L-Cysteine-Modified Transfersomes for Enhanced Epidermal Delivery of Podophyllotoxin
Abstract
1. Introduction
2. Results and Discussion
2.1. Synthesis and Characterization of the LC-DCA Conjugate
2.2. Preparation of POD-LCTs
2.3. Characterization of POD-LCTs
2.3.1. Particle Size and Zeta Potential
2.3.2. Morphology
2.3.3. XRD Study
2.3.4. FTIR Spectroscopy
2.3.5. Elasticity
2.3.6. Stability Study
2.4. In Vitro Release Study
2.5. In Vitro Skin Permeation and Retention
2.6. Fluorescence Distribution Assay
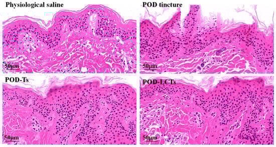
2.7. Histological Examination of the Skin
2.8. In Vivo Skin Irritation Test
3. Materials and Methods
3.1. Materials
3.2. Synthesis and Characterization of the LC-DCA Conjugate
3.3. Preparation of POD-LCTs
3.4. Characterization of POD-LCTs
3.4.1. Encapsulation Efficiency (EE)
3.4.2. Particle Size and Zeta Potential Measurement
3.4.3. Morphology Examination with a Scanning Electron Microscope
3.4.4. X-ray Diffraction (XRD) and Fourier Transform Infrared Spectroscopy (FTIR)
3.4.5. Elasticity Measurement
3.4.6. Stability of the POD-LCTs
3.5. In Vitro Release Study
3.6. In Vitro Skin Permeation and Retention Studies
3.6.1. Preparation of Porcine Ear Skin Samples
3.6.2. Skin Permeation and Retention Studies
3.7. Fluorescence Imaging
3.8. Hematoxylin–Eosin Staining
3.9. In Vivo Skin Irritation Test
3.10. Statistical Analysis
4. Conclusions
Author Contributions
Funding
Institutional Review Board Statement
Informed Consent Statement
Data Availability Statement
Conflicts of Interest
Sample Availability
References
- Li, M.; Zhao, Y.; Sun, J.; Chen, H.; Liu, Z.; Lin, K.; Ma, P.; Zhang, W.; Zhen, Y.; Zhang, S.; et al. pH/reduction dual-responsive hyaluronic acid-podophyllotoxin prodrug micelles for tumor targeted delivery. Carbohydr. Polym. 2022, 288, 119402. [Google Scholar] [CrossRef] [PubMed]
- Chen, H.; Chang, X.; Du, D.; Liu, W.; Liu, J.; Weng, T.; Yang, Y.; Xu, H.; Yang, X. Podophyllotoxin-loaded solid lipid nanoparticles for epidermal targeting. J. Control Release 2006, 110, 296–306. [Google Scholar] [CrossRef]
- Lacey, C.J.; Woodhall, S.C.; Wikstrom, A.; Ross, J. 2012 European guideline for the management of anogenital warts. J. Eur. Acad. Dermatol. Venereol. 2013, 27, e263–e270. [Google Scholar] [CrossRef] [PubMed]
- Sharma, T.; Thakur, S.; Kaur, M.; Singh, A.; Jain, S.K. Novel Hyaluronic Acid ethosomes based gel formulation for topical use with reduced toxicity, better skin permeation, deposition, and improved pharmacodynamics. J. Liposome Res. 2022, 33, 129–143. [Google Scholar] [CrossRef]
- Liu, H.; Sun, J.R.; Wang, M.K.; Wang, S.C.; Su, J.C.; Xu, C. Intestinal organoids and organoids extracellular vesicles for inflammatory bowel disease treatment. Chem. Eng. J. 2023, 465, 142842. [Google Scholar] [CrossRef]
- Tan, R.; Wan, Y.; Yang, X. Hydroxyethyl starch and its derivatives as nanocarriers for delivery of diagnostic and therapeutic agents towards cancers. Biomater. Transl. 2020, 1, 46–57. [Google Scholar] [CrossRef]
