Stability Studies of UV Laser Irradiated Promethazine and Thioridazine after Exposure to Hypergravity Conditions
Abstract
:1. Introduction
2. Materials and Methods
2.1. Medicine Solutions
2.2. Laser Irradiation Protocol
2.3. Hypergravity Exposure Protocol
2.4. Medicine Solutions Characterization
2.4.1. pH Assay
2.4.2. UV-Vis Absorption Spectroscopy
2.4.3. FTIR Absorption Spectroscopy
2.4.4. Thin-Layer Chromatography
3. Results and Discussion
3.1. pH Analysis
3.2. UV-Vis Absorption Analysis
3.3. FTIR Analysis
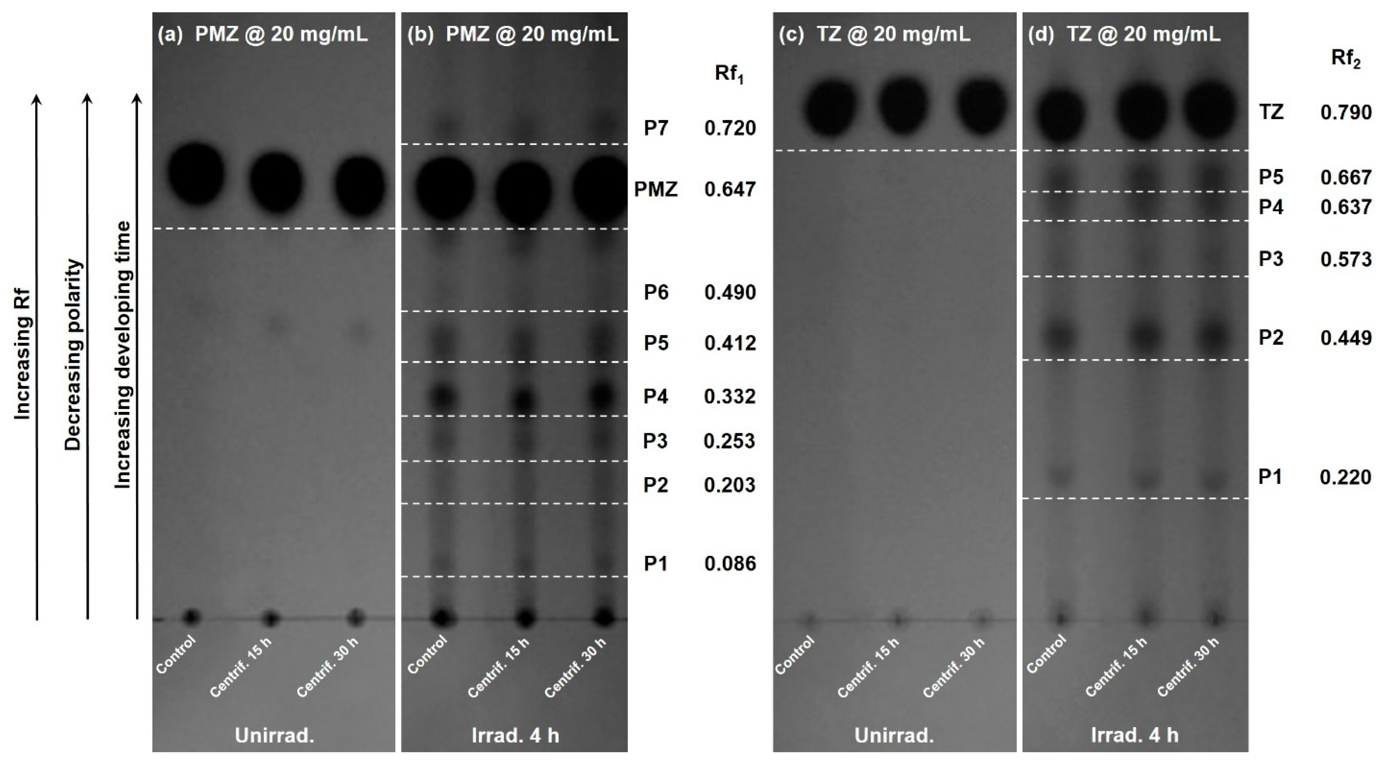
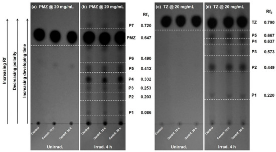
3.4. TLC Analysis
4. Conclusions
Supplementary Materials
Author Contributions
Funding
Institutional Review Board Statement
Informed Consent Statement
Data Availability Statement
Acknowledgments
Conflicts of Interest
Sample Availability
References
- Ortega, H.J.; Harm, D.L.; Reschke, M.F. Space and Entry Motion Sickness. In Principles of Clinical Medicine for Space Flight; Springer: New York, NY, USA, 2019; pp. 441–456. [Google Scholar] [CrossRef]
- Jennings, R.T. Managing Space Motion Sickness. J. Vestib. Res. 1998, 8, 67–70. [Google Scholar] [CrossRef] [PubMed]
- Heer, M.; Paloski, W.H. Space Motion Sickness: Incidence, Etiology, and Countermeasures. Auton. Neurosci. 2006, 129, 77–79. [Google Scholar] [CrossRef] [PubMed]
- Bagian, J.P. First Intramuscular Administration in the U.S. Space Program. J. Clin. Pharmacol. 1991, 31, 920. [Google Scholar] [CrossRef] [PubMed]
- Davis, J.R.; Jennings, R.T.; Beck, B.G.; Bagian, J.P. Treatment Efficacy of Intramuscular Promethazine for Space Motion Sickness. Aviat. Space Environ. Med. 1993, 64, 230–233. [Google Scholar]
- Davis, J.R.; Jennings, R.T.; Beck, B.G. Comparison of Treatment Strategies for Space Motion Sickness. Acta Astronaut. 1993, 29, 587–591. [Google Scholar] [CrossRef]
- Bagian, J.P.; Ward, D.F. A Retrospective Study of Promethazine and Its Failure to Produce the Expected Incidence of Sedation During Space Flight. J. Clin. Pharmacol. 1994, 34, 649–651. [Google Scholar] [CrossRef]
- Vernikos, J. Pharmacological Approaches. Acta Astronaut. 1995, 35, 281–295. [Google Scholar] [CrossRef]
- Ramanathan, R.; Geary, R.S.; Bourne, D.W.A.; Putcha, L. Bioavailability of Intranasal Promethazine Dosage Forms in Dogs. Pharmacol. Res. 1998, 38, 35–39. [Google Scholar] [CrossRef]
