Grapefruit Debittering by Simultaneous Naringin Hydrolysis and Limonin Adsorption Using Naringinase Immobilized in Agarose Supports
Abstract
:1. Introduction
2. Results and Discussion
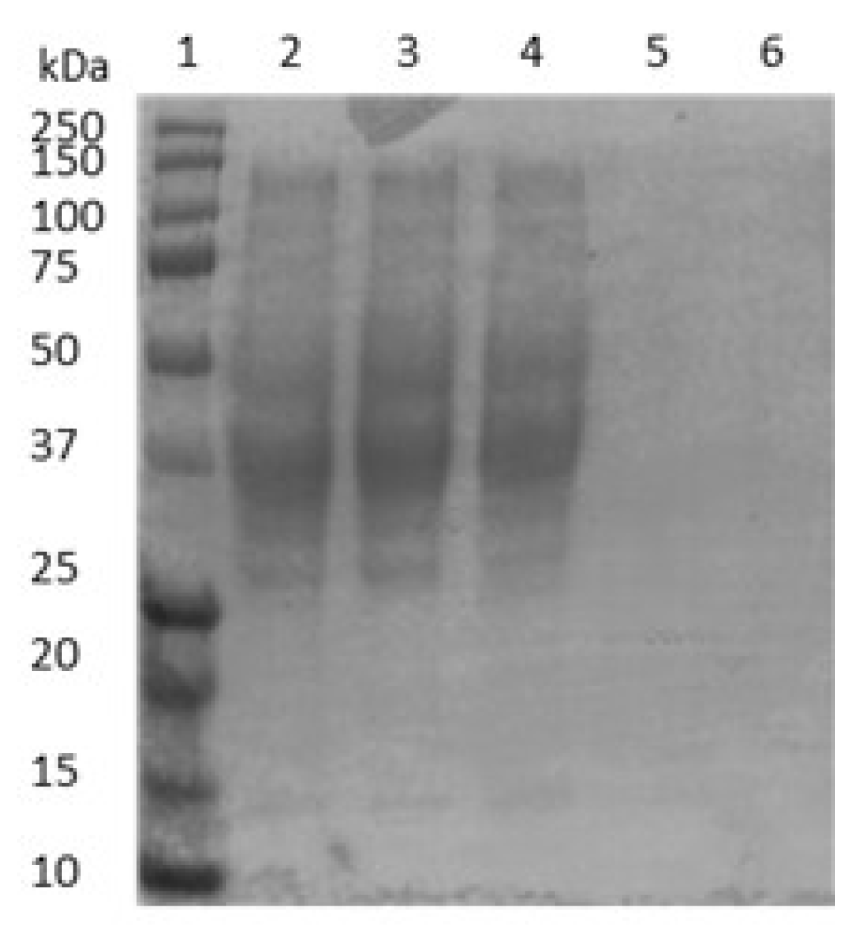
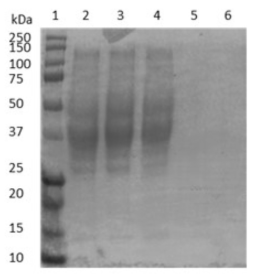
2.1. Characterization of Naringinase
2.2. Immobilization of Naringinase in BGA and OGA
2.3. Debittering Grapefruit Juice
3. Materials and Methods
3.1. Materials
3.2. Analytical Methods
3.3. Preparation of Supports
3.4. Immobilization of Naringinase in BGA and OGA
3.5. Effect of pH and Temperature on Catalytic Activity
3.6. Adsorption of the Bitter Compound in Fresh Juice
3.7. Debittering of Grapefruit Juice by Soluble and Immobilized Enzyme
Supplementary Materials
Author Contributions
Funding
Institutional Review Board Statement
Informed Consent Statement
Acknowledgments
Conflicts of Interest
Sample Availability
References
- Zhang, J.; Yang, Z.; Liang, Y.; Zhang, L.; Ling, W.; Guo, C.; Liang, G.; Luo, G.; Ye, Q.; Zhong, B. Effects of Postharvest Time, Heat Treatment, PH and Filtration on the Limonin Content in Newhall Navel Orange (Citrus Sinensis Osbeck Cv. Newhall) Juice. Molecules 2018, 23, 2691. [Google Scholar] [CrossRef] [PubMed] [Green Version]
- Puri, M.; Marwaha, S.S.; Kothari, R.M.; Kennedy, J.F. Biochemical Basis of Bitterness in Citrus Fruit Juices and Biotech Approaches for Debittering. Crit. Rev. Biotechnol. 1996, 16, 145–155. [Google Scholar] [CrossRef]
- Roy, A.; Saraf, S. Limonoids: Overview of Significant Bioactive Triterpenes Distributed in Plants Kingdom. Biol. Pharm. Bull. 2006, 29, 191–201. [Google Scholar] [CrossRef] [Green Version]
- Fellers, P.J. A Review of Limonin in Grapefruit (Citrus Paradisi) Juice, Its Relationship to Flavour, and Efforts to Reduce It. J. Sci. Food Agric. 1989, 49, 389–404. [Google Scholar] [CrossRef]
- Maier, V.P.; Brewster, L.C.; Hsu, A.C. Ethylene-Accelerated Limonoid Metabolism in Citrus Fruits: A Process for Reducing Juice Bitterness. J. Agric. Food Chem. 1973, 21, 490–495. [Google Scholar] [CrossRef]
- Guadagni, D.G.; Maier, V.P.; Turnbaugh, J.G. Effect of Some Citrus Juice Constituents on Taste Thresholds for Limonin and Naringin Bitterness. J. Sci. Food Agric. 1973, 24, 1277–1288. [Google Scholar] [CrossRef]
- Gattuso, G.; Barreca, D.; Gargiulli, C.; Leuzzi, U.; Caristi, C. Flavonoid Composition of Citrus Juices. Molecules 2007, 12, 1641–1673. [Google Scholar] [CrossRef] [Green Version]
- Tomás-Barberán, F.A.; Clifford, M.N. Review Flavanones, Chalcones and Dihydrochalcones-Nature, Occurrence and Dietary Burden. J. Sci. Food Agric. 2000, 80, 1073–1080. [Google Scholar] [CrossRef]
- Fisher, J.F.; Wheaton, T.A. A High-Pressure Liquid Chromatographic Method for the Resolution and Quantitation of Naringin and Naringenin Rutinoside in Grapefruit Juice. J. Agric. Food Chem. 1976, 24, 898–899. [Google Scholar] [CrossRef]
- Singh, S.V.; Jain, R.; Gupta, A.K.; Dhatt, A.S. Debittering of Citrus Juices: A Review. J. Food Sci. Technol. 2003, 40, 247–253. [Google Scholar]
