Preparation and Characterization of Protein Molecularly Imprinted Poly (Ionic Liquid)/Calcium Alginate Composite Cryogel Membrane with High Mechanical Strength for the Separation of Bovine Serum Albumin
Abstract
1. Introduction
2. Results and Discussion
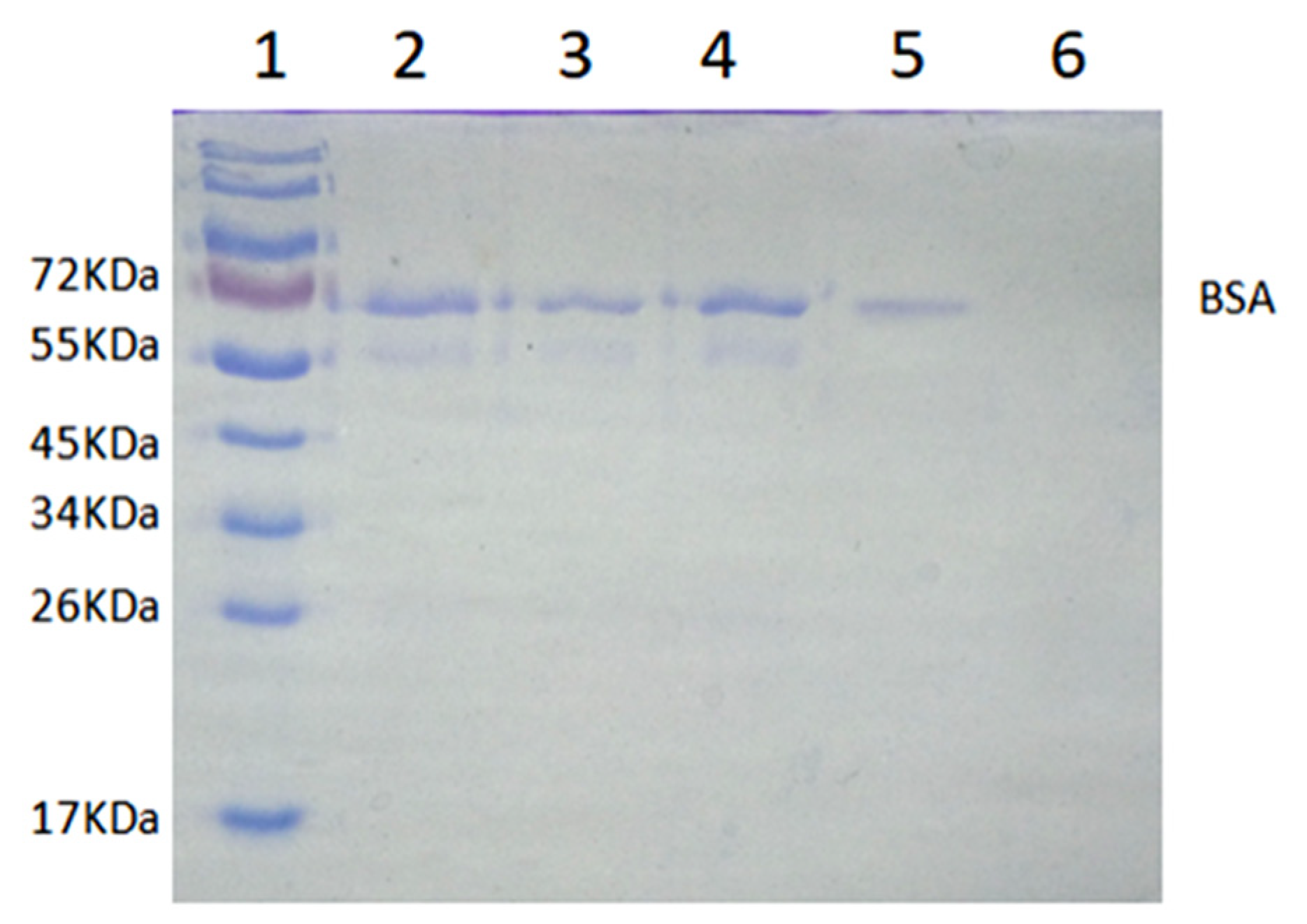
2.1. Characterization of the Membrane
2.2. Optimization of Synthesis Conditions of MICM
2.3. Static Adsorption Kinetics
2.4. Static Adsorption Isotherms
2.5. Selective and Competitive Recognition
2.6. Reusability
2.7. Membrane Permeation and Dead-End Filtration Performance
2.8. Separation Performance of MICM and NMICM in Calf Serum Solution by Solid-Phase Extraction and Membrane Adsorption
3. Experimental
3.1. Materials and Reagents
3.2. Preparation of Functionalized Ionic Liquid [VAMIM]Cl
3.3. Preparation of MICM
3.4. Characterization
3.5. Measurement of Porosity and Swelling Ratio of the Membranes
3.6. Adsorption Experiments
3.7. Membrane Permeation and Dead-End Filtration Experiment
3.8. Reusability Experiment
3.9. Separation Performance of MICM and NMICM in Calf Serum Solution by Solid-Phase Extraction and Membrane Adsorption
4. Conclusions
Supplementary Materials
Author Contributions
Funding
Conflicts of Interest
Sample Availability
References
- Ma, X.; Li, M.; Zhang, J.; Wang, R.; Jin, S. Recognition and selective extraction of poly-γ-glutamic acid based on molecular imprinting technology. Int. J. Biol. Macromol. 2021, 172, 1–9. [Google Scholar] [CrossRef]
- Fiorenza, R.; Di Mauro, A.; Cantarella, M.; Iaria, C.; Scalisi, E.M.; Brundo, M.V.; Impellizzeri, G. Preferential removal of pesticides from water by molecular imprinting on TiO2 photocatalysts. Chem. Eng. J. 2020, 379, 122309. [Google Scholar] [CrossRef]
- Zhou, T.; Deng, Z.; Wang, Q.; Li, H.; Li, S.; Xu, X.; Zhou, Y.; Sun, S.; Xuan, C.; Tian, Q.; et al. Magnetic molecularly imprinted polymers for the rapid and selective extraction and detection of methotrexatein serum by HPLC-UV Analysis. Molecules 2022, 27, 6084. [Google Scholar] [CrossRef]
- Janczura, M.; Luliński, P.; Sobiech, M. Imprinting Technology for Effective Sorbent Fabrication: Current State-of-Art and Future Prospects. Materials 2021, 14, 1850. [Google Scholar] [CrossRef]
- Ali, I.; Imanova, G.T.; Albishri, H.M.; Alshitari, W.H.; Locatelli, M.; Siddiquiand, M.N.; Hameed, A.M. An ionic-liquid-imprinted nanocomposite adsorbent: Simulation, kinetics and thermodynamic studies of triclosan endocrine disturbing water contaminant removal. Molecules 2022, 27, 5358. [Google Scholar] [CrossRef]
