Separation and Enrichment of Alkaloids from Coptidis Rhizoma and Euodiae Fructus by Macroporous Resin and Evaluation of the Effect on Bile Reflux Gastritis Rats
Abstract
:1. Introduction
2. Results
2.1. Optimization of Macroporous Resin Purification of Total Alkaloids (TAs)
2.2. Analysis of Alkaloids by UHPLC–ESI–QTOF-MS
2.3. UHPLC–DAD Quantitative Analysis
2.3.1. Linearity
2.3.2. Precision, Repeatability, and Stability
2.3.3. Recovery
2.3.4. UHPLC–DAD Quantitative Analysis of Purified TAs
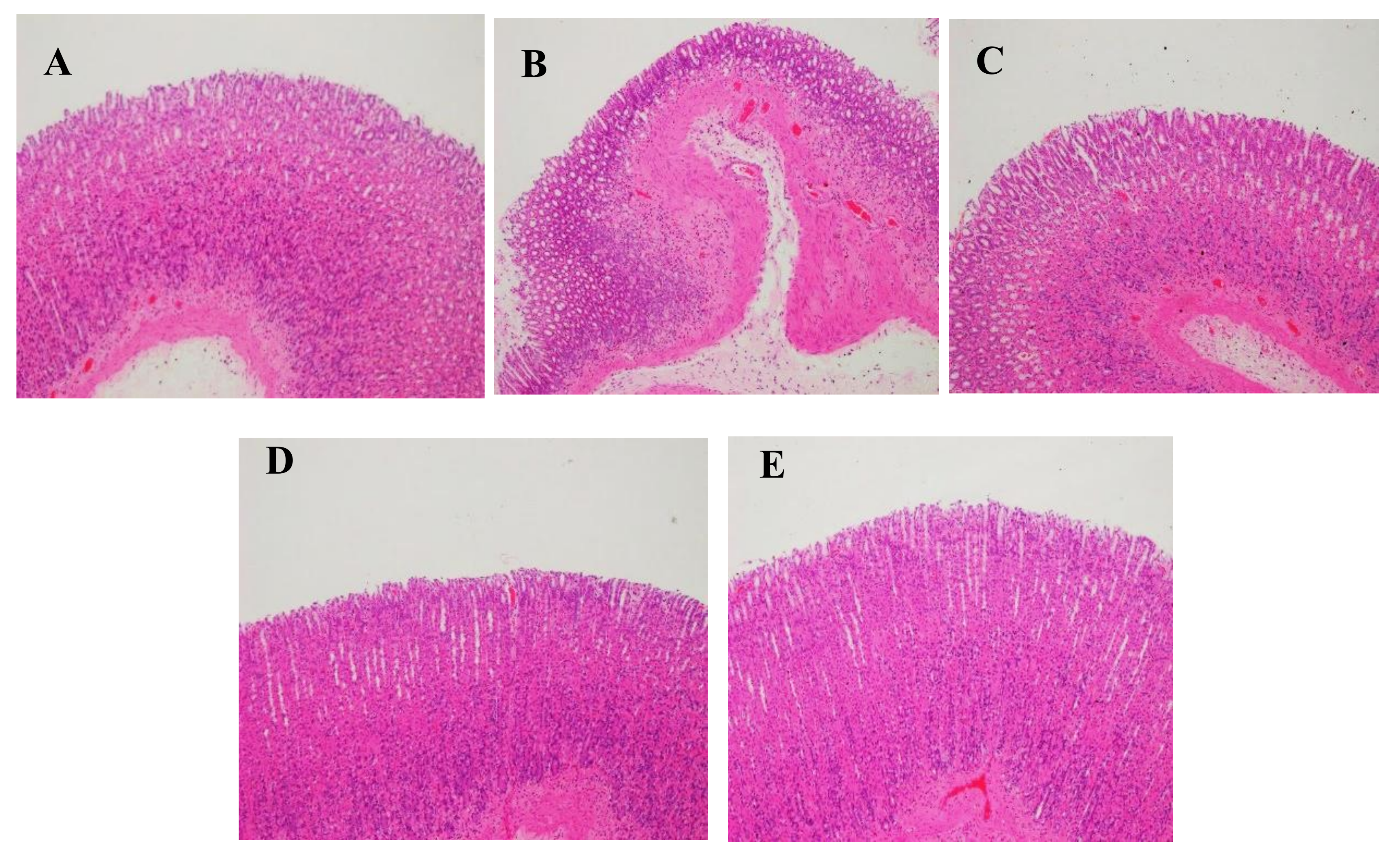
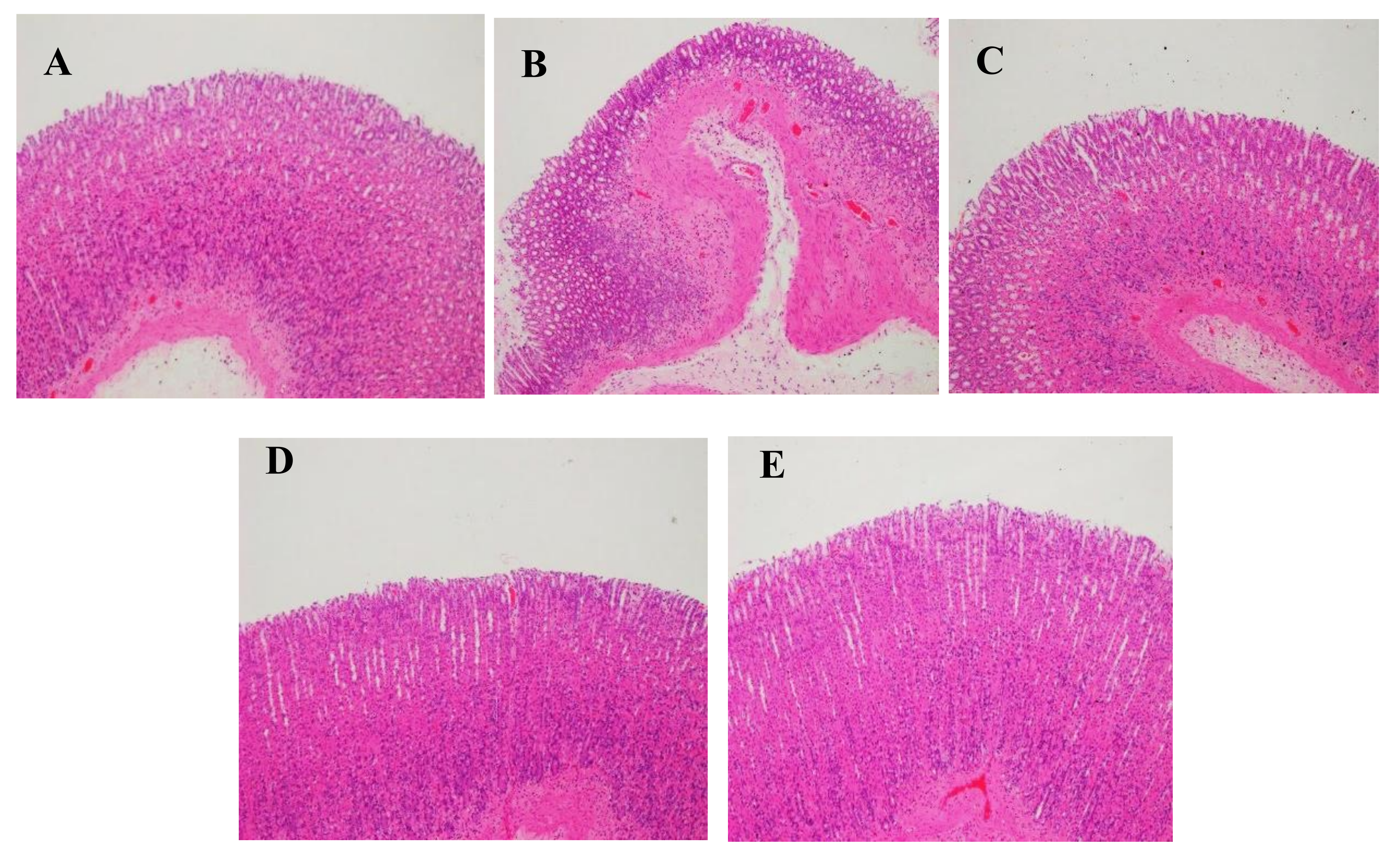
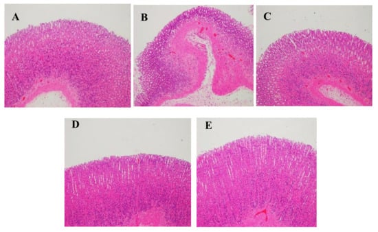
2.4. Inhibitory Effect of CR and EF Alkaloids’ Combination on BRG
3. Materials and Methods
3.1. Materials and Reagents
3.2. Chromatographic Conditions
3.3. Preparation of Sample and Standard Solutions for UHPLC
3.3.1. Preparation of Standard Solutions
3.3.2. Preparation of Sample Solutions
3.4. UHPLC–DAD Method Validation
3.5. Determination of the TAs Content by Ultraviolet Spectrophotometry
3.6. Static Adsorption and Desorption Test
3.6.1. Extraction
3.6.2. Resin Selection
3.6.3. Adsorption and Desorption Time
3.6.4. pH
3.6.5. Temperature
3.7. Dynamics Adsorption and Desorption
3.8. Sample Preparation of CR and EF Purified TAs
3.9. Inhibitory Effect of CR and EF Alkaloids’ Combinations in BRG Rats
3.9.1. Materials
3.9.2. Animal Treatments
3.9.3. Specimen Collection
3.9.4. Determination of the Pathological Degree of Gastric Mucosa with Microscope
3.10. Statistical Analysis
4. Conclusions
Author Contributions
Funding
Institutional Review Board Statement
Informed Consent Statement
Data Availability Statement
Conflicts of Interest
Sample Availability
References
- Editorial Committee of the Pharmacopoeia of the People’s Republic of China. Pharmacopoeia of the People’s Republic of China; Chemical Technology Press: Shanghai, China, 2020; p. 802. [Google Scholar]
- Zhang, H.M.; Wang, C.H.; Wang, Z.T. Simultaneous analysis of protoberberine and indolequinoline alkaloids in Zuojin Pill extract by high-performance liquid chromatography. Acta Chromatogr. 2013, 25, 589–600. [Google Scholar] [CrossRef]
