | 0.00 | 0.00 |
| 45 | 1295 | 1290 | Thymol RI, MS, Std | 0.00 | 0.00 | 0.00 | 0.01 ± 0.00l | 0.00 | 0.00 | 0.02 ± 0.01 | 0.00 | 0.00 | 0.00 | 0.00 |
| 46 | 1306 | 1299 | Carvacrol RI, MS, Std | 0.01 ± 0.01 | 0.00 | 0.02 ± 0.01 | 0.02 ± 0.01 | 0.00 | 0.00 | 0.02 ± 0.01 | 0.00 | 0.00 | 0.00 | 0.00 |
| 47 | 1330 | 1324 | Methyl geranate RI, MS | 0.00 | 0.00 | 0.00 | 0.00 | 0.00 | 0.00 | 0.00 | 0.00 | 0.00 | 0.00 | 0.07 ± 0.03 |
| 48 | 1343 | 1338 | δ-Elemene RI, MS | 0.01 ± 0.00 | 0.01 ± 0.00 | 0.01 ± 0.00 | 0.00 | 0.05 ± 0.00 | 0.01 ± 0.00 | 0.02 ± 0.01 | 0.01 ± 0.00 | 0.00 | 0.00 | 0.02 ± 0.00 |
| 49 | 1355 | 1347 | α-Terpinyl acetate RI, MS, Std | 0.00 | 0.00 | 0.00 | 0.00 | 0.00 | 0.00 | 0.00 | 0.64 ± 0.01 | 0.00 | 1.30 ± 0.02 | 0.00 |
| 50 | 1356 | 1348 | α-Cubebene RI, MS | 0.01 ± 0.01 | 0.04 ± 0.00 | 0.03 ± 0.00 | 0.01 ± 0.00 | 0.07 ± 0.00 | 0.03 ± 0.00 | 0.06 ± 0.02 | 0.00 | 0.00 | 0.00 | 0.00 |
| 51 | 1359 | 1359 | Eugenol RI, MS, Std | 0.00 | 0.00 | 0.00 | 0.00 | 0.00 | 0.00 | 0.00 | 0.00 | 0.01 ± 0.00 | 0.00 | 0.00 |
| 52 | 1376 | 1375 | α-Ylangene RI, MS | 0.00 | 0.00 | 0.00 | 0.00 | 0.00 | 0.00 | 0.00 | 0.13 ± 0.02 | 0.00 | 0.00 | 0.00 |
| 53 | 1378 | 1376 | Isoledene RI, MS | 0.06 ± 0.01 | 0.08 ± 0.01 | 0.03 ± 0.01 | 0.04 ± 0.00 | 0.06 ± 0.00 | 0.05 ± 0.01 | 0.06 ± 0.02 | 0.00 | 0.00 | 0.00 | 0.15 ± 0.02 |
| 54 | 1380 | 1376 | α-Copaene RI, MS, Std | 0.10 ± 0.01 | 0.14 ± 0.01 | 0.10 ± 0.01 | 0.07 ± 0.00 | 0.13 ± 0.00 | 0.06 ± 0.02 | 0.13 ± 0.02 | 0.08 ± 0.01 | 0.00 | 0.03 ± 0.00 | 0.02 ± 0.01 |
| 55 | 1382 | 1381 | Geranyl acetate RI, MS, Std | 0 | 0 | 0 | 0 | 0 | 0 | 0 | 0 | 0.00 | 0.00 | 0.02 ± 0.01 |
| 56 | 1395 | 1390 | β-Elemene RI, MS, Std | 0.03 ± 0.01 | 0.01 ± 0.00 | 0.02 ± 0.00 | 0.01 ± 0.00 | 0.06 ± 0.00 | 0.01 ± 0.00 | 0.03 ± 0.01 | 0.05 ± 0.03 | 0.00 | 0.00 | 0.32 ± 0.02 |
| 57 | 1403 | 1402 | α-Funebrene RI, MS, Std | 0.00 | 0.00 | 0.00 | 0.00 | 0.00 | 0.00 | 0.00 | 0.00 | 0.03 ± 0.01 | 0.00 | 0.00 |
| 58 | 1404 | 1403 | Methyl eugenol RI, MS, Std | 0.00 | 0.00 | 0.01 ± 0.00 | 0.01 ± 0.01 | 0.00 | 0.00 | 0.02 ± 0.00 | 0.00 | 0.00 | 0.00 | 0.00 |
| 59 | 1409 | 1408 | Isocaryophyllene RI, MS | 0.00 | 0.00 | 0.00 | 0.00 | 0.00 | 0.00 | 0.00 | 0.01 ± 0.01 | 0.02 ± 0.01 | 0.00 | 0.00 |
| 60 | 1410 | 1409 | α-Gurjunene RI, MS | 0.41 ± 0.01 | 0.58 ± 0.01 | 0.36 ± 0.01 | 0.18 ± 0.06 | 0.45 ± 0.01 | 0.35 ± 0.01 | 0.43 ± 0.06 | 0.06 ± 0.03 | 0.00 | 0.07 ± 0.02 | 0.39 ± 0.01 |
| 61 | 1412 | 1411 | α-Cedrene RI, MS | 0.00 | 0.00 | 0.00 | 0.00 | 0.00 | 0.00 | 0.00 | 0.00 | 0.06 ± 0.03 | 0.00 | 0.00 |
