Enhanced In Vivo Wound Healing Efficacy of a Novel Piperine-Containing Bioactive Hydrogel in Excision Wound Rat Model
Abstract
1. Introduction
2. Results and Discussion
2.1. Preparation of Carbopol Hydrogel and Gel Strength Determination
2.2. Preparation and Characterization of Piperine-Containing Bioactive Hydrogel
2.3. Wound Healing Activity
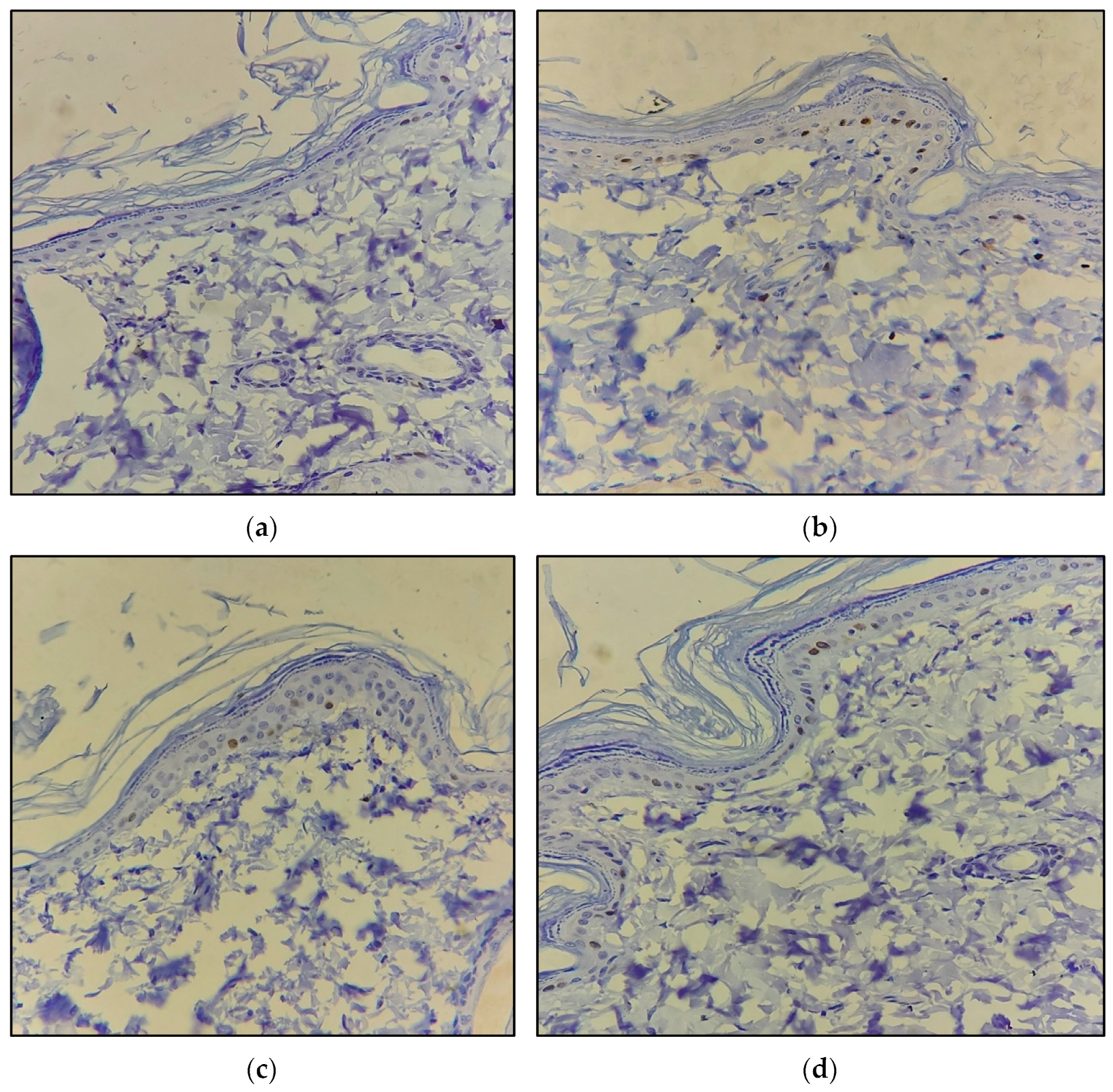
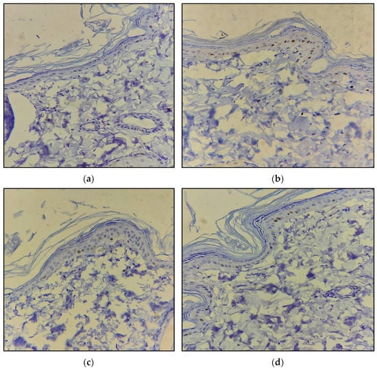
2.4. Histopathology
3. Materials and Method
3.1. Materials
3.2. Preparation of Carbopol Hydrogel and Gel Strength Determination
3.3. Preparation of Piperine-Containing Bioactive Hydrogel
3.4. Characterization of Piperine-Containing Bioactive Hydrogel
3.4.1. Viscosity
3.4.2. Rheology
3.4.3. Spreadability
3.4.4. Extrudability
3.4.5. Analysis of % Content of Piperine and Content Uniformity of Piperine in Hydrogel
3.5. In Vivo Study: Wound Healing Activity
3.5.1. Animals
3.5.2. Excision Wound Model
3.5.3. Histopathology and Immunohistochemistry
3.6. Statistical Analysis
4. Conclusions
Author Contributions
Funding
Institutional Review Board Statement
Informed Consent Statement
Data Availability Statement
Acknowledgments
Conflicts of Interest
References
- Gosain, A.; Di Pietro, L.A. Aging and Wound Healing. World J. Surg. 2004, 28, 321–326. [Google Scholar] [CrossRef] [PubMed]
- Mathieu, D.; Wattel, F. Physiologic Effects of Hyperbaric Oxygen on Microorganisms and Host Defences against Infection. In Handbook on Hyperbaric Medicine; Springer: Dordrecht, The Netherlands, 2006; pp. 103–119. [Google Scholar]
- Lima, T.d.P.d.L.; Passos, M.F. Skin Wounds, the Healing Process, and Hydrogel-Based Wound Dressings: A Short Review. J. Biomater. Sci. Polym. Ed. 2021, 32, 1910–1925. [Google Scholar] [CrossRef] [PubMed]
- Liang, Y.; He, J.; Guo, B. Functional Hydrogels as Wound Dressing to Enhance Wound Healing. ACS Nano 2021, 15, 12687–12722. [Google Scholar] [CrossRef] [PubMed]
- Martinengo, L.; Olsson, M.; Bajpai, R.; Soljak, M.; Upton, Z.; Schmidtchen, A.; Car, J.; Järbrink, K. Prevalence of Chronic Wounds in the General Population: Systematic Review and Meta-Analysis of Observational Studies. Ann. Epidemiol. 2019, 29, 8–15. [Google Scholar] [CrossRef]
- Falanga, V.; Isseroff, R.R.; Soulika, A.M.; Romanelli, M.; Margolis, D.; Kapp, S.; Granick, M.; Harding, K. Chronic Wounds. Nat. Rev. Dis. Prim. 2022, 8, 50. [Google Scholar] [CrossRef]
- Li, J.; Chen, J.; Kirsner, R. Pathophysiology of Acute Wound Healing. Clin. Dermatol. 2007, 25, 9–18. [Google Scholar] [CrossRef]
