Brazilian Red Propolis Presents Promising Anti-H. pylori Activity in In Vitro and In Vivo Assays with the Ability to Modulate the Immune Response
Abstract
1. Introduction
2. Results
2.1. CHEBRP Chemical Characterization
2.2. In Vitro Evaluation
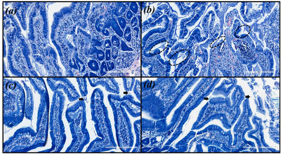
2.3. In Vivo Evaluation
3. Discussion
4. Materials and Methods
4.1. Crude Hydroalcoholic Extract of Brazilian Red Propolis
4.2. Bacterial Strains Used in the Assays
4.3. Determination of Minimal Inhibitory and Bactericidal Concentrations
4.4. Determination of Synergistic Activity
4.5. Determination of Anti-H. pylori Activity in Wistar Rats
4.6. Statistical Analysis
5. Conclusions
Author Contributions
Funding
Institutional Review Board Statement
Informed Consent Statement
Data Availability Statement
Acknowledgments
Conflicts of Interest
Sample Availability
References
- Siqueira, J.S.; Lima, P.S.S.; Barreto, A.S.; Quintans-Júnior, L.J. General aspects of Helicobacter pylori infections—Review. RBAC 2007, 39, 9–13. [Google Scholar]
- Cover, T.L.; Blaser, M.J. Helicobacter pylori in health and disease. Gastroenterology 2009, 136, 1863–1873. [Google Scholar] [CrossRef] [PubMed]
- Gu, H. Role of Flagella in the Pathogenesis of Helicobacter pylori. Curr. Microbiol. 2017, 74, 863–869. [Google Scholar] [CrossRef] [PubMed]
- Sharndama, H.C.; Mba, I.E. Helicobacter pylori: An up-to-date overview on the virulence and pathogenesis mechanisms. Braz. J. Microbiol. 2022, 53, 33–50. [Google Scholar] [CrossRef] [PubMed]
- Ansari, S.; Yamaoka, Y. Helicobacter pylori Virulence Factors Exploiting Gastric Colonization and its Pathogenicity. Toxins 2019, 11, 677. [Google Scholar] [CrossRef]
- De Brito, B.B.; da Silva, F.A.F.; Soares, A.S.; Pereira, V.A.; Santos, M.L.C.; Sampaio, M.M.; Neves, P.H.M.; de Melo, F.F. Pathogenesis and clinical management of Helicobacter pylori gastric infection. World J. Gastroenterol. 2019, 25, 5578–5589. [Google Scholar] [CrossRef]
- Suzuki, S.; Kusano, C.; Horii, T.; Ichijima, R.; Ikehara, H. The Ideal Helicobacter pylori Treatment for the Present and the Future. Digestion 2022, 103, 62–68. [Google Scholar] [CrossRef]
- Tacconelli, E.; Carrara, E.; Savoldi, A.; Harbarth, S.; Mendelson, M.; Monnet, D.L.; Pulcini, C.; Kahlmeter, G.; Kluytmans, J.; Carmeli, Y.; et al. Discovery, research, and development of new antibiotics: The WHO priority list of antibiotic-resistant bacteria and tuberculosis. Lancet Infect. Dis. 2018, 18, 318–327. [Google Scholar] [CrossRef]
- Newman, D.J.; Cragg, G.M. Natural Products as Sources of New Drugs over the Nearly Four Decades from 01/1981 to 09/2019. J. Nat. Prod. 2020, 83, 770–803. [Google Scholar] [CrossRef]
- Bernardini, S.; Tiezzi, A.; Laghezza Masci, V.; Ovidi, E. Natural products for human health: An historical overview of the drug discovery approaches. Nat. Prod. Res. 2018, 32, 1926–1950. [Google Scholar] [CrossRef]
- Calixto, J.B. The role of natural products in modern drug discovery. Acad. Bras. Cienc. 2019, 91 (Suppl. 3), e20190105. [Google Scholar] [CrossRef]