- PubChem Promethazine Hydrochloride. Available online: https://pubchem.ncbi.nlm.nih.gov/compound/6014 (accessed on 1 November 2021).
- Thanacoody, H.K.R. Thioridazine: Resurrection as an Antimicrobial Agent? Br. J. Clin. Pharmacol. 2007, 64, 566–574. [Google Scholar] [CrossRef] [Green Version]
- Radhakrishnan, V.; Ganguly, K.; Ganguly, M.; Dastidar, S.G.; Chakrabarty, A.N. Potentiality of Tricyclic Compound Thioridazine as an Effective Antibacterial and Antiplasmid Agent. Indian J. Exp. Biol. 1999, 37, 671–675. [Google Scholar]
- Kristiansen, J.E.; Thomsen, V.F.; Martins, A.; Viveiros, M.; Amaral, L. Non-Antibiotics Reverse Resistance of Bacteria to Antibiotics. In Vivo 2010, 24, 751–754. [Google Scholar] [PubMed]
- Amaral, L.; Boeree, M.J.; Gillespie, S.H.; Udwadia, Z.F.; van Soolingen, D. Thioridazine Cures Extensively Drug-Resistant Tuberculosis (XDR-TB) and the Need for Global Trials Is Now! Int. J. Antimicrob. Agents 2010, 35, 524–526. [Google Scholar] [CrossRef] [PubMed] [Green Version]
- Abbate, E.; Vescovo, M.; Natiello, M.; Cufré, M.; García, A.; Gonzalez Montaner, P.; Ambroggi, M.; Ritacco, V.; van Soolingen, D. Successful Alternative Treatment of Extensively Drug-Resistant Tuberculosis in Argentina with a Combination of Linezolid, Moxifloxacin and Thioridazine. J. Antimicrob. Chemother. 2012, 67, 473–477. [Google Scholar] [CrossRef] [Green Version]
- Zarir, F.U.; Tiyas, S.; Lancelot, M.P. Safety and Efficacy of Thioridazine as Salvage Therapy in Indian Patients with XDR-TB. Recent Pat. Anti-Infect. Drug Discov. 2011, 6, 88–91. [Google Scholar]
- Novikova, N.D. Review of the Knowledge of Microbial Contamination of the Russian Manned Spacecraft. Microb. Ecol. 2004, 47, 127–132. [Google Scholar] [CrossRef] [PubMed]
- Novikova, N.; De Boever, P.; Poddubko, S.; Deshevaya, E.; Polikarpov, N.; Rakova, N.; Coninx, I.; Mergeay, M. Survey of Environmental Biocontamination on Board the International Space Station. Res. Microbiol. 2006, 157, 5–12. [Google Scholar] [CrossRef]
- Guéguinou, N.; Huin-Schohn, C.; Bascove, M.; Bueb, J.-L.; Tschirhart, E.; Legrand-Frossi, C.; Frippiat, J.-P. Could Spaceflight-Associated Immune System Weakening Preclude the Expansion of Human Presence beyond Earth’s Orbit? J. Leukoc. Biol. 2009, 86, 1027–1038. [Google Scholar] [CrossRef] [Green Version]