- Xue, X.; Zhang, H.; Liu, H.; Wang, S.C.; Li, J.D.; Zhou, Q.R.; Chen, X.; Ren, X.X.; Jing, Y.Y.; Deng, Y.H.; et al. Rational Design of Multifunctional CuS Nanoparticle-PEG Composite Soft Hydrogel-Coated 3D Hard Polycaprolactone Scaffolds for Efficient Bone Regeneration. Adv. Funct. Mater. 2022, 32, 2202470. [Google Scholar] [CrossRef]
- Liu, H.; Zhang, H.; Wang, S.C.; Cui, J.; Weng, W.Z.; Liu, X.R.; Tang, H.; Hu, Y.; Li, X.Q.; Zhang, K.; et al. Bone-targeted bioengineered bacterial extracellular vesicles delivering siRNA to ameliorate osteoporosis. Compos. Part B Eng. 2023, 225, 110610. [Google Scholar] [CrossRef]
- Maturavongsadit, P.; Wu, W.; Fan, J.; Roninson, I.B.; Cui, T.; Wang, Q. Graphene-incorporated hyaluronic acid-based hydrogel as a controlled Senexin A delivery system. Biomater. Transl. 2022, 3, 152–161. [Google Scholar] [CrossRef]
- Yadav, R.; Kumar, D.; Kumari, A.; Yadav, S.K. Encapsulation of podophyllotoxin and etoposide in biodegradable poly-D,L-lactide nanoparticles improved their anticancer activity. J. Microencapsul. 2014, 31, 211–219. [Google Scholar] [CrossRef]
- Wang, R.; Zhao, Y.; Huang, Z.; Zhou, Y.; Wang, W.; Xuan, Y.; Zhen, Y.; Ju, B.; Guo, S.; Zhang, S. Self-Assembly of Podophyllotoxin-Loaded Lipid Bilayer Nanoparticles for Highly Effective Chemotherapy and Immunotherapy via Downregulation of Programmed Cell Death Ligand 1 Production. ACS Nano 2022, 16, 3943–3954. [Google Scholar] [CrossRef] [PubMed]
- Dar, M.J.; McElroy, C.A.; Khan, M.I.; Satoskar, A.R.; Khan, G.M. Development and evaluation of novel miltefosine-polyphenol co-loaded second generation nano-transfersomes for the topical treatment of cutaneous leishmaniasis. Expert. Opin. Drug Deliv. 2020, 17, 97–110. [Google Scholar] [CrossRef] [PubMed]
- Akram, M.W.; Jamshaid, H.; Rehman, F.U.; Zaeem, M.; Khan, J.Z.; Zeb, A. Transfersomes: A Revolutionary Nanosystem for Efficient Transdermal Drug Delivery. AAPS PharmSciTech 2021, 23, 7. [Google Scholar] [CrossRef] [PubMed]
- Gao, Y.; Han, K.; Wang, Q.; Hu, Z.; Liu, Q.; Liu, L.; Zeng, K. Development of podophyllotoxin-loaded nanostructured lipid carriers for the treatment of condyloma acuminatum. Mol. Med. Rep. 2018, 17, 6506–6514. [Google Scholar] [CrossRef]
- Mahmood, A.; Lanthaler, M.; Laffleur, F.; Huck, C.W.; Bernkop-Schnurch, A. Thiolated chitosan micelles: Highly mucoadhesive drug carriers. Carbohydr. Polym. 2017, 167, 250–258. [Google Scholar] [CrossRef]
- Chen, C.H.; Lin, Y.S.; Wu, S.J.; Mi, F.L. Mutlifunctional nanoparticles prepared from arginine-modified chitosan and thiolated fucoidan for oral delivery of hydrophobic and hydrophilic drugs. Carbohydr. Polym. 2018, 193, 163–172. [Google Scholar] [CrossRef]
- Wu, J.; Zhao, J.; Zhang, B.; Qian, Y.; Gao, H.; Yu, Y.; Wei, Y.; Yang, Z.; Jiang, X.; Pang, Z. Polyethylene glycol-polylactic acid nanoparticles modified with cysteine-arginine-glutamic acid-lysine-alanine fibrin-homing peptide for glioblastoma therapy by enhanced retention effect. Int. J. Nanomed. 2014, 9, 5261–5271. [Google Scholar] [CrossRef][Green Version]
- Zhang, M.; Asghar, S.; Jin, X.; Hu, Z.; Ping, Q.; Chen, Z.; Shao, F.; Xiao, Y. The enhancing effect of N-acetylcysteine modified hyaluronic acid-octadecylamine micelles on the oral absorption of paclitaxel. Int. J. Biol. Macromol. 2019, 138, 636–647. [Google Scholar] [CrossRef]
