Biopreservation and Bioactivation Juice from Waste Broccoli with Lactiplantibacillus plantarum
Abstract
1. Introduction
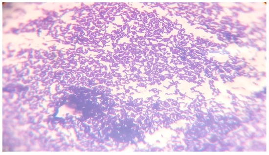
2. Results and Discussion
3. Materials and Methods
3.1. Chemicals and Reagents
3.2. Material
3.3. Inoculation, Fermentation, and Sampling
3.4. Physicochemical Measurements, Processes and Analysis
3.4.1. pH Measurements
3.4.2. Extraction
3.4.3. Sterilization
3.4.4. Carbon Dioxide Content
3.5. Phytochemical and Microbial Measurements and Analysis
3.5.1. Polyphenols Content
3.5.2. Total Flavonoid Content
3.5.3. Lactic Acid Content
3.5.4. Total Antioxidant Capacity
3.5.5. Optical Density of Lactiplantibacillus Bacteria Growth
3.5.6. FT-IR Spectroscopy
3.6. Statistical Analysis
4. Conclusions
Author Contributions
Funding
Institutional Review Board Statement
Informed Consent Statement
Data Availability Statement
Conflicts of Interest
Sample Availability
References
- Salas-Millán, J.Á.; Aznar, A.; Conesa, E.; Conesa-Bueno, A.; Aguayo, E. Functional food obtained from fermentation of broccoli by-products (stalk): Metagenomics profile and glucosinolate and phenolic compounds characterization by LC-ESI-QqQ-MS/MS. LWT 2022, 169, 113915. [Google Scholar] [CrossRef]
- Iga-Buitrón, D.; Torres-Maravilla, E.; Bermúdez-Humaran, L.G.; Ascacio-Valdes, J.A.; Rodríguez-Herrera, R.; Aguilar, C.N.; Flores-Gallegos, A.C. Lactic Fermentation of Broccoli (Brassica oleracea var. italica) to Enhance the Antioxidant and Antiproliferative Activities. Fermentation 2023, 9, 122. [Google Scholar] [CrossRef]
- Gray, A.R. Taxonomy and evolution of broccoli (Brassica oleracea var. italica). Econ. Bot. 1982, 36, 397–410. [Google Scholar] [CrossRef]
- Aires, A.; Carvalho, R.; Saavedra, M.J. Reuse potential of vegetable wastes (broccoli, green bean and tomato) for the recovery of antioxidant phenolic acids and flavonoids. Int. J. Food Sci. Technol. 2017, 52, 98–107. [Google Scholar] [CrossRef]
- Shapiro, T.A.; Fahey, J.W.; Wade, K.L.; Stephenson, K.K.; Talalay, P. Chemoprotective glucosinolates and isothiocyanates of broccoli sprouts: Metabolism and excretion in humans. Cancer Epidemiol. Biomark. Prev. 2001, 10, 501–508. [Google Scholar]
- RodríguezGarcía, S.L.; Raghavan, V. Microwave-Assisted Extraction of Phenolic Compounds from Broccoli (Brassica oleracea) Stems, Leaves, and Florets: Optimization, Characterization, and Comparison with Maceration Extraction. Recent Prog. Nutr. 2022, 2, 011. [Google Scholar]
- Filannino, P.; Bai, Y.; Di Cagno, R.; Gobbetti, M.; Gänzle, M.G. Metabolism of phenolic compounds by Lactobacillus spp. during fermentation of cherry juice and broccoli puree. Food Microbiol. 2015, 46, 272–279. [Google Scholar] [CrossRef]
- Cai, Y.X.; Wang, J.H.; McAuley, C.; Augustin, M.A.; Terefe, N.S. Fermentation for enhancing the bioconversion of glucoraphanin into sulforaphane and improve the functional attributes of broccoli puree. J. Funct. Foods 2019, 61, 103461. [Google Scholar] [CrossRef]