- Sachlos, E.; Risueño, R.M.; Laronde, S.; Shapovalova, Z.; Lee, J.-H.; Russell, J.; Malig, M.; McNicol, J.D.; Fiebig-Comyn, A.; Graham, M.; et al. Identification of Drugs Including a Dopamine Receptor Antagonist That Selectively Target Cancer Stem Cells. Cell 2012, 149, 1284–1297. [Google Scholar] [CrossRef] [Green Version]
- Cucinotta, F.A.; Durante, M. Cancer Risk from Exposure to Galactic Cosmic Rays: Implications for Space Exploration by Human Beings. Lancet Oncol. 2006, 7, 431–435. [Google Scholar] [CrossRef] [Green Version]
- Waleed, Y.; Shankar, T.; Mohamed, N.S. Repurposing Non-Antimicrobial Drugs and Clinical Molecules to Treat Bacterial Infections. Curr. Pharm. Des. 2015, 21, 4106–4111. [Google Scholar]
- Pascu, M.L.; Nastasa, V.; Smarandache, A.; Militaru, A.; Martins, A.; Viveiros, M.; Boni, M.; Andrei, I.R.; Pascu, A.; Staicu, A.; et al. Direct Modification of Bioactive Phenothiazines by Exposure to Laser Radiation. Recent Pat. Anti-Infect. Drug Discov. 2011, 6, 1–13. [Google Scholar] [CrossRef] [PubMed]
- Pascu, M.L.; Danko, B.; Martins, A.; Jedlinszki, N.; Alexandru, T.; Nastasa, V.; Boni, M.; Militaru, A.; Andrei, I.R.; Staicu, A.; et al. Exposure of Chlorpromazine to 266 Nm Laser Beam Generates New Species with Antibacterial Properties: Contributions to Development of a New Process for Drug Discovery. PLoS ONE 2013, 8, e55767. [Google Scholar] [CrossRef]
- Alexandru, T.; Armada, A.; Danko, B.; Hunyadi, A.; Militaru, A.; Boni, M.; Nastasa, V.; Martins, A.; Viveiros, M.; Pascu, M.L.; et al. Biological Evaluation of Products Formed from the Irradiation of Chlorpromazine with a 266 Nm Laser Beam. Biochem. Pharmacol. Open Access 2013, 2, 1–4. [Google Scholar] [CrossRef] [Green Version]
- Alexandru, T.; Staicu, A.; Pascu, A.I.; Radu, E.; Stoicu, A.; Nastasa, V.V.; Dinache, A.C.; Boni, M.; Amaral, L.; Pascu, M.L. Characterization of Mixtures of Compounds Produced in Chlorpromazine Aqueous Solutions by Ultraviolet Laser Irradiation: Their Applications in Antimicrobial Assays. J. Biomed. Opt. 2014, 20, 1–11. [Google Scholar] [CrossRef] [PubMed]
- Tozar, T.; Nastasa, V.; Stoicu, A.; Chifiriuc, M.C.; Popa, M.; Kamerzan, C.; Pascu, M.L. In Vitro Antimicrobial Efficacy of Laser Exposed Chlorpromazine against Gram-Positive Bacteria in Planktonic and Biofilm Growth State. Microb. Pathog. 2019, 129, 250–256. [Google Scholar] [CrossRef] [PubMed]