| 62 | 1417 | 1416 | β-Maaliene RI, MS | 0.01 ± 0.00 | 0.02 ± 0.00 | 0.02 ± 0.00 | 0.00 | 0.01 ± 0.00 | 0.00 | 0.02 ± 0.00 | 0.00 | 0.00 | 0.00 | 0.03 ± 0.01 |
| 63 | 1421 | 1419 | β-Caryophyllene RI, MS, Std | 0.37 ± 0.01 | 0.74 ± 0.02 | 0.29 ± 0.01 | 0.21 ± 0.01 | 0.56 ± 0.02 | 0.28 ± 0.03 | 0.40 ± 0.04 | 3.82 ± 0.12 | 2.40 ± 0.05 | 2.66 ± 0.05 | 0.16 ± 0.01 |
| 64 | 1429 | 1425 | γ-Maaliene RI, MS | 0.06 ± 0.01 | 0.08 ± 0.00 | 0.07 ± 0.00 | 0.05 ± 0.01 | 0.06 ± 0.00 | 0.04 ± 0.00 | 0.06 ± 0.01 | 0.01 ± 0.01 | 0.00 | 0.01 ± 0.01 | 0.10 ± 0.01 |
| 65 | 1433 | 1433 | β-Gurjunene RI, MS | 0.01 ± 0.00 | 0.01 ± 0.00 | 0.01 ± 0.00 | 0.00 | 0.01 ± 0.00 | 0.00 | 0.02 ± 0.00 | 0.05 ± 0.01 | 0.00 | 0.00 | 0.10 ± 0.00 |
| 66 | 1435 | 1433 | α-Maaliene RI, MS, Std | 0.07 ± 0.01 | 0.09 ± 0.00 | 0.07 ± 0.01 | 0.05 ± 0.01 | 0.07 ± 0.00 | 0.05 ± 0.00 | 0.07 ± 0.02 | 0.05 ± 0.01 | 0.00 | 0.00 | 0.12 ± 0.01 |
| 67 | 1439 | 1441 | Aromadendrene RI, MS, Std | 1.51 ± 0.02 | 1.90 ± 0.02 | 1.20 ± 0.03 | 1.25 ± 0.04 | 1.24 ± 0.01 | 1.51 ± 0.19 | 1.27 ± 0.09 | 0.65 ± 0.04 | 0.00 | 0.16 ± 0.08 | 3.38 ± 0.02 |
| 68 | 1443 | 1443 | Selina-5,11-diene RI, MS | 0.16 ± 0.01 | 0.22 ± 0.01 | 0.14 ± 0.01 | 0.08 ± 0.04 | 0.17 ± 0.00 | 0.11 ± 0.01 | 0.15 ± 0.02 | 0.06 ± 0.01 | 0.00 | 0.00 | 0.26 ± 0.01 |
| 69 | 1448 | 1451 | Amorpha-4,11-diene RI, MS | 0.00 | 0.00 | 0.00 | 0.00 | 0.00 | 0.00 | 0.00 | 0.00 | 0.07 ± 0.03 | 0.00 | 0.00 |
| 70 | 1450 | 1453 | trans-Muurola-3.5-diene RI, MS | 0.11 ± 0.01 | 0.19 ± 0.01 | 0.12 ± 0.01 | 0.03 ± 0.00 | 0.31 ± 0.01 | 0.14 ± 0.01 | 0.18 ± 0.03 | 0.02 ± 0.01 | 0.00 | 0.01 ± 0.00 | 0.06 ± 0.01 |
| 71 | 1453 | 1454 | α-Humulene RI, MS, Std | 0.08 ± 0.00 | 0.12 ± 0.00 | 0.07 ± 0.00 | 0.05 ± 0.00 | 0.15 ± 0.02 | 0.07 ± 0.01 | 0.09 ± 0.01 | 1.81 ± 0.08 | 0.40 ± 0.01 | 0.40 ± 0.03 | 0.03 ± 0.00 |
| 72 | 1457 | 1456 | (E)-β-Farnesene RI, MS, Std | 0.00 | 0.00 | 0.00 | 0.00 | 0.00 | 0.00 | 0.00 | 0.00 | 1.93 ± 0.40 | 0.12 ± 0.05 | 0.00 |
| 73 | 1459 | 1460 | Alloaromadendrene RI, MS, Std | 0.67 ± 0.01 | 0.96 ± 0.01 | 0.53 ± 0.02 | 0.47 ± 0.02 | 0.62 ± 0.01 | 0.54 ± 0.01 | 0.62 ± 0.05 | 0.36 ± 0.02 | 0.00 | 0.51 ± 0.05 | 1.41 ± 0.02 |
| 74 | 1464 | 1466 | α-Acoradiene RI, MS | 0.00 | 0.00 | 0.00 | 0.00 | 0.00 | 0.00 | 0.00 | 0.00 | 0.01 ± 0.00 | 0.00 | 0.00 |
| 75 | 1467 | 1470 | β-Acoradiene RI, MS | 0.00 | 0.00 | 0.00 | 0.00 | 0.00 | 0.00 | 0.00 | 0.00 | 0.03 ± 0.01 | 0.00 | 0.00 |
| 76 | 1471 | 1475 | 10-epi-β-Acoradiene RI, MS | 0.00 | 0.00 | 0.00 | 0.00 | 0.00 | 0.00 | 0.00 | 0.00 | 0.02 ± 0.01 | 0.00 | 0.00 |
