Lipopolysaccharide Activated NF-kB Signaling by Regulating HTRA1 Expression in Human Retinal Pigment Epithelial Cells
Abstract
1. Introduction
2. Results
2.1. LPS Induces HTRA1 Expression in ARPE-19 Cells
2.2. Effects of LPS on Activation of NF-κB Pathway
2.3. HTRA1 Regulates Expression of NF-κB in ARPE-19 Cells
2.4. Elevated HTRA1 Level Inhibits Proliferation of ARPE-19 Cells
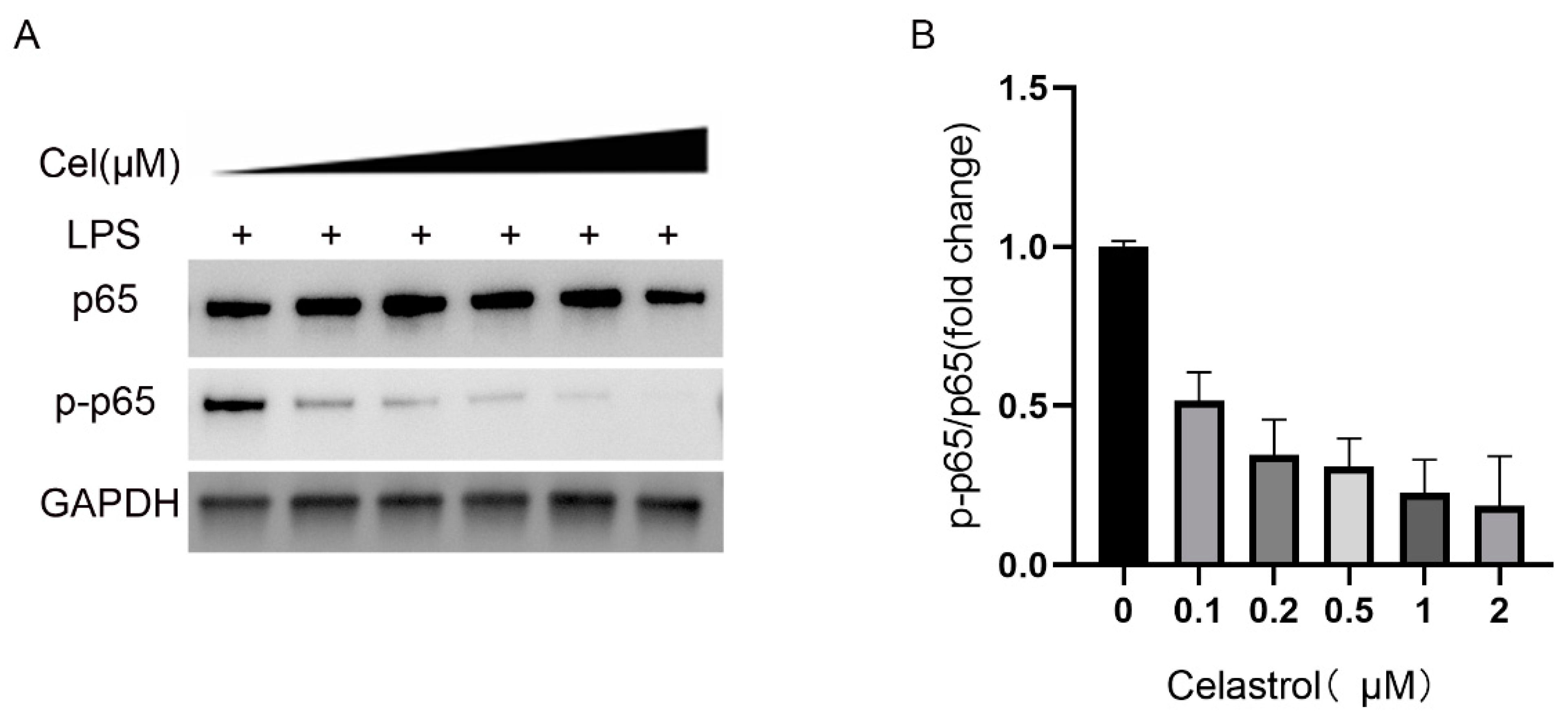
2.5. Celastrol Can Inhibit Inflammation by Inhibiting p-p65
3. Discussion
4. Materials and Methods
4.1. Cell and Culture
4.2. LPS Stimulation and Celastrol Treatment
4.3. Overexpression of HTRA1 or Knockdown of HTRA1 and NF-κB
4.4. Protein Extraction and Western Blot Analysis
4.5. Quantitative RT-PCR Analysis
4.6. EdU Labeling of ARPE-19 and Immunofluorescence Staining
4.7. Statistical Analysis
Author Contributions
Funding
Institutional Review Board Statement
Informed Consent Statement
Data Availability Statement
Conflicts of Interest
References
- Jonas, J.B.; Cheung, C.M.G.; Panda-Jonas, S. Updates on the Epidemiology of Age-Related Macular Degeneration. Asia-Pac. J. Ophthalmol. 2017, 6, 493–497. [Google Scholar] [CrossRef]
- Yang, Z.; Camp, N.J.; Sun, H.; Tong, Z.; Gibbs, D.; Cameron, D.J.; Chen, H.; Zhao, Y.; Pearson, E.; Li, X.; et al. A variant of the HTRA1 gene increases susceptibility to age-related macular degeneration. Science 2006, 314, 992–993. [Google Scholar] [CrossRef] [PubMed]
- Deng, Y.; Qiao, L.; Du, M.; Qu, C.; Wan, L.; Li, J.; Huang, L. Age-related macular degeneration: Epidemiology, genetics, pathophysiology, diagnosis, and targeted therapy. Genes Dis. 2022, 9, 62–79. [Google Scholar] [CrossRef] [PubMed]
- He, F.; Li, X.; Cai, S.; Lu, L.; Zhang, T.; Yang, M.; Fan, N.; Wang, X.; Liu, X. Polymorphism rs11200638 enhanced HtrA1 responsiveness and expression are associated with age-related macular degeneration. Eye 2021, 36, 1631–1638. [Google Scholar] [CrossRef]
- Zhou, J.; Chen, F.; Yan, A.; Xia, X. Overexpression of HTRA1 increases the proliferation and migration of retinal pigment epithelium cells. Adv. Clin. Exp. Med. 2021, 30, 859–864. [Google Scholar] [CrossRef]
- Nakayama, M.; Iejima, D.; Akahori, M.; Kamei, J.; Goto, A.; Iwata, T. Overexpression of HtrA1 and exposure to mainstream cigarette smoke leads to choroidal neovascularization and subretinal deposits in aged mice. Investig. Ophthalmol. Vis. Sci. 2014, 55, 6514–6523. [Google Scholar] [CrossRef]
- Tuo, J.; Ross, R.J.; Reed, G.F.; Yan, Q.; Wang, J.J.; Bojanowski, C.M.; Chew, E.Y.; Feng, X.; Olsen, T.W.; Ferris, F.L., 3rd; et al. The HtrA1 promoter polymorphism, smoking, and age-related macular degeneration in multiple case-control samples. Ophthalmology 2008, 115, 1891–1898. [Google Scholar] [CrossRef]
