Efficient Adsorption and Extraction of Glutathione S-Transferases with Glutathione-Functionalized Graphene Oxide–Polyhedral Oligomeric Silsesquioxane Composite
Abstract
1. Introduction
2. Results and Discussion
2.1. Preparation and Characterization of GPG Composite
2.2. Protein Adsorption Behaviors on GPG Composite
2.3. Thermodynamic Analysis of GST Adsorption by GPG Composite
2.4. Kinetic Analysis of GST Adsorption by GPG Composite
2.5. Recovery of GST from GPG Composite
2.6. Reusability and Stability of GPG Composite
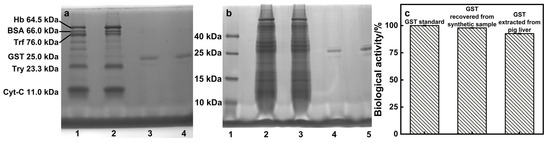
2.7. Extraction of GST from Synthetic Sample and Pig Live
3. Materials and Methods
3.1. Chemicals and Reagents
3.2. Preparation of OA–POSS
3.3. Preparation of GO-NH2
3.4. Preparation of GO–POSS
3.5. Preparation of GPG Composite
3.6. Characterization of the GPG Composite
3.7. Protein Adsorption with GPG Composite
3.8. Extraction of GST from Pig Liver with GPG Composite
4. Conclusions
Author Contributions
Funding
Institutional Review Board Statement
Informed Consent Statement
Data Availability Statement
Conflicts of Interest
References
- Chatterjee, A.; Gupta, S. The Multifaceted Role of Glutathione S-Transferases in Cancer. Cancer Lett. 2018, 433, 33–42. [Google Scholar] [CrossRef] [PubMed]
- Niitsu, Y.; Sato, Y.; Takayama, T. Implications of Glutathione-S Transferase P1 in Mapk Signaling as a Craf Chaperone: In Memory of Dr. Irving Listowsky. Proc. Jpn. Acad. Ser. B-Phys. Biol. Sci. 2022, 98, 72–86. [Google Scholar] [CrossRef] [PubMed]
- Czerniawski, P.; Bednarek, P. Glutathione S-Transferases in the Biosynthesis of Sulfur-Containing Secondary Metabolites in Brassicaceae Plants. Front. Plant Sci. 2018, 9, 1639–1646. [Google Scholar] [CrossRef] [PubMed]
- Wang, S.; Yang, J.; You, L.; Dai, M.; Zhao, Y. Gstm3 Function and Polymorphism in Cancer: Emerging but Promising. Cancer Manag. Res. 2020, 12, 10377–10388. [Google Scholar] [CrossRef] [PubMed]
- Singh, R.R.; Reindl, K.M. Glutathione S-Transferases in Cancer. Antioxidants 2021, 10, 701. [Google Scholar] [CrossRef]
- Kontur, W.S.; Olmsted, C.N.; Yusko, L.M.; Niles, A.V.; Walters, K.A.; Beebe, E.T.; Vander Meulen, K.A.; Karlen, S.D.; Gall, D.L.; Noguera, D.R.; et al. A Heterodimeric Glutathione S-Transferase That Stereospecifically Breaks Lignin’s (R)-Aryl Ether Bond Reveals the Diversity of Bacterial -Etherases. J. Biol. Chem. 2019, 294, 1877–1890. [Google Scholar] [CrossRef]
- Pettigrew, N.E.; Colman, R.F. Heterodimers of Glutathione S-Transferase Can Form between Isoenzyme Classes Pi and Mu. Arch. Biochem. Biophys. 2001, 396, 225–230. [Google Scholar] [CrossRef]
- Dowd, C.A.; Sheehan, D. Variable Expression of Glutathione S-Transferase Isoenzymes in the Fungus, Mucor Circinelloides. FEMS Microbiol. Lett. 1999, 170, 13–17. [Google Scholar] [CrossRef][Green Version]
