Glucose/Ribitol Dehydrogenase and 16.9 kDa Class I Heat Shock Protein 1 as Novel Wheat Allergens in Baker’s Respiratory Allergy
Abstract
:1. Introduction
| Allergen | Biochemical Activity | Exposure | Ref. |
|---|---|---|---|
| Ethylene-responsive transcription factor | Plant transcription factor | Inhalation | [12] |
| Transcription elongation factor 1 | Plant transcription factor | Inhalation | [12] |
| Transcription factor with zinc finger domain | Plant transcription factor | Inhalation | [12] |
| Translation factor 5a2 | Translation factor | Inhalation | [12] |
| Tri a 15 | Monomeric alpha-amylase inhibitor 0.28 | Inhalation | [11] |
| Tri a 29 | Tetrameric alpha-amylase inhibitor CM1/CM2 | Inhalation | [11] |
| Tri a 30 | Tetrameric alpha-amylase inhibitor CM3 | Inhalation | [11] |
| Tri a 31 | Triosephosphate-isomerase | Inhalation | [7] |
| Tri a 32 | 1-cys-peroxiredoxin | Inhalation | [16] |
| Tri a 33 | Serpin | Inhalation | [7] |
| Tri a 34 | Glyceraldehyde-3-phosphate-dehydrogenase | Inhalation | [20] |
| Tri a 35 | Dehydrin | Inhalation | [20] |
| Tri a 39 | Serine protease inhibitor-like protein | Inhalation | [16] |
| Tri a 40 | Chloroform/methanol-soluble (CM) 17 protein [alpha-amylase inhibitor] | Inhalation | [11] |
| 26 kDa endochitinase | Endochitinase | Ingestion | [21] |
| b-glucosidase | Glucosidase | Ingestion | [21] |
| Class II chitinase | Chitinase | Ingestion | [21] |
| Endogenous amylase/subtilisin inhibitor | Alpha amylase/subtilisin inhibitor | Ingestion | [21] |
| TLP | Thaumatin like protein | Ingestion | [21] |
| Tri a 12 | Profilin | Ingestion | [17] |
| Tri a 14 | Non-specific lipid transfer protein 1 | Ingestion | [14] |
| Tri a 17 | beta-amylase | Ingestion | [17] |
| Tri a 18 | Agglutinin isolectin 1 | Ingestion | [14] |
| Tri a 19 | Omega-5 gliadin, seed storage protein | Ingestion | [22] |
| Tri a 20 | Gamma gliadin | Ingestion | [15] |
| Tri a 21 | Alpha-beta-gliadin | Ingestion | [15] |
| Tri a 25 | Thioredoxin | Ingestion | [14] |
| Tri a 26 | High molecular weight glutenin | Ingestion | [14] |
| Tri a 27 | Thiol reductase homologue | Ingestion | [7] |
| Tri a 28 | Dimeric alpha-amylase inhibitor 0.19 | Ingestion | [11] |
| Tri a 36 | Prolamin. Low molecular weight glutenin GluB3-23 | Ingestion | [19] |
| Tri a 36 | Low molecular weight glutenin GluB3-23 | Ingestion | [13] |
| Tri a 37 | a-purothionin. PR-13 family | Ingestion | [18] |
| Tri a 41 | Mitochondrial ubiquitin ligase activator of NFKB 1 | Ingestion | [25] |
| Tri a 42 | Hypothetical protein from cDNA | Ingestion | [25] |
| Tri a 43 | Hypothetical protein from cDNA | Ingestion | [25] |
| Tri a 44 | Endosperm transfer cell specific PR60 precursor | Ingestion | [25] |
| Tri a 45 | Elongation factor 1 (EIF1) | Ingestion | [25] |
| Trypsin/a-amylase inhibitor (AAI) CMX1/CMX3 | Tripsin/a-amylase inhibitor | Ingestion | [21] |
| Xylanase inhibitor protein-1 | Xylanase inhibitor | Ingestion | [21] |
2. Results
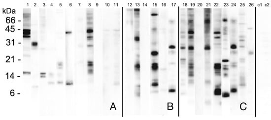
2.1. The IgE-Binding Patterns of Patients
2.2. 2-DE Identification of Different IgE-Binding Spot in Raw and Fractionated Wheat Extract
- Alpha-amylase inhibitor 0.28 (Triticum aestivum) with a 12 MW;
- Glucose/ribitol dehydrogenase (Oryza sativa) with the 31 MW.