- Suo, D.; Zhang, S.; Song, Z.; Wang, S.; Li, Y.; Fan, X. Simultaneous determination of 21 sulfonamides in poultry eggs using ionic liquid-modified molecularly imprinted polymer SPE and UPLC–MS/MS. Molecules 2022, 27, 4953. [Google Scholar] [CrossRef]
- Sadia, M.; Ahmad, I.; Ali, F.; Zahoor, M.; Ullah, R.; Khan, F.A.; Ali, E.A.; Sohail, A. Selective removal of the emerging dye basic Blue 3 via molecularly imprinting technique. Molecules 2022, 27, 3276. [Google Scholar] [CrossRef]
- Liu, R.; Poma, A. Advances in molecularly imprinted polymers as drug delivery systems. Molecules 2021, 26, 3589. [Google Scholar] [CrossRef]
- Khumsap, T.; Corpuz, A.; Nguyen, L.T. Epitope-imprinted polymers: Applications in protein recognition and separation. RSC Adv. 2021, 11, 11403–11414. [Google Scholar] [CrossRef]
- Mujahid, A.; Maryam, A.; Afzal, A.; Bajwa, S.Z.; Hussain, T.; Din, M.I.; Irshad, M. Molecularly imprinted poly (methyl methacrylate)-nickel sulfide hybrid membranes for adsorptive desulfurization of dibenzothiophene. Sep. Purif. Technol. 2020, 237, 116453. [Google Scholar] [CrossRef]
- Cheng, G.; Yu, W.; Yang, C.; Li, S.; Wang, X.; Wang, P.; Zhu, G. Highly selective removal of 2,4-dinitrophenol by a surface imprinted sol–gel polymer. J. Appl. Polym. Sci. 2020, 137, 49236. [Google Scholar] [CrossRef]
- Lu, J.; Qin, Y.; Li, C.; Wu, Y.; Meng, M.; Dong, Z.; Yan, Y. Irregular dot array nanocomposite molecularly imprinted membranes with enhanced antibacterial property: Synergistic promotion of selectivity, rebinding capacity and flux. Chem. Eng. J. 2021, 405, 126716. [Google Scholar] [CrossRef]
- Yan, R.; Wang, Z.; Qiu, T.; Li, X. One-step building of molecularly imprinted polymer microcapsules with multicore structure by Pickering emulsion polymerization. J. Appl. Polym. Sci. 2020, 137, 49226. [Google Scholar] [CrossRef]
- Jahanban-Esfahlan, A.; Roufegarinejad, L.; Jahanban-Esfahlan, R.; Tabibiazar, M.; Amarowicz, R. Latest developments in the detection and separation of bovine serum albumin using molecularly imprinted polymers. Talanta 2020, 207, 120317. [Google Scholar] [CrossRef]
- Fan, J.P.; Zhang, F.Y.; Yang, X.M.; Zhang, X.H.; Cao, Y.H.; Peng, H.L. Preparation of a novel supermacroporous molecularly imprinted cryogel membrane with a specific ionic liquid for protein recognition and permselectivity. J. Appl. Polym. Sci. 2018, 135, 46740. [Google Scholar] [CrossRef]
- Yazdi, M.K.; Zare, M.; Khodadadi, A.; Seidi, F.; Sajadi, S.M.; Zarrintaj, P.; Mozafari, M. Polydopamine Biomaterials for Skin Regeneration. Mat. Sci. Eng. C. Mater. 2020, 114, 111023. [Google Scholar] [CrossRef]