- Rong, G.; Yin, G.; Wang, L. Silk Fibroin-Silver Nanoparticles for the Treatment of Traumatic Osteomyelitis of Extremities. Sci. Adv. Mater. 2021, 13, 1186–1194. [Google Scholar] [CrossRef]
- Bhattarai, N.; Gunn, J.; Zhang, M. Chitosan-Based Hydrogels for Controlled, Localized Drug Delivery. Adv. Drug Deliv. Rev. 2010, 62, 83–99. [Google Scholar] [CrossRef]
- Hamidi, M.; Azadi, A.; Rafiei, P. Hydrogel Nanoparticles in Drug Delivery. Adv. Drug Deliv. Rev. 2008, 60, 1638–1649. [Google Scholar] [CrossRef]
- Miguel, S.P.; Ribeiro, M.P.; Brancal, H.; Coutinho, P.; Correia, I.J. Thermoresponsive Chitosan-Agarose Hydrogel for Skin Regeneration. Carbohydr. Polym. 2014, 111, 366–373. [Google Scholar] [CrossRef]
- Qiu, C.; Coutinho, P.; Frank, S.; Franke, S.; Law, L.-Y.; Martin, P.; Green, C.R.; Becker, D.L. Targeting Connexin43 Expression Accelerates the Rate of Wound Repair. Curr. Biol. 2003, 13, 1697–1703. [Google Scholar] [CrossRef]
- Wang, C.M.; Lincoln, J.; Cook, J.E.; Becker, D.L. Abnormal Connexin Expression Underlies Delayed Wound Healing in Diabetic Skin. Diabetes 2007, 56, 2809–2817. [Google Scholar] [CrossRef]
- Anumolu, S.S.; Menjoge, A.R.; Deshmukh, M.; Gerecke, D.; Stein, S.; Laskin, J.; Sinko, P.J. Doxycycline Hydrogels with Reversible Disulfide Crosslinks for Dermal Wound Healing of Mustard Injuries. Biomaterials 2011, 32, 1204–1217. [Google Scholar] [CrossRef]
- Curylofo-Zotti, F.A.; Elburki, M.S.; Oliveira, P.A.; Cerri, P.S.; Santos, L.A.; Lee, H.M.; Johnson, F.; Golub, L.M.; Junior, C.R.; Guimarães-Stabili, M.R. Differential effects of natural Curcumin and chemically modified curcumin on inflammation and bone resorption in model of experimental periodontitis. Arch. Oral. Biol. 2018, 91, 42–50. [Google Scholar] [CrossRef]
- Bhalekar, M.R.; Madgulkar, A.R.; Desale, P.S.; Marium, G. Formulation of Piperine Solid Lipid Nanoparticles (SLN) for Treatment of Rheumatoid Arthritis. Drug Dev. Ind. Pharm. 2017, 43, 1003–1010. [Google Scholar] [CrossRef]
- Umar, S.; Golam Sarwar, A.H.M.; Umar, K.; Ahmad, N.; Sajad, M.; Ahmad, S.; Katiyar, C.K.; Khan, H.A. Piperine Ameliorates Oxidative Stress, Inflammation and Histological Outcome in Collagen Induced Arthritis. Cell. Immunol. 2013, 284, 51–59. [Google Scholar] [CrossRef]
