Antibacterial Properties of Polyurethane Foams Additivated with Terpenes from a Bio-Based Polyol
Abstract
1. Introduction
2. Results and Discussion
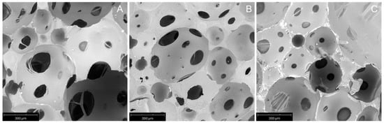
2.1. Preparation and Characterization of Bio-Polyurethane Foams
2.2. Evaluation of Bactericidal Activity against Planktonic and Sessile Bacteria
2.3. Evaluation of Foam Component Leaking by NMR
3. Materials and Methods
3.1. General Considerations
3.2. Foam Formulation
3.3. Characterization Techniques
3.4. Antibacterial Activity of PU Foams: Viability Tests
3.4.1. Planktonic Bacteria Cell Count
3.4.2. Biofilm Viable Cell Counts
3.5. 1D 1H NMR Characterization of Foam Leaking
4. Summary and Conclusions
Author Contributions
Funding
Institutional Review Board Statement
Informed Consent Statement
Data Availability Statement
Acknowledgments
Conflicts of Interest
References
- Kamaci, M. Polyurethane-based hydrogels for controlled drug delivery applications. Eur. Polym. J. 2020, 123, 109444. [Google Scholar] [CrossRef]
- Oh, C.; Choi, E.H.; Choi, E.J.; Premkumar, T.; Song, C. Facile Solid-State Mechanochemical Synthesis of Eco-Friendly Thermoplastic Polyurethanes and Copolymers Using a Biomass-Derived Furan Diol. ACS Sustain. Chem. Eng. 2020, 8, 4400–4406. [Google Scholar] [CrossRef]
- Shen, Y.; He, J.; Xie, Z.; Zhou, X.; Fang, C.; Zhang, C. Synthesis and characterization of vegetable oil based polyurethanes with tunable thermomechanical performance. Ind. Crops Prod. 2019, 140, 111711. [Google Scholar] [CrossRef]
- Beverte, I.; Shtrauss, V.; Kalpinsh, A.; Lomanovskis, U.; Cabulis, U.; Sevastyanova, I.; Gaidukovs, S. Dielectric permittivity of rigid rapeseed oil polyol polyurethane biofoams and petrochemical foams at low frequencies. J. Renew. Mater. 2020, 8, 1151–1170. [Google Scholar] [CrossRef]
- Rane, A.V.; Kanny, K.; Abitha, V.K.; Jadhav, S.; Mulge, S.; Thomas, S. Applications of polyurethane based composites and nanocomposites. Polyurethane Polym. 2017, 97, 559–573. [Google Scholar]
- Zhang, Y.; Zhang, W.; Deng, H.; Zhang, W.; Kang, J.; Zhang, C. Enhanced Mechanical Properties and Functional Performances of Cationic Waterborne Polyurethanes Enabled by Different Natural Phenolic Acids. ACS Sustain. Chem. Eng. 2020, 8, 17447–17457. [Google Scholar] [CrossRef]
- Lee, S.; Choi, C.H.; Hong, I.-K.; Lee, J.W. Polyurethane curing kinetics for polymer bonded explosives: HTPB/IPDI binder. Korean J. Chem. Eng. 2015, 32, 1701–1706. [Google Scholar] [CrossRef]
- Mohanty, A.K.; Misra, M.; Drzal, L.T.; Selke, S.E.; Harte, B.R.; Hinrichsen, G. Natural Fibers, Biopolymers, and Biocomposites: An Introduction. In Natural Fibers, Biopolymers, and Biocomposites; Mohanty, K., Misra, M., Drzal, L.T., Eds.; CRC Press: Boca Raton, FL, USA, 2005; pp. 1–36. [Google Scholar]
- Van Beilen, J.; Poirier, Y. Prospects for bio-polymer production in plants. In Green Gene Technology; Springer: Berlin/Heidelberg, Germany, 2007; pp. 133–151. [Google Scholar]
- Ragauskas, A.J.; Williams, C.K.; Davison, B.H.; Britovsek, G.; Cairney, J.; Eckert, C.A.; Frederick, W.J., Jr.; Hallett, J.P.; Leak, D.J.; Liotta, C.L.; et al. The path forward for biofuels and biomaterials. Science 2006, 311, 484–489. [Google Scholar] [CrossRef]
- Kristufek, S.L.; Wacker, K.T.; Tsao, Y.-Y.T.; Su, L.; Wooley, K.L. Monomer design strategies to create natural product-based polymer materials. Nat. Prod. Rep. 2017, 34, 433–459. [Google Scholar] [CrossRef]
- Beller, H.R.; Lee, T.S.; Katz, L. Natural products as biofuels and bio-based chemicals: Fatty acids and isoprenoids. Nat. Prod. Rep. 2015, 32, 1508–1526. [Google Scholar] [CrossRef]