- Tozar, T.; Santos Costa, S.; Udrea, A.-M.; Nastasa, V.; Couto, I.; Viveiros, M.; Pascu, M.L.; Romanitan, M.O. Anti-Staphylococcal Activity and Mode of Action of Thioridazine Photoproducts. Sci. Rep. 2020, 10, 18043. [Google Scholar] [CrossRef]
- Simon, Á.; Smarandache, A.; Iancu, V.; Pascu, M.L. Stability of Antimicrobial Drug Molecules in Different Gravitational and Radiation Conditions in View of Applications during Outer Space Missions. Molecules 2021, 26, 2221. [Google Scholar] [CrossRef]
- Mehta, P.; Bhayani, D. Impact of Space Environment on Stability of Medicines: Challenges and Prospects. J. Pharm. Biomed. Anal. 2017, 136, 111–119. [Google Scholar] [CrossRef]
- Du, B.; Daniels, V.R.; Vaksman, Z.; Boyd, J.L.; Crady, C.; Putcha, L. Evaluation of Physical and Chemical Changes in Pharmaceuticals Flown on Space Missions. AAPS J. 2011, 13, 299–308. [Google Scholar] [CrossRef] [Green Version]
- van Loon, J.J.W.A.; Krause, J.; Cunha, H.; Goncalves, J.; Almeida, H.; Schiller, P. The Large Diameter Centrifuge, LDC, for Life and Physical Sciences and Technology. In Proceedings of the Symposium Life in Space for Life on Earth, Angers, France, 22–27 June 2008. [Google Scholar]
- Frisch, M.J. et al. Gaussian 09, Revision D.01; Gaussian Inc.: Wallingford, CT, USA, 2009. [Google Scholar]
- Simon, A.; Alexandru, T.; Boni, M.; Damian, V.; Stoicu, A.; Dutschk, V.; Pascu, M.L. Interaction of Solutions Containing Phenothiazines Exposed to Laser Radiation with Materials Surfaces, in View of Biomedical Applications. Int. J. Pharm. 2014, 475, 270–281. [Google Scholar] [CrossRef]
- Smarandache, A.; Simon, Á.; Tozar, T.; Nastasa, V.; Pascu, M.L. Stability Studies on Promethazine Unexposed and Exposed to UV Laser Radiation. In Proceedings of the Physical Chemistry of Interfaces and Nanomaterials XIV, San Diego, CA, USA, 9–13 August 2015. [Google Scholar]
- Tozar, T.; Pascu, M.L. Time Stability of Laser Exposed Phenothiazines Aqueous Solutions in View of Antimicrobial Research. Proc. Rom. Acad. A 2018, 19, 537–544. [Google Scholar]
- van Loon, J.J.W.A.; Dowson, A. Large Diameter Centrifuge (LDC) Experimenter Users Manual. ESA-TECMMG-MAN-014129 3. 2019, pp. 1–33. Available online: https://esamultimedia.esa.int/docs/edu/LDC_Experimenter_User_manual_V.3_Rev.0_14-May-2019_ESA-TECMMG-MAN-014129.pdf (accessed on 7 January 2022).