- Yahya, R.; Al-Rajhi, A.M.H.; Alzaid, S.Z.; Al Abboud, M.A.; Almuhayawi, M.S.; Al Jaouni, S.K.; Selim, S.; Ismail, K.S.; Abdelghany, T.M. Molecular Docking and Efficacy of Aloe vera Gel Based on Chitosan Nanoparticles against Helicobacter pylori and Its Antioxidant and Anti-Inflammatory Activities. Polymers 2022, 14, 2994. [Google Scholar] [CrossRef]
- Peng, C.; Sang, S.; Shen, X.; Zhang, W.; Yan, J.; Chen, P.; Jiang, C.; Yuan, Y.; Zhu, W.; Yao, M. In vitro anti-Helicobacter pylori activity of Syzygium aromaticum and the preliminary mechanism of action. J. Ethnopharmacol. 2022, 288, 114995. [Google Scholar] [CrossRef]
- Yan, J.; Peng, C.; Chen, P.; Zhang, W.; Jiang, C.; Sang, S.; Zhu, W.; Yuan, Y.; Hong, Y.; Yao, M. In-vitro anti-Helicobacter pylori activity and preliminary mechanism of action of Canarium album Raeusch. fruit extracts. J. Ethnopharmacol. 2022, 283, 114578. [Google Scholar] [CrossRef]
- Dinat, S.; Orchard, A.; Van Vuuren, S. A scoping review of African natural products against gastric ulcers and Helicobacter pylori. J. Ethnopharmacol. 2022, 301, 115698. [Google Scholar] [CrossRef]
- Sforcin, J.M.; Bankova, V. Propolis: Is there a potential for the development of new drugs? J. Ethnopharmacol. 2011, 133, 253–260. [Google Scholar] [CrossRef]
- Przybylek, I.; Karpinski, T.M. Antibacterial Properties of Propolis. Molecules 2019, 24, 2047. [Google Scholar] [CrossRef]
- Wieczorek, P.P.; Hudz, N.; Yezerska, O.; Horcinova-Sedlackova, V.; Shanaida, M.; Korytniuk, O.; Jasicka-Misiak, I. Chemical Variability and Pharmacological Potential of Propolis as a Source for the Development of New Pharmaceutical Products. Molecules 2022, 27, 1600. [Google Scholar] [CrossRef]
- Lachance, H.; Wetzel, S.; Kumar, K.; Waldmann, H. Charting, navigating, and populating natural product chemical space for drug discovery. J. Med. Chem. 2012, 55, 5989–6001. [Google Scholar] [CrossRef]
- Reis, J.H.O.; Barreto, G.A.; Cerqueira, J.C.; Anjos, J.P.D.; Andrade, L.N.; Padilha, F.F.; Druzian, J.I.; Machado, B.A.S. Evaluation of the antioxidant profile and cytotoxic activity of red propolis extracts from different regions of northeastern Brazil obtained by conventional and ultrasound-assisted extraction. PLoS ONE 2019, 14, e0219063. [Google Scholar] [CrossRef]
- Pasupuleti, V.R.; Sammugam, L.; Ramesh, N.; Gan, S.H. Honey, Propolis, and Royal Jelly: A Comprehensive Review of Their Biological Actions and Health Benefits. Oxidative Med. Cell. Longev. 2017, 2017, 1259510. [Google Scholar] [CrossRef] [PubMed]
- Hossain, R.; Quispe, C.; Khan, R.A.; Saikat, A.S.M.; Ray, P.; Ongalbek, D.; Yeskaliyeva, B.; Jain, D.; Smeriglio, A.; Trombetta, D.; et al. Propolis: An update on its chemistry and pharmacological applications. Chin. Med. 2022, 17, 100. [Google Scholar] [CrossRef] [PubMed]
- Batista, L.L.; Campesatto, E.A.; Assis, M.L.; Barbosa, A.P.; Grillo, L.A.; Dornelas, C.B. Comparative study of topical green and red propolis in the repair of wounds induced in rats. Rev. Col. Bras. Cir. 2012, 39, 515–520. [Google Scholar] [CrossRef] [PubMed]
- De Freitas, M.C.D.; de Miranda, M.B.; de Oliveira, D.T.; Vieira-Filho, S.A.; Caligiorne, R.B.; de Figueiredo, S.M. Biological Activities of Red Propolis: A Review. Recent Pat. Endocr. Metab. Immune Drug Discov. 2017, 11, 3–12. [Google Scholar] [CrossRef] [PubMed]