- Patil, C.K.; Rajput, S.D.; Marathe, R.J.; Kulkarni, R.D.; Phadnis, H.; Sohn, D.; Mahulikar, P.P.; Gite, V.V. Synthesis of bio-based polyurethane coatings from vegetable oil and dicarboxylic acids. Prog. Org. Coat. 2017, 106, 87–95. [Google Scholar] [CrossRef]
- Petrovic, Z.S. Polyurethanes from vegetable oils. Polym. Rev. 2008, 48, 109–155. [Google Scholar] [CrossRef]
- Guo, A.; Cho, Y.J.; Petrovic, Z.S. Structure and properties of halogenated and non halogenated soy-based polyols. J. Polym. Sci. A Polym. Chem. 2000, 38, 3900–3910. [Google Scholar] [CrossRef]
- Petrovic, Z.S.; Guo, A.; Zhang, W. Structure and properties of polyurethanes based on halogenated and nonhalogenated soy-polyols. J. Polym. Sci. A Polym. Chem. 2000, 38, 4062–4069. [Google Scholar] [CrossRef]
- Wang, C.S.; Yang, L.T.; Ni, B.L.; Shi, G. Polyurethane networks from different soy-based polyols by the ring opening of epoxidized soybean oil with methanol, glycol, and 1,2-propanediol. J. Appl. Polym. Sci. 2009, 114, 125–131. [Google Scholar] [CrossRef]
- Cifarelli, A.; Boggioni, L.; Vignali, A.; Tritto, I.; Bertini, F.; Losio, S. Flexible Polyurethane Foams from Epoxidized Vegetable Oils and a Bio-Based Diisocyanate polymers. Polymers 2021, 13, 612. [Google Scholar] [CrossRef] [PubMed]
- Sienkiewicz, N.; Członka, S. Natural Additives Improving Polyurethane Antimicrobial Activity. Polymers 2022, 14, 2533. [Google Scholar] [CrossRef]
- Członka, S.; Strakowska, A.; Strzelec, K.; Kairyte, A.; Kremensas, A. Bio-Based Polyurethane Composite Foams with Improved Mechanical, Thermal, and Antibacterial Properties. Materials 2020, 13, 1108. [Google Scholar] [CrossRef] [PubMed]
- Członka, S.; Strakowska, A.; Kairyte, A.; Kremensas, A. Nutmeg filler as a natural compound for the production of polyurethanecomposite foams with antibacterial and anti-aging properties. Polym. Test. 2020, 86, 106479. [Google Scholar] [CrossRef]
- Liszkowska, J.; Moraczewski, K.; Borowicz, M.; Paciorek-Sadowska, J.; Czuprynski, B.; Isbrandt, M. The Effect of Accelerated Aging Conditions on the Properties of Rigid Polyurethane-Polyisocyanurate Foams Modified by Cinnamon Extract. Appl. Sci. 2019, 9, 2663. [Google Scholar] [CrossRef]
- Sienkiewicz, N.; Członka, S.; Kairyte, A.; Vaitkus, S. Curcumin as a natural compound in the synthesis of rigid polyurethane foams with enhanced mechanical, antibacterial and anti-ageing properties. Polym. Test. 2019, 79, 106046. [Google Scholar] [CrossRef]
- Canbay-Gokce, E.; Akgul, Y.; Gokce, A.Y.; Tasdelen-Yucedag, C.; Kilic, A.; Hassanin, A. Characterization of solution blownthermoplastic polyurethane nanofibers modified with Szygium aromaticum extract. J. Text. Inst. 2019, 111, 10–15. [Google Scholar] [CrossRef]
- Kara, F.; Aksoy, E.A.; Calamak, S.; Hasirci, N.; Aksoy, S. Immobilization of heparin on chitosan-grafted polyurethane films toenhance anti-adhesive and antibacterial properties. J. Bioact. Compat. Polym. 2015, 31, 72–90. [Google Scholar] [CrossRef]
- Gershenzon, J.; Dudareva, N. The function of terpene natural products in the natural world. Nat. Chem. Biol. 2007, 3, 408–414. [Google Scholar] [CrossRef]
- Belgacem, M.N.; Gandini, A. Monomers, Polymers and Composites from Renewable Resources; Elsevier: Amsterdam, The Netherlands, 2008. [Google Scholar]
- IUPAC Compendium of Chemical Terminology-Gold Book: Version 2.3.3. Available online: https://goldbook.iupac.org/src/src_PAC1995671307.html (accessed on 24 February 2014).