- Reinemer, P.; Prade, L.; Hof, P.; Neuefeind, T.; Huber, R.; Zettl, R.; Palme, K.; Schell, J.; Koelln, I.; Bartunik, H.D.; et al. Three-Dimensional Structure of Glutathione S-Transferase from Arabidopsis Thaliana at 2.2 Angstrom Resolution: Structural Characterization of Herbicide-Conjugating Plant Glutathione S-Transferases and a Novel Active Site Architecture. J. Mol. Biol. 1996, 255, 289–309. [Google Scholar] [CrossRef]
- Dirr, H.W.; Little, T.; Kuhnert, D.C.; Sayed, Y. A Conserved N-Capping Motif Contributes Significantly to the Stabilization and Dynamics of the C-Terminal Region of Class Alpha Glutathione S-Transferases. J. Biol. Chem. 2005, 280, 19480–19487. [Google Scholar] [CrossRef]
- Low, W.Y.; Feil, S.C.; Ng, H.L.; Gorman, M.A.; Morton, C.J.; Pyke, J.; McConville, M.J.; Bieri, M.; Mok, Y.-F.; Robin, C.; et al. Recognition and Detoxification of the Insecticide Ddt by Drosophila Melanogaster Glutathione S-Transferase D1. J. Mol. Biol. 2010, 399, 358–366. [Google Scholar] [CrossRef] [PubMed]
- Fitzpatrick, P.J.; Ohalloran, J.; Sheehan, D.; Walsh, A.R. Assessment of a Glutathione S-Transferase and Related Proteins in the Gill and Digestive Gland of Mytilus Edulis (L), as Potential Organic Pollution Biomarkers. Biomarkers 1997, 2, 51–56. [Google Scholar] [CrossRef] [PubMed]
- Mnkandla, S.M.; Siwela, A.H.; Basopo, N. Effects of Chronic Exposures of Selected Heavy Metals on the Glutathione S-Transferase Activity of Freshwater Snails Lymnaea Natalensis in Zimbabwe. Afr. J. Aquat. Sci. 2019, 44, 233–236. [Google Scholar] [CrossRef]
- Zeng, B.Z.; Ge, C.L.; Li, R.L.; Zhang, Z.W.; Fu, Q.F.; Li, Z.; Lin, Z.Y.; Liu, L.; Xue, Y.B.; Xu, Y.Y.; et al. Knockdown of Microsomal Glutathione S-Transferase 1 Inhibits Lung Adenocarcinoma Cell Proliferation and Induces Apoptosis. Biomed. Pharmacother. 2020, 121, 109562–109573. [Google Scholar] [CrossRef] [PubMed]
- Liu, X.J.; Sui, X.X.; Zhang, C.J.; Wei, K.L.; Bao, Y.; Xiong, J.; Zhou, Z.W.; Chen, Z.Q.; Wang, C.Q.; Zhu, H.G.; et al. Glutathione S-Transferase A1 Suppresses Tumor Progression and Indicates Better Prognosis of Human Primary Hepatocellular Carcinoma. J. Cancer 2020, 11, 83–91. [Google Scholar] [CrossRef] [PubMed]
- Khurana, S.; Corbally, M.T.; Manning, F.; Armenise, T.; Kierce, B.; Kilty, C. Glutathione S-Transferase: A Potential New Marker of Intestinal Ischemia. J. Pediatr. Surg. 2002, 37, 1543–1548. [Google Scholar] [CrossRef]
- Deceglie, S.; Lionetti, C.; Roberti, M.; Cantatore, P.; Polosa, P.L. A Modified Method for the Purification of Active Large Enzymes Using the Glutathione S-Transferase Expression System. Anal. Biochem. 2012, 421, 805–807. [Google Scholar] [CrossRef]