| 77 | 1473 | 1476 | trans-Cadina-1(6),4-diene RI, MS | 0.36 ± 0.01 | 0.55 ± 0.02 | 0.36 ± 0.01 | 0.20 ± 0.01 | 0.45 ± 0.02 | 0.42 ± 0.02 | 0.45 ± 0.05 | 0.00 | 0.02 ± 0.01 | 0.00 | 0.00 |
| 78 | 1474 | 1477 | γ-Gurjunene RI, MS | 0.00 | 0.00 | 0.00 | 0.00 | 0.00 | 0.00 | 0.00 | 0.00 | 0.00 | 0.00 | 0.35 ± 0.01 |
| 79 | 1476 | 1479 | γ-Muurolene RI, MS | 0.04 ± 0.00 | 0.05 ± 0.00 | 0.04 ± 0.00 | 0.03 ± 0.01 | 0.04 ± 0.00 | 0.03 ± 0.00 | 0.05 ± 0.01 | 0.45 ± 0.03 | 0.00 | 0.07 ± 0.01 | 0.08 ± 0.01 |
| 80 | 1480 | 1480 | ar-Curcumene RI, MS, Std | 0.00 | 0.00 | 0.00 | 0.00 | 0.00 | 0.00 | 0.00 | 0.00 | 0.13 ± 0.04 | 0.00 | 0.00 |
| 81 | 1481 | 1482 | γ-Curcumene RI, MS | 0.00 | 0.00 | 0.00 | 0.00 | 0.00 | 0.00 | 0.00 | 0.00 | 0.09 ± 0.02 | 0.00 | 0.00 |
| 82 | 1483 | 1484 | α-Amorphene RI, MS | 0.00 | 0.00 | 0.00 | 0.00 | 0.00 | 0.00 | 0.00 | 0.30 ± 0.01 | 0.00 | 0.00 | 0.00 |
| 83 | 1484 | 1485 | Germacrene D RI, MS | 0.01 ± 0.00 | 0.01 ± 0.00 | 0.01 ± 0.00 | 0.01 ± 0.00 | 0.01 ± 0.00 | 0.01 ± 0.00 | 0.01 ± 0.00 | 0.00 | 0.00 | 0.18 ± 0.02 | 0.00 |
| 84 | 1486 | 1490 | β-Selinene RI, MS | 0.09 ± 0.01 | 0.11 ± 0.01 | 0.10 ± 0.01 | 0.09 ± 0.01 | 0.06 ± 0.00 | 0.05 ± 0.01 | 0.08 ± 0.02 | 1.28 ± 0.05 | 0.00 | 0.20 ± 0.01 | 0.23 ± 0.01 |
| 85 | 1488 | 1490 | Alloaromadendr-9-ene RI, MS | 0.11 ± 0.01 | 0.14 ± 0.01 | 0.07 ± 0.04 | 0.08 ± 0.01 | 0.11 ± 0.00 | 0.07 ± 0.01 | 0.11 ± 0.02 | 0.00 | 0.00 | 0.18 ± 0.00 | 0.29 ± 0.01 |
| 86 | 1491 | 1492 | δ-Selinene RI, MS | 0.00 | 0.00 | 0.00 | 0.00 | 0.00 | 0.00 | 0.00 | 0.35 ± 0.01 | 0.00 | 0.00 | 0.00 |
| 87 | 1492 | 1493 | cis-β-Guaiene RI, MS | 0.19 ± 0.01 | 0.28 ± 0.01 | 0.18 ± 0.01 | 0.11 ± 0.01 | 0.31 ± 0.01 | 0.16 ± 0.01 | 0.21 ± 0.03 | 0.11 ± 0.01 | 0.00 | 0.01 ± 0.01 | 0.16 ± 0.01 |
| 88 | 1494 | 1496 | Ledene RI, MS | 1.14 ± 0.01 | 1.62 ± 0.02 | 0.86 ± 0.03 | 0.47 ± 0.03 | 1.06 ± 0.01 | 1.38 ± 0.05 | 1.69 ± 0.05 | 0.19 ± 0.03 | 0.16 ± 0.06 | 1.76 ± 0.17 | 0.98 ± 0.02 |
| 89 | 1495 | 1498 | α-Selinene RI, MS | 0.00 | 0.00 | 0.00 | 0.00 | 0.00 | 0.00 | 0.00 | 1.12 ± 0.08 | 0.00 | 0.00 | 0.00 |
| 90 | 1496 | 1499 | (Z,E)-α-Farnesene RI, MS | 0.00 | 0.00 | 0.00 | 0.00 | 0.00 | 0.00 | 0.00 | 0.00 | 0.64 ± 0.14 | 0.00 | 0.00 |
| 91 | 1497 | 1500 | Bicyclogermacrene RI, MS | 0.91 ± 0.01 | 0.96 ± 0.06 | 0.67 ± 0.02 | 0.31 ± 0.01 | 0.72 ± 0.02 | 0.91 ± 0.04 | 0.60 ± 0.03 | 0.00 | 0.00 | 0.02 ± 0.01 | 0.62 ± 0.02 |
| 92 | 1498 | 1500 | α-Muurolene RI, MS | 0.17 ± 0.01 | 0.20 ± 0.00 | 0.14 ± 0.00 | 0.11 ± 0.01 | 0.22 ± 0.00 | 0.16 ± 0.01 | 0.20 ± 0.02 | 0.06 ± 0.01 | 0.00 | 0.09 ± 0.01 | 0.03 ± 0.00 |