- Gao, X.; Yang, X.; Marriott, P. Simultaneous analysis of seven alkaloids in Coptis-Evodia herb couple and Zuojin pill by UPLC with accelerated solvent extraction. J. Sep. Sci. 2010, 33, 2714–2722. [Google Scholar] [CrossRef]
- Wang, L.Y.; Tang, Y.P.; Liu, X.; Ge, Y.H.; Li, W.X. Research on Chinese medicine pairs (VI)--Coptidis Rhizoma-Euodiae fructus. China J. Chin. Mater. Med. 2013, 38, 4214–4219. [Google Scholar]
- Fan, S.M.; Zhang, C.L.; Luo, T.; Wang, J.Q.; Chen, Z.M.; Yu, L.Y. Limonin: A review of its pharmacology, toxicity, and pharmacokinetics. Molecules 2019, 24, 3679. [Google Scholar] [CrossRef] [PubMed] [Green Version]
- Zhou, Q.; Jing, R.M.; Yao, G.T. Preliminary study on nephrocytes toxicity induced by four traditional Chinese medicine monomers in Evodia rutaecarpa. Chin. J. Pharmacovigil. 2013, 10, 1–5. [Google Scholar]
- Xia, Q.Y.; Yang, R.F.; Liu, Y.P.; Liu, Q.Q.; Li, H.X. Effects of frucrus evodiae on CHL chromosomal aberration. Mod. Prevent. Med. 2013, 40, 1081–1085. [Google Scholar]
- Xia, Q.Y.; Liu, Y.P.; Yang, R.F.; Liu, Q.Q.; Li, H.X. Studies on the genetic toxicity of Evodia Rutaecarpa and its main components. World Chin. Med. 2014, 9, 145–150. [Google Scholar]
- Li, Y.Y.; Guo, M.Q.; Li, X.M.; Yang, X.W. Simultaneous qualitative and quantitative evaluation of the Coptidis Rhizoma and Euodiae Fructus Herbal Pair by using UHPLC-ESI-QTOF-MS and UHPLC-DAD. Molecules 2020, 25, 4782. [Google Scholar] [CrossRef]
- Kim, D.G.; Choi, J.W.; Jo, I.J.; Kim, M.J.; Lee, H.S.; Hong, S.H.; Song, H.J.; Bae, G.S.; Park, S.J. Berberine ameliorates lipopolysaccharideinduced inflammatory responses in mouse inner medullary collecting duct3 cells by down regulation of NF kappaB pathway. Mol. Med. Rep. 2019, 21, 258–266. [Google Scholar]
- Tarabasz, D.; Kukula-Koch, W. Palmatine: A review of pharmacological properties and pharmacokinetics. Phytother. Res. 2019, 34, 33–50. [Google Scholar] [CrossRef]
- Yarosh, D.B.; Galvin, J.W.; Nay, S.L.; Pena, A.V.; Canning, M.T.; Brown, D.A. Anti-inflammatory activity in skin by biomimetic of Evodia rutaecarpa extract from traditional Chinese medicine. J. Dermatol. Sci. 2006, 42, 13–21. [Google Scholar] [CrossRef]
