Pseudognaphalium affine Extract Alleviates COPD by Inhibiting the Inflammatory Response via Downregulation of NF-κB
Abstract
1. Introduction
2. Results
2.1. Effect of GAE on the Pulmonary Function and Pathological Changes of Lung Tissue
2.2. Effect of GAE on the Levels of Cytokines in the Serum and BALF
2.3. Effect of GAE on the Inflammation in BEAS-2B Cells Induced by TNF-α
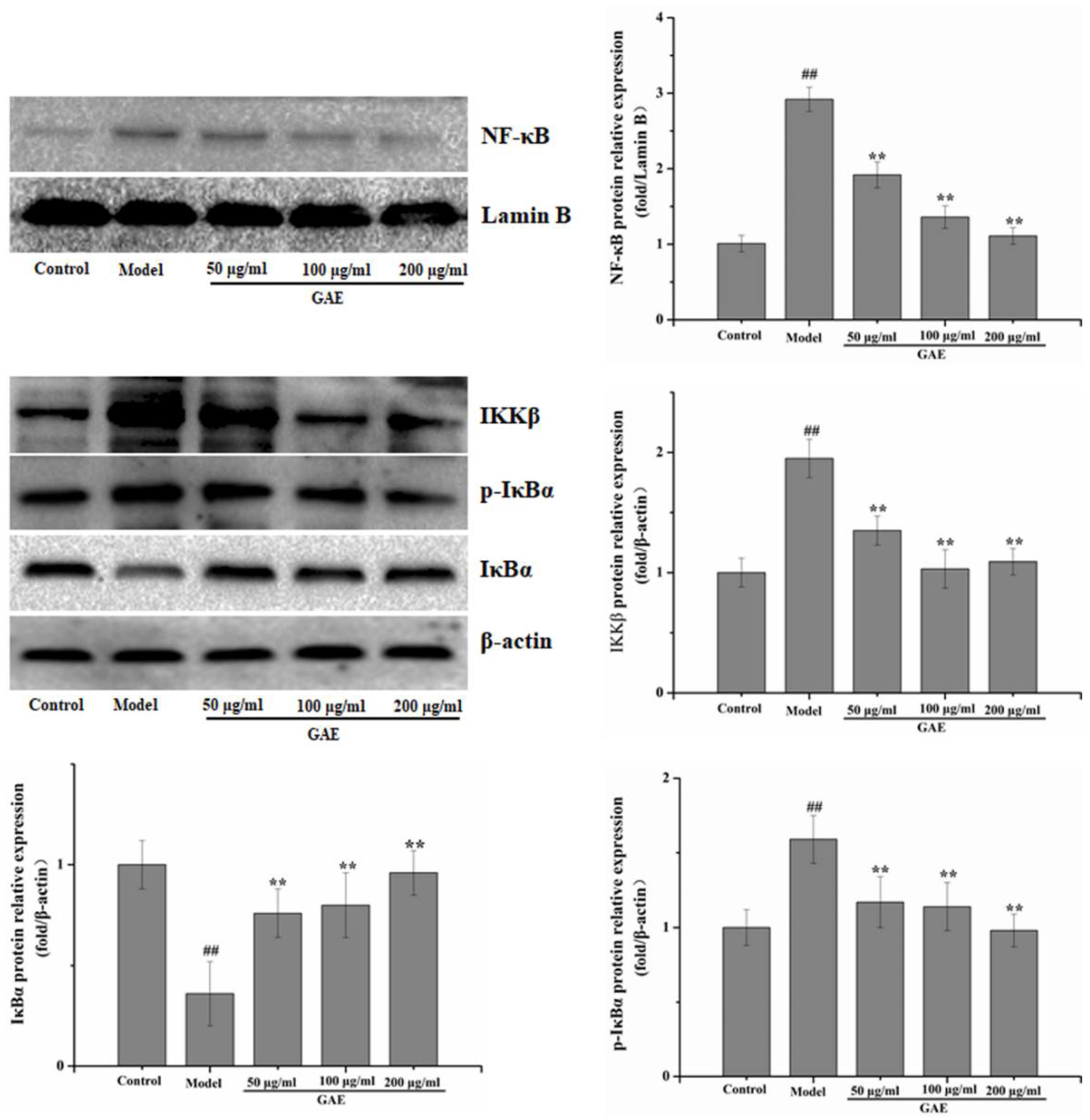
2.4. Effect of GAE on the NF-κB Pathway
3. Discussion
4. Materials and Methods
4.1. Chemicals and Reagents
4.2. Animals
4.3. Pseudognaphalium affine Extract (GAE) Preparation and Analysis
4.4. Establishment of COPD Model and Drug Treatment
4.5. Pulmonary Function Analysis
4.6. Histopathology
4.7. Cytokine ELISA Assay
4.8. Cell Culture and Treatment
4.9. Real-Time PCR Assay
4.10. Western Blotting Assay
4.11. Statistical Analysis
5. Conclusions
Author Contributions
Funding
Institutional Review Board Statement
Informed Consent Statement
Data Availability Statement
Acknowledgments
Conflicts of Interest
Sample Availability
References
- Halpin, D.M.G.; Criner, G.J.; Papi, A.; Singh, D.; Anzueto, A.; Martinez, F.J.; Agusti, A.A.; Vogelmeier, C.F. Global Initiative for the Diagnosis, Management, and Prevention of Chronic Obstructive Lung Disease. The 2020 GOLD Science Committee Report on COVID-19 and Chronic Obstructive Pulmonary Disease. Am. J. Respir. Crit. Care Med. 2021, 203, 24–36. [Google Scholar] [CrossRef] [PubMed]
- James, S.L.; Lucchesi, L.R.; Bisignano, C.; Castle, C.D.; Dingels, Z.V.; Fox, J.T.; Hamilton, E.B.; Henry, N.J.; Krohn, K.J.; Liu, Z.; et al. The global burden of falls: Global, regional and national estimates of morbidity and mortality from the Global Burden of Disease Study 2017. Inj. Prev. 2020, 26 (Suppl. 1), i3–i11. [Google Scholar] [CrossRef] [PubMed]