| 93 | 1501 | 1501 | Epizonarene RI, MS | 0.02 ± 0.00 | 0.03 ± 0.00 | 0.02 ± 0.00 | 0.01 ± 0.00 | 0.03 ± 0.00 | 0.01 ± 0.00 | 0.02 ± 0.00 | 0.19 ± 0.01 | 0.00 | 0.00 | 0.00 |
| 94 | 1503 | 1502 | trans-β-Guaiene RI, MS | 0.00 | 0.00 | 0.00 | 0.00 | 0.00 | 0.00 | 0.00 | 0.00 | 0.09 ± 0.07 | 0.00 | 0.00 |
| 95 | 1505 | 1505 | (Z)-α-Bisabolene RI, MS | 0.00 | 0.00 | 0.00 | 0.00 | 0.00 | 0.00 | 0.00 | 0.00 | 0.23 ± 0.03 | 0.00 | 0.00 |
| 96 | 1506 | 1505 | (E,E)-α-Farnesene RI, MS, Std | 0.00 | 0.00 | 0.00 | 0.00 | 0.00 | 0.00 | 0.00 | 0.00 | 1.67 ± 0.38 | 0.11 ± 0.04 | 0.00 |
| 97 | 1508 | 1512 | δ-Amorphene RI, MS | 0.00 | 0.00 | 0.00 | 0.00 | 0.00 | 0.00 | 0.00 | 0.00 | 0.00 | 0.00 | 0.19 ± 0.01 |
| 98 | 1512 | 1513 | γ-Cadinene RI, MS | 0.01 ± 0.00 | 0.02 ± 0.00 | 0.02 ± 0.00 | 0.01 ± 0.00 | 0.02 ± 0.00 | 0.01 ± 0.00 | 0.03 ± 0.00 | 0.07 ± 0.01 | 0.00 | 0.25 ± 0.02 | 0.06 ± 0.01 |
| 99 | 1514 | 1515 | (Z)-γ-Bisabolene RI, MS | 0.00 | 0.00 | 0.00 | 0.00 | 0.00 | 0.00 | 0.00 | 0.00 | 0.21 ± 0.05 | 0.00 | 0.00 |
| 100 | 1517 | 1522 | 7-epi-α-Selinene RI, MS | 0.00 | 0.00 | 0.00 | 0.00 | 0.00 | 0.00 | 0.00 | 0.02 ± 0.01 | 0.00 | 0.00 | 0.06 ± 0.01 |
| 101 | 1518 | 1522 | trans-Calamene RI, MS | 0.07 ± 0.06 | 0.01 ± 0.00 | 0.01 ± 0.00 | 0.01 ± 0.00 | 0.00 | 0.01 ± 0.00 | 0.00 | 0.00 | 0.00 | 0.00 | 0.00 |
| 102 | 1521 | 1523 | δ-Cadinene RI, MS | 1.35 ± 0.01 | 1.71 ± 0.02 | 1.22 ± 0.04 | 1.06 ± 0.04 | 1.32 ± 0.02 | 1.78 ± 0.14 | 1.79 ± 0.09 | 0.23 ± 0.03 | 0.13 ± 0.04 | 0.35 ± 0.01 | 0.17 ± 0.03 |
| 103 | 1527 | 1529 | Zonarene RI, MS | 0.75 ± 0.02 | 0.58 ± 0.04 | 0.33 ± 0.02 | 0.30 ± 0.01 | 0.37 ± 0.02 | 0.54 ± 0.04 | 0.48 ± 0.06 | 0.04 ± 0.01 | 0.04 ± 0.01 | 0.00 | 0.03 ± 0.02 |
| 104 | 1529 | 1531 | (E)-γ-Bisabolene RI, MS | 0.00 | 0.00 | 0.00 | 0.00 | 0.00 | 0.00 | 0.00 | 0.00 | 0.19 ± 0.05 | 0.00 | 0.00 |
| 105 | 1531 | 1534 | trans-Cadina-1,4-diene | 0.22 ± 0.01 | 0.28 ± 0.01 | 0.19 ± 0.01 | 0.14 ± 0.01 | 0.29 ± 0.01 | 0.24 ± 0.01 | 0.27 ± 0.02 | 0.00 | 0.00 | 0.00 | 0.00 |
| 106 | 1535 | 1538 | α-Cadinene RI, MS | 0.00 | 0.00 | 0.00 | 0.00 | 0.00 | 0.00 | 0.00 | 0.06 ± 0.03 | 0.00 | 0.00 | 0.01 ± 0.00 |
| 107 | 1540 | 1545 | α-Calacorene RI, MS | 0.01 ± 0.00 | 0.01 ± 0.00 | 0.02 ± 0.00 | 0.02 ± 0.01 | 0.00 | 0.01 ± 0.00 | 0.04 ± 0.03 | 0.00 | 0.00 | 0.00 | 0.03 ± 0.03 |
| 108 | 1542 | 1546 | Selina-3,7(11)-diene RI, MS | 0.00 | 0.00 | 0.01 ± 0.00 | 0.00 | 0.00 | 0.01 ± 0.00 | 0.00 | 0.16 ± 0.02 | 0.00 | 0.00 | 0.00 |
| 109 | 1548 | 1547 | (E)-α-Bisabolene RI, MS | 0.00 | 0.00 | 0.00 | 0.00 | 0.00 | 0.00 | 0.00 | 0.00 | 0.41 ± 0.11 | 0.00 | 0.00 |