- Johnson, R.L.; Chandler, B.V. Reduction of Bitterness and Acidity in Grapefruit Juice by Adsorptive Processes. J. Sci. Food Agric. 1982, 287–293. [Google Scholar] [CrossRef]
- Hernandez, E.M.; Couture, R.; Rouseff, R. Evaluation of Ultrafiltration and Adsorption to Bitter Grapefruit Juice and Grapefruit Pulp Wash. J. Food Sci. 2006, 57, 664–666. [Google Scholar] [CrossRef]
- Ribeiro, M.H.L.; Silveira, D.; Ferreira-Dias, S. Selective Adsorption of Limonin and Naringin from Orange Juice to Natural and Synthetic Adsorbents. Eur. Food Res. Technol. 2002, 215, 462–471. [Google Scholar] [CrossRef]
- Gordon, R.M.; Washington, T.L.; Sims, C.A.; Goodrich-Schneider, R.; Baker, S.M.; Yagiz, Y.; Gu, L. Performance of Macroporous Resins for Debittering HLB-Affected Grapefruit Juice and Its Impacts on Furanocoumarin and Consumer Sensory Acceptability. Food Chem. 2021, 352, 129367. [Google Scholar] [CrossRef] [PubMed]
- Gupta, A.K.; Yumnam, M.; Medhi, M.; Koch, P.; Chakraborty, S.; Mishra, P. Isolation and Characterization of Naringinase Enzyme and Its Application in Debittering of Pomelo Juice (Citrus Grandis): A Comparative Study with Macroporous Resin. J. Food Process. Preserv. 2021, 45, e15380. [Google Scholar] [CrossRef]
- Couture, R.; Rouseff, R. Debittering and Deacidifying Sour Orange (Citrus Aurantium) Juice Using Neutral and Anion Exchange Resins. J. Food Sci. 1992, 380–384. [Google Scholar] [CrossRef]
- Kola, O.; Kaya, C.; Duran, H.; Altan, A. Removal of Limonin Bitterness by Treatment of Ion Exchange and Adsorbent Resins. Food Sci. Biotechnol. 2010, 19, 411–416. [Google Scholar] [CrossRef]
- Kranz, P.; Adler, P.; Kunz, B. Sorption of Citrus Flavour Compounds on XAD-7HP Resin during the Debittering of Grapefruit Juice. Int. J. Food Sci. Technol. 2011, 46, 30–36. [Google Scholar] [CrossRef]
- Puri, M.; Kaur, A.; Singh, R.S.; Kanwar, J.R. Immobilized Enzyme Technology for Debittering Citrus Fruit Juices. In Food Enzymes: Application of New Technolgies; Busto, M.D., Ortega, N., Eds.; Transworld Research Network: Kerala, India, 2008; pp. 91–103. ISBN 9788178953588. [Google Scholar]
- Lee, H.S.; Kim, J.G. Effects of Debittering on Red Grapefruit Juice Concentrate. Food Chem. 2003, 82, 177–180. [Google Scholar] [CrossRef]
- Busto, M.D.; Cavia-Saiz, M.; Ortega, N.; Muñiz, P. Enzymatic Debittering on Antioxidant Capacity of Grapefruit Juice. In Processing and Impact on Antioxidants in Beverages; Preedy, V., Ed.; Academic Press: Cambridge, MA, USA, 2014; pp. 195–202. [Google Scholar]
- Puri, M.; Kaur, L.; Marwaha, S.S. Partial Purification and Characterization of Limonoate Dehydrogenase from Rhodococcus Fascians for the Degradation of Limonin Utilising Plant Biomass for Biorefinery Development. J. Microbiol. Biotechnol. 2002, 12, 669–673. [Google Scholar]
- Puri, M. Updates on Naringinase: Structural and Biotechnological Aspects. Appl. Microbiol. Biotechnol. 2012, 93, 49–60. [Google Scholar] [CrossRef] [PubMed]