3. Discussion
Strengths and Limitations
4. Materials and Methods
4.1. Study Patients
4.2. Skin Prick Tests (SPT)
4.3. IgE Determination
4.4. Pulmonary Function Testing
4.5. Wheat Protein Extraction and Purification
4.6. SDS-PAGE and IgE-Immunoblotting
4.7. 2-DE: IPG-SDS-PAGE and 2D IgE-Blotting
4.8. Electroendosmotic Preparative Gel Electrophoresis (EPGE)
4.9. Protein Identification by NanoHPLC Chip MS/MS
4.10. Wheat Allergen List Update
5. Conclusions
Author Contributions
Funding
Institutional Review Board Statement
Informed Consent Statement
Data Availability Statement
Acknowledgments
Conflicts of Interest
Sample Availability
Appendix A
| ID | Protein | Uniprot Accession ID | MW * | pI ** | Protein Sequence Coverage | MASCOT Score |
|---|---|---|---|---|---|---|
| 1 | Alpha-amylase inhibitor 0.28 Triticum aestivum | IAA2_WHEAT | 16788 | 7.45 | 22 | 59 |
| 2 | Glucose/ribitol dehydrogenase homolog Oryza sativa | GRDH_ORYSJ | 32247 | 5.76 | 7 | 71 |
| 3 | 16.9 kDa class I heat shock protein 1 Triticum aestivum | HS16A_WHEAT | 16868 | 5.83 | 37 | 106 |
| 4 | Triosephosphate isomerase, cytosolic Hordeum vulgare | TPIS_HORVU | 26720 | 5.39 | 18 | 167 |
| 5 | 1-Cys peroxiredoxin PER1 Triticum aestivum | REHY_WHEAT | 23950 | 6.08 | 23 | 116 |
References
- Brisman, J. Baker’s asthma. Occup. Environ. Med. 2002, 59, 498–502. [Google Scholar] [CrossRef] [Green Version]
- Cullinan, P.; Lowson, D.; Nieuwenhuijsen, M.J.; Sandiford, C.; Tee, R.D.; Venables, K.M.; McDonald, J.C.; Newman Taylor, A.J. Work related symptoms, sensitisation, and estimated exposure in workers not previously exposed to flour. Occup. Environ. Med. 1994, 51, 579–583. [Google Scholar] [CrossRef] [Green Version]
- Malo, J.L.; Chan-Yeung, M. Agents causing occupational asthma. J. Allergy Clin. Immunol. 2009, 123, 545–550. [Google Scholar] [CrossRef]
- García-Casado, G.; Armentia, A.; Sánchez-Monge, R.; Malpica, J.M.; Salcedo, G. Rye flour allergens associated with baker’s asthma. Correlation between in vivo and in vitro activities and comparison with their wheat and barley homologues. Clin. Exp. Allergy J. Br. Soc. Allergy Clin. Immunol. 1996, 26, 428–435. [Google Scholar] [CrossRef]
- Baur, X.; Degens, P.O.; Sander, I. Baker’s asthma: Still among the most frequent occupational respiratory disorders. J. Allergy Clin. Immunol. 1998, 102, 984–997. [Google Scholar] [CrossRef]
- Olivieri, M.; Murgia, N.; Spiteri, G.; Biscardo, C.A.; Marchetti, P.; Folletti, I.; Verlato, G. Exposure to additives or multigrain flour is associated with high risk of work-related allergic symptoms among bakers. Occup. Environ. Med. 2021, 78, 112–116. [Google Scholar] [CrossRef]
- Salcedo, G.; Quirce, S.; Diaz-Perales, A. Wheat allergens associated with Baker’s asthma. J. Investig. Allergol. Clin. Immunol. 2011, 21, 81–92. [Google Scholar]
- Sander, I.; Flagge, A.; Merget, R.; Halder, T.M.; Meyer, H.E.; Baur, X. Identification of wheat flour allergens by means of 2-dimensional immunoblotting. J. Allergy Clin. Immunol. 2001, 107, 907–913. [Google Scholar] [CrossRef]
- Weiss, W.; Vogelmeier, C.; Görg, A. Electrophoretic characterization of wheat grain allergens from different cultivars involved in bakers’ asthma. Electrophoresis 1993, 14, 805–816. [Google Scholar] [CrossRef]
- Posch, A.; Weiss, W.; Wheeler, C.; Dunn, M.J.; Görg, A. Sequence analysis of wheat grain allergens separated by two-dimensional electrophoresis with immobilized pH gradients. Electrophoresis 1995, 16, 1115–1119. [Google Scholar] [CrossRef]