- Moon, T.C.; Murakami, M.; Kudo, I.; Son, K.H.; Kim, H.P.; Kang, S.S.; Chang, H.W. A new class of COX-2 inhibitor, rutaecarpine from Evodia rutaecarpa. Inflamm. Res. 1999, 48, 621–625. [Google Scholar] [CrossRef] [PubMed]
- Ko, H.C.; Wang, Y.H.; Liu, K.T.; Chen, C.M.; Chen, C.H.; Wang, W.Y.; Chang, S.; Hou, Y.C.; Chen, K.T.; Chen, C.F.; et al. Anti-inflammatory effects and mechanisms of the ethanol extract of Evodia rutaecarpa and its bioactive components on neutrophils and microglial cells. Eur. J. Pharmacol. 2007, 555, 211–217. [Google Scholar] [CrossRef] [PubMed]
- Wang, Q.S.; Cui, Y.L.; Dong, T.J.; Zhang, X.F.; Lin, K.M. Ethanol extract from a Chinese herbal formula, “Zuojin Pill”, inhibit the expression of inflammatory mediators in lipopolysaccharide-stimulated RAW 264.7 mouse macrophages. J. Ethnopharmacol. 2012, 141, 377–385. [Google Scholar] [CrossRef] [PubMed]
- Li, T.L.; Pu, F.L.; Wang, K.; Zhao, G.Z.; Li, B. Clinical thoughts on treatment of reflux esophagitis from shaoyin heat transformation. Longhua Chin. Med. 2020, 3, 23. [Google Scholar] [CrossRef]
- Chan, D.C.; Fan, Y.M.; Lin, C.K.; Chen, C.J.; Chen, C.Y.; Chao, Y.C. Roux-en-Y reconstruction after distal gastrectomy to reduce enterogastric reflux and Helicobacter pylori infection. J. Gastrointest. Surg. 2007, 11, 1732–1740. [Google Scholar] [CrossRef] [PubMed]
- Wei, D.Y. Effect of Zuojin pill on bile reflux gastritis in 32 cases. Med. Inf. 2010, 23, 175. [Google Scholar]
- He, L.; Gong, L.J.; Zeng, Z.C. Optimization of purification technology for effective parts from Zuojin Pill by AB-8 macroporous absorption resin. Clin. J. Tradit. Chin. Med. 2019, 31, 391–394. [Google Scholar]
- Gai, X.H.; Liu, S.X.; Ren, T.; Liu, Y.; Tian, C.W. Research progress on chemical constituents of Coptidis Rhizoma and its pharmacological activities. Chin. Tradit. Herb. Drugs 2018, 20, 4919–4927. [Google Scholar]
- Guo, J.M.; Wang, Y.F.; Hu, L.P. Analysis of the main alkaloids of Coptis chinensis by HPLC-MS. Chin. Tradit. Pat. Med. 2011, 33, 110–113. [Google Scholar]