- Yusof, S.; Ghazali, H.M.; King, G.S. Naringin Content in Local Citrus Fruits. Food Chem. 1990, 37, 113–121. [Google Scholar] [CrossRef]
- Ghosh, U.; Gangopadhyay, H. Reduction of Bitter Components of Pomelo Juice by Chemical Treatment and Immobilized Enzyme. Indian J. Chem. Technol. 2003, 10, 701–704. [Google Scholar]
- Mishra, P.; Kar, R. Treatment of Grapefruit Juice for Bitterness Removal by Amberlite IR 120 and Amberlite IR 400 and Alginate Entrapped Naringinase Enzyme. J. Food Sci. 2003, 68, 1229–1233. [Google Scholar] [CrossRef]
- Ribeiro, I.A.C.; Ribeiro, M.H.L. Kinetic Modelling of Naringin Hydrolysis Using a Bitter Sweet Alfa-Rhamnopyranosidase Immobilized in k-Carrageenan. J. Mol. Catal. B Enzym. 2008, 51, 10–18. [Google Scholar] [CrossRef]
- Tsen, H.-Y.; Yu, G.-K. Limonin and Naringin Removal from Grapefruit Juice with Naringinase Entrapped in Cellulose Triacetate Fibres. J. Food Sci. 1991, 56, 31–34. [Google Scholar] [CrossRef]
- Lei, S.J.; Si, Y.P. Improvement of the Activity of Naringinase by Covalent Immobilization on Sodium Alginate in Biomaterial Engineering and Its Applications. Adv. Mater. Res. 2012, 578, 187–190. [Google Scholar] [CrossRef]
- Awad, G.E.A.; Abd El Aty, A.A.; Shehata, A.N.; Hassan, M.E.; Elnashar, M.M. Covalent Immobilization of Microbial Naringinase Using Novel Thermally Stable Biopolymer for Hydrolysis of Naringin. Biotech. 2016, 6, 1–10. [Google Scholar] [CrossRef] [Green Version]
- Bodakowska-Boczniewicz, J.; Garncarek, Z. Immobilization of Naringinase from Penicillium Decumbens on Chitosan Microspheres for Debittering Grapefruit Juice. Molecules 2019, 24, 4234. [Google Scholar] [CrossRef] [Green Version]
- Puri, M.; Kaur, H.; Kennedy, J.F. Covalent Immobilization of Naringinase for the Transformation of a Flavonoid Enhanced Reader. J. Chem. Technol. Biot. 2005, 80, 1160–1165. [Google Scholar] [CrossRef]
- Puri, M.; Seth, M.; Marwaha, S.S.; Kothari, R.M. Debittering of Kinnow Mandarin Juice by Covalently Bound Naringinase on Hen Egg White. Food Biotechnol. 2001, 15, 13–23. [Google Scholar] [CrossRef]
- Ellenrieder, G.; Daz, M. Thermostabilization of Naringinase from Penicillium Decumbens by Proteins in Solution and Immobilization on Insoluble Proteins. Biocatal. Biotransform. 1996, 14, 113–123. [Google Scholar] [CrossRef]
- Carceller, J.M.; Paul, J.; Galán, M.; Monti, R.; Bassan, J.C.; Filice, M.; Yu, J.; Climent, M.J.; Iborra, S.; Corma, A. Covalent Immobilization of Naringinase over Two-Dimensional 2D Zeolites and Its Applications in a Continuous Process to Produce Citrus Flavonoids and for Debittering of Juices. ChemCatChem 2020, 12, 4502–4511. [Google Scholar] [CrossRef]
- Li, Q.; Zhang, N.; Sun, X.; Zhan, H.; Tian, J.; Fei, X.; Liu, X.; Chen, G.; Wang, Y. Controllable Biotransformation of Naringin to Prunin by Naringinase Immobilized on Functionalized Silica. J. Chem. Technol. Biot. 2021, 96, 1218–1227. [Google Scholar] [CrossRef]