| 110 | 1559 | 1561 | Germacrene B RI, MS | 0.00 | 0.00 | 0.00 | 0.00 | 0.00 | 0.00 | 0.00 | 0.11 ± 0.01 | 0.00 | 0.00 | 0.00 |
| 111 | 1560 | 1563 | (E)-Nerolidol RI, MS, Std | 0.00 | 0.00 | 0.00 | 0.00 | 0.00 | 0.00 | 0.00 | 0.00 | 48.40 ± 1.21 | 6.89 ± 0.44 | 0.00 |
| 112 | 1562 | 1567 | Maaliol RI, MS | 0.06 ± 0.01 | 0.06 ± 0.01 | 0.06 ± 0.01 | 0.13 ± 0.01 | 0.03 ± 0.00 | 0.01 ± 0.01 | 0.01 ± 0.00 | 0.00 | 0.00 | 0.00 | 0.00 |
| 113 | 1563 | 1568 | Palustrol RI, MS | 0.07 ± 0.01 | 0.07 ± 0.01 | 0.09 ± 0.01 | 0.19 ± 0.02 | 0.04 ± 0.00 | 0.02 ± 0.01 | 0.08 ± 0.02 | 0.01 ± 0.00 | 0.00 | 0.00 | 0.09 ± 0.01 |
| 114 | 1572 | 1578 | Spathulenol RI, MS | 0.12 ± 0.02 | 0.07 ± 0.01 | 0.07 ± 0.01 | 0.14 ± 0.01 | 0.05 ± 0.00 | 0.03 ± 0.01 | 0.10 ± 0.05 | 0.01 ± 0.00 | 0.00 | 0.00 | 0.25 ± 0.01 |
| 115 | 1578 | 1583 | Caryophyllene oxide RI, MS, Std | 0.00 | 0.00 | 0.00 | 0.00 | 0.00 | 0.00 | 0.00 | 0.01 ± 0.00 | 0.20 ± 0.05 | 0.00 | 0.00 |
| 116 | 1585 | 1590 | Globulol RI, MS, Std | 0.40 ± 0.02 | 0.43 ± 0.02 | 0.35 ± 0.02 | 0.94 ± 0.04 | 0.25 ± 0.01 | 0.22 ± 0.01 | 0.23 ± 0.02 | 0.38 ± 0.03 | 0.31 ± 0.04 | 0.35 ± 0.01 | 0.59 ± 0.02 |
| 117 | 1586 | 1592 | Viridiflorol RI, MS, Std | 0.19 ± 0.01 | 0.17 ± 0.01 | 0.18 ± 0.01 | 0.41 ± 0.02 | 0.10 ± 0.00 | 0.11 ± 0.01 | 0.16 ± 0.03 | 0.40 ± 0.02 | 0.07 ± 0.01 | 6.23 ± 0.17 | 0.15 ± 0.01 |
| 118 | 1588 | 1595 | Cubeban-11-ol RI, MS | 0.15 ± 0.01 | 0.16 ± 0.01 | 0.13 ± 0.01 | 0.35 ± 0.01 | 0.07 ± 0.01 | 0.08 ± 0.01 | 0.12 ± 0.02 | 0.00 | 0.00 | 0.00 | 0.12 ± 0.01 |
| 119 | 1594 | 1600 | Rosiflorol RI, MS | 0.11 ± 0.01 | 0.12 ± 0.01 | 0.12 ± 0.01 | 0.29 ± 0.01 | 0.06 ± 0.00 | 0.04 ± 0.01 | 0.10 ± 0.02 | 0.00 | 0.00 | 0.00 | 0.10 ± 0.01 |
| 120 | 1597 | 1600 | Guaiol RI, MS | 0.00 | 0.00 | 0.00 | 0.00 | 0.00 | 0.00 | 0.00 | 0.03 ± 0.01 | 0.01 ± 0.00 | 0.09 ± 0.01 | 0.11 ± 0.01 |
| 121 | 1599 | 1602 | Ledol RI, MS | 0.01 ± 0.00 | 0.01 ± 0.00 | 0.01 ± 0.00 | 0.01 ± 0.00 | 0.01 ± 0.00 | 0.03 ± 0.02 | 0.01 ± 0.00 | 0.05 ± 0.01 | 0.01 ± 0.00 | 0.72 ± 0.02 | 0.03 ± 0.00 |
| 122 | 1609 | 1607 | 5-epi-7-epi-α-Eudesmol RI, MS | 0.11 ± 0.01 | 0.13 ± 0.01 | 0.12 ± 0.01 | 0.30 ± 0.02 | 0.04 ± 0.00 | 0.04 ± 0.01 | 0.08 ± 0.02 | 0.00 | 0.00 | 0.00 | 0.14 ± 0.01 |
| 123 | 1611 | 1608 | Humulene epoxide II RI, MS | 0.00 | 0.00 | 0.00 | 0.00 | 0.00 | 0.00 | 0.00 | 0.02 ± 0.01 | 0.02 ± 0.00 | 0.02 ± 0.01 | 0.00 |
| 124 | 1619 | 1619 | 1,10-di-epi-Cubenol RI, MS | 0.20 ± 0.01 | 0.22 ± 0.01 | 0.19 ± 0.01 | 0.40 ± 0.02 | 0.14 ± 0.00 | 0.14 ± 0.01 | 0.22 ± 0.04 | 0.00 | 0.00 | 0.02 ± 0.01 | 0.00 |