- Xu, M.L.; Kim, S.C.; Kim, H.J.; Ju, W.; Kim, Y.H.; Kim, H.J. Two-Step Chromatographic Purification of Glutathione S-Transferase-Tagged Human Papillomavirus Type 16 E6 Protein and Its Application for Serology. Protein Expr. Purif. 2017, 132, 19–26. [Google Scholar] [CrossRef]
- Huang, Y.D.; Zhang, R.Y.; Li, J.; Li, Q.; Su, Z.G.; Ma, G.H. A Novel Gigaporous Gsh Affinity Medium for High-Speed Affinity Chromatography of Gst-Tagged Proteins. Protein Expr. Purif. 2014, 95, 84–91. [Google Scholar] [CrossRef]
- Wei, J.Y.; Ding, C.; Zhang, J.; Mi, W.; Zhao, Y.; Liu, M.W.; Fu, T.Y.; Zhang, Y.J.; Ying, W.T.; Cai, Y.; et al. High-Throughput Absolute Quantification of Proteins Using an Improved Two-Dimensional Reversed-Phase Separation and Quantification Concatemer (Qconcat) Approach. Anal. Bioanal. Chem. 2014, 406, 4183–4193. [Google Scholar] [CrossRef]
- Honjo, T.; Hoe, K.; Tabayashi, S.; Tanaka, T.; Shimada, J.; Goto, M.; Matsuyama, H.; Maruyama, T. Preparation of Affinity Membranes Using Thermally Induced Phase Separation for One-Step Purification of Recombinant Proteins. Anal. Biochem. 2013, 434, 269–274. [Google Scholar] [CrossRef]
- Lu, T.C.; Sun, J.; Dong, X.Q.; Chen, X.S.; Wang, Y.; Jing, X.B. Plla-Pcys Co-Electrospun Fibers for Capture and Elution of Glutathione S-Transferase. Sci. China Ser. B-Chem. 2009, 52, 2033–2037. [Google Scholar] [CrossRef]
- Ni, K.F.; Yang, J.B.; Ren, Y.H.; Wei, D.Z. Facile Synthesis of Glutathione-Functionalized Fe3o4@Polydopamine for Separation of Gst-Tagged Protein. Mater. Lett. 2014, 128, 392–395. [Google Scholar] [CrossRef]
- Kuan, W.C.; Lai, J.W.; Lee, W.C. Covalent Binding of Glutathione on Magnetic Nanoparticles: Application for Immobilizing Small Fragment Ubiquitin-Like-Specific Protease 1. Enzyme Microb. Technol. 2021, 143, 109697–109705. [Google Scholar] [CrossRef] [PubMed]
- Pan, Y.; Long, M.J.C.; Li, X.M.; Shi, J.; Hedstrom, L.; Xu, B. Glutathione (Gsh)-Decorated Magnetic Nanoparticles for Binding Glutathione-S-Transferase (Gst) Fusion Protein and Manipulating Live Cells. Chem. Sci. 2011, 2, 945–948. [Google Scholar] [CrossRef]
- Zou, X.; Li, L.; Lu, H.; Zhang, Y.; Zhao, Y.; Zhang, Y.; Guo, Q. Synthesis of Biofunctionalized Silica Nanospheres to Separate Gst-Tagged Proteins. Process Biochem. 2016, 51, 804–808. [Google Scholar] [CrossRef]
- Buhrman, J.S.; Rayahin, J.E.; Kollmer, M.; Gemeinhart, R.A. In-House Preparation of Hydrogels for Batch Affinity Purification of Glutathione S-Transferase Tagged Recombinant Proteins. BMC Biotechnol. 2012, 12, 63–70. [Google Scholar] [CrossRef]
- Tanaka, K.; Inafuku, K.; Adachi, S.; Chujo, Y. Tuning of Properties of Poss-Condensed Water-Soluble Network Polymers by Modulating the Cross-Linking Ratio between Poss. Macromolecules 2009, 42, 3489–3492. [Google Scholar] [CrossRef]
- Zhang, Y.; Zhuang, Y.; Shen, H.; Chen, X.; Wang, J. A Super Hydrophilic Silsesquioxane-Based Composite for Highly Selective Adsorption of Glycoproteins. Microchim. Acta 2017, 184, 1037–1044. [Google Scholar] [CrossRef]