- Liao, Q.F.; Xie, Z.Y.; Zhang, L. Mass spectrometric analysis of quinazoline alkaloid and limonin from Fructus Evodiae. J. Chin. Med. Mater. 2008, 31, 673–676. [Google Scholar]
- Shin, H.K.; Do, J.C.; Son, J.K.; Lee, C.S.; Lee, C.H.; Cheong, C.J. Quinolone alkaloids from the fruits of Evodia officinalis. Planta Med. 1998, 64, 764–765. [Google Scholar] [CrossRef] [PubMed]
- Li, W.L.; Sun, X.M.; Chen, C. Analysis of Euodia rutaecarpa hepatotoxic part and absorbed components in rat serum based on UPLC-Q-TOF-MS. J. Chin. Mass Spectro. Soc. 2017, 38, 282–293. [Google Scholar]
- Rao, G.X.; Hu, Z.B.; Song, C.Q. Studies on the chemical constituents of Evodia rutaecarpa var officinalis. Nat. Prod. Res. Dev. 2004, 16, 28–30. [Google Scholar]
- Huang, X.; Li, W.; Yang, X.W. New cytotoxic quinolone alkaloids from fruits of Evodia rutaecarpa. Fitoterapia 2012, 83, 709–714. [Google Scholar] [CrossRef]
- Yin, Y.Y.; Liu, S.S.; Han, L.W. Chemical components of alkaloids from Euodiae fructus and their anti-angiogenic activities. Chin. J. Exp. Tradit. Med. Form. 2016, 22, 45–53. [Google Scholar]
- Zhao, N.; Li, Z.L.; Li, D.H.; Sun, Y.T.; Shan, D.T.; Bai, J.; Pei, Y.H.; Jing, Y.K.; Hua, H.M. Quinolone and indole alkaloids from the fruits of Euodia rutaecarpa and their cytotoxicity against two human cancer cell lines. Phytochemistry 2015, 109, 133–139. [Google Scholar] [CrossRef]
- Tang, Y.Q.; Feng, X.Z.; Hu, L. Quinolone alkaloids from Evodia rutaecarpa. Phytochemistry 1996, 43, 719–722. [Google Scholar] [CrossRef]
- Lu, M.; Tian, Y.Z.; Shen, M.Q. Effect of Danwei Capsule on oncogene protein expression in reflux gastritis rat. J. Pract. Med. 2006, 22, 2729–2730. [Google Scholar]
- Yu, T.; Wang, S.; Meng, X.S.; Bao, Y.S. Preliminary study on pharmacodynamics of Qizhiweitong granule in treatment of reflux gastritis. J. Chin. Med. Mater. 2015, 38, 1933–1936. [Google Scholar]
- Huang, G.J.; Huang, Q.W. Animal Model in Medical Experiment: Development and Application; Chemical Industry Press: Shanghai, China, 2007. [Google Scholar]
