In Vitro Digestibility, Biological Activity, and Physicochemical Characterization of Proteins Extracted from Conventionally and Organically Cultivated Hempseed (Cannabis sativa L.)
Abstract
1. Introduction
2. Results and Discussion
2.1. Proximate Analysis of Differently Cultivated Hempseeds and Commercial Hemp Protein Isolate (HPI)
2.2. Solubility of the Commercial HPI Sample
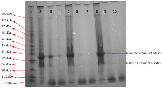
2.3. Hempseed Extract Protein Profiles
2.4. Particle Size Distribution
2.5. Hempseed Protein Digestibility
2.5.1. Degree of Hydrolysis (DH) of Hempseed Proteins after Simulated Gastrointestinal Digestion (SGID)
2.5.2. SDS-PAGE Analysis of OC, CC1 and CC2 Proteins before and after SGID
2.5.3. Molecular Mass Distribution
2.6. Antioxidant and Lipase Inhibitory Activity of Hempseed Proteins before and after SGID
3. Materials and Methods
3.1. Materials
3.2. Sample Preparation
3.3. Proximate Analysis and Sample Characteristics
3.3.1. Moisture, Ash, Dietary Fiber and Lipid Contents
3.3.2. Protein (PN) and Nonprotein Nitrogen (NPN) Determination
3.4. Extraction of Hempseed Protein
3.5. Reverse-Phase Ultrahigh-Performance Liquid Chromatography (RP-UPLC)
3.6. Particle Size (PS) Analysis of Reconstituted Hempseed Protein Extracts
3.7. Simulated Gastrointestinal Digestion (SGID) of Hempseed Protein Extracts
3.8. Degree of Hydrolysis (DH%)
3.9. Sodium Dodecyl Sulfate Polyacrylamide Gel Electrophoresis (SDS-PAGE) of Hempseed Protein Extracts
3.10. Gel-Permeation High-Performance Liquid Chromatography (GP-HPLC) Analysis
3.11. ABTS● Scavenging Activity Assay
3.12. Lipase-Inhibitory Activity
3.13. Statistical Analysis
4. Conclusions
Author Contributions
Funding
Institutional Review Board Statement
Informed Consent Statement
Data Availability Statement
Acknowledgments
Conflicts of Interest
Sample Availability
References
- Karche, T.; Singh, M.R. The application of hemp (Cannabis sativa L.) for a green economy: A review. Turk. J. Bot. 2019, 43, 710–723. [Google Scholar] [CrossRef]
- Hesami, M.; Pepe, M.; Baiton, A.; Salami, S.A.; Jones, A.M.P. New insight into ornamental applications of cannabis: Perspectives and challenges. Plants 2022, 11, 2383. [Google Scholar] [CrossRef] [PubMed]
- Hesami, M.; Pepe, M.; Baiton, A.; Salami, S.A.; Jones, A.M.P. Current status and future prospects in cannabinoid production through in vitro culture and synthetic biology. Biotechnol. Adv. 2023, 62, 108074. [Google Scholar] [CrossRef] [PubMed]
- Callaway, J.C. Hempseed as a nutritional resource: An overview. Euphytica 2004, 140, 65–72. [Google Scholar] [CrossRef]
- Girgih, A.T.; Udenigwe, C.C.; Aluko, R.E. In vitro antioxidant properties of hemp seed (Cannabis sativa L.) protein hydrolysate fractions. JAOCS 2011, 88, 381–389. [Google Scholar] [CrossRef]