- Zhang, Y.; Wang, M.-M.; Hao, J.-X.; Chen, X.-W.; Wang, J.-H. Discrimination and Highly Selective Adsorption of Phosphoproteins and Glycoproteins with Arginine-Functionalized Polyhedral Oligomeric Silsesquioxane Frameworks. J. Mat. Chem. B 2018, 6, 4116–4123. [Google Scholar] [CrossRef]
- Sanil, E.S.; Cho, K.-H.; Hong, D.-Y.; Lee, J.S.; Lee, S.-K.; Ryu, S.G.; Lee, H.W.; Chang, J.-S.; Hwang, Y.K. A Polyhedral Oligomeric Silsesquioxane Functionalized Copper Trimesate. Chem. Commun. 2015, 51, 8418–8420. [Google Scholar] [CrossRef] [PubMed]
- Zhang, Y.; Guo, Z.; Han, L.; Zhang, Y.; Chen, X.; Wang, J. Monolayer Polymerization of Polyhedral Oligomeric Silsesquioxane on Graphene Oxide for Highly Efficient Adsorption of Β-Lactoglobulin. Carbon 2017, 122, 194–201. [Google Scholar] [CrossRef]
- Rezaie, J.; Jabbari, N.; Kalashani, S.A.; Jabbari, E.; Akbari, A. Paclitaxel Nano-Conjugated to Polyhedral Oligomeric Silsesquioxane (Poss) Nanoparticles as a Novel Water-Soluble Prodrug. Mater. Lett. 2022, 307, 131013–131016. [Google Scholar] [CrossRef]
- Ye, X.; Feng, Y.; Tian, P.; Li, Z.; Li, Y.; Wang, W.; Li, J.; Qiao, L.; Wang, K.; Zhang, W.; et al. Engineering Two Nitrogen-Containing Polyhedral Oligomeric Silsesquioxanes (N-Posss) to Enhance the Fire Safety of Epoxy Resin Endowed with Superior Thermal Stability. Polym. Degrad. Stabil. 2022, 200, 109946–109956. [Google Scholar] [CrossRef]
- Iizuka, D.; Gon, M.; Tanaka, K.; Chujo, Y. Development of a Fluoride-Anion Sensor Based on Aggregation of a Dye-Modified Polyhedral Oligomeric Silsesquioxane. Chem. Commun. 2022, 58, 12184–12187. [Google Scholar] [CrossRef]
- Dong, Y.; He, J.; Yang, R. Phenolic Resin/Polyhedral Oligomeric Silsesquioxane (Poss) Composites: Mechanical, Ablative, Thermal, and Flame Retardant Properties. Polym. Adv. Technol. 2019, 30, 2075–2085. [Google Scholar] [CrossRef]
- Mohamed, M.G.; Kuo, S.W. Functional Polyimide/Polyhedral Oligomeric Silsesquioxane Nanocomposites. Polymers 2019, 11, 26. [Google Scholar] [CrossRef]
- Liu, H.; Wang, Y.D.; Huang, J.Y.; Chen, Z.; Chen, G.Q.; Lai, Y.K. Bioinspired Surfaces with Superamphiphobic Properties: Concepts, Synthesis, and Applications. Adv. Funct. Mater. 2018, 28, 1707415–1707441. [Google Scholar] [CrossRef]
- Laine, R.M. Nanobuilding Blocks Based on the [Osio1.5] (X = 6, 8, 10) Octasilsesquioxanes. J. Mater. Chem. 2005, 15, 3725–3744. [Google Scholar] [CrossRef]
- Sawicki, J.; Baranczyk-Kuzma, A. Properties of Pig Brain Glutathione-S-Transferase. Medycyna Weterynaryjna 2004, 60, 300–302. [Google Scholar]
- Alagarsamy, A.; Chandrasekaran, S.; Manikandan, A. Green Synthesis and Characterization Studies of Biogenic Zirconium Oxide (Zro2) Nanoparticles for Adsorptive Removal of Methylene Blue Dye. J. Mol. Struct. 2022, 1247, 131275. [Google Scholar] [CrossRef]