- Ding, S.; Lyu, Z.; Niu, X.; Zhou, Y.; Liu, D.; Falahati, M.; Lin, Y. Integrating ionic liquids with molecular imprinting technology for biorecognition and biosensing: A review. Biosens. Bioelectron. 2020, 149, 111830. [Google Scholar] [CrossRef]
- Fan, J.P.; Yu, J.X.; Yang, X.M.; Zhang, X.H.; Yuan, T.T.; Peng, H.L. Preparation, characterization, and application of multiple stimuli-responsive rattle-type magnetic hollow molecular imprinted poly (ionic liquids) nanospheres (Fe3O4@ void@ PILMIP) for specific recognition of protein. Chem. Eng. J. 2018, 337, 722–732. [Google Scholar] [CrossRef]
- Qian, L.; Yang, M.; Chen, H.; Xu, Y.; Zhang, S.; Zhou, Q.; Song, W. Preparation of a poly (ionic liquid)-functionalized cellulose aerogel and its application in protein enrichment and separation. Carbohyd. Polym. 2019, 218, 154–162. [Google Scholar] [CrossRef]
- Qian, L.; Hu, X.; Guan, P.; Gao, B.; Li, J.; Wang, C.; Tang, Y. Preparation of bovine serum albumin imprinting sensitive hydrogels using ionic liquid as co-monomer and stabilizer. Talanta 2014, 121, 56. [Google Scholar] [CrossRef]
- Barba-Vicente, V.; Parra, M.J.A.; Boyero-Benito, J.F.; Auría-Soro, C.; Juanes-Velasco, P.; Landeira-Viñuela, A.; Fuentes, M. Detection of human p53 in-vitro expressed in a transcription-translation cell-free system by a novel conjugate based on cadmium sulphide nanoparticles. Nanomaterials 2020, 10, 984. [Google Scholar] [CrossRef]
- Zhao, K.; Cheng, G.; Huang, J.; Ying, X. Rebinding and recognition properties of protein-macromolecularly imprinted calcium phosphate/alginate hybrid polymer microspheres. React. Funct. Polym. 2008, 68, 732–741. [Google Scholar] [CrossRef]
- Zhao, K.; Chen, T.; Lin, B.; Cui, W.; Kan, B.; Yang, N.; Wei, J. Adsorption and recognition of protein molecular imprinted calcium alginate/polyacrylamide hydrogel film with good regeneration performance and high toughness. J. Wei. React. Funct. Polym. 2015, 87, 7–14. [Google Scholar] [CrossRef]
- Zhang, M.; Li, L.; Wang, M.; Li, T.; Song, K.; Nie, Y.; Ren, B. 3D Printing for Biological Scaffolds using Poly (Ionic Liquid)/Gelatin/Sodium Alginate Ink. Macromol. Mater. Eng. 2021, 306, 2100084. [Google Scholar] [CrossRef]
- da Silva Fernandes, R.; Tanaka, F.N.; de Moura, M.R.; Aouada, F.A. Development of alginate/starch-based hydrogels crosslinked with different ions: Hydrophilic, kinetic and spectroscopic properties. Mater. Today Commun. 2019, 21, 100636. [Google Scholar] [CrossRef]
- Andaç, M.; Baydemir, G.; Yavuz, H.; Denizli, A. Molecularly imprinted composite cryogel for albumin depletion from human serum. J. Mol. Recognit. 2012, 25, 555–563. [Google Scholar] [CrossRef]