- Li, X.Y.; Tang, X.S. Comparison of the clinical effect and protective effect of gastric mucosa of rebamipide with suralfate in the treatment of chronic non-atrophic gastritis. Med. Recapitul. 2014, 20, 4203–4205. [Google Scholar]
- Zhang, W.D. Treatment of chronic gastritis with integrated Traditional Chinese and Western medicine (Draft). Chin. J. Integr. Tradit. West. Med. 2004, 12, 172–175. [Google Scholar]













| Resins | Structure | Surface Area (m2/g) | Average Pore Diameter (Å) | Polarity | Moisture Content (%) |
|---|---|---|---|---|---|
| D101 | Polystyrene | 400–550 | 200–300 | No-polar | 65.61 |
| D201 | Polystyrene | ≥650 | 150–200 | Strong-base anion | 49.43 |
| AB-8 | Polystyrene | 450–520 | 130–140 | Weak-polar | 64.46 |
| LX-69B | Polystyrene, divinylbenzene | ≥1000 | 120–140 | Polar | 59.60 |
| LSA-10 | Polystyrene, divinylbenzene | ≥500 | 210–260 | Polar | 60.70 |
| No. | Identification | tR (min) | Ion Mode | Mass (m/z) | Formula | Fragment Ions (m/z) |
|---|---|---|---|---|---|---|
| 1 | 3-(3’,4’-Dihydroxyl)-(2R) lactate-4’-oxygen-β-D-glucoside | 2.387 | [M + NH4]+ | 378.1424 | C15H20O10 | 378.1405, 359.1093, 197.0461 |
| 2 | Magnoflorine | 4.896 | [M]+ | 342.1706 | C20H24NO4+ | 342.1725, 297.1130, 282.0898 |
| 3 | 8-Oxepiberberine | 7.916 | [M + H]+ | 352.1190 | C20H17NO5 | 352.1186, 336.0871, 322.0718, 308.0924, 294.0758 |
| 4 | Berberrubine | 8.286 | [M]+ | 322.1082 | C19H16NO4+ | 322.1074, 307.0841, 294.0772, 279.0885 |
| 5 | 2-Hydroxyljatror-rhizine | 8.722 | [M]+ | 324.1242 | C19H18NO4+ | 324.1231, 308.0914, 294.0761, 280.0963, 266.0805 |
| 6 | Coptisine | 9.861 | [M]+ | 320.0918 | C19H14NO4+ | 320.0932, 292.0976, 277.0746, 262.0864 |
| 7 | Epiberberine | 10.496 | [M]+ | 336.1232 | C20H18NO4+ | 336.1238, 320.0925, 292.0974 |
| 8 | Columbamine | 11.136 | [M]+ | 338.1388 | C20H20NO4+ | 338.1392, 322.1086, 308.0929, 294.1135 |
| 9 | Jatrorrhizine | 11.502 | [M]+ | 338.1394 | C20H20NO4+ | 338.1395, 322.1083, 308.0924, 294.1130, 280.0964 |
| 10 | Worenine | 12.241 | [M]+ | 334.1088 | C20H16NO4+ | 334.1088, 319.0726 |
| 11 | Groenlandicine | 12.943 | [M]+ | 322.1088 | C19H16NO4+ | 322.1082, 307.0848, 279.0893 |