- Magesh, N.; Renita, A.A.; Siva, R.; Harirajan, N.; Santhosh, A. Adsorption Behavior of Fluoroquinolone(Ciprofloxacin) Using Zinc Oxide Impregnated Activated Carbon Prepared from Jack Fruit Peel: Kinetics and Isotherm Studies. Chemosphere 2022, 290, 133227. [Google Scholar] [CrossRef]
- Habdous, M.; Vincent-Viry, M.; Visvikis, S.; Siest, G. Rapid Spectrophotometric Method for Serum Glutathione S-Transferases Activity. Clin. Chim. Acta 2002, 326, 131–142. [Google Scholar] [CrossRef] [PubMed]
- Huang, H.; Yao, H.; Liu, J.-Y.; Samra, A.I.; Kamita, S.G.; Cornel, A.J.; Hammock, B.D. Development of Pyrethroid-Like Fluorescent Substrates for Glutathione S-Transferase. Anal. Biochem. 2012, 431, 77–83. [Google Scholar] [CrossRef] [PubMed]
- He, Y.; Wang, H.-F.; Yan, X.-P. Self-Assembly of Mn-Doped Zns Quantum Dots/Octa(3-Aminopropyl)Octasilsequioxane Octahydrochloride Nanohybrids for Optosensing DNA. Chem.-Eur. J. 2009, 15, 5436–5440. [Google Scholar] [CrossRef] [PubMed]
- Hummers, W.S., Jr.; Offeman, R.E. Preparation of Graphitic Oxide. J. Am. Chem. Soc. 1958, 80, 1339. [Google Scholar] [CrossRef]
- Kovtyukhova, N.I.; Ollivier, P.J.; Martin, B.R.; Mallouk, T.E.; Chizhik, S.A.; Buzaneva, E.V.; Gorchinskiy, A.D. Layer-by-Layer Assembly of Ultrathin Composite Films from Micron-Sized Graphite Oxide Sheets and Polycations. Chem. Mater. 1999, 11, 771–778. [Google Scholar] [CrossRef]
- Eltaweil, A.S.; Elshishini, H.M.; Ghatass, Z.F.; Elsubruiti, G.M. Ultra-High Adsorption Capacity and Selective Removal of Congo Red over Aminated Graphene Oxide Modified Mn-Doped Uio-66 Mof. Powder Technol. 2021, 379, 407–416. [Google Scholar] [CrossRef]
- Song, N.; Yang, J.; Ding, P.; Tang, S.; Liu, Y.; Shi, L. Effect of Covalent-Functionalized Graphene Oxide with Polymer and Reactive Compatibilization on Thermal Properties of Maleic Anhydride Grafted Polypropylene. Ind. Eng. Chem. Res. 2014, 53, 19951–19960. [Google Scholar] [CrossRef]
- Fickert, J.; Rupper, P.; Graf, R.; Landfester, K.; Crespy, D. Design and Characterization of Functionalized Silica Nanocontainers for Self-Healing Materials. J. Mater. Chem. 2012, 22, 2286–2291. [Google Scholar] [CrossRef]
- Estupinan, D.; Bannwarth, M.B.; Mylon, S.E.; Landfester, K.; Munoz-Espi, R.; Crespy, D. Multifunctional Clickable and Protein-Repellent Magnetic Silica Nanoparticles. Nanoscale 2016, 8, 3019–3030. [Google Scholar] [CrossRef] [PubMed]










| Adsorbent | Adsorption Capacity (mg g−1) | Ref. |
|---|---|---|
| PLLA-PCys-GSH/PLGA fibers | 6.5 | [22] |
| SPION@silica-GSH nanoparticles | 6.84 | [24] |
| MNP-GSH magnetic nanoparticles | 60 | [25] |
| GPG composite | 364.94 | This work |
| T = 20 °C | Linear | Nonlinear | ||||