- Shen, Y.; Wang, H.; Li, W.; Liu, Z.; Liu, Y.; Wei, H.; Li, J. Synthesis and characterization of double-network hydrogels based on sodium alginate and halloysite for slow release fertilizers. Int. J. Biol. Macromol. 2020, 164, 557–565. [Google Scholar] [CrossRef]
- Shaikh, H.; Andaç, M.; Memon, N.; Bhanger, M.I.; Nizamani, S.M.; Denizli, A. Synthesis and characterization of molecularly imprinted polymer embedded composite cryogel discs: Application for the selective extraction of cypermethrins from aqueous samples prior to GC-MS analysis. RSC Adv. 2015, 5, 26604–26615. [Google Scholar] [CrossRef]
- Fan, J.P.; Mao, D.Y.; Zhang, X.H.; Qi, G.X.; Liao, D.D.; Chen, H.P.; Huang, K. Preparation and characterization of a novel freestanding flexible reduced graphene oxide composite membrane for adsorption of isoflavone in Radix Puerariae Lobatae. Colloid. Surface. A. 2020, 599, 124911. [Google Scholar] [CrossRef]
- Fan, J.P.; Luo, J.J.; Zhang, X.H.; Zhen, B.; Dong, C.Y.; Li, Y.C.; Chen, H.P. A novel electrospun β-CD/CS/PVA nanofiber membrane for simultaneous and rapid removal of organic micropollutants and heavy metal ions from water. Chem. Eng. J. 2019, 378, 122232. [Google Scholar] [CrossRef]
- Dai, Y.; Zhou, L.; Tang, X.; Xi, J.; Ouyang, J.; Liu, Z.; Adesina, A.A. Macroporous ion-imprinted chitosan foams for the selective biosorption of U (VI) from aqueous solution. Int. J. Biol. Macromol. 2020, 164, 4155–4164. [Google Scholar] [CrossRef]
- Saha, P.; Chowdhury, S.; Gupta, S.; Kumar, I. Insight into adsorption equilibrium, kinetics and thermodynamics of Malachite Green onto clayey soil of Indian origin. Chem. Eng. J. 2010, 165, 874–882. [Google Scholar] [CrossRef]
- Wang, Y.; Ma, Y.; Zhou, J.; Su, K.; Zhang, B.; Zhang, Q. MnO2 corolla-like magnetic molecularly imprinted microspheres with enhanced adsorption capacity and specificity recognition to bovine serum albumin. Chem. Eng. J. 2021, 405, 126655. [Google Scholar] [CrossRef]
- Yang, Z.; Yang, K.; Cui, Y.; Shah, T.; Ahmad, M.; Zhang, Q.; Zhang, B. Synthesis of surface imprinted polymers based on wrinkled flower-like magnetic graphene microspheres with favorable recognition ability for BSA. J. Mater. Sci. Technol. 2021, 74, 203–215. [Google Scholar] [CrossRef]
- Mahdavinia, G.R.; Soleymani, M.; Etemadi, H.; Sabzi, M.; Atlasi, Z. Model protein BSA adsorption onto novel magnetic chitosan/PVA/laponite RD hydrogel nanocomposite beads. Int. J. Biol. Macromol. 2018, 107, 719–729. [Google Scholar] [CrossRef] [PubMed]
- Du, P.; Zhao, J.; Mashayekhi, H.; Xing, B. Adsorption of bovine serum albumin and lysozyme on functionalized carbon nanotubes. J. Phys. Chem. 2014, 118, 22249–22257. [Google Scholar] [CrossRef]