| 12 | Berberine | 13.512 | [M]+ | 336.1239 | C20H18NO4+ | 336.1241, 320.0924, 306.0773, 292.0974, 278.0818 |
| 13 | Palmatine | 12.056 | [M]+ | 352.1544 | C21H22NO4+ | 352.1550, 336.1235, 322.1080, 294.1125, 278.0814, 264.1018 |
| No. | Identification | tR (min) | Ion Mode | Mass (m/z) | Formula | Fragment ions (m/z) |
|---|---|---|---|---|---|---|
| 1 | Dehydroevodiamine | 9.324 | [M]+ | 302.1300 | C19H16N3O+ | 302.1290, 287.1046, 286.0978, 272.0819, 258.1024 |
| 2 | 2-Hydroxy-4-methoxy-3-(3’-methyl-2’-butenyl)-quinolone | 27.292 | [M + H]+ | 244.1903 | C15H17NO2 | 244.1903, 228.1016, 200.0703, 186.0904, 173.0839 |
| 3 | 7β-Hydroxyl rutaecarpine | 28.734 | [M + H]+ | 304.1083 | C18H13N3O2 | 304.1083, 286.0971 |
| 4 | 1-Methyl-2-[7-hydroxyl (-E)-9-undecenyl]-4(1H)-quinolone | 29.839 | [M + H]+ | 328.2685 | C21H29NO2 | 328.2685, 310.2171, 186.0910, 173.0833 |
| 5 | 1-Methyl-2-[7-hydroxyl (-E)-9-tridenyl]-4(1H)-quinolone | 30.408 | [M + H]+ | 356.2585 | C23H33NO2 | 356.2585, 338.2472, 186.0920, 173.0822, |
| 6 | 1-Methyl-2-[7-carbonyl (-E)-9-tridecenyl]-4(1H)-quinolone | 30.778 | [M + H]+ | 354.1435 | C23H31NO2 | 354.1435, 288.1132, 228.1375, 200.1070, 186.0911, 173.0831 |
| 7 | Evodiamine | 30.944 | [M + H]+ | 304.1435 | C19H17N3O | 304.1427, 171.0902, 134.0590 |
| 8 | Rutaecarpine | 31.783 | [M + H]+ | 288.1127 | C18H13N3O | 288.1143, 273.0905, 244.0887, 169.0762 |
| 9 | 1-Methyl-2-nonyl-4(1H)-quinolone | 32.419 | [M + H]+ | 286.2159 | C19H27NO | 286.2159, 242.1545, 214.1218, 200.1066, 186.0913, 173.0834 |
| 10 | 1-Methyl-2-[(Z)-6-undecenyl]-4(1H)-quinolone | 33.324 | [M + H]+ | 312.2324 | C21H29NO | 312.2324, 186.0920, 173.0827 |
| 11 | 1-Methyl-2-[(4Z,7Z)-tridecadienyl]-4(1H)-quinolone | 34.533 | [M + H]+ | 338.2483 | C23H31NO | 338.2481, 212.1065, 186.0909, 173.0831, 159.0675 |
| 12 | 1-Methyl-2-undecyl-4(1H)-quinolone | 35.036 | [M + H]+ | 314.2486 | C21H31NO | 314.2486, 242.1539, 228.1383, 200.1070, 186.0919, 173.0839 |
| 13 | 1-Methyl-2-[(6Z, 9Z, 12E)-pentadeca triene]-4(1H)-quinolone | 35.256 | [M + H]+ | 364.2638 | C25H33NO | 364.2640, 308.2008, 268.1688, 228.1375, 200.1064, 186.0909, 173.0830, 159.0671 |