- Belchamber, K.B.R.; Donnelly, L.E. Targeting defective pulmonary innate immunity—A new therapeutic option? Pharmacol. Ther. 2020, 209, 107500. [Google Scholar] [CrossRef] [PubMed]
- Hashemi, S.Y.; Momenabadi, V.; Faramarzi, A.; Kiani, A. Trends in burden of chronic obstructive pulmonary disease in Iran, 1995-2015: Findings from the global burden of disease study. Arch. Public Health 2020, 78, 45. [Google Scholar] [CrossRef] [PubMed]
- Cazzola, M.; Rogliani, P.; Stolz, D.; Matera, M.G. Pharmacological treatment and current controversies in COPD. F1000Research 2019, 8, F1000 Faculty Rev-1533. [Google Scholar] [CrossRef]
- Li, J.S.; Li, S.Y.; Yu, X.Q. TCM Diagnosis and treatment guidelines for Chronic Obstructive Pulmonary Disease (2011 Edition). J. Tradit. Chin. Med. (Zhong Yi Za Zhi) 2012, 53, 80–84. [Google Scholar]
- Zeng, W.C.; Zhang, W.C.; Zhang, W.H.; He, Q.; Shi, B. The antioxidant activity and active component of Gnaphalium affine extract. Food Chem. Toxicol. 2013, 58, 311–317. [Google Scholar] [CrossRef]
- Zhang, H.J.; Li, L.N.; Zhou, J.; Yang, Q.Q.; Liu, P.G.; Xu, P.; Liang, W.Q.; Cheng, L.; Zhang, Y.Q.; Pu, J.B.; et al. Effects of Gnaphalium affine D. Don on hyperuricemia and acute gouty arthritis. J. Ethnopharmacol. 2017, 203, 304–311. [Google Scholar] [CrossRef]
- Sun, Y.K.; Luo, H.Y. Clinical observation of 65 cases of bronchial asthma in Tujia medicine. Chin. Nat. Med. J. 2009, 15, 24–25. [Google Scholar]
- Compound mouse sand-like treatment for chronic bronchitis. Railw. Med. 1976, 4, 42.