- Moise, A.R.; Bobis, O. Baccharis dracunculifolia and Dalbergia ecastophyllum, Main Plant Sources for Bioactive Properties in Green and Red Brazilian Propolis. Plants 2020, 9, 1619. [Google Scholar] [CrossRef]
- Mendonça, M.A.A.; Ribeiro, A.R.S.; Lima, A.K.; Bezerra, G.B.; Pinheiro, M.S.; Albuquerque-Junior, R.L.C.; Gomes, M.Z.; Padilha, F.F.; Thomazzi, S.M.; Novellino, E.; et al. Red Propolis and Its Dyslipidemic Regulator Formononetin: Evaluation of Antioxidant Activity and Gastroprotective Effects in Rat Model of Gastric Ulcer. Nutrients 2020, 12, 2951. [Google Scholar] [CrossRef]
- Dixon, M.F.; Genta, R.M.; Yardley, J.H.; Correa, P. Classification and grading of gastritis. The updated Sydney System. International Workshop on the Histopathology of Gastritis, Houston 1994. Am. J. Surg. Pathol. 1996, 20, 1161–1181. [Google Scholar] [CrossRef]
- Dixon, M.F.; Genta, R.M.; Yardley, J.H.; Correa, P. Histological classification of gastritis and Helicobacter pylori infection: An agreement at last? The International Workshop on the Histopathology of Gastritis. Helicobacter 1997, 2 (Suppl. 1), S17–S24. [Google Scholar] [CrossRef]
- Holetz, F.B.; Pessini, G.L.; Sanches, N.R.; Cortez, D.A.; Nakamura, C.V.; Filho, B.P. Screening of some plants used in the Brazilian folk medicine for the treatment of infectious diseases. Mem. Inst. Oswaldo Cruz. 2002, 97, 1027–1031. [Google Scholar] [CrossRef]
- Baltas, N.; Karaoglu, S.A.; Tarakci, C.; Kolayli, S. Effect of propolis in gastric disorders: Inhibition studies on the growth of Helicobacter pylori and production of its urease. J. Enzym. Inhib. Med. Chem. 2016, 31, 46–50. [Google Scholar] [CrossRef]
- Boyanova, L.; Gergova, G.; Nikolov, R.; Derejian, S.; Lazarova, E.; Katsarov, N.; Mitov, I.; Krastev, Z. Activity of Bulgarian propolis against 94 Helicobacter pylori strains in vitro by agar-well diffusion, agar dilution and disc diffusion methods. J. Med. Microbiol. 2005, 54, 481–483. [Google Scholar] [CrossRef] [PubMed]
- Villanueva, M.; Gonzalez, M.; Fernandez, H.; Wilson, M.; Manquian, N.; Otth, C.; Otth, L. In vitro antibacterial activity of Chilean propolis against Helicobacter pylori. Rev. Chil. Infectol. 2015, 32, 530–535. [Google Scholar] [CrossRef] [PubMed][Green Version]
- Widelski, J.; Okinczyc, P.; Paluch, E.; Mroczek, T.; Szperlik, J.; Zuk, M.; Sroka, Z.; Sakipova, Z.; Chinou, I.; Skalicka-Wozniak, K.; et al. The Antimicrobial Properties of Poplar and Aspen-Poplar Propolises and Their Active Components against Selected Microorganisms, including Helicobacter pylori. Pathogens 2022, 11, 191. [Google Scholar] [CrossRef] [PubMed]
- Moraes, T.D.S.; Lima, L.K.D.; Veneziani, R.C.S.; Ambrósio, S.R.; Santos, R.A.D.; Silva, J.J.M.D.; Ribeiro, G.L.; Bastos, J.K.; Martins, C.H.G. In vitro Antibacterial Potential of the Oleoresin, Leaf Crude Hydroalcoholic Extracts and Isolated Compounds of the Copaifera spp. Against Helicobacter pylori. J. Biol. Act. Prod. Nat. 2021, 11, 183–189. [Google Scholar] [CrossRef]