- Guimaraes-Stabili, M.R.; de Aquino, S.G.; de Almeida Curylofo, F.; Tasso, C.O.; Rocha, F.R.G.; de Medeiros, M.C.; de Pizzol, J.P., Jr.; Cerri, P.S.; Romito, G.A.; Rossa, C., Jr. Systemic administration of curcumin or piperine enhances the periodontal repair: A preliminary study in rats. Clin. Oral. Investig. 2019, 23, 3297–3306. [Google Scholar] [CrossRef]
- Arora, R.; Aggarwal, G.; Harikumar, S.L.; Kaur, K. Nanoemulsion Based Hydrogel for Enhanced Transdermal Delivery of Ketoprofen. Adv. Pharm. 2014, 2014, 1–12. [Google Scholar] [CrossRef]
- Dragicevic, N.; Maibach, H.I. Percutaneous Penetration Enhancers Chemical Methods in Penetration Enhancement: Nanocarriers; Springer: Berlin/Heidelberg, Berlin, 2016. [Google Scholar]
- Souza, C.; Estevão, J.D.; Baratella-Evêncio, L.R.; Vieira, L.; Simões, M.G.; Florencio-Silva, R.; Evêncio-Luz, R.; Evêncio-Neto, L. Mast Cell Concentration and Skin Wound Contraction in Rats Treated with Ximenia americana L. Acta Cir. Bras. 2017, 32, 148–156. [Google Scholar]
- Algahtani, M.S.; Ahmad, M.Z.; Shaikh, I.A.; Abdel-Wahab, B.A.; Nourein, I.H.; Ahmad, J. Thymoquinone Loaded Topical Nanoemulgel for Wound Healing: Formulation Design and in-Vivo Evaluation. Molecules 2021, 26, 3863. [Google Scholar] [CrossRef]
- Li, X.; Liu, T.; Chen, J.; Alkhanjaf, A.A.M.; Zhang, D. Ginkgolic Acid Inhibits Proliferation and Migration of Glioblastoma Cells by Inducing Cell Cycle Arrest and Apoptosis. Sci. Adv. Mater. 2021, 13, 2295–2301. [Google Scholar] [CrossRef]
- Negi, P.; Sharma, I.; Hemrajani, C.; Rathore, C.; Bisht, A.; Raza, K.; Katare, O.P. Thymoquinone-Loaded Lipid Vesicles: A Promising Nanomedicine for Psoriasis. BMC Complement. Altern. Med. 2019, 19, 334. [Google Scholar] [CrossRef] [PubMed]
- Jiang, X.; Ren, Y.; Zhang, X.; You, T.; Ren, S.; Xie, X.; Zhou, R.; Li, C.; Zhang, W. Preparation of Silk Fibroin Nanofiber Scaffold and Its Application in Tendon-Bone Healing and Sports Rehabilitation. Sci. Adv. Mater. 2021, 13, 1374–1382. [Google Scholar] [CrossRef]
- Sharma, M.; Sahu, K.; Singh, S.P.; Jain, B. Wound Healing Activity of Curcumin Conjugated to Hyaluronic Acid: In Vitro and in Vivo Evaluation. Artif. Cells Nanomed. Biotechnol. 2017, 46, 1–9. [Google Scholar] [CrossRef]
- Mieczkowski, M.; Mrozikiewicz-Rakowska, B.; Siwko, T.; Bujalska-Zadrozny, M.; de Corde-Skurska, A.; Wolinska, R.; Gasinska, E.; Grzela, T.; Foltynski, P.; Kowara, M.; et al. Insulin, but not metformin, supports wound healing process in rats with streptozotocin-induced diabetes. Diabetes Metab. Syndr. Obes. Targets Ther. 2021, 14, 1505. [Google Scholar] [CrossRef]