- Aluko, R.E. Hemp seed (Cannabis sativa L.) proteins: Composition, structure, enzymatic modification, and functional or bioactive properties. In Sustainable Protein Sources; Nadathur, S.R., Wanasundara, J.P.D., Scanlin, L., Eds.; Chapter 7; Elsevier: Amsterdam, The Netherlands, 2017; pp. 121–132. [Google Scholar] [CrossRef]
- Malomo, S.A.; Aluko, R.E. A comparative study of the structural and functional properties of isolated hemp seed (Cannabis sativa L.) albumin and globulin fractions. Food Hydrocoll. 2015, 43, 743–752. [Google Scholar] [CrossRef]
- Aiello, G.; Lammi, C.; Boschin, G.; Zanoni, C.; Arnoldi, A. Exploration of potentially bioactive peptides generated from the enzymatic hydrolysis of hempseed proteins. J. Agric. Food Chem. 2017, 65, 10174–10184. [Google Scholar] [CrossRef]
- Vonapartis, E.; Aubin, M.P.; Seguin, P.; Mustafa, A.F.; Charron, J.B. Seed composition of ten industrial hemp cultivars approved for production in Canada. J. Food Compos. Anal. 2015, 39, 8–12. [Google Scholar] [CrossRef]
- Shen, P.; Gao, Z.; Xu, M.; Ohm, J.B.; Rao, J.; Chen, B. The impact of hempseed dehulling on chemical composition, structure properties and aromatic profile of hemp protein isolate. Food Hydrocoll. 2020, 106, 105889–105897. [Google Scholar] [CrossRef]
- Tang, C.H.; Ten, Z.; Wang, X.S.; Yang, X.Q. Physicochemical and functional properties of hemp (Cannabis sativa L.) protein isolate. J. Agric. Food Chem. 2006, 54, 8945–8950. [Google Scholar] [CrossRef]
- Teh, S.S.; Birch, J. Physicochemical and quality characteristics of cold-pressed hemp, flax and canola seed oils. J. Food Compos. Anal. 2013, 30, 26–31. [Google Scholar] [CrossRef]
- Vioque, J.; Sánchez-vioque, R.; Clemente, A.; Pedroche, J.; Millán, F. Partially hydrolyzed rapeseed protein isolates with improved functional properties. Water 2000, 4, 447–450. [Google Scholar] [CrossRef]
- Mariotti, F.; Tomé, D.; Mirand, P.P. Converting nitrogen into protein—Beyond 6.25 and Jones’ factors. Crit. Rev. Food Sci. Nutr. 2008, 48, 177–184. [Google Scholar] [CrossRef]
- Potin, F.; Lubbers, S.; Husson, F.; Saurel, R. Hemp (Cannabis sativa L.) protein extraction conditions affect extraction yield and protein quality. J. Food Sci. 2019, 84, 3682–3690. [Google Scholar] [CrossRef] [PubMed]
- Oomah, B.D.; Busson, M.; Godfrey, D.V.; Drover, J.C.G. Characteristics of hemp (Cannabis sativa L.) seed oil extracted with supercritical CO2. Food Chem. 2002, 76, 33–43. [Google Scholar] [CrossRef]
- House, J.D.; Neufeld, J.; Leson, G. Evaluating the quality of protein from hemp seed (Cannabis sativa L.) products through the use of the protein digestibility-corrected amino acid score method. J. Agric. Food Chem. 2010, 58, 11801–11807. [Google Scholar] [CrossRef]
- Yin, S.W.; Tang, C.H.; Cao, J.S.; Hu, E.K.; Wen, Q.B.; Yang, X.Q. Effects of limited enzymatic hydrolysis with trypsin on the functional properties of hemp (Cannabis sativa L.) protein isolate. Food Chem. 2008, 106, 1004–1013. [Google Scholar] [CrossRef]