- Pei, X.; Ma, K.; Xu, J.; Wang, N.; Liu, N. Inhibition of cell proliferation and migration after HTRA1 knockdown in retinal pigment epithelial cells. Graefe’s Arch. Clin. Exp. Ophthalmol. 2015, 253, 565–572. [Google Scholar] [CrossRef] [PubMed]
- Danenberg, H.D.; Welt, F.G.; Walker, M., 3rd; Seifert, P.; Toegel, G.S.; Edelman, E.R. Systemic inflammation induced by lipopolysaccharide increases neointimal formation after balloon and stent injury in rabbits. Circulation 2002, 105, 2917–2922. [Google Scholar] [CrossRef]
- Knuefermann, P.; Nemoto, S.; Misra, A.; Nozaki, N.; Defreitas, G.; Goyert, S.M.; Carabello, B.A.; Mann, D.L.; Vallejo, J.G. CD14-deficient mice are protected against lipopolysaccharide-induced cardiac inflammation and left ventricular dysfunction. Circulation 2002, 106, 2608–2615. [Google Scholar] [CrossRef] [PubMed]
- Hou, Y.; Lin, H.; Zhu, L.; Liu, Z.; Hu, F.; Shi, J.; Yang, T.; Shi, X.; Zhu, M.; Godley, B.F.; et al. Lipopolysaccharide increases the incidence of collagen-induced arthritis in mice through induction of protease HTRA-1 expression. Arthritis Rheum. 2013, 65, 2835–2846. [Google Scholar] [CrossRef] [PubMed]
- Tan, W.; Zou, J.; Yoshida, S.; Jiang, B.; Zhou, Y. The Role of Inflammation in Age-Related Macular Degeneration. Int. J. Biol. Sci. 2020, 16, 2989–3001. [Google Scholar] [CrossRef] [PubMed]
- Baldwin, A.S., Jr. The NF-κB and IκB proteins: New discoveries and insights. Annu. Rev. Immunol. 1996, 14, 649–681. [Google Scholar] [CrossRef] [PubMed]
- Guha, M.; Mackman, N. LPS induction of gene expression in human monocytes. Cell. Signal. 2001, 13, 85–94. [Google Scholar] [CrossRef]
- An, L.; Li, Z.; Shi, L.; Wang, L.; Wang, Y.; Jin, L.; Shuai, X.; Li, J. Inflammation-Targeted Celastrol Nanodrug Attenuates Collagen-Induced Arthritis through NF-κB and Notch1 Pathways. Nano Lett. 2020, 20, 7728–7736. [Google Scholar] [CrossRef]
- Venkatesha, S.H.; Moudgil, K.D. Celastrol and Its Role in Controlling Chronic Diseases. Adv. Exp. Med. Biol. 2016, 928, 267–289. [Google Scholar] [CrossRef]
- Chen, S.R.; Dai, Y.; Zhao, J.; Lin, L.; Wang, Y.; Wang, Y. A Mechanistic Overview of Triptolide and Celastrol, Natural Products from Tripterygium wilfordii Hook F. Front. Pharmacol. 2018, 9, 104. [Google Scholar] [CrossRef]
- Datta, S.; Cano, M.; Ebrahimi, K.; Wang, L.; Handa, J.T. The impact of oxidative stress and inflammation on RPE degeneration in non-neovascular AMD. Prog. Retin. Eye Res. 2017, 60, 201–218. [Google Scholar] [CrossRef]
- Lv, J.; Zeng, J.; Zhao, W.; Cheng, Y.; Zhang, L.; Cai, S.; Hu, G.; Chen, Y. Cdc42 regulates LPS-induced proliferation of primary pulmonary microvascular endothelial cells via ERK pathway. Microvasc. Res. 2017, 109, 45–53. [Google Scholar] [CrossRef]