- Mathew-Steiner, S.S.; Roy, S.; Sen, C.K. Collagen in Wound Healing. Bioengineering 2021, 8, 63. [Google Scholar] [CrossRef]
- Hao, Z.; Yang, H.; Meng, Y. Dermlin and Silver Nanoparticles Combined Antibacterial Dressing for Skin Wound Repair. Sci. Adv. Mater. 2021, 13, 1945–1950. [Google Scholar] [CrossRef]
- de Pizzol Junior, J.P.; Sasso-Cerri, E.; Cerri, P.S. Matrix metalloproteinase-1 and acid phosphatase in the degradation of the lamina propria of eruptive pathway of rat molars. Cells 2018, 7, 206. [Google Scholar] [CrossRef]
- Zheng, H.; Sun, S.; Ma, X.; Hou, L. Tamarindus indica Leaf Extract Mediated Au NPs for Antimicrobial Treatment of Infectious Skin Wounds in Postoperative Wound Care Applications. Sci. Adv. Mater. 2021, 13, 1012–1018. [Google Scholar] [CrossRef]
- Koshimizu, J.Y.; Beltrame, F.L.; de Pizzol, J.P., Jr.; Cerri, P.S.; Caneguim, B.H.; Sasso-Cerri, E. NF-kB overexpression and decreased immunoexpression of AR in the muscular layer is related to structural damages and apoptosis in cimetidine-treated rat vas deferens. Reprod. Biol. Endocrinol. 2013, 11, 29. [Google Scholar] [CrossRef]
- Algahtani, M.S.; Ahmad, M.Z.; Nourein, I.H.; Ahmad, J. Co-Delivery of Imiquimod and Curcumin by Nanoemugel for Improved Topical Delivery and Reduced Psoriasis-like Skin Lesions. Biomolecules 2020, 10, 968. [Google Scholar] [CrossRef] [PubMed]
- Algahtani, M.S.; Ahmad, M.Z.; Ahmad, J. Nanoemulgel for Improved Topical Delivery of Retinyl Palmitate: Formulation Design and Stability Evaluation. Nanomaterials 2020, 10, 848. [Google Scholar] [CrossRef] [PubMed]
- Algahtani, M.S.; Ahmad, M.Z.; Ahmad, J. Nanoemulsion Loaded Polymeric Hydrogel for Topical Delivery of Curcumin in Psoriasis. J. Drug Deliv. Sci. Technol. 2020, 59, 101847. [Google Scholar] [CrossRef]
- Alam, M.S.; Algahtani, M.S.; Ahmad, J.; Kohli, K.; Shafiq-Un-Nabi, S.; Warsi, M.H.; Ahmad, M.Z. Formulation Design and Evaluation of Aceclofenac Nanogel for Topical Application. Ther. Deliv. 2020, 11, 767–778. [Google Scholar] [CrossRef]
- Chollet, J.L.; Jozwiakowski, M.J.; Phares, K.R.; Reiter, M.J.; Roddy, P.J.; Schultz, H.J.; Ta, Q.V.; Tomai, M.A. Development of a Topically Active Imiquimod Formulation. Pharm. Dev. Technol. 1999, 4, 35–43. [Google Scholar] [CrossRef]
- Nagar, H.K.; Srivastava, A.K.; Srivastava, R.; Kurmi, M.L.; Chandel, H.S.; Ranawat, M.S. Pharmacological Investigation of the Wound Healing Activity of Cestrum nocturnum (L.) Ointment in Wistar Albino Rats. J. Pharm. 2016, 2016, 9249040. [Google Scholar] [CrossRef]