- Pasha, I.; Saeed, F.; Sultan, M.T.; Batool, R.; Aziz, M.; Ahmed, W. Wheat Allergy and Intolerence; Recent Updates and Perspectives. Crit. Rev. Food Sci. Nutr. 2016, 56, 13–24. [Google Scholar] [CrossRef] [PubMed]
- Bittner, C.; Peters, U.; Frenzel, K.; Müsken, H.; Brettschneider, R. New wheat allergens related to baker’s asthma. J. Allergy Clin. Immunol. 2015, 136, 1416–1418. [Google Scholar] [CrossRef] [PubMed] [Green Version]
- Kattan, J.D.; Sicherer, S.H. Optimizing the diagnosis of food allergy. Immunol. Allergy Clin. N. Am. 2015, 35, 61–76. [Google Scholar] [CrossRef] [PubMed] [Green Version]
- Balińska-Miśkiewicz, W. Molecular diagnosis of food allergy—Do we know more? Postępy Higieny i Medycyny Doświadczalnej 2014, 68, 754–767. [Google Scholar] [CrossRef]
- Incorvaia, C.; Rapetti, A.; Aliani, M.; Castagneto, C.; Corso, N.; Landi, M.; Daniele, L.; Nicolangelo, M.; Lionello, M.; Marina, R.; et al. Food allergy as defined by component resolved diagnosis. Recent Patents Inflamm. Allergy Drug Discov. 2014, 8, 59–73. [Google Scholar] [CrossRef]
- Quirce, S. IgE antibodies in occupational asthma: Are they causative or an associated phenomenon? Curr. Opin. Allergy Clin. Immunol. 2014, 14, 100–105. [Google Scholar] [CrossRef]
- Sánchez-Salguero, C.A. Are profilins relevant allergens or confusion allergens? Allergol. Immunopathol. 2014, 42, 267–268. [Google Scholar] [CrossRef]
- Pahr, S.; Constantin, C.; Papadopoulos, N.G.; Giavi, S.; Mäkelä, M.; Pelkonen, A.; Ebner, C.; Mari, A.; Scheiblhofer, S.; Thalhamer, J.; et al. α-Purothionin, a new wheat allergen associated with severe allergy. J. Allergy Clin. Immunol. 2013, 132, 1000–1003. [Google Scholar] [CrossRef]
- Baar, A.; Pahr, S.; Constantin, C.; Scheiblhofer, S.; Thalhamer, J.; Giavi, S.; Papadopoulos, N.G.; Ebner, C.; Mari, A.; Vrtala, S.; et al. Molecular and immunological characterization of Tri a 36, a low molecular weight glutenin, as a novel major wheat food allergen. J. Immunol. 2012, 189, 3018–3025. [Google Scholar] [CrossRef] [Green Version]
- Sander, I.; Rozynek, P.; Rihs, H.-P.; van Kampen, V.; Chew, F.T.; Lee, W.S.; Kotschy-Lang, N.; Merget, R.; Brüning, T.; Raulf-Heimsoth, M. Multiple wheat flour allergens and cross-reactive carbohydrate determinants bind IgE in baker’s asthma. Allergy 2011, 66, 1208–1215. [Google Scholar] [CrossRef]
- Sotkovský, P.; Sklenář, J.; Halada, P.; Cinová, J.; Setinová, I.; Kainarová, A.; Goliáš, J.; Pavlásková, K.; Honzová, S.; Tučková, L. A new approach to the isolation and characterization of wheat flour allergens. Clin. Exp. Allergy J. Br. Soc. Allergy Clin. Immunol. 2011, 41, 1031–1043. [Google Scholar] [CrossRef]
- Bittner, C.; Grassau, B.; Frenzel, K.; Baur, X. Identification of wheat gliadins as an allergen family related to baker’s asthma. J. Allergy Clin. Immunol. 2008, 121, 744–749. [Google Scholar] [CrossRef]
- Olivieri, M.; Biscardo, C.A.; Palazzo, P.; Pahr, S.; Malerba, G.; Ferrara, R.; Zennaro, D.; Zanoni, G.; Xumerle, L.; Valenta, R.; et al. Wheat IgE profiling and wheat IgE levels in bakers with allergic occupational phenotypes. Occup. Environ. Med. 2013, 70, 617–622. [Google Scholar] [CrossRef]
- Carcea, M.; Narducci, V.; Turfani, V.; Mellara, F. A Comprehensive Study on the Influence of Sodium Chloride on the Technological Quality Parameters of Soft Wheat Dough. Foods 2020, 9, 952. [Google Scholar] [CrossRef]
- WHO/IUIS Allergen Nomenclature. Available online: http://allergen.org/ (accessed on 28 July 2021).