- Zheng, X.; Li, Q.; Tian, J.; Zhan, H.; Yu, C.; Wang, S.; Sun, X.; Sun, X. Facile Preparation of Immobilized Naringinase on Polyethylenimine/Dopamine-Coated Hydrothermal Carbon Spheres with High Performance. J. Chem. Technol. Biot. 2021, 96, 2343–2353. [Google Scholar] [CrossRef]
- Puri, M.; Banerjee, U.C. Production, Purification, and Characterization of the Debittering Enzyme Naringinase. Biotechnol. Adv. 2000, 18, 207–217. [Google Scholar] [CrossRef]
- Ribeiro, M.H. Naringinases: Occurrence, Characteristics, and Applications. Appl. Microbiol. Biotechnol. 2011, 90, 1883–1895. [Google Scholar] [CrossRef]
- Chen, Y.; Ni, H.; Chen, F.; Cai, H.; Li, L.; Su, W. Purification and Characterization of a Naringinase from Aspergillus Aculeatus JMUdb058. J. Agr. Food Chem. 2013, 61, 931–938. [Google Scholar] [CrossRef]
- Borkar, V.; Chakraborty, S.; Gokhale, J.S. Fermentative Production of Naringinase from Aspergillus Niger van Tieghem MTCC 2425 Using Citrus Wastes: Process Optimization, Partial Purification, and Characterization. Appl. Biochem. Biotechnol. 2010, 193, 1321–1337. [Google Scholar] [CrossRef]
- Puri, M.; Kalra, S. Purification and Characterization of Naringinase from a Newly Isolated Strain of Aspergillus Niger 1344 for the Transformation of Flavonoids. World J. Microb. Biot. 2005, 21, 753–758. [Google Scholar] [CrossRef]
- Zhu, Y.; Jia, H.; Xi, M.; Li, J.; Yang, L.; Li, X. Characterization of a Naringinase from Aspergillus Oryzae 11250 and Its Application in the Debitterization of Orange Juice. Process Biochem. 2017, 62, 114–121. [Google Scholar] [CrossRef]
- Mateo, C.; Palomo, J.M.; Fuentes, M.; Betancor, L.; Grazu, V.; López-Gallego, F.; Pessela, B.C.C.; Hidalgo, A.; Fernández-Lorente, G.; Fernández-Lafuente, R.; et al. Glyoxyl Agarose: A Fully Inert and Hydrophilic Support for Immobilization and High Stabilization of Proteins. Enzym. Microb. Technol. 2006, 39, 274–280. [Google Scholar] [CrossRef]
- Guisán, J.M. Aldehyde-Agarose Gels as Activated Supports for Immobilization-Stabilization of Enzymes. Enzym. Microb. Technol. 1988, 10, 375–382. [Google Scholar] [CrossRef]
- Rodrigues, R.C.; Berenguer-Murcia, Á.; Carballares, D.; Morellon-Sterling, R.; Fernandez-Lafuente, R. Stabilization of Enzymes via Immobilization: Multipoint Covalent Attachment and Other Stabilization Strategies. Biotechnol. Adv. 2021, 52, 107821. [Google Scholar] [CrossRef] [PubMed]
- Bodakowska-Boczniewicz, J.; Garncarek, Z. Immobilization of Naringinase from Aspergillus Niger on a Magnetic Polysaccharide Carrier. Molecules 2020, 25, 2731. [Google Scholar] [CrossRef]
- Yu, C.; Li, Q.; Tian, J.; Zhan, H.; Zheng, X.; Wang, S.; Sun, X.; Sun, X. A Facile Preparation of Immobilized Naringinase on Polyethyleneimine-Modified Fe3O4 Magnetic Nanomaterials with High Activity. RSC Adv. 2021, 11, 14568–14577. [Google Scholar] [CrossRef]