| S. No. | Ingredients | Role | % Composition (w/w) |
|---|---|---|---|
| i. | Carbopol 934 | Gelling agent | 0.3 |
| ii. | Glycerin | Humectant | 5.0 |
| iii. | Aloe vera juice | Wound healing promoter | 10.0 |
| iv. | Piperine | Bioactive phytochemical | 0.5 |
| v. | Triethanolamine | pH adjuster | q.s. |
| vi. | Distilled water | Vehicle | q.s. to 100 |
| Treatment | Day 5 | Day 9 | Day 14 |
|---|---|---|---|
| Group I | 4.29 ± 0.62 | 27.57 ± 0.59 | 49.98 ± 0.58 |
| Group II | 10.17 ± 5.25 | 40.30 ± 2.20 | 65.10 ± 1.22 |
| Group III | 17.40 ± 0.22 | 49.58 ± 0.57 | 80.46 ± 0.87 |
| Group IV | 13.43 ± 0.25 | 49.64 ± 4.27 | 81.90 ± 2.54 |
Disclaimer/Publisher’s Note: The statements, opinions and data contained in all publications are solely those of the individual author(s) and contributor(s) and not of MDPI and/or the editor(s). MDPI and/or the editor(s) disclaim responsibility for any injury to people or property resulting from any ideas, methods, instructions or products referred to in the content. |
© 2023 by the authors. Licensee MDPI, Basel, Switzerland. This article is an open access article distributed under the terms and conditions of the Creative Commons Attribution (CC BY) license (https://creativecommons.org/licenses/by/4.0/).
Share and Cite
Alsareii, S.A.; Ahmad, J.; Umar, A.; Ahmad, M.Z.; Shaikh, I.A. Enhanced In Vivo Wound Healing Efficacy of a Novel Piperine-Containing Bioactive Hydrogel in Excision Wound Rat Model. Molecules 2023, 28, 545. https://doi.org/10.3390/molecules28020545
Alsareii SA, Ahmad J, Umar A, Ahmad MZ, Shaikh IA. Enhanced In Vivo Wound Healing Efficacy of a Novel Piperine-Containing Bioactive Hydrogel in Excision Wound Rat Model. Molecules. 2023; 28(2):545. https://doi.org/10.3390/molecules28020545
Chicago/Turabian StyleAlsareii, Saeed Ali, Javed Ahmad, Ahmad Umar, Mohammad Zaki Ahmad, and Ibrahim Ahmed Shaikh. 2023. "Enhanced In Vivo Wound Healing Efficacy of a Novel Piperine-Containing Bioactive Hydrogel in Excision Wound Rat Model" Molecules 28, no. 2: 545. https://doi.org/10.3390/molecules28020545
APA StyleAlsareii, S. A., Ahmad, J., Umar, A., Ahmad, M. Z., & Shaikh, I. A. (2023). Enhanced In Vivo Wound Healing Efficacy of a Novel Piperine-Containing Bioactive Hydrogel in Excision Wound Rat Model. Molecules, 28(2), 545. https://doi.org/10.3390/molecules28020545