- Guimarães, A.C.; Meireles, L.M.; Fumiere Lemos, M.; Cunegundes Guimarães, M.C.; Coutinho Endringer, D.; Fronza, M.; Scherer, R. Antibacterial Activity of Terpenes and Terpenoids Present in Essential Oils. Molecules 2019, 24, 2471. [Google Scholar] [CrossRef] [PubMed]
- Nazzaro, F.; Fratianni, F.; De Martino, L.; Coppola, R.; De Feo, V. Effect of essential oils on pathogenic bacteria. Pharmaceuticals 2013, 6, 1451–1474. [Google Scholar] [CrossRef] [PubMed]
- Iseppi, R.; Brighenti, V.; Licata, M.; Lambertini, A.; Sabia, C.; Messi, P.; Pellati, F.; Benvenuti, S. Chemical characterization and evaluation of the antibacterial activity of essential oils from fibre-type Cannabis sativa L. (Hemp). Molecules 2019, 24, 2302. [Google Scholar] [CrossRef]
- Dahham, S.S.; Tabana, Y.M.; Iqbal, M.A.; Ahamed, M.B.; Ezzat, M.O.; Majid, A.S.; Majid, A.M. The anticancer, antioxidant and antimicrobial properties of the sesquiterpene beta-caryophyllene from the essential oil of Aquilaria crassna. Molecules 2015, 20, 11808–11829. [Google Scholar] [CrossRef]
- Soković, M.; Tzakou, O.; Pitarokili, D.; Couladis, M. Antifungal activities of selected aromatic plants growing wild in Greece. Nahrung 2002, 46, 317–320. [Google Scholar] [CrossRef] [PubMed]
- Couladis, M.; Tzakou, O.; Kujundzić, S.; Soković, M.; Mimica-Dukić, N. Chemical analysis and antifungal activity of Thymus striatus. Phytother. Res. 2004, 18, 40–42. [Google Scholar] [CrossRef]
- Soković, M.; Grubišić, D.; Ristić, M. Chemical composition and antifungal activity of the essential oils from leaves, calyx and corolla of Salvia brachyodon Vandas. J. Ess. Oil Res. 2005, 17, 227–229. [Google Scholar] [CrossRef]
- Soković, M.; van Griensven, L.J.L.D. Antimicrobial activity of essential oils and their components against the three major pathogens of the cultivated button mushroom, Agaricus bisporus. Eur. J. Plant Path. 2006, 116, 211–224. [Google Scholar] [CrossRef]
- Liu, S.; Zhou, L.; Yu, S.; Xie, C.; Liu, F.; Song, Z. Polymerization of α-pinene using Lewis acidic ionic liquid as catalyst for production of terpene resin. Biomass Bioenergy 2013, 57, 238–242. [Google Scholar] [CrossRef]
- Scheelje, F.C.M.; Destaso, F.C.; Cramail, H.; Meier, M.A.R. Nitrogen-Containing Polymers Derived from Terpenes: Possibilities and Limitations. Macromol. Chem. Phys. 2023, 224, 2200403. [Google Scholar] [CrossRef]
- Qian, Y.; Dong, F.; Guo, L.; Xu, X.; Liu, H. Two-component waterborne polyurethane modified with terpene derivative-based polysiloxane for coatings via a thiol-ene click reaction. Ind. Crops Prod. 2021, 171, 113903. [Google Scholar] [CrossRef]
- Song, W.; Zhang, M.; Huang, X.; Chen, B.; Ding, Y.; Zhang, Y.; Yu, D.G.; Kim, I. Smart L-borneol-loaded hierarchical hollow polymer nanospheres with antipollution and antibacterial capabilities. Mater. Today Chem. 2022, 26, 101252. [Google Scholar]
- Soković, M.; Glamočlija, J.; Marin, P.; Brkić, D.; Griensven, L.J.L.D. Antibacterial effects of the essential oils of commonly consumed medicinal herbs using an in vitro model. Molecules 2010, 15, 7532–7546. [Google Scholar] [CrossRef] [PubMed]