- Chang, C.C.; Sia, K.C.; Chang, J.F.; Lin, C.M.; Yang, C.M.; Huang, K.Y.; Lin, W.N. Lipopolysaccharide promoted proliferation and adipogenesis of preadipocytes through JAK/STAT and AMPK-regulated cPLA2 expression. Int. J. Med. Sci. 2019, 16, 167–179. [Google Scholar] [CrossRef]
- Petersen, C.; Fröysa, B.; Söder, O. Endotoxin and proinflammatory cytokines modulate Sertoli cell proliferation in vitro. J. Reprod. Immunol. 2004, 61, 13–30. [Google Scholar] [CrossRef] [PubMed]
- Zhang, M.; Yu, H.; Wang, W.; Wang, F.; Mao, D. Effects of LPS on the accumulation of lipid droplets, proliferation, and steroidogenesis in goat luteinized granulosa cells. J. Biochem. Mol. Toxicol. 2019, 33, e22329. [Google Scholar] [CrossRef] [PubMed]
- Hanus, J.; Anderson, C.; Wang, S. RPE necroptosis in response to oxidative stress and in AMD. Ageing Res. Rev. 2015, 24, 286–298. [Google Scholar] [CrossRef] [PubMed]






| Primer Name | Squence (5′-3′) | |
|---|---|---|
| HTRA1 | reverse forward | GTCACTCACGTCCAGCAAAG TTCGACCACCAGAGTTCCTT |
| NF-κB | reverse forward | AGGATTTCGTTTCCGTTATGT CTTGTTCTTCAGAATGGGAGTCC |
| GAPDH | reverse forward | CTGACTTCAACAGCGACACC GTTGCTTAAACCGATGTCGT |
Disclaimer/Publisher’s Note: The statements, opinions and data contained in all publications are solely those of the individual author(s) and contributor(s) and not of MDPI and/or the editor(s). MDPI and/or the editor(s) disclaim responsibility for any injury to people or property resulting from any ideas, methods, instructions or products referred to in the content. |
© 2023 by the authors. Licensee MDPI, Basel, Switzerland. This article is an open access article distributed under the terms and conditions of the Creative Commons Attribution (CC BY) license (https://creativecommons.org/licenses/by/4.0/).
Share and Cite
Pan, S.; Liu, M.; Xu, H.; Chuan, J.; Yang, Z. Lipopolysaccharide Activated NF-kB Signaling by Regulating HTRA1 Expression in Human Retinal Pigment Epithelial Cells. Molecules 2023, 28, 2236. https://doi.org/10.3390/molecules28052236
Pan S, Liu M, Xu H, Chuan J, Yang Z. Lipopolysaccharide Activated NF-kB Signaling by Regulating HTRA1 Expression in Human Retinal Pigment Epithelial Cells. Molecules. 2023; 28(5):2236. https://doi.org/10.3390/molecules28052236
Chicago/Turabian StylePan, Shengliu, Min Liu, Huijuan Xu, Junlan Chuan, and Zhenglin Yang. 2023. "Lipopolysaccharide Activated NF-kB Signaling by Regulating HTRA1 Expression in Human Retinal Pigment Epithelial Cells" Molecules 28, no. 5: 2236. https://doi.org/10.3390/molecules28052236
APA StylePan, S., Liu, M., Xu, H., Chuan, J., & Yang, Z. (2023). Lipopolysaccharide Activated NF-kB Signaling by Regulating HTRA1 Expression in Human Retinal Pigment Epithelial Cells. Molecules, 28(5), 2236. https://doi.org/10.3390/molecules28052236