- Rajoka, M.S.R.; Mehwish, H.M.; Kitazawa, H.; Barba, F.J.; Berthelot, L.; Umair, M.; Zhu, Q.; He, Z.; Zhao, L. Techno-functional properties and immunomodulatory potential of exopolysaccharide from Lactiplantibacillus plantarum MM89 isolated from human breast milk. Food Chem. 2022, 377, 131954. [Google Scholar] [CrossRef]
- Arasu, M.V.; Al-Dhabi, N.A.; Ilavenil, S.; Choi, K.C.; Srigopalram, S. In vitro importance of probiotic Lactobacillus plantarum related to medical field. Saudi J. Biol. Sci. 2016, 23, S6–S10. [Google Scholar] [CrossRef]
- Fidanza, M.; Panigrahi, P.; Kollmann, T.R. Lactiplantibacillus plantarum–nomad and ideal probiotic. Front. Microbiol. 2021, 12, 712236. [Google Scholar] [CrossRef] [PubMed]
- Seddik, H.A.; Bendali, F.; Gancel, F.; Fliss, I.; Spano, G.; Drider, D. Lactobacillusplantarum and its probiotic and food potentialities. Probiotics Antimicrob. Proteins 2017, 9, 111–122. [Google Scholar] [CrossRef] [PubMed]
- Ooi, L.G.; Liong, M.T. Cholesterol-lowering effects of probiotics and prebiotics: A review of in vivo and in vitro findings. Int. J. Mol. Sci. 2010, 11, 2499–2522. [Google Scholar] [CrossRef] [PubMed]
- Shah, B.R.; Li, B.; Al Sabbah, H.; Xu, W.; Mráz, J. Effects of prebiotic dietary fibers and probiotics on human health: With special focus on recent advancement in their encapsulated formulations. Trends Food Sci. Technol. 2020, 102, 178–192. [Google Scholar] [CrossRef]
- Wang, M.; Fu, T.; Hao, J.; Li, L.; Tian, M.; Jin, N.; Ren, L.; Li, C. A recombinant Lactobacillus plantarum strain expressing the spike protein of SARS-CoV-2. Int. J. Biol. 2020, 160, 736–740. [Google Scholar] [CrossRef]
- Yang, J.W.; Kim, K.T.; Kim, S.S. Food Science/Microbiology: Fermentation Characteristics and anti-Helicobacter pylori Activity of Aqueous Broccoli Fermented by Lactobacillus plantarum MG208. J. Appl. Biol. Chem. 2015, 58, 89–95. [Google Scholar] [CrossRef]
- Mousavi, Z.E.; Mousavi, S.M.; Razavi, S.H.; Hadinejad, M.; Emam-Djomeh, Z.; Mirzapour, M. Effect of fermentation of pomegranate juice by Lactobacillusplantarum and Lactobacillusacidophilus on the antioxidant activity and metabolism of sugars, organic acids and phenolic compounds. Food Biotechnol. 2013, 27, 1–13. [Google Scholar] [CrossRef]
- Milinčić, D.D.; Popović, D.A.; Lević, S.M.; Kostić, A.Ž.; Tešić, Ž.L.; Nedović, V.A.; Pešić, M.B. Application of Polyphenol-Loaded Nanoparticles in Food Industry. Nanomaterials 2019, 9, 1629. [Google Scholar] [CrossRef]
- Sampaio Cutrim, C.; Sloboda Cortez, M.A. A review on polyphenols: Classification, beneficial effects and their application in dairy products. Int. J. Dairy Technol. 2018, 71, 564–578. [Google Scholar] [CrossRef]
- Riaz, A.; Aadil, R.M.; Amoussa AM, O.; Bashari, M.; Abid, M.; Hashim, M.M. Application of chitosan-based apple peel polyphenols edible coating on the preservation of strawberry (Fragaria ananassa cv Hongyan) fruit. J. Food Process. Prev. 2021, 45, e15018. [Google Scholar] [CrossRef]