- Eshel-Green, T.; Bianco-Peled, H. Mucoadhesive acrylated block copolymers micelles for the delivery of hydrophobic drugs. Colloids Surf. B Biointerfaces 2016, 139, 42–51. [Google Scholar] [CrossRef] [PubMed]
- Ouyang, Z.; Xu, G.; Jiang, Y. l-Cysteine augments microtubule-associated protein 2 levels and enhances antioxidant activity in rats following traumatic brain injury. 3 Biotech 2019, 9, 280. [Google Scholar] [CrossRef]
- Niu, J.; Yuan, M.; Chen, C.; Wang, L.; Tang, Z.; Fan, Y.; Liu, X.; Ma, Y.J.; Gan, Y. Berberine-Loaded Thiolated Pluronic F127 Polymeric Micelles for Improving Skin Permeation and Retention. Int. J. Nanomed. 2020, 15, 9987–10005. [Google Scholar] [CrossRef]
- Li, L.; Liang, N.; Wang, D.; Yan, P.; Kawashima, Y.; Cui, F.; Sun, S. Amphiphilic Polymeric Micelles Based on Deoxycholic Acid and Folic Acid Modified Chitosan for the Delivery of Paclitaxel. Int. J. Mol. Sci. 2018, 19, 3132. [Google Scholar] [CrossRef]
- Nanaki, S.G.; Spyrou, K.; Veneti, P.; Karouta, N.; Gournis, D.; Baroud, T.N.; Barmpalexis, P.; Bikiaris, D.N. L-Cysteine Modified Chitosan Nanoparticles and Carbon-Based Nanostructures for the Intranasal Delivery of Galantamine. Polymers 2022, 14, 4004. [Google Scholar] [CrossRef]
- Ascenso, A.; Raposo, S.; Batista, C.; Cardoso, P.; Mendes, T.; Praca, F.G.; Bentley, M.V.; Simoes, S. Development, characterization, and skin delivery studies of related ultradeformable vesicles: Transfersomes, ethosomes, and transethosomes. Int. J. Nanomed. 2015, 10, 5837–5851. [Google Scholar] [CrossRef]
- Nagaraj, K.; Narendar, D.; Kishan, V. Development of olmesartan medoxomil optimized nanosuspension using the Box-Behnken design to improve oral bioavailability. Drug Dev. Ind. Pharm. 2017, 43, 1186–1196. [Google Scholar] [CrossRef]
- Ji, Y.B.; Lee, H.Y.; Lee, S.; Kim, Y.H.; Na, K.; Kim, J.H.; Choi, S.; Kim, M.S. Electrostatically optimized adapalene-loaded emulsion for the treatment of acne vulgaris. Mater. Today Bio 2022, 16, 100339. [Google Scholar] [CrossRef]
- Kammoun, A.K.; Khedr, A.; Hegazy, M.A.; Almalki, A.J.; Hosny, K.M.; Abualsunun, W.A.; Murshid, S.S.A.; Bakhaidar, R.B. Formulation, optimization, and nephrotoxicity evaluation of an antifungal in situ nasal gel loaded with voriconazole—Clove oil transferosomal nanoparticles. Drug Deliv. 2021, 28, 2229–2240. [Google Scholar] [CrossRef]
- Malakar, J.; Sen, S.O.; Nayak, A.K.; Sen, K.K. Formulation, optimization and evaluation of transferosomal gel for transdermal insulin delivery. Saudi Pharm. J. 2012, 20, 355–363. [Google Scholar] [CrossRef]
- Maione-Silva, L.; de Castro, E.G.; Nascimento, T.L.; Cintra, E.R.; Moreira, L.C.; Cintra, B.A.S.; Valadares, M.C.; Lima, E.M. Ascorbic acid encapsulated into negatively charged liposomes exhibits increased skin permeation, retention and enhances collagen synthesis by fibroblasts. Sci. Rep. 2019, 9, 522. [Google Scholar] [CrossRef]
