Preparation of Molecularly Imprinted Cysteine Modified Zinc Sulfide Quantum Dots Based Sensor for Rapid Detection of Dopamine Hydrochloride
Abstract
1. Introduction
2. Results and Discussion
2.1. Preparation of MIPs@ZnS QDs
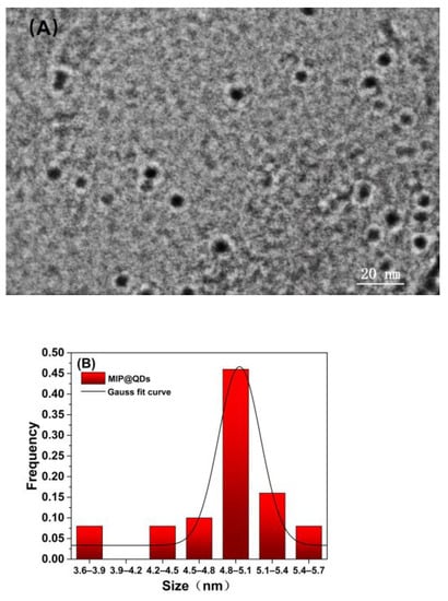
2.2. Characterization
2.3. Effect of the Monomer on MIP@ZnS QDs
2.4. Effect of pH on MIP@ZnS QDs
2.5. Response Time
2.6. Determination of Dopamine Hydrochloride by MIP@ZnS QDs
2.7. Selective Experimental Methods
2.8. Application
2.9. Recyclability and Stability
3. Materials and Methods
3.1. Instruments and Reagents
3.2. Preparation of Cysteine Modified Mn2+: ZnS QDs
3.3. Preparation of MIP@ZnS QDs
3.4. Effect of pH on MIP@ZnS QDs
3.5. Determination of Dopamine Hydrochloride Using MIP@ZnS QDs
3.6. Selective Experiment
3.7. Real Sample Analysis
4. Conclusions
Author Contributions
Funding
Institutional Review Board Statement
Informed Consent Statement
Data Availability Statement
Conflicts of Interest
References
- Tobler, P.N.; Fiorillo, C.D.; Schultz, W. Adaptive Coding of Reward Value by Dopamine Neurons. Science 2005, 307, 1642–1645. [Google Scholar] [CrossRef]
- Zhang, A.; Neumeyer, J.L.; Baldessarini, R.J. Recent progress in development of dopamine receptor subtype-selective agents: Potential therapeutics for neurological and psychiatric disorders. Chem. Rev. 2007, 107, 274–302. [Google Scholar] [CrossRef]
- Jin, G.P.; Peng, X.; Ding, Y.F. The electrochemical modification of clenbuterol for biosensors of dopamine, norepinephrine, adrenalin, ascorbic acid and uric acid at paraffin-impregnated graphite electrode. Biosens. Bioelectron. 2008, 24, 1031–1035. [Google Scholar] [CrossRef]
- Xiao, S.; Sun, L.; Lu, J.; Dong, Z. A label-free aptasensor for rapid detection of clenbuterol based on SYBR Green I. New J. Chem. 2022, 46, 16177–16182. [Google Scholar] [CrossRef]
- Robinson, D.L.; Venton, B.J.; Heien, M.L.A.V.; Wightman, R.M. Detecting Subsecond Dopamine Release with Fast-Scan Cyclic Voltammetry in vivo. Clin. Chem. 2003, 49, 1763–1773. [Google Scholar] [CrossRef] [PubMed]
- Chen, M.; Li, W.; Xiong, H.; Wen, W.; Zhang, X.; Wang, S. Discrimination and ultrasensitive detection of β 2-agonists using copper nanoclusters as a fluorescent probe. Microchim. Acta 2017, 184, 3317–3324. [Google Scholar] [CrossRef]
- Grant, C.E.; Flis, A.L.; Ryan, B.M. Understanding the role of dopamine in cancer: Past, present and future. Carcinogenesis 2022, 43, 517–527. [Google Scholar] [CrossRef] [PubMed]
- Luliński, P.; Bamburowiczklimkowska, M.; Dana, M.; Szutowski, M.; Maciejewska, D. An efficient strategy for the selective determination of dopamine in a human urine by molecularly imprinted solid-phase extraction. J. Sep. Sci. 2016, 39, 895. [Google Scholar] [CrossRef] [PubMed]
- Sajid, M.; Baig, N.; Alhooshani, K. Chemically modified electrodes for electrochemical detection of dopamine: Challenges and opportunities. Trac-Trend Anal. Chem. 2019, 118, 368–385. [Google Scholar] [CrossRef]