| 14 | 2-Tridecyl-4 (1H)-quinolone | 35.472 | [M + H]+ | 328.2668 | C22H33NO | 328.2668, 186.0912, 173.0838 |
| 15 | Evocarpine | 35.705 | [M + H]+ | 340.2650 | C23H33NO | 340.2650, 256.1704, 242.1547 |
| 16 | 1-Methyl-2-[(6Z,9Z)-pentadecadienyl]-4(1H)-quinolone | 36.511 | [M + H]+ | 366.2782 | C25H35NO | 366.2782, 268.1691, 228.1378, 186.0910, 173.0833, 159.0670 |
| 17 | Dihydroevocarpine | 37.550 | [M + H]+ | 342.2811 | C23H35NO | 342.2791, 200.1066, 186.0913, 173.0833, 159.0668 |
| 18 | 1-Methyl-2-pentadecyl-4(1H)-quinolone | 39.830 | [M + H]+ | 370.3099 | C25H39NO | 370.3110, 200.1069, 186.0918, 173.0838, 159.0676 |
| Analytes | Calibration Curve | R2 | Linear Range (µg·mL−1) |
|---|---|---|---|
| Coptisine | Y = 9249.2x − 10946 | 0.9995 | 7.144–178.600 |
| Epiberberine | Y = 9504x − 9426.4 | 0.9997 | 4.081–102.034 |
| Columbamine | Y = 8930.2x − 7565.7 | 0.9998 | 3.741–93.582 |
| Jatrorrhizine | Y = 10752x − 6106.8 | 0.9999 | 3.433–85.831 |
| Berberine | Y = 10509x − 33478 | 0.9997 | 15.290–382.255 |
| Palmatine | Y = 11165x − 14955 | 0.9997 | 6.774–169.343 |
| Dehydroevodiamine | Y = 1522.8x − 226.55 | 0.9999 | 2.959–94.672 |
| Evodiamine | Y = 5370.8x − 132.5 | 1.0000 | 1.967–62.947 |
| Rutaecarpine | Y = 3394.9x + 1086.6 | 1.0000 | 1.592–50.960 |
| Analytes | Precision | Repeatability | Stability | Recovery | |||
|---|---|---|---|---|---|---|---|
| Intra-Day RSD% (n = 6) | Inter-Day RSD% (n = 3) | Mean Concentration (%) | RSD% (n = 6) | RSD% (n = 6) | Average Recovery (%) | RSD% (n = 9) | |
| Coptisine | 0.87 | 1.16 | 7.88 | 1.28 | 1.51 | 99.43 | 0.77 |
| Epiberberine | 0.84 | 1.14 | 3.85 | 1.37 | 0.90 | 97.42 | 1.04 |
| Columbamine | 0.88 | 1.07 | 2.50 | 1.81 | 1.55 | 100.60 | 2.53 |
| Jatrorrhizine | 0.84 | 1.05 | 1.63 | 1.80 | 2.42 | 99.26 | 2.06 |
| Berberine | 1.04 | 1.13 | 30.20 | 1.23 | 1.08 | 99.10 | 2.68 |
| Palmatine | 1.18 | 1.21 | 6.61 | 1.18 | 2.53 | 98.52 | 1.56 |
| Dehydroevodiamine | 1.05 | 1.24 | 1.59 | 0.88 | 1.15 | 99.85 | 2.42 |
| Evodiamine | 0.72 | 1.19 | 9.23 | 0.91 | 2.30 | 97.70 | 2.76 |
| Rutaecarpine | 1.11 | 1.15 | 5.14 | 1.40 | 2.58 | 100.80 | 2.93 |
| Levels | Pathological Degree |