- Nostro, A.; Cellini, L.; Di Bartolomeo, S.; Cannatelli, M.A.; Di Campli, E.; Procopio, F.; Grande, R.; Marzio, L.; Alonzo, V. Effects of combining extracts (from propolis or Zingiber officinale) with clarithromycin on Helicobacter pylori. Phytother. Res. 2006, 20, 187–190. [Google Scholar] [CrossRef]
- Bueno-Silva, B.; Alencar, S.M.; Koo, H.; Ikegaki, M.; Silva, G.V.; Napimoga, M.H.; Rosalen, P.L. Anti-inflammatory and antimicrobial evaluation of neovestitol and vestitol isolated from Brazilian red propolis. J. Agric. Food Chem. 2013, 61, 4546–4550. [Google Scholar] [CrossRef]
- Inui, S.; Hatano, A.; Yoshino, M.; Hosoya, T.; Shimamura, Y.; Masuda, S.; Ahn, M.R.; Tazawa, S.; Araki, Y.; Kumazawa, S. Identification of the phenolic compounds contributing to antibacterial activity in ethanol extracts of Brazilian red propolis. Nat. Prod. Res. 2014, 28, 1293–1296. [Google Scholar] [CrossRef]
- Boeing, T.; Mejia, J.A.A.; Ccana-Ccapatinta, G.V.; Mariott, M.; Da Silva, R.C.M.V.D.A.F.; de Souza, P.; Mariano, L.N.B.; Oliveira, G.R.; da Rocha, I.M.; da Costa, G.A.; et al. The gastroprotective effect of red propolis extract from Northeastern Brazil and the role of its isolated compounds. J. Ethnopharmacol. 2021, 267, 113623. [Google Scholar] [CrossRef]
- Bueno-Silva, B.; Marsola, A.; Ikegaki, M.; Alencar, S.M.; Rosalen, P.L. The effect of seasons on Brazilian red propolis and its botanical source: Chemical composition and antibacterial activity. Nat. Prod. Res. 2017, 31, 1318–1324. [Google Scholar] [CrossRef]
- Fukai, T.; Marumo, A.; Kaitou, K.; Kanda, T.; Terada, S.; Nomura, T. Anti-Helicobacter pylori flavonoids from licorice extract. Life Sci. 2002, 71, 1449–1463. [Google Scholar] [CrossRef]
- Ruiz-Hurtado, P.A.; Garduno-Siciliano, L.; Dominguez-Verano, P.; Balderas-Cordero, D.; Gorgua-Jimenez, G.; Canales-Alvarez, O.; Canales-Martinez, M.M.; Rodriguez-Monroy, M.A. Propolis and Its Gastroprotective Effects on NSAID-Induced Gastric Ulcer Disease: A Systematic Review. Nutrients 2021, 13, 3169. [Google Scholar] [CrossRef]
- Mahboubi, M.; Falsafi, T.; Sadeghizadeh, M.; Mahjoub, F. The role of outer inflammatory protein A (OipA) in vaccination of theC57BL/6 mouse model infected by Helicobacter pylori. Turk. J. Med. Sci. 2017, 47, 326–333. [Google Scholar] [CrossRef]
- Coelho, L.G.; Bastos, E.M.; Resende, C.C.; Paula e Silva, C.M.; Sanches, B.S.; de Castro, F.J.; Moretzsohn, L.D.; Vieira, W.L.; Trindade, O.R. Brazilian green propolis on Helicobacter pylori infection. a pilot clinical study. Helicobacter 2007, 12, 572–574. [Google Scholar] [CrossRef]
- Aldana-Mejia, J.A.; Ccana-Ccapatinta, G.V.; Squarisi, I.S.; Nascimento, S.; Tanimoto, M.H.; Ribeiro, V.P.; Arruda, C.; Nicolella, H.; Esperandim, T.; Ribeiro, A.B.; et al. Nonclinical Toxicological Studies of Brazilian Red Propolis and Its Primary Botanical Source Dalbergia ecastaphyllum. Chem. Res. Toxicol. 2021, 34, 1024–1033. [Google Scholar] [CrossRef]
- CLSI. Methods for Antimicrobial Dilution and Disk Susceptibility Testing of Infrequently Isolated or Fastidious Bacteria, 3rd ed.; CLSI Guideline M45; Clinical and Laboratory Standards Institute: Wayne, PA, USA, 2015. [Google Scholar]