- Amano, M.; Ogawa, H.; Kojima, K.; Kamidaira, T.; Suetsugu, S.; Yoshihama, M.; Satoh, T.; Samejima, T.; Maltsumoto, I. Identification of the major allergens in wheat flour responsible for baker’s asthma. Biochem. J. 1998, 330, 1229–1234. [Google Scholar] [CrossRef] [Green Version]
- Weiss, W.; Huber, G.; Engel, K.H.; Pethran, A.; Dunn, M.J.; Gooley, A.A.; Görg, A. Identification and characterization of wheat grain albumin/globulin allergens. Electrophoresis 1997, 18, 826–833. [Google Scholar] [CrossRef]
- Brant, A. Baker’s asthma. Curr. Opin. Allergy Clin. Immunol. 2007, 7, 152–155. [Google Scholar] [CrossRef]
- Matricardi, P.M.; Kleine-Tebbe, J.; Hoffmann, H.J.; Valenta, R.; Hilger, C.; Hofmaier, S.; Aalberse, R.C.; Agache, I.; Asero, R.; Ballmer-Weber, B.; et al. EAACI Molecular Allergology User’s Guide. Pediatr. Allergy Immunol. 2016, 27, 1–250. [Google Scholar] [CrossRef]
- Wang, Y.; Weng, J.; Zhu, C.; Ai, R.; Zhou, J.; Wang, C.; Chen, Q.; Fu, L. Allergenicity assessment and allergen profile analysis of different Chinese wheat cultivars. World Allergy Organ. J. 2021, 14, 100559. [Google Scholar] [CrossRef]
- Sander, I.; Rihs, H.P.; Doekes, G.; Quirce, S.; Krop, E.; Rozynek, P.; Kampen, V.; Merget, R.; Meurer, U.; Brüning, T.; et al. Component-resolved diagnosis of baker’s allergy based on specific IgE to recombinant wheat flour proteins. J. Allergy Clin. Immunol. 2015, 135, 1529–1537. [Google Scholar] [CrossRef]
- Palosuo, K.; Varjonen, E.; Kekki, O.M.; Klemola, T.; Kalkkinen, N.; Alenius, H.; Reunala, T. Wheat omega-5 gliadin is a major allergen in children with immediate allergy to ingested wheat. J. Allergy Clin. Immunol. 2001, 108, 634–638. [Google Scholar] [CrossRef] [PubMed]
- Palacin, A.; Quirce, S.; Armentia, A.; Fernández-Nieto, M.; Pacios, L.F.; Asensio, T.; Sastre, J.; Perales, A.D.; Salcedo, G. Wheat lipid transfer protein is a major allergen associated with baker’s asthma. J. Allergy Clin. Immunol. 2007, 120, 1132–1138. [Google Scholar] [CrossRef] [PubMed]
- Kumar, A.; Sharma, S.; Chunduri, V.; Kaur, A.; Kaur, S.; Malhotra, N.; Kumar, A.; Kapoor, P.; Kumari, A.; Kaur, J.; et al. Genome-wide Identification and Characterization of Heat Shock Protein Family Reveals Role in Development and Stress Conditions in Triticum aestivum L. Sci. Rep. 2020, 10, 7858. [Google Scholar] [CrossRef] [PubMed]
- Yang, F.; Jørgensen, A.D.; Li, H.; Søndergaard, I.; Finnie, C.; Svensson, B.; Jiang, D.; Wollenweber, B.; Jacobsen, S. Implications of high-temperature events and water deficits on protein profiles in wheat (Triticum aestivum L. cv. Vinjett) grain. Proteomics 2011, 11, 1684–1695. [Google Scholar] [CrossRef]
- Yang, S.; Li, X.; Ma, Y.; Sun, X.; Yang, Y.; Yang, Y. Proteome response of wild wheat relative Kengyilia thoroldiana to drought stress. Can. J. Plant Sci. 2015, 95, 237–249. [Google Scholar] [CrossRef] [Green Version]
- He, C.-Y.; Zhang, J.-G.; Duan, A.-G.; Sun, H.-G.; Fu, L.-H.; Zheng, S.-X. Proteins responding to drought and high-temperature stress in Pinus armandii Franch. Can. J. Bot. 2007, 85, 994–1001. [Google Scholar] [CrossRef]
- State of the Climate in 2009—UNT Digital Library. Available online: https://digital.library.unt.edu/ark:/67531/metadc29344/ (accessed on 6 December 2021).