- Zhou, Y.; Xu, T.; Zhang, Y.; Zhang, C.; Lu, Z.; Lu, F.; Zhao, H. Effect of Tea Polyphenols on Curdlan/Chitosan Blending Film Properties and Its Application to Chilled Meat Preservation. Coatings 2019, 9, 262. [Google Scholar] [CrossRef]
- Zhong, Y.; Li, W.; Ran, L.; Hou, R.; Han, P.; Lu, S.; Wang, Q.; Zhao, W.; Zhu, Y.; Dong, J. Inclusion complexes of tea polyphenols with HP-β-cyclodextrin: Preparation, characterization, molecular docking, and antioxidant activity. Food Sci. 2020, 85, 1105–1113. [Google Scholar] [CrossRef] [PubMed]
- He, W.J.; Chen, N.; Yu, Z.L.; Sun, Q.; He, Q.; Zeng, W.C. Gliadin interacted with tea polyphenols: Potential application and action mechanism. Int. J. Food Sci. Nutr. 2022, 73, 768–799. [Google Scholar] [CrossRef]
- Pan, Y.; Qin, R.; Hou, M.; Xue, J.; Zhou, M.; Xu, L.; Zhang, Y. The interactions of polyphenols with Fe and their application in Fenton/Fenton-like reactions. Sep. Purif. Technol. 2022, 300, 121831. [Google Scholar] [CrossRef]
- Li, X.; Jiang, G.; Shen, X.; Li, G. Application of Tea Polyphenols as a Biodegradable Fluid Loss Additive and Study of the Filtration Mechanism. ACS Omega 2020, 5, 3453–3461. [Google Scholar] [CrossRef] [PubMed]
- Mal, S.; Pal, D. Tannins and Polyphenols Extracted from Natural Plants and Their Versatile Application. In Bioactive Natural Products for Pharmaceutical Applications; Advanced Structured Materials; Pal, D., Nayak, A.K., Eds.; Springer: Cham, Switzerland, 2021; Volume 140. [Google Scholar] [CrossRef]
- Kiczorowski, P.; Kiczorowska, B.; Samolińska, W.; Szmigielski, M.; Winiarska-Mieczan, A. Effect of fermentation of chosen vegetables on the nutrient, mineral, and biocomponent profile in human and animal nutrition. Sci. Rep. 2022, 12, 13422. [Google Scholar] [CrossRef]
- Major, N.; Bažon, I.; Išić, N.; Kovačević, T.K.; Ban, D.; Radeka, S.; Goreta Ban, S. Bioactive Properties, Volatile Compounds, and Sensory Profile of Sauerkraut Are Dependent on Cultivar Choice and Storage Conditions. Foods 2022, 11, 1218. [Google Scholar] [CrossRef]
- Shokri, S.; Jegasothy, H.; Hliang, M.M.; Augustin, M.A.; Terefe, N.S. Thermosonication of Broccoli Florets Prior to Fermentation Increases Bioactive Components in Fermented Broccoli Puree. Fermentation 2022, 8, 236. [Google Scholar] [CrossRef]
- Nuryana, I.; Andriani, A.; Lisdiyanti, P. Analysis of organic acids produced by lactic acid bacteria. IOP Conf. Ser. Earth Environ. Sci. 2019, 251, 012054. [Google Scholar] [CrossRef]
- Hou, F.; Cai, Y.; Wang, J. Antioxidant Capacity Changes and Untargeted Metabolite Profile of Broccoli during Lactic Acid Bacteria Fermentation. Fermentation 2023, 9, 474. [Google Scholar] [CrossRef]