- Sarker, S.D.; Nahar, L.; Kumarasamy, Y. Microtitre plate-based antibacterial assay incorporating resazurin as an indicator of cell growth, and its application in the in vitro antibacterial screening of phytochemicals. Methods 2007, 42, 321–324. [Google Scholar] [CrossRef]
- Chaturvedi, V.; Ramani, R.; Ghannoum, M.A.; Killian, S.B.; Holliday, N.; Knapp, C.; Ostrosky-Zeichner, L.; Messer, S.A.; Pfaller, M.A.; Iqbal, N.J.; et al. Multilaboratory testing of antifungal combinations against a quality control isolate of Candida krusei. Antimicrob. Agents Chemother. 2008, 52, 1500–1502. [Google Scholar] [CrossRef]
- Lewis, R.E.; Diekema, D.J.; Messer, S.A.; Pfaller, M.A.; Klepser, M.E. Comparison of Etest, chequerboard dilution and time-kill studies for the detection of synergy or antagonism between antifungal agents tested against Candida species. J. Antimicrob. Chemother. 2002, 49, 345–351. [Google Scholar] [CrossRef]
- Werawatganon, D. Simple animal model of Helicobacter pylori infection. World J. Gastroenterol. 2014, 20, 6420–6424. [Google Scholar] [CrossRef] [PubMed]
- Adinortey, M.B.; Ansah, C.; Adinortey, C.A.; Bockarie, A.S.; Morna, M.T.; Amewowor, D.H. Isolation of Helicobacter pylori from Gastric Biopsy of Dyspeptic Patients in Ghana and In Vitro Preliminary Assessment of the Effect of Dissotis rotundifolia Extract on Its Growth. J. Trop. Med. 2018, 2018, 8071081. [Google Scholar] [CrossRef]
- Vukojevic, J.; Nikolic, I.; Kukic, B.; Bogdanovic, B.; Nikin, Z. Helicobacter heilmannii associated gastritis: Case report. Arch. Oncol. 2011, 19, 73–75. [Google Scholar] [CrossRef]




| Strains | CHEBRP | Tetracycline | ||
|---|---|---|---|---|
| MIC | MBC | MIC | MBC | |
| (μg/mL) | ||||
| Helicobacter pylori (ATCC 43526) | 50.0 | 50.0 | 0.74 | 0.74 |
| Helicobacter pylori (clinical isolate) | 100.0 | 100.0 | 0.74 | 0.74 |
| Strains | MICa (μg/mL) | MICb (μg/mL) | FIC * | FICI ** | Outcome *** | |||
|---|---|---|---|---|---|---|---|---|
| (1) | (2) | (1) | (2) | (1) | (2) | |||
| Helicobacter pylori (ATCC 43526) | 50.0 | 1.48 | 50.0 | 0.74 | 1.0 | 0.5 | 1.5 | Indifferent |
| Helicobacter pylori (clinical isolate) | 200.0 | 1.48 | 200.0 | 1.48 | 1.0 | 1.0 | 2.0 | Indifferent |
| Histological Criteria | Uninfected | Infected | DMSO¤ | TT¤ | CHEBRP I¤ | CHEBRP II¤ | CHEBRP III¤ | CHEBRP IV¤ | CHEBRP V¤ |
|---|---|---|---|---|---|---|---|---|---|
| Chronic inflammation | + ** | ++ | ++ | + | ++ | ++ | ++ | ++ | + |
| Neutrophil polymorph infiltration (activity) | - | + | + | - | + | + | + | + | - |
| Eosinophils | - | - | - | - | - | - | - | - | - |
| Macrophages | - | + | + | - | + | + | + | + | - |
| Lymphocytes | + | ++ | ++ | ++ | ++ | ++ | ++ | ++ | ++ |
| Plasma cells | + | + | + | + | + | + | + | + | + |
| Giant foreign body cells | - | - | - | - | - | - | - | - | - |
| Fibroblast | - | - | - | - | - | - | - | - | - |
| Tissue damage | - | + | + | - | + | + | + | + | - |
| Necrotic tissue | - | - | - | - | - | - | - | - | - |
| Apoptotic bodies | - | + | + | - | + | + | + | + | - |
| Lamina propria edema | - | ++ | ++ | - | ++ | ++ | ++ | ++ | - |
| Epithelial/glandular atrophy | - | + | + | - | + | + | + | + | - |
| Intestinal metaplasia | - | + | + | - | + | + | + | + | - |
| Helicobacter pylori (ATCC 43526) density * | - | ++ | ++ | + | ++ | ++ | ++ | ++ | + |