- Singh, N.K.; Dsouza, R.N.; Grasselli, M.; Fernández-Lahore, M. High capacity cryogel-type adsorbents for protein purification. J. Chromatogr. A. 2014, 1355, 143–148. [Google Scholar] [CrossRef] [PubMed]
- Fan, J.P.; Cheng, Y.T.; Zhang, X.H.; Xiao, Z.P.; Liao, D.D.; Chen, H.P.; Peng, H.L. Preparation of a novel mixed non-covalent and semi-covalent molecularly imprinted membrane with hierarchical pores for separation of genistein in Radix Puerariae Lobatae. React. Funct. Polym. 2020, 146, 104439. [Google Scholar] [CrossRef]
- Fan, J.P.; Li, L.; Tian, Z.Y.; Xie, C.F.; Song, F.T.; Zhang, X.H.; Zhu, J.H. A novel free-standing flexible molecularly imprinted membrane for selective separation of synephrine in methanol–water media. J. Membr. Sci. 2014, 467, 13–22. [Google Scholar] [CrossRef]













| Membranes | Pseudo-First-Order Kinetic Model | Pseudo-Second-Order Kinetic Model | ||||
|---|---|---|---|---|---|---|
| Qe,cal [mg g−1] | k1 [min−1] | R2 | Qe,cal [mg g−1] | k2 [g mg−1 min−1] | R2 | |
| MICM | 298.41 | 0.02179 | 0.9960 | 337.72 | 8.21 × 10−5 | 0.9853 |
| NMICM | 139.78 | 0.01361 | 0.9941 | 165.63 | 9.38 × 10−5 | 0.9875 |
| Membranes | T [°C] | Langmuir Mode | Freundlich Mode | |||||
|---|---|---|---|---|---|---|---|---|
| KL [mL mg−1] | Qmax [mg g−1] | RL | R2 | 1/n | KF | R2 | ||
| MICM | 20 | 6.788 | 606.3 | 0.141~0.596 | 0.9906 | 0.3969 | 617.7 | 0.9181 |
| 25 | 3.704 | 593.6 | 0.231~0.730 | 0.9960 | 0.4923 | 535.7 | 0.9613 | |
| 30 | 2.449 | 582.3 | 0.312~0.803 | 0.9974 | 0.5674 | 467.0 | 0.9741 | |
| NMICM | 20 | 3.445 | 294.2 | 0.244~0.744 | 0.9945 | 0.4741 | 251.3 | 0.9554 |
| 25 | 2.527 | 282.3 | 0.305~0.798 | 0.9882 | 0.5292 | 220.5 | 0.9533 | |
| 30 | 1.938 | 275.7 | 0.364~0.837 | 0.9757 | 0.5849 | 197.2 | 0.9408 | |
| Proteins | Qe of MICM [mg g−1] | Qe of NMICM [mg g−1] | IF | α |
|---|---|---|---|---|
| BSA | 318.11 | 147.25 | 2.16 | |
| OVA | 171.13 | 140.43 | 1.22 | 1.77 |
| BHb | 136.26 | 129.26 | 1.05 | 2.04 |
| Lys | 34.41 | 19.72 | 1.74 | 1.23 |
| Proteins | Qe of MICM [mg g−1] | Qe of NMICM [mg g−1] | IF | α |
|---|---|---|---|---|
| BSA | 308.11 | 151.27 | 2.04 | 1.90 |
| BHb | 142.97 | 133.69 | 1.07 |
| Adsorbents | Main Interactions | T [k] | Qmax [mg g−1] | Refs. |
|---|---|---|---|---|
| MICM | Ion-pair interaction, hydrogen bond and π-π interaction. | 298.15 | 593.6 | This work |
| Fe3O4@MnO2@BSA-MIPs | Hydrophobic interaction, hydrogen bonding and other interactions. | 298.15 | 217.39 | [33] |