- Wang, Q.; Jin, Y.; Xiong, Y.L. Heating-aided pH shifting modifies hemp seed protein structure, cross-linking, and emulsifying properties. J. Agric. Food Chem. 2018, 66, 10827–10834. [Google Scholar] [CrossRef]
- Malomo, S.A.; He, R.; Aluko, R.E. Structural and functional properties of hemp seed protein products. J. Food Sci. 2014, 79, 1512–1521. [Google Scholar] [CrossRef]
- Mamone, G.; Picariello, G.; Ramondo, A.; Nicolai, M.A.; Ferranti, P. Production, digestibility and allergenicity of hemp (Cannabis sativa L.) protein isolates. Food Res. Int. 2019, 115, 562–571. [Google Scholar] [CrossRef]
- Docimo, T.; Caruso, I.; Ponzoni, E.; Mattana, M.; Galasso, I. Molecular characterization of edestin gene family in Cannabis sativa L. Plant Physiol. Biochem. 2014, 84, 142–148. [Google Scholar] [CrossRef] [PubMed]
- Malomo, S.A.; Aluko, R.E. Conversion of a low protein hemp seed meal into a functional protein concentrate through enzymatic digestion of fibre coupled with membrane ultrafiltration. Innov. Food Sci. Emerg. Technol. 2015, 31, 151–159. [Google Scholar] [CrossRef]
- Russo, R.; Reggiani, R. Variability in antinutritional compounds in hempseed meal of Italian and French varieties variability in antinutritional compounds in Hempseed meal of Italian and French varieties. Plant 2013, 2, 25–29. [Google Scholar] [CrossRef]
- Kwanyuen, P.; Burton, J.W. A simple and rapid procedure for phytate determination in soybeans and soy products. JAOCS 2005, 82, 81–85. [Google Scholar] [CrossRef]
- Pojić, M.; Mišan, A.; Sakač, M.; Hadnađev, T.D.; Šarić, B.; Milovanović, I.; Hadnađev, M. Characterization of byproducts originating from hemp oil processing. J. Agric. Food Chem. 2014, 62, 12346–12442. [Google Scholar] [CrossRef] [PubMed]
- Nongonierma, A.B.; FitzGerald, R.J. Investigation of the potential of hemp, pea, rice and soy protein hydrolysates as a source of dipeptidyl peptidase IV (DPP-IV) inhibitory peptides. Food Dig. 2015, 6, 19–29. [Google Scholar] [CrossRef]
- Girgih, A.T.; He, R.; Malomo, S.; Offengenden, M.; Wu, J.; Aluko, R.E. Structural and functional characterization of hemp seed (Cannabis sativa L.) protein-derived antioxidant and antihypertensive peptides. J. Functi. Foods 2014, 6, 384–394. [Google Scholar] [CrossRef]
- Teh, S.S.; Bekhit, A.E.D.A.; Carne, A.; Birch, J. Antioxidant and ACE-inhibitory activities of hemp (Cannabis sativa L.) protein hydrolysates produced by the proteases AFP, HT, Pro-G, actinidin and zingibain. Food Chem. 2016, 203, 199–206. [Google Scholar] [CrossRef]
- Pacifico, S.; Galasso, S.; Piccolella, S.; Kretschmer, N.; Pan, S.P.; Marciano, S.; Bauer, R.; Monaco, P. Seasonal variation in phenolic composition and antioxidant and anti-inflammatory activities of Calamintha nepeta (L.) Savi. Food Res. Int. 2015, 69, 121–132. [Google Scholar] [CrossRef]
- Faugno, S.; Piccolella, S.; Sannino, M.; Principio, L.; Crescente, G.; Baldi, G.M.; Fiorentino, N.; Pacifico, S. Can agronomic practices and cold-pressing extraction parameters affect phenols and polyphenols content in hempseed oils? Ind. Crops Prod. 2019, 130, 511–519. [Google Scholar] [CrossRef]