- Dudhipala, N.; Phasha Mohammed, R.; Adel Ali Youssef, A.; Banala, N. Effect of lipid and edge activator concentration on development of aceclofenac-loaded transfersomes gel for transdermal application: In vitro and ex vivo skin permeation. Drug Dev. Ind. Pharm. 2020, 46, 1334–1344. [Google Scholar] [CrossRef]
- Wieber, A.; Selzer, T.; Kreuter, J. Physico-chemical characterisation of cationic DOTAP liposomes as drug delivery system for a hydrophilic decapeptide before and after freeze-drying. Eur. J. Pharm. Biopharm. 2012, 80, 358–367. [Google Scholar] [CrossRef]
- Yang, L.J.; Wang, S.H.; Zhou, S.Y.; Zhao, F.; Chang, Q.; Li, M.Y.; Chen, W.; Yang, X.D. Supramolecular system of podophyllotoxin and hydroxypropyl-beta-cyclodextrin: Characterization, inclusion mode, docking calculation, solubilization, stability and cytotoxic activity. Mater. Sci. Eng. C Mater. Biol. Appl. 2017, 76, 1136–1145. [Google Scholar] [CrossRef]
- Abdullah, S.N.S.; Subramaniam, K.A.; Muhamad Zamani, Z.H.; Sarchio, S.N.E.; Md Yasin, F.; Shamsi, S. Biocompatibility Study of Curcumin-Loaded Pluronic F127 Nanoformulation (NanoCUR) against the Embryonic Development of Zebrafish (Danio rerio). Molecules 2022, 27, 4493. [Google Scholar] [CrossRef]
- Chen, Y.J.; Wang, S.J.; Wang, S.; Liu, C.Y.; Su, C.; Hageman, M.; Hussain, M.; Haskell, R.; Stefanski, K.; Qian, F. Initial Drug Dissolution from Amorphous Solid Dispersions Controlled by Polymer Dissolution and Drug-Polymer Interaction. Pharm. Res. 2016, 33, 2445–2458. [Google Scholar] [CrossRef]
- Dawud, H.; Abu Ammar, A. Rapidly Dissolving Microneedles for the Delivery of Steroid-Loaded Nanoparticles Intended for the Treatment of Inflammatory Skin Diseases. Pharmaceutics 2023, 15, 526. [Google Scholar] [CrossRef]
- Kumbhar, P.S.; Sakate, A.M.; Patil, O.B.; Manjappa, A.S.; Disouza, J.I. Podophyllotoxin-polyacrylic acid conjugate micelles: Improved anticancer efficacy against multidrug-resistant breast cancer. J. Egypt. Natl. Cancer Inst. 2020, 32, 42. [Google Scholar] [CrossRef]
- Abu-Much, A.; Darawshi, R.; Dawud, H.; Kasem, H.; Abu Ammar, A. Preparation and characterization of flexible furosemide-loaded biodegradable microneedles for intradermal drug delivery. Biomater. Sci. 2022, 10, 6486–6499. [Google Scholar] [CrossRef]
- Utomo, E.; Dominguez-Robles, J.; Moreno-Castellanos, N.; Stewart, S.A.; Picco, C.J.; Anjani, Q.K.; Simon, J.A.; Penuelas, I.; Donnelly, R.F.; Larraneta, E. Development of intranasal implantable devices for schizophrenia treatment. Int. J. Pharm. 2022, 624, 122061. [Google Scholar] [CrossRef]
- Ahmed, T.A. Preparation of transfersomes encapsulating sildenafil aimed for transdermal drug delivery: Plackett-Burman design and characterization. J. Liposome Res. 2015, 25, 1–10. [Google Scholar] [CrossRef]
- Al Shuwaili, A.H.; Rasool, B.K.A.; Abdulrasool, A.A. Optimization of elastic transfersomes formulations for transdermal delivery of pentoxifylline. Eur. J. Pharm. Biopharm. 2016, 102, 101–114. [Google Scholar] [CrossRef]
- Kandekar, S.G.; Singhal, M.; Sonaje, K.B.; Kalia, Y.N. Polymeric micelle nanocarriers for targeted epidermal delivery of the hedgehog pathway inhibitor vismodegib: Formulation development and cutaneous biodistribution in human skin. Expert. Opin. Drug Deliv. 2019, 16, 667–674. [Google Scholar] [CrossRef] [PubMed]