- Simon, Á.; Smarandache, A.; Tozar, T.; Andrei, I.R.; Stoicu, A.; van Loon, J.J.W.A.; Dowson, A.; Pascu, M.L. Photoactive Chlorpromazine and Promazine Drugs Exposed to Hypergravity Conditions after Interaction with UV Laser Radiation. Acta Astronaut. 2021, 189, 260–268. [Google Scholar] [CrossRef]
- van Loon, J.J.W.A.; Folgering, E.H.T.E.; Bouten, C.V.C.; Veldhuijzen, J.P.; Smit, T.H. Inertial Shear Forces and the Use of Centrifuges in Gravity Research. What Is the Proper Control? J. Biomech. Eng. 2003, 125, 342–346. [Google Scholar] [CrossRef] [PubMed]
- van Loon, J.J.W.A. Centrifuges. In Generation and Applications of Extra-Terrestrial Environments on Earth; Beysens, D.A., van Loon, J.J.W.A., Eds.; River Publishers: Aalborg, Denmark, 2015; pp. 109–119. [Google Scholar]
- NASA. Stardust Sample Return. Press Kit; 2006. Available online: https://www.jpl.nasa.gov/news/press_kits/stardust-return.pdf (accessed on 14 February 2022).
- Revelle, D.O.; Edwards, W.N. Stardust—An artificial, low-velocity “meteor” fall and recovery: 15 January 2006. Meteorit. Planet. Sci. 2007, 42, 271–299. [Google Scholar] [CrossRef]
- Osaki, T.; Soejima, E. Quadratic Scaling Functions for Obtaining Normal Vibrational Wavenumbers from the B3LYP Calculation. Res. Bull. Fukuoka Inst. Technol. 2010, 42, 129–134. [Google Scholar]
- Morán, M.C.; Tozar, T.; Simon, A.; Dinache, A.; Smarandache, A.; Andrei, I.R.; Boni, M.; Pascu, M.L.; Cirisano, F.; Ferrari, M. Toxicity Study in Blood and Tumor Cells of Laser Produced Medicines for Application in Fabrics. Colloids Surf. B Biointerfaces 2016, 137, 91–103. [Google Scholar] [CrossRef]
- Trawiński, J.; Skibiński, R. Studies on Photodegradation Process of Psychotropic Drugs: A Review. Environ. Sci. Pollut. Res. 2017, 24, 1152–1199. [Google Scholar] [CrossRef] [Green Version]
- Miolo, G.; Levorato, L.; Gallocchio, F.; Caffieri, S.; Bastianon, C.; Zanoni, R.; Reddi, E. In Vitro Phototoxicity of Phenothiazines: Involvement of Stable UVA Photolysis Products Formed in Aqueous Medium. Chem. Res. Toxicol. 2006, 19, 156–163. [Google Scholar] [CrossRef]
- Nałęcz-Jawecki, G.; Hajnas, A.; Sawicki, J. Photodegradation and Phototoxicity of Thioridazine and Chlorpromazine Evaluated with Chemical Analysis and Aquatic Organisms. Ecotoxicology 2008, 17, 13–20. [Google Scholar] [CrossRef]
- Wilde, M.L.; Menz, J.; Trautwein, C.; Leder, C.; Kümmerer, K. Environmental Fate and Effect Assessment of Thioridazine and Its Transformation Products Formed by Photodegradation. Environ. Pollut. 2016, 213, 658–670. [Google Scholar] [CrossRef]
- Schreier, S.; Malheiros, S.V.P.; de Paula, E. Surface Active Drugs: Self-Association and Interaction with Membranes and Surfactants. Physicochemical and Biological Aspects. Biochim. Biophys. Acta (BBA)-Biomembr. 2000, 1508, 210–234. [Google Scholar] [CrossRef] [Green Version]
- Aaron, J.J.; Seye, M.D.G.; Trajkovska, S.; Motohashi, N. Bioactive Phenothiazines and Benzo[a]Phenothiazines: Spectroscopic Studies, and Biological and Biomedical Properties and Applications. In Bioactive Heterocycles VII. Topics in Heterocyclic Chemistry; Springer: Berlin/Heidelberg, Germany, 2008; Volume 16, pp. 153–231. [Google Scholar] [CrossRef]