|---|---|---|---|---|---|---|
| Models | R2 | Parameter 1 | Parameter 2 | R2 | Parameter 1 | Parameter 2 |
| Langmuir | 0.9796 | Qm = 363.63 mg g−1 | KL = 99.48 mg L−1 | 0.9813 | Qm = 364.94 mg g−1 | KL = 90.13 mg L−1 |
| Freundlich | 0.9734 | KF = 30.79 mg g−1 | n = 2.65 | 0.9746 | KF = 37.50 mg g−1 | n = 2.89 |
| Temkin | 0.9865 | KT = 0.159 L mg−1 | BT = 35.97 J mol−1 | 0.9865 | KT = 0.145 L mg−1 | BT = 35.97 J mol−1 |
| D-R | 0.7050 | Qm = 216.87 mg g−1 | β = 6.77 × 10−5 mol2 kJ−2 | 0.6023 | Qm = 226.80 mg g−1 | β = 7.49 × 10−5 mol2 kJ−2 |
| T = 20 °C | Linear | Nonlinear | ||||
|---|---|---|---|---|---|---|
| Models | R2 | Parameter 1 | Parameter 2 | R2 | Parameter 1 | Parameter 2 |
| Pseudo first order | 0.9441 | Qe = 77.58 mg g−1 | k1 = 0.0536 min−1 | 0.8321 | Qe = 93.07 mg g−1 | k1 = 0.0867 min−1 |
| pseudo second order | 0.9782 | Qe = 103.0 mg g−1 | k2 = 0.0016 g mg−1 min−1 | 0.9074 | Qe = 102.4 mg g−1 | k2 = 0.0015 g mg−1 min−1 |
| intraparticle diffusion | 0.9483 | c = 27.36 mg g−1 | k = 9.6049 mg g−1 min−0.5 | 0.9387 | c = 24.46 mg g−1 | k = 10.68 mg g−1 min−0.5 |
Disclaimer/Publisher’s Note: The statements, opinions and data contained in all publications are solely those of the individual author(s) and contributor(s) and not of MDPI and/or the editor(s). MDPI and/or the editor(s) disclaim responsibility for any injury to people or property resulting from any ideas, methods, instructions or products referred to in the content. |
© 2023 by the authors. Licensee MDPI, Basel, Switzerland. This article is an open access article distributed under the terms and conditions of the Creative Commons Attribution (CC BY) license (https://creativecommons.org/licenses/by/4.0/).
Share and Cite
Sun, J.; Jia, L.; Chen, X. Efficient Adsorption and Extraction of Glutathione S-Transferases with Glutathione-Functionalized Graphene Oxide–Polyhedral Oligomeric Silsesquioxane Composite. Molecules 2023, 28, 340. https://doi.org/10.3390/molecules28010340
Sun J, Jia L, Chen X. Efficient Adsorption and Extraction of Glutathione S-Transferases with Glutathione-Functionalized Graphene Oxide–Polyhedral Oligomeric Silsesquioxane Composite. Molecules. 2023; 28(1):340. https://doi.org/10.3390/molecules28010340
Chicago/Turabian StyleSun, Jingqi, Limin Jia, and Xuwei Chen. 2023. "Efficient Adsorption and Extraction of Glutathione S-Transferases with Glutathione-Functionalized Graphene Oxide–Polyhedral Oligomeric Silsesquioxane Composite" Molecules 28, no. 1: 340. https://doi.org/10.3390/molecules28010340
APA StyleSun, J., Jia, L., & Chen, X. (2023). Efficient Adsorption and Extraction of Glutathione S-Transferases with Glutathione-Functionalized Graphene Oxide–Polyhedral Oligomeric Silsesquioxane Composite. Molecules, 28(1), 340. https://doi.org/10.3390/molecules28010340