- Abd El-Alim, S.H.; Kassem, A.A.; Basha, M.; Salama, A. Comparative study of liposomes, ethosomes and transfersomes as carriers for enhancing the transdermal delivery of diflunisal: In vitro and in vivo evaluation. Int. J. Pharm. 2019, 563, 293–303. [Google Scholar] [CrossRef]
- Yuan, M.; Niu, J.; Xiao, Q.; Ya, H.; Zhang, Y.; Fan, Y.; Li, L.; Li, X. Hyaluronan-modified transfersomes based hydrogel for enhanced transdermal delivery of indomethacin. Drug Deliv. 2022, 29, 1232–1242. [Google Scholar] [CrossRef] [PubMed]
- Soba, S.V.; Babu, M.; Panonnummal, R. Ethosomal Gel Formulation of Alpha Phellandrene for the Transdermal Delivery in Gout. Adv. Pharm. Bull. 2021, 11, 137–149. [Google Scholar] [CrossRef] [PubMed]
- Khan, M.I.; Yaqoob, S.; Madni, A.; Akhtar, M.F.; Sohail, M.F.; Saleem, A.; Tahir, N.; Khan, K.U.; Qureshi, O.S. Development and in vitro/ex vivo Evaluation of Lecithin-Based Deformable Transfersomes and Transfersome-Based Gels for Combined Dermal Delivery of Meloxicam and Dexamethasone. Biomed. Res. Int. 2022, 2022, 8170318. [Google Scholar] [CrossRef] [PubMed]
- Wang, C.W.; Chuang, M.C.; Chang, C.Y.; Chang, C.H.; Yang, Y.M. Stable Ethosome-Like Catanionic Vesicles for Transdermal Hydrophilic Drug Delivery with Predictable Encapsulation Efficiency. J. Oleo Sci. 2021, 70, 1391–1401. [Google Scholar] [CrossRef]
- Sana, E.; Zeeshan, M.; Ain, Q.U.; Khan, A.U.; Hussain, I.; Khan, S.; Lepeltier, E.; Ali, H. Topical delivery of curcumin-loaded transfersomes gel ameliorated rheumatoid arthritis by inhibiting NF-kappabeta pathway. Nanomedicine 2021, 16, 819–837. [Google Scholar] [CrossRef]
- Hsieh, W.C.; Fang, C.W.; Suhail, M.; Lam Vu, Q.; Chuang, C.H.; Wu, P.C. Improved skin permeability and whitening effect of catechin-loaded transfersomes through topical delivery. Int. J. Pharm. 2021, 607, 121030. [Google Scholar] [CrossRef]
- Oyarzun, P.; Gallardo-Toledo, E.; Morales, J.; Arriagada, F. Transfersomes as alternative topical nanodosage forms for the treatment of skin disorders. Nanomedicine 2021, 16, 2465–2489. [Google Scholar] [CrossRef]
- Sundralingam, U.; Chakravarthi, S.; Radhakrishnan, A.K.; Muniyandy, S.; Palanisamy, U.D. Efficacy of Emu Oil Transfersomes for Local Transdermal Delivery of 4-OH Tamoxifen in the Treatment of Breast Cancer. Pharmaceutics 2020, 12, 807. [Google Scholar] [CrossRef]
- Li, J.; Duan, N.; Song, S.; Nie, D.; Yu, M.; Wang, J.; Xi, Z.; Li, J.; Sheng, Y.; Xu, C.; et al. Transfersomes improved delivery of ascorbic palmitate into the viable epidermis for enhanced treatment of melasma. Int. J. Pharm. 2021, 608, 121059. [Google Scholar] [CrossRef]
- Pena-Rodriguez, E.; Moreno, M.C.; Blanco-Fernandez, B.; Gonzalez, J.; Fernandez-Campos, F. Epidermal Delivery of Retinyl Palmitate Loaded Transfersomes: Penetration and Biodistribution Studies. Pharmaceutics 2020, 12, 112. [Google Scholar] [CrossRef] [PubMed]