- Sánchez, F.G.; Navas Díaz, A.; Sánchez Torreño, E.; Aguilar, A.; Medina Lama, I.; Algarra, M. Determination of Enantiomeric Excess by Chiral Liquid Chromatography without Enantiomerically Pure Starting Standards. Biomed. Chromatogr. 2012, 26, 1241–1246. [Google Scholar] [CrossRef] [PubMed]
- Baker, G.B.; Prior, T.I. Stereochemistry and Drug Efficacy and Development: Relevance of Chirality to Antidepressant and Antipsychotic Drugs. Ann. Med. 2002, 34, 537–543. [Google Scholar] [CrossRef] [PubMed]
- Poole, C.F. Thin-Layer Chromatography: Challenges and Opportunities. J. Chromatogr. A 2003, 1000, 963–984. [Google Scholar] [CrossRef]
- Fazakaş, L.A.; Naşcu-Briciu, R.D.; Sârbu, C. A Comparative Study Concerning the Image Analysis in Thin Layer Chromatography of Fluorescent Compounds. J. Liq. Chromatogr. Relat. Technol. 2011, 34, 2315–2325. [Google Scholar] [CrossRef]
- Bansal, K.; McCrady, J.; Hansen, A.; Bhalerao, K. Thin Layer Chromatography and Image Analysis to Detect Glycerol in Biodiesel. Fuel 2008, 87, 3369–3372. [Google Scholar] [CrossRef]
- Tozar, T.; Stoicu, A.; Radu, E.; Pascu, M.L. Evaluation of Thin Layer Chromatography Image Analysis Method for Irradiated Chlorpromazine Quantification. Rom. Rep. Phys. 2015, 67, 1608–1615. [Google Scholar]







Publisher’s Note: MDPI stays neutral with regard to jurisdictional claims in published maps and institutional affiliations. |
© 2022 by the authors. Licensee MDPI, Basel, Switzerland. This article is an open access article distributed under the terms and conditions of the Creative Commons Attribution (CC BY) license (https://creativecommons.org/licenses/by/4.0/).
Share and Cite
Simon, Á.; Tozar, T.; Smarandache, A.; Boni, M.; Stoicu, A.; Dowson, A.; van Loon, J.J.W.A.; Pascu, M.L. Stability Studies of UV Laser Irradiated Promethazine and Thioridazine after Exposure to Hypergravity Conditions. Molecules 2022, 27, 1728. https://doi.org/10.3390/molecules27051728
Simon Á, Tozar T, Smarandache A, Boni M, Stoicu A, Dowson A, van Loon JJWA, Pascu ML. Stability Studies of UV Laser Irradiated Promethazine and Thioridazine after Exposure to Hypergravity Conditions. Molecules. 2022; 27(5):1728. https://doi.org/10.3390/molecules27051728
Chicago/Turabian StyleSimon, Ágota, Tatiana Tozar, Adriana Smarandache, Mihai Boni, Alexandru Stoicu, Alan Dowson, Jack J. W. A. van Loon, and Mihail Lucian Pascu. 2022. "Stability Studies of UV Laser Irradiated Promethazine and Thioridazine after Exposure to Hypergravity Conditions" Molecules 27, no. 5: 1728. https://doi.org/10.3390/molecules27051728
APA StyleSimon, Á., Tozar, T., Smarandache, A., Boni, M., Stoicu, A., Dowson, A., van Loon, J. J. W. A., & Pascu, M. L. (2022). Stability Studies of UV Laser Irradiated Promethazine and Thioridazine after Exposure to Hypergravity Conditions. Molecules, 27(5), 1728. https://doi.org/10.3390/molecules27051728