- Tolonen, M.; Rajaniemi, S.; Pihlava, J.M.; Johansson, T.; Saris, P.E.J.; Ryhanen, E.L. Formation of nisin, plant-derived biomol- ecules and antimicrobial activity in starter culture fermentations of sauerkraut. Food Microbiol. 2004, 21, 167–179. [Google Scholar] [CrossRef]
- Hemmalakshmi, S.; Priyanga, S.; Devaki, K. Fourier Transform Infra-Red Spectroscopy Analysis of Erythrina variegata L. J. Pharm. Sci. Res. 2017, 9, 2062–2067. [Google Scholar]
- Ye, J.-H.; Huang, L.-Y.; Terefe, N.S.; Augustin, M.A. Fermentation-based biotransformation of glucosinolates, phenolics and sugars in retorted broccoli puree by lactic acid bacteria. Food Chem. 2019, 286, 616–623. [Google Scholar] [CrossRef]
- Gad, H.A.; Bouzabata, A. Application of chemometrics in quality control of Turmeric (Curcuma longa) based on Ultra-violet, Fourier transform-infrared and 1H NMR spectroscopy. Food Chem. 2017, 237, 857–864. [Google Scholar] [CrossRef]
- Choi, S.; Baek, M.G.; Chung, M.J.; Lim, S.; Yi, H. Distribution of bacteriocin genes in the lineages of Lactiplantibacillus plantarum. Sci. Rep. 2021, 11, 20063. [Google Scholar] [CrossRef]
- Beveridge, T.J. Use of the Gram stain in microbiology. Biotech. Histochem. 2001, 76, 111–118. [Google Scholar] [CrossRef] [PubMed]
- Davies, J.A.; Anderson, G.K.; Beveridge, T.J.; Clark, H.C. Chemical mechanism of the Gram stain and synthesis of a new electron-opaque marker for electron microscopy which replaces the iodine mordant of the stain. J. Bacteriol. 1983, 156, 837–845. [Google Scholar] [CrossRef]
- Ameen, S.; Caruso, G. Lactic Acid in the Food Industry; Briefs in Molecular Science Chemistry of Foods; Springer: Berlin/Heidelberg, Germany, 2017. [Google Scholar] [CrossRef]
- Blajman, J.; Vinderola, G.; Paez, R.; Signorini, M. The role of homofermentative and heterofermentative lactic acid bacteria for alfalfa silage: A meta-analysis. J. Agric. Sci. 2020, 158, 107–118. [Google Scholar] [CrossRef]
- Ainsworth, E.A.; Gillespie, K.M. Estimation of total phenolic content and other oxidation substrates in plant tissues using Folin–Ciocalteu reagent. Nat. Protoc. 2007, 2, 875–877. [Google Scholar] [CrossRef]
- Phuyal, N.; Jha, P.K.; Raturi, P.P.; Rajbhandary, S. Total phenolic, flavonoid contents, and antioxidant activities of fruit, seed, and bark extracts of Zanthoxylum armatum DC. Sci. World J. 2020, 2020, 8780704. [Google Scholar] [CrossRef] [PubMed]
- Borshchevskaya, L.N.; Gordeeva, T.L.; Kalinina, A.N.; Sineokii, S.P. Spectrophotometric determination of lactic acid. J. Anal. Chem. 2016, 71, 755–758. [Google Scholar] [CrossRef]
- Abramovič, H.; Grobin, B.; Ulrih, N.P.; Cigić, B. The methodology applied in DPPH, ABTS and Folin-Ciocalteau assays has a large influence on the determined antioxidant potential. Acta Chim. Slov. 2017, 64, 491–499. [Google Scholar] [CrossRef] [PubMed]
- Kusznierewicz, B.; Śmiechowska, A.; Bartoszek, A.; Namieśnik, J. The effect of heating and fermenting on antioxidant properties of white cabbage. Food Chem. 2008, 108, 53–861. [Google Scholar] [CrossRef]