- Shi, T.; Lv, Y.; Huang, W.; Fang, Z.; Qi, J.; Chen, Z.; Zhao, W.; Wu, W.; Lu, Y. Enhanced transdermal delivery of curcumin nanosuspensions: A mechanistic study based on co-localization of particle and drug signals. Int. J. Pharm. 2020, 588, 119737. [Google Scholar] [CrossRef] [PubMed]
- Chen, Z.; Lv, Y.; Qi, J.; Zhu, Q.; Lu, Y.; Wu, W. Overcoming or circumventing the stratum corneum barrier for efficient transcutaneous immunization. Drug Discov. Today 2018, 23, 181–186. [Google Scholar] [CrossRef] [PubMed]
- Wang, Y.; Zhao, B.; Wang, S.; Liang, Q.; Cai, Y.; Yang, F.; Li, G. Formulation and evaluation of novel glycyrrhizic acid micelles for transdermal delivery of podophyllotoxin. Drug Deliv. 2016, 23, 1623–1635. [Google Scholar] [CrossRef]
- Ahad, A.; Al-Saleh, A.A.; Al-Mohizea, A.M.; Al-Jenoobi, F.I.; Raish, M.; Yassin, A.E.B.; Alam, M.A. Pharmacodynamic study of eprosartan mesylate-loaded transfersomes Carbopol((R)) gel under Dermaroller((R)) on rats with methyl prednisolone acetate-induced hypertension. Biomed. Pharmacother. 2017, 89, 177–184. [Google Scholar] [CrossRef]
- Opatha, S.A.T.; Titapiwatanakun, V.; Chutoprapat, R. Transfersomes: A Promising Nanoencapsulation Technique for Transdermal Drug Delivery. Pharmaceutics 2020, 12, 855. [Google Scholar] [CrossRef]
- Xu, W.; Fan, X.; Zhao, Y.; Li, L. Cysteine modified and bile salt based micelles: Preparation and application as an oral delivery system for paclitaxel. Colloids Surf. B Biointerfaces 2015, 128, 165–171. [Google Scholar] [CrossRef] [PubMed]
- Zahid, F.; Batool, S.; Ud-Din, F.; Ali, Z.; Nabi, M.; Khan, S.; Salman, O.; Khan, G.M. Antileishmanial Agents Co-loaded in Transfersomes with Enhanced Macrophage Uptake and Reduced Toxicity. AAPS PharmSciTech 2022, 23, 226. [Google Scholar] [CrossRef] [PubMed]
- Pitta, S.K.; Dudhipala, N.; Narala, A.; Veerabrahma, K. Development of zolmitriptan transfersomes by Box-Behnken design for nasal delivery: In vitro and in vivo evaluation. Drug Dev. Ind. Pharm. 2018, 44, 484–492. [Google Scholar] [CrossRef]
- Avadhani, K.S.; Manikkath, J.; Tiwari, M.; Chandrasekhar, M.; Godavarthi, A.; Vidya, S.M.; Hariharapura, R.C.; Kalthur, G.; Udupa, N.; Mutalik, S. Skin delivery of epigallocatechin-3-gallate (EGCG) and hyaluronic acid loaded nano-transfersomes for antioxidant and anti-aging effects in UV radiation induced skin damage. Drug Deliv. 2017, 24, 61–74. [Google Scholar] [CrossRef] [PubMed]
- Abdelwahd, A.; Abdul Rasool, B.K. Optimizing and Evaluating the Transdermal Permeation of Hydrocortisone Transfersomes Formulation Based on Digital Analysis of the in vitro Drug Release and ex vivo Studies. Recent Adv. Drug Deliv. Formul. 2022, 16, 122–144. [Google Scholar] [CrossRef] [PubMed]
- Ahmad, Z.; Khan, M.I.; Siddique, M.I.; Sarwar, H.S.; Shahnaz, G.; Hussain, S.Z.; Bukhari, N.I.; Hussain, I.; Sohail, M.F. Fabrication and Characterization of Thiolated Chitosan Microneedle Patch for Transdermal Delivery of Tacrolimus. AAPS PharmSciTech 2020, 21, 68. [Google Scholar] [CrossRef] [PubMed]
- Niu, J.; Yuan, M.; Li, H.; Liu, Y.; Wang, L.; Fan, Y.; Zhang, Y.; Liu, X.; Li, L.; Zhang, J.; et al. Pentapeptide modified ethosomes for enhanced skin retention and topical efficacy activity of indomethacin. Drug Deliv. 2022, 29, 1800–1810. [Google Scholar] [CrossRef] [PubMed]