- Peitzsch, M.; Prejbisz, A.; Kroiß, M.; Beuschlein, F.; Arlt, W.; Januszewicz, A.; Siegert, G.; Eisenhofer, G. Analysis of plasma 3-methoxytyramine, normetanephrine and metanephrine by ultraperformance liquid chromatography–tandem mass spectrometry: Utility for diagnosis of dopamineproducing metastatic phaeochromocytoma. Ann. Clin. Biochem. 2013, 50, 147–155. [Google Scholar] [CrossRef] [PubMed]
- Syslová, K.; Rambousek, L.; Kuzma, M.; Najmanová, V.; Bubeníková-Valešová, V.; Šlamberová, R.; Kačer, P. Monitoring of dopamine and its metabolites in brain microdialysates: Method combining freeze-drying with liquid chromatography–tandem mass spectrometry. J. Chromatogr. 2011, 1218, 3382–3391. [Google Scholar] [CrossRef]
- Feng, S.; Yan, M.; Xue, Y.; Huang, J.; Yang, X. An electrochemical sensor for sensitive detection of dopamine based on a COF/Pt/MWCNT–COOH nanocomposite. Chem. Commun. 2022, 58, 6092–6095. [Google Scholar] [CrossRef] [PubMed]
- Zhao, X.; Cui, Y.; He, Y.; Wang, S.; Wang, J. Synthesis of Multi-mode Quantum Dots Encoded Molecularly Imprinted Polymers Microspheres and Application in Quantitative Detection for Dopamine. Sens. Actuators B-Chem. 2020, 304, 127265. [Google Scholar] [CrossRef]
- Alivisatos, A.P. Semiconductor Clusters, Nanocrystals, and Quantum Dots. Science 1996, 271, 933–937. [Google Scholar] [CrossRef]
- Arquer, F.P.G.D.; Talapin, D.V.; Klimov, V.I.; Arakawa, Y.; Sargent, E.H. Semiconductor quantum dots: Technological progress and future challenges. Science 2021, 373, 8541. [Google Scholar] [CrossRef] [PubMed]
- Zhang, Q.; Zhang, X.; Ma, F.; Zhang, C. Advances in quantum dot-based biosensors for DNA-modifying enzymes assay. Coordin. Chem. Rev. 2022, 469, 214674. [Google Scholar] [CrossRef]
- Ding, R.; Chen, Y.; Wang, Q.; Wu, Z.; Zhang, X.; Li, B.; Lin, L. Recent advances in quantum dots-based biosensors for antibiotics detection. J. Pharm. Anal. 2022, 12, 355–364. [Google Scholar] [CrossRef]
- Li, P.; Chen, X.; Wu, G.; Wang, Z.; Huang, C. Ascorbic Acid Sensor Based on CdS QDs@PDA Fluorescence Resonance Energy Transfer. Molecules 2022, 27, 2097. [Google Scholar] [CrossRef]
- Zrazhevskiy, P.; Sena, M.; Gao, X. Designing multifunctional quantum dots for bioimaging, detection, and drug delivery. Chem. Soc. Rev. 2010, 39, 4326–4354. [Google Scholar] [CrossRef]
- Preethi, M.; Viswanathan, C.; Ponpandian, N. Fluorescence quenching mechanism of P-doped carbon quantum dots as fluorescent sensor for Cu2+ ions. Colloid Surf. 2022, 653, 129942. [Google Scholar] [CrossRef]
- Haupt, K.; Linares, A.V.; Bompart, M.; Bui, B.T.S. Molecular Imprinting; Springer: New York, NY, USA, 2012; pp. 1–28. [Google Scholar]
- BelBruno, J.J. Molecularly Imprinted Polymers. Chem. Rev. 2019, 119, 94–119. [Google Scholar] [CrossRef] [PubMed]
- Zhao, G.; Zhang, Y.; Sun, D.; Yan, S.; Wen, Y.; Wang, Y.; Li, G.; Liu, H.; Li, J.; Song, Z. Recent Advances in Molecularly Imprinted Polymers for Antibiotic Analysis. Molecules 2023, 28, 335. [Google Scholar] [CrossRef] [PubMed]
- Zhang, X.; Tang, B.; Li, Y.; Liu, C.B.; Jiao, P.F.; Wei, Y.P. Molecularly imprinted magnetic fluorescent nanocomposite-based sensor for selective detection of lysozyme. Nanomaterials 2021, 11, 1575. [Google Scholar] [CrossRef] [PubMed]