- Tian, D.S. Observation on the therapeutic effect of rat curved in the treatment of respiratory disease. Chin. Med. Inform. 1997, 6, 22. [Google Scholar]
- Li, J.; Huang, D.; Chen, W.; Xi, Z.; Chen, C.; Huang, G.; Sun, L. Two new phenolic glycosides from Gnaphalium affine D. Don and their anti-complementary activity. Molecules 2013, 18, 7751–7760. [Google Scholar] [CrossRef] [PubMed]
- Xi, Z.; Chen, W.; Wu, Z.; Wang, Y.; Zeng, P.; Zhao, G.; Li, X.; Sun, L. Anti-complementary activity of flavonoids from Gnaphalium affine D. Don. Food Chem. 2012, 130, 165–170. [Google Scholar] [CrossRef]
- Zeng, W.C.; Zhu, R.X.; Jia, L.R.; Gao, H.; Zheng, Y.; Sun, Q. Chemical composition, antimicrobial and antioxidant activities of essential oil from Gnaphlium affine. Food Chem. Toxicol. 2011, 49, 1322–1328. [Google Scholar] [CrossRef] [PubMed]
- Ye, X.L.; Li, H. Experimental study on total flavonoids in rat form in the treatment of chronic bronchitis. Strait Pharm. 2016, 28, 22–24. [Google Scholar]
- Ye, X.L.; Liao, H.W.; Li, H. Experimental study on improving pathitis inflammation in rats in rats with rhizosphere. Chin. Folk Med. 2015, 24, 5–7. [Google Scholar]
- Seong, Y.A.; Hwang, D.; Kim, G.D. The Anti-inflammatory Effect of Gnaphalium affine Through Inhibition of NF-κB and MAPK in Lipopolysaccharide-Stimulated RAW264.7 Cells and Analysis of Its Phytochemical Components. Cell Biochem. Biophys. 2016, 74, 407–417. [Google Scholar] [CrossRef]
- Ryu, H.W.; Kim, K.O.; Yuk, H.J.; Kwon, O.K.; Kim, J.H.; Kim, D.Y.; Na, M.K.; Ahn, K.S.; Oh, S.R. The constituent, anti-inflammation, and human neutrophil elastase inhibitory activity of Gnaphalium affine. J. Funct. Foods 2016, 27, 674–684. [Google Scholar] [CrossRef]
- Meng, X.W.; He, C.X.; Chen, X.; Yang, X.S.; Liu, C. The extract of Gnaphalium affine D. Don protects against H(2)O(2)-induced apoptosis by targeting PI3K/AKT/GSK-3β signaling pathway in cardiomyocytes. J. Ethnopharmacol. 2021, 268, 113579. [Google Scholar] [CrossRef]
- Yu, B.; Du, J.; Zhang, Y.Z.; Yao, Z.S. Experimental study on antitussive and expectorant effects of cudweed. J. Zhe Jiang Univ. Tradit. Chin. Med. 2006, 30, 352–353. [Google Scholar]
- Lin, W.Q.; Xie, J.X.; Wu, X.M.; Yang, L.; Wang, H.D. Inhibition of xanthine oxidase activity by gnaphalium affine extract. Chin. Med. Sci. J. 2014, 29, 225–230. [Google Scholar] [CrossRef] [PubMed]
- Li, S.; Zhang, B. Traditional Chinese medicine network pharmacology: Theory, methodology and application. Chin. J. Nat. Med. 2013, 11, 110–120. [Google Scholar] [CrossRef] [PubMed]
- Barnes, P.J. Inflammatory mechanisms in patients with chronic obstructive pulmonary disease. J. Allergy Clin. Immunol. 2016, 138, 16–27. [Google Scholar] [CrossRef] [PubMed]