- Trucillo, P. Drug Carriers: A Review on the Most Used Mathematical Models for Drug Release. Processes 2022, 10, 1094. [Google Scholar] [CrossRef]
- Varga, N.; Belteki, R.; Juhasz, A.; Csapo, E. Core-Shell Structured PLGA Particles Having Highly Controllable Ketoprofen Drug Release. Pharmaceutics 2023, 15, 1355. [Google Scholar] [CrossRef]
- Amnuaikit, T.; Limsuwan, T.; Khongkow, P.; Boonme, P. Vesicular carriers containing phenylethyl resorcinol for topical delivery system; liposomes, transfersomes and invasomes. Asian J. Pharm. Sci. 2018, 13, 472–484. [Google Scholar] [CrossRef]










| Amount of LC-DCA (mg) | Particle Size (nm) | PDI | Zeta Potential (mV) | EE (%) | Elasticity |
|---|---|---|---|---|---|
| 0 | 148.0 ± 56.6 | 0.13 ± 0.04 | −28.6 ± 5.9 | 84.33 ± 5.16 | 17.6 ± 0.3 |
| 20 | 165.3 ± 57.9 | 0.12 ± 0.01 | −30.6 ± 5.9 | 88.16 ± 4.63 | 16.1 ± 0.5 |
| 40 | 167.8 ± 55.2 | 0.11 ± 0.04 | −30.0 ± 6.4 | 86.82 ± 2.78 | 15.9 ± 0.3 |
| 60 | 172.5 ± 67.2 | 0.14 ± 0.08 | −31.3 ± 6.7 | 84.47 ± 3.84 | 15.3 ± 0.7 |
| 80 | 192.0 ± 69.9 | 0.15 ± 0.06 | −33.8 ± 5.7 | 72.34 ± 6.56 | 15.1 ± 0.5 |
| Kinetic Model | Fitting Equation | Regression Equation | R2 Value |
|---|---|---|---|
| Zero order | Mt/M∞ = Kt | Mt/M∞ = 0.0109t | 0.7574 |
| First order | Mt/M∞ = 1 × 10−Kt | Mt/M∞ = 1 × 10−0.0169t | 0.8218 |
| Higuchi | Mt/M∞ = Kt1/2 | Mt/M∞ = 0.0809t1/2 | 0.9235 |
| Korsmeyer–Peppas | Mt/M∞ = Ktn | Mt/M∞ = 0.1458t0.3982 | 0.9660 |
Disclaimer/Publisher’s Note: The statements, opinions and data contained in all publications are solely those of the individual author(s) and contributor(s) and not of MDPI and/or the editor(s). MDPI and/or the editor(s) disclaim responsibility for any injury to people or property resulting from any ideas, methods, instructions or products referred to in the content. |
© 2023 by the authors. Licensee MDPI, Basel, Switzerland. This article is an open access article distributed under the terms and conditions of the Creative Commons Attribution (CC BY) license (https://creativecommons.org/licenses/by/4.0/).
Share and Cite
Niu, J.; Yuan, M.; Chen, J.; Wang, L.; Qi, Y.; Bai, K.; Fan, Y.; Gao, P. L-Cysteine-Modified Transfersomes for Enhanced Epidermal Delivery of Podophyllotoxin. Molecules 2023, 28, 5712. https://doi.org/10.3390/molecules28155712
Niu J, Yuan M, Chen J, Wang L, Qi Y, Bai K, Fan Y, Gao P. L-Cysteine-Modified Transfersomes for Enhanced Epidermal Delivery of Podophyllotoxin. Molecules. 2023; 28(15):5712. https://doi.org/10.3390/molecules28155712
Chicago/Turabian StyleNiu, Jiangxiu, Ming Yuan, Jingjing Chen, Liye Wang, Yueheng Qi, Kaiyue Bai, Yanli Fan, and Panpan Gao. 2023. "L-Cysteine-Modified Transfersomes for Enhanced Epidermal Delivery of Podophyllotoxin" Molecules 28, no. 15: 5712. https://doi.org/10.3390/molecules28155712
APA StyleNiu, J., Yuan, M., Chen, J., Wang, L., Qi, Y., Bai, K., Fan, Y., & Gao, P. (2023). L-Cysteine-Modified Transfersomes for Enhanced Epidermal Delivery of Podophyllotoxin. Molecules, 28(15), 5712. https://doi.org/10.3390/molecules28155712