- Olivieri, M.; Biscardo, C.A.; Delli, T.; Corrà, I.; Riolfi, A.; Perbellini, L. Prevalence of occupational allergic symptoms among bakers of Verona. G. Ital. Med. Lav. Ergon. 2007, 29, 610–611. [Google Scholar]
- Position Paper: Allergen Standardization and Skin Tests—Dreborg-1993-Allergy-Wiley Online Library. Available online: https://onlinelibrary.wiley.com/doi/10.1111/j.1398-9995.1993.tb04756.x (accessed on 23 May 2021).
- Crapo, R.O.; Casaburi, R.; Coates, A.L.; Enright, P.L.; Hankinson, J.L.; Irvin, C.G.; MacIntyre, N.R.; McKay, R.T.; Wanger, J.S.; Anderson, S.D.; et al. Guidelines for methacholine and exercise challenge testing-1999. This official statement of the American Thoracic Society was adopted by the ATS Board of Directors, July 1999. Am. J. Respir. Crit. Care Med. 2000, 161, 309–329. [Google Scholar]
- Smith, P.K.; Krohn, R.I.; Hermanson, G.T.; Mallia, A.K.; Gartner, F.H.; Provenzano, M.D.; Fujimoto, E.K.; Goeke, N.M.; Olson, B.J.; Klenk, D.C. Measurement of protein using bicinchoninic acid. Anal. Biochem. 1985, 150, 76–85. [Google Scholar] [CrossRef]
- Zancani, M.; Macrì, F.; Dal Belin Peruffo, A.; Vianello, A. Isolation of the catalytic subunit of a membrane-bound H(+)-pyrophosphatase from pea stem mitochondria. Eur. J. Biochem. 1995, 228, 138–143. [Google Scholar] [CrossRef]
- Cecconi, D.; Cristofoletti, M.; Milli, A.; Antonioli, P.; Rinalducci, S.; Zolla, L.; Zapparoli, G. Effect of tannic acid on Lactobacillus plantarum wine strain during starvation: A proteomic study. Electrophoresis 2009, 30, 957–965. [Google Scholar] [CrossRef]
- Allergome. Available online: https://allergome.org/ (accessed on 31 July 2021).
- Compare Database—Allergen Database. Available online: https://comparedatabase.org/ (accessed on 28 July 2021).
- FARRP Databases | FARRP | Nebraska. Available online: https://farrp.unl.edu/resources/farrp-databases (accessed on 31 July 2021).
- AllerBase Allergen Database. Available online: http://bioinfo.unipune.ac.in/AllerBase/Home.html (accessed on 31 July 2021).



| Patient | Age (Years) | Sex | Smoking | BMI | FEV1 (%) | FEV1/FVC (%) | PD 20 FEV1 (mcg) | Atopy | WHEAT SPT | Wheat IgE (kU/l) | Total IgE (kU/l) | WRS Symptoms |
|---|---|---|---|---|---|---|---|---|---|---|---|---|
| 1 | 54 | M | N | 32.7 | 91 | 91 | 1074 | Y | + | 11.0 | 2408 | WRR |
| 2 | 39 | M | N | 23.9 | 95 | 108 | >2000 | Y | - | 3.6 | 123 | WRR |
| 3 | 45 | M | Y | 28.9 | 118 | 105 | >2000 | Y | + | 0.6 | 252 | WRR |
| 4 | 34 | M | N | 20.6 | 96 | 108 | >2000 | Y | + | 5.0 | 289 | WRR |
| 5 | 42 | F | N | 19.7 | 84 | 93 | 500 | Y | − | 2.7 | 260 | WRR |
| 6 | 34 | F | N | 21.4 | 104 | 98 | >2000 | Y | − | 0.6 | 49.3 | WRR |
| 7 | 33 | M | N | 21.1 | 100 | 104 | >2000 | Y | − | 22.8 | 1098 | WRR |
| 8 | 33 | M | N | 23.9 | 105 | 97 | >2000 | Y | + | 0.4 | 74.4 | WRR |
| 9 | 37 | M | Y | 26.0 | 93 | 93 | 30 | Y | + | 3.0 | 104 | WRR |
| 10 | 39 | M | N | 29.8 | 113 | 99 | 1939 | N | + | 15.8 | 208 | WRR |