- Li, J.; Xie, Y.; Zhao, P.; Qin, Y.; Oliver, B.G.; Tian, Y.; Li, S.; Wang, M.; Liu, X. A chinese herbal formula ameliorates COPD by inhibiting the inflammatory response via downregulation of p65, JNK, and p38. Phytomedicine 2021, 83, 153475. [Google Scholar] [CrossRef] [PubMed]
- Huang, D.; Chen, Y.; Chen, W.; Liu, Y.; Yao, F.; Xue, D.; Sun, L. Anti-inflammatory effects of the extract of Gnaphalium affine D. Don in vivo and in vitro. J. Ethnopharmacol. 2015, 176, 356–364. [Google Scholar] [CrossRef]
- Barnes, P.J. Cellular and molecular mechanisms of chronic obstructive pulmonary disease. Clin. Chest Med. 2014, 35, 71–86. [Google Scholar] [CrossRef]
- Hayden, M.S.; Ghosh, S. Shared principles in NF-kappaB signaling. Cell 2008, 132, 344–362. [Google Scholar] [CrossRef]
- Alharbi, K.S.; Fuloria, N.K.; Fuloria, S.; Rahman, S.B.; Al-Malki, W.H.; Javed Shaikh, M.A.; Thangavelu, L.; Singh, S.K.; Rama Raju Allam, V.S.; Jha, N.K.; et al. Nuclear factor-kappa B and its role in inflammatory lung disease. Chem.-Biol. Interact. 2021, 345, 109568. [Google Scholar] [CrossRef]
- Chen, M.; Chen, Z.; Huang, D.; Sun, C.; Xie, J.; Chen, T.; Zhao, X.; Huang, Y.; Li, D.; Wu, B.; et al. Myricetin inhibits TNF-α-induced inflammation in A549 cells via the SIRT1/NF-κB pathway. Pulm. Pharmacol. Ther. 2020, 65, 102000. [Google Scholar] [CrossRef]
- Li, J.; Zhao, P.; Tian, Y.; Li, K.; Zhang, L.; Guan, Q.; Mei, X.; Qin, Y. The Anti-Inflammatory Effect of a Combination of Five Compounds From Five Chinese Herbal Medicines Used in the Treatment of COPD. Front. Pharmacol. 2021, 12, 709702. [Google Scholar] [CrossRef]
- Zheng, X.; Wang, W.; Piao, H.; Xu, W.; Shi, H.; Zhao, C. The genus Gnaphalium L. (Compositae): Phytochemical and pharmacological characteristics. Molecules 2013, 18, 8298–8318. [Google Scholar] [CrossRef]
- Liu, X.; Ma, Y.; Luo, L.; Zong, D.; Li, H.; Zeng, Z.; Cui, Y.; Meng, W.; Chen, Y. Dihydroquercetin suppresses cigarette smoke induced ferroptosis in the pathogenesis of chronic obstructive pulmonary disease by activating Nrf2-mediated pathway. Phytomedicine 2022, 96, 153894. [Google Scholar] [CrossRef] [PubMed]
- Lin, L.; Hou, G.; Han, D.; Yin, Y.; Kang, J.; Wang, Q. Ursolic Acid Alleviates Airway-Vessel Remodeling and Muscle Consumption in Cigarette Smoke-Induced Emphysema Rats. BMC Pulm. Med. 2019, 19, 103. [Google Scholar] [CrossRef] [PubMed]
- Lin, L.; Yin, Y.; Hou, G.; Han, D.; Kang, J.; Wang, Q. Ursolic Acid Attenuates Cigarette Smoke-Induced Emphysema in Rats by Regulating PERK and Nrf2 Pathways. Pulm. Pharmacol. Ther. 2017, 44, 111–121. [Google Scholar] [CrossRef] [PubMed]