| 125 | 1626 | 1623 | 10-epi-γ-Eudesmol RI, MS | 0.00 | 0.00 | 0.00 | 0.00 | 0.00 | 0.00 | 0.00 | 0.02 ± 0.01 | 0.00 | 0.00 | 0.00 |
| 126 | 1630 | 1628 | 1-epi-Cubenol RI, MS | 0.10 ± 0.01 | 0.10 ± 0.01 | 0.10 ± 0.01 | 0.17 ± 0.01 | 0.07 ± 0.00 | 0.06 ± 0.01 | 0.15 ± 0.01 | 0.00 | 0.00 | 0.06 ± 0.03 | 0.01 ± 0.00 |
| 127 | 1632 | 1631 | Muurola-4,10(14)-dien-1β-ol RI, MS | 0.00 | 0.00 | 0.00 | 0.00 | 0.00 | 0.00 | 0.00 | 0.03 ± 0.00 | 0.02 ± 0.00 | 0.00 | 0.00 |
| 128 | 1633 | 1632 | γ-Eudesmol RI, MS | 0.00 | 0.00 | 0.00 | 0.00 | 0.00 | 0.00 | 0.00 | 0.15 ± 0.01 | 0.00 | 0.00 | 0.00 |
| 129 | 1639 | 1640 | T-Cadinol RI, MS | 0.00 | 0.00 | 0.00 | 0.00 | 0.00 | 0.00 | 0.00 | 0.01 ± 0.00 | 0.00 | 0.00 | 0.00 |
| 130 | 1643 | 1646 | α-Muurolol RI, MS | 0.06 ± 0.02 | 0.03 ± 0.01 | 0.03 ± 0.01 | 0.07 ± 0.00 | 0.02 ± 0.00 | 0.01 ± 0.00 | 0.03 ± 0.01 | 0.00 | 0.00 | 0.03 ± 0.00 | 0.02 ± 0.00 |
| 131 | 1645 | 1646 | Cubenol RI, MS | 0.00 | 0.01 ± 0.00 | 0.00 | 0.02 ± 0.01 | 0.00 | 0.00 | 0.02 ± 0.00 | 0.00 | 0.00 | 0.06 ± 0.01 | 0.00 |
| 132 | 1649 | 1650 | β-Eudesmol RI, MS | 0.00 | 0.00 | 0.00 | 0.00 | 0.00 | 0.00 | 0.00 | 0.10 ± 0.01 | 0.00 | 0.00 | 0.00 |
| 133 | 1652 | 1653 | α-Eudesmol RI, MS | 0.00 | 0.00 | 0.00 | 0.00 | 0.00 | 0.00 | 0.00 | 0.18 ± 0.01 | 0.00 | 0.01 ± 0.00 | 0.00 |
| 134 | 1668 | 1671 | Bulnesol RI, MS | 0.00 | 0.00 | 0.00 | 0.00 | 0.00 | 0.00 | 0.00 | 0.01 ± 0.00 | 0.00 | 0.01 ± 0.00 | 0.00 |
| 135 | 1679 | 1684 | epi-α-Bisabolol RI, MS | 0.00 | 0.00 | 0.00 | 0.00 | 0.00 | 0.00 | 0.00 | 0.00 | 0.02 ± 0.00 | 0.00 | 0.00 |
| 136 | 1681 | 1685 | α-Bisabolol RI, MS, Std | 0.00 | 0.00 | 0.00 | 0.00 | 0.00 | 0.00 | 0.00 | 0.00 | 0.03 ± 0.01 | 0.00 | 0.00 |
| 137 | 1710 | 1715 | (E,Z)-Farnesol RI, MS, Std | 0.00 | 0.00 | 0.00 | 0.00 | 0.00 | 0.00 | 0.00 | 0.00 | 0.01 ± 0.01 | 0.00 | 0.00 |
| 138 | 1720 | 1723 | (Z,E)-Farnesol RI, MS, Std | 0.00 | 0.00 | 0.00 | 0.00 | 0.00 | 0.00 | 0.00 | 0.00 | 0.01 ± 0.01 | 0.00 | 0.00 |
| Total | 99.70 ± 0.07 | 99.85 ± 0.04 | 99.65 ± 0.00 | 99.84 ± 0.03 | 99.87 ± 0.01 | 99.97 ± 0.02 | 99.73 ± 0.26 | 99.49 ± 0.37 | 99.72 ± 0.11 | 99.79 ± 0.13 | 99.53 ± 0.05 |
| F1 | F2 | F3 | F4 | F5 | F6 | F7 | |
|---|---|---|---|---|---|---|---|
| Eigenvalue | 14.92 | 8.60 | 4.80 | 3.85 | 1.97 | 1.31 | 1.17 |
| Variability (%) | 39.26 | 22.62 | 12.62 | 10.13 | 5.20 | 3.45 | 3.07 |
| Cumulative (%) | 39.26 | 61.88 | 74.50 | 84.63 | 89.83 | 93.27 | 96.35 |
| Factor Loadings and Contributions (%) | Squared Cosines (cos2) | ||||
|---|---|---|---|---|---|