| 11 | 32 | M | Y | 29.0 | 103 | 96 | >2000 | N | + | 8.9 | 138 | WRR |
| 12 | 58 | M | N | 30.9 | 118 | 104 | 63 | Y | + | 17.6 | 885 | WRAS |
| 13 | 53 | M | N | 38.2 | 108 | 104 | 76 | Y | + | 38.5 | 407 | WRAS |
| 14 | 46 | M | N | 23.2 | 112 | 106 | >2000 | N | + | 9.7 | 44.9 | WRAS |
| 15 | 50 | M | N | 26.2 | 122 | 109 | >2000 | Y | + | 3.6 | 318 | WRAS |
| 16 | 40 | M | N | 28.7 | 100 | 87 | ND | N | − | 0.9 | 63 | WRAS |
| 17 | 35 | M | N | 23.9 | 105 | 97 | >2000 | Y | + | 3.3 | 106 | WRAS |
| 18 | 55 | M | N | 22.1 | 59 | 96 | ND | Y | + | 46.9 | 817 | WRAS, WRR |
| 19 | 29 | F | N | 24.8 | 98 | 93 | 21 | Y | + | 47.2 | 1383 | WRAS, WRR |
| 20 | 33 | M | N | 49.1 | 90 | 84 | ND | N | − | 0.4 | 216 | WRAS, WRR |
| 21 | 69 | M | N | 26.0 | 97 | 98 | >2000 | Y | + | 7.3 | 213 | WRAS, WRR |
| 22 | 37 | M | N | 30.9 | 75 | 87 | ND | Y | + | 937.0 | 8291 | WRAS, WRR |
| 23 | 35 | M | Y | 29.0 | 103 | 96 | 438 | Y | + | 40.8 | 1038 | WRAS, WRR |
| 24 | 54 | M | N | 25.0 | 110 | 86 | ND | N | + | 24.4 | 1163 | WRAS, WRR |
| 25 | 28 | F | Y | 33.5 | 118 | 115 | 68 | Y | + | 28.8 | 547 | WRAS, WRR |
| 26 | 68 | M | N | 33.3 | 83 | 83 | ND | Y | + | 407 | 1594 | WRAS, WRR |
| C1 | 26 | F | N | 23.2 | 112 | 106 | >2000 | N | − | <0.35 | 39.9 | − |
| C2 | 28 | F | Y | 22.3 | 113 | 123 | >2000 | N | − | <0.35 | <2 | − |
Publisher’s Note: MDPI stays neutral with regard to jurisdictional claims in published maps and institutional affiliations. |
© 2022 by the authors. Licensee MDPI, Basel, Switzerland. This article is an open access article distributed under the terms and conditions of the Creative Commons Attribution (CC BY) license (https://creativecommons.org/licenses/by/4.0/).
Share and Cite
Olivieri, M.; Spiteri, G.; Brandi, J.; Cecconi, D.; Fusi, M.; Zanoni, G.; Rizzi, C. Glucose/Ribitol Dehydrogenase and 16.9 kDa Class I Heat Shock Protein 1 as Novel Wheat Allergens in Baker’s Respiratory Allergy. Molecules 2022, 27, 1212. https://doi.org/10.3390/molecules27041212
Olivieri M, Spiteri G, Brandi J, Cecconi D, Fusi M, Zanoni G, Rizzi C. Glucose/Ribitol Dehydrogenase and 16.9 kDa Class I Heat Shock Protein 1 as Novel Wheat Allergens in Baker’s Respiratory Allergy. Molecules. 2022; 27(4):1212. https://doi.org/10.3390/molecules27041212
Chicago/Turabian StyleOlivieri, Mario, Gianluca Spiteri, Jessica Brandi, Daniela Cecconi, Marina Fusi, Giovanna Zanoni, and Corrado Rizzi. 2022. "Glucose/Ribitol Dehydrogenase and 16.9 kDa Class I Heat Shock Protein 1 as Novel Wheat Allergens in Baker’s Respiratory Allergy" Molecules 27, no. 4: 1212. https://doi.org/10.3390/molecules27041212
APA StyleOlivieri, M., Spiteri, G., Brandi, J., Cecconi, D., Fusi, M., Zanoni, G., & Rizzi, C. (2022). Glucose/Ribitol Dehydrogenase and 16.9 kDa Class I Heat Shock Protein 1 as Novel Wheat Allergens in Baker’s Respiratory Allergy. Molecules, 27(4), 1212. https://doi.org/10.3390/molecules27041212