- Rostami, H.; Kazemi, M.; Shafiei, S. Antibacterial activity of Lavandula officinalis and Melissa officinalis against some human pathogenic bacteria. Asian J. Bio-Chem. 2012, 7, 133–142. [Google Scholar] [CrossRef]
- Leite-Sampaio, N.; Gondim, C.; Martins, R.; Siyadatpanah, A.; Norouzi, R.; Kim, B.; Sobral-Souza, C.; Gondim, G.; Ribeiro-Filho, J.; Coutinho, H. Potentiation of the Activity of Antibiotics against ATCC and MDR Bacterial Strains with (+)-α-Pinene and (-)-Borneol. BioMed Res. Int. 2022, 2022, 8217380. [Google Scholar] [CrossRef] [PubMed]
- Li, L.; Shi, C.; Yin, Z.; Jia, R.; Peng, L.; Kang, S.; Li, Z. Antibacterial activity of α-terpineol may induce morphostructural alterations in Escherichia coli. Braz. J. Microbiol. 2014, 45, 1409–1413. [Google Scholar] [CrossRef]
- Bhattamisra, S.K.; Kuean, C.H.; Chieh, L.B.; Yan, V.L.Y.; Lee, C.K.; Hooi, L.P.; Shyan, L.P.; Liew, Y.K.; Candasamy, M.; Sahu, P.S. Antibacterial Activity of Geraniol in Combination with Standard Antibiotics against Staphylococcus aureus, Escherichia coli and Helicobacter pylori. Nat. Prod. Commun. 2018, 13, 791–793. [Google Scholar] [CrossRef]
- Tomaselli, S.; Pasini, M.; Kozma, E.; Giovanella, U.; Scavia, G.; Pagano, K.; Molinari, H.; Iannace, S.; Ragona, L. Bacteria as sensors: Real-time NMR analysis of extracellular metabolites detects sub-lethal amounts of bactericidal molecules released from functionalized materials. Biochim. Biophys. Acta 2023, 1867, 130253. [Google Scholar] [CrossRef] [PubMed]
- Dann, A.B.; Hontela, A. Triclosan: Environmental exposure, toxicity and mechanisms of action. J. Appl. Toxicol. 2011, 31, 285–311. [Google Scholar] [CrossRef] [PubMed]
- Alfhili, M.A.; Lee, M.H. Triclosan: An Update on Biochemical and Molecular Mechanisms. Oxid. Med. Cell. Longev. 2019, 2019, 1607304. [Google Scholar] [CrossRef]
- Pacheco, M.F.M.; Bianchi, O.; Fiorio, F.; Zattera, A.J.; Zeni, M.; Giovanela, M.; Crespo, J.S. Thermal, Chemical, and Morphological Characterization of Microcellular Polyurethane Elastomers. J. Elastom. Plast. 2009, 41, 323–338. [Google Scholar] [CrossRef]
- Bruenke, J.; Roschke, I.; Agarwal, S.; Riemann, T.; Greiner, A. Quantitative Comparison of the Antimicrobial Efficiency of Leaching versus Nonleaching Polymer Materials. Macromol. Biosci. 2016, 16, 647–654. [Google Scholar] [CrossRef] [PubMed]
- Xu, L.-C.; Siedlecki, C.A. Antibacterial polyurethanes. In Advances in Polyurethane Biomaterials; Cooper, S.L., Guan, J., Eds.; Woodhead Publishing: Cambridge, UK, 2016; pp. 247–284. ISBN 9780081006146. [Google Scholar]
- Mahizan, N.A.; Yang, S.-K.; Moo, C.-L.; Song, A.A.-L.; Chong, C.-M.; Chong, C.-W.; Abushelaibi, A.; Lim, S.-H.E.; Lai, K.-S. Terpene Derivatives as a Potential Agent against Antimicrobial Resistance (AMR) Pathogens. Molecules 2019, 24, 2631. [Google Scholar] [CrossRef] [PubMed]
- Landau, E.; Shapira, L. Effects of Subinhibitory Concentrations of Menthol on Adaptation, Morphological, and Gene Expression Changes in Enterohemorrhagic Escherichia coli. Appl. Environ. Microbiol. 2012, 78, 5361–5367. [Google Scholar] [CrossRef]