| # | Compounds | F1 | F2 | F1 | F2 |
| 1 | α−Thujene | 0.138 (0.129) | −0.649 (4.945) | 0.019 | 0.425 |
| 2 | α−Pinene | −0.546 (2.024) | −0.759 (6.695) | 0.302 | 0.575 |
| 5 | Sabinene | 0.563 (2.191) | −0.055 (0.042) | 0.327 | 0.004 |
| 6 | β-Pinene | −0.517 (1.799) | −0.601 (4.208) | 0.268 | 0.362 |
| 7 | Myrcene | −0.341 (0.824) | −0.317 (1.311) | 0.123 | 0.113 |
| 9 | α-Phellandrene | 0.525 (1.832) | −0.237 (0.681) | 0.273 | 0.059 |
| 13 | α-Terpinene | 0.853 (4.851) | 0.033 (0.010) | 0.724 | 0.001 |
| 14 | p-Cymene | 0.621 (2.579) | 0.033 (0.011) | 0.385 | 0.001 |
| 15 | Limonene | −0.157 (0.163) | −0.357 (1.474) | 0.024 | 0.127 |
| 16 | β-Phellandrene | 0.539 (1.963) | 0.052 (0.036) | 0.293 | 0.003 |
| 17 | 1,8-Cineole | −0.685 (3.144) | −0.667 (5.139) | 0.469 | 0.442 |
| 18 | (Z)-β-Ocimene | −0.561 (2.106) | 0.794 (7.323) | 0.314 | 0.629 |
| 19 | (E)-β-Ocimene | −0.527 (1.866) | 0.628 (4.594) | 0.278 | 0.395 |
| 20 | γ-Terpinene | 0.947 (6.044) | 0.013 (0.002) | 0.902 | 0.000 |
| 23 | Terpinolene | 0.943 (5.940) | −0.001 (0.000) | 0.886 | 0.000 |
| 24 | Linalool | −0.502 (1.693) | 0.605 (4.263) | 0.253 | 0.366 |
| 29 | Terpinene-4-ol | 0.948 (6.034) | 0.047 (0.024) | 0.900 | 0.002 |
| 31 | α-Terpineol | 0.074 (0.037) | −0.923 (9.987) | 0.006 | 0.858 |
| 49 | α-Terpinyl acetate | −0.637 (2.725) | −0.708 (5.793) | 0.407 | 0.498 |
| 60 | α-Gurjunene | 0.862 (4.918) | −0.023 (0.008) | 0.734 | 0.001 |
| 63 | β-Caryophyllene | −0.833 (4.665) | −0.247 (0.703) | 0.696 | 0.060 |
| 67 | Aromadendrene | 0.483 (1.556) | 0.015 (0.003) | 0.232 | 0.000 |
| 71 | α-Humulene | −0.586 (2.293) | −0.338 (1.318) | 0.342 | 0.113 |
| 72 | (E)-β-Farnesene | −0.582 (2.268) | 0.753 (6.598) | 0.338 | 0.567 |
| 73 | Alloaromadendrene | 0.373 (0.904) | −0.237 (0.654) | 0.135 | 0.056 |
| 77 | trans-Cadina-1(6),4-diene | 0.911 (5.546) | 0.050 (0.026) | 0.828 | 0.002 |
| 84 | β-Selinene | −0.434 (1.261) | −0.469 (2.534) | 0.188 | 0.218 |
| 88 | Ledene | 0.431 (1.232) | −0.422 (2.043) | 0.184 | 0.176 |
| 89 | α-Selinene | −0.407 (1.106) | −0.369 (1.568) | 0.165 | 0.135 |
| 90 | (Z,E)-α-Farnesene | −0.549 (2.022) | 0.786 (7.179) | 0.302 | 0.617 |
| 91 | Bicyclogermacrene | 0.894 (5.351) | 0.067 (0.053) | 0.798 | 0.005 |
| 96 | (E,E)-α-Farnesene | −0.584 (2.283) | 0.751 (6.563) | 0.341 | 0.564 |
| 102 | δ-Cadinene | 0.917 (5.655) | −0.024 (0.005) | 0.844 | 0.000 |
| 103 | Zonarene | 0.873 (5.105) | 0.073 (0.065) | 0.762 | 0.006 |
| 111 | (E)-Nerolidol | −0.620 (2.580) | 0.707 (5.811) | 0.385 | 0.499 |
| 116 | Globulol | 0.016 (0.001) | 0.005 (0.000) | 0.000 | 0.000 |