|---|---|
| 0 | No obvious inflammatory cell infiltration in gastric mucosa and intestinal metaplasia in gastric mucosa |
| 1 | Very little infiltration of chronic inflammatory cells or metaplasia of glandular intestinal epithelium, involving only the 1/3 mucosal layer |
| 2 | Very little infiltration of chronic inflammatory cells or metaplasia of glandular intestinal epithelium, involving the 2/3 mucosal layer |
| 3 | More Chronic inflammatory cells infiltration or glandular intestinal metaplasia, involving the whole layer of mucosa |
Publisher’s Note: MDPI stays neutral with regard to jurisdictional claims in published maps and institutional affiliations. |
© 2022 by the authors. Licensee MDPI, Basel, Switzerland. This article is an open access article distributed under the terms and conditions of the Creative Commons Attribution (CC BY) license (https://creativecommons.org/licenses/by/4.0/).
Share and Cite
Li, Y.-Y.; Feng, J.-L.; Li, Z.; Zang, X.-Y.; Yang, X.-W. Separation and Enrichment of Alkaloids from Coptidis Rhizoma and Euodiae Fructus by Macroporous Resin and Evaluation of the Effect on Bile Reflux Gastritis Rats. Molecules 2022, 27, 724. https://doi.org/10.3390/molecules27030724
Li Y-Y, Feng J-L, Li Z, Zang X-Y, Yang X-W. Separation and Enrichment of Alkaloids from Coptidis Rhizoma and Euodiae Fructus by Macroporous Resin and Evaluation of the Effect on Bile Reflux Gastritis Rats. Molecules. 2022; 27(3):724. https://doi.org/10.3390/molecules27030724
Chicago/Turabian StyleLi, Yan-Ying, Jin-Lei Feng, Zheng Li, Xin-Yu Zang, and Xiu-Wei Yang. 2022. "Separation and Enrichment of Alkaloids from Coptidis Rhizoma and Euodiae Fructus by Macroporous Resin and Evaluation of the Effect on Bile Reflux Gastritis Rats" Molecules 27, no. 3: 724. https://doi.org/10.3390/molecules27030724
APA StyleLi, Y.-Y., Feng, J.-L., Li, Z., Zang, X.-Y., & Yang, X.-W. (2022). Separation and Enrichment of Alkaloids from Coptidis Rhizoma and Euodiae Fructus by Macroporous Resin and Evaluation of the Effect on Bile Reflux Gastritis Rats. Molecules, 27(3), 724. https://doi.org/10.3390/molecules27030724