- Guillén, J.; Bernabeu, A.; Shapiro, S.; Villalaín, J. Location and orientation of Triclosan in phospholipid model membranes. Eur. Biophys. J. 2004, 33, 448–453. [Google Scholar] [CrossRef]





| Molecules | MIC (μg/mL) | E. Coli Strain | Reference |
|---|---|---|---|
| menthol | <100 | ATCC 0157 | [41,42] |
| borneol | 512 | ATCC 2592 | [43] |
| α-terpineol | 725 | CMCC (B)44102 | [44] |
| geraniol | 5600 | ATCC 25922 | [45] |
| Irgasan® | 0.33 | ATCC 11229 | [46] |
| Run | Organic Acid | η 2 (Pa.s) | Mn 3 (g/mol) | Ð 3 | Acid Number 4 (mgKOH/g) | OH Number 5 (mgKOH/g) | OH Funct. 6 |
|---|---|---|---|---|---|---|---|
| BPO | CA | 4.70 | 1769 | 1.36 | 3 | 67 | 2.1 |
| PUC | |
|---|---|
| Bio-polyol | 44 |
| PPG | 56 |
| Glycerol | 10.6 |
| Water | 1.5 |
| Silicone surfactant | 3.9 |
| DABCO | 0.6 |
| DBT | 0.1 |
| Isocyanate | 62 |
| Isocyanante index | 100 |
| Sample | Additive | Additive (wt%) | Density (Kg/m3) b |
|---|---|---|---|
| PUC | - | - | 120 |
| 1_menthol | Menthol | 2.3 | 131 |
| 2_terpineol | Terpineol | 4.4 | 116 |
| 4_terpineol | Terpineol | 8.6 | 85 |
| 2_geraniol | Geraniol | 4.4 | 152 |
| 3_geraniol | Geraniol | 6.5 | 131 |
| 1_borneol | Borneol | 2.3 | 135 |
| 1_irgasan | Irgasan® | 2.3 | 86 |
| Sample | Young’s Modulus (kPa) | Compression Deflection Value (kPa) |
|---|---|---|
| PUC | 1181 ± 51 | 76 ± 6 |
| 1_menthol | 1100 ± 43 | 60 ± 4 |
| 1_borneol | 1305 ± 88 | 74 ± 6 |
Disclaimer/Publisher’s Note: The statements, opinions and data contained in all publications are solely those of the individual author(s) and contributor(s) and not of MDPI and/or the editor(s). MDPI and/or the editor(s) disclaim responsibility for any injury to people or property resulting from any ideas, methods, instructions or products referred to in the content. |
© 2023 by the authors. Licensee MDPI, Basel, Switzerland. This article is an open access article distributed under the terms and conditions of the Creative Commons Attribution (CC BY) license (https://creativecommons.org/licenses/by/4.0/).
Share and Cite
Tomaselli, S.; Bertini, F.; Cifarelli, A.; Vignali, A.; Ragona, L.; Losio, S. Antibacterial Properties of Polyurethane Foams Additivated with Terpenes from a Bio-Based Polyol. Molecules 2023, 28, 1966. https://doi.org/10.3390/molecules28041966
Tomaselli S, Bertini F, Cifarelli A, Vignali A, Ragona L, Losio S. Antibacterial Properties of Polyurethane Foams Additivated with Terpenes from a Bio-Based Polyol. Molecules. 2023; 28(4):1966. https://doi.org/10.3390/molecules28041966
Chicago/Turabian StyleTomaselli, Simona, Fabio Bertini, Angelica Cifarelli, Adriano Vignali, Laura Ragona, and Simona Losio. 2023. "Antibacterial Properties of Polyurethane Foams Additivated with Terpenes from a Bio-Based Polyol" Molecules 28, no. 4: 1966. https://doi.org/10.3390/molecules28041966
APA StyleTomaselli, S., Bertini, F., Cifarelli, A., Vignali, A., Ragona, L., & Losio, S. (2023). Antibacterial Properties of Polyurethane Foams Additivated with Terpenes from a Bio-Based Polyol. Molecules, 28(4), 1966. https://doi.org/10.3390/molecules28041966