- Li, S.; Wang, Z.; Ding, F.; Sun, D.; Ma, Z.; Cheng, Y.; Xu, J. Content Changes of Bitter Compounds in ‘Guoqing No.1′ Satsuma Mandarin (Citrus Unshiu Marc.) during Fruit Development of Consecutive 3 Seasons. Food Chem. 2014, 145, 963–969. [Google Scholar] [CrossRef]
- Pichaiyongvongdee, S.; Haruenkit, R. Effect of Ethylene Treatments on Limonin Reduction in Thai Pummelo (Citrus Grandis (L.) Osbeck) Fruit. Kasetsart J. Nat. Sci. 2011, 45, 1105–1114. [Google Scholar]
- Rueda, N.; dos Santos, J.C.S.; Torres, R.; Ortiz, C.; Barbosa, O.; Fernandez-Lafuente, R. Immobilization of Lipases on Heterofunctional Octyl–Glyoxyl Agarose Supports: Improved Stability and Prevention of the Enzyme Desorption. Methods Enzymol. 2016, 571, 73–85. [Google Scholar]
- Singh, R.; Bhattacharya, B.; Tomar, S.K.; Singh, V.; Singh, P.K. Electrical, Optical and Electrophotochemical Studies on Agarose Based Biopolymer Electrolyte towards Dye Sensitized Solar Cell Application. Measurement 2017, 102, 214–219. [Google Scholar] [CrossRef]
- Trivedi, T.J.; Srivastava, D.N.R.; Rogers, R.D.; Kumar, A. Agarose Processing in Protic and Mixed Protic–Aprotic Ionic Liquids: Dissolution, Regeneration and High Conductivity, High Strength Ionogels. Green Chem. 2012, 14, 2831–2839. [Google Scholar] [CrossRef] [Green Version]











Limonin;
Naringin; □ Prunin; ∎ Naringenin.
Limonin;
Naringin; □ Prunin; ∎ Naringenin.

| Protein Concentration (mg mL−1) | pNPR Activity (µmol min−1 mgprot−1) | pNPG Activity (µmol min−1 mgprot−1) |
|---|---|---|
| 5.2 ± 0.8 | 1567.9 ± 251.9 | 5434.4 ± 75.6 |
Publisher’s Note: MDPI stays neutral with regard to jurisdictional claims in published maps and institutional affiliations. |
© 2022 by the authors. Licensee MDPI, Basel, Switzerland. This article is an open access article distributed under the terms and conditions of the Creative Commons Attribution (CC BY) license (https://creativecommons.org/licenses/by/4.0/).
Share and Cite
Muñoz, M.; Holtheuer, J.; Wilson, L.; Urrutia, P. Grapefruit Debittering by Simultaneous Naringin Hydrolysis and Limonin Adsorption Using Naringinase Immobilized in Agarose Supports. Molecules 2022, 27, 2867. https://doi.org/10.3390/molecules27092867
Muñoz M, Holtheuer J, Wilson L, Urrutia P. Grapefruit Debittering by Simultaneous Naringin Hydrolysis and Limonin Adsorption Using Naringinase Immobilized in Agarose Supports. Molecules. 2022; 27(9):2867. https://doi.org/10.3390/molecules27092867
Chicago/Turabian StyleMuñoz, Mariela, Jessica Holtheuer, Lorena Wilson, and Paulina Urrutia. 2022. "Grapefruit Debittering by Simultaneous Naringin Hydrolysis and Limonin Adsorption Using Naringinase Immobilized in Agarose Supports" Molecules 27, no. 9: 2867. https://doi.org/10.3390/molecules27092867
APA StyleMuñoz, M., Holtheuer, J., Wilson, L., & Urrutia, P. (2022). Grapefruit Debittering by Simultaneous Naringin Hydrolysis and Limonin Adsorption Using Naringinase Immobilized in Agarose Supports. Molecules, 27(9), 2867. https://doi.org/10.3390/molecules27092867