- Yang, W.; Ma, Y.; Sun, H.; Huang, C.; Shen, X. Molecularly imprinted polymers based optical fiber sensors: A review. Trac-Trend Anal. Chem. 2022, 152, 116608. [Google Scholar] [CrossRef]
- Dong, C.; Shi, H.; Han, Y.; Yang, Y.; Wang, R.; Men, J. Molecularly imprinted polymers by the surface imprinting technique. Eur. Polym. J. 2021, 145, 110231. [Google Scholar] [CrossRef]
- Carter, S.R.; Rimmer, S. Surface Molecularly Imprinted Polymer Core–Shell Particles. Adv. Funct. Mater. 2004, 14, 553–561. [Google Scholar] [CrossRef]
- Sun, P.; Wang, Y.; Yang, S.; Sun, X.; Peng, B.; Pan, L.; Jia, Y.; Zhang, X.; Nie, C. Molecularly Imprinted Polymer Nanospheres with Hydrophilic Shells for Efficient Molecular Recognition of Heterocyclic Aromatic Amines in Aqueous Solution. Molecules 2023, 28, 2052. [Google Scholar] [CrossRef]
- Zhang, W.; Zhang, Y.; Wang, R.; Zhang, P.; Zhang, Y.; Randell, E.; Zhang, M.; Jia, Q. A review: Development and application of surface molecularly imprinted polymers toward amino acids, peptides, and proteins. Anal. Chim. Acta 2022, 1234, 340319. [Google Scholar] [CrossRef]
- Suryana, S.; Mutakin, M.; Rosandi, Y.; Hasanah, A.N. Molecular Dynamic Study of Mechanism Underlying Nature of Molecular Recognition and the Role of Crosslinker in the Synthesis of Salmeterol-Targeting Molecularly Imprinted Polymer for Analysis of Salmeterol Xinafoate in Biological Fluid. Molecules 2022, 27, 3619. [Google Scholar] [CrossRef]
- Chen, Y.; Zhao, F.; Zeng, B. Fabrication of surface molecularly imprinted electrochemical sensor for the sensitive quantification of chlortetracycline with ionic liquid and MWCNT improving performance. Talanta 2022, 239, 123130. [Google Scholar] [CrossRef]
- Zhang, X.; Yang, S.; Jiang, R.; Sun, L.; Pang, S.; Luo, A. Fluorescent molecularly imprinted membranes as biosensor for the detection of target protein. Sens. Actuators B-Chem. 2018, 254, 1078–1086. [Google Scholar] [CrossRef]
- Chen, X.; Liu, Y.; Li, P.; Xing, Y.; Huang, C. Molecularly Imprinted Silica-Coated CdTe Quantum Dots for Fluorometric Determination of Trace Chloramphenicol. Molecules 2021, 26, 5965. [Google Scholar] [CrossRef] [PubMed]
- Chullasat, K.; Nurerk, P.; Kanatharana, P.; Davis, F.; Bunkoed, O. A facile optosensing protocol based on molecularly imprinted polymer coated on CdTe quantum dots for highly sensitive and selective amoxicillin detection. Sens. Actuators B-Chem. 2018, 254, 255–263. [Google Scholar] [CrossRef]
- Tan, L.; Guo, M.; Tan, J.; Geng, Y.; Huang, S.; Tang, Y.; Su, C.; Lin, C.; Liang, Y. Development of high-luminescence perovskite quantum dots coated with molecularly imprinted polymers for pesticide detection by slowly hydrolysing the organosilicon monomers in situ. Sens. Actuators B-Chem. 2019, 291, 226–234. [Google Scholar] [CrossRef]
- Bai, J.; Chen, L.; Zhu, Y.; Wang, X.; Wu, X.; Fu, Y. A novel luminescence sensor based on porous molecularly imprinted polymer-ZnS quantum dots for selective recognition of paclitaxel. Colloid. Surf. 2021, 610, 125696. [Google Scholar] [CrossRef]
- Zhang, R.R.; Gan, X.T.; Xu, J.J.; Pan, Q.F.; Liu, H.; Sun, A.L.; Shi, X.Z.; Zhang, Z.M. Ultrasensitive electrochemiluminescence sensor based on perovskite quantum dots coated with molecularly imprinted polymer for prometryn determination. Food Chem. 2022, 370, 131353. [Google Scholar] [CrossRef]