| 117 | Viridiflorol | −0.486 (1.593) | −0.602 (4.188) | 0.238 | 0.360 |
| 121 | Ledol | −0.506 (1.718) | −0.599 (4.143) | 0.256 | 0.356 |
| Label | Name | CAS# |
|---|---|---|
| (e) | Phthalamide | 85-41–6 |
| (f) | 9-Hydroxyfluorene | 1689-64-1 |
| (g) | Thioxanthen-9-one | 492-22-8 |
| (h) | 2-(2H-Benzotriazol-2-yl)-4-(1,1,3,3-tetramethylbutyl) phenol | 3147-75-9 |
| Track | Name | CAS# | Track | Name | CAS# |
|---|---|---|---|---|---|
| 1 | Isoeugenol | 97-54-1 | 11 | 1,8-Cineole | 470-82-6 |
| 2 | Isoeugenyl acetate | 93-29-8 | 12 | (S)-(−)-Limonene | 5989-54-8 |
| 3 | (1R)-(+)-α-Pinene | 7785-70-8 | 13 | (−)-Caryophyllene oxide | 1139-30-6 |
| 4 | α-Phellandrene | 99-83-2 | 14 | Nerolidol | 7212-44-4 |
| 5 | Ocimene mix | 13877-91-3 | 15 | (−)-Terpinen-4-ol | 20126-76-5 |
| 6 | (+)-Aromadendrene | 489-39-4 | 16 | (−)-Linalool | 1126-91-0 |
| 7 | Farnesene mix | 502-61-4 | 17 | Viridiflorol | 0552-02-03 |
| 8 | α-Humulene | 6753-98-6 | 18 | (−)-α-Terpineol | 10482-56-1 |
| 9 | β-Caryophyllene | 87-44-5 | 19 | (−)-Globulol | 489-41-8 |
| 10 | α-Terpinyl acetate | 80-26-2 | 20 | Geraniol | 106-24-1 |
Disclaimer/Publisher’s Note: The statements, opinions and data contained in all publications are solely those of the individual author(s) and contributor(s) and not of MDPI and/or the editor(s). MDPI and/or the editor(s) disclaim responsibility for any injury to people or property resulting from any ideas, methods, instructions or products referred to in the content. |
© 2023 by the authors. Licensee MDPI, Basel, Switzerland. This article is an open access article distributed under the terms and conditions of the Creative Commons Attribution (CC BY) license (https://creativecommons.org/licenses/by/4.0/).
Share and Cite
Vázquez, A.; Tabanca, N.; Kendra, P.E. HPTLC Analysis and Chemical Composition of Selected Melaleuca Essential Oils. Molecules 2023, 28, 3925. https://doi.org/10.3390/molecules28093925
Vázquez A, Tabanca N, Kendra PE. HPTLC Analysis and Chemical Composition of Selected Melaleuca Essential Oils. Molecules. 2023; 28(9):3925. https://doi.org/10.3390/molecules28093925
Chicago/Turabian StyleVázquez, Aimé, Nurhayat Tabanca, and Paul E. Kendra. 2023. "HPTLC Analysis and Chemical Composition of Selected Melaleuca Essential Oils" Molecules 28, no. 9: 3925. https://doi.org/10.3390/molecules28093925
APA StyleVázquez, A., Tabanca, N., & Kendra, P. E. (2023). HPTLC Analysis and Chemical Composition of Selected Melaleuca Essential Oils. Molecules, 28(9), 3925. https://doi.org/10.3390/molecules28093925