- Jakubczyk, A.; Szymanowska, U.; Karaś, M.; Złotek, U.; Kowalczyk, D. Potential anti-inflammatory and lipase inhibitory peptides generated by in vitro gastrointestinal hydrolysis of heat treated millet grains. CYTA J. Food 2019, 17, 324–333. [Google Scholar] [CrossRef]
- Association of Official Analytical Chemists. Official Methods of Analysis, 17th ed.; AOAC International: Gaithersburg, MD, USA, 2000. [Google Scholar]
- Dupont, D.; Croguennec, T.; Brodkorb, A. Quantitation of Proteins in Milk and Milk Products, 4th ed.; Chapter 3; Springer: Berlin/Heidelberg, Germany, 2013; pp. 87–134. [Google Scholar] [CrossRef]
- Cermeño, M.; Connolly, A.; O’Keeffe, M.B.; Flynn, C.; Alashi, A.M.; Aluko, R.E.; FitzGerald, R.J. Identification of bioactive peptides from brewers’ spent grain and contribution of Leu/Ile to bioactive potency. J. Funct. Foods 2019, 60, 103455–103463. [Google Scholar] [CrossRef]
- Walsh, D.J.; Bernard, H.; Murray, B.A.; MacDonald, J.; Pentzien, A.K.; Wright, G.A.; Wal, J.M.; Struthers, A.D.; Meisel, H.; FitzGerald, R.J. In vitro generation and stability of the lactokinin β-lactoglobulin fragment (142–148). J. Dairy Sci. 2004, 87, 3845–3857. [Google Scholar] [CrossRef] [PubMed]
- Nongonierma, A.B.; Hennemann, M.; Paolella, S.; FitzGerald, R.J. Generation of wheat gluten hydrolysates with dipeptidyl peptidase IV (DPP-IV) inhibitory properties. Food Funct. 2017, 8, 2249–2257. [Google Scholar] [CrossRef] [PubMed]
- Re, R.; Pellegrini, N.; Proteggente, A.; Pannala, A.; Yang, M.; Rice-Evans, C. Antioxidant activity applying an improved ABTS radical cation decolorization assay. Free Radic. Biol. Med. 1999, 26, 1231–1237. [Google Scholar] [CrossRef] [PubMed]
- Amigo-Benavent, M.; Khalesi, M.; Thapa, G.; FitzGerald, R.J. Methodologies for Bioactivity Assay: Biochemical Study. In Biologically Active Peptides: From Basic Science to Applications for Human Health; Toldrá, F., Wu, J., Eds.; Chapter 6; Elsevier: Amsterdam, The Netherlands, 2021; pp. 103–153. [Google Scholar] [CrossRef]





| Parameters (%, w/w) | OC | CC1 | CC2 | HPI |
|---|---|---|---|---|
| Moisture | 7.30 ± 0.24 a | 6.37 ± 0.21 b | 6.37 ± 26 b | 4.45 ± 0.05 c |
| Lipid | 24.71 ± 1.45 a | 26.98 ± 0.72 a | 31.32 ± 1.56 b | 10.13 ± 0.36 c |
| Ash | 4.92 ± 0.11 a | 4.88 ± 0.17 a | 5.05 ± 0.05 a | 8.38 ± 0.16 b |
| Protein | 23.73 ± 1.38 a | 21.93 ± 0.14 a | 21.18 ± 0.39 a | 41.20 ± 1.25 b |
| Dietary fiber | 23.0 ± 1.3 a | 26.8 ± 0.6 b | 26.5 ± 0.6 b | 18 * |
| Non-protein nitrogen | 2.61 ± 0.19 a | 3.28 ± 0.07 b | 2.84 ± 0.07 a | 3.16 ± 0.14 b |
| Parameters | OC | CC1 | CC2 |
|---|---|---|---|
| SSA (m2/g) | 0.3 ± 0.0 a | 0.2 ± 0.0 b | 0.2 ± 0.1 ab |
| Uniformity | 1.2 ± 0.1 a | 1.6 ± 0.4 a | 1.2 ± 0.4 a |
| D[4, 3] (µm) | 137.0 ± 9.3 a | 228.4 ± 29.9 b | 176.96 ± 27.8 ab |
| D[3, 2] (µm) | 17.5 ± 0.5 a | 26.4 ± 3.8 b | 32.3 ± 11.1 b |