- Sapsford, K.E.; Berti, L.; Medintz, I.L. Materials for fluorescence resonanceenergy transfer analysis: Beyond traditional donoracceptor combinations. Angew. Chem. Int. Ed. 2006, 45, 4562–4589. [Google Scholar] [CrossRef]
- Tan, L.; Kang, C.; Xu, S.; Tang, Y.W. Selective room temperature phosphorescence sensing of target protein using Mn-doped ZnS QDs-embedded molecularly imprinted polymer. Biosens. Bioelectron. 2013, 48, 216–223. [Google Scholar] [CrossRef]
- Yang, J.; Lin, Z.Z.; Zhong, H.P.; Chen, X.M.; Huang, Z.Y. Determination of leucomalachite green in fish using a novel MIP-coated QDs probe based on synchronous fluorescence quenching effect. Sens. Actuators B-Chem. 2017, 252, 561–567. [Google Scholar] [CrossRef]
- Chung, J.H.; Ah, C.S.; Jang, D.-J. Formation and distinctive decay times of surface-and lattice-bound Mn2+ impurity luminescence in ZnS nanoparticles. J. Phys. Chem. 2001, 105, 4128–4132. [Google Scholar] [CrossRef]
- Zeng, Y.; Zhou, Y.; Kong, L.; Zhou, T.; Shi, G. A novel composite of SiO2-coated graphene oxide and molecularly imprinted polymers for electrochemical sensing dopamine. Biosens. Bioelectron. 2013, 45, 25–33. [Google Scholar] [CrossRef] [PubMed]
- Abu-Alsoud, G.F.; Hawboldt, K.A.; Bottaro, C.S. Comparison of four adsorption isotherm models for characterizing molecular recognition of individual phenolic compounds in porous tailor-made molecularly imprinted polymer films. ACS Appl. Mater. Interfaces 2020, 12, 11998–12009. [Google Scholar] [CrossRef]
- Zaidi, S.A. Development of molecular imprinted polymers based strategies for the determination of Dopamine. Sens. Actuators B-Chem. 2018, 265, 488–497. [Google Scholar] [CrossRef]
- Weng, S.H.; Liang, D.; Qiu, H.Z.; Liu, Z.G.; Lin, Z.; Zheng, Z.F.; Liu, A.L.; Chen, W.; Lin, X.H. A unique turn-off fluorescent strategy for sensing dopamine based on formed polydopamine (pDA) using graphene quantum dots (GQDs) as fluorescentprobe. Sens. Actuators B-Chem. 2015, 221, 7–14. [Google Scholar] [CrossRef]
- Yuan, Q.; Liu, Y.; Ye, C.; Sun, H.; Dai, D.; Wei, Q.; Lai, G.; Wu, T.; Yu, A.; Fu, L. Highly Stable and Regenerative Graphene–Diamond Hybrid Electrochemical, Biosensor for Fouling Target Dopamine Detection. Biosens Bioelectron. 2018, 111, 117–123. [Google Scholar] [CrossRef] [PubMed]
- Mu, Q.; Xu, H.; Li, Y.; Ma, S.; Zhong, X. Adenosine capped QDs based fluorescent sensor for detection of dopamine with high selectivity and sensitivity. Analyst 2014, 139, 93. [Google Scholar] [CrossRef]
- Diaz-Diestra, D.; Thapa, B.; Beltran-Huarac, J.; Weiner, B.R.; Morell, G. L-cysteine capped ZnS:Mn quantum dots for room-temperature detection of dopamine with high sensitivity and selectivity. Biosens. Bioelectron. 2017, 87, 693–700. [Google Scholar] [CrossRef]
- Carrillo-Carrión, C.; Cárdenas, S.; Simonet, B.M.; Valcárcel, M. Selective Quantification of Carnitine Enantiomers Using Chiral Cysteine-Capped CdSe(ZnS) Quantum Dots. Anal. Chem. 2009, 81, 4730–4733. [Google Scholar] [CrossRef]