| Groups | FEV0.3 (mL) | FVC (mL) | FEV0.3/FVC (%) |
|---|---|---|---|
| Control | 7.26 ± 0.47 | 9.02 ± 0.23 | 85.44 ± 5.11 |
| Model | 3.73 ± 0.35 ## | 5.24 ± 0.11 ## | 51.58 ± 3.18 ## |
| GAE-75 mg/kg | 4.34 ± 0.18 * | 6.25 ± 0.62 | 54.14 ± 2.66 |
| GAE-150 mg/kg | 5.60 ± 0.33 ** | 6.61 ± 0.23 ** | 68.62 ± 5.19 * |
| GAE-300 mg/kg | 5.69 ± 0.22 ** | 7.30 ± 0.41 ** | 74.53 ± 4.35 * |
| Dexamethasone | 5.58 ± 0.24 ** | 7.28 ± 0.67 ** | 70.34 ± 2.48 * |
| Gene | Primer | Primer Sequence |
|---|---|---|
| GAPDH | Forward primer | 5’-AGCCCAGAACATCATCCCTG-3’ |
| Reverse primer | 5’-CACCACCTTCTTGATGTCATC-3’ | |
| NF-κB | Forward primer | 5’-CATCAAGCGTACGTGCGTA-3’ |
| Reverse primer | 5’-CTGATGCGTCTGAGATCTA-3’ | |
| IL-1β | Forward primer | 5’-ATGACCTGTTCTTTGAGGCTGAC-3’ |
| Reverse primer | 5’-CGAGATGCTGCTGTGAGATTTG-3’ | |
| IL-6 | Forward primer | 5’-GACCAAGACCATCCAACTCATC-3’ |
| Reverse primer | 5’-ACATTCATATTGCCAGTTCTTCGTA-3’ | |
| IL-8 | Forward primer | 5’-GACTGTTGTGGCCCTGGAG-3’ |
| Reverse primer | 5’-CCGTCAAGCTCTGGATGTTCT-3’ | |
| TNF-α | Forward primer | 5’-CAGGCGGTGCCTATGTCTC-3’ |
| Reverse primer | 5’-CGATCACCCCGAAGTTCAGTAG-3’ |
Publisher’s Note: MDPI stays neutral with regard to jurisdictional claims in published maps and institutional affiliations. |
© 2022 by the authors. Licensee MDPI, Basel, Switzerland. This article is an open access article distributed under the terms and conditions of the Creative Commons Attribution (CC BY) license (https://creativecommons.org/licenses/by/4.0/).
Share and Cite
Ye, X.; Luo, S.; Chang, X.; Fang, Y.; Liu, Y.; Zhang, Y.; Li, H. Pseudognaphalium affine Extract Alleviates COPD by Inhibiting the Inflammatory Response via Downregulation of NF-κB. Molecules 2022, 27, 8243. https://doi.org/10.3390/molecules27238243
Ye X, Luo S, Chang X, Fang Y, Liu Y, Zhang Y, Li H. Pseudognaphalium affine Extract Alleviates COPD by Inhibiting the Inflammatory Response via Downregulation of NF-κB. Molecules. 2022; 27(23):8243. https://doi.org/10.3390/molecules27238243
Chicago/Turabian StyleYe, Xiangli, Shuping Luo, Xiaona Chang, Yaling Fang, Yaojun Liu, Yuqin Zhang, and Huang Li. 2022. "Pseudognaphalium affine Extract Alleviates COPD by Inhibiting the Inflammatory Response via Downregulation of NF-κB" Molecules 27, no. 23: 8243. https://doi.org/10.3390/molecules27238243
APA StyleYe, X., Luo, S., Chang, X., Fang, Y., Liu, Y., Zhang, Y., & Li, H. (2022). Pseudognaphalium affine Extract Alleviates COPD by Inhibiting the Inflammatory Response via Downregulation of NF-κB. Molecules, 27(23), 8243. https://doi.org/10.3390/molecules27238243