| Surface imprinted Fe3O4@rGO microspheres | Hydrophobic interaction, hydrogen bonding and other interactions. | 298.15 | 350.28 | [34] |
| Magnetic chitosan/PVA/laponite RD beads | Electrostatic interaction | 298.15 | 240.5 | [35] |
| Hydroxylated carbon nanotubes | Covalent bonding | 298.15 | 238.2 | [36] |
| Qmax (mg g−1) is the theoretical maximum adsorption amount calculated from Langmuir mode | ||||
| Proteins | MICM | NMICM | TF | ||
|---|---|---|---|---|---|
| P [mg cm−2] | SF | P [mg cm−2] | SF | ||
| BSA | 2.62 | 1.77 | 1.09 | 1.14 | 2.40 |
| BHb | 1.48 | 0.96 | 1.54 | ||
| Proteins | MICM | NMICM | DF | β |
|---|---|---|---|---|
| Qd [mg cm−2] | Qd [mg cm−2] | |||
| BSA | 2.53 | 0.52 | 4.91 | 1.47 |
| Hb | 0.73 | 0.22 | 3.34 |
Publisher’s Note: MDPI stays neutral with regard to jurisdictional claims in published maps and institutional affiliations. |
© 2022 by the authors. Licensee MDPI, Basel, Switzerland. This article is an open access article distributed under the terms and conditions of the Creative Commons Attribution (CC BY) license (https://creativecommons.org/licenses/by/4.0/).
Share and Cite
Fan, J.-P.; Dong, W.-Y.; Zhang, X.-H.; Yu, J.-X.; Huang, C.-B.; Deng, L.-J.; Chen, H.-P.; Peng, H.-L. Preparation and Characterization of Protein Molecularly Imprinted Poly (Ionic Liquid)/Calcium Alginate Composite Cryogel Membrane with High Mechanical Strength for the Separation of Bovine Serum Albumin. Molecules 2022, 27, 7304. https://doi.org/10.3390/molecules27217304
Fan J-P, Dong W-Y, Zhang X-H, Yu J-X, Huang C-B, Deng L-J, Chen H-P, Peng H-L. Preparation and Characterization of Protein Molecularly Imprinted Poly (Ionic Liquid)/Calcium Alginate Composite Cryogel Membrane with High Mechanical Strength for the Separation of Bovine Serum Albumin. Molecules. 2022; 27(21):7304. https://doi.org/10.3390/molecules27217304
Chicago/Turabian StyleFan, Jie-Ping, Wen-Ya Dong, Xue-Hong Zhang, Jia-Xin Yu, Cong-Bo Huang, Li-Juan Deng, Hui-Ping Chen, and Hai-Long Peng. 2022. "Preparation and Characterization of Protein Molecularly Imprinted Poly (Ionic Liquid)/Calcium Alginate Composite Cryogel Membrane with High Mechanical Strength for the Separation of Bovine Serum Albumin" Molecules 27, no. 21: 7304. https://doi.org/10.3390/molecules27217304
APA StyleFan, J.-P., Dong, W.-Y., Zhang, X.-H., Yu, J.-X., Huang, C.-B., Deng, L.-J., Chen, H.-P., & Peng, H.-L. (2022). Preparation and Characterization of Protein Molecularly Imprinted Poly (Ionic Liquid)/Calcium Alginate Composite Cryogel Membrane with High Mechanical Strength for the Separation of Bovine Serum Albumin. Molecules, 27(21), 7304. https://doi.org/10.3390/molecules27217304