- Wang, H.F.; He, Y.; Ji, T.R.; Yan, X.P. Surface molecular imprinting on Mn-doped ZnS quantum dots for room-temperature phosphorescence optosensing of pentachlorophenol in water. Anal. Chem. 2009, 81, 1615–1621. [Google Scholar] [CrossRef] [PubMed]
- Zhang, X.; Yang, S.; Sun, L.; Luo, A. Surface-imprinted polymer coating L-cysteine-capped ZnS quantum dots for target protein specific recognition. J. Mater. Sci. 2016, 51, 6075–6085. [Google Scholar] [CrossRef]










| Detection Technique | Linearity Range (μM) | LOD (nM) | Recoveries (%) | References |
|---|---|---|---|---|
| COF/Pt/MWCNT-COOH | 2.0–500 | 670 | 91.7–110.9 | [12] |
| SPE-HPLC | 1.0–15.0 | 170 | 98.3–101.1 | [8] |
| GQDs | 0–60.0 | 8.0 | 92.6–106.8 | [45] |
| Graphene | 5.0–2000 | 200 | / | [46] |
| Adenosine capped QDs | 0.1–20.0 | 29.3 | 94.8–103.4% | [47] |
| l-cysteine-ZnS: Mn QDs | 0.15–3.0 | 7.80 | 80–93% | [48] |
| MIP-QDs | 0.026–1.58 | 10.50 | 71.74–108.63 | [13] |
| MIP@ZnS QDs | 0.01–1.0 | 3.60 | 95.2–103.8 | This work |
| Samples | Added (μM) | Detection of DA-HCl | Recovery (%) | RSD (%, n = 3) |
|---|---|---|---|---|
| bovine urine | 0.1 | 0.0952 | 95.2 | 4.23 |
| 0.5 | 0.4930 | 98.6 | 5.18 | |
| sheep urine | 0.1 | 0.1035 | 103.5 | 3.75 |
| 0.5 | 0.5191 | 103.8 | 5.73 | |
| human urine | 0.1 | 0.1022 | 102.2 | 3.86 |
| 0.5 | 0.4921 | 98.4 | 4.84 |
Disclaimer/Publisher’s Note: The statements, opinions and data contained in all publications are solely those of the individual author(s) and contributor(s) and not of MDPI and/or the editor(s). MDPI and/or the editor(s) disclaim responsibility for any injury to people or property resulting from any ideas, methods, instructions or products referred to in the content. |
© 2023 by the authors. Licensee MDPI, Basel, Switzerland. This article is an open access article distributed under the terms and conditions of the Creative Commons Attribution (CC BY) license (https://creativecommons.org/licenses/by/4.0/).
Share and Cite
Zhang, X.; Wang, M.; Zhang, Y.; Zhao, P.; Cai, J.; Yao, Y.; Liang, J. Preparation of Molecularly Imprinted Cysteine Modified Zinc Sulfide Quantum Dots Based Sensor for Rapid Detection of Dopamine Hydrochloride. Molecules 2023, 28, 3646. https://doi.org/10.3390/molecules28093646
Zhang X, Wang M, Zhang Y, Zhao P, Cai J, Yao Y, Liang J. Preparation of Molecularly Imprinted Cysteine Modified Zinc Sulfide Quantum Dots Based Sensor for Rapid Detection of Dopamine Hydrochloride. Molecules. 2023; 28(9):3646. https://doi.org/10.3390/molecules28093646
Chicago/Turabian StyleZhang, Xin, Meng Wang, Yating Zhang, Pan Zhao, Jiamei Cai, Yunjian Yao, and Jiarong Liang. 2023. "Preparation of Molecularly Imprinted Cysteine Modified Zinc Sulfide Quantum Dots Based Sensor for Rapid Detection of Dopamine Hydrochloride" Molecules 28, no. 9: 3646. https://doi.org/10.3390/molecules28093646
APA StyleZhang, X., Wang, M., Zhang, Y., Zhao, P., Cai, J., Yao, Y., & Liang, J. (2023). Preparation of Molecularly Imprinted Cysteine Modified Zinc Sulfide Quantum Dots Based Sensor for Rapid Detection of Dopamine Hydrochloride. Molecules, 28(9), 3646. https://doi.org/10.3390/molecules28093646