| Histological Criteria | Uninfected | Infected | DMSO¤ | TT¤ | CHEBRP I¤ | CHEBRP II¤ | CHEBRP III¤ | CHEBRP IV¤ | CHEBRP V¤ |
|---|---|---|---|---|---|---|---|---|---|
| Chronic inflammation | + ** | +++ | ++ | + | ++ | ++ | ++ | ++ | + |
| Neutrophil polymorph infiltration (activity) | - | + | + | - | + | + | + | + | - |
| Eosinophils | - | - | - | - | - | - | - | - | - |
| Macrophages | - | + | + | - | + | + | + | + | - |
| Lymphocytes | + | +++ | ++ | ++ | ++ | ++ | ++ | ++ | ++ |
| Plasma cells | + | + | + | + | + | + | + | + | + |
| Giant foreign body cells | - | - | - | - | - | - | - | - | - |
| Fibroblast | - | - | - | - | - | - | - | - | - |
| Tissue damage | - | ++ − ulcer | + | - | + | + | + | + | - |
| Necrotic tissue | - | - | - | - | - | - | - | - | - |
| Apoptotic bodies | - | ++ | + | - | + | + | + | + | - |
| Lamina propria edema | - | ++ | ++ | - | ++ | ++ | ++ | ++ | - |
| Epithelial/glandular atrophy | - | ++ | + | - | ++ | ++ | ++ | ++ | - |
| Intestinal metaplasia | - | + | + | - | + | + | + | + | - |
| Helicobacter pylori (clinical isolate) density * | - | ++ | ++ | + | ++ | ++ | ++ | ++ | + |
Publisher’s Note: MDPI stays neutral with regard to jurisdictional claims in published maps and institutional affiliations. |
© 2022 by the authors. Licensee MDPI, Basel, Switzerland. This article is an open access article distributed under the terms and conditions of the Creative Commons Attribution (CC BY) license (https://creativecommons.org/licenses/by/4.0/).
Share and Cite
Santiago, M.B.; Leandro, L.F.; Rosa, R.B.; Silva, M.V.; Teixeira, S.C.; Servato, J.P.S.; Ambrósio, S.R.; Veneziani, R.C.S.; Aldana-Mejía, J.A.; Bastos, J.K.; et al. Brazilian Red Propolis Presents Promising Anti-H. pylori Activity in In Vitro and In Vivo Assays with the Ability to Modulate the Immune Response. Molecules 2022, 27, 7310. https://doi.org/10.3390/molecules27217310
Santiago MB, Leandro LF, Rosa RB, Silva MV, Teixeira SC, Servato JPS, Ambrósio SR, Veneziani RCS, Aldana-Mejía JA, Bastos JK, et al. Brazilian Red Propolis Presents Promising Anti-H. pylori Activity in In Vitro and In Vivo Assays with the Ability to Modulate the Immune Response. Molecules. 2022; 27(21):7310. https://doi.org/10.3390/molecules27217310
Chicago/Turabian StyleSantiago, Mariana B., Luis Fernando Leandro, Rafael B. Rosa, Murilo V. Silva, Samuel C. Teixeira, João Paulo S. Servato, Sérgio Ricardo Ambrósio, Rodrigo Cassio S. Veneziani, Jennyfer A. Aldana-Mejía, Jairo K. Bastos, and et al. 2022. "Brazilian Red Propolis Presents Promising Anti-H. pylori Activity in In Vitro and In Vivo Assays with the Ability to Modulate the Immune Response" Molecules 27, no. 21: 7310. https://doi.org/10.3390/molecules27217310
APA StyleSantiago, M. B., Leandro, L. F., Rosa, R. B., Silva, M. V., Teixeira, S. C., Servato, J. P. S., Ambrósio, S. R., Veneziani, R. C. S., Aldana-Mejía, J. A., Bastos, J. K., & Martins, C. H. G. (2022). Brazilian Red Propolis Presents Promising Anti-H. pylori Activity in In Vitro and In Vivo Assays with the Ability to Modulate the Immune Response. Molecules, 27(21), 7310. https://doi.org/10.3390/molecules27217310