- Nandiyanto, A.S.D.; Oktiani, R.; Ragadhita, R. How to Read and Interpret FTIR Spectroscope of Organic Material. Indones. J. Sci. Technol. 2019, 4, 97–118. [Google Scholar] [CrossRef]









| Content of Phenolic Acids (mg/100 mL) | |||||
|---|---|---|---|---|---|
| TPC | CFA | CPA | CSA | CCA | |
| 30 °C | |||||
| Day 1 | 4.17 ± 0.04 | nd | nd | nd | nd |
| Day 4 | 24.0 ± 4.36 | 20.04 ± 1.7 | 20.74 ± 1.55 | 20.30 ± 2.92 | 20.66 ± 0.9 |
| Day 8 | 30.22 ± 4.6 | 25.71 ±4.68 | 26.89 ± 3.47 | 27.68 ± 4.6 | 27.16 ± 3.33 |
| 35 °C | |||||
| Day 1 | 3.88 ± 0.14 | 1.94 ± 0.45 | 1.61 ± 0.22 | 1.73 ± 0.44 | 1.65 ± 0.25 |
| Day 4 | 18.70 ± 0.87 | 20.14 ± 3.75 | 20.75 ± 5.17 | 18.15 ± 0.95 | 17.98 ± 0.78 |
| Day 8 | 21.88 ± 2.29 | 18.59 ± 2.71 | 18.94 ± 2.65 | 21.55 ± 6.43 | 18.99 ± 2.36 |
| Content (mg/100 mL) | ||||
|---|---|---|---|---|
| 30 °C | 35 °C | |||
| QC | LAC | QC | LAC | |
| Day 1 | 3.02 ± 0.28 | 11.39 ± 0.47 | 1.26 ± 0.09 | 8.86 ± 0.033 |
| Day 4 | 7.73 ± 0.37 | 28.74 ± 0.53 | 6.7 ± 0.25 | 18.47 ± 0.88 |
| Day 8 | 13.9 ± 1.48 | 45.56 ± 6.78 | 10.81 ± 1.49 | 27.96 ± 1.22 |
| 30 °C | 35 °C | |||
|---|---|---|---|---|
| Component | Day 1 | Day 4 | Day 1 | Day 4 |
| CO2 [%] | 51.35 ± 8.65 | 55.2 ± 6.8 | 74.48 ± 2.94 | 86.87 ± 2.84 |
| H2S [ppm] | 54 ± 6 | 15.5 ± 2.5 | 81 ± 7.50 | 390 ± 175 |
Disclaimer/Publisher’s Note: The statements, opinions and data contained in all publications are solely those of the individual author(s) and contributor(s) and not of MDPI and/or the editor(s). MDPI and/or the editor(s) disclaim responsibility for any injury to people or property resulting from any ideas, methods, instructions or products referred to in the content. |
© 2023 by the authors. Licensee MDPI, Basel, Switzerland. This article is an open access article distributed under the terms and conditions of the Creative Commons Attribution (CC BY) license (https://creativecommons.org/licenses/by/4.0/).
Share and Cite
Zdziobek, P.; Jodłowski, G.S.; Strzelec, E.A. Biopreservation and Bioactivation Juice from Waste Broccoli with Lactiplantibacillus plantarum. Molecules 2023, 28, 4594. https://doi.org/10.3390/molecules28124594
Zdziobek P, Jodłowski GS, Strzelec EA. Biopreservation and Bioactivation Juice from Waste Broccoli with Lactiplantibacillus plantarum. Molecules. 2023; 28(12):4594. https://doi.org/10.3390/molecules28124594
Chicago/Turabian StyleZdziobek, Patryk, Grzegorz Stefan Jodłowski, and Edyta Aneta Strzelec. 2023. "Biopreservation and Bioactivation Juice from Waste Broccoli with Lactiplantibacillus plantarum" Molecules 28, no. 12: 4594. https://doi.org/10.3390/molecules28124594
APA StyleZdziobek, P., Jodłowski, G. S., & Strzelec, E. A. (2023). Biopreservation and Bioactivation Juice from Waste Broccoli with Lactiplantibacillus plantarum. Molecules, 28(12), 4594. https://doi.org/10.3390/molecules28124594