| d(0.1) (µm) | 6.0 ± 0.2 a | 8.7 ± 1.2 b | 12.0 ± 5.7 ab |
| d(0.5) (µm) | 89.0 ± 0.9 a | 120.0 ± 23.0 b | 115.7 ± 32.1 ab |
| d(0.9) (µm) | 340.3 ± 33.8 a | 598.7 ± 103.8 b | 423.4 ± 69.5 ab |
| d(0.9) − d(0.1) (µm) | 334.3 | 590.0 | 411.4 |
| Sample | DH (%) | ABTS● Scavenging Activity (%) at 1 mg/mL (Protein Basis) | Lipase Inhibition/Activation (%) at 1 mg/mL (Protein Basis) |
|---|---|---|---|
| OC | 16.9 ± 0.6 a | 22.0 ± 15.6 a (inhibition) | |
| Gastric digested | 5.9 ± 1.1 a | 86.9 ± 1.3 d | 21.2 ± 11.5 a (inhibition) |
| Gastrointestinal digested | 8.1 ± 0.9 b | 85.9 ± 0.4 d | 21.7 ± 11.9 a (inhibition) |
| CC1 | 13.7 ± 0.8 b | −36.2 ± 16.6 b (activation) | |
| Gastric digested | 7.5 ± 1.9 ab | 82.4 ± 0.6 c | −41.2 ± 21.1 b (activation) |
| Gastrointestinal digested | 11.0 ± 1.5 c | 83.3 ± 0.3 c | −40.9 ± 17.3 b (activation) |
| CC2 | 14.0 ± 0.6 b | −42.2 ± 18.1 b (activation) | |
| Gastric digested | 5.6 ± 0.6 a | 83.8 ± 0.6 c | −43.5 ± 20.5 b (activation) |
| Gastrointestinal digested | 8.7 ± 0.4 b | 85.2 ± 0.8 cd | −35.2 ± 18.6 b (activation) |
Disclaimer/Publisher’s Note: The statements, opinions and data contained in all publications are solely those of the individual author(s) and contributor(s) and not of MDPI and/or the editor(s). MDPI and/or the editor(s) disclaim responsibility for any injury to people or property resulting from any ideas, methods, instructions or products referred to in the content. |
© 2023 by the authors. Licensee MDPI, Basel, Switzerland. This article is an open access article distributed under the terms and conditions of the Creative Commons Attribution (CC BY) license (https://creativecommons.org/licenses/by/4.0/).
Share and Cite
Khalesi, M.; Gcaza, L.; FitzGerald, R.J. In Vitro Digestibility, Biological Activity, and Physicochemical Characterization of Proteins Extracted from Conventionally and Organically Cultivated Hempseed (Cannabis sativa L.). Molecules 2023, 28, 915. https://doi.org/10.3390/molecules28030915
Khalesi M, Gcaza L, FitzGerald RJ. In Vitro Digestibility, Biological Activity, and Physicochemical Characterization of Proteins Extracted from Conventionally and Organically Cultivated Hempseed (Cannabis sativa L.). Molecules. 2023; 28(3):915. https://doi.org/10.3390/molecules28030915
Chicago/Turabian StyleKhalesi, Mohammadreza, Luthando Gcaza, and Richard J. FitzGerald. 2023. "In Vitro Digestibility, Biological Activity, and Physicochemical Characterization of Proteins Extracted from Conventionally and Organically Cultivated Hempseed (Cannabis sativa L.)" Molecules 28, no. 3: 915. https://doi.org/10.3390/molecules28030915
APA StyleKhalesi, M., Gcaza, L., & FitzGerald, R. J. (2023). In Vitro Digestibility, Biological Activity, and Physicochemical Characterization of Proteins Extracted from Conventionally and Organically Cultivated Hempseed (Cannabis sativa L.). Molecules, 28(3), 915. https://doi.org/10.3390/molecules28030915

